Editorial
Recepción: 01 Marzo 2016
Aprobación: 01 Marzo 2016
Resumen: Se presenta una lista revisada y actualizada de las 23 especies de triatominos (Hemiptera-Heteroptera, Reduviidae) vectores de la enfermedad de Chagas (tripanosomiasis americana) conocida en Venezuela. Éstas se encuentran agrupadas en 5 tribus (Alberproseniini, Bolboderini, Cavernicolini, Rhodnini, Triatomini) y 9 géneros (Alberprosenia spp., Belminus spp., Microtriatoma spp., Cavernicola spp., Psammolestes spp., Rhodnius spp., Eratyrus spp., Panstrongylus spp., Triatoma spp.). Se da la distribución, aspectos históricos, taxonómicos y sistemáticos, bio-ecológicos, sanitarios y referencias bibliográficas para cada taxón mencionado. Asimismo, se resaltan las necesidades de investigación para el territorio nacional.
Palabras clave: Triatominos, tripanosomiasis americana, catálogo, Venezuela.
Abstract: A revised and updated list of the 23 known species of triatomine bugs (Hemiptera-Heteroptera, Reduviidae) vectors of the Chagas disease (American trypanosomiasis) in Venezuela is presented. They are arranged in five tribes (Alberproseniini, Bolboderini, Cavernicolini, Rhodnini, Triatomini) and 9 genera (Alberprosenia spp., Belminus spp., Microtriatoma spp., Cavernicola spp., Psammolestes spp., Rhodnius spp., Eratyrus spp., Panstrongylus spp., Triatoma spp.). Distributional, historic, taxonomic and sistematic, bio-ecological, sanitary data as well as bibliographical references of each taxon are also included. Likewise, research needs on Venezuelan triatomine bugs is highlighted.
Keywords: Triatomine bugs, American trypanosomiasis, catalogue, Venezuela.
INTRODUCCIÓN
Dentro de los seres vivos (Biota, Vitae: vida) compuestos de células (Cytota, vida celular), los triatominos presentan la siguiente ubicación taxonómica (sensu Ruggiero et al. 2015):
Superreino EUKARIOTA (Chatton, 1925) Whittaker y Margulis, 1978
Reino ANIMALIA Linnaeus, 1758
Infrareino PROTOSTOMIA Grobben, 1908
Subreino BILATERIA (Hatschek 1888) Cavaller-Smith, 1983
Superfilo ECDYSOZOA Aguinaldo et al. 1997 Ex Cavalier-Smith, 1998
Filo ARTHROPODA Latreille, 1829
Subfilo HEXAPODA Latreille, 1825
Clase INSECTA Linnaeus, 1758
Subclase PTERYGOTA Brauer, 1885
Infraclase NEOPTERA Martynov, 1923
Superorden PARANEOPTERA Martynov, 1925
Orden HEMIPTERA Linnaeus, 1758
Suborden HETEROPTERA Latreille, 1810
Infraorden CIMICOMORPHA Leston et al. 1954
Superfamilia REDUVIDOIDEA Latreille, 1807
Familia REDUVIIDAE Latreille, 1807
Subfamilia TRIATOMINAE Jeannel, 1919
De los 31 órdenes que abarcan la clase de los insectos (Rugiero et al. 2015), los triatominos se ubican en el orden Hemíptera, cuyo nombre proviene del griego ημι “hemi” ("mitad") y πτερον “pteron” ("ala"), debido a que sus alas anteriores se les denomina “hemiélitros” parcialmente endurecidas, con la mitad basal más coriácea o dura y la distal membranosa o más delgadas (Fig. 1); sin embargo, esta característica no la poseen todas las taxa de hemípteros, por lo que no se debe considerar como diagnosis para el Orden.
Los miembros del grupo tienen un aparato bucal adaptado para perforar y chupar (Fig. 2), y sería su característica morfológica diagnóstica; más específicamente, la presencia de una estructura cuticular denominada gula que separa las piezas bucales del protórax, y que les permite al grupo mover con facilidad el rostrum hacia adelante y succionar líquidos; esta trompa, rostro (rostrum) o aparato succionador sale de la parte frontal de la cabeza (Sorensen et al. 1995, Forero 2009, Galvão y De Paula 2014, Otálora-Luna et al. 2015). Actualmente, el orden Hemíptera se encuentra integrado por cuatro subórdenes, incluyendo Coleorrhyncha Myers y China, 1929, Auchenorrhyncha Duméril, 1806, Sternorrhyncha Duméril, 1806, los cuales anteriormente formaban el suborden Homóptera Latreille, 1810, y Heteróptera (True bugs) Latreille, 1810; aunque se debe indicar que esta clasificación a nivel de suborden se encuentra en un intenso debate y probablemente esta categoría desaparezca (Sorensen et al. 1995, Forero 2009, Galvão y De Paula 2014). El suborden Heteróptera (del griego heteros-diferente; alas dispares) comprende alrededor de 40.000 especies agrupadas en 86 familias, las cuales pueden habitar en ambientes terrestres, acuáticos incluyendo los marítimos. Las preferencias alimentarias de los Heterópteros es amplia, pudiendo ser fitófagos, los cuales se alimentan de savia de plantas; zoófagos o entomófagos, los cuales son predadores de otros artrópodos (quilópodos, Aranae, insectos) a los que les succionan la hemolinfa (hemolinfagia); hematófagos al requerir la sangre de vertebrados para su nutrición y oogénesis; en toda esta variedad alimentaria puede involucrar la monofagia, la alimentación mixta o el parasitismo (Sorensen et al. 1995, Forero 2009, Weinrauch et al. 2014).


Los triatominos son hemípteros-heterópteros pertenecientes a la familia Reduviidae (assassin bugs), la cual se encuentra integrada por cerca de 7.000 especies agrupadas en 25 subfamilias y 28 tribus de hemípteros predadores de distribución cosmpolita (Weinrauch et al. 2014); aunque se debe indicar que otros autores reconocen entre 21-29 subfamilias (Galvão y De Paula 2014). Dentro de las características de los redúvidos, destacan entre otras (cabeza alargada con un cuello angosto, patas largas, y un rostro o pico prominente y segmentado), la presencia en el proesterno de una cavidad denominada “surco estridulatorio” en el cual se fija o ajusta el rostro (Fig. 3), que al frotarlo contra los bordes produce un sonido o estridulación (Lent y Wygodzinsky 1979, Forero 2009).

Una de las características morfológicas más resaltantes de Triatominae es la posesión de un rostrum largo y recto (Fig. 2), con una conexión membranosa entre los dos últimos segmentos, y que les permite una amplia flexión del tercer segmento rostral cuando se alimentan (Lent y Wygodzinsky 1979, Schofield y Galvão 2009, Weinrauch et al. 2014); sin embargo, se debe acotar en primer término, que los triatominos no son los únicos redúvidos que poseen un rostro largo y recto (e.g., Apiomerinae Amyot y Serville, 1843; Physoderinae Miller, 1954; Reduviinae Latreille, 1807; Harpactorinae Amyot y Serville, 1843). Desde un punto de vista biológico, comúnmente (desde hace más de un siglo!) se ha indicado que la subfamilia Triatominae posee una conducta diferencial de hematofagia obligatoria, necesitando solamente de la sangre de los vertebrados para el desarrollo y ecdisis ninfal y la oviposición; aunque se considera que es una sinapomorfia de la subfamilia (Lent y Wygodzinsky 1979, Schofield y Galvão 2009, Díaz-Albiter et al. 2016); no obstante, es necesario indicar primeramente que dentro de los Hemípteros, existen otras familias que también poseen hábitos hematofágicos, ya sea obligatorios (Cimicidae Latreille, 1802: “chinches de cama”; Polytecnidae Westwood, 1874) o facultativos (Lygaeidae (Schilling, 1829), Rhyparochrominae Amyot y Serville, 1843: Cleradini Stal, 1874; Anthocoridae Fieber, 1837, Lyctocorinae Reuter, 1884: Doufouriellini Van Duzee, 1916, Xylocorini Carayon, 1972) (Myers 1929, Usinger 1934, Schofield y Galvão 2009, Galvão y De Paula 2014). Por otra parte, se ha señalado que existen casos de hematofagia facultativa en algunas taxa de otras sufamilias de redúvidos (e.g., Emesiinae Amyot y Serville, 1843; Harpactorinae, Peiratinae Amyot y Serville, 1843, Physoderinae, Reduviinae) (Myers 1929, Usinger 1934, Schofield y Galvão 2009). En el caso particular de Triatominae, se conocen varias taxa que tienen hábitos predatorios (hemolinfagia), tales como Belminus spp., Eratyrus spp., Panstrongylus spp. y Triatoma spp.; la especie B. ferroae Sandoval et al. 2007 posee una apetencia muy acentuada (casi 90%) a alimentarse sobre blatoideos (cucarachas), y presenta también una conducta de cleptohematofagia, en la cual el triatomino succiona sangre del intestino de otro insecto hematófago, incluyendo sus congéneres. Ambas conductas las desarrollarían especialmente ninfas cuando las fuentes sanguíneas son escasas, y de hecho bajo condiciones de laboratorio en algunas taxa se ha logrado completar el ciclo vital con tan solo hemolinfa. Además, los triatominos también se alimentan por coprofagia (Sandoval et al. 2000, 2009, 2013, Schofield y Galvão 2009, Alves et al. 2011). Es interesante remarcar que la saliva de los triatominos puede actuar durante la hemolinfagia paralizando al invertebrado y suprimiendo la respuesta inmune del invertebrado (Alves et al. 2011).
A pesar de lo comentado sobre los conocidos hábitos hematofágicos de Triatominae muchas veces considerados como “estrictos”, recientemente Díaz-Albiter et al. (2016) aportan evidencias experimentales que pudieran estar cambiando este “paradigma”. En este sentido, estos autores encuentran que bajo condiciones de laboratorio ejemplares de Rhodnius prolixus Stal, 1859, un vector reconocido de la enfermedad de Chagas y considerado como hematófago estricto e insecto modelo de laboratorio, son capaces de ingerir solución de sacarosa y tejidos de tomate (Solanum lycopersicum L.; Solanales Dumort, 1829: Solanaceae Juss.); además, esto incrementó la cantidad de sangre ingerida y la orina excretada, y disminuyó la mortalidad y la pérdida de peso debido a la deshidratación (Díaz-Albiter et al. 2016). Este hallazgo constituye el primer reporte de consumo de azúcares y fitofagia en un triatomino que siempre fue considerado como “hematófago estricto”; Díaz-Albiter et al. (2016) sostienen que “esta conducta podría ser una adaptación dependiendo de la asociación con las plantas, o una consecuencia de un pobre estatus nutricional en los insectos silvestres”. Por lo tanto, a la luz de estos experimentos, las plantas no sólo fungirían de refugio para los triatominos y los hospedadores vertebrados de los que se alimentan, sino que también serían una fuente nutricional aunque complementaria (Díaz-Albiter et al. 2016); lo que resulta interesante evaluar si se tiene en cuenta que la hematofagia sobre un hospedador vertebrado es un proceso altamente costoso desde el punto de vista energético para el insecto (Leis et al. 2016), y de que en la reciente descripción y análisis del genoma de R. prolixus no se detectaron la familia de genes para receptores de azúcares (Mesquita et al. 2015). Además, esto plantea la necesidad de hacer investigaciones más amplias y detalladas, especialmente en el territorio nacional, donde se ha visto involucrado la transmisión de la enfermedad de Chagas a través del consumo de jugo de frutas (Noya et al. 2015).
Por otra parte, persiste en primer término, la controversia acerca de la monofilia de la subfamilia; y de las sinonimias e identificaciones incorrectas aun a nivel de subfamilias, debido a que las características morfológicas entre los triatominos y otras subfamilias de Redúvidos no son siempre tan conspicua (Schofield y Galvão 2009, Galvão y De Paula 2014).
En la actualidad, la subfamilia Triatominae se encuentra compuesta por alrededor de 148 especies reconocidas como válidas, a las cuales se le deben anexar dos taxa extintas (Triatoma dominicana Ponair Jr., 2005 y Panstrongylus hispaniolae Ponair Jr., 2013) (Galvão y De Paula 2014). Las mismas se les agrupa en 5 tribus (Tabla 1); aunque se debe indicar que la designación de la tribu Linshcosteusini Carcavallo et al. 2000 para ubicar las especies del género Linshcosteus spp. Distant, 1904 del subcontinente Indio, actualmente no tiene mucha aceptación, debido a que estas taxa se encuentran más relacionadas genéticamente con Triatoma rubrofasciata (De Geer, 1773) (Hypša et al. 2002, Schofield y Galvão 2009). Dependiendo del criterio del investigador, se reconocen entre 15-18 géneros (Tabla 1); al respecto, la controversia se suscita especialmente con los géneros Mepraia spp. Mazza, Gajardo y Jorg, 1940, Nesotriatoma spp. Usinger 1944 y Meccus spp. Stål, 1859, al considerar algunos autores que son sinonimias de Triatoma spp. Laporte, 1832, mientras que otros taxónomos los presentan como entidades separadas e íntegras (Galvão et al. 2003, Schofield y Galvão 2009, Justi et al. 2014).

La mayoría de estas especies poseen una distribución en el continente americano, desde Estados Unidos hasta la Patagonia argentina y chilena (46° Norte hasta 46° Sur); sin embargo, algunas especies de Triatoma spp. se distribuyen en regiones de África, Asia y Australia, y en el subcontinente de la India se registra exclusivamente el género Linshcosteus spp. (Fig. 4) (Lent y Wygodzinsky 1979, Schofield y Galvão 2009, Dujardin et al. 2015a,b).

Con toda seguridad los pobladores originarios de nuestra América conocieron los triatominos y sus picaduras y molestias. Como es bien conocido, la primera descripción formal de una especie triatomina se debe al entomólogo sueco Barón Charles De Geer, quien en 1773 a partir de ejemplar capturado en Indonesia (a la sazón denominada las “Indias”) y al que denominó como Cimex rubrofasciatus (actualmente: Triatoma rubrofasciata) e incluyó en su “tercera familia de chinches exóticos” (“Des Punaises exotiques de la troisieme famille”). Sin embargo, es necesario acotar que Carl Linnaeus en la 10a edición de su magna obra “Systema Naturae” de 1758 ya incluía al género Cimex (Classis V, Insecta, “Ordo 2.”). No obstante, existen documentos y relatos desde el siglo XVI de viajeros, naturalistas, misioneros en los que se menciona la conducta y las molestias ocasionadas por estos insectos de hábitos hematófagos; en este sentido, de los primeros cronistas de Indias el eclesiástico y historiador español Francisco López de Gómara para 1514 hacía referencia a las “garrapatas y chiches con alas” en El Darién, Panamá; son representativos, entre otros, los relatos dados en 1590 por el clérigo dominico y cronista español Fray Reginaldo Lizárraga en sus viajes y estancias por Perú y Chile; los del misionero austríaco Martín Dobrizhoffer en 1784 en Paraguay; o los de Charles Darwin en 1835 durante sus viajes por Suramérica en el Beagle (Lent y Wygodzinsky 1979, Galvão 2003, Velasco-Castrejón y Rivas-Sánchez 2008, Galvão y Jurberg 2014).
En relación con los nombres a nivel local, la diversidad es amplia y varía de país a país. Así por ejemplo, se tienen, entre muchos más, los siguientes nombres vernáculos (Schofield y Galvão 2009, Galvão y Jurberg 2014): “sangrejuela” (Cuba); “chinche besucona”, “chiche hocicona”, “chinche picuda”, “chinchona”, “pik” (Nahualt) (México); “pito”, “chinche picuda” (Colombia); “chichá guazú” (Paraguay); “vinchuca” (Argentina, Chile, Uruguay, Bolivia); “chinche gaucha” (Argentina); “chirimacha” (Peru); “chinchorro” (Ecuador); “barbeiro”, “chupão”, “bicudo” (Brasil); “kissing bug”, “cone-nose bug” (Estados Unidos) (Schofield y Galvão 2009). En el caso de Venezuela, la denominación más común y extendida es “chipo”, y hacia la región andina “pito”; la tribu Macuxi en la región del Amazonas los señala como “tipi”, pero también se utilizan otras tales como “chipito”, “chupón”, “chinche de monte” (Ramírez-Pérez 1987, Schofield y Galvão 2009).
Como sus congéneres del orden Hemíptera, los triatominos se reproducen mediante huevos operculados (ovíparos) (Fig. 5H), y poseen un ciclo de desarrollo, que puede durar desde 3 meses a más de 1 año, de tipo hemimetábolo o incompleto con cinco estadios ninfales que son muy parecidos a los adultos, pero carecen de alas y son sexualmente inmaduras; todos los estadios ninfales y los imagos poseen movimiento y se alimentan de sangre en la mayoría de las taxa (Lent y Wygodzinsky 1979) (Fig. 5). Los triatominos pueden alcanzar tamaños desde 5 mm hasta 44 mm, y por lo general se les considera de movimientos lerdos, y los adultos poseen capacidad de vuelo, aunque en general no muy acentuada, y parece depender de las condiciones nutricionales y la temperatura ambiental (Lent y Wygodzinsky 1979, Rocha et al. 2014).

Los triatominos poseen una importancia sanitaria muy relevante debido a que son los transmisores o vectores biológicos (hospedadores invertebrados) del protozoario flagelado Trypanosoma (Schizotrypanum) cruzi Chagas, 1909 (Euglenozoa CavalierSmith, 1981: Kinetoplastea Honigberg, 1963, Trypanosomatida (Kent, 1880) Hollande 1952: Trypanosomatidae Doflein, 1951) (Figs. 7-10), agente causal de la enfermedad de Chagas o tripanosomiasis americana (ubicada en la categoría B57 de la Clasificación Internacional de Enfermedades, 10ª revisión: CIE-10), nombrada así en honor a su descubridor Carlos Justianiano Ribeiro das Chagas (Chagas 1909) (Fig. 6), y que pueden transmitir tanto a los humanos y los animales (Hospedadores vertebrados), incluidos los domésticos, correspondientes a más de 200 especies de mamíferos de varios órdenes (Didelphidomorphia, Xenartrha, Lagomorpha, Chiroptera, Rodentia, Carnivora, Primata, Artiodactyla y Perisodactyla) que actúan como reservorios del parásito (Lent y Wygodzinsky 1979, Botero y Restrepo 2012, Galvão y Jurberg 2014, Herrera 2010, Roque y Jansen 2014).

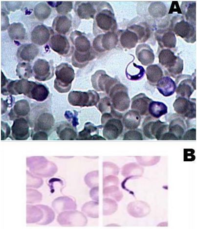
Como sus congéneres trypanosomátidos, T. cruzi puede alcanzar varias formas de desarrollo durante sus ciclos de transmisión, incluyendo básicamente: amastigote (Fig. 7), epimastigote (Fig. 8), tripomastigote metacíclico (Fig. 9) y tripomastigote sanguícola (Fig. 10) (Botero y Restrepo 2012). Cuando un vertebrado susceptible se encuentra infectado, esta última forma señalada se presenta circulando en sangre; los triatominos tienen un ritmo circadiano que les permite esconderse durante el día como típicamente hacen algunos vectores en las rendijas y agujeros de las paredes y techos de las viviendas de condiciones socio-económicas más precarias de América Latina (Fig. 11), y salir en horas nocturnas para succionar sangre (Fig. 12); si el vertebrado se encuentra infectado, el insecto ingiere los tripomastigotes sanguícola (Fig. 10), los cuales al llegar a su promesenterio (“estómago”) se convierte en formas redondeadas (esferomastigote), y luego en el postmesenterio (“intestino”) evoluciona a la forma de epimastigote (Fig. 8) y se divide asexualmente por fisión binaria; finalmente la metaciclogénesis ocurre en la ampolla rectal del triatomino, el cual al volver a picar a un hospedador vertebrado el tripomastigote metacíclico (Fig. 9) se transmite por las heces/orina (Fig. 12) através de una herida en la piel o en el sitio de la picadura o mucosas (ojos, boca, fosas nasales); una vez dentro, el parásito es fagocitado por macrófagos y se transforman en amastigotes y se dividen activamente por fisión binaria, para luego transformarse en tripomastigotes y continuar invadiendo los tejidos de varios órganos y dividirse en la forma de amastigotes (Fig. 7) (Kollien y Schaub 1998, Botero y Restrepo 2012)(Fig. 13).







Además de la vía vectorial, el T. cruzi se puede transmitir por transfusiones sanguíneas, vía congénita (transplacentaria), transplantes de órganos, uso de drogas endovenosas, accidentes de laboratorio (ocupacional), o por la lactancia materna; la transmisión por vía oral a través de contaminación de alimentos (e.g., jugos, hortalizas, frutas, vinos de palma) o ingestión de carnes crudas de reservorios animales, actualmente cada vez más toma mucha relevancia en la epidemiología de la dolencia, especialmente en el área amazónica y en varias áreas de Venezuela (Feliciangeli 2009, WHO 2012, 2015, Noya et al. 2015). De hecho en la Amazonia brasileña se le considera la vía más importante y eficiente para adquirir el T. cruzi, y la mortalidad es mayor en los pacientes infectados oralmente que los que adquieren el protozoo a través de la vía vectorial (8-35% vs <5-10%) (Eickhoff et al. 2013, Barreto de Albuquerque et al. 2015).
Desde un punto de vista clínico, la enfermedad de Chagas ocurre básicamente en dos fases: la aguda y la crónica; la fase aguda puede durar alrededor de 2 meses y muchas veces ocurre de manera oligosintomática o asintomática con una elevada parasitemia; también puede presentarse el denominado “chagoma de inocuación” si el parásito penetra por la piel (lesión cutánea, furuncuoide con adenopatía local) (Fig. 14), o el “signo de Romaña” si el flagelado entra por la conjuntiva del ojo y ocasiona inflamación de tono purpúreo de un párpado (edema bipalpebral) (Fig. 15), además de inflamación local de ganglios linfáticos y fiebre; otros síntomas: dolor de cabeza, dolor muscular, torácico o abdominal, palidez, disnea, edema de piernas o rostro, hepato-esplenomegalia, nódulos dolorosos, miocarditis aguda; en niños menores de 2 años, puede presentarse la meningo-encefalitis, con convulsiones, y hasta pérdida de conocimiento; la mortalidad es elevada especialmente en niños e inmunocomprometidos; en los casos de tranmisión oral, la sintomatología es más severa. En la fase crónica, la patología se puede presentar en varias formas clínicas: i) indeterminada o forma indeterminada; ii) la forma cardíaca (arritmias, tromboembolismo, insuficiencia cardiaca) (Fig. 16); iii) formas digestivas (megaesófago, megacolon) (Fig. 17), la cual no se presenta en casos autóctonos de Venezuela; iv) forma mixta (cardiaca más digestiva); los pacientes pueden fallecer por muerte súbita o insuficiencia cardiaca (WHO 2012, 2015, Malik et al. 2015, Noya et al. 2015, OMS 2016b).




El T. cruzi presenta una variabilidad de genotipos y fenotipos; de acuerdo a marcadores moleculares, genéticos e inmunológicos, en la actualidad existe consenso en considerar al protozoo en siete unidades taxonómicas discretas o unidades discretas de tipificación (UDTs) o DTUs por sus siglas en inglés (Discrete Typing Unit), las cuales se denominan como TcI, TcII, TcIII, TcIV, TcV, TcVI y Tcbat/TcVII (un DTU sería un grupo de aislados de T. cruzi que se encuentran más cercanamente relacionados entre sí que con otros aislados del protozoo cuando se les caracteriza mediante marcadores moleculares, genéticos e inmunológicos) (Fig. 18); se ha sugerido que la evolución de estos DTU ha sido básicamente clonal, y se considera que TcI y TcII serían los más ancestrales y el resto se originaron mediante hibridización y recombinación (Westenberger et al. 2005, Marcili et al. 2009a, Zingales et al. 2009). De interés es que estos linajes presentan diferencias de vectores, hospedadores vertebrados, ecológicas, epidemiológicas y hasta pudieran estar asociadas con las diversas formas clínicas de la dolencia (Zingales et al. 2009, Hamilton et al. 2011). Similar consideración se da con T. rangeli Tejera, 1920 (Fig. 19), el otro Trypanosoma spp. transmitido por los triatominos, aunque de manera diferente por la picadura, pero que no pareciera tener efectos patológicos sobre sus hospedadores vertebrados incluyendo al humano; aunque su semejanza y cohabitación simpátrica con T. cruzi pudiera interferir en los diagnósticos; inclusive algunos autores han sugerido que T. rangeli pudiera tener un efecto protector sobre la patología de aquél (Pifano 1954, Montila et al. 2011b, Botero y Restrepo 2012). En este sentido, al T. rangeli se le ha asignado dos genotipos: KP1+ y KP1− (Cabrine-Santos et al. 2009).


Dentro de las enfermedades transmitidas por vectores (i.e., enfermedades de tipo metaxénicas), las cuales ocasionan el 17% de las patologías infecciosas con más de un millón de decesos (OMS 2016a), la enfermedad de Chagas es por mucho una de las 17 patologías tropicales desatendidas (neglected disease) o “enfermedades de la pobreza” más impactantes de la sociedad, siendo la principal causa de mortalidad por enfermedades de origen parasitario en América Latina, que se estima en 12.000 muertes por año, y con 13% de la población de la región en riesgo de adquirirla y con alrededor de 6 millones de individuos parasitados; una prevalencia entre 7 a 8 millones de personas infectadas en todo el globo terráqueo y una incidencia de 28.000 casos anuales en América; además, debe tenerse en cuenta las cuantiosas pérdidas económicas valoradas en el orden de los 7,2 millardos de US$, por los gastos sanitarios y los años potenciales de vida productivos perdidos (años de vida ajustados por discapacidad), por ello, a la enfermedad de Chagas se le tiene como la patología de origen parasitario que ocasiona el mayor impacto socio-económico en América Latina; de hecho es una dolencia asociada a la pobreza, al existir una asociación entre las poblaciones triatominas y las condiciones de pobreza de las viviendas (Lee et al. 2013, WHO 2015). Aunque la enfermedad de Chagas es propia o autóctona del continente americano (sur de Estados Unidos hasta Argentina) donde es endémica en 21 países (Fig. 4), no obstante, con las migraciones, así como también por los viajeros que retornan de las áreas endémica e incluso con las adopciones de niños, la dolencia es cada vez más frecuente en los países desarrollados, donde se estima en 500.000 infectados y 7.000 fallecimientos/año (WHO 2012, 2015, OMS 2016b).
En cuanto a vacunas, aún no se cuenta con una medida inmunoprofiláctica ni inmunoterapéutica efectiva aprobada para la enfermedad de Chagas. Sin embargo, la investigación en este campo es muy intensa, y las basadas en ADN recombinante son muy promisorias, especialmente las vacunas terapeúticas para el tratamiento del Chagas crónico (inflamación cardiaca) (Arce-Fonseca et al. 2015). Por otra parte, las drogas [Nifurtimox®: compuesto nitrofuránico sintético (RS)-N-(3-metil-1,1-dioxo-1,4-tiazinan-4-il)-1-(5-nitro-2-furil) metanimina); y Benznidazole®: derivado nitroimidazólico (N-bencil-2-(2-nitroimidazol-1-il) acetamida)] en uso aunque pueden ser 80% efectivas en fase aguda, no logran eliminar los parásitos remanentes de tejidos (e.g., miocardio) en la fase crónica, además de su elevada toxicidad y problemas de resistencia, aunado a sus costos y disponibilidad para la población endémicamente afectada; aunque se debe indicar que la investigación para el uso e implementación de nuevas drogas (azólicas y no azólicas) complementarias es muy intensa y muestra resultados esperanzadores contra el T. cruzi, especialmente con respecto a las combinaciones de las mismas (Malik et al. 2015, Salomão et al. 2016). En virtud de esta problemática, la lucha antivectorial, especialmente con la aplicación domiciliar de insecticidas de origen químico (Fig. 20), aparece como una de las medidas profilácticas práctica y efectiva disponibles hasta el presente para evitar la adquisición del parásito; esto a pesar de todos sus inconvenientes, especialmente de la toxicidad que poseen los mismos para los seres vivos y los ecosistemas en general (i.e., ecológicamente inviables), además de la resistencia que adquieren los insectos hacia ellos y de su limitada efectividad hacia las especies triatominas de hábitos peridomésticos y selváticos; por lo que es recomendable llevarse a cabo en control vectorial bajo un esquema de Manejo Integrado de Plagas (MIP) (Cazorla 2011).

