CASOS CLÍNICOS
Reporte de caso: hematoma epidural supra e infratentorial en paciente pediátrico
Case report: supra and infratentorial epidural hematoma in a pediatric patient
Reporte de caso: hematoma epidural supra e infratentorial en paciente pediátrico
Revista Científica Ciencia Médica, vol. 24, núm. 2, pp. 143-147, 2021
Universidad Mayor de San Simón
Recepción: 01 Octubre 2021
Aprobación: 15 Noviembre 2021
Resumen: El traumatismo craneoencefálico es una causa común de morbi-mortalidad en la población pediátrica, sus lesiones secundarias como los hematomas epidurales son frecuentemente hallados, pero en su localización de la fosa posterior solo representa el 5% y son de alto riesgo de presentar complicaciones; además el hematoma supra e infratentorial simultáneo es muy poco frecuente. En el presente trabajo daremos a conocer el manejo quirúrgico de alto riesgo de un paciente con un hematoma supra e infratentorial de gran volumen, describiendo las posibles complicaciones y observando la evolución. Se realizó craneotomía supratentorial y una craniectomía sub-occipital para evacuación de hematoma. El paciente se recuperó satisfactoriamente mostrando mejoría en el postoperatorio inmediato, siendo dado de alta recuperando la función global.
Palabras clave: Pediatría, Hematoma epidural craneal, Lesiones traumáticas del encéfalo.
Abstract: Traumatic Head Injury is a common cause of morbidity and mortality in the pediatric population. Its secondary lessons, such as epidural hematomas, are frequently found, but in the posterior fossa it only represents 5% and they are at high risk of complications; in addition, simultaneous supra and infratentorial hematoma is very rare. In the present work, we will present the high-risk surgical management of a patient with a large volume supra- and infratentorial hematoma, describing the possible complications and observing the evolution. Supratentorial craniotomy and sub-occipital craniectomy were performed to evacuate the hematoma. The patient recovered satisfactorily showing improvement in the immediate postoperative period, being discharged recovering global function.
Keywords: Pediatrics, Cranial epidural hematoma, Traumatic injuries of the brain.
INTRODUCCIÓN
El traumatismo craneoencefálico es una causa común de morbilidad y mortalidad en la población pediátrica y a menudo provocada por una fractura de cráneo1. Los hematomas epidurales de la fosa posterior representan el 5% de los hematomas epidurales y son más frecuentes durante las dos primeras décadas de vida; si bien el 84 % presentan fractura occipital, solo el 3 % de los niños presentan un hematoma en la fosa posterior2. Los signos cerebelosos en la mayoría de los casos están ausentes o tenues y la mortalidad en general es aproximadamente el 26 % y es mayor en quienes tienen una lesión intracraneal asociada3, 4.
En el presente Caso Clínico presentamos una lesión muy particular, ya que es una lesión infra y supratentorial de extensión muy amplia y una valoración de mortalidad según la escala de Marshall en una lesión difusa tipo IV.
PRESENTACIÓN DEL CASO
Paciente masculino de 10 años de edad, sin antecedentes de importancia. Dos días antes del ingreso al hospital el paciente sufrió una caída en bicicleta afectando la región occipital luego de "salir proyectado tras impactar con una piedra mientras participaba en una carrera de ciclismo sin llevar casco"; sin perder la conciencia se dirigió a su casa por sus propios medios, aproximadamente una hora después al incidente el paciente presento náuseas que preceden a múltiples episodios de emesis de coloración amarillenta, durante toda la noche acompañadas de cefalea. Al día siguiente los vómitos se exacerban por lo cual deciden acudir al servicio de emergencia del hospital.
