CASOS CLÍNICOS
Recepción: 13 Septiembre 2021
Aprobación: 14 Diciembre 2021
DOI: https://doi.org/10.51581/rccm.v24i2.404
Resumen: El neumotorax y neumomediastino son complicaciones muy raras que se presentan en el contexto del COVID-19, pero es más raro aún que se presenten ambas al mismo tiempo. Presentamos el caso de un paciente infectado con SARS-COV-2 con antecedente de Linfoma no Hodgkin en tratamiento. La tomografía de tórax reveló neumotorax asociado a neumomediastino, además de enfisema subcutáneo. Como tratamiento se colocaron sondas torácicas bilaterales. A pesar de que el neumotorax y neumomediastino son consideradas patologías auto-limitantes, en este caso el paciente falleció.
Palabras clave: Neumomediastino, Neumotórax, enfisema subcutáneo, COVID-19.
Abstract: Pneumothorax and pneumomediastinum are very rare complications that occur in the context of COVID-19, however it is even more rare for them to occur at the same time. We present the case of a patient infected with SARS-COV-2 with a history of non-Hodgkin's Lymphoma under treatment. Chest CT revealed pneumothorax associated with pneumomediastinum, in addition to subcutaneous emphysema. As treatment, bilateral chest tubes were placed. Although pneumothorax and pneumomediastinum are considered self-limiting pathologies, in this case the patient died.
Keywords: pneumomediastinum, pneumothorax, subcutaneous emphysema, coronavirus.
INTRODUCCIÓN
En la pandemia por el COVID-19 (Coronavirus Disease 2019), causada por el nuevo coronavirus que afecta predominantemente los pulmones, desde una neumonía leve hasta neumonía grave con múltiples focos de consolidaciones; como complicaciones raras se encuentran el neumotorax con neumomediastino de diferentes extensiones, siendo la fisiopatología y causas variadas1. Presentamos un caso clínico de un paciente inmunodeprimido en tratamiento de Linfoma no Hodgkin con COVID-19 confirmado, quien presentó neumonía grave y en el control evolutivo neumomediastino severo y neumotórax asociado.
La tomografía tiene alto rendimiento en el diagnóstico de COVID-19, ya que demuestra el compromiso pulmonar por la presencia de patrones típicos, por un sistema conocido mundialmente propuesto por la Sociedad Holandesa y Americana de radiología: el CORADS, con muy buena relación inter observador en las puntuaciones 1 y 5. El CORADS 1 con baja sospecha de tratarse de COVID-19 por hallazgos no infecciosos y en otro extremo CORADS 5 con patrón típico altamente sospechoso de neumonía COVID-192.
En este caso clínico se discutirán las posibles causas de neumotórax y neumomediastino como complicaciones no frecuentes de COVID-19, así como también su hipótesis fisiopatológica y enfoque de conducta.
PRESENTACION DEL CASO
Paciente masculino de 62 años de edad ingresa a servicio de emergencia del Hospital Elizabeth Seton en Bolivia con cuadro clínico de aproximadamente una semana de evolución, caracterizado por alzas térmicas no cuantificadas, escalofríos, tos seca esporádica, disnea de medianos esfuerzos y baja saturación de oxígeno al momento de la consulta. Tiene antecedentes de Linfoma no Hodgkin diagnosticado hace 1 año, terminó esquema 3 de quimioterapia 1 mes previo a la consulta; no tiene antecedentes de tabaquismo. Por todo lo descrito, se decide su internación con manejo sintomático y oxigenoterapia.
Al examen físico se evidenció en el paciente malestar general. Signos vitales al ingreso Tensión Arterial: 110/60 mmHg, Pulso: 95 pm, Frecuencia Respiratoria: 22 pm, Temperatura: 37.5C; la saturación inicial de oxígeno fue del 86% con aire ambiente y mejoró a 92% con mascarilla a un caudal de 1 L/min. A la auscultación se evidencia murmullo vesicular disminuido en ambos campos pulmonares y crépitos en ambas bases.