Además de su reconocida importancia médico-zoonótica como transmisores de la enfermedad de Chagas, es necesario tener en cuenta las reacciones alérgicas que ocasionan las picadas y las heces de los triatominos, las cuales ocurren con mayor frecuencia en las horas de pernocta; estos eventos alérgicos se pueden presentar de manera severa con angiodema, urticaria, dificultad respiratoria, náusea, diarrea e inclusive choques anafilácticos mortales. Estos eventos anafilácticos severos debidos a los triatominos, pueden ser pasados de alta por los médicos que se encuentran muy ocupados en las emergencias debido a la idea preconcebida de que este tipo de condición severa se debe a las drogas o alimentos. Debido a que actualmente aún no se dispone de inmunoterapia para las personas con anafilaxia a las picadas de los triatominos, las mismas deben tomar las medidas preventivas para evitar la reexposisión y proveerles epinefrina en una inyectadora ante cualquier nueva eventualidad (WHO 2011, Dujardin et al. 2015a, Klotz et al. 2016). En este mismo orden de ideas, aparece interesante mencionar los hallazgos recientes de Neumann Ada et al. (2016), quienes logran a nivel de laboratorio la infección de R. prolixus con el agente etiológico de la lepra (Mycobacterium leprae Hansen, 1874; Actinobacteria Margulis: Actinomycetales Buchanan, 1917), siendo capaz de defecar a la bacteria y además de ser infectivas al inocularse en ratones; resultados que deberán evaluarse en futuras investigaciones, especialmente por la conocida apetencia de los triatominos hacia los armadillos (Xenarthra Cope, 1889: Dasypodidade Gray, 1821), que son reservorios de M. leprae, y la presencia de la enfermedad de Hansen en el territorio nacional (Aranzazu et al. 2012).
Como es bien conocido, fue 10 años después que Carlos Chagas describiera a su agente etiológico que Enrique Tejera en 1919 confirmara por vez primera para Venezuela la enfermedad de Chagas en humanos, además de su vector (R. prolixus) (Tejera 1919); siendo, asimismo, la primera vez que se diagnostica la dolencia fuera de Brasil (Acquatela 2003). En la década de los 30´ de esa centuria, José Francisco Torrealba con la implementación del xenodiagnóstico, reveló que la tripanosomiasis americana afectaba hasta un 25% de la población en los llanos centrales de Venezuela (Acquatela 2003, Feliciangeli 2009). En las décadas siguientes de 1940-1950, Félix Pifano introdujo el serodiagnóstico para detectar la patología, registrando hasta alrededor de 40% de infección por T. cruzi. A comienzos de los años 60´, bajo la égida de Arnoldo Gabaldón en el antiguo Ministerio de Sanidad y Asistencia Social, mediante la implementación del rociado de insecticidas residuales de origen químico y la mejora de las viviendas, se puso en marcha el Programa Nacional contra la enfermedad de Chagas, pudiéndose reducir la seroprevalencia de 45% a 15,6% entre 1958-1968; y su continuidad ha permitido llegar hasta 11,7% (1980-1985); también se ha logrado reducir los índices de infestación de las viviendas de 17,9% a un 5% (Acquatela 2003, Rodríguez-Lemoine 2010). Basado en datos oficiales, Aché y Matos (2001) indican que durante 40 años (1958‐1998) de la campaña antichagásica se logró la disminución de la seroprevalencia de 44,5 a 9,2%, e índices de infestación de 8,3% a 0,7%. En un intento por interrumpir de una forma definitiva la transmisión vectorial y transfusional de la enfermedad de Chagas para el año 2010, en 1997 varios gobiernos de países de la subregión andina (Colombia, Ecuador, Perú y Venezuela) diseñaron y aplicaron un plan de acción denominado “Iniciativa de los países andinos”. Sin embargo, a pesar del éxito de las campañas anti-chagásicas, los estudios epidemiológicos a partir de alrededor del nuevo milenio empezaron a arrojar cifras y evidencias que se consideró que en el territorio nacional existe una re-emergencia de la enfermedad de Chagas, especialmente al detectarse casos agudos algunos fatales y del incremento de la prevalencia en niños, lo que es un tácito indicativo de transmisión activa de la dolencia, tanto a nivel rural como urbano (Feliciangelli et al. 2003, Añez et al. 2004, 2007, 2011, Morocoima et al. 2008, Feliciangeli 2009, Alarcón de Noya et al. 2015, Noya et al. 2015). De acuerdo a una publicación reciente de la WHO (2015), basada en datos estimados de 2010, en Venezuela se obtuvieron las siguientes estadísticas epidemiológicas para la enfermedad de Chagas: 193.339 casos (0,71% de 27.223.000 habitantes) de personas infectadas; 873 nuevos casos debidos a transmisión vectorial anualmente; 40.233 mujeres infectadas con edades entre15-44 años; 665 casos anuales de transmisión congénita; 0,710 de prevalencia por cada 100.000 habitantes; 0,0030 de incidencia debida a transmisión vectorial por cada 100.000 habitantes; 0,110 de incidencia debida a transmisión congénita por cada 100 nacimientos vivos; 1.033.450 (3,80%) de personas se encuentran a riesgo de adquirir la infección chagásica; 38.668 personas con miocardiopatía chagásica; 0,32 de prevalencia entre los donantes de sangre (WHO 2015). Por otra parte, estos datos presentados no tomaron en cuenta lo relativo a los casos de transmisión oral del T. cruzi; en efecto, esta modalidad epidemiológica cada vez más cobra una gran relevancia en el territorio nacional, y desde que se documentó en la Navidad de 2007 el primer brote epidémico en el Municipio Chacao de la Gran Caracas (DC), se han reportado otros 10 brotes, cuatro en Caracas, en varias regiones con 249 casos, 73,5% en niños y 4% de mortalidad (Alarcón de Noya et al. 2015, Noya et al. 2015).
Aunque en el siglo XVIII el misionero jesuita español Joseph Gumilla ya describía la presencia de triatominos para el territorio nacional, no obstante, desde el punto de vista taxonómico formal correspondió al entomólogo sueco especializado en hemípteros Carl Stål las primeras descripciones, particularmente de R. prolixus, a partir de ejemplares recolectados en el actual estado Vargas (La Guaira: región centro-norte) en la mitad del siglo XIX (Ramírez-Pérez 1987, Feliciangeli 2009). Como ya indicó, en el primer tercio del siglo XX, EnriqueTejera reporta la infección de R. prolixus y también señala la presencia de Eratyrus cuspidatus Stål, 1859 (Tejera 1919, Ramírez-Pérez 1987); mientras que Pinto (1926) describe a Eutriatoma arthuri (actualmente Psammolestes arthuri) a partir de ejemplar enviado por Enrique Tejera a Adolph Lutz en Brasil, y da la lista de 8 especies triatominas para el territorio nacional. Pifano (1940) reporta 11 especies, y siete años después Anduze et al. (1947) adicionan otra especie a la lista, para un total de 12 taxa. Para los años 60´, se incluyen otras tres especies (n = 15) (Cova García y Suárez 1959, Machado-Allison y Ramírez-Pérez 1967). Para los años 70´, se recibió un gran impulso en la investigación y estudio de la fauna triatomina del país con la creación de la “Unidad de Estudios de Vectores de la enfermedad de Chagas” de la Organización Mundial de la Salud (OMS), y se agregan tres nuevas especies al listado, además de numerosos datos bio-ecológicos (Otero et al. 1975, Carcavallo et al. 1977, Martínez y Carcavallo 1977), tal como reconocen Lent y Wygodzinsky (1979) en su magna obra sobre la subfamilia Triatominae. Hacia los años 80´, Ramírez-Pérez (1987) realiza una exhaustiva revisión de la fauna triatomina de Venezuela, y reconoce 20 especies. A comienzos de los años 90´, Carcavallo et al. (1994) describen la presencia de P. chinai para el área andina, y actualizan la lista en 20 taxa de Triatominae en el territorio nacional. Desde los albores del nuevo milenio, Galvão et al. (2003) en su trabajo sobre todos los componentes de Triatominae del planeta, reconoce 22 especies válidas para el país; esta cifra ha sido reconocida en las últimas revisiones hechas a nivel global (e.g., Schofield y Galvão 2009), o aquellas realizadas exclusivamente para Venezuela (Soto-Vivas 2009, 2010, Cazorla y Nieves 2010). Sin embargo, como bien lo indicaron Cazorla (2015) y Otálora-Luna et al. (2015), es necesario añadir a esta lista a Panstrongylus martinezorum, descrita por Ayala (2009) (macho) y Ayala et al. (2014) (hembra) en la amazonia venezolana. Por lo tanto, hasta el presente se puede considerar que el catálogo de la subfamilia Triatominae en Venezuela se encuentra integrado por 23 especies.
El pasado 14 de abril de 2016 se conmemoró otro aniversario del Día Internacional de la Lucha Contra la Enfermedad de Chagas, efeméride escogida por la Federación Internacional de Personas Afectadas por la Enfermedad de Chagas (Findechagas) debido a que precisamente fue ese día cuando el Dr. Carlos Justianiano Ribeiro das Chagas (Fig. 6) comunicó a la comunidad científica internacional el descubrimiento de la protozoosis y su agente etiológico hace 107 años. Y a pesar de ello, se considera a la tripanosomiasis americana como una enfermedad “silenciosa y silenciada”: “Silenciosa por la ausencia de síntomas específicos en el momento de la infección y por el tiempo transcurrido antes del desarrollo de alteraciones cardiológicas en un 30% de los pacientes crónicos. Silenciada porque es una enfermedad cuya transmisión se asocia a la pobreza y cuya verdadera magnitud, en pleno siglo XXI, todavía se desconoce” (Moriana 2015); y según el ISGlobal (Instituto de Salud Global) se estima que de los 6-7 millones de personas que padecen la dolencia menos del 1% recibe tratamiento quimioterapéutico, por lo que “al ritmo actual se tardaría 300 años en tratar a todas aquellas personas que lo necesitan”. Todo este colofón de fondo, sirvió a quien suscribe de iniciativa para actualizar la revisión que se documentó por vez primera hace seis años (Cazorla y Nieves 2010), acerca de los triatominos vectores de la enfermedad de Chagas en el territorio nacional. En el presente catálogo comentado se amplió y actualizó no sólo el número de taxa descritas, sino que también para cada especie triatomina las fuentes bibliográficas disponibles relacionadas con su distribución geográfica, aspectos históricos, taxonómicos y sistemáticos, bio-ecológicos, epidemiológicos, además de las necesidades de investigación que se requieren para el país.
LISTADO DE LAS ESPECIES DE TRIATOMINAE DE VENEZUELA
Tribu Alberproseniini Martínez y Carcavallo, 1977
Género Alberprosenia Martínez y Carcavallo, 1977
1. Alberprosenia goyovargasi Martínez y Carcavallo, 1977
Lo primero que resalta de A. goyovargasi es que se le tiene como la especie triatomina de menor tamaño, con alrededor de 0,5 cm (Lent y Wygodzinsky 1979, Lent et al. 1998) (Fig. 21), y de que se le puede separar morfológicamente sin inconvenientes de la otra especie hasta ahora descrita del género (A. malheiroi Serra, Atzingen y Serra, 1987) (Carcavallo et al. 1995). Por otra parte, como ya se ha indicado anteriormente (Cazorla y Nieves 2010), desde que fue descrita a finales de los años 70 del siglo pasado (Martínez y Carcavallo 1977), es poco lo que se conoce de su bio-ecología y hasta el presente solo se le ha capturado a nivel silvestre en el estado Zulia (Bosque Seco Tropical), al occidente de Venezuela, asociada a reptiles dentro de la corteza de árboles en descomposición (Martínez y Carcavallo 1977, Carcavallo y Martínez 1978, Lent y Wygodzinsky 1979, Ramírez-Pérez 1987, Galvão et al. 2003). Sus estadios ninfales fueron descritos, incluidos detalles con Microscopía Electrónica de Barrido (MEB), así como también sus imagos, incluida la genitalia masculina y las setas cuticulares; faltando el estudio de sus huevos (Carcavallo et al. 1978, 1998c, Galíndez et al. 1994a, 1998b, Jurberg et al. 1998). Carcavallo y Martínez (1978) lograron su colonización, obteniendo aspectos de su biología; debido a que no se le ha detectado infectada naturalmente con T. cruzi, no se le considera de poseer importancia sanitaria (Sherlock et al. 1998). Sin embargo, debe acotarse el hecho de que A. goyovargasi ha mostrado apetencias con una inusitada agresividad hacia sangre humana, además de perro y ratones, aunque bajo condiciones de laboratorio (Carcavallo y Martínez 1978, Carcavallo et al. 1998a); comportamiento que debe investigarse in natura.

Tribu Bolboderini Usinger, 1944
Género Belminus Stål, 1859
2. Belminus pittieri Osuna y Ayala, 1993
De las 8 especies que integran al género Belminus spp. (Santana 2014), B. pittieri (Fig. 22) es la que menos se le ha realizado estudios; de hecho desde que fue descrita apartir de un ejemplar hembra capturado en “Rancho Grande”, parque nacional “Henry Pittier”, estado Aragua, en la región centro-norte de Venezuela (1.050 m) de donde se cree es endémica (Osuna y Ayala 1993), se conoce muy poco sobre la misma ni se ha descrito el macho. Recientemente se ha hecho un estudio taxonómico-cladístico de la tribu Bolboderini y se ha determinado que B. pittieri forma parte del clado: Belminus corredori Galvão y Angulo 2006: (Belminus corredori (Belminus laportei Lent, Jurberg y Carcavallo, 1995 (Belminus herreri Lent y Wygodzinsky, 1979 (Belminus ferroae Sandoval, Pabón, Jurberg y Galvão, 2007 + Belminus pittieri)))) (Santana 2014). De manera tal que como se indicó previamente (Cazorla y Nieves 2010), se hace necesario incrementar los estudios bio-ecológicos para determinar su real importancia en los ciclos zoonóticos y/o antropozoonóticos del T. cruzi.

3. Belminus rugulosus Stål, 1859
La distribución de B. rugulosus se encuentra restringida a Colombia y Venezuela (D.C. y estado Aragua, en bosque húmedo tropical y bosque muy húmedo premontano) (Carcavallo et al. 1977, Ramírez-Pérez 1987, Galvão et al. 2003, Santana 2014) (Fig. 23); la última referencia que se tiene de esta especie triatomina en el territorio nacional fue hace 40 años, cuando se capturó un ejemplar macho en “El Limón”, estado Aragua, describiendo su alotipo (Martínez y Carcavallo 1976); por lo tanto, es poco lo que se conoce sobre su bio-ecología; se han hecho estudios por MEB de sus imagos y de la genitalia del macho (Galíndez et al. 1994a, Carcavallo et al. 1998c, Jurberg et al. 1998, Santana y Galvão 2013), pero sus huevos y estadios ninfales aún no se han descrito. En Colombia, se ha reportado su captura en la palmera Oenocarpus spp. Martius, 1823 (Arecales: Arecaceae Schultz Sch.) (Sandoval et al. 2010). Por cladística se ha determinado que B. rugulosus forma parte del clado: Belminus rugulosus: (Belminus rugulosus (Belminus costaricensis Herrer, Lent & Wygodzinsky, 1954, + Belminus peruvianus Herrer, Lent & Wygodzinsky, 1954)) (Santana 2014).

Hasta el presente B. rugulosus no se le ha detectado naturalmente infectada con T. cruzi (Sherlock et al. 1998, Santana 2014); sin embargo, no debe descartarse de plano su posible importancia zoonótica o antropozoonótica, toda vez que otras especies del género Belminus spp. poseen apetencia por vertebrados incluidos los humanos, y se les captura dentro de la vivienda e infectadas con T. cruzi; aunque muchos de estos taxones se les considera primariamente como predadores (Sandoval et al. 2010, Santana 2014).
Género Microtriatoma Prosen y Martínez, 1952
4. Microtriatoma trinidadensis (Lent, 1951)
El género Microtriatoma spp. se encuentra integrado por dos especies, incluyendo M. borbai Lent y Wygodzinsky, 1979 y M. trinidadensis (Santana 2014), siendo esta última parte de la fauna triatomina del territorio nacional (estados Sucre y Delta Amacuro, en bosque húmedo tropical) (Carcavallo et al. 1977, Ramírez-Pérez 1987, Galvão et al. 2003, Soto-Vivas 2009) (Fig. 24). Desde que Carcavallo et al. (1976a) capturaron algunos ejemplares de M. trinidadensis en la región oriental del país, no se tiene conocimiento de ningún otro dato sobre la misma en el territorio nacional. Su rango de distribución es más amplia (Bolivia, Brasil, Guayana Francesa, Colombia, Panamá, Perú, Surinam y Trinidad) que el de sus congéneres de la tribu Bolboderini y de M. borbai (Brasil), de la cual se le separa con relativa facilidad por alfa taxonomía (Galvão et al. 2003, Bérenger et al. 2009, Hiwat 2014Santana 2014). Sus estadios ninfales han sido descritos, pero son reluctantes a ser alimentados en el laboratorio sobre vertebrados, aunque se ha observado que las ninfas pueden realizar coprofagia en las heces de Rhodnius spp. Stål, 1859 (Carcavallo et al. 1976a, Lent y Wygodzinsky 1979, De la Riva et al. 2001); sin embargo, aun falta conocer las características de sus huevos. Lent y Jurberg (1984) estudiaron las características morfológicas de su genitalia externa, y más recientemente mediante filogenia molecular Patterson y Gaunt (2010) determinan que M. trinidadensis es uno de los taxones de Bolboderini más antiguos; mientras que por cladística Santana (2014) determina que Microtriatoma spp. es un clado basal de Bolboderini y un grupo hermano de los demás taxones de la tribu (Santana 2014).

A nivel silvestre a M. trinidadensis se le asocia con Bromeliaceas Juss. epífitas, especialmente en Venezuela; sin embargo también se le ha capturado en palmeras y otras especies de árboles, asociados con varios taxones de mamíferos (Didelphis marsupialis Linnaeus, 1758, roedores, murciélagos (Chiroptera Blumenbach, 1779) y Bradipodidae Gray, 1821), nidos de aves y otras especies triatominas (“cleptohematofagismo”) (Carcavallo et al. 1976a, Miles et al. 1981, Carcavallo et al. 1998a,b, De la Riva et al. 2001, Roque y Jansen 2014, Galvão y Justi 2015), aunque se le considera como una especie oportunista de palmeras (Abad-Franch et al. 2015).
A esta especie triatomina se le ha capturado en áreas peridomiciliares (gallineros contruidos con hojas de Attalea phalerata Mart.ex Spreng.) y atraídos por fuentes lumínicas; también se ha detectado en algunos ejemplares en Brasil infecciones leves con protozoarios indistinguibles de T. cruzi (Miles et al. 1981, De la Riva et al. 2001, Galvão y Justi 2015), y desde entonces no se tiene conocimiento de otras infecciones y no se ha tipificado por técnicas moleculares estos hallazgos. Por lo tanto, se requiere de estudios biológicos y eco-epidemiológicos más amplios para determinar el papel de M. trinidadensis en los ciclos silvestres y domésticos del T. cruzi.
Tribu Cavernicolini Usinger, 1944
Género Cavernicola Barber, 1937
5. Cavernicola pilosa Barber, 1937
Aunque a partir de los años 50 del siglo pasado ya se conocía de la presencia de C. pilosa en el territorio nacional (Pifano y Ortiz 1952), los últimos datos y registros en Venezuela sobre la misma datan de 1976-1977 (Carcavallo et al. 1976b, Valderrama y Lizano 1976, Carcavallo et al. 1977), distribuyéndose en seis entidades federales (Amazonas, Cojedes, D.C., Lara, Portuguesa y Táchira, en bosque seco tropical, bosque húmedo tropical, bosque seco premontano, bosque húmedo premontano, bosque muy húmedo premontano) y en otros cinco países de América Latina, incluyendo Brasil, Colombia, Ecuador, Guayana Francesa, Panamá y Perú (Galvão et al. 2003, Bérenger et al. 2009, Soto-Vivas 2009, Cazorla y Nieves 2010, Pinto et al. 2015). Sus huevos se han estudiado con microscopía fotónica y MEB; los mismos son pequeños y se colocan adheridos al sustrato (e.g., piedras de cuevas; pelo de ratones) (Oliveira 2005); de forma elipsoidal, ligeramente asimétricos y con un discreto aplanamiento lateral; el borde corial es evidente con un largo y rugoso anillo y cuello, pero sin “collar” y opérculo convexo y prominente. El corion es ligeramente translúcido y permite observar la coloración del embrión; el exocorio posee células hexagonales dispuestas en hileras longitudinales (Lent y Wygodzinsky 1979, Barata 1998). Sus estadios ninfales se han descrito mediante microscopía de luz y MEB (Valderrama y Lizano 1976, Lent y Wygodzinsky 1979, Cabello et al. 1992, Galíndez et al. 1998b), así como también sus imagos (Lent y Wygodzinsky 1979, Carcavallo et al. 1998c) (Fig. 25), incluida la genitalia de los machos (Jurberg et al. 1998) y setas cuticulares (Galíndez et al. 1994a); bajo condiciones de laboratorio, su ciclo de huevo hasta adulto tarda en promedio 93 días alimentados sobre murciélagos (Carcavallo et al. 1976b); similarmente bajo condiciones experimentales se le ha alimentado sobre ratones (Mus musculus Linnaeus, 1758, Rodentia Bowdich, 1821: Muridae Illiger, 1811), siendo difícil su colonización, obteniéndose un ciclo completo (huevo a huevo) en menos de dos meses (Marinkelle 1966, Oliveira 2005), y se ha requerido Humedad Relativa (HR) elevada y que se inmovilice adecuadamente al ratón, lo que abre las posibilidades de aumentar el conocimiento de la biología de esta especie (Oliveira 2005, Oliveira et al. 2008).

Desde que fue descrita en Panamá a partir de ejemplares asociados con murciélagos en cavernas, se le consideró de poseer hábitos troglófilos (cavernarios) y estenofágicos, que se alimenta exclusivamente de murciélagos (quirópteros) (Oliveira 2005). A nivel silvestre, C. pilosa habita en cavernas y huecos de árboles generalmente asociados con diversas taxa de murciélagos (Molossidae Gervais en de Castelnau, 1855, Noctilionidae Gray, 1821, Phyllostomidae Gray, 1825, Vespertilionidae Gray, 1821, Emballonuridae Gervais en de Castelnau, 1855), en un rango ecológico que comprende desde bosques tropicales húmedos hasta los secos entre los 140 - 1.160 m (Carcavallo et al. 1998a,b, Oliveira et al. 2008, Roque y Jansen 2014, Pinto et al. 2015), aunque también se le ha capturado en palmeras (Attalea butyracea, Mauritia flexuosa L.F. 1782) (Cantillo-Barraza et al. 2010, Abad-Franch et al. 2015). Aparece interesante comentar la caracterización ecológica que hicieron Oliveira et al. (2008) de una cueva habitada por una colonia numerosa de C. pilosa en el estado Tocantins, Brasil; en este sentido, se obtuvo que la cueva mantiene en todo el año condiciones climáticas estables, con una alta HR y material vegetal abundante (guano de los murciélagos), y los triatominos colonizan el interior de la cueva donde aparentemente permanece en oscuridad y asociados con murciélagos, lo que lleva a sugerir que C. pilosa es una especie triatomina altamente especializada, cuyos factores limitantes son la temperatura, HR y fuente alimentaria (Oliveira 2005, Oliveira et al. 2008); sin embargo, como ya se indicó, el hecho de que se le haya alimentado bajo condiciones de laboratorio sobre ratones pudiera indicar que las condiciones climáticas sean más limitantes para su desarrollo y supervivencia (Oliveira 2005, Oliveira et al. 2008). De los datos obtenidos a nivel ecológico (hábitats protegidos con climas estables) y experimental (oviposición en pelo de ratones) por estos últimos autores señalados, también vale destacar la posible dispersión pasiva de los huevos de C. pilosa adheridos sobre el pelo de los murciélagos.
Además de T. rangeli, en murciélagos se han detectado (subgénero Schizotrypanum): T. cruzi marinkellei Baker et al. 1978 y T. cruzi, particularmente las unidades taxonómicas discretas (DTU) TcI, TcII, TcIII, TcIV y Tcbat, siendo reportada T. cruzi marinkellei y TcI para estos mamíferos voladores en Venezuela (Añez et al. 2009, Silva-Iturriza et al. 2013, Ramírez et al. 2014b, Pinto et al. 2015, Rivera et al. 2015); T. cruzi marinkellei solo parasita a murciélagos y aunque se piensa que solamente el género Cavernicola spp. lo transmite, no obstante, otras especies de Triatominae se han encontrado asociadas con quirópteros (T. dispar Lent, 1950, Eratyrus spp. Stål, 1859, P. geniculatus Latreille, 1811); por contraste, los linajes TcI, TcII, TcIII, TcIV y Tcbat son capaces de infectar varias especies de vertebrados y se les ha aislado en humanos (Ramírez et al. 2014a, Roque y Jansen 2014, Pinto et al. 2015). Por otra parte, a C. pilosa también se le recolectado dentro del domicilio humano, muchas veces en asociación con quirópteros en rendijas de los techos, además que se le ha detectado infectado con T. cruzi (Sherlock et al. 1998, Angulo 2000, Angulo et al. 2012, Pinto et al. 2015). Tomando en consideración lo comentado anteriormente, y al hecho de que los triatominos pueden adoptar una conducta alimentaria versátil y variable de una amplia plasticidad, que se encuentra más influenciada por la disponibilidad y densidad de los hospedadores en los hábitats que colonizan, en vez de sus apetencias innatas (Rabinovich et al. 2011), debe plantearse la posibilidad de que C. pilosa pudiera eventualmente participar de manera oportuna en la trasmisión intradomiciliar del T. cruzi, especialmente por vía oral al contaminar alimentos con sus heces infectadas (e.g., jugos de frutas), cuya ocurrencia se ha venido documentado cada vez más en Venezuela en hasta siete entidades federales y otros países de Suramérica (Rueda et al. 2014, De Noya et al. 2015, Noya et al. 2015). También podría darse la eventualidad de que ninfas y/o imagos de C. pilosa infectados con el protozoo sean consumidos por hospedadores vertebrados susceptibles (e.g., roedores, marsupiales domésticos y silvestres), manteniendo así los ciclos silvestres y peridomésticos del protozoo (Curtis-Robles et al. 2016).
Oliveira (2005) realizó la redescripción de C. pilosa, así como también la del género Cavernicola spp. y de la Tribu Cavernicolini, debido a que el diagnóstico de ambos taxones se realizó antes de la descripción de la otra especie que la integran: C. lenti Barret y Arias, 1985, la cual se distribuye en Brasil y posee características que no se incluyeron en la tipificación del género y la tribu; asimismo, logró la discriminación multivariante morfométrica entre adultos de ambas especies (Oliveira 2005, Oliveira et al. 2007).
Como ya se había indicado en otra oportunidad (Cazorla y Nieves 2010), Carcavallo et al. (1998d) describieron el género monotípico Torrealbaia a partir de ejemplar hembra recolectado en en el estado Portuguesa, Venezuela. La nueva especie descrita, T. martinezi, fue colocada dentro de la Tribu Cavernicolini especialmente por poseer cabeza convexa, ocelos situados posteriormente a una sutura interocular, ojos no sobresalientes y un rostro recto (Oliveira 2005). Sin embargo, Carcavallo et al. (1998d) reconocieron que este nuevo taxón poseía varias características muy semejantes a los reduvídeos de la subfamilia Harpactorinae Amyot and Serville, 1843, particularmente de Amphibolus venator (Klug, 1830), de hábitos predatorios; estos autores argumentaron que esta última especie no presentaba distribución Neotropical. Forero et al. (2004) indican que T. martinezi es una sinonimia de A. venator, basándose en aspectos morfológicos, incluyendo ocelos detrás de la sutura arqueada y en la línea interna de los ojos, sutura arqueada, presencia de célula cuadrada en el corio, rostro curvo (propio de los reduvídeos predadores) y presencia de espina en las tibias anteriores; además, reafirman la presencia de A. venator en el continente americano. Debido a las similitudes entre la subfamilia Harpactorinae y la tribu Cavernicolini (subfamilia Triatominae) no debe ser sorprendente que existan equivocaciones, aun en los hemipterólogos más avezados (Oliveira 2005); la condición de hematofagia “obligatoria” en la subfamilia Triatominae no puede ser considerado un carácter taxonómico determinante, ya que otras familias de Hemíptera son hematófagas (e.g., Cimicidae Latreille, 1802, Polictenidae Westwood, 1874) y dentro de los triatominos existen especies que poseen eventualmente, e inclusive “obligatoriamente” (estadios ninfales), hábitos predatorios, incluyendo el canibalismo (Oliveira 2005). Por lo tanto, se hace necesario complementar los estudios morfológicos tradicionales siguiendo los lineamientos de la taxonomía integral, aplicando técnicas morfométricas, ultrestructurales, citogenéticas, bioquímicas y/o moleculares (Crossa et al. 2002, Dayrat 2005, Dos Santos 2009, Filho 2011, Abad-Franch et al. 2013, Da Rosa et al. 2014, Guerra et al. 2014, Souza et al. 2015).
Tribu Rhodniini Pinto, 1926
Género Psammolestes Bergroth, 1911
6. Psammolestes arthuri (Pinto, 1926)
El género Psammolestes spp. lo conforman tres especies, incluyendo Ps. arthuri, P. coreodes Bergroth, 1911 y P. tertuis Lent y Jurberg, 1965, de las que solo se ha capturado en el territorio nacional la primera de las taxa mencionadas (Lent y Wygodzinsky 1979, Ramírez-Pérez 1987, Galvão et al. 2003, Soto-Vivas 2009). La ubicación geográfica de Ps. arthuri se encuentra restringida a Colombia y Venezuela, donde se le identificó por vez primera y se le ha capturado en hasta 15 estados (Aragua, Anzoátegui, Apure, Barinas, Carabobo, Cojedes, Guárico, Lara, Miranda, Mérida, Monagas, Portuguesa, Táchira, Trujillo y Yaracuy), a altitudes que superan los 1.000 m y una amplia variedad de zonas bioclimáticas (bosque muy seco tropical, bosque seco tropical, bosque espinoso premontano, bosque seco premontano) (Carcavallo et al. 1977, Ramírez-Pérez 1987, Galvão et al. 2003, Soto-Vivas 2009, 2010). A pesar de esto, luce importante comentar los hallazgos de Gurcel-Gonçalves y Silva (2009), quienes empleando modelo de nicho ecológico logran predecir que la distribución geográfica de Ps. arthuri puede llegar a ser discontinua abarcando áreas húmedas y calientes desde los llanos de Venezuela hasta franjas meridionales (este y oeste) en la Amazonía.