En la estancia hospitalaria a la inspección: presento aumento de volumen a nivel de la región parietooccipital predominantemente de lado izquierdo e inflamación moderada en la hemicara izquierda. A la palpación: dolor de intensidad moderada en la región temporoparietal del lado izquierdo y occipital de la cabeza. A nivel neurológico: sensibilidad del reflejo fotomotor ipsilateral y contralateral conservados, sensibilidad protopática y epicrítica conservadas, fuerza muscular 5/5 según la escala de Daniels y con un Glasgow de 12/15 (Respuesta motriz: 5, respuesta verbal: 4 y apertura ocular: 3). Posterior a ello se inició tratamiento inmediato con manitol al 20 %: 50 cc cada 8 horas (con el objetivo de disminuir la presión intracraneal y por sus propiedades neuroprotectoras al captar radicales libres y disminuir los cambios en la permeabilidad de la barrera hematoencefálica), dexametasona 4 mg cada 8 horas vía endovenosa (con el objetivo de controlar el edema cerebral). Se realizó una tomografía computarizada (TC) cerebral sin contraste y ventana ósea con reconstrucción 3D; en donde se pudo apreciar en TC de ventana ósea: Fisura en el hueso temporal izquierdo que se continúa con fractura temporo-parieto-occipital izquierdo.
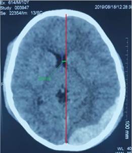
Según la escala de Marshall el paciente presenta una lesión difusa de tipo IV, se aprecia una desviación de la línea media superior a 5 mm (Ver figura 1). En la tomografía se puede observar en la ventana ósea: fractura parietooccipital y en la ventana parenquimatosa una lesión hiperdensa biconvexa que corresponde al hematoma epidural supra e infratentorial que abarca 20 cortes de la tomografía ubicado en la fosa posterior en la región occipital y parietal, las medidas de este hematoma son 10 cm de alto, 8,5 cm de largo y 2,3 cm de ancho (Ver figura 2). Para la estimación del volumen se aplica la Fórmula ABC/2. Donde A corresponde a= longitud máxima de la lesión (en cm) de la TC, B = ancho perpendicular de A en el mismo corte de la tomografía y C = número de cortes multiplicado por el grosor del corte, aplicándolos a nuestros valores tenemos un total de 97,5 ml; es importante entender que el mecanismo provee información crucial para el entendimiento de la lesión. El paciente sufrió una colisión contra el pavimento luego de salir proyectado de su bicicleta, dando una vuelta aproximada de 270° para finalmente impactar con la región occipital en contra de la porción rocosa de la carretera, lo cual nos permite concluir con total seguridad que esta fue la causa del hematoma epidural. Posterior a ello se elaboró un plan de tratamiento en el cual se decide su operación quirúrgica en el tercer día de hospitalización. Para contextualizar el caso: paciente ingresa con un diagnóstico de Traumatismo craneoencefálico moderado con Glasgow: 12/15, Edema Cerebral, Hematoma epidural supra e infratentorial.


En su reporte operatorio se describe la técnica y procedimiento utilizado: encontrando un hematoma epidural de aproximadamente 100 cc. el cual se evacua en su totalidad (Ver figura 3).

En el primer día postoperatorio el paciente posee un Glasgow de 15/15, teniendo una evolución favorable y recibiendo tratamiento profiláctico antibacteriano (clindamicina 300 mg cada 8 horas y ceftriaxona 1 g cada 24 horas), antiepiléptico y neuro-protector (sulfato de magnesio 1 amp a 30 gotas y fenitoína 50 mg cada 8 horas) y para la reducción del edema intracerebral se utilizó dexametasona 4 mg cada 8 horas y manitol 20% 50 cc. Los siguientes días continuo con la evolución favorable hasta ser dado de alta el séptimo día postoperatorio (Ver figura 4).