En los laboratorios de ingreso se evidencia proteína C reactiva de 48 mg/L, glóbulos rojos: 3.32 x106 uL, leucocitos 5100 uL, linfocitos 16 %, plaquetas 79000 uL, hemoglobina 9.9 g/dl.
La tomografía de ingreso mostró infiltrados intersticio-acinares de tipo vidrio deslustrado, de distribución difusa en ambos campos pulmonares más evidentes en bases pulmonares sin tendencia a consolidación al momento, con puntuación de CORADS 5, neumonía moderada por lo cual se decide aislamiento especial en sala COVID. Paciente recibe medidas terapéuticas de soporte: dexametasona 6mg vía endovenosa cada 24 horas, enoxaparina 40mg vía subcutánea cada 24 horas, ceftriaxona 1 g vía endovenosa cada 12 horas y Levofloxacina 500mg vía oral cada 24 horas. Posteriormente la prueba RT/PCR dio positivo para COVID-19 confirmando la enfermedad.
El 9° día de internación el paciente muestra deterioro clínico con mayor dificultad respiratoria, saturación de 90% con oxígeno por mascarilla a 10 L/min, por lo que se transfunde un paquete de plasma hiperinmune. Posteriormente la evolución es estacionaria por 10 días; sin embargo en su 25vo día de internación presentó mayor dificultad respiratoria, con saturación de oxigeno del 65% por mascarilla a un caudal de 15 L/ min.
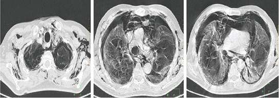
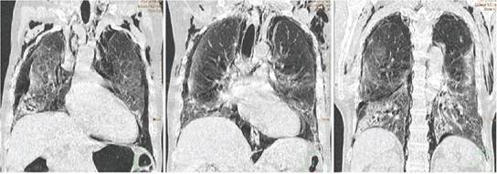
Debido a esto se decide tomografía urgente de control, la cual mostró un neumotórax bilateral de grado moderado asociado a un importante neumomediastino, enfisema subcutáneo en partes blandas de cuello y regiones escapulares, colapso parcial no mayor al 70% de ambos pulmones y la persistencia de infiltrados intersticio-acinares con tendencia a consolidación en bases pulmonares (Ver Figura 1, 2 y 3). Por todo lo anterior se decidió la colocación de sondas torácicas bilaterales inmediatamente. Ante el cuadro progresivo desfavorable que demostró el paciente, se realiza valoración por unidad de cuidados intensivos y durante el traslado al mismo llega a fallecer.



Conflicto de intereses: No existe ningún conflicto de intereses y se tiene el consentimiento de los familiares del paciente.
DISCUSIÓN
El neumomediastino espontáneo y neumotórax son la presencia de aire libre en el mediastino y en la cavidad torácica respectivamente3, 6, 7. Son patologías poco frecuentes consecuentes a neumonía por COVID-19, que según los estudios ocurre en 1 a 2% de los pacientes3. Están caracterizadas por ser benignas y autolimitadas, su mecanismo aún no está completamente aclarado, sin embargo se puede explicar por medio del efecto Macklin, que se describe como la salida del aire hacia el mediastino siguiendo una gradiente de presión a lo largo de las vainas broncoalveolares desencadenado por el aumento de la presión intraalveolar que lleva a la ruptura alveolar8. Dentro de las causas predisponentes de esta patología están: enfermedades pulmonares intersticiales, asma, enfisema pulmonar, bronquiectasias quísticas, enfermedades quísticas del pulmón, cáncer de pulmón, infecciones pulmonares graves que causan neumatoceles, tos severa, cetoacidosis diabética, ERGE (enfermedad por reflujo gastroesofágico), inhalación de drogas3,5, 7, 9
En este caso el paciente descrito tenía como antecedentes de importancia neumonía grave por COVID-19 y Linfoma no Hodgkin en tratamiento, que marcarían como un proceso inflamatorio severo del pulmón de afectación intersticial que probablemente haya llevado a la formación de neumatoceles múltiples y estos hayan generado el efecto fisiopatológico de Macklin y por lo tanto el subsecuente desarrollo de neumotórax y neumomediastino asociado por la ruptura de dichos neumatoceles.