Los huevos de Ps. arthuri (Fig. 26d), que han sido estudiados mediante microscopía fotónica y MEB, son pequeños (1,67 x 0,82 mm) y ovipuestos en masas regulares y fijados con firmeza al sustrato, incluyendo las plumas de aves paseriformes Linnaeus, 1758 (Pifano 1941, Carcavallo et al. 1975, Lent y Wygodzinsky 1979, Aldana et al. 1997, Barata 1998), sin embargo, es pertinente señalar que Aldana et al. (1996) encuentran que en el laboratorio esta especie triatomina también puede colocar los huevos de manera aislada; a diferencia de los de sus congéneres, los huevos de Ps. arthuri no son elipsoidales; los mismos son cilíndricos y con una base ligeramente ensanchada y aplanada, que aparenta un “matraz de laboratorio”; el borde corial es largo y conspicuo, con opérculo (0,1mm) que presenta proyecciones filmentosas irregulares y abundantes. El corion es ligeramente translúcido, pero se puede observar la coloración del embrión; el exocorio posee células hexagonales dispuestas en hileras longitudinales (Lent y Wygodzinsky 1979, Barata 1998). Sus estadios ninfales se han descrito mediante mediante microscopía de luz (Carcavallo et al. 1975, Aldana et al. 1997, Galíndez et al. 1998b), sin embargo, su cría en el laboratorio posee sus dificultades debido a que las mismas muchas veces son reluctantes para alimentarse (gallinas, ratones, palomas domésticas Columba livia domestica Gmelin, 1789, cobayos: Cavia porcellus Linneo, 1758, Rodentia: Caviidae Fischer de Waldheim, 1817) (Iriarte 1941, Lent y Wygodzinsky 1979, Aldana et al. 1996); Lent y Wygodzinsky (1979), Galíndez et al. (1994a), Carcavallo et al. (1998c) y Jurberg et al. (1998) hicieron aportes por MEB a los estadios imaginales (Figs. 26e, f), incluida la genitalia de los machos, y Goncalves et al. (2016) estudiaron la ontogenia de ninfas mediante morfometría geométrica. Iriarte (1941) reporta que los huevos tardan 11 días en eclosionar.
Generalmente a Ps. arthuri se le ha considerado como un taxón de triatomino altamente especializado (Abad-Franch et al. 2015), al estar estrechamente asociado con nidos de aves del orden Passeriformes (ornitofilia) de las familias Furnariidae Gray, 1840 [(Phacellodomus rufifrons (Wied-Newied, 1821)], Troglodytidae Swainson, 1832 [Troglodytes aedon (Vieillot, 1809), T. musculus (Naumann, 1823), Campylohynochus nuchalys Cabanis, 1847], Dendrocolaptidae Gray, 1840 [Campylorhynchus zonatus (Lesson, 1832), Icteridae Vigors, 1825 [Icterus icterus (Linnaeus, 1766), I. nigrogularis (Hahn, 1816), Casicus cela (Linnaeus, 1758), Psarocolius decumanus (Pallas, 1769)], y del orden Pssitaciformes Wagler, 1830, familia Psittacidae Illiger, 1811 (Lent y Jurberg 1965, Lent y Wygodzinsky 1979, Aldana et al. 1996, Carcavallo et al. 1998a,b, Cruz-Guzmán et al. 2014, Goncalves et al. 2016) (Fig. 26a,b,c). Sin embargo, en estos nidos también se le ha asociado a roedores (ratones, ratas, ardillas: Sciuridae Fischer de Waldheim, 1817), ofidios, anfibios [Hypsiboas crepitans (Wied-Neuwied, 1824), Anura: Hylidae Rafinesque, 1815], aunque también se les ha capturado en cuevas y palmeras, pero a Ps. arthuri se le considera como una especie oportunista de estas plantas monocotiledóneas (Abad-Franch et al. 2015); y a nivel experimental se ha logrado su alimentación con perros, ratones, cobayos, además de gallinas y palomas domésticas (Columba livia domestica Gmelin, 1789) (Pifano 1941, Aldana et al. 1996, Carcavallo et al. 1998a,b, Cruz-Guzmán et al. 2014); particularmente Pifano (1941) logra la alimentación de ninfas sobre perros infectados con tripanosomiasis americana in natura, obteniendo tripomastigotes metacíclicos de T. cruzi al cabo de 30 días. A Ps. arthuri se le ha detectado infectada naturalmente con T. cruzi, además de T. rangeli, probablemente a partir de mamíferos que eventualmente habitan en los nidos abandonados de los paserinos o que los triatominos invadan las madrigueras (huecos de árboles, cuevas) de los hospedadores vertebrados, por lo que es palmaria su participación en el ciclo zoonótico de estos flagelados (Pifano 1941, Sherlock et al. 1998, Cruz-Guzmán et al. 2014). Sin embargo, también debe pensarse en la posible participación de Ps. arthuri en el ciclo antropozoonótico o doméstico del T. cruzi (Cazorla 2015), especialmente por la por vía oral por la contaminación de alimentos con sus heces infectadas (e.g., jugos de frutas) (Rueda et al. 2014, De Noya et al. 2015, Noya et al. 2015). Como ya se ha discutido previamente (Cazorla 2015), varios estudios pudieran dar sustento a esta posibilidad. En primera instancia, el reciente hallazgo, aunque en porcentajes muy bajos (0,12%), en zonas rurales del estado Anzoátegui, región nor-oriental de Venezuela, de ejemplares de Ps. arthuri naturalmente infectados en nidos de paserinos con el genotipo o unidades taxonómicas discretas (DTU) TcIII (Cruz-Guzmán et al. 2014), el cual también se ha detectado en el territorio nacional en cachicamos o armadillos (Xenarthra Cope, 1889: Dasypodidade Gray, 1821, Dasypus novemcinctus Linnaeus, 1758) y del triatomino P. geniculatus, y el marsupial-didélfido D. marsupialis Linnaeus, 1758) (Rivera et al. 2015), que posee una acentuada sinantropía; también es significativo señalar que en dicho trabajo de Cruz-Guzmán et al. (2014) varios nidos de las aves paseriformes se ubicaban en árboles con huecos que servían de guarida a Tamandua tetradactyla Linnaeus, 1758 (Xenarthra: Mymercophagidae Gray, 1825) (oso melero), o en cercanía a cuevas de D. novemcinctus (cachicamo, armadillo), Cuniculis paca (Linnaeus, 1766) (lapa) (Rodentia: Cuniculidae Miller y Gidley, 1918) o de T. tetradactyla. Asimismo, como ya se había discutido previamente (Cazorla 2015), aunque en Venezuela el DTU-TcIII aún no se ha descubierto en humanos, no obstante, en Colombia ha sido reportado en pacientes con miocardiopatía chagásica crónica, y se cree que este linaje es el producto de una recombinación entre los DTU-TcI y TcII, y una evidencia del involucramiento de los triatominos de hábitos silvestres en el ciclo doméstico de transmisión de T. cruzi (Ramírez et al. 2010); por otra parte, debe tenerse presente la fotofilia de Ps. arthuri y su captura en ambientes peridomiciliares e intradomiciliares (Angulo et al. 2012), y de que los triatominos poseen una conducta alimentaria versátil y variable de una amplia plasticidad, en la que la disponibilidad y densidad de los hospedadores vertebrados pueden tener mayor influencia que sus apetencias innatas, por lo que no debe subestimarse a priori la capacidad vectorial de ningún taxón (Rabinovich et al. 2011).
El estatus taxonómico Ps. arthuri se mantuvo estable por 70 años, hasta que en 1996 se registró a “P. salazari” como su sinonimia, en ejemplares capturados en “El Elorza”, estado Apure al sureste de Venezuela (Aldana et al. 1996, Lent 1997). La identificación por alfa taxonomía de las tres especies que integran al género, incluyendo Ps. coreodes, Ps. arthuri y Ps. tertuis, posee eventualmente sus inconvenientes debido a la semejanza morfológica entre las mismas, por lo que es recomendable complementarla con técnicas morfométricas, ultrestructurales, citogenéticas, bioquímicas y/o moleculares (taxonomía integral) (Crossa et al. 2002, Dayrat 2005, Dos Santos 2009, Filho 2011, Soto-Vivas et al. 2011, Abad-Franch et al. 2013, Da Rosa et al. 2014, Pavan y Monteiro 2014). Desde el punto de vista sistemático y filogenético, aparecen interesantes los hallazgos recientes de Soto-Vivas et al. (2011), quienes mediante un estudio filogenético por morfometría geométrica de la tribu Rhodniini (cuatro especies de Rhodnius spp. y Ps. arthuri) confirman la parafilia entre Rhodnius spp. y Psammolestes spp. obtenida y propuesta por Hypša et al. (2002) con datos moleculares (secuencias ADN ribosomal: 16S y12S), por lo que según los autores señalados las especies de Psammolestes spp. pasarían a formar parte de Rhodnius spp. en nueva combinación genérica: Rhodnius arthuri (Pinto, 1926) comb. n., R. coreodes (Bergroth, 1911) comb. n., y R. tertius (Lent y Jurberg, 1965). Hasta el presente, esta propuesta aun no pareciera tener mucha aceptación entre los taxónomos del área, y por lo tanto se requerirá mayores estudios para verificar dicha hipótesis.
A la luz de todo lo comentado, se desprende la necesidad de realizar estudios eco-epidemiológicos más detallados para indagar la real participación de esta especie triatomina en los ciclos, especialmente los antropozonóticos, de la enfermedad de Chagas.
Género Rhodnius Stål, 1859
7. Rhodnius brethesi Matta, 1919
Rhodnius brethesi es una especie triatomina cuya distribución geográfica se encuentra restringida a la cuenca amazónica (medio y alto río Negro) de Brasil, Colombia y Venezuela (bosque húmedo tropical), a altitudes desde 0 hasta los 500 m (Aguilar et al. 2007, De Souza 2013) (Fig. 27). La mayoría de las especies integrantes del género Rhodnius spp. se encuentran asociadas a palmeras o palmas (Arecales: Arecaceae), por lo que se les considera como “especialistas de palmeras”, lo que es favorecido por la posesión de almohadillas adhesivas o fossula esponjosa (fossulae spongiosae) en sus patas delanteras, y la adhesión de sus huevos al sustrato (Abad-Franch et al. 2015); dentro del género, a su vez las diversas taxas se les clasifica en generalistas (i.e., que infestan varias especies de palmeras) y especialistas (i.e., que infestan una sola especie de palmera) (De Souza 2013). La mayoría de los datos eco-epidemiológicos y biológicos sobre R. brethesi se han obtenido de estudios realizados en la Amazonia brasileña. A esta especie triatomina se le puede considerar como especialista, ya que habita exclusivamente en la palmera Leopoldinia piassaba Wallace ex Archer, 1855, denominada en español (Venezuela y Colombia) como “chiquichique” o “marama” y en la amazonia brasileña como “piaçaba”; esta especificidad de ecotopos pudiera atribuirse a que R. brethesi presenta mayor densidad y longitud de quimiorreceptores antenales que le permiten seleccionar los olores de sus hospedadores vertebrados, los cuales no poseen poblaciones abundantes dentro de las mismas (Monte 2010, De Souza 2013); las fibras colgantes de esta palmera son muy fuertes y delgadas y se utilizan para la fabricación de una amplia variedad de productos artesanales y escobas, por lo que posee una gran importancia para la economía de la región; además sus frutos son muy apetecibles por los habitantes locales; es significativo señalar que las palmeras >3m poseen mayores tasas de infestación por esta especie triatomina (Aguilar et al. 2007, De Souza 2013). También debe indicarse que se le ha capturado en cuevas de animales (e.g., D. novemcinctus, Dasypodidae) (Carcavallo et al. 1998b). Durante el proceso de extracción de las fibras de la “piaçaba”, los ejemplares de R. brethesi que la habitan pican ávida y rápidamente a los trabajadores durante el día, por lo que los denominan “piolho da piaçaba” (“piojo de la piaçaba”), causándoles muchas molestias; en estos trabajadores se han encontrado tasas de prevalencia de la enfermedad de Chagas entre 6 y 13%, cuya transmisión a nivel silvestre se atribuye a R. brethesi; este patrón epidemiológico donde no existe domiciliación del vector, se denomina de tipo ocupacional. Además de esto, debe tenerse en cuenta la transmisión oral del T. cruzi (Chagas agudo) por la contaminación vía fecal de los jugos del fruto de la “piaçaba” (Coura et al. 2002, Aguilar et al. 2007, De Souza 2013); y de hecho la transmisión por vía oral de la enfermedad de Chagas en la Amazonia brasileña se considera la más importante y eficiente, y la que ocasiona mayores tasas de mortalidad (Eickhoff et al. 2013, Barreto de Albuquerque et al. 2015). A pesar de lo discutido, debe señalarse que R. brethesi posee una buena capacidad de vuelo, por lo que no debe subestimarse su habilidad de dispersarse hacia la vivienda humana ante la evidente deforestación de la selva amazónica (Rocha et al. 2011). Como la mayoría de las especies del género Rhodnius spp., los hábitos alimentarios de R. brethesi son eclécticos pudiéndose alimentar de una amplia variedad de vertebrados (roedores, reptiles y didélfidos); esto es importante debido a que, como ya se indicó, la variedad de hospedadores detectados en la “piaçaba” no es muy amplia ni abundante (Mascarenhas 1991, Monte 2010)
Rhodnius brethesi ha sido encontrada infectada naturalmente con T. cruzi, particularmente los genotipo o unidades taxonómicas discretas (DTU) TcI y TcIV, además de T. rangeli y hemogregarinas (Apicomplexa, Gregarinomorphea, sensu Cavalier-Smith 2014) (Marcili et al. 2009b, Monte 2010, Hamilton et al. 2011).
Los huevos de R. brethesi son elipsoidales y de forma asimétrica (1,67 x 0,78 mm), con exo-corio con estructuras poligonales (Mascarenhas 1982, Barata 1998), y que, como los de sus congéneres, son fijados firmemente al sustrato lo que contribuye a su dispersión, ya que muchas aves anidan en las palmeras y poseen hábitos migratorios (Abad-Franch et al. 2009, Filho 2011); sus estadios ninfales fueron descritos mediante microscopía de luz por Mascarenhas (1987); mientras que Dos Santos (2009) pudo separar por morfometría geométrica todos sus estadios ninfales de otras seis especies del género Rhodnius spp. (R. colombiensis Mejia, Galvão y Jurberg, 1999, R. ecuadoriensis Lent y León, 1958, R. pallescens Barber, 1932, R. pictipes Stål, 1872, R. stali Lent, Jurberg y Galvão, 1993, R. milesi Carcavallo, Rocha, Galvão y Jurberg, 2001); además, Jurberg et al. (1998) estudiaron la genitalia de los machos y Da Rosa et al. (2014) la de las hembras, y Chiang et al. (2012) las glándulas accesorias del sistema reproductivo de estas últimas, Galíndez et al. (1994a) setas cuticulares, y Dos Santos-Mallet et al. (2005) aspectos morfológicos de imagos por MEB. También se han estudiado varios aspectos de su biología bajo condiciones de laboratorio (27oC; 19-35oC), alimentados con sangre de ratón (Mus musculus), que resalta su capacidad vectorial (Rocha et al. 2004); así, se tiene que los huevos de R. brethesi poseen un tiempo medio de incubación de 17 días (7-21 días), y sus estadios ninfales tardan en promedio para la ecdisis: 1o estadio (18 días), 2o estadio (16 días), 3o estadio (21 días), 4o estadio (20 días) y 5o estadio (38 días), por lo que se deduce que su ciclo vital puede tardar menos de cuatro meses (115,3 días) con tres posibles generaciones anuales con 16,3% de mortalidad; sin embargo, es importante indicar que Mascarenhas (1990) obtuvo en promedio 139 días en el ciclo vital de esta especie triatomina, aunque alimentándola con sangre de aves a 26oC y 80% HR. También destaca que R. brethesi utiliza eficientemente la sangre ingerida al necesitar alimentarse en promedio siete veces para alcanzar el estadio imaginal y dos para mudar al estadio siguiente; y sus estadios imaginales son muy voraces, pudiendo picar hasta 27 veces y muy rápido; otro aspecto biológico importante es que esta especie triatomina aumenta su capacidad de ingerir sangre de vertebrados con el tamaño de sus estadios ninfales, lo que le es necesario para la oviposición, resistencia al ayuno y capacidad de vuelo; además, destaca en su patrón de defecación que lo hace varias veces (82,8%: imagos, 30,8%: 1o estadio, 52,4%: 2o estadio, 51,4%: 3o estadio, 35,3%: 4o estadio y 65%: 5o estadio) (Rocha et al. 2004). Desde el punto de vista bioquímico, se han aislado en la saliva de R. brethesi varias clases de componentes (antihomeostáticas) que utiliza esta especie triatomina para evitar las barreras que le imponen los mecanismos homeostáticos de los hospedadores vertebrados para la hematofagia (Maranhao 2008, Costa 2009, Bussacos et al. 2011, Costa et al. 2011). En este sentido, se han identificado proteínas enlanzantes de aminas biogénicas, las cuales son de la familia de las lipocalinas; éstas al unirse a aminas biogénicas como la serotonina y la histamina previenen que se dispersen en los vasos sanguíneos de los hospedadores vertebrados y el insecto se ingurgite con normalidad (Maranhao 2008, Costa 2009, Bussacos et al. 2011, Costa et al. 2011); asimismo, se identificaron en la saliva de este triatomino otras proteínas de las que destacan: i) una proteína inhibidora de la agregación plaquetaria (SPA 1, 2) que se une al ADP para evitar que la sangre del hospedador se coagule y ocurra vasoconstricción; ii) inositol-fosfato-5 fosfatasa (IPP) la cual inhibe la acción de nucleótidos cíclicos que regulan la agregación plaquetaria y la contracción muscular, y iii) glutatión S-transferasa la cual tiene funciones en la desintoxicación de los insectos hacia los insecticidas (Maranhao 2008, Costa 2009, Bussacos et al. 2011, Costa et al. 2011).

Dentro de los linajes evolutivos que integran al género Rhodnius spp., R. brethesi pertenece al grupo “pictipes” (R. pictipes, R. stali, R. amazonicus Almeida, Santos y Sposina, 1973, R. paraensis Sherlock, Guitton y Miles, 1977, R. pallescens, R. colombiensis y R. ecuadoriensis), de las cuales muchas especies son difíciles de diferenciar mediante alfa taxonomía (Abad-Franch et al. 2009, Dos Santos 2009, Filho 2011). R. brethesi posee una coloración general negra con manchas marrones en varias partes anatómicas, lo que permite separarla de sus congéneres (Carcavallo et al. 2000, Dos Santos 2009) y su estatus taxonómico ha permanecido establece por décadas; sin embargo, se han detectado una diversidad en los patrones cromáticos en el pronoto y en la morfología de los folículos testiculares, lo que ha llevado a sugerir la posible existencia de subpoblaciones y un complejo “brethesi” (Carcavallo et al. 2000, Freitas et al. 2012); por lo tanto, esto demanda que se realicen estudios complementando la alfa taxonomía con técnicas morfométricas, ultrestructurales, citogenéticas, bioquímicas y/o moleculares bajo la óptica de la taxonomía integral (Crossa et al. 2002, Dayrat 2005, Dos Santos 2009, Filho 2011, Abad-Franch et al. 2013, Da Rosa et al. 2014, Guerra et al. 2014).
Los reportes de R. brethesi en la Amazonia de Venezuela se deben a Cova-García y Suárez (1959) y Osuna (1984), quienes la capturan en varias localidades de los municipios Atabapo (Guarima, Guarinuma, Atabapo, Sabaneta, San Fernando, Ucaquen, Santa Cruz), Guainía (Maroa) y Río Negro (Mamurividi). A diferencia de lo amplio que se ha estudiado en Brasil, es poco lo que se conoce acerca de la importancia de R. brethesi como vector de la enfermedad Chagas en la Amazonia venezolana, y ni siquiera se tiene reportes de su infección natural con T. cruzi; de hecho en esta región solo se han detectado dos ejemplares de P. geniculatus (Latreille, 1811) (Triatomini Jeannel, 1919) infectados con el flagelado (Noya-Alarcón et al. 2011a), aunque se tiene referencia de infecciones en humanos, particularmente en la etnia Yanomami, en el Alto Orinoco con 6% de prevalencia (Noya-Alarcón et al. 2011b). A la luz de lo comentado, se hace necesario realizar estudios eco-epidemiológicos más detallados de la tripanosomiasis americana en esta vasta región del territorio nacional, especialmente tomando en cuenta, como ya se ha comentado anteriormente, que la transmisión per os en la Amazonia brasileña se le considera la vía más importante y eficiente para adquirir el T. cruzi, y la que ocasiona mayor mortalidad (Eickhoff et al. 2013, Barreto de Albuquerque et al. 2015).
8. Rhodnius neivai Lent, 1953
Además de Venezuela (estados Falcón, Lara y Zulia) donde se encuentra su localidad típica (caserío Parapara, municipio Camacaro, estado Lara), a R. neivai también se le ha capturado en Colombia; se le considera de ser una especie asociada a regiones biogeográficas semiáridas (monte espinoso tropical) y del bosque muy seco tropical (Carcavallo et al. 1976c, 1977, Lent y Wygodzinsky 1979, Ramírez-Pérez 1987, Galvão et al. 2003, Soto-Vivas 2009, 2010).
Los huevos de R. neivai se han estudiado mediante microscopía fotónica y MEB (Barata 1981, 1998, Paez-Colasante y Aldana 2008); los mismos son de coloración blancuzca con conchas poco translúcidas y son fijados firmemente al sustrato; recién puestos presentan embrión de coloración pálida; mientras se desarrollan se tornan hacia unn color rosa más oscuro; poseen opérculos y collar y son achatados lateralmente, que dan un aspecto rechoncho (1,705 ± 0,043 mm x 0,979 ± 0,039 mm); el exo-corio posee superficie uniforme con canales profundos y estrechos (Barata 1981, 1998); resulta interesante el estudio hecho de manera comparativa por morfometría de la conformación geométrica del borde corial y el collar entre R. neivai y otras cuatro especies del género Rhodnius spp., encontrándose que este carácter puede constituir una importante herramienta taxonómica en Triatominae (Paez-Colasante y Aldana 2008); sus estadios ninfales fueron descritos mediante microscopía de luz (Lent y Valderrama 1977, Galíndez et al. 1998b, Aldana et al. 2000), y sus imagos se les ha complementado su estudio anatómico con MEB (Galíndez et al. 1994a, Carcavallo et al. 1998c), incluida la genitalia masculina con microscopía fotónica (Jurberg et al. 1998) y la de las hembras por MEB (Da Rosa et al. 2014) (Fig. 28). De interés ha resultado el hallazgo de que R. neivai presenta sus corpúsculos nucleolares o nucléolo (persistencia nucleolar) durante la metafase de la meiosis (Alevi et al. 2014). En Venezuela, Koshy (1979a,b) estudió su cariotipo.