DISCUSIÓN
La decisión de someter a una intervención quirúrgica un hematoma epidural de fosa posterior depende de factores bastante descritos en adultos; sin embargo para pacientes pediátricos no está muy claro cuándo debe someterse a una intervención quirúrgica, ya que la evolución es distinta en comparación con los adultos5. Para un manejo adecuado de un traumatismo craneoencefálico es necesario identificar una clínica temprana y características radiológicas como una tomografía cerebral para determinar el hematoma epidural; pero si existe ausencia de efecto masa y un volumen menor a 30 ml en la tomografía de entrada y sin déficits neurológicos en la presentación predice un bajo riesgo de deterioro y puede darse un manejo médico6,7. Dentro de los síntomas en pacientes pediátricos son náuseas y vómitos en mayor medida, seguidos de tumefacción occipital, dolor de cabeza y signos cerebelosos, pérdida temporal de la conciencia y somnolencia8. En el caso de nuestro paciente presento cefalea, vómitos una hora después del traumatismo y tumefacción de la región occipital, con lo cual coincidimos con otros estudios; por otro lado debido a esta presentación clínica se pidió una tomografía cerebral sin contraste, para determinar el compromiso del sistema nervioso y para decidir pronta intervención quirúrgica, a pesar de que el paciente ingreso 2 días después del incidente con un cuadro agravado, se decidió inmediata intervención quirúrgica tras su ingreso: ya que un hematoma epidural diagnosticado y tratado dentro de pocas horas, posee una mortalidad estimada de 5 a 12 %7.
Teniendo presente los siguientes criterios como signos focales de efecto de masa, paciente asintomático, pero con hematoma mayor de 30 cm3, espesor de la lesión más de 15 mm o una desviación de línea media más de 5 mm, signos de herniación, anormalidad cardiorrespiratoria, anisocoria con un Glasgow menor de 9 y hematomas igual o mayor de 3 cm de diámetro9. Se decide la operación de nuestro paciente pediátrico debido a que el paciente presentaba un volumen de hematoma de 97,5 ml, una desviación de línea media de 6 mm. Otros estudios también recomiendan que si un hematoma epidural está en contacto con el seno Traverso y presenta signos y síntomas de efectos de masa, focalización y deterioro de la escala de Glasgow a pesar de que inicialmente este con un Glasgow de 14 o 15 es de una indicación quirúrgica10,11; como el caso de nuestro paciente que también lo presentaba. Tomando estas referencias se realizó una craniectomía suboccipital paracentral por debajo del inión y una craneotomía por encima del seno venoso transverso izquierdo; todo con la finalidad de poder respetar el recorrido de los senos transversos, la torcula y así extraer el hematoma epidural. Respecto a la posición de operación que fue en decúbito prono; sin embargo esta posición no es la ideal, ya que se recomienda una posición sentada, semisentada o decúbito supino lateral oblicuo con sujetador de Mayfield, la posición se adecuó en decúbito prono resultando satisfatoria9. Respecto al dato sobre que la operación se programó al tercer día del ingreso, esto se debe a que en nuestro centro no contábamos con un adecuado material para el manejo del caso de nuestro paciente; sin embargo estamos de acuerdo de que una pronta intervención quirúrgica disminuye las complicaciones posoperatorias11. Si bien es cierto que en esté presente caso no tomamos una tomografía cerebral de control para darle de alta al paciente; sugerimos que se de control posoperatorio inmediato, ya que usualmente se asocia a un hematoma epidural retrasado12. Finalmente es importante tomar una buena decisión quirúrgica, teniendo en cuenta las recomendaciones de estudios actuales y todos los medios disponibles que tenemos a nuestro alcance.