Dentro de otras causas descritas en la literatura se encuentran traumatismo traqueal y/o torácico, perforación de órgano hueco (esófago), barotrauma secundario a ventilación mecánica, post cirugía torácica4,10.
En caso de neumotórax la conducta dependerá de la extensión y compromiso del mismo para la colocación de tubos torácicos o cirugía torácica en el peor de los casos; si se tratara de neumotórax a tensión por ejemplo6.
Varios autores y publicaciones mencionan que la conducta en general, en el caso presentado de neumotórax y neumomediastino es la oxigenoterapia, analgesia si fuera necesario y el seguimiento estricto de los mismos. La mayoría de las veces el neumotórax y neumomediastino no son muy extensos y la conducta es observacional9,11
Para ello la imagen juega un papel preponderante en el diagnóstico oportuno, caracterización en la extensión del mismo y en el control, pudiendo utilizarse la radiografía y tomografía con mayor sensibilidad y especificidad como fue en el caso presentado. El neumotórax si bien no era a tensión al momento y no causaba colapso importante de los pulmones, el neumomediastino si abarcaba varios planos mediastinales, incluso pericárdico. Por la probabilidad de alteración hemodinámica se decide actuación inminente por lo que la conducta en primera instancia fue la colocación de tubos torácicos bilaterales12.
Se describe que el neumotórax y neumopericardio a tensión son raros y excepcionales, siendo en estos casos los que necesitan tratamiento específico como drenajes torácicos o toracostomía con tubo. Se demostró que este tratamiento quirúrgico es más efectivo con resolución mucho más rápida del problema, dejando en claro que también se debe tratar el problema desencadenante (en este caso la neumonía por COVID-19) y estabilizar al paciente para que los resultados sean efectivos y favorables13, 14.
Es así que autores publicaron serie de casos de hasta 20 pacientes y otra serie de 10 pacientes COVID-19 positivos con neumotórax y neumomediastino, demostrando en más de la mitad de los casos que la evolución fue favorable con medidas de soporte y solo en un tercio la evolución fue desfavorable, como en nuestro caso llegando a fallecer3, 13.
El cuadro mixto de neumotórax y neumomediastino se presentó más frecuentemente en varones. En caso de presentarse por separado supone un cuadro más limitado y pudiera considerarse menos grave, a diferencia de un cuadro mixto que es de pronóstico desfavorable3.
CONCLUSIÓN
Se concluye que el desenlace en nuestro paciente es debido a los factores predisponentes y posibles causas que presentaba, además de la presencia de ambas patologías, las cuales solo empeoraron el pronóstico. El tratamiento si bien en la mayoría de los pacientes es expectante y conservador, en el caso de nuestro paciente se colocaron sondas torácicas bilaterales. A pesar de que el desenlace en más de la mayoría de los pacientes es favorable, en nuestro paciente lo condujo a la muerte.