A R. neivai por lo general se le considera como una especie triatomina que habita principalmente en ambientes silvestres, ya sea en palmeras (Arecales: Arecaceae) (Copernicia tectorum (Kunth) Martius, 1838 y Scheelea spp. H. Karst, 1871) o en huecos de árboles muertos (Carcavallo et al. 1976c, 1998b, Lent y Wygodzinsky 1979), por lo que no se le tiene como un vector de importancia epidemiológica. Sin embargo, como ya se ha indicado inicialmente (Cazorla y Nieves 2010), su capacidad vectorial al humano no debe subestimarse. Esto se indica por muchos factores. En primer término, debido a que esta especie triatomina se le ha detectado infectada in natura con T. cruzi (Veliz et al. 1972), además que se ha logrado su infección experimental, incluyendo T. rangeli (Sherlock et al. 1998). Por otra parte, existen reportes de capturas de ejemplares adultos y ninfas dentro del domicilio humano, y aunque no logra colonizarlo cada vez más existen reportes de la transmisión oral del T. cruzi por la contaminación alimentaria, especialmente de jugos naturales, en el territorio nacional (Noya et al. 2015); en estos estudios el insecto se le ha capturado inclusive en grandes urbes de Venezuela como Maracaibo (estado Zulia) y Barquisimeto (estado Lara) e infectada con T. cruzi (Veliz et al. 1972, Lent y Wygodzinsky 1979, De Olaria 1985), por lo que pudiera estar adaptándose a los ambientes sinantrópicos que desplazan cada vez más los ecotopos silvestres; además, debe tenerse presente que esta especie triatomina posee una amplia valencia ecológica (Cabello et al. 1987). Por otra parte, R. neivai se puede alimentar de sangre humana, así como también de aves domésticas y otros animales domésticos y de laboratorio (conejos, ratones, ratas), además de que lo hace con agresividad (Carcavallo et al. 1998a, Cabello 1999, 2001, Aldana et al. 2001).
Por ser una especie triatomina que se adapta y cría muy bien en colonias de laboratorio, se ha logrado mucha información sobre su biología, y que pueden ayudar a predecir su potencialidad vectorial. Así se tiene que se ha observado que R. neivai puede ejercer el canibalismo, por lo que sus ninfas pudieran infectarse con T. cruzi por esta vía de alimentación (Cabello 1999, 2001). En cuanto a sus patrones de defecación cuando se les alimenta con sangre humana, se tiene que la mayoría de los estadios ninfales y adultos se aproximan a la fuente alimentaria entre 0-3 minutos y se alimentan en menos de 15 minutos; sin embargo, las ninfas I de R. neivai no defecan ni siquiera media hora después de haber iniciado la ingurgitación, mientras que las ninfas II y III de esta especie triatomina poseen el mayor índice de defecación, y los restantes estadios de desarrollo exhibieron similares patrones de defecación (Aldana et al. 2001); cuando se le alimenta con ratones albinos (M. musculus) puede excretar en promedio (µL de orina): 61,7 (56,9-63,1) (ninfas IV), 145,7 (142,5-148,9) (ninfas V), 273 (265,5-280,5) (adultos) (Pérez et al. 2009). Cuando se le coloca en periodos de ayuno, de una manera general se observó que la pérdida de peso fue mayor en los adultos, y que la resistencia se incrementa con el estadio de desarrollo, teniendo las ninfas I la menor resistencia y las de IV la mayor; los estadios V e imaginales exhibieron mayor resistencia al ayuno que las ninfas II, pero menores que las de estadio III; este patrón pudiera explicar las pirámides de edades que se observan en ambientes silvestres y domésticos de esta especie triatomina, con una sección media alargada (Cabello 2001). Por todos estos datos, a R. neivai se le considera como una de las especies triatominas menos resistentes al ayuno prolongado, una propiedad que los hace más susceptibles a la acción de los insecticidas residuales (Cortez y Gonçalves 1998, Cabello 2001). Es posible que en los periodos cuando existe escasez de hospedadores vertebrados, los triatominos utilizan sus reservas energéticas de manera prioritaria para los parámetros reproductivos (número total de huevos puestos, y su promedio por hembras, fertilidad) (Cabello et al. 1987). Dependiendo de la frecuencia de alimentación, el ciclo vital puede durar entre 56 a 157 días (Carcavallo et al. 1976c, Cabello et al. 1987). La primera oviposición después de la ecdisis a imago se encuentra influenciada por la temperatura (12-13 días a 27-32°C, y 27,4 días a 22°C); a menor temperatura la eficiencia reproductiva es menor. La frecuencia de apareamiento, la fecundidad y fertilidad es decreciente durante toda su vida; los machos de R. neivai copulan a los seis días después de la emergencia y más de una vez en 24 horas, mientras estén bien alimentados y la hembra madura sexualmente entre 24 y 48 h; la oviposición es menor en hembras vírgenes; todos estos eventos se encuentran condicionados por la disponibilidad y el tipo de fuente alimentaria (Cabello et al. 1987, 1988, Coello 1992, Cabello 1999, 2001).
Como ya se había comentado previamente (Cazorla y Nieves 2010), desde que fue descrita a comienzos de los años 50 del siglo pasado R. neivai no ha presentado ninguna sinonimia, y resulta relativamente fácil distinguirla morfológicamente de sus congéneres del género Rhodnius spp., compuesto actualmente por 19 especies (Galvão y De Paula 2014). En relación con su caracterización molecular y relaciones filogenéticas, se le ha tipificado mediante genes mitocondriales y nucleares y códigos de barras de ADN determinándose que se encuentra asociada junto con R. domesticus Neiva y Pinto, 1923, al “grupo prolixus” (R. prolixus Stål, 1859, R. robustus Larrouse, 1927, R. neglectus Lent, 1954 y R. nasutus Stål, 1859) (Monteiro et al. 2000, Coutinho 2013).
9. Rhodnius pictipes Stål, 1872
La distribución geográfica de R. pictipes en el territorio nacional es amplia (Amazonas, Anzoátegui, Apure, Aragua, Barinas, Bolívar, Carabobo, Cojedes, Delta Amacuro, Falcón, Mérida, Miranda, Monagas, Portuguesa, Táchira, Trujillo, Sucre, Yaracuy, Zulia), en zonas biogeográficas que comprenden desde bosques secos hasta húmedos (bosque seco tropical, bosque húmedo tropical, bosque seco premontano, bosque húmedo premontano y el bosque muy húmedo premontano) (Carcavallo et al. 1977, Ramírez-Pérez 1987, Feliciangeli et al. 2007, Soto-Vivas 2009, 2010, Ayala et al. 2014). También se distribuye en varios países de Latinoamérica, incluyendo Belice, Brasil, Colombia, Ecuador, Guyana, Guyana Francesa, Perú, Surinam y Trinidad (Lent y Wygodzinsky 1979, Galvão et al. 2003, Bérenger et al. 2009, Galvão y Gurgel-Gonçalves 2014, Hiwat 2014).
Los huevos de R. pictipes, que se han estudiado con microscopía fotónica y MEB (Barata 1981), poseen una coloración homogénea castaño-bronceado que se tornan dorados al incidirles la luz, y tienen dimensiones: 1,77 ± 0,01 mm x 0,86 ± 0,07 mm; sus conchas son poco translúcidas con un diseño hexagonal bien delimitado del borde corial (Barata 1981); los huevos son achatados lateralmente y no presentan collar, y sus opérculos se encuentran ligeramente inclinados hacia la región achatada; el exo-corio posee hexágonos con superficie uniforme con canales profundos y estrechos y granulaciones (Barata 1981) (Fig. 29); sus estadios ninfales fueron descritos mediante microscopía de luz (Lent y Valderrama 1977, Galíndez et al. 1998b, Aldana et al. 2000), y Dos Santos (2009) hizo un estudio comparativo mediante morfometría geométrica con los estadios ninfales de otras seis especies del género Rhodnius spp., incluyendo R. colombiensis, R. ecuadoriensis, R. pallescens, R. brethesi, R. stali, R. milesi. Por su parte, Lent y Wygodzinsky (1979), Galíndez et al. (1994a) y Carcavallo et al. (1998c) mediante MEB han complementado el estudio anatómico de sus adultos (Fig. 29), y Jurberg et al. (1998) y Da Rosa et al. (2014) particularmente las genitalias masculina (microscopía fotónica) y femenina (MEB), respectivamente, y Chiang et al. (2012) las glándulas accesorias del sistema reproductivo de las hembras. Desde el punto de vista citogenético, se tiene que R. pictipes posee 22 cromosomas autosómicos y 2 sexuales (XY), que se considera típico de Rhodniini (Santos 2010). Como la mayoría de las taxa de Rhodnius spp., R. pictipes presenta sus corpúsculos nucleolares o nucléolo (persistencia nucleolar) durante la espermogénesis (Alevi et al. 2014). En Venezuela, Koshy (1979a,b) también realizó estudios sobre su cariotipo.

Aldana et al. (2001) indagaron mediante un alimentador artificial a través de membrana de silicona con sangre humana los patrones de defecación de R. pictipes; sin embargo, los insectos fueron reluctantes a ingurgitarse y solo se acercaron cuando se les ofreció contacto directamente con el cuerpo humano; los autores concluyeron que “Esta diferencia la atribuimos a que posiblemente esta especie requiere más que una diferencia de temperatura entre el insecto y la fuente alimenticia”. Por contraste, Rocha et al. (1997) lograron alimentar artificialmente (sangre de cordero) con éxito a esta especie triatomina, así como también con ratones (M. musculus), indicando que R. pictipes “puede considerarse como un modelo experimental importante y viable”; similar éxito obtuvieron Otero et al. (1976), Lent y Valderrama (1977), Rocha et al. (1994) y Da Silva y Da Silva (1989) con palomas, ratones y gallinas. De estos trabajos experimentales se han obtenido datos de su biología. En este sentido, R. pictipes muestra una gran avidez hacia el acto de hematofagia al tardar menos de 5 minutos en picar y defeca de inmediato y en 60% de los casos lo hace sobre la fuente alimentaria, por lo que posee un potencial vectorial bueno (Rocha et al. 1994), sin embargo, algunos ejemplares “fingen” estar muertos cuando se les perturba y adoptan una variedad de posiciones poco comunes, y después de la hematofagia se voltean, elevan el abdomen y entonces defecan directamente en el sitio de la succión (Lent y Wygodzinsky 1979, Galvão y Gurgel-Gonçalves 2014); el periodo medio de incubación de los huevos es de 14 días (13-18 días), con una tasa de mortalidad de 38% (12%: ninfas I, 26%: ninfas V; 0% en los demás estadios); la duración de la alimentación, el intervalo entre la eclosión, la muda y la primera comida se incrementó con el estadio de desarrollo (Rocha et al. 1994). Estos últimos autores señalados obtuvieron una duración media del ciclo huevo-adulto de 278 días (151-483 días) para esta especie triatomina, mientras que Otero et al. (1976) 118 días (112-140 días), Lent y Valderrama (1977) 190 días (138-274 días) y Da Silva y Da Silva (1989, 1990) 152 días a 25°C y 118 días a 30°C.
Como la gran mayoría de sus congéneres del género Rhodnius spp. (Abad-Franch et al. 2015), R. pictipes se encuentra asociada a palmeras (“especialistas de palmeras”), cuya infestación por los triatominos se considera un factor de riesgo relevante en la transmisión de la enfermedad de Chagas (Ricardo-Silva et al. 2012, Saldaña et al. 2015), incluyendo varias taxa de estas plantas monocotiledóneas (Acrocomia aculeata (Jacq.) Lodd. ex Mart. 1845, Copernicia alba Morong, 1893, Attalea speciosa Mart. ex Spreng., 1825, Oenocarpus bataua var. Bataua (Mart., 1823) Burret 1929, Oenocarpus bacaba Mart.1823, Attalea maripa (Aubl.) Mart., Attalaea phalerata Mart. ex Spreng., 1825, Orbignya speciosa, Astrocaryum murumuru Mart., Scheelea spp. y Attalea spp. H.B.K. 1816) (Carcavallo et al. 1998a,b, Teixeira et al. 2001, Massaro et al. 2008, Fé et al. 2009a,b, Ricardo-Silva 2010, Ricardo-Silva et al. 2012), por lo que se le puede clasificar como generalista de las mismas dentro del género Rhodnius spp. (De Souza 2013); asimismo, se le ha capturado en el árbol Lucuma lasiocarpa Mart. (Ericales: Sapotaceae) y bromeliaéceas (e.g., Aechmea spp. Ruiz y Pav.) (Miles et al. 1983, Carcavallo et al. 1998a,b, Ricardo-Silva 2010, Ricardo-Silva et al. 2012), y en cuevas de animales, especialmente mamíferos, y árboles huecos; dentro de sus fuentes de alimentación están: aves, murciélagos, marsupiales (D. marsupialis, Marmosa cinerea (Temminck, 1824), Didelphidae), roedores (Sigmodon spp. Say y Ord, 1825, Cricetidae Fischer, 1817; Muridae Illiger, 1811, Rattus norvegicus), oso melero (T. tetradactyla), perros, cochinos, caballos (Equus caballus), humanos, aves de corral (gallina), anfibios y lacertilios (Miles et al. 1983, Carcavallo et al. 1998a,b, Fé et al. 2009a,b, Ricardo-Silva 2010, Ricardo-Silva et al. 2012). Es signifivativo el hallazgo de la hemolinfagia en la Amazonia brasileña como importante fuente alimentaria de esta especie triatomina ante la ausencia de vertebrados (Ricardo-Silva 2010, Ricardo-Silva et al. 2012).
Rhodnuis pictipes es una especie triatomina que se le ha detectado naturalmente infectada con T. cruzi y en porcentajes elevados (linajes TcI, TcII, TcIV, Tc híbrido: TcV/TcVI), además de T. rangeli (TrE), especialmente en la región de la amazonía de Brasil, Ecuador, Surinam y Perú, donde logra colonizar el peridomicilio y domicilio humano, muchas veces atraídos hacia fuentes lumínicas, un factor que puede incrementar el contacto entre vectores y humanos (Erazo y Cordovez 2016), o también los imagos de esta especie triatomina poseen capacidad de vuelo y se alimentan (aves de corral, palomas, perros, humanos) durante horas nocturnas desde sus sitios de cría (palmeras, cuevas de animales); además, es importante señalar que en varios sitios de la amazonía es la especie triatomina de mayor abundancia durante las capturas, y de que se le señala por la transmisión oral de la enfermedad de Chagas por la contaminación fecal de alimentos consumidos sin cocción, como por ejemplo jugos elaborados con frutos de palmeras (“açaí”), o de bebidas fermentadas con base en mandioca o yuca (“masato dulce”) (Manihot suculenta Cranzt, Euphorbiaceae Juss). Por todo lo comentado, se le considera un vector de la enfermedad de Chagas en estas regiones, donde la protozoosis aparece emergente (Miles et al. 1983, Rocha et al. 1996, Naiff et al. 1998, Aguilar et al. 1999, Teixeira et al. 2001, Luitgards-Moura et al. 2005a, Fé et al. 2009a,b, Valente et al. 1998, 2009, Torres y Cabrera 2010, Cabrera et al. 2010, 2013, Hamilton et al. 2011, Hiwat 2014, Lima et al. 2014). Un estudio acerca de su distribución geográfica y ecológica mediante modelaje por nicho ecológico, predijo que R. pictipes posee mayor probablidad de hacerlo hacia la región septentrional de Brasil (Gurgel-Gonçalves et al. 2012).
En Venezuela, a R. pictipes se le ha detectado en el domicilio humano, aunque en bajas proporciones e infectada naturalmente con T. cruzi (Mármol 1971, Feliciangeli et al. 2007, Longa y Scorza 2007, Serrano et al. 2008, García-Jordán et al. 2015), siendo particularmente interesante el hallazgo del linaje TcI del flagelado en un ejemplar capturado en áreas silvestres de la región zuliana (Añez et al. 2011) y en el estado Miranda (Carrasco et al. 2012); todos estos datos apuntan de la potencial importancia epidemiológica de R. pictipes en el territorio nacional, siendo necesario incrementar los estudios, especialmente en la región amazónica.
Como ya se había indicado anteriormente, dentro de las 19 especies que integran actualmente al género Rhodnius spp. (Galvão y De Paula 2014), R. pictipes pertenece al linaje pictipes, el cual originó dos grupos: el trans-andino (pallenscens) y el Amazónico (pictipes) (R. pictipes, R. amazonicus, R. paraensis, R. stali) (Abad-Franch y Monteiro 2007, Abad-Franch et al. 2009, Dos Santos 2009, Filho 2011). Debido a que los integrantes del grupo son muy afines morfológicamente, los estatus taxonómico de R. pictipes y otras especies congéneres han tenido inconvenientes; en este sentido, R. stali y R. amazonicus se describieron como especies nuevas para la ciencia a partir de material entomológico que se consideró anteriormente como perteneciente a “R. pictipes” (Lent et al. 1993, Bérenger y Pluot-Sigwalt 2002); mientras que Aldana et al. (2003) concluyeron que la morfología de la genitalia del macho de una colonia de R. pictipes posee una variabilidad fenotípica muy amplia, por lo que consideraron que la misma no es un parámetro taxonómico estable. De interés ha resultado el estudio filogeográfico mediante secuencias de gen mitocondrial cytb y del espaciador ribosomal nuclear ITS-2, de subpoblaciones de R. pictipes de varios de países de la región amazónica (Bolivia, Brasil, Colombia, Guayana Francesa, Ecuador); la investigación reveló que R. pictipes representa un complejo parafilético de cuatro especies crípticas, de las cuales tres son nuevas para la ciencia (Pavan 2009), aunque hasta el presente niguna se ha descrito formalmente. A la luz de lo comentado, se ha necesario aplicar para el estudio preciso de esta especie triatomina de los criterios de la taxonomía integral.
10. Rhodnius prolixus Stål, 1859
Rhodnius prolixus junto con T. infestans son los principales vectores de la enfermedad de Chagas en América Latina (Lent y Wygodzinsky 1979, Schofield y Galvão 2009, Galvão y Justi 2015). Como se comenta más adelante, R. robustus s.l. y R. prolixus comprenden un complejo de especies crípticas difíciles de diferenciar por alfa taxonomía (Monteiro et al. 2000, 2003); es por ello que se estima que muchos registros previos de R. prolixus, por ejemplo en Brasil, Guayana Francesa, Guyana y Surinam, se debe a “identificaciones incorrectas”, por lo que actualmente se considera que esta especie triatomina no se distribuye en estos países del escudo guayanés (Monteiro et al. 2003, Pavan y Monteiro 2007, Bérenger et al. 2009, Galvão y Gurgel-Gonçalves 2014, Hiwat 2014). En el caso de los países de América Central y México, se considera que la presencia de R. prolixus en esta región se debió a un accidente de laboratorio ocurrido en El Salvador en 1915, cuando se llevaron especímenes procendentes de “La Guaira” (actual estado Vargas) criados experimentalmente en Francia para ensayos de xenodiagnóstico, por lo que no se le tiene como endémica de la región (Hashimoto y Schofield 2012); y desde allí se expandió a Guatemala y luego al sur de México, siguiendo hacia Honduras, Nicaragua y Costa Rica, y no se le ha reportado en Belice y Panamá; resalta el hecho de que las poblaciones mesoamericanas de R. prolixus perdieron su capacidad de reproducirse a nivel silvestre y se adaptaron en áreas peri e intradomiciliares, lo que ha permitido su exitoso control, especialmente con insecticidas de origen químico (Cedillos et al. 2012, Hashimoto y Schofield 2012). En 1997, los Ministerios de Salud de estos países junto con la Oficina Panamericana de la Salud (OPS) acordaron la creación del programa “Iniciativa de los Países de Centroamérica para el Control de la Enfermedad de Chagas (IPCA)”; la aplicación de este programa aparentemente fue exitoso y desde 2011 la OPS ha certificado la eliminación de la transmisión de la enfermedad de Chagas por R. prolixus en dichos territorios mesoamericanos, por lo que pareciera ser que este vector se encuentra aparentemente eliminado de la región (Cedillos et al. 2012, Hashimoto y Schofield 2012). En constraste con los países señalados, R. prolixus se encuentra ampliamente distribuida en Colombia y Venezuela, donde se le considera como el principal vector de la enfermedad de Chagas (Ramírez-Pérez 1987, Guhl et al. 2007, Feliciangeli 2009, Schofield y Galvão 2009, Soto-Vivas 2009, Cazorla y Nieves 2010). En Venezuela, esta especie triatomina se distribuye en todo el territorio continental hasta lo 2.000 m de altitud y una amplia variedad de zonas bioclimáticas (Carcavallo et al. 1977, Ramírez-Pérez 1987, Galvão et al. 2003, Schofield y Galvão 2009, Soto-Vivas 2009, 2010). Además de su bien documentada capacidad de domiciliación, tanto en Colombia como en Venezuela R. prolixus posee poblaciones silvestres; y como la mayoría de sus congéneres del género Rhodnius spp. se encuentra asociada a palmeras (“especialista de palmera”), incluyendo Elaeis guineensis Jacq. 1897 (palma aceitera), Attalea butyracea, A. humboltiana, Copertnitia tectorum, Mauritia flexuosa, M. minor, Acrocomia sclerocarpa, A. aculeata, Orbignya speciosa, Maximiliana elegans, Sabal mauritiaformis, Scheelea spp., Coccos nucifera, Oenocarpus batana, Leopoldina piassaba, Jessenia policarpa, J. batana (Carcavallo et al. 1998a,b, López et al. 2007, Morocoima et al. 2010b, Abad-Franch et al. 2015). También se le detecta en árboles, tales como Samanea saman (Jacq.) Merr. (Fabales Bromhead: Fabaceae Lindley (Leguminosae Jussieu, nom. cons.), Chlorophora spp. (= Milicia spp.) (Rosales, Moraceae), y en bromeliaceas (Aechmea spp.); en asociación con nidos de aves, incluyendo Agamia agami (Gmelin, 1789) (Pelecaniformes Sharpe, 1891: Ardeidae Leach, 1820), Ciconia maguari (Gmelin, 1789) (= Euxenura maguari) (Ciconiiformes Bonaparte, 1854: Ciconiidae Sundevall, 1836), Theristicus caudatus (Boddaert, 1783) (Pelecanifromes: Threskiornithidae Richmond, 1917), Cercibis oxycerca (Spix, 1825) (Pelecanifromes: Threskiornithidae), Caracara plancus (Miller, 1777) (Falconiformes: Falconidae), Mimus gilvus (Vieillot, 1808) (Passeriformes: Mimidae), Mycteria americana L. (Ciconiiformes: Ciconiidae), Neochon jubata (Spix, 1825) (Anseriformes: Anatidae), Phacellodomus rufifrons (Passeriformes: Furnariidae), Pheugodedius rutilus (= Thryothorus rutilus) (Vieillot, 1819) (Passeriformes: Troglodytidae); en refugios de mamíferos incluyendo D. marsupialis, Marmosa cinerea, Philander spp., T. tetradactyla, Conepatus semistriatus (mapurite) (Boddaert, 1785) (Carnivora: Mephitidae), Cuniculus pacca, Dasypus novemcinctus, Oechymys concolor Wagner, 1845 (Rodentia: Cricetidae), Rattus rattus; y de lacertilios (Squamata Oppel, 1811) como Ameiva spp. Meyer, 1795 (Teiidae Gray, 1827) y otras taxa de lagartos, anuros; a nivel peridomiciliar se le asocia con gallineros y palomares, cochinos, gatos, perros, bovinos; también puede ejercer el canibalismo (Carcavallo et al. 1998a,b, López et al. 2007).
Varios autores han estudiado las características de los huevos de R. prolixus mediante microscopía fotónica y MEB (Uribe 1927, Briceño-Iragorry 1934, Barata 1981, 1998, Chaves y Añez 2003, Chaves et al. 2003, Paez-Colasante y Aldana 2008); destaca el hecho que los mismos se ponen fijados al sustrato, y son blancuzcos con conchas poco translúcidas con tonos blanco níveo o salmón claro y un discreto brillo áureo; recién puestos presentan embrión de coloración rosa clara y después oscurece hasta llegar a tonalidades más rojizas (Fig. 5H). Poseen forma elipsoidal y acentuadamente asimétricos (1,78 ± 0,08 mm x 0,93 ± 0,04 mm), con achatamiento lateral, con cuello y borde corial prominente; opérculo ligeramente plano; el exo-corio posee superficie uniforme con canales profundos y bordes salientes, posee hexágonos, con superficie lisa y con puntos esféricos conspicuos situados entre las intersecciones “LL”, que see pueden visualizar tanto a microscopía óptica como MEB (Barata 1981, 1998); Chaves y Añez (2003) y Chaves et al. (2003) analizaron los cambios geométricos y morfométricos durante el desarrollo, mientras que Paez-Colasante y Aldana (2008) encontraron diferencias con respecto a otras cuatro especie de Rhodnius spp., al estudiar con morfometría geométrica la conformación del borde corial y el collar de R. prolixus. Los estadios ninfales de este vector se han estudiado mediante microscopía de luz y MEB (Galíndez et al. 1998b, Aldana et al. 2000), y sus imagos se les ha complementado su estudio anatómico con MEB (Carcavallo et al. 1998c), incluida la genitalia masculina con microscopía fotónica (Lent y Jurberg 1969a, Lent y Wygodzinsky 1979, Jurberg et al. 1998) y la de las hembras por MEB (Da Rosa et al. 2014) y las setas cuticulares (Galíndez et al., 1994a) (Figs. 5, 12).
Al revisar las bases de datos de referencias científicas como PubMed o Lilacs, de una vez resalta la amplia cantidad de trabajos (n = 1.121 y n = 228, respectivamente) que se han realizado con R. prolixus, por lo que seguramente es la especie triatomina mejor estudiada; lo cual se explica, en primer término, por la facilidad con la cual se le mantiene en colonias a nivel de experimental, existiendo numerosas en muchos laboratorios alrededor del mundo; y por otra parte, por la ya comentada importancia sanitaria. Ya desde comienzos del siglo pasado ha servido de modelo biológico de una amplia variedad de estudios, incluyendo los de Bioquímica, Fisiología, moleculares, relación párasito-vector, etológicos; de hecho, muy recientemente se ha logrado la secuenciación de su genoma (Mesquita et al. 2015).
Los datos obtenidos a nivel de laboratorio y de campo sobre su biología corroboran y dan más luces acerca de la elevada capacidad vectorial de R. prolixus, convirtiéndolo en un excelente transmisor. En este sentido, hay que considerar su alto grado de domiciliación, alcanzando hasta miles de individuos en las viviendas; además, es un insecto que tiene un ciclo vital entre 3-4 meses, con una eficiente y expedita defecación y en grandes volúmenes; su eclecticismo alimentario que al parecer pudiera ejercer hasta la fitofagia; con elevadas tasas de infección por T. cruzi (Lent y Wygodzinsky 1979, Zeledón 1983, Ramírez-Pérez 1987, Aldana et al. 2001, Díaz-Albiter et al. 2016).
11. Rhodnius robustus sensu lato (s.l.) Larrousse, 1927
Dentro de los linajes evolutivos que integran al género Rhodnius spp., R. robustus pertenece al grupo “prolixus” (R. prolixus, R. nasutus Stål 1859, R. domesticus Neiva y Pinto, 1923, R. neglectus Lent, 1954, R. barretti Abad-Franch, Palomeque y Monteiro, 2013, R. marabaensis Souza, 2016), de las cuales muchas especies son difíciles de diferenciar mediante alfa taxonomía (Solano et al. 1996, Abad-Franch et al. 2009, 2013, Dos Santos 2009, Filho 2011, Souza 2016). Desde su descripción original por parte de Larrousse (1927), el estatus taxonómico de R. robustus ha tenido varios inconvenientes y controversias, especialmente debido a que es muy afín morfológicamente con R. prolixus, siendo virtualmente indistinguibles (Solano et al. 1996, Lyman et al. 1999, Monteiro et al. 2000). En este sentido, Larrousse (1927) empleo criterios morfométricos y de coloración de adultos para su separación específica de este último taxón señalado. Posteriormente, se aportaron otros rasgos morfológicos diferenciales diagnósticos, como la estructura de la genitalia masculina (proceso medio del pigoforo, placa media del aedeagus) y la coloración de la tibia trasera de las ninfas IV y V (Lent y Wygodzinsky 1979); sin embargo, Harry (1993a) concluyó que estos caracteres morfológicos de la genitalia del macho son muy variables y de poco valor como herramienta taxonómica, por lo que la coloración de las tibias traseras ninfales sería el carácter morfológico más útil (Pavan y Monteiro 2007); aunque Aldana et al. (2000) y Superlano et al. (2006) también encontraron otras diferencias morfológicas en estos estadios inmaduros. Asimismo, varios estudios argumentaron sobre la sinonimia de ambas taxa (Harry et al. 1992, Harry 1993a,b); sin embargo, la evidencia molecular confirmó que ambas representan linajes evolutivos diferentes (Lyman et al. 1999), y que además R. robustus es muy heterogenea pudiendo representar varias especies incipientes (Monteiro et al. 2000). Ante estos problemas de identificación, en los estudios epidemiológicos se implementaba muchas veces desde un punto de vista “pragmático”, el criterio de que R. prolixus es de coloración más oscura, de menor talla y que además formaba colonias intradomiciliares; y por contraste, R. robustus presentaba tallas mayores con coloración más clara y de hábitos selváticos (Pavan y Monteiro 2007); sin embargo, existen ejemplares de R. robustus de menores tallas (Lent y Wygodzinsky 1979). En su análisis filogeográfico molecular (gen mitocondrial citB; gen nuclear: región D2 de 28SRNA) de varias poblaciones de R. prolixus y R. robustus, Monteiro et al. (2003) encontraron que el primer taxón mencionado comprende un solo clado monofilético homogéneo, mientras que R. robustus se encuentra integrado por cuatro clados parafiléticos, denominados temporalmente como R. robustus I, R. robustus II, R. robustus III y R. robustus IV, los cuales representarían un complejo de especies crítpticas (R. robustus s.l.) (Monteiro et al. 2003); adicionalmente, Abad-Franch et al. (2013) hallaron otro haplotipo (R. robustus V) y consideran que R. montenegresi Da Rosa et al. 2012 representa en realidad uno de estos haplotipos; en es mismo sentido, Tartarotti et al. (2010) basados en patrones de esterasas, consideran que R. domesticus es una especie derivada de R. robustus s.l. Sin embargo, hasta el presente no existe una descripción formal de estas taxa que integran al complejo. Para resolver estos inconvenientes taxonómicos planteados, también se han propuesto y aplicado muchas veces con éxito, varias herramientas complementarias tales como la morfometría geométrica (Matias et al. 2001, Villegas et al. 2002, Gurgel-Gonçalves et al. 2008, Márquez y Saldamando-Benjumea 2013) y euclideana tradicional (Galíndez et al. 1994b, Harry 1994), análisis de sensilas antenales (Catalá y Schofield 1994), análisis de hidrocarbonos cuticulares (Solano et al. 1996), citogenética (Pérez et al. 1992), electroforesis de hemoproteínas salivares (Soares et al. 1998) y de isoenzimas (Harry et al. 1992, Harry 1993b, Solano et al. 1996, Monteiro et al. 2002) y el entrecruzamiento (Superlano et al. 2006); sin embargo, no todas estas herramientas y metodologías se han aplicado a la totalidad de los clados o haplotipos del complejo R. robustus s.l. Similar consideración se da con la implementación de otras metodologías y trabajos de tipo molecular (García et al. 1998, Lyman et al. 1999, Feliciangeli et al. 2002, Harry et al. 2008). Pavan y Monteiro (2007) desarrollaron un ensayo de PCR con ADN mitocondrial (mtDNA) multiplex, el cual permite con éxito y aceptables costos la diferenciación de los integrantes de dicho complejo de especies crípticas. Sin embargo, en algunas áreas las poblaciones de R. prolixus y del complejo R. robustus s.l. se pueden entrecruzar y producir hibridización y ocasionar introgresión en el mtDNA (Fitzpatrick et al. 2008), por lo que puede eventualmente ocasionar resultados confusos; para solventar esta problemática, Paván et al. (2013) desarrollaron una metodología basada entonces en el ADN nuclear, conteniendo un polimorfismo de nucleótido único. De relevancia han resultado los hallazgos recientes de Pavan et al. (2016), quienes encuentran que las ninfas II y III de R. prolixus y R. robustus II poseen ritmos circadianos
diferentes, siendo las de R. prolixus más activas durante los ciclos luz/oscuridad y las condiciones constantes de oscuridad, por lo que estos autores consideran que la conducta se puede utilizar como herramienta taxonómica para diferenciar especies crípticas.
El complejo R. robustus s.l. se encuentra distribuido en Brasil, Bolivia, Colombia, Ecuador, Guyana Francesa, Perú, Surinam y Venezuela (Lent y Wygodzinsky 1979, Galvão et al. 2003, Hiwat 2014). En el territorio nacional se le ha reportado en varios estados (Amazonas, Apure, Barinas, Bolívar, Cojedes, Falcón, Mérida, Monagas, Portuguesa, Sucre, Táchira, Trujillo, Yaracuy, Zulia) (Ramírez-Pérez 1987, Galvão et al. 2003, Pavan y Montero 2007, Ayala et al. 2014); en cuanto a los integrantes del complejo, solo se ha tipificado a R. robustus I en tres poblaciones del estado Trujillo, región andina, y R. robustus IV en el estado Portuguesa, región llanos occidentales (Pavan y Monteiro 2007).
Las características de los huevos de R. robustus s.l. se han estudiado mediante microscopía fotónica y MEB (Barata 1981, 1998, Paez-Colasante y Aldana 2008); como los de sus congéneres, los mismos se ponen fijados al sustrato, y son blancuzcos con conchas poco translúcidas con tonos blanco níveo o salmón claro y un discreto brillo áureo; recién puestos presentan embrión de coloración rosa clara y después oscurece hasta llegar a tonalidades más rojizas. Poseen forma elipsoidal y acentuadamente asimétricos (1,606 ± 0,1 mm x 0,932 ± 0,028 mm), con achatamiento lateral, con cuello y borde corial prominente; opérculo ligeramente plano; el exo-corio posee superficie uniforme con canales profundos y bordes salientes, posee hexágonos, con superficie lisa y con puntos esféricos conspicuos situados entre las intersecciones “LL” (Barata 1981, 1998) (Fig. 30); Paez-Colasante y Aldana (2008) estudiaron con morfometría geométrica la conformación del borde corial y el collar de R. robustus s.l. y la compararon con otras cuatro especies del género Rhodnius spp., encontrando diferencias. Sus estadios ninfales se han estudiado mediante microscopía de luz (Galíndez et al. 1998b, Aldana et al. 2000), y sus imagos se les ha complementado su estudio anatómico con MEB (Carcavallo et al. 1998c), incluida la genitalia masculina con microscopía fotónica (Lent y Jurberg 1969a, Lent y Wygodzinsky 1979, Jurberg et al. 1998) y la de las hembras por MEB (Da Rosa et al. 2014) y las setas cuticulares (Galíndez et al., 1994a) (Fig. 31).


