CASOS CLÍNICOS
Wolf parkinson white y neurofibroma mediastinal: reporte de caso
Wolf parkinson white and mediastinal neurofibroma: case report
Wolf parkinson white y neurofibroma mediastinal: reporte de caso
Revista Científica Ciencia Médica, vol. 24, núm. 2, pp. 173-177, 2021
Universidad Mayor de San Simón
Recepción: 17 Abril 2021
Aprobación: 21 Noviembre 2021
Resumen: El síndrome de Wolf Parkinson White es una alteración congénita de la conducción con una clínica variada que van desde arritmias asintomáticas hasta muerte súbita cardíaca. Con una prevalencia en la población general que oscila entre el 0,1% y el 3%, la fisiopatología de esta anomalía es la vía accesoria entre las aurículas y los ventrículos. En el electrocardiograma presenta intervalos PR corto, síntomas por episodios de Taquicardia Supraventricular y/o Fibrilación Auricular y onda delta, lo que puede darnos una idea clara de la ubicación de la vía accesoria. Teniendo en cuenta la complicación arrítmica en Wolf Parkinson White, estos pacientes se presentan como taquicardias de reentrada auriculoventricular , Taquicardia por reentrada nodal auriculoventricular (AVNRT) o taquicardia de QRS ancho. En el tratamiento agudo se deben seguir los protocolos para cada tipo de arritmia. El tratamiento de primera línea es la ablación de la vía accesoria mediante catéter de radiofrecuencia.
Palabras clave: Síndrome de Wolff-Parkinson- White, Informes de Casos, Neurofibroma.
Abstract: Wolf Parkinson-White syndrome is a congenital conduction disturbance with a varied clinical presentation ranging from asymptomatic arrhythmias to sudden cardiac death. Its prevalence in the general population ranges from 0.1% to 3%. The pathophysiology of this anomaly is the accessory pathway between the atria and ventricles. In the electrocardiogram it presents short PR intervals, symptoms due to episodes of Supraventricular Tachycardia and/or Atrial Fibrillation and delta wave, which can give us a clear idea of the location of the accessory pathway. Considering the arrhythmic complication in Wolf Parkinson-White, these patients present as Atrioventricular Reentrant Tachycardia, Atrioventricular Nodal Reentrant Tachycardia or wide QRS tachycardia. In acute treatment, the protocols for each type of arrhythmia should be followed. The first-line treatment is ablation of the accessory pathway by radiofrequency catheter.
Keywords: Wolff-Parkinson- White Syndrome, Case Reports, Neurofibroma.
INTRODUCCIÓN
El patrón de Wolff Parkinson White (WPW) es la forma de presentación más común de pre-excitación ventricular1; trastorno del sistema de conducción cardíaca que se caracteriza por vías de conducción accesorias anormales entre las aurículas y los ventrículos2. Con una prevalencia en la población general que oscila entre el 0,1% y el 3%3 . que predispone a los pacientes a episodios recurrentes de taquicardia supraventricular paroxística, denominada Taquicardia Ortodrómica Reentrante y con menor frecuencia fibrilación auricular; aumentando el riesgo de paro cardíaco o muerte cardíaca súbita4. El diagnóstico de WPW generalmente se produce mediante electrocardiograma (EKG)2, debido a que WPW es una enfermedad poco común, con potencial riesgo de muerte súbita. Presentamos el caso de una paciente femenina de 31 años que presentó una plétora de síntomas relacionados a WPW concomitante a la extirpación postquirúrgica de un Neurofibroma Mediastinal.
PRESENTACIÓN DEL CASO
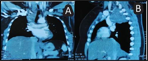
Paciente femenina 31 años de edad, con masa mediastinal posterior que desplaza estructuras adyacentes a la vía aérea (Ver Figura 1 A y B), sin antecedentes de mareo, síncope, palpitaciones; fue ingresada con plan de realizar exéresis de la masa, la que fue realizada por toracotomía posterolateral derecha, abordando la cavidad torácica y extrayendo masa pétrea y nodular adherida a pulmón, sin complicaciones transoperatorias inmediatas, con un electrocardiograma inicial sin alteración, se traslada a la Unidad Cuidados Intensivos (UCI), para soporte de ventilación mecánica invasiva durante 24 horas, se realiza extubación, presentando buena tolerancia y traslada a cuidados intermedios. Al día siguiente, la paciente presenta sincope, asociado a episodios de taquicardia alternando entre fibrilación auricular y taquicardia ventricular sin inestabilidad hemodinámica (Ver Figura 2-A), requiriendo oxigenación con sistema de alto flujo e infusión de amiodarona hasta lograr la reversibilidad de arritmias cardiacas; a nivel del electrocardiograma se observa la persistencia del ritmo de preexcitación (Onda Delta), que caracteriza al Síndrome de WPW (Ver Figura 2-B).

Fuente: Elaboración propia.

Fuente: Elaboración propia.
Durante la hospitalización se continuo el manejo amiodarona vía oral 200 mg cada 12hrs.