REFERENCIAS
1. Araki T, Yokota H, Morit A. Pediatric Traumatic Brain Injury: Characteristic Features, Diagnosis, and Management. Neurol Med Chir Tokyo [Internet]. 2017 [Citado el 6 de Agosto del 2019]; 57(2):82-93 Disponible en: https://www.ncbi.nlm.nih.gov/pubmed/28111406
2. GreenbergMark S. Pediatric Head Injury. Greenberg Mark S. Handbook of Neurosurgery. 9th Ed. New York: Thieme; 2019. p. 949-955
3. Verma SK, Borkar SA, Kumar P, Tandon V, Kumar H, Sinha S, et al: Traumatic Posterior Fossa Extradural Hematoma: Experience at Level 1 Trauma Center Asian J Neurosurg [Internet]. 2018 [Citado el 9 de Agosto del 2019]; 13(2):227-232. Disponible en: https://www.ncbi.nlm.nih.gov/pmc/articles/PMC5898084/
4. Gamal HS. Trauma Craneocefálico Severo. Medicrit [Internet] 2005 [Citado el 09 de Agosto del 2019]: 2(7):107-148. Disponible en: http://www.medicrit.com/index.php/mrmc/article/view/48
5. Bounajem MT, Samples DC, Wallace DJ, Tavakoli S, Liao L, Tarasiewicz I. Management of epidural hematomas in pediatric patients presenting with a GCS of 14 or better. J. Clin. Neurosci [Internet]. 2019 [Citado el 10 de agosto del 2019]; 70:118-122. Disponible en: https://www.ncbi.nlm.nih.gov/pubmed/31421993
6. Flaherty BF, Moore HE, Riva-Cambrin J, Bratton SL. Pediatric patients with traumatic epidural hematoma at low risk for deterioration and need for surgical treatment. J Pediatr Surg. [Internet]. 2016 [Citado el 8 de agosto del 2019] 52 (2): 334-339. Disponible en: https://www.sciencedirect.com/science/article/abs/pii/S0022346816303268
7. Christine Mau, Shelly Timmons. Traumatic Brain Injury. Nitin Agarwal. Neurosurgery fundamentals 1st Ed. New York:Thieme; 2019.p.130-149
8. Sencer A, Aras Y, Akcakaya MO, Goker B, Kiris T, Canbolat AT. Posterior fossa epidural hematomas in children: Clinical experience with 40 cases. Clinical article. J Neurosurg Pediatric. [Internet]. 2012 [Citado el 8 de Agosto del 2019]; 9:139-143. Disponible en: https://www.ncbi.nlm.nih.gov/pubmed/22295917
9. Yilmazlar S, Kocaeli H, Dogan S, Abas F, Aksoy K, Korfali E, Doygun M. Traumatic epidural haematomas of nonarterial origin: analysis of 30 consecutive cases. Acta Neurochir (Wien) [Internet]. (2005) [Citado el 14 de agosto del 2019]; 147(12): 1241-1248 Disponible en: https://www.ncbi.nlm.nih.gov/pubmed/16133767
10. Gerlach R, Dittrich S, Schenider W, Ackermann H, Seifert V, Kieslich M. Traumatic epidural hematomas in children and adolescents: outcome analysis in 39 consecutive unselected cases. Pediatr Emerg Care. [Internet]. 2009 [Citado el 13 de agosto del 2019]; 25 (3): 164-169. Disponible en: https://europepmc.org/article/med/19262419
11. Talbott JF, Gean A, Yuh EL, Stiver SI. Calvarial Fracture Patterns on CT Imaging Predict Risk of a Delayed Epidural Hematoma following Decompressive Craniectomy for Traumatic Brain Injury. AJNR. [Internet]. 2014 [Citado el 8 de agosto del 2019]; 35 (10): 1930-5. Disponible en: https://www.ncbi.nlm.nih.gov/pubmed/24948502
12. Berg A, Voigt B, Kaul S. Delayed evolving epidural hematoma in the setting of a depressed skull fracture: A case report and review of the literature. TCR. [Internet]. 2019 [Citado el 14 de agosto del 2019]; 22: 100193. Disponible en: https://www.ncbi.nlm.nih.gov/pmc/articles/PMC6606925/
Notas
______
Notas de autor
Enlace alternativo
http://www.scielo.org.bo/scielo.php?script=sci_arttext&pid=S1817-74332021000200143&lng=es&nrm=iso (html)