Las investigaciones sobre la biología de R. robustus s.l. en condiciones de laboratorio es amplia (Jurberg et al. 1970, Tonn et al. 1976, Jurberg y Rangel 1980, Braga et al. 1999, Rocha et al. 2001, 2014, Sant’Anna et al. 2001, Palomeque et al. 2003, Chaves et al. 2004, Aldana et al. 2005, Pérez et al. 2009, Barreto-Santana et al. 2011, Rubio et al. 2013). En este sentido, las hembras de R. robustus s.l. poseen una fecundidad de 13,91 ± 3,69 huevos/hembra/semana, con un tiempo promedio de preoviposición de 13,87 ±5,82 días y de oviposición de 5,91 semanas, fertilidad de 78,30%, y los huevos tardan entre 10-21 días en eclosionar. El ciclo biológico dura entre 70-365 días, siendo el valor más corto cuando se alimenta con sangre humana (70 días), aunque mayor la mortalidad de las ninfas, la cual es mayor en las de estadio I; y las hembras presentan un perfil de mortalidad que se adapta al modelo de Gompertz. El número de ingurgitaciones necesarias para ecdisis: ninfas I (1-4), ninfas II (1-6), ninfas III (2-5), ninfas IV (3-10), ninfas V (3-7). Esta especie triatomina detecta rápidamente su fuente alimentaria (en promedio 2,5 minutos) y en promedio la puede picar varias veces con 1,5 interrupciones; en promedio una ninfa V puede ingerir >150 mg de sangre (hasta 329 mg), siendo también las que más tardan en ingurgitarse; es una especie que defeca durante la alimentación y relativamente fácil en un buen porcentaje de las veces; las ninfas I tardan más en defecar y las que menos lo hacen, y >88% de los machos y ninfas IV-V logran deyectar; con excepción de las ninfas III y V que pueden hacerlo hasta en 34 minutos, más del 50% de los estadios tardaron menos de 15 min para ingurgitarse; cuando se le alimenta con ratones albinos (M. musculus) puede excretar en promedio (µL de orina): 0,31 (0,21-0,42) (ninfas IV), 0,72 (0,55-0,89) (ninfas V), 1,12 (0,91-1,35) (adultos). R. robustus s.l. puede tener una tasa total media de ingurgitación sanguínea (mg/min) en alimentador artificial: 16,9, en paloma: 13,3 y en ratón: 7,4; mientras que en promedio puede tener los siguientes números y tiempos (segundos) respectivamente, de eventos de interrupción de la alimentación o de solo probar de: 4,1/15,4 (alimentador artificial), 4,4/76,3 (paloma) y 8,5/72,9 (ratón). Los machos pueden resistir en promedio el ayuno: 19,2 días y 19,8 días las hembras, las que ingieren mayor cantidad de sangre, e inician en promedio 14,1 (hembras) vs. 9,666 (machos) vuelos después de ingurgitarse.
De Azambuja et al. (1991) caracterizaron y compararon los hemocitos de R. robustus s.l. con los de varias taxa de Triatominae, y Ruiz et al. (2015) los de R. robustus s.l. (ninfas IV/V) con los de R. prolixus; y en Venezuela, Koshy (1979a,b) estudió su cariotipo. Alevi et al. (2014) confirmó que, como la mayoría de sus congéneres, R. robustus s.l. presenta sus corpúsculos nucleolares o nucléolo (persistencia nucleolar) durante la metafase de la meiosis.
Maranhao (2008), Costa (2009), Bussacos et al. (2011) y Costa et al. (2011) han estudiado desde el punto de vista proteonómico y transcriptómico las glándulas salivares de R. robustus s.l., encontrándose hasta 111 proteínas. De interés resultó el hallazgo de varias proteínas que son indispensables para que el triatomino realice la hematofagia (antihomeostáticas). Estas incluyen proteínas enlanzantes de aminas biogénicas, las cuales son de la familia de las lipocalinas, que se unen a las aminas biogénicas (e.g., serotonina, histamina) por lo que impiden que estas sustancias químicas se dispersen en los vasos sanguíneos de los vertebrados y en consecuencia el triatomino se alimenta sin eventualidades; nitroforinas (proteínas enlazantes del óxico nítrico); proteína inhibidora de la agregación plaquetaria; inositol-fosfato-5 fosfatasa, que actúa inhibiendo la acción de nucleótidos cíclicos que regulan la agregación plaquetaria y la contracción muscular; también se detectó una proteína de dominio Kazal muy parecida a la brasiliensina de T. brasiliensis Neiva, 1911, y que es un inhibidor de la trombina (Maranhao 2008, Bussacos et al. 2011, Costa et al. 2011).
A R. robustus s.l. generalmente se le ha considerado de ser una especie de hábitos silvestres asociada exclusivamente a palmeras y que ocasionalmente era atraída por la luz artificial (Lent y Wygodzinsky 1979 y Carcavallo et al. 1998a,b). Las palmeras representan un factor de riesgo relevante en la transmisión de la enfermedad de Chagas (Ricardo-Silva et al. 2012, Saldaña et al. 2015). Este tipo de plantas monocotiledóneas especialmente las que poseen porte grande y coronas complejas (e.g., A. butyracea, A. aculeata) y algunas de coronas de tamaño mediano (e.g., Copernitia spp.), favorecen la presencia y residencia de vertebrados, mantienen un microclima relativamente estable y proporcionan a los triatominos una superficie adecuada para la oviposición; siendo mayor la abundancia de triatominos en la época de lluvias (Meneguetti et al. 2012, Abad-Franch et al. 2015).
Como ya se había indicado anteriormente, la mayoría de las taxa del género Rhodnius spp. se les considera como “especialistas de palmeras”, con mayor énfasis las del complejo Attalea spp. (Attalea spp., Maximiliana spp., Orbignya spp. y Scheelea spp.) (Ricardo-Silva 2010, Ricardo-Silva et al. 2012, Abad-Franch et al. 2015). Como sus congéneres, R. robustus s.l. también se encuentra asociada a palmeras, incluyendo M. flexuosa, M. carana Wallace, A. aculeata, A. phalerata, A. maripa, A. sclerocarpa, Maximiliana regia, M. maripa, Orbignya speciosa, Astrocaryum aculeatum G. Mey, Astrocaryum murumuru, Oenocarpus bacaba, Scheelea spp. y Mauritia spp.) (Lent y Valderrama 1973, Miles et al. 1983, Carcavallo et al. 1998a,b, Feliciangeli et al. 2002, Longa y Scorza 2007, Fe et al. 2009a,b, Ricardo-Silva 2010, Ricardo-Silva et al. 2012, Dias et al. 2014, Abad-Franch et al. 2015), por lo que se le puede clasificar como generalista de las mismas dentro del género Rhodnius spp. (Ricardo-Silva 2010, Ricardo-Silva et al. 2012, De Souza 2013, Abad-Franch et al. 2015); asimismo, se le ha capturado en bromeliáceas (e.g., Aechmea spp. con M. trinidadensis) (Ricardo-Silva 2010, Ricardo-Silva et al. 2012, Carcavallo et al. 1998a,b). En estos hábitats se le relaciona con nidos de roedores; marsupiales, murciélagos, aves; dentro de sus fuentes de alimentación están: aves (Cathartes aura L. (buitre americano), Accipitriformes: Cathartidae Lafresnaye, 1839; Dendrexetastes rufigula Lesson, 1844, Dendroplex picus (Gmelin, 1788) Passeriformes: Furnariidae), murciélagos, marsupiales (Didelphomorphia Gill, 1872) (Caluromys philander L., Philander oposum L., D. marsupialis: Didelphidae Gray, 1821), lacertilios (Squamata Oppel, 1811) (e.g., Mabuya bistriata Spix, 1825; M. nigropunctata Spix, 1825, Scincidae Gray, 1825; varias taxa de “geckos”: Gekkota Cuvier, 1817), anuros, caballos, humanos, roedores (Coendou prehensilis: Erethozontidae; Lonchothrix emiliae Thomas, 1920, Mesomys hispidus Desmarest, 1817: Echimyidae Gary, 1825; Nectomys squamipes (Brants, 1827), Oecomys bicolor (Tomes, 1860), Oecomys roberti Thomas, 1904: Cricetidae J. Fischer, 1817; Rattus rattus L.: Muridae Illiger, 1811), oso hormiguero (T. tetradactyla), primates no homínididos (Allouatta belzebul L.: Atelidae Gray, 1825; Callicebus moloch Hoffmannsegg, 1807: Pitheciidae Mivart, 1865; Cebus apella L., Cebus cay (Illiger, 1825): Cebidae Bonaparte, 1831); en el laboratorio posee apetencias hacia gallinas, conejos, cobayos, ratones blancos, palomas (Rossell et al. 1977, Carcavallo et al. 1998a,b, Dias et al. 2010, Dias 2011, Ricardo-Silva 2010, Ricardo-Silva et al. 2012), por lo que se le puede considerar como una especie vectora de hábitos alimentarios eclécticos. Aparece interesante el hallazgo de la hemolinfagia en la Amazonia brasileña como importante fuente alimentaria de R. robustus s.l., lo que sugiere que ante la ausencia de vertebrados los triatominos se alimentan de invertebrados (artrópodos, moluscos: Gastropoda), los cuales se encontraron en asociación en las palmeras (Arachnida: escorpiones, quilópodos, Aranae, Acarina, Opilionida; insectos: Dyctioptera, Coleoptera, Hemiptera, Isoptera, Dermaptera, Hymenoptera, Diptera, Orthoptera) (Dias 2011, Ricardo-Silva 2010, Ricardo-Silva et al. 2012).
A pesar de sus documentados hábitos silvestres, R. robustus s.l. también posee relevancia sanitaria en la transmisión de la enfermedad de Chagas en varias localidades de América del Sur y particularmente en Venezuela; siendo encontrada con mayor frecuencia dentro de los espacios peridomicliares e intradomiciliares con tasas de infestación entre 2,1 y 7,8%, tanto en área rurales como urbanas (Miles et al. 1983, Aguilar et al. 1999, Cáceres et al. 2002, Cuba et al. 2002, Massaro et al. 2008, Fe et al. 2009a,b, Durán et al. 2012, Cabrera et al. 2013, García-Jordán et al. 2015, Rojas-Cortez et al. 2015). Particularmente en los estados Mérida y Zulia del Occidente de Venezuela, Feliciangeli et al. (2002) demostraron que R. robustus s.l. es capaz de transmitir T. cruzi al humano, ya sea atraído por la luz en áreas donde no existan poblaciones intradomiciliares de R. prolixus, o afuera de la vivienda. Por su parte, Longa y Scorza (2007) en la población de Zaragoza, estado Trujillo, región andino-venezolana, encuentran que poblaciones de R. robustus s.l. infectadas con T. cruzi pueden invadir desde palmeras silvestres (A. aculeata) en casi el 40% de los domicilios mejorados donde previamente se eliminó con rociamientos a R. prolixus. A R. robustus s.l. se le ha detectado infectada in natura con varios linajes de T. cruzi incluyendo TcI, TcII, TcIII y TcIV (Mejía-Jaramillo et al. 2009, Hamilton et al. 2011, Ricardo-Silva 2011, Monteiro et al. 2012, Ricardo-Silva et al. 2012, Meza et al. 2014, Rojas-Cortez et al. 2015), con tasas de infección de 16,9 y 29,3% (Fe et al. 2009a, b, Ricardo-Silva 2010, Dias et al. 2014). Además, a R. robustus s.l. se le detecta infectada naturalmente con T. rangeli (Sherlock et al. 1998, Dias et al. 2010); resulta interesante mencionar que basado en el polimorfismo del ADN del cinetoplasto (kADN) (espaciador interno transcrito: ITS; subunidad pequeña del ribosoma: SSU rARN), se ha observado que R. robustus s.l. junto con sus congéneres del linaje robustus (R. prolixus, R. neglectus), transmite exclusivamente el genotipo KP1+/A; al parecer en la hemolinfa de este linaje existen factores tripanolíticos que eliminan las cepas KP1(-) de T. rangeli, las cuales circulan en el linaje Pallescens (R. pallescens, R. colombiensis, R. ecuadoriensis). Esta actividad tripanolítica también posee influencia sobre algunos genotipos de T. cruzi (II y V), siendo más resistentes los genotipos TcI que circulan con mayor frecuencia en las áreas geográficas donde se distribuye el linaje Robustus (Vallejo et al. 2015).
En Brasil, Gurgel-Gonçalves et al. (2012) mediante un estudio de modelaje por nicho predijeron que R. robustus s.l. abarcaría una más amplia distribución geográfica y ecológica hacia el norte de esta nación. Ceccarelli y Rabinovich (2015) también usaron el modelo de nicho ecológico como herramienta para predecir el efecto del cambio climático en la distribución de cinco especies triatominas de Venezuela hacia 2020, 2060 y 2080; los autores predijeron que en Venezuela las poblaciones de R. robustus s.l. tienen una baja vulnerabilidad de su distribución actual hacia los periodos futuros.
A la luz de todo lo comentado, se hace necesario incrementar los estudios eco-epidemiológicos en el territorio nacional y determinar el papel real del complejo R. robustus s.l. en la transmisión de los linajes del T. cruzi; para ello se requiere aplicar los criterios de la taxonomía integral.
12. Rhodnius pallescens Barber, 1932
La situación sobre la presencia de esta especie triatomina en el territorio nacional permanece similar, como ya se comentó hace más de un lustro (Cazorla y Nieves 2010). En este sentido, lo primero que resalta del reporte de R. pallenscens para el estado Amazonas por parte de una expedición franco-venezolana (Ramírez-Pérez 1987), es que, como bien lo señalan Feliciangeli et al. (2004a), no se indica la localidad dónde se hizo dicha recolecta; de hecho, aparece como el único reporte para la región amazónica (Fig. 32). Por otra parte, si se comparan los listados de las especies triatominas capturadas en el estado Amazonas (C. pilosa, Panstrongylus geniculatus (Latreille, 1811), P. martinezorum Ayala, 2009, R. brethesi, R. prolixus, R. robustus, R. pictipes, T. maculata (Erichson, 1848), P. rufotuberculatus (Champion, 1899), P. lignarius (Walker, 1873), Eratyrus mucronatus (Stål, 1859) (Ramírez Pérez 1987, Feliciangeli et al. 2004a, Soto-Vivas 2009, 2010, Ayala et al. 2014) con las de su colindante homónima entidad federal de Brasil (C. lenti, E. mucronatus, Panstrongylus lutzi (Neiva y Pinto, 1923), P. megistus (Burmeister, 1835), P. geniculatus, P. lignarius, P. rufotuberculatus, R. amazonicus, R. brethesi, R. paraensis, R. robustus, R. pictipes) (Galvão y Gurgel-Gonçalves 2014) de una vez resaltan las similitudes; de hecho en esta región amazónica de Brasil se han realizado estudios más detallados y muchas veces con técnicas taxonómicas complementarias (morfométricas, moleculares) (Dos Santos 2009, Filho 2011), y se han capturado hasta cinco especies de Rhodnius spp.

A la luz de lo comentado, entonces se requiere incrementar los estudios eco-epidemiológicos para determinar la posible presencia de R. pallenscens en la región amazónica de Venezuela. Estudios que se hacen necesarios, si se tiene en cuenta en primer lugar, que esta especie triatomina deriva desde el punto de vista genético de R. pictipes de la Amazonía, formando un grupo monofilético (pallenscens) junto con R. ecuadorensis y R. colombiensis (Abad-Franch et al. 2009); además, hasta el presente solo se le ha capturado en cuatro países de Centroamérica (Belice, Panamá, Costa Rica, Nicaragua), especialmente hacia el área del Caribe, y en Suramérica en la región caribeña (nor-oeste) de Colombia; y por último, se le considera un vector importante del T. cruzi en este último país, y en varios países centroamericanos (Panamá, Costa Rica) (Cantillo-Barraza et al. 2014, Saldaña et al. 2012, 2015).
Tribu Triatomini Jeannel, 1919
Género Eratyrus Stål, 1859
13. Eratyrus cuspidatus Stål, 1859
Las dos especies que integran actualmente al género Eratyrus spp. (E. cuspidatus y E. mucronatus Stål, 1859) son muy similares, y por lo general se pueden diferenciar morfológicamente (Carcavallo et al. 1998e, Soto-Vivas 2009); sin embargo, en virtud de que muchas veces estas diferencias poseen mucha variación clinal y varias son de tipo morfométricas, se pueden presentar dificultades para la identificación específica; por lo que si se utiliza la alfa taxonomía, en el caso de los machos es más seguro comparar la morfología de la genitalia externa, siendo cuando se observa lateralmente, la porción libre de la vesica convexa para E. cuspidatus y aplanada o ligeramente cóncava en el caso de su congénere E. mucronatus (Lent y Wygodzinsky 1979). De todos modos, es recomendable complementar la alfa taxonomía con otra técnica (e.g., morfometría euclideana o geométrica) (taxonomía integral) (Dayrat 2005, Abad-Franch et al. 2013).
La distribución de E. cuspidatus abarca países, además de Venezuela, de América del Norte (México), Mesoamérica (Costa Rica, Guatemala, Nicaragua, Panamá) y Suramérica (Colombia, Ecuador, Perú) (Lent y Wygodzinsky 1979, Maes 2002, Galvão et al. 2003, Hueck 2005) (Fig. 33).
El primer reporte de esta especie triatomina para el territorio nacional se hizo casi 60 años después de su descripción inicial, siendo capturada hasta el presente en los estados Anzoátegui, Aragua, D.C., Falcón, Portuguesa, Sucre, Trujillo, Táchira Yaracuy y Zulia (bosque seco tropical, bosque húmedo tropical, bosque seco premontano, bosque húmedo premontano) (Carcavallo et al. 1977, Pifano 1986, Ramírez-Pérez 1987, Soto-Vivas 2009, 2010, Rangel de Rojas 2010). E. cuspidatus es una especie triatomina con una amplia valencia ecológica que puede habitar en varios tipos de zonas bioclimáticas, llegando hasta elevaciones de 1.400-2.000 m (Angulo 2000, Zeledón et al. 2001).

Los huevos de E. cuspidatus se han estudiado por MEB (Barata 1998); con dimensiones: 1,89 ± 0,1 mm x 1,1 ± 0,06 mm, éstos poseen conchas poco translúcidas ligeramente opaca, pero con brillo perlado y coloración blanco-lechosa, y no son fijados al sustrato; presentan forma elipsoidal y con frecuencia simétricos, sin achatamiento lateral, cuello ni collar; borde corial liso; el exo-corio posee hexágonos, con superficie lisa y con puntos esféricos conspicuos situados entre las intersecciones “LL” (Barata 1998); Galíndez et al. (1998b) dan detalles ninfales mediante microscopía de luz, mientras que Galíndez et al. (1994a) y Carcavallo et al. (1998c) mediante MEB amplían estudios de anatomía de imagos, y Lent y Jurberg (1970) y Lent y Wygodzinsky (1979) de genitalia masculina con microscopía fotónica. Moreno et al. (1996) dan datos biológicos sobre su colonización experimental (25 ± 1oC; 78,1 ± 3% HR), alimentando sobre ratones (M. musculus). Así, el ciclo vital de huevo hasta imago tarda en promedio 157,7 días, teniendo los huevos un periodo de incubación de 24,8 ± 2 días con 100% de eclosión. Dentro de su conducta de alimentación, se observa una reacción termo-rostral 1,3 - 9,6 min con una media de 4,8 min por ciclo; las ninfas tardan entre 2,3 a 4,8 días en tener su primera ingesta sanguínea, la cual se incrementa con el estadio ninfal (I: 17,3, V: 33,1 min), así como también el volumen sanguíneo ingerido, alcanzando las ninfas V hasta 250 mg de sangre. También se observó que los insectos tienden a defecar mientras se alimentan. La tasa de mortalidad fue baja, siendo la tasa de supervivencia más elevada en ninfas V (Moreno et al. 1996). Tomando en consideración estas observaciones, Moreno et al. (1996) consideraron que “E. cuspidatus es un excelente vector” y que las ninfas V son “epidemiológicamente el estadio más importante como un posible vector de T. cruzi”.
Generalmente a E. cuspidatus se le ha considerado como una especie triatomina de hábitos preponderantemente silvestres, y se le asocia con armadillos (Xenarthra Cope, 1889), aves y murciélagos (quirópteros) en palmeras (A. butyracea, Scheelea spp.), huecos de árboles y madrigueras (Carcavallo et al. 1998a, b, Zeledón et al. 2001, Salazar y Calle 2003). Sin embargo, se debe indicar que, en primer lugar, cada vez se hacen más reportes de su capacidad de invadir ambientes modificados por el humano, incluidas áreas peridomiciliares e intradomiciliares rurales y urbanas, muchas veces atraída por las fuentes lumínicas o transportada activamente en la leña o las hojas de las palmeras (Moreno et al. 1996, Salazar y Calle 2003, Cortés y Suárez 2005, Dib et al. 2009, Cantillo-Barraza et al. 2010, Maestre-Serrano y Eyes-Escalante 2012); en el territorio nacional se le ha capturado colonizando gallineros (Rangel de Rojas 2010) o dentro del domicilio humano, atraído por la luz, resaltando el hecho que el hallazgo se hizo en la Gran Caracas y el insecto mostró elevadas tasas de infección y mucha apetencia hacia el humano (Pifano 1986). Además, a esta especie triatomina, como ya se indicó arriba, Moreno et al. (1996) mediante datos de laboratorio la consideran un “excelente vector”, y se le ha detectado infectada naturalmente con T. cruzi, particularmente con el linaje TcI (Scherlock et al. 1998, Dib et al. 2009, Mejía-Jaramillo et al. 2009, Cantillo-Barraza et al. 2010); resalta el hecho de que a E. cuspidatus se le ha incriminado como vector de la enfermedad de Chagas en un foco del Departamento de Magdalena, en la región Caribe de Colombia, al comprobarse que las cepas de T. cruzi aisladas de dos pacientes humanos con Chagas agudo y las de esta especie triatomina comparten el mismo genotipo (TcI) (Dib et al. 2009). También debe tenerse en cuenta la posible participación de E. cuspidatus en la transmisión de Chagas oral, una modalidad patológica que se diagnostica con mayor frecuencia en Venezuela (De Noya et al. 2015, Noya et al. 2015). Esto se indica por los hallazgos recientes de Soto et al. (2014) en un brote de 11 casos agudos de la enfermedad de Chagas en una familia del municipio Aguachica del Departamento del Cesar en Colombia, en la que no se detectaron triatominos domiciliados; sin embargo, varias especies de triatominos, incluyendo a E. cuspidatus, se encontraron infectados con T. cruzi en palmeras del área urbana, por lo que estos investigadores sugieren que los triatominos pudieran incursionar eventualmente hacia los domicilios y ocasionar brotes de la protozoosis por vía oral al contaminar los alimentos con tripomastigotes metacíclicos de sus excresiones/micciones (Soto et al. 2014).
Todas estas evidencias señaladas deben motivar la realización de estudios eco-epidemiológicos para determinar con mayor exactitud el papel de E. cuspidatus como vector de T. cruzi en el territorio nacional.
14. Eratyrus mucronatus Stål, 1859
Eratyrus mucronatus es una especie triatomina ampliamente distribuida en el territorio nacional, abarcando varios estados (Amazonas, Anzoátegui, Aragua, Barinas, Carabobo, Cojedes, Falcón, Guárico, Lara Mérida, Monagas, Miranda, Portuguesa, Sucre, Táchira, Trujillo, Yaracuy, Zulia) y zonas bioclimáticas (bosque seco tropical, bosque húmedo tropical, bosque seco premontano, bosque húmedo premontano y bosque muy húmedo premontano, bosque húmedo montano bajo); asimismo, esta especie triatomina se distribuye en varios países de América Latina y el Caribe (Bolivia, Brasil, Colombia, Ecuador, Guatemala, Guyana, Guyana Francesa, Panamá, Perú, Surinam y Trinidad) (Lent y Wygodzinsky 1979, Ramírez-Pérez 1987, Galvão et al. 2003, Feliciangeli et al. 2004b, Morocoima et al. 2010a, Carrasco et al. 2012, 2014, Galvão y Gurgel-Gonçalves 2014, Hiwat 2014). Aparece interesante mencionar los resultados del trabajo de Obara et al. (2013), quienes mediante el modelaje de nicho ecológico realizaron un mapa potencial de distribución geográfica de E. mucronatus en Suramérica. Así, el modelo de nicho ecológico indicó que esta especie triatomina podría desplazarse ampliamente hacia la región amazónica, así como también hacia eco-regiones más secas fuera del Amazonas, en Venezuela y Colombia, tales como la región semiárida (Lara-Falcón, Zulia, La Costa) (Obara et al. 2013). Ceccarelli y Rabinovich (2015) también usaron el modelo de nicho ecológico como herramienta para predecir el efecto del cambio climático en la distribución de cinco especies triatominas de Venezuela hacia 2020, 2060 y 2080; los autores predijeron que en Venezuela las poblaciones de E. mucronatus tienen una baja vulnerabilidad de su distribución actual hacia los periodos futuros.

Los huevos de E. mucronatus se ponen libres, tienen opérculo y son de color rojizo cuando están embrionados; poseen similares características dadas anteriormente para su congénere E. cuspidatus; éstos son alargados, elipsoidales y simétricos, con porción caudal más cónica que la cefálica, la cual es más cilíndrica; poseen celdas poligonales lisas, convexas y con perforaciones en los vértices. Los aerópilos (diámetro: 0,007-0,021 mm) se distribuyen a lo largo de la gotera espermática, mientras que los micrópilos (diámetro: 0,007-0,014 mm) se localizan en la cara externa del borde corial; la gotera espermática tiene textura lisa y 0,071 mm de anchura; banda de sellado de superficie lisa y ancho: 19,2-27,8 μm; anillo corial: 0,32-0,41 mm (Lent y Wygodzinsky 1979, Barata 1998, Aldana et al. 2013, Monte et al. 2014); sus estadios ninfales se han estudiado con microscopía de luz (Lent y Wygodzinsky 1979, Galíndez et al. 1998b), y sus imagos se les ha complementado su estudio anatómico con MEB (Lent y Wygodzinsky 1979, Carcavallo et al. 1998c), incluida la genitalia masculina con microscopía fotónica (Lent y Jurberg 1970, Lent y Wygodzinsky 1979) y las setas cuticulares con MEB (Galíndez et al. 1994a, Avendaño-Rangel et al. 2016) (Fig. 34). Recientemente Flórez et al. (2015) han aportado datos sobre su biología a nivel de laboratorio. En este sentido, el ciclo de desarrollo de huevo hasta imago tarda en promedio 127,6 (85-165 días), teniendo una tasa de supervivencia de 67,4% y de eclosión de los huevos de 80,4% (24-25°C; 65% H.R.); no se encontraron diferencias significativas en la fecundidad cuando se alimentó con ratón (M. musculus) o gallinas, ni relación entre las cantidades de sangre ingerida y de huevos puestos (Flórez et al. 2015).
De interés ha resultado el estudio eco-epidemiológico y biológico que hicieron durante tres años Monte et al. (2014) sobre colonias silvestres de E. mucronatus en huecos de árboles (Buchenavia spp. Eichler, Combretaceae R. Br.; Dinizia excelsa Ducke, Fabaceae Lindley (Leguminosae Jussieu, nom.cons.) en la amazonia brasileña. Dentro de las caracterización climática, se tuvo que en el interior de los huecos de los árboles se mantuvo una HR promedio de 85% (±5%) y 26°C (±2°C), mientras que el medio externo la HR se mantuvo saturada durante invierno y entre 85-90% en el verano, con temperatura promedio de 25°C (±5°C); además, las paredes y el suelo se mantuvieron secos y sin infiltraciones. Llama la atención que E. mucronatus no exhibió una conducta gregaria. Las ninfas, que se camuflan con el polvo de la madera, y los adultos se hallaron hasta 3 m de altura en grupos de 5-13 insectos, y siempre asociados a nidos de termitas (Blattodea, Isoptera Brullé). Se detectó una amplia variedad de fauna de artrópodos, y aunque se observaron quirópteros, anfibios (Anura Fischer Von Waldheim, 1813) (Dendrobatidae Cope, 1865, Leptodactylidae Werner 1896) y lagartos (Gekkonidae Oppel, 1811: Gonatodes humeralis Guichenot, 1855), ningún individuo presentó infección por T. cruzi, sin embargo, todos los mangos estaban infectados de gregarinas, tanto a nivel de hemolinfa como intestinos; (Monte et al. 2014). Asimismo, estos investigadores lograron obtener datos biológicos de esta especie triatomina a nivel de laboratorio. Así, las hembras de E. mucronatus comienzan su primera oviposición dos semanas después de su emergencia imaginal y su primera alimentación; el ciclo completo duró en promedio 274 (188-345) días, con una media de 26 días para la eclosión de huevos y 21% de los mismos eclosionaron. Las ninfas consumieron su primera alimentación de 3 a 7 días después de ecdisis, y si lo hacían una sola vez fenecían. Destaca el hecho de que ni las ninfas ni los adultos defecaron en 15 minutos de observación cuando se ingurgitaron a plenitud. Tomando en cuenta todas esta observaciones biológicas y eco-epidemiológicas, Monte et al. (2014) sugirieron que bajo estas condiciones bio-ecológicas de la Amazonia brasileña E. mucronatus no es un buen vector del T. cruzi.
Por lo general a E. mucronatus se le tiene como una especie triatomina de hábitos silvestres y que ocasionalmente es atraída por la luz artificial al domicilio humano; en las áreas silvestres se le ha capturado en palmeras (Scheelea spp., Attalea spp.), aunque se le considera oportunista de estas plantas monocotiledoneas (Abad-Franch et al. 2015), así como también en cuevas y huecos de árboles en asociación con varias taxa de mamíferos (Coendou prehensilis L. 1758, Rodentia Bowdich, 1821: Erethizontidae Bonaparte, 1845; Marsupiales: D. marsupialis, murciélagos), y las ninfas pueden ejercer la hemolinfagia, tal como ya se indicó anteriormente; también se le ha observado en asociación con otras especies triatominas (e.g., C. pilosa, Triatoma maculata Erichson, 1848) (Carcavallo et al. 1998b, Gaunt y Miles 2000, Obara et al. 2013, Monte et al. 2014). Sin embargo, cada vez más se hacen registros de su hallazgo dentro de los ambientes sinantrópicos, en áreas rurales y urbanas, como la vivienda e inclusive de su colonización, tanto en varios estados del territorio nacional: Trujillo (Soto Vivas et al. 2001), Lara (Rojas et al. 2008, Rodríguez-Bonfante et al. 2011), Aragua (Serrano et al. 2008), Mérida (Avendaño-Rangel et al. 2011), Anzoátegui y Yaracuy (Morocoima et al. 2010a), así como también en otros países de Suramérica: Brasil (Obara et al. 2013), Bolivia (Depickère et al. 2012), Colombia (Angulo 2000, Angulo et al. 2012, 2016, Flórez et al. 2015), Guyana Francesa (Bérenger et al. 2009) y Perú (Torres y Cabrera 2010). Es significativo indicar la comprobación de su alimentación con sangre humana y de perros domésticos en el estado Mérida, región andino-venezolana (Avendaño-Rangel et al. 2011). Además de esto mencionado, debe considerarse como elemento para su potencialidad vectora el hecho de que se le ha detectado infectada naturalmente con T. cruzi, además de T. rangeli (Scherlock et al. 1998); esto incluye el territorio nacional (Morocoima et al. 2010a), destacando que en el estado Miranda (Filas de Mariches) se le ha aislado el genotipo TcI (Carrasco et al. 2012, 2014). En Colombia, se le ha aislado el linaje TcII (Angulo 2000).
Desde que fue descrita hace más de siglo y medio, el estatus taxonómico de E. mucronatus ha permanecido estable. Como ya se indicó en el caso de E. cuspidatus, la identificación de ambas taxa congéneres por alfa taxonomía no siempre es factible o puede presentar dificultades, siendo solo seguro la comparación de la porción libre de la vesica (falo) del macho (Lent y Wygodzinsky 1979). Un estudio filogenético de la Tribu Triatomini con seis marcadores moleculares reveló que E. mucronatus se encuentra estrechamente relacionada con las especies del clado Triatoma del Hemisferio del sur (complejos spinolai e infestans) (Justi et al. 2014).
A la luz de todas evidencias comentadas, se requiere realizar estudios eco-epidemiológicos más amplios para determinar el papel vectorial de E. mucronatus, especialmente en áreas urbanas donde la transmisión oral del T. cruzi por la contaminación de alimentos con heces triatominas se viene documentando con mayor frecuencia (Rueda et al. 2014, De Noya et al. 2015, Noya et al. 2015).
Género Panstrongylus Berg, 1879
15. Panstrongylus chinai Del Ponte, 1929
La presencia por primera vez de P. chinai para el territorio nacional la realizan Carcavallo et al. (1994), quienes capturan un ejemplar hembra en el estado Mérida, región andino-venezolana, y mediante morfología comparada con MEB logran identificarlo como perteneciente a esta especie triatomina; los autores destacan que el ejemplar presenta un patrón cromático distinto (marrón oscuro rojizo: caoba) a lo que se considera típico para la especie de negro a marrón oscuro (Lent y Wygodzinsky 1979). La otra referencia de esta especie triatomina para Venezuela se debe a Valderrama et al. (1996), quienes a partir de ejemplar hembra capturado también en el estado Mérida, describieron a P. turpiali como especie nueva para la ciencia, pero que en realidad se trataba de una sinonimia de P. chinai, tal como lo mostró Lent (1997). Por otra parte, se ha considerado por algunos autores que P. chinai pudiera ser una forma melánica de P. howardi (Neiva, 1911), estando ambas de manera simpátrica en Ecuador (Patterson et al. 2009, Sempertegui-Sosa 2012). Sin embargo, mediante estudios filogenéticos y filogeográficos (gen nuclear ITS y el mitocondrial CytB), Sempertegui-Sosa (2012) determinó que ambas son taxa distintas. Asimismo, el estudio también ha sugerido que pudiera estar ocurriendo hibridización (introgresión) con respecto a poblaciones de P. chinai, P. howardi y P. rufotuberculatus (Champion, 1899), lo que probablemente ha llevado a identificaciones incorrectas cuando se aplica la alfa taxonomía; además, debe tenerse en cuenta que el proceso de hibridización puede generar potencialmente una tercera especie con variabilidad genética suficiente para adquirir resistencia a los insecticidas, mejorar su adaptabilidad a nuevos ambientes o su competencia vectorial (Sempertegui-Sosa 2012). Por otra parte, un estudio citogenético determinó que P. chinai posee 20 autosomas, teniendo mayor afinidades con P. rufotuberculatus y P. lignarius (Walker, 1873) (Crossa et al. 2002). Todo lo indicado sugiere que se deben aumentar los muestreos, y que se apliquen para su identificación específica criterios de taxonomía integral. Aparece oportuno indicar que Ayala et al. (2014) consideran que P. chinai “pudo haber sido introducida involuntariamente” en Venezuela.
P. chinai también se distribuye en Perú y Ecuador, donde puede habitar en una amplia variedad de zonas ecológicas alcanzando hasta más de 2.000 m de altitud (Aguilar et al. 1999, Patterson et al. 2009, Grijalva et al. 2005, 2015).
Las características de los huevos de P. chinai se han estudiado mediante microscopía de luz y MEB (Lizaraso 1957, Barata 1998). Estos son puestos libremente, redondeados y de forma oval con extremos aguzados, con coloración blanquecina brillante recién puestos y se tornan castaños, simétricos y con dimensiones (mm): 1,79 (1,60-1,93) x 1,13 (1,10-1,20) con conchas muy translúcidas, brillantes y textura fina blanco-tornasolada, y células hexagonales lisas; poseen cuello, collar y opérculos, con diámetro: 0,58 mm (0,53-0,64) (Lizaraso 1957, Barata 1998). Algunos de sus estadios ninfales se han estudiado con microscopía de luz (Lent y Wygodzinsky 1979, Galíndez et al. 1998b), y sus imagos se les ha complementado su estudio anatómico con MEB (Lent y Wygodzinsky 1979, Carcavallo et al. 1994, Carcavallo et al. 1998c) (Fig. 35), incluida la genitalia masculina con microscopía fotónica (Lent y Jurberg 1975, Lent y Wygodzinsky 1979).

A nivel de laboratorio se han obtenido datos sobre su biología (Guillén et al. 1991, Mosquera et al. 2016). Así, a 24°C y 70% HR y alimentados sobre gallinas, se tiene que su ciclo de huevo hasta adulto tarda entre 227 a 236 días, y sus hembras ponen 95 huevos (0,6/d) en períodos de 4 a 5 días consecutivos durante 158 días (Guillén et al. 1991). Alimentados sobre ratones (M. musculus) y mantenidos a 24 ± 6°C, 70 ± 10% HR, los huevos de P. chinai tardan en eclosionar en promedio 25,6 ± 1,5 (23,7-27,5) días; su ciclo de vida dura (huevo-imago) en promedio 371,4 ± 22,3 (355,4¬387,4) días, por lo que puede considerarse como una especie univoltina. La mortalidad total fue de alrededor de 85%, siendo >50% en ninfas I y V. El tiempo de prealimentación aumenta con el estadio ninfal, pero es menor en los adultos; y el tiempo de alimentación fue mayor en ninfas V (45 ± 23,1 min) y las hembras (47,2 ± 27,1 min). En cuanto a su patrón de defecación, destaca que el tiempo para la primera defecación se incrementa cuando los especímenes mudan hacia los siguientes estadios ninfales, pero después decrece en los adultos; además, la defecación ocurre cuando los insectos se encuentran alimentándose, lo que lo convierte en un excelente vector de T. cruzi (Mosquera et al. 2016).
En los valles andinos del norte de Perú, a esta especie triatomina se le captura en huecos de árboles (e.g., Schinus molle L., Anacardiaceae R.Br.) y dentro de las paredes de rocas que se construyen como corrales para albergar a los animales domésticos; se citan como fuentes de alimentación en dichos ecotopos a marsupiales, roedores y reptiles (Cuba et al. 2007). Anteriormente, a P. chinai se le tenía como una especie triatomina de hábitos básicamente silvestres, que se le capturaba en gallineros y que esporádicamente se le detectaba en el domicilio humano, atraído por fuentes lumínicas (Carcavallo et al. 1998b, Patterson et al. 2009). Sin embargo, cada vez es más frecuente su domiciliación en focos endémicos de Perú y Ecuador, siendo muchas veces considerada como el principal vector de la enfermedad de Chagas en comunidades donde alcanza hasta más del 60% de índice de infestación domiciliar; además, se le ha encontrado infectada naturalmente con T. cruzi, especialmente del linaje TcI, algunas veces en elevados porcentajes, con cepas que han mostrado ser altamente virulentas para vertebrados; también se le ha aislado a T. rangeli. Esta adaptación a los ambientes sinantrópicos probablemente ocurra por la ocupación de los nichos ecológicos que dejaron otras especies vectoras debido a los programas de control, así como también por la tranformación del ambiente por el humano y el transporte pasivo de éstos últimos en sus vestimentas o por sus animales domésticos (Aguilar et al. 1999, Díaz-Limay et al. 2004, Cuba et al. 2007, Ocaña-Mayorga et al. 2010, Sempertegui-Sosa 2012, Grijalva et al. 2005, 2015).
16. Panstrongylus geniculatus Latreille, 1811
Panstrongylus geniculatus es una de las especies triatominas de más amplia distribución geográfica en las Américas, que abarca desde el sur de México hasta el norte de Argentina, incluyendo islas del mar Caribe (Lent y Wygodzinsky 1979, Galvão et al. 2003, Leite et al. 2007, Galvão y Gurgel-Gonçalves 2014). En Venezuela, donde ya se había señalada desde el siglo XIX, esta especie triatomina también posee una amplia distribución geográfica y zonas biogeográficas en prácticamente la totalidad del territorio nacional, y se le ha capturado hasta más de los 1.700 m de altitud (Pifano 1986, Ramírez Pérez 1987, Galvão et al. 2003, Añez et al. 2005b, Reyes-Lugo 2009, Soto-Vivas 2009).
Los huevos de P. geniculatus se ponen libres, tienen opérculos prominentes y convexos (en promedio:1,72 mm) con conchas translúcidas con textura brillante y delicada, y son de blanco brillante a los pocos días de oviposición y se tornan amarillo rosácea a los 6-8 días; los mismos son grandes (1,55 ± 0,1; máx.: 1,73 mm x 1,16 ± 0,11: máx.: 1,25 mm), de apariencia redondeada y simétricos, sin achatamiento lateral ni collar; cuello angosto; poseen celdas poligonales lisas en la superficie de opérculo y exocorio, cubiertas con cemento, convexas y con perforaciones refringentes en los vértices; sin embargo, en otras poblaciones (e.g., estado Lara, Venezuela) de la especie estas perforaciones no se han observados. Poseen 120 aerópilos a lo largo de la gotera espermática y 142 micrópilos se localizan en la cara externa del anillo corial (Barata 1998, Wolff y González 1998, Aldana et al. 2011a). Sus estadios ninfales se han descrito con microscopía de luz (Lent y Wygodzinsky 1979, Galíndez et al. 1998b, Wolff y González 1998), y sus imagos se les ha complementado su estudio anatómico con MEB (Carcavallo et al. 1998c) (Fig. 36), incluidas las setas cuticulares (Galíndez et al. 1994a, Avendaño-Rangel et al. 2016), y la genitalia masculina con microscopía fotónica (Lent y Jurberg 1968, Lent y Wygodzinsky 1979). A nivel experimental se han aportado muchos datos sobre su biología y estadísticas vitales, esto a pesar de las dificultades para su cría en el laboratorio (Lent y Jurberg 1969b, Pifano 1986, Galíndez et al. 1997, Cabello y Galíndez 1998, Wolff y González 1998, Wolff y Castillo 2000, Rabinovich y Feliciangeli 2015). El primer dato biológico resaltante sobre esta especie triatomina es el requerimiento de una elevada HR para su desarrollo. Cuando se alimentó sobre ratón blanco (28-30°C; 95% HR), después de una ingesta sanguínea completa cada hembra puso 15-23 huevos, los cuales eclosionaron 22,3 ± 2,9 días después de la ovipostura; el ciclo de desarrollo duró entre 128-171 días, discriminados por estadio: 29,8 ± 2,3 días (ninfas I), 16,3 ± 2,4 días (ninfas II), 25,3 ± 4,4 días (ninfas III), 35,2 ± 4,7días (ninfas IV), 27-40 días (ninfas V), requiriendo entre 1 a 3 ingestas sanguíneas completas para la ecdisis (Wolff y González 1998); aunque es significativo señalar que su patrón de defecación puede considerarse tardío, resaltando el hecho que defecan después de separarse del hospedador (Pifano 1986, Wolff y Castillo 2000). Cuando se utilizan con otras fuentes alimentarias (gallinas, D. marsupialis), resaltan los trabajos de Cabello y Galíndez (1998) y Rabinovich y Feliciangeli (2015), quienes dan datos relevantes de sus estadísticas vitales. En sus experiencias, Rabinovich y Feliciangeli (2015) obtuvieron en promedio que los huevos tardan casi 4 semanas en eclosionar; el tiempo de desarrollo de los estadios oscila entre 4 a 8 semanas, y el ciclo huevo-adulto tarda en promedio alrededor de 40 semanas (39,4); la mortalidad por instar es más elevada en los estadios más juveniles (casi 60%: I, II, III). La edad de la primera reproducción de la cohorte desde el huevo fue de 31 semanas; en promedio una hembra pone 9,19 huevos/semana, y su periodo reproductivo fue en promedio de 16,25 semanas después de haber iniciado la reproducción; tasa de reproducción neta (cantidad de huevos que reemplazan cada huevo en una población en el curso de una generación): 60,45 (44,12-77,70), con un tiempo generacional de 46,36 semanas (Rabinovich y Feliciangeli 2015). Los datos obtenidos por Cabello y Galíndez (1998) muestran algunas diferencias con respecto a los de Rabinovich y Feliciangeli (2015), pero los parámetros demográficos son muy similares. Cabello y Galíndez (1998) concluyeron que por ser una estratega “K” con tasa de reproducción baja y un prolongado tiempo generacional, era poco probable que P. geniculatus pudiera representar un importante vector de la enfermedad de Chagas a nivel domiciliar; lo cual como se comenta más adelante, no refleja la importancia epidemiológica actual de esta especie triatomina en el territorio nacional, especialmente en la Gran Caracas. Por el contrario, Rabinovich y Feliciangeli (2015) utilizaron el índice ro/b (tasa intrínseca de crecimiento natural/tasa de nacimiento instantáneo) como criterio de colonización de las especies: a mayor ro/b, mayor será el tiempo medio de supervivencia de la población, lo que indica que es una “mejor especie colonizadora”; estos autores obtuvieron un índice ro/b de 0,74, mientras que el dado por Cabello y Galíndez (1998) fue de 0,77, por lo que Rabinovich y Feliciangeli (2015) concluyeron que P. geniculatus es “una buena colonizadora”, especialmente si se compara con las de R. prolixus (0,74) y Triatoma infestans Klug, 1834 (0,65), los cuales son importantes vectores de comprobada capacidad de domiciliación.
Aparecen muy interesantes los hallazgos Otálora-Luna y Guerin (2014) sobre la atracción que ejercen las aminas volátiles (e.g., etilamina, dietilamina) presentes en las heces de gallinas sobre las ninfas de P. geniculatus; por lo que se hipotetiza que estos compuestos químicos servirían como señales para la búsqueda de sus fuentes alimentarias, y son derivados del metabolismo de los vertebrados y de su flora intestinal (Otálora-Luna y Guerin 2014).

Comúnmente a P. geniculatus se le ha considerado como una especie triatomina de hábitos preferencialmente silvestres en asociación con cuevas y madrigueras especialmente con armadillos (Dasypodidae), de una amplia variedad de vertebrados (Marsupiales, entre otros, Didelphidae Gray, 1821: Philander opussum L., D. marsupialis, Marmosa spp. Gray, 1821; Xenarthra Cope, 1889: Mymercophagidae: T. tetradactyla, Dasypodidae (armadillo): D. novemcinctus; Roedores, Muridae Illiger, 1811: R. rattus L., Cuniculidae Miller & Gidley, 1918: Cuniculus pacca L., Erethizontidae Bonaparte, 1845: Coendu spp. Lacépède, 1799, Caviidae: C. porcellus, Echimyidae Gray, 1825: Proechimys spp. J.A. Allen, 1899); murciélagos, Phyllostomatidae Gary, 1825: Mycronycteris spp. Gray, 1842, Leptonycteris curasoae Miller, 1900, Mormoopidae Saussure, 1860: Mormoops megalophylla (Peters, 1864), Pteronotus davyi Gray, 1838, P. parnellii Gray, 1843, Natalidae Gray, 1866: Natalus tumidirostris Miller, 1900; Carnívora, Mephitidae Bonaparte, 1845: Conepatus semistriatus (Boddaert, 1785), palmeras (Acrocomyia spp., Copernitia spp., Leopoldina piassaba, Syagrum romanffiana (Cham.) Glassman 1968); nidos de aves, debajo de troncos, cortezas y huecos de árboles caídos, hojas; huecos de bambúes (Poaceae Barnhart (= Gramineae Juss., nom. cons.): Bambusoideae Luerrs.); palmeras, epífitas (Bromelias); (Pifano 1986, Carcavallo et al. 1998b, Molinari et al. 2007, Reyes-Lugo 2009). De interés ha resultado el hallazgo de la conducta de entomofagia de esta especie triatomina sobre mariposas (Eacles spp. Hübner, 1819, Lepidoptera L.: Saturniidae Boisduval, 1837) en la Guayana Francesa (Garrouste 2009). En relación con las áreas intervenidas por la acción humana, similarmente por lo general se ha considerado que ocasionalmente es atraída por la luz artificial hacia las áreas peridomiciliares y domiciliares, donde se puede alimentar de animales domésticos o sinantrópicos (gallinas, palomas, cochinos, gatos, ratas: R. rattus) además del humano (Lent y Wygodzinsky 1979, Zeledón 1983, Pifano 1986, Carcavallo et al. 1998a,b, Valente et al. 1998, Valente 1999, Reyes-Lugo 2009); sin embargo, como ya se había planteado en otra oportunidad (Cazorla y Nieves 2010), esta visión sobre esta especie triatomina ha comenzado a cambiar. En este sentido, en varios países se le captura con mayor frecuencia dentro del domicilio humano, incluyendo Bolivia (Depickère et al. 2011, 2012, Rojas-Cortez et al. 2016), Brasil (Valente 1999, Fé et al. 2009b, Dias et al. 2016), Colombia (Wolff y Castillo 2000, Wolff et al. 2001, Angulo et al. 2012, Jacome-Pinilla et al. 2015), Argentina (Damborsky et al. 2001), Perú (Cáceres et al. 2002, Torres y Cabrera 2010) y Venezuela (Pifano 1986, Añez et al. 2005b, Serrano et al. 2008, Loaiza et al. 2009, Reyes-Lugo 2009, Carrasco et al., 2005, 2012, 2014, Briceño et al. 2014); resaltando por ejemplo el caso en el nor-este del Departamento de Antioquia, Colombia, donde el 24% de las viviendas infestadas no poseían luz eléctrica (Wolff y Castillo 2000). La mayoría de los investigadores coinciden en considerar que la creciente invasión de las poblaciones de P. geniculatus del domicilio humano, ya sea en áreas rurales como urbanas, es debida principalmente al elevado grado de intervención humana, al destruir indisciminadamente (construcción de viviendas, actividades agropecuarias, tala de madera, quema, cacería excesiva) los hábitats y ecotopos naturales (bosque primario) de estos vectores; esto hace que se altere el equilibrio ecológico y los mismos busquen otras fuentes alimentarias y refugios (Valente et al. 1998, Valente 1999, Reyes-Lugo 2009, Castro et al. 2010, Waleckx et al. 2015). Al respecto, en Venezuela destaca el estudio bio-ecológico llevado a cabo por Reyes-Lugo (2009) en varias localidades de la región centro-norte (Gran Caracas y los estados Vargas, Aragua, Miranda) sobre las causas de la presencia nocturna de P. geniculatus en el ambiente domiciliar; la investigación determinó que la intervención humana de los ambientes contribuye con el aumento de la densidad domiciliar de este vector con tasas de picadura >50% y tasas de infección de hasta el 100%, siendo la mayoría de los ejemplares del insecto imagos en ayuno; destacando la influencia de las variables de cobertura vegetal <21%, la distancia del bosque, número de animales/vivienda >5, número de personas más animales/vivienda ≥13, haber temperaturas entre 24-26ºC y 50-80%HR y aumentar la presencia de alumbrado domiciliar y público, la agregación de la viviendas, por lo que es independiente del tipo de vivienda. Al parecer, con la destrucción y la urbanización de sus hábitats naturales facilita que las poblaciones de P. geniculatus encuentren: “a) fuentes seguras de ingesta sanguínea aportadas por sus habitantes humanos, los animales domésticos (gallinas, perros y gatos) y pequeños mamíferos sinantrópicos como Didelphis marsupialis y Rattus rattus y b) la presencia de madrigueras de estos roedores debajo de la placa de cemento de las viviendas constituyen para este triatomino de hábitos subterráneos, un lugar de abrigo, reproducción y una vía de comunicación entre el interior de la vivienda y ambiente agreste circundante y c) condiciones de humedad y temperatura adecuadas” (Reyes-Lugo 2009).
En Brasil, Gurgel-Gonçalves et al. (2012) mediante un estudio de modelaje por nicho predijeron que P. geniculatus abarcaría una más amplia distribución geográfica y ecológica. Con esta misma técnica de modelaje, Ceccarelli y Rabinovich (2015) estudiaron el efecto del cambio climático en la distribución de esta triatominas de Venezuela hacia 2020, 2060 y 2080; estos autores predijeron que en Venezuela las poblaciones de P. geniculatus no poseen una elevada vulnerabilidad como la de R. prolixus de su distribución actual hacia los periodos futuros.
La importancia de P. geniculatus como vector relevante de la enfermedad de Chagas es cada vez más patente, especialmente en Venezuela. Así, ya se le considera como una especie triatomina que se encuentra en un estado de colonización/domesticación, siendo detectada domiciliada en Bolivia (Depickère et al. 2011), Brasil (Valente et al. 1998), Ecuador (Chico et al. 1997), Colombia (Wolff y Castillo 2000, Maestre-Serrano y Eyes-Escalante 2012), y Venezuela (Reyes-Lugo y Rodríguez-Acosta 2000, Feliciangeli et al. 2004b, Añez et al. 2005b, Rodríguez-Bonfante et al. 2007). De interés ha resultado los hallazgos de Aldana et al. (2011b) en un estudio comparativo por morfometría geométrica entre poblaciones silvestres (Sanare, estado Lara) y domésticas (Gran Caracas) de P. geniculatus. Los autores determinaron que los insectos adultos domesticados presentaron menores tamaños isométricos por dimosfismo sexual que sus contrapartes capturados en ambientes silvestres, considerando que este parámetro puede representar un indicador de domiciliación. Por constraste, Jaramillo et al. (2002) detectaron estas diferencias en el dimorfismo sexual entre poblaciones silvestres de P. geniculatus de Antioquia, Colombia, y sus descendientes mantenidos en el laboratorio.
Pifano (1986) y Carrasco et al. (2005) habían llamado la atención acerca del riesgo potencial de P. geniculatus para la transmisión del T. cruzi en la región centro-norte de Venezuela, especialmente en la Gran Caracas, al detectársele elevadas tasas de infección por el flagelado y su apetencia por la sangre humana. Infortunadamente, entre 2007 y 2010 se presentaron en la Gran Caracas y el estado Vargas varios eventos epidémicos de casos de Chagas agudo con trasmisión oral por la ingesta de jugo de frutas contaminados, habiendo varios decesos, y donde se incriminó a P. geniculatus al ser la especie triatomina detectada más abundante en dichas localidades y con un elevado índice de infección por T. cruzi (Reyes-Lugo 2009, Carrasco et al. 2005, 2012, 2014, Noya et al. 2015). Estos brotes epidémicos de la enfermedad de Chagas por vía oral en la región nor-central, motivaron un estudio durante siete años (2007-2013) encontrándose que la abundancia de las poblaciones de P. geniculatus es independiente de la clase socio-económica, pero dependiente de la estación del año al incrementarse durante el comienzo de la época de lluvias (abril-junio); además, resalta el hecho de que las hembras triatominas fueron mayormente capturadas e ingurgitadas, lo que pudiera interpretarse como una garantía para la oogénesis; por otra parte, esta especie triatomina mostró una elevada apetencia a picar al humano dentro de la vivienda, incluyendo los estadios ninfales (Carrasco et al. 2014). Asimismo, P. geniculatus se encuentra involucrado en numerosos casos de transmisión por contaminación alimentaria en otros estados del territorio nacional, incluyendo Mérida, Falcón, Táchira (Noya et al. 2015). En otras áreas del país, también destaca la presencia de P. geniculatus como un vector importante, como es el caso de varias localidades del municipio Andrés Eloy Blanco, estado Lara. En las mismas, a esta especie triatomina la han encontrado con elevadas tasas de infestación domiciliar y de infección por T. cruzi, las cuales son más altas que las registradas para R. prolixus, especie a la cual inclusive al parecer se encuentra es fase de reemplazarla (Rodríguez-Bonfante et al. 2007).
En cuanto a los haplotipos de T cruzi, a P. geniculatus se le ha aislado los linajes TcI, TcII, TcIII y TcIV en varios países, incluyendo Brasil (TcI, TcII) (Valente et al., 1998, Marcili et al. 2009), Colombia (TcI, TcIII, TcIV) (Mejía-Jaramillo et al. 2009, Jacome-Pinilla et al. 2015), Bolivia (TcI, TcIII) (Rojas-Cortez et al. 2016) y Venezuela (TcI, TcIII, TcIV) (Añez et al. 2005b, Carrasco et al. 2005, 2012, 2014).
Ya Lent y Wygodzinsky (1979) habían notado la alta variabilidad en talla y patrones cromáticos que presenta las poblaciones de P. geniculatus de diversos países, sugiriendo que pudieran existir varias razas geográficas; de hecho, dentro de las sinonimias, que son varias, de la especie se encuentra “P. parageniculatus” que fue descrita por Ortiz (1971) como una “nueva especie” para Venezuela a partir de ejemplares que mostraban un patrón cromático y morfométrico diferente. Asimismo, la región ITS-2 de su ADNr ha mostrado una amplia variabilidad interespecífica (Marcilla et al. 2002), así como también las características de su cariotipo exhiben un gran polimorfismo en las bandas heterocromáticas de ejemplares provenientes de distintas localidades de Brasil y Colombia (Crossa et al. 2002); aunque esto pudiera deberse a una variación clinal, el estudio citogenético de estos últimos autores señalados los llevaron a sugerir que P. geniculatus representa un complejo de especies con al menos dos entidades específicas diferentes, toda vez que ellos no habían observado este tipo de variabilidad (de poblaciones sin bandas heterocromáticas autosómicas a otras con varias regiones heterocromáticas) en ninguna especie triatomina (Crossa et al. 2002)
Toda esta realidad comentada acerca de la taxonomía de P. geniculatus es necesario aplicarla a las poblaciones de Venezuela, toda vez que como ya se indicó esta especie triatomina también se distribuye en una amplia variedad de zonas bioclimáticas, geográficas y altitudes; por lo que se requiere aplicar los criterios de la taxonomía integral para establecer su estatus taxonómico. Sin embargo, es significativo señalar que Reyes-Lugo et al. (2006b) no detectaron diferencias en los patrones electroforéticos hemolinfáticos de cuatro poblaciones de P. geniculatus de los estados Aragua y Miranda, región nor-central de Venezuela.
17. Panstrongylus lignarius Walker, 1873
Panstrongylus lignarius junto con P. humeralis (Usinger, 1939) conforman el denominado “complejo P. lignarius”; la otra especie del grupo, P. herreri Wygodzinsky 1948, se le considera en la actualidad mediante evidencias moleculares y citogenéticas, como una sinonimia de P. lignarius (Crossa et al. 2002, Marcilla et al. 2002, Galvão et al. 2003) (Fig. 37). Los huevos de P. lignarius han sido estudiados mediante microscopía de luz y MEB (Lizaraso 1957, Barata 1998). Así se tiene que los mismos son puestos libremente, redondeados y de forma oval, con coloración anaranjado-rosado recién puestos y se tornan rojo intenso, simétricos y con dimensiones (mm): 1,79 (1,68-1,90) x 1,32 (1,23-1,38) con conchas muy translúcidas y textura fina blanco-perlada, y células hexagonales lisas; poseen cuello y opérculos, con diámetro: 0,79 mm (0,76-0,84) (Lizaraso 1957, Barata 1998). Aunque sus estadios ninfales también se han descrito morfológicamente (Galíndez et al. 1998b), no obstante, muchos aspectos de su biología a nivel de laboratorio continúa siendo poco estudiado. También se han dado aspectos ultrestructurales (MEB) de anatomía de sus imagos (Galíndez et al. 1994a, Carcavallo et al. 1998c), y de la genitalia masculina con microscopía fotónica (Lent y Jurberg 1975, Lent Stål, 1859 y Wygodzinsky 1979).

En Venezuela, a P. lignarius se le ha capturado en los estados Portuguesa (bosque seco tropical, 720 m), Amazonas (bosque húmedo tropical, hasta 140 m) y Delta Amacuro, aunque en pocas cantidades, ya sea en palmeras, casas de madera o atraídos por la luz, esto último en Puerto Ayacucho, capital del estado Amazonas (Otero et al. 1975, Carcavallo et al. 1977, Osuna 1984, Pifano 1986, Ayala 2009), lo que puede contribuir a la invasión intradomiciliar de esta especie triatomina, tal como se ha documentado en la Amazonia Brasileña (Castro et al. 2010); sin embargo, se conoce muy poco de su bio-ecología y su importancia en el mantenimiento de los focos zoonóticos y antropozoonóticos de la tripanosomiasis americana en el territorio nacional, por lo que es necesario incrementar los estudios, especialmente con técnicas taxonómicas complementarias (morfométricas, citogenéticas, moleculares) (taxonomía integral) (Crossa et al. 2002, Dayrat 2005, Abad-Franch et al. 2013, Guerra et al. 2014). P. lignarius también se distribuye en otros países de Sudamérica, incluyendo Brasil, Guyana, Guayana Francesa, Surinam, Ecuador, Colombia y Perú (Lent y Wygodzinsky 1979, Galvão et al. 2003, Hiwat 2014, Péneau et al. 2016); en la región septentrional de este último país se le considera como el principal vector de la enfermedad de Chagas, y se le ha capturado hasta los 1.500 m de altitud, prefiriendo colonizar el domicilio humano en vez de recintos de animales domésticos aunque muestra mayor apetencia hacia cobayos (C. porcellus), y se le ha aislado T. cruzi entre 10,8 a 59,3% de los especímenes, siendo detectado hasta el presente el genotipo o unidades taxonómicas discretas (DTU) TcI, TcII, TcIIa (Cuba et al. 2002, Ancca et al. 2008, 2009, Valente 2008, Tarqui et al. 2014, Alroy et al. 2015). En el área silvestre, especialmente en la selva amazónica, los adultos de esta especie triatomina habitan en los troncos de los árboles (hasta 25 m) (Lent y Wygodzinsky 1973), donde su coloración les permite camuflarse, mientras que sus estadios ninfales que carecen de este camuflaje, permanecen en los huecos de los árboles (Gaunt y Miles 2000); asimismo, a esta especie triatomina también se le ha capturado en copas de árboles (Ficus spp. Linaeus, 1753, Moraceae), palmeras (Arecales: Arecaceae; Scheelea humboldtiana (Spruce) Burret, Sabal spp. Adans, Attalea spp. H.B.K. 1816, Attalaea phalerata, A. maripa, Attalaea speciosa Mart. ex Spreng, 1825, M. flexuosa), en plantas epífitas (Bromelíaceas), nidos de aves y cuevas de animales; sus fuentes de alimentación incluyen: aves (e.g., tucanes, Ramphastidae Vigors, 1825), roedores (ratas espinosas, puerco-espín: Coendu prehensilis L. 1758, Rodentia: Erethizontidae Bonaparte, 1825), murciélagos (Desmodus rotundus Geoffroy, 1810, Phyllostomidae), marsupiales (D. marsupialis), Carnívora (Potos flavus Schreber 1774, Procyonidae Gray, 1825) y oso hormiguero amazónico (T. tetradactyla) (Miles et al. 1983, Carcavallo et al. 1998a,b, Teixeira et al. 2001, Valente 2008, Dias 2011, Dias et al. 2014, Abad-Franch et al. 2015); parece significativo indicar que P. lignarius posee fossulas esponjosas en sus patas lo que le permitiría su adaptación a la vida arbórea, especialmente en palmeras (Abad-Franch et al. 2015).
Aparece interesante resaltar que en la Amazonia Brasileña a P. lignarius se le captura en el medio silvestre sobre trampas lumínicas con mayor abundancia en la época de verano, lo que coincide con su mayor actividad de vuelo y la incidencia de casos de la enfermedad de Chagas en la zona (Valente 2008, Castro et al. 2010).
18. Panstrongylus rufotuberculatus Champion, 1899
Panstrongylus rufotuberculatus es una especie triatomina con una amplia distribución geográfica que incluye países de Norteamérica (México), Mesoamérica (Costa Rica, Panamá, Nicaragua) y Suramérica (Argentina, Bolivia, Brasil, Colombia, Ecuador, Guayana Francesa, Perú, Surinam, Venezuela) y el Caribe (Trinidad), abarcando varias zonas ecológicas (bosques secos, húmedos, muy húmedos) hasta los 2.000 m de altitud (Lent y Wygodzinsky 1979, Omah-Maharaj 1992, Galvão et al. 2003, Patterson et al. 2009, Galvão y Gurgel-Gonçalves 2014, Hiwat 2014, Péneau et al. 2016). La presencia de P. rufotuberculatus en el territorio nacional se viene señalando desde los 40’ del siglo pasado (Lent y Pifano 1940), siendo también su distribución en el país extensa (Amazonas, Anzoátegui, Aragua, Carabobo Cojedes Delta Amacuro, D.C., Falcón, Guárico, Lara, Miranda, Monagas, Portuguesa, Sucre, Táchira, Trujillo, Zulia, Yaracuy) (Carcavallo et al. 1977, Pifano 1986, Ramírez-Pérez 1987, Reyes- Lugo et al. 2006a, Soto-Vivas 2009, 2010, Morocoima et al. 2012).
Barata (1998) estudió las características mediante alta resolución (MEB) de los huevos de P. rufotuberculatus. Al igual que sus congéneres, estos son puestos libremente, redondeados, casi globosos, simétricos sin achatamiento lateral (1,53 x 1,14 mm); con conchas muy translúcidas, brillantes y textura fina, brillante, blanco-perlada, y células hexagonales lisas y presencia de “LL” conspicuas; opérculos ligeramente prominentes con borde corial (Barata 1998). A los adultos de esta especie triatomina se les ha estudiado muchos de sus rasgos anatómicos con MEB (Lent y Wygodzinsky 1979, Galíndez et al. 1994a, Carcavallo et al. 1998c) (Fig. 38), incluida la genitalia masculina con microscopía de luz (Lent y Jurberg 1975, Lent y Wygodzinsky 1979).

Wolff et al. (2004) han logrado su colonización experimental, aportando datos sobre su biología. Así, se encontró que esta especie triatomina posee una tasa de eclosión oval de 84,4%, pudiendo alcanzar hasta 2,6 generaciones por año; además, tiene una elevada longevidad, una respuesta rápida ante la fuente alimentaria, abundante capacidad de ingurgitación y una frecuente tasa de defecación durante su alimentación; todos estos datos bionómicos hacen que P. rufotuberculatus “constituya potencialmente en un vector importante de la enfermedad de Chagas” (Wolff et al. 2004). Reyes- Lugo et al. (2006a) lograron documentar la emisión de sonido estridulatorio de adultos de P. rufotuberculatus como mecanismo de defensa ante predadores. Por su parte, Traviezo-Valles et al. (2009) encontraron que las heces de esta especie y de otras especies triatominas sirve como atractante para la captura pasiva de los mismos.
Por lo común, a P. rufotuberculatus se le tiene como una especie de hábitos silvestres asociada a palmeras, madrigueras, huecos de árboles y que se alimenta de quirópteros (Desmodus rotundus), armadillos o cachicamos (Dasypodidae), marsupiales (Didelphidae), carnívoros (Potos flavus (Schreber, 1774); Procyonidae Gray, 1825), primates no homínidos, animales domésticos (e.g, cobayos, Cavia porcellus) y del humano, y que ocasionalmente es atraída por la luz hacia los ambientes sinatrópicos, incluido el intradomicilio (Pifano 1986, Carcavallo et al. 1998a,b, Cuba et al. 2007). Sin embargo, cada vez son más frecuentes las documentaciones, especialmente en sitios intervenidos fuertemente por la acción humana, de la domiciliación de esta especie triatomina, inclusive permanentemente y en altas tasas de infestación, en Bolivia, Ecuador, Colombia y Perú; siendo considerado en algunos focos chagásicos como un vector importante de la dolencia (Wolff et al. 2001, Wolff y Castillo 2002, Marín et al. 2007, Patterson et al. 2009, Torres y Cabrera 2010, Depickère et al. 2011, Sempertegui-Sosa 2012, Grijalva et al. 2005, 2015). En el territorio nacional, se ha reportado la presencia de huevos y/o adultos dentro y fuera de la vivienda humana (Pifano 1986, Reyes-Lugo et al. 2006a, Traviezo-Valles et al. 2008, Zavala-Jaspe et al. 2009, Traviezo-Valles y Finizola 2011, Morocoima et al. 2012); y aunque hasta ahora no se ha documentado su domiciliación, P. rufotuberculatus podría intervenir potencialmente en la transmisión en el ciclo doméstico del T. cruzi, ya sea directamente al picar y defecar sobre el humano o por la vía oral al contaminar alimentos (Urdaneta-Morales 2014). Aparece signficativo señalar que estudios por morfometría geométrica en poblaciones alopátricas de P. rufotuberculatus, revelan que las silvestres exhiben una reducción de talla con respecto a las domiciliadas; por lo que este parámetro morfométrico pudiera emplearse como indicador de adaptación a la domiciliación de los triatominos (Dujardin et al. 1998).
Panstrongylus rufotuberculatus se le ha detectado infectada naturalmente con T. cruzi (Sherlock et al. 1998, Wolff et al. 2001, Wolff y Castillo 2002, Marín et al. 2007, Torres y Cabrera 2010, Depickère et al. 2011, Sempertegui-Sosa 2012, Grijalva et al. 2005, 2015), incluyendo varias regiones de Venezuela (Lent y Pifano 1940, Reyes-Lugo et al. 2006a, Traviezo-Valles et al. 2008, Zavala-Jaspe et al. 2009, Morocoima et al. 2012); particularmente en el estado Miranda se le ha detectado el genotipo TcI (Carrasco et al. 2012, 2014); asimismo, se le ha observado tripomastigotes de T. rangeli (Traviezo-Valles y Finizola 2011).
El hecho de que esta especie triatomina se encuentre posiblemente en un proceso de adaptación a los ambientes sinantrópicos, debe motivar la realización de estudios eco-epidemiológicos más extensos, especialmente en las áreas del territorio nacional con una fuerte intervención de urbanización.
Como ya se indicó, P. rufotuberculatus posee una amplia distribución y además presenta una variabilidad cromática y clinal (Lent y Wygodzinsky 1979), lo que pudiera pensarse en un complejo de especies crípticas. La evidencia molecular y citogenética indica en primer lugar, que P. rufotuberulatus se diferencia marcadamente de P. geniculatus, P. chinai y P. megistus Burmeister 1835, sus congéneres que le son más parecidas morfológicamente; además, se tiene que P. rufotuberculatus es más afín a las taxas mesoamericanas de los géneros Triatoma spp. Laporte, 1832, Meccus spp. Stål, 1859 y Dipetalogaster sp. Usinger, 1939 que a las de Panstrongylus spp. (Crossa et al. 2002, Marcilla et al. 2002, Sempertegui-Sosa 2012). Al respecto, parece oportuno citar las investigaciones de Gardim et al. (2014), quienes reafirman esta polifilia de Triatoma spp. ya propuesta por Hypša et al. (2002), lo que obliga a la revisión taxonómica y sistemática de la tribu Triatomini.
19. Panstrongylus martinezorum Ayala, 2009
De esta especie triatomina resalta en primer término, que es el último taxón de la subfamilia Triatominae descrita para el territorio nacional (Fig. 39); y de hecho, ninguno de los catálogos elaborados hasta el presente para el país, tanto en revistas extranjeras como venezolanas, no la incluyeron en sus descripciones. La misma fue descrita por Ayala (2009) a partir de dos ejemplares machos atraídos por la luz en áreas circundante del río Cataniapo, al sur de Puerto Ayacucho (Lat.: 05° 35’ 40’’N; Long.: 67° 41’ 49’’O; entre 100-200 m de altitud) capital del estado Amazonas con una zona bioclimática correspondiente al Bosque Húmedo Tropical (Ewel et al. 1976); posteriormente, Ayala et al. (2014) describen sus hembras similarmente a partir de ejemplares capturados en diversos sectores de Puerto Ayacucho, donde solamente se ha reportado hasta el presente a esta especie triatomina, aunque estos autores señalados consideran que pudiera también ubicarse en Colombia y Brasil; es significativo indicar que muchos especímenes de este material entomológico fueron colectados dentro de la vivienda humana, y aunque hasta ahora no se ha detectado la presencia de tripomastigotes metacíclicos de T. cruzi en sus heces, se le considera un potencial vector de la enfermedad de Chagas en la región amazónica (Ayala et al. 2014). Por lo comentado, se hace necesario realizar estudios eco-epidemiológicos más amplios, así como también lograr su colonización para describir sus estadios inmaduros e incrementar el conocimiento de su biología. El hecho de que, como bien lo indican Ayala et al. (2014), a P. martinezorum se le haya identificado inadecuadamente en colecciones previas como “P. geniculatus” y que muchas de las diferencias con sus congéneres más cercanos se basan en patrones de coloración y de tamaño, requiere complementar la alfa taxonomía con técnicas complementarias (e.g, morfometría lineal y geométrica, microscopía electrónica, técnicas citogenéticas y moleculares) bajo una óptica de la taxonomía integral (Dayrat 2005, Abad-Franch et al. 2013, Guerra et al. 2014).

Género Triatoma Laporte, 1832
20. Triatoma dimidiata sensu lato (s.l.) Latreille, 1811
Triatoma dimidiata s.l. (Fig. 40) exhibe una amplia distribución geográfica que comprende desde México, todos los países centroamericanos (Belice, Costa Rica, El Salvador, Guatemala, Honduras, Nicaragua, Panamá), Colombia, Ecuador, Perú y Venezuela (Lent y Wygodzinsky 1979, Galvão et al. 2003, Dorn et al. 2007). Asimismo, esta especie triatomina puede habitar en una amplia variedad de zonas bioclimáticas y ecológicas hasta los 2.000 m de altitud, así como también en ambientes silvestres, peridomiciliares y domiciliares (Zeledón 1981, Carcavallo et al. 1998b, Reyes-Novelo et al. 2011, Parra-Henao et al. 2015, 2016, Gómez-Palacio et al. 2015); como bien lo define Gómez-Palacio et al. (2015), por esta versatilidad se considera a T. dimidiata s.l. como una de las especies triatominas más eclécticas. En Venezuela, a este triatomino se le ha capturado en los estados Bolívar, Carabobo, Cojedes, Delta Amacuro, Falcón, Yaracuy y el Distrito Capital (Carcavallo et al. 1977, Ramírez-Pérez 1987, Galvão et al. 2003).