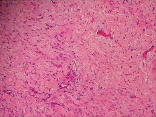
El reporte histopatológico de la masa reporto tejido mesenquimal benigno compatible con Neurofibroma. (Ver Figura 3)

Fuente: Elaboración propia.
La paciente evoluciono asintomática y será evaluada periódicamente con control ambulatorio, valorándose la posibilidad de ablación de la vía accesoria según criterio de cardiología.
DISCUSIÓN
El WPW es el más frecuente de los síndromes de preexcitación con una prevalencia que oscila entre el 0,1% y el 3% de la población general3. Se caracteriza por una vía accesoria (vía de derivación) entre las aurículas y los ventrículos que conduce en paralelo con el haz de His del nódulo auriculoventricular (AV) pero más rápido5; resultado que deriva de la segmentación incompleta del tubo cardíaco embriológico y la formación de un anillo auriculoventricular fibrótico durante el desarrollo cardíaco fetal6.
Aunque la gran mayoría de los casos la etiología es desconocida, la herencia es autosómica dominante, siendo descrito en pocos casos el gen PRKAG2 5,7.
En el electrocardiograma (EKG) presenta intervalos PR corto, onda delta y síntomas por episodios de Taquicardia Supraventricular y/o Fibrilación Auricular8.
La diferencia entre el patrón WPW y el síndrome WPW radica en que el primero es asintomático siendo incidental el hallazgo, mientras tanto en el segundo se acompaña de síntomas, como episodios de mareos, palpitaciones, sincope o paro cardiorrespiratorio9.
Los pacientes con síndrome de WPW pueden agruparse en 3 categorías según el tipo de arritmia; en un 80% las taquicardias de reentrada auriculoventricular (AVRT) divididas en conducción ortodrómica y antidrómica; en 20% la fibrilación o aleteo auricular10. Para lo cual se recomiendan diferentes estudios como el ecocardiograma, el Holter, la ergometría y el estudio electrofisiológico9.
En cuanto al manejo terapéutico para mejorar la calidad de vida del paciente hay que tratar y prevenir la recurrencia de los episodios agudos de taquiarritmias. En el tratamiento agudo se deben seguir los protocolos para cada tipo de arritmia; la maniobra vagal es la primera opción en la mayoría de los casos, en ausencia de contraindicaciones. En relación a la terapia farmacológica, los antiarrítmicos más utilizados son: Adenosina, Propafenona y Amiodarona10,11.
Debemos evitar el uso de digitálicos, betabloqueadores y bloqueadores de los canales de calcio, debido al riesgo de bloqueo del nódulo auriculoventricular que libera la vía accesoria, que puede precipitar la fibrilación ventricular 10,11.
En pacientes sintomáticos que tienen recurrencias frecuentes de taquiarritmias, el tratamiento de primera línea es la ablación de la vía accesoria mediante catéter de radiofrecuencia; este método se utiliza con mayor frecuencia, es seguro y tiene bajas tasas de complicaciones10-12.
Otra opción es a través de la crioablación para la ablación de las vías accesorias cercanas a las vías de conducción normales, para ello el criomapeo está diseñado para realizarlo de una manera precisa y asegurar la ausencia de complicaciones6.
A pesar que el pronóstico es favorable cuando el diagnóstico y tratamiento es oportuno, alrededor del 0,1% pueden presentar muerte súbita 12.
Es por esto que varios estudios describen técnicas para estratificar el riesgo, la electrocardiografía, la monitorización Holter ambulatoria y la prueba de esfuerzo (EST) son pruebas no invasivas, que son parte de la práctica clínica habitual para la evaluación del riesgo en los pacientes con WPW. Por otro parte el estudio electrofisiológico invasivo (EEF) ayuda a determinar el periodo refractario efectivo de la vía accesoria (APERP) y el intervalo R-R preexcitado más corto durante la fibrilación auricular (SPERRI)13. La conducción anterógrada rápida caracterizada por un APERP ≤250 ms o un SPERRI ≤ 250 ms durante la fibrilación auricular ha sido generalmente aceptada para definir a los pacientes con WPW de alto riesgo14.
Sin embargo, en la literatura son pocos los tumores que pueden asociarse a WPW como el Rabdomioma, cardiomiopatía histiocitoide o malformaciones congénitas como la malformación de Ebstein. Se necesitan más estudios para asociar el neurofibroma mediastinal como uno de ellos 2,15.
CONCLUSIÓN
El conocimiento y uso de drogas antiarrítmicas permitieron el control oportuno y el manejo exitoso de caso, con el objetivo de realizarle en el futuro la ablación con radiofrecuencia de la vía accesoria lo que permitirá disminuir el riesgo de muerte súbita.