REFERENCIAS
1. Zhou C, Gao C, Xie Y, Xu M. COVID-19 with spontaneous pneumomediastinum. The Lancet Infectious Diseases. [Internet]. 2020 [citado 12 septiembre 2020]; 20 (4): 1-2. Disponible en: https://www.thelancet.com/journals/laninf/article/PIIS1473-3099(20)30156-0/fulltext
2. Castillo A.F., Bazaes N.D., Huete G.Á. Radiología en la Pandemia COVID-19: Uso actual. Rev Chil Radiol [Internet]. 2020 [citado 12 septiembre 2020]; 26(3): 1-12. Disponible en: https://scielo.conicyt.cl/scielo.php?script=sci_arttext&pid=S0717-93082020000300088
3. Quincho-Lopez, A., Quincho-Lopez, D., & Hurtado-Medina, F. Case Report: Pneumothorax and Pneumomediastinum as Uncommon Complications of COVID-19 Pneumonia-Literature Review. The American Journal of Tropical Medicine and Hygiene [Internet]. 2020 [citado 2 septiembre 2020]; 103 (3): 1170-1176. Disponible en: https://doi.org/10.4269/ajtmh.20-0815
4. Romano N, Fischetti A, Melani E. Pneumomediastinum Related to Covid-19 Pneumonia. Journal of Cleaner Production [Internet]. 2020 [citado 12 septiembre 2020]; 360 (6): 1-3. Disponible en: https://doi.org/10.1016/j.amjms.2020.06.003
5. Prokop M, Everdingen W, Rees Vellinga T, Quarles van Ufford, Stoger L, Neenen L, et al. CORADS: A Categorical CT Assessment Scheme for Patients Suspected of Having COVID-19-Defifinition and Evaluation. Radiology [Internet]. 2020 [citado 12 septiembre 2020]; 296 (2): 1-8. Disponible en: https://doi.org/10.1148/radiol.2020201473
6. Varela Patiño M, Torres Blanco B. Neumomediastino y enfifisema subcutáneo en relación con la pandemia por SARS-CoV-2. Med Gen Fam [Internet]. 2020 [citado 12 septiembre 2020]; 9(3): 162-164. Disponible en: https://dx.doi.org/10.24038/mgyf.2020.026
7. Murayama S, Gibo S. Spontaneous pneumomediastinum and Macklin effffect: Overview and appearance on computed tomography. World Journal of Radiology [Internet]. 2020 [citado 12 septiembre 2020]; 6 (11): 850-854. Disponible en: https://doi.org/10.4329/wjr.v6.i11.850
8. Kelly S, Hughes S, Nixon S, Paterson-Brown S. Spontaneous pneumomediastinum (Hamman's syndrome). The Surgeon [Internet]. 2020 [citado 12 septiembre 2020]; 8 (2): 63-66. Disponible en: https://doi.org/10.1016/j.surge.2009.10.007
9. Kolani S, Houari N, Haloua M, Alaoui Lamrani Y, Boubbou M, et al. Spontaneous pneumomediastinum occurring in the SARSCOV-2 infection. IDCases [Internet]. 2020 [citado 12 septiembre 2020]; 21: 1-4. Disponible en: https://doi.org/10.1016/j.idcr.2020.e00806
10.Mohan V, Tauseen R. Spontaneous pneumomediastinum in COVID-19. BMJ Case Reports [Internet]. 2020 [citado 12 septiembre 2020]; 13 (5): 1-2. Disponible en: https://casereports.bmj.com/content/13/5/e236519
11. Gorospe L, Ayala Carbonero A, Ureña Vacas, Fernandez S, Muñoz Molina G.M, et al. Neumomediastino espontáneo en pacientes con COVID-19: una serie de cuatro casos. Arch Bronconeumol [Internet]. 2020 [citado 12 septiembre 2020]; 44 (9): 591-592. Disponible en: https://doi.org/10.1016/j.arbres.2020.06.008
12. González Pacheco H, Gopar Nieto R, Jiménez Rodríguez G, Manzur Sandoval D, Sandoval J, Arias Mendoza A. Bilateral spontaneous pneumothorax in SARS-CoV-2 infection: A very rare, life-threatening complication. American Journal of Emergency Medicine [Internet]. 2020 [citado 12 septiembre 2020]. Disponible en: https://doi.org/10.1016/j.ajem.2020.07.018
13. Eperjesiova B, Hart E, Shokr, M, Sinha P, Ferguson G. Spontaneous Pneumomediastinum/Pneumothorax in Patients With COVID-19. Cureus [Internet]. 2020 [citado 12 septiembre 2020]; 12 (7): 1-4. Disponible en: https://doi.org/10.7759/cureus.8996
14. Mallick T, Dinesh A, Engdahl R, Sabado M. COVID-19 Complicated by Spontaneous Pneumothorax. Cureus [Internet]. 2020 [citado 12 septiembre 2020]; 12 (7): 1-8. Disponible en: https://doi.org/10.7759/cureus.9104
Notas
_______
Notas de autor
Enlace alternativo
http://www.scielo.org.bo/scielo.php?script=sci_arttext&pid=S1817-74332021000200148&lng=es&nrm=iso (html)