Aunque T. dimidiata s.l. fue la segunda especie de Triatominae descrita (Lent y Jurberg 1985), desde entonces su estatus taxonómico aún continua siendo controversial y no del todo establecido (Dorn et al. 2007, 2009). En este sentido, se han aportado evidencias morfológicas o fenotípicas, morfométricas, de habitats o ecológicas, biológicas, etológicas, bioquímicas y genéticas que sugieren que se encuentra constituida por un complejo de especies crípticas (especie politípica) (Lent y Wygodzinsky 1979, Flores et al. 2001, Martínez-Ibarra et al. 2001, Bustamante et al. 2004, Catalá et al. 2005, Lehmann et al. 2005, Panzera et al. 2006, Bargues et al. 2008, Pineda et al. 2008, Tamay-Segovia et al. 2008, Dorn et al. 2009, 2016, Calderón-Fernández et al. 2005, 2011, Gómez-Palacio et al. 2015, May-Concha et al. 2013, 2015, 2016). Desde su descripción original, su amplia variación fenotípica condujo no solo a la aparición de varias sinonimias (e.g., Reduvius dimidiatus, Conorhinus maculipennis, Triatoma capitata), sino que también a que los diversos patrones cromáticos de diferentes regiones se les designaran como subespecies (T. d. dimidiata: Perú, Ecuador; T. d. maculipenis: México; T. d. capitata: Colombia) (Lent y Wygodzinsky 1979), a lo que estos últimos autores señalados consideraron como “variaciones clinales” que no justifican un valor taxonómico, lo cual fue apoyado por Lent y Jurberg (1985) mediante el estudio morfológico comparativo de la genitalia masculina. Sin embargo, con técnicas moleculares (ADN nuclear ribosomal nuclear: ITS-2) (Bargues et al. 2008) y patrones de hidrocarburos cuticulares (quimiotaxonomía) (Calderón-Fernández et al. 2011), se revisó el estatus taxonómico de este “complejo de especies/subespecies” y se llegó a la conclusión que se debía revalidar la subdivisión de T. dimidiata en las tres subespecies (T. d. dimidiata, T. d. maculipenis, T. d. capitata) mencionadas, además de que propusieron una nueva subespecie y una especie (T. hegneri) del complejo. Más recientemente, Dorn et al. (2016) aplicando estudios filogenéticos con genes mitcondriales (citocromo b: cyt-b, citocromo c-oxidasa y nicotinamida adenina dinucleotide dehidrogenasa 4: ND4) llegaron a la conclusión que la hipótesis de las subespecies inferidas con ITS-2 no es válida, revelando la existencia de dos especies crípticas adicional a T. dimidiata s.s.
Con estudios de citogenética con poblaciones de T. dimidiata de distribución restringida en Centro y Sur América, se han detectado 3 cito-tipos, siendo la divergencia de los cito-tipos 2 (México) y 3 (Guatemala) amplia y suficiente para considerarse como especies crípticas (Panzera et al. 2006), lo que pareciera apoyarse en la investigación de Dorn et al. (2016). Otros estudios con técnicas de ADN (genes mitocondriales cyt-b; ND4), apoyan la existencia de cinco grupos bien definidos y separados genéticamente (Grupos I-IV más T. hegneri) y que deben considerarse como especies distintas, las cuales se originaron en la región México-Guatemala y se extendieron hacia el norte de Suramérica, mostrando algunas de las mismas separación de nichos ecológicos (Dorn et al. 2007, 2009, Monteiro et al. 2013, Gómez-Palacio et al. 2015); en Ecuador, mediante estudios moleculares (ITS-2) Wong et al. (2016) aportan evidencias de que T. dimidiata fue importada durante el periodo colonial desde Centroamérica. A pesar de la amplia evidencia, aún no existe una descripción formal de los integrantes de este complejo de especies. Desde un punto de vista sistemático, la ubicación de T. dimidiata s.l. en el complejo T. phyllosoma o en el género Meccus spp. aparece muy controversial, por lo que no existe un concenso general (Hypsa et al. 2002, Galvão et al. 2003, Bustamante et al. 2014, Martínez et al. 2006, Gardim et al. 2014).
Los huevos de T. dimidiata s.l. han sido estudiados mediante microscopía de luz y MEB (Lizaraso 1957, Mello et al. 2009). Los mismos son puestos libremente, de forma oval, simétricos, elipsoidales y extremos redondeados, con coloración recién puestos blanco brillante amarillento y se torna rojiza al momento de eclosionar; con dimensiones (mm): 2,15 ± 0,05 x 1,28 ± 0,02, las cuales pueden variar de acuerdo a nutrición, condiciones de mantenimiento y procedencia (Lizaraso 1957, Zeledón 1981, Mello et al. 2009). Sin cuello. Opérculo circular (0,72 ± 0,01), ligeramente convexo. El exocorio y el opérculo con células poligonales irregulares, siendo la mayoría hexagonales y sin ornamentación. Sus estadios ninfales también han sido estudiados detalladamente mediante microscopía de luz y MEB (Zeledón 1981, Mello et al. 2009), así como también la anatomía de adultos (Lent y Wygodzinsky 1979, Zeledón 1981, Carcavallo et al. 1998c), incluyendo la genitalia de los machos (Lent y Jurberg 1985) y las glándulas accesorias del sistema reproductivo de las hembras (Chiang et al. 2012). También varios investigadores han hecho aportes sobre su biología a nivel experimental, observándose una gran variabilidad, lo que apoya la existencia de un complejo de especies crípticas (Zeledón et al. 1970a,b, 1977, Zeledón 1981, Martínez-Ibarra et al. 2001, Reyes y Angulo 2009). Así, se obtuvo que en promedio, dependiendo de la temperatura y HR, el ciclo de huevo a adulto dura entre 6 a 12 meses, y los adultos pueden vivir hasta 3 años, y la mortalidad más elevada se da en los dos primeros estadios ninfales. A T. dimidiata s.l. se le considera de “poca agresividad” o “tímida”, siendo las ninfas I y II las más reluctantes para alimentarse, que se puede interrumpir frecuentemente, aunque por lo general pueden ingurgitarse a replesión (ninfas V: hasta 656 mg de sangre) en menos de 10 minutos; T. dimidiata s.l. defeca varias veces antes de ingurgitarse, teniendo las ninfas I el tiempo promedio más alto para alimentarse y tardan más en defecar al igual que los machos, mientras que las ninfas V y las hembras son los estadios que más defecan; la resistencia al ayuno es proporcional al estadio ninfal, y las ninfas V resisten más que los adultos, pudiendo durar hasta 10 meses y medio en ayunas. La cópula tarda hasta 19 minutos, y un macho puede hacerlo más de un vez por día, y fecundar hasta 4 hembras en tres días. Las hembras pueden poner hasta 31 huevos por día y hasta 2.054 durante toda su vida, con 88,1-91,1% de eclosión; la infección por T. cruzi no afecta estos parámetros. Esta elevada fertilidad y fecundidad de T. dimidiata s.l. pudiera compensar al prolongado ciclo ninfal. Un dato muy importante desde el punto de vista sanitario, es que los espermatozoides pueden permanecer viables en las espermatecas de las hembras por hasta más de un año, por lo que las hembras de esta especie triatomina pueden colonizar una vivienda no infestada sin necesidad de la presencia de sus congéneres machos (Zeledón et al. 1970a,b, 1977, Zeledón 1981, Martínez-Ibarra et al. 2001, Reyes y Angulo 2009). En la saliva de T. dimidiata s.l. se han aislado varias clases de componentes farmacológicamente activos (antihomeostáticos) (Kato et al. 2010, Ishimaru et al. 2012). Así, se han identificado proteínas que intervienen en el proceso de coagulación sanguínea (homológas de triabina: inhibidora de la trombina; dimiconina: inhibidora del factor FXII); también destacan una proteína abundante de la familia de las lipocalinas, y que puede intervenir en el proceso de hematofagia; así como también la triafestina (un inhibidor del sistema caliceína-cinina), pallidipina (inhibidora de la agregación plaquetaria), además de muchos otros sin función conocida (Kato et al. 2010, Ishimaru et al. 2012).
Desde el punto de vista sanitario, a T. dimidiata s.l. se le tiene como un vector principal o secundario de la enfermedad de Chagas en México, los países de Centroamérica, Colombia, Perú y Ecuador (Lent y Wygodzinsky 1979, Zeledón 1981, Acevedo et al. 2000, Guevara et al. 2005, Dorn et al. 2007, 2009, Saldaña et al. 2012, Monteiro et al. 2013, Bustamante et al. 2014, 2015, Stevens et al. 2014, Gómez-Palacio et al. 2015, Parra-Henao et al. 2015, 2016). Además de T. rangeli, a esta especie triatomina se le ha aislado los DTU-T. cruzi: TcI (Ia), TcII, TcIII, TcIV, TcV (Ramos-Ligonio et al. 2012, Monteón et al. 2016), con tasas de infección de hasta el 100% (Hernández et al. 2010, Parra-Henao et al. 2016). Como ya se ha señalado, T. dimidiata s.l. puede habitar tanto en ambientes silvestres como en aquellos modificados por la acción humana (peridomiciliares y domiciliares) (Gómez-Palacio et al. 2015). En este sentido, se le ha detectado dentro de cuevas y refugios de animales (marsupiales, murciélagos, y otros mamíferos), palmeras (A. butyracea (Mutis ex L.F.) Wess.Boer, Scheelea rostrata Oerst. (= S. zonensis L. H. Bayley), A. cohune Mart.), huecos y raíces de árboles (e.g., Polygonaceae Juss., 1789: Gymnopodium floribundum Rolfe; Fabaceae Lindley: Enterolobium cyclocarpum (Jacq.) Griseb. 1860 y Piscidia piscipula (L.) Sarg., las cuales se utilizan comúnmente como leña) y cercas y pilas de piedras (Zeledón 1981, Carcavallo et al. 1998b, Reyes-Novelo et al. 2011, Abad-Franch et al. 2015). T. dimidiata s.l. se encuentra entre las especies triatominas que habitualmente colonizan el domicilio humano (domiciliación), con una fuerte fotofilia y con tasas de infestación de hasta >90%, cuyas ninfas se camuflan muy bien con el entorno, especialmente con el polvo del suelo, y también se refugian en grietas de paredes, muebles, techos de palmas, cortinas, cuadros; llama la atención que esta colonización puede ocurrir además de poblaciones rurales en grandes ciudades capitales, especialmente en Centroamérica, en construcciones hechas en zonas con condiciones socio-económicas bajas en las que destacan los pisos de tierra, las pilas de rocas y maderas en áreas peridomiciliares, así como los sitios de crías de animales domésticos, especialmente en gallineros; en el medio rural destaca la presencia de palmeras y su utlización como material de construcción, como un factor de riesgo relevante para la infestación domicliar por T. dimidiata s.l. (Zeledón 1981, Polonio et al. 2009, Reyes-Novelo et al. 2011, Saldaña et al. 2012, Koyoc et al. 2015, Parra-Henao et al. 2015, 2016); un estudio reciente en la península de Yucatán, México, reveló que esta especie se encuentra más atraída por las fuentes lumínicas de las calles que las intradomiciliares, especialmente la luz blanca (Pacheco-Tucuch et al. 2012). Esta especie triatomina posee una marcada apetencia hacia los humanos, pero también posee fuentes secundarias de alimentación, que incluyen una amplia variedad de vertebrados (ratas, ratones, cobayos, gallinas, gatos, cerdos, pavos, palomas, caballos, marsupiales, murciélagos, cabras, ovejas, primates no homínidos, conejos, perros, armadillos, vacunos, anfibios, reptiles, aves silvestres); resalta el hecho de haberse detectado que las ninfas pueden alimentarse de la hemolinfa de sus congéneres (cleptohematofagia) (Zeledón 1981, Carcavallo et al. 1998a,b, Torres-Montero et al. 2012, Stevens et al. 2014).
Contrastando con la abundante información sobre este complejo de especies en otros países, los últimos datos y registros sobre T. dimidiata s.l. en el territorio nacional son de hace más de 40 años, y ni siquiera se conoce aún el genotipo o especie del complejo que se encuentra en el mismo. La poca información que se tiene sobre esta especie no es siempre precisa; en este sentido, Carcavallo et al. (1977) en su revisión de la fauna triatomina de Venezuela indican: “Es necesario una revisión de todo el material publicado para establecer si corresponde a la subespecie monotípca de Latreille o la subespecie capitata de Usinger, como sostiene Pifano (1974)”; “Los datos sobre Triatoma dimidiata no permiten caracterizarla biogeográficamente”. Generalmente se le tiene como una especie de hábitos silvestres en el territorio nacional (Carcavallo et al. 1977, Ramírez-Pérez 1987). Esta situación planteada, demanda de estudios más amplios para determinar además de su estatus taxonómico bajo una óptica de la taxonomía integral, la importancia sanitaria de esta especie triatomina en el contexto de los focos zoonóticos y antropozoonóticos de la enfermedad de Chagas en nuestro país
21. Triatoma maculata Erichson, 1848
La primera descripción de T. maculata para Venezuela se hizo en el primer tercio del siglo XX. La misma es una especie triatomina con una amplia valencia ecológica, al distribuirse en prácticamente la totalidad del territorio nacional y abarcando similarmente una amplia variedad de biotopos y zonas biogeográficas, desde los 0 hasta 1.500 m de altitud. Asimismo, se encuentra distribuida en Aruba, Bonaire, Curazao, Brasil, Colombia, Guyana, Surinam y la Guayana Francesa (Lent y Wygodzinsky 1979, Ramírez-Pérez 1987, Galvão et al. 2003, Soto-Vivas 2009, 2010).
Las características morfológicas de los huevos de T. maculata se han estudiado mediante microscopía de luz y MEB (Lent y Wygodzinsky 1979, Gonçalves et al. 1985, Barata 1998, Aldana et al. 2013). Estos son puestos libremente, de forma oval, simétricos, elipsoidales, con coloración recién puestos blanco brillante-amarillento y se torna rojiza al momento de eclosionar (Fig. 41H); con dimensiones (mm): 1,77 (1,53-1,95) x 1,09 (1,02-1,18). Sin cuello. Opérculo circular. El exocorio y el opérculo de aspecto rugoso, con células poligonales, siendo la mayoría hexagonales y con perforaciones de forma aleatoria. Los aerópilos se distribuyen a lo largo de la gotera espermática, mientras que los micrópilos se localizan en la cara externa del borde corial; la gotera espermática posee anchura variable y tiene textura lisa; banda de sellado de superficie lisa y anchura similarmente variable, así como también el anillo corial (Lent y Wygodzinsky 1979, Golcalves et al. 1985, Barata 1998, Aldana et al. 2013). Similarmente, los estadios ninfales T. maculata se han estudiado mediante microscopía de luz y MEB (Lent y Wygodzinsky 1979, Golcalves et al. 1985) (Fig. 41), al igual que la anatomía de adultos (Carcavallo et al. 1998c) (Fig. 41), incluyendo la genitalia de los machos (Galvão 1973) y las setas cuticulares con MEB (Avendaño-Rangel et al. 2016).
De la cría en laboratorio de esta especie triatomina se han obtenido varios aspectos de su biología. En este sentido, el ciclo evolutivo tarda en promedio de acuerdo a varios investigadores entre 167,2-223,5 días (Da Silva y Da Silva 1989, Silva et al. 1995), 200,1 (129-281) días (Espínola et al. 1981), 178,89 días (Feliciangeli y Rabinovich 1985). Aldana y Lizano (2004) estudiaron varios aspectos etológicos y bionómicos de poblaciones de T. maculata de Venezuela colonizadas y alimentadas con sangre humana. Estos referidos autores encontraron resultados muy similares a los obtenidos por Espínola et al. (1981) y Feliciangeli y Rabinovich (1985), también con poblaciones venezolanas de esta especie triatomina alimentadas sobre gallinas, con respecto a: promedio de huevos/hembra/semana, el tiempo de desarrollo embrionario y el tiempo intermuda del estadio IV, y la consideran una especie de estrategia “r”. Sin embargo, Aldana y Lizano (2004) observaron que el estadio V no alcanza la diferenciación sexual, la fertilidad y longevidad de las hembras son menores, los tiempos intermudas y la mortalidad absoluta mayores cuando se comparan con los alimentados sobre las aves (Espínola et al. 1981, Feliciangeli y Rabinovich 1985); basados en estos datos, Aldana y Lizano (2004) sostienen que: “El éxito reproductivo de T. maculata está restringido por tanto a la ingesta de sangre de ave, lo que explicaría el comportamiento preferentemente ornitófago y peridomiciliario, la menor adaptación al domicilio humano y por consiguiente el menor potencial vectorial respecto a R. prolixus”. Contrario a lo indicado, resalta el hecho de que cuando poblaciones de T. maculata de la Amazonia brasileña se alimentan sobre ratones en laboratorio mejoran sus características biológicas, al acortarse su ecdisis y su ciclo de desarrollo, produciendo hasta tres generaciones por año; además, defeca inmediatamente cuando aun se alimenta sobre su hospedador; se alimenta varias veces durante sus estadios ninfales y de diversas fuentes (Luitgards-Moura et al. 2005b). Por ello, se puede considerar que la ornitofilia de T. maculata “es más oportunista que adaptativa y el que su potencial biótico puede favorecerse a través de un contacto más frecuente con la sangre de mamíferos que se encuentran en el peridomicilio y dentro del domicilio”, lo que la convierte en un potencial vector de T. cruzi (Luitgards-Moura et al. 2005b). En un intento por estimar el riesgo potencial como transmisor de la enfermedad de Chagas y su adaptación al domicilio humano, Torres et al. (2010) estudiaron a nivel experimental características biológicas de esta especie triatomina a partir de ejemplares capturados en ambientes peridomiciliares y domiciliares en una población rural del estado Lara, al occidente de Venezuela, y alimentados con sangre humana; además, también analizaron su estructura espacial mediante morfometría geométrica. Dentro de sus resultados resaltan: “fecundidad promedio, 27,70 huevos/hembra/vida, tiempo promedio de postura de huevos, 32,74 días, y longevidad promedio de la hembra, 39,15 días; el mayor tiempo en V estadio fue de 45,9 días y el menor en I estadio, 18,41 días; la mayor mortalidad fue de 77,78% y el menor porcentaje de muda en V estadio, de 22,23%”, y en cuanto a la morfometría: sólo se encontraron diferencias de conformación en los diferentes hábitats (Torres et al. 2010); estos autores señalaron como conclusiones que: “podría indicar que T. maculata de Xaguas podrían encontrarse en un estado de adaptación al domicilio con fuentes sanguíneas diferentes al humano y en un estado incipiente de adaptación al domicilio con la sangre humana como fuente de alimentación”. También a nivel experimental, Traviezo-Valles et al. (2009) observaron que las heces de T. maculata y de otras taxa de triatominos sirven como atractante, por lo que, como ya se ha indicado, se puede emplear para su captura pasiva.

En Venezuela a T. maculata se le tiene como un vector alterno o secundario de la enfermedad de Chagas, comúnmente asociada al peridomicilio y que posee una preferencia alimentaria hacia aves (ornitofilia), especialmente las de corral (ornitófaga) (Lent y Wygodzinsky 1979, Carcavallo et al. 1998a,b, Sánchez-Martin et al. 2006), y que sustituye a R. prolixus en las viviendas infestadas previamente rociadas con insecticidas (Gamboa y Pérez-Ríos 1965). Sin embargo, cada vez más se reporta la domiciliación de esta especie triatomina, y con elevadas tasas de infestación, ya sea en Brasil (Dias et al. 2002, Luitgards-Moura et al. 2005a), Colombia (Cortés y Suárez 2005, Cantillo-Barraza et al. 2010, 2015, Montilla et al. 2011a, Gómez-Melendro et al. 2014, Jacome-Pinilla et al. 2015) y Venezuela (Feliciangeli et al. 2007, Rojas et al. 2008, González-Brítez et al. 2010, Torres et al. 2010, Reyes-Lugo et al. 2011, García-Alzate et al. 2014, García-Jordán et al. 2015). De hecho existen áreas del estado Lara y Sucre al noroccidente y noreste de Venezuela, respectivamente, donde a T. maculata se le señala como la especie triatomina responsable de la transmisión del T. cruzi a humanos y reservorios domésticos dentro del domicilio (Rojas et al., 2008, García-Jordán et al. 2015). Se le tiene como una de las especies triatominas que se encuentran en un estado de transición ecológica, al estar en proceso de adaptación al domicilio humano (Zeledón 1983). Al respecto, resulta interesante resaltar los hallazgos recientes de García-Alzate et al. (2014), quienes mediante morfometría geométrica de las alas y marcadores genotípicos (mtCyt b y la región del gen tubulina beta) en subpoblaciones silvestres y de hábitats modificados de T. maculata de varios estados de Venezuela, comprobaron que esta especie triatomina se encuentra desplazándose hacia los ambientes domésticos. Por contraste, Soto-Vivas et al. (2007) similarmente mediante morfometría geométrica, no detectaron que esta especie triatomina “esté desarrollando mecanismos adaptativos al domicilio” en la población de Cauderales, estado Lara, región centro-occidental de Venezuela. Es importante resaltar la captura de esta especie triatomina en “plena zona urbana” de la ciudad de Maracaibo, capital del estado Zulia, al occidente de Venezuela, especialmente debajo de colchones y en elevadas cantidades de ejemplares (Torres 1982).
Como ya se indicó anteriormente, Ceccarelli y Rabinovich (2015) implementaron el modelo de nicho ecológico como herramienta para predecir el efecto del cambio climático en la distribución de cinco especies triatominas de Venezuela hacia 2020, 2060 y 2080; en el caso de T. maculata estos autores predijeron que en Venezuela las poblaciones de esta especie triatomina tienen una elevada vulnerabilidad de su distribución actual hacia los periodos futuros.
A T. maculata también se le captura frecuentemente en palmeras (Acrocomia aculeata L., A. butyracea, Attalea spp., Scheelea spp., Copernitia tectorum (Kunth) Mart., Sabal spp., Cocos nucifera L., M. flexuosa) troncos y huecos de árboles, bromelias, Cataceae; nidos de aves (Ciconiiformes, Ciconiidae: Mycteria americana L.; Passeriformes: Furnariidae, Dendrocolaptidae); en simpatría con pseudoescorpiones, triatominos (C. pilosa, E. mucronatus, R. prolixus), escorpiones (Buthidae C.L. Koch, 1837: Rhopalurus laticauda Thorell, 1876) (Carcavallo et al. 1998a,b, Longa y Scorza 2007, Barroyeta y Virgüez 2010, Morocoima et al. 2010b, 2011, Briceño et al. 2014, Abad-Franch et al. 2015, Jacome-Pinilla et al. 2015). Además de sus conocidas apetencias ornitológicas y hacia la sangre de humanos, esta especie triatomina también posee una amplia variedad de fuentes de alimentación de vertebrados, tanto silvestres como domésticos, incluyendo ratas (Sygmodon spp.), ratones, perros, gatos, cerdos, marsupiales (D. marsupialis), carnívoros, murciélagos, armadillos (D. novemcictus), T. tetradactyla, anfibios, reptiles, por lo que se le puede considerar como ecléctica en sus hábitos hematofágicos (Carcavallo et al. 1998a,b, Morocoima et al. 2010b). Además, se debe mencionar que esta especie triatomina puede ejercer la hemolinfagia (Alves et al. 2011). Resalta el hecho de que tanto en ambientes silvestres como peridomiciliarios e intradomiciliarios a T. maculata se le ha detectado con elevados índices de infección por T. cruzi, con hasta más del 70% de los ejemplares; aunque se debe indicar que en todos los casos que se ha logrado su tipificación genética, tanto en Colombia como Venezuela, se trata del genotipo TcI (Cortés y Suárez 2005, Barroyeta y Virgüez 2010, González-Brítez et al. 2010, Morocoima et al. 2010b, Montilla et al. 2011a, Carrasco et al. 2012, 2014, Noya et al. 2012, García-Alzate et al. 2014, Gómez-Melendro et al. 2014, Cantillo-Barraza et al. 2010, 2015, Jacome-Pinilla et al. 2015).
En el pasado T. maculata presentó algunas sinonimias (Lent y Wygodzinsky 1979). Esta especie triatomina y T. pseudomaculata (Corrêa y Espínola 1964) son muy similares desde el punto de vista morfológico (Lent y Wygodzinsky 1979), así como también en sus características citogenéticas, con número cromosómico diploide 2n = 22 (20A + XY) (Mendonça 2010); asimismo, ambas taxa exhiben patrones de reproducción similares y pueden intercruzarse, pero producen híbridos infértiles (Belisário et al. 2007), y presentan un 98,5% de homología en la región ITS-1 del ADN ribosomal (Mendonça 2010); de hecho, ambas fueron consideradas idénticas hasta 1964 (Lent y Wygodzinsky 1979). Sin embargo, T. maculata y T. pseudomaculata son taxa triatominas con estatus taxonómicos específicos que se separan morfológicamente, especialmente en la genitalia de los machos y sensilas antenales, citogenéticamente (e.g, tamaño cromosómico) y desde el punto de vista morfométrico, enzimático y molecular (Lent y Wygodzinsky 1979, Dos Santos et al. 2007, Carbajal de la Fuente et al. 2008, Mendonça 2010). Tomando en cuenta estas evidencias de similaridades fenéticas, genéticas y moleculares, varios autores consideran que T. maculata y T. pseudomaculata forman el complejo “maculata” (Carcavallo et al. 2000, Sainz et al. 2004, Mendonça 2010); sin embargo, otros investigadores no avalan esta hipótesis, e indican que T. pseudomaculata se encuentra más relacionada con T. wygodzinskyi Lent, 1951, por lo que deberían formar un grupo filogenético aparte (Hypša et al. 2002, Paula et al. 2005, Dos Santos et al. 2007, Justi et al. 2014). Más recientemente, Pita et al. (2016) basándose en la posición cromosomal de genes ribosomales (45S), determinaron que T. maculata posee estos genes en los cromosomas sexuales (XY), mientras que en T. pseudomaculata, T. wygodzinskyi y T. arthurneivai Lent y Martins, 1940 se ubican en un par autosómico; esto produciría el aislamiento reproductivo entre estas taxas triatominas. A la luz de estos resultados, estos autores propusieron crear los subcomplejos maculata (T. maculata) y pseudomaculata (T. pseudomaculata, T. wygodzinskyi y T. arthurneivai) (Pita et al. 2016). En un reciente estudio, Monsalve et al. (2016) encontraron una elevada divergencia morfométrica (alas) y genética (genes mitocondriales NADH deshidrogenasa subunidad 4, ND4) entre poblaciones de T. maculata de Colombia y Venezuela.
22. Triatoma nigromaculata (Stål, 1872)
Además de los estados Vargas, donde fue descrito el holotipo (La Guaira), y Yaracuy, donde se capturaron los ejemplares para su redescripción (San Felipe) (Lent y Pifano 1939), T. nigromaculata también se distribuye en otras 14 entidades federales de Venezuela, incluyendo Aragua, Barinas, Bolívar, Cojedes, Delta Amacuro, D.C., Lara, Mérida, Miranda, Monagas, Portuguesa, Sucre, Táchira y Trujillo (Ramírez-Pérez 1987, Soto-Vivas 2009, 2010, Villegas et al. 2011, Carrasco et al. 2012, 2014). Su distribución también abarca Perú y Colombia (Calderón y Monzón 1995, Galvão et al. 2003, Vásquez et al. 2005, Chávez 2006).
A los adultos de T. nigromaculata se le ha estudiado algunos de sus rasgos anatómicos con MEB (Carcavallo et al. 1998c) (Fig. 42).
Lent y Pifano (1939) y Pifano (1941) capturaron en 1938 hasta 105 ejemplares de esta especie triatomina en un rancho de la ciudad de San Felipe, capital del estado Yaracuy, al Occidente de Venezuela, con tasas de infección por T. cruzi de más del 40%. Asimismo, estos autores lograron alimentar ninfas y/o adultos de esta especie triatomina sobre el murciélago Molossus molossus Pallas 1766 (descrito como M. obscurus Geoffroy, 1805) (Molossidae Gervais en de Castelnau, 1855), comadrejas (Marmosa spp. Gray, 1821, Didelphidae; descrita como M. mitis casta) y perros naturalmente infectados con el flagelado, o sobre cobayos (C. porcellus) parasitados de forma experimental. Es significativo indicar que Lent y Pifano (1939) y Pifano (1941) también capturaron un lote de ejemplares de T. nigromaculata en un hueco de árbol cercano a la vivienda señalada, los cuales se habían alimentado sobre aves no identificadas.

Además de estos hallazgos señalados a nivel domiciliar en San Felipe, estado Yaracuy, a 800 m de altitud, resalta el hecho de la captura de T. nigromaculata colonizando el domicilio humano en la región andina de Venezuela, particularmente en el sur del estado Mérida a altitudes >1000 m. En este sentido, Scorza et al. (1994) detectaron una colonia de hasta 59 insectos entre ninfas y adultos en el dormitorio de vivienda de construcción moderna, que se alimentaron preferentemente con sangre humana y de perros, y en menor medida de gallinas. Por su parte, Añez et al. (2005a) también detectan la domiciliación de T. nigromaculata, resaltando el hecho de que la vivienda se ubica a 1.750 m de altitud; por lo tanto, en una zona como la andina donde la afluencia de turistas es permanente, se requiere mantener programas de vigilancia epidemiológica ante estos eventos descritos. Aparece relevante señalar la captura de T. nigromaculata en la Gran Caracas (Filas de Mariche) (estado Miranda), e infectada con el genotipo TcI, por lo que eventualmente pudiera intervenir en la transmisión domiciliar por vía oral mediante contaminación alimentaria (Carrasco et al. 2012, 2014).
De esta especie triatomina destaca el hecho de que su bio-ecología se encuentra poco estudiada. Por ello, resulta imperativo incrementar los esfuerzos en el territorio nacional para determinar con mayor precisión su estatus como vector de la enfermedad de Chagas. Aparece necesario indicar que el estudio por alfa taxonomía de T. nigromaculata requiere que se complemente con técnicas alternativas complementarias (e.g., morfometría, citogenética, moleculares) (taxonomía integral). Esto se señala debido a que, en primer término, el único ejemplar de esta especie triatomina reportada para el Perú (Calderón y Monzón 1995), se sospecha que en realidad corresponda a T. carrioni (Larrouse, 1926) (Chávez 2006, Cuba et al. 2007); por otra parte, T. boliviana Martínez, Chávez, Sossa, Aranda, Vargas y Vidaurre, 2007 descrita para los Andes bolivianos es muy afín con T. nigromaculata, e inicialmente fue descrita erróneamente como T. carrioni (Martínez et al. 2007); además, las diferencias cromáticas y morfométricas dadas por Martínez et al. (2007) para la separación entre T. boliviana y T. nigromaculata podrían ser el resultado de una variación clinal.
23. Triatoma rubrofasciata De Geer, 1773
Como ya se ha indicado, T. rubrofasciata posee la particularidad de ser la primera especie de Triatominae descrita desde el punto de vista científico, siendo además la especie tipo del género Triatoma spp. (Lent y Wygodzinsky 1979) (Fig. 43). Esta especie triatomina se le considera como el único taxón cosmopolita (tropicopolita) y posee una amplia distribución geográfica, incluyendo África (Angola, Congo, Guinea, Islas Reunión, Islas Rodríguez, Islas Seychelles, Madagascar, Mauricio, Repúbica Centroafricana, Sierra Leona, Suráfrica, Tanzania, Unión de Las Comoras), Europa (Islas Azores: Portugal, Oceano Atlántico), Asia (Arabia Saudita, Birmania, Camboya, China, Federación Malaya, Filipinas, India, Islas Maldivas, Indonesia, Japón, Singapur, Sri Lanka,Tailandia, Taiwán, Vietnam), Oceanía (Hawai: EEUU, Islas Carolinas: Estados Federados de Micronesia y Palau, Nueva Guinea, Tonga) y el continente americano (Antigua, Argentina, Bahamas, Brasil, Cuba, EEUU, Grenada, Guadalupe, Guyana, Guayana Francesa, Haití, Islas Vírgenes, Jamaica, Martinica, República Dominicana, San Vincente y Las Granadinas, Surinam, Trinidad, Venezuela) (Lent y Wygodzinsky 1979, Gorla et al. 1997, Galvão et al. 2003, Schofield et al. 2009, Dujardin et al. 2015); sin embargo, se debe aclarar que muchos de estos reportes son de antes de 1945, y pudieran por lo tanto no representar la distribución actual de este taxón (Dujardin et al. 2015a). Esto último indicado pudiera ser el caso de los reportes dados para Venezuela, que fueron realizados hacia el primer tercio del siglo pasado para los estados Aragua y Anzoátegui (Ramírez-Pérez 1987) y desde entonces no se ha vuelto a capturar; de hecho su hallazgo para el territorio nacional se considera de “excepcional” (Galvão et al. 2003); también se debe considerar las explicaciones que dieron Bérenguer et al. (2009) para la poca presencia e infructuosas capturas actuales de esta especie triatomina en la Guayana Francesa: “…La especie pareciera haber desaparecido. Una posible razón pudiera ser una exitosa campaña contra los roedores que ha eliminado tanto a los triatominos como a sus hospedadores. Si T. rubrofasciata se encuentra aún presente en Cayena, ciertamente no es abundante” (Bérenguer et al. 2009).

Haridass (1986) estudió detalles ultraestructurales de la morfología de los huevos de T. rubrofasciata. Estos son puestos libremente, con dimensiones (mm): 1,71 ± 0,53 x 1,19 ± 0,35; y con 127-177 aerópilos y 12-18 micrópilos; corio con grosor: 0,021. Lent y Wygodzinsky (1979) dan detalles morfológicos de ninfas. Lent y Wygodzinsky (1979), Carcavallo et al. (1998c) y Galíndez et al. (1998b) aportan detalles mediante MEB de anatomía de imagos, mientras que Lent y Wygodzinsky (1979) y Lent y Jurberg (1978) acerca de la genitalia masculina y Weirauch (2003) y Freitas et al. (2007a,b) del área glandular y testículos de esta última; Haridass y Ananthakrishnan (1981) estudian la anatomía de órganos internos (glándulas salivares, digestivos, reproductivos). De su cría en laboratorio, así como también a nivel de campo, se han obtenido datos bionómicos; así se tiene que en experiencias hechas en la India (Haridass y Ananthakrishnan 1981), esta especie triatomina se puede alimentar experimentalmente sobre perros y conejos, y los adultos pueden consumir 217-255 mg de sangre en cada alimentación que realizan cada 3-4 días; las ninfas pueden ejercer el “kleptohemodeipnonismo” sobre otras ninfas ingurgitadas; todos los estadios soportan periodos de ayuno entre 45-60 días; una hembra puede poner hasta 250 huevos durante su vida, y poseen un ciclo de oviposición de más de 24 semanas, que puede ocurrir en cualquier época del año; los huevos tienen un periodo de incubación de 18-22 días y son puestos libres, y las ninfas tardan más 130 días en llegar a adultos; las hembras sobreviven más que los machos, hasta más de seis meses. El aparato reproductor de las hembras no posee glándulas accesorias, y prefieren oviponer en sitios secos y estrechos como rendijas de paredes e incluso de boñigas de vacunos, contando para ello con un ovipositor en forma de plato (Haridass y Ananthakrishnan 1981). También se han realizado otra serie de experiencias de laboratorio llevadas a cabo con insectos capturados en Brasil; en este sentido, se obtuvo que cuando T. rubrofasciata se alimenta con ratas Wistar (Rattus norvegicus Berkenhout, 1769) la resistencia al ayuno se incrementa con el estadio de desarrollo, con excepción de los adultos, pudiendo resistir hasta 112 (ninfas IV)- 172 (ninfas V) días, considerándose que comparativamente no soporta periodos prolongados de ayunos; además se observó que las ninfas pueden exhibir canibalismo (Cortéz y Gonçalves 1998). Por otra parte, Braga et al. (1998) y Braga y Lima (1999) estudiaron datos biológicos alimentando a los insectos sobre ratones blancos (M. musculus); ellos encontraron que T. rubrofasciata tarda 10 min para comenzar a alimentarse y >