REFERENCIAS
1. Jiménez Solera MP, Quesada Aguilar CI. Síndrome de preexcitación: Wolff Parkinson White. Rev Clinica la Esc Med UCR-HSJD [Internet]. 2019 [Citado el 9 de Noviembre de 2020]; 9(2):129-31. Disponible en: https://revistas.ucr.ac.cr/index.php/clinica/article/view/37330
2. Rao AL, Salerno JC, Asif IM, Drezner JA. Evaluation and Management of WolffParkinson-White in Athletes. Sports Health [Internet]. 2014 [Citado el 9 de Noviembre de 2020]; 6(4):326-32. Disponible en: https://www.ncbi.nlm.nih.gov/pmc/articles/PMC4065555/
3. Batancourt Reyes GL, Betancourt Betancourt G de J, González Pérez ÁA. Síndrome de Wolff Parkinson White: reporte de un caso. Rev Cuba Med Int Emerg [Internet]. 2017 [Citado el 9 de Noviembre de 2020]; 16(2):48-56. Disponible en: http://www.revmie.sld.cu/index.php/mie/article/view/203/html_92
4. Benson DW, Cohen MI. Wolff-Parkinson-White syndrome: Lessons learnt and lessons remaining. Cardiol Young [Internet]. 2017 [Citado el 9 de Noviembre de 2020]; 27(S1): S62-7. Disponible en: 10.1017/S1047951116002250
5. Sapra A, Albers J, Bhandari P, Davis D, Ranjit E. Wolff-Parkinson-White Syndrome: A Master of Disguise. Cureus [Internet]. 2020 [Citado el 9 de Noviembre de 2020]; 12(6):1-5. Disponible en: https://doi.org/10.7759/cureus.8672
6. Ali R, Tahir A, Nadeem M, Shakhatreh MI, Faulknier B. Antidromic Atrioventricular Reentry Tachycardia with Wolff Parkinson White Syndrome: A Rare Beast. Cureus [Internet]. 2018 [Citado el 9 de Noviembre de 2020]; 10(5):1-6. Disponible en: https://www.ncbi.nlm.nih.gov/pmc/articles/PMC6050167/
7. Rivera-Rodríguez L. Síndrome de Wolff-Parkinson-White en edad pediátrica. Rev Invest Med Sur Mex. 2015; 22(4):210-3.
8. Cis-Spoturno A, Valenzuela-Candelario L, López-Zea M, DeBeas-Jiménez JD. Preexcitación ventricular: difificultad en el tratamiento de un caso de Wolff-Parkinson-White en un deportista. Rev Andal Med Deport [Internet]. 2014 [Citado el 9 de Noviembre de 2020]; 7(2):90-3. Disponible en: http://dx.doi.org/10.1016/S1888-7546(14)70068-1
9. Medrano Plana Y, Castillo Marcillo ÁR, Chávez González D. Patrón de Wolff-Parkinson-White en joven atleta de élite: Algoritmo a seguir. CorHealth. [Internet]. 2020 [Citado el 9 de Noviembre de 2020]; 12(1):99-103. Disponible en: http://scielo.sld.cu/scielo.php?script=sci_arttext&pid=S2078-71702020000100099&lng=es
10. Bengali R, Wellens HJJ, Jiang Y. Perioperative Management of the Wolff-Parkinson-White Syndrome. J Cardiothorac Vasc Anesth [Internet]. 2014 [Citado el 9 de Noviembre de 2020]; 28(5):1375-86. Disponible en: http://dx.doi.org/10.1053/j.jvca.2014.02.003
11. Ferreira Camilo G, Abreu De Carvalho C, Rocha De Souza H, Assunção IN, Toitio JA, Barbosa Meira O, et al. Wolff Parkinson White Síndrome: Case Report. Brazilian J Surg Clin Res. 2019; 28(2):36-8.
12. Teixeira CM, Pereira TA, Lebreiro AM, Carvalho SA. Accuracy of the electrocardiogram in localizing the accessory pathway in patients with Wolff-Parkinson-White-Pattern. Arq Bras Cardiol [Internet]. 2016 [Citado el 9 de Noviembre de 2020]; 107(4):331-8. Disponible en: https://www.ncbi.nlm.nih.gov/pmc/articles/PMC5102479/
13. Wackel P, Irving C, Webber S, Beerman L, Arora G. Risk Stratifification in Wolff-Parkinson-White Syndrome: The Correlation Between Noninvasive and Invasive Testing in Pediatric Patients. Pacing Clin Electrophysiol [Internet]. 2012 [Citado el 9 de Noviembre de 2020]; 35(12):1451-1457. Disponible en: https://doi.org/10.1111/j.1540-8159.2012.03518.x
14. Koca S, Pac F, Kavurt A, Cay S, Mihcioglu A, Aras D et al. Transesophageal and invasive electrophysiologic evaluation in children with Wolff-Parkinson-White pattern. Pacing Clin Electrophysiol [Internet]. 2017 [Citado el 9 de Noviembre de 2020]; 40(7):808-814. Disponible en: https://doi.org/10.1111/pace.13100
15. Jayaprakash S. Clinical presentations, diagnosis, and management of arrhythmias associated with cardiac tumors. J Arrhythmia [Internet]. 2018 [Citado el 9 de Noviembre de 2020]; 34(4):1-10. Disponible en: https://www.ncbi.nlm.nih.gov/pmc/articles/PMC6111472/
Notas
_______
Notas de autor
Enlace alternativo
http://www.scielo.org.bo/scielo.php?script=sci_arttext&pid=S1817-74332021000200173&lng=es&nrm=iso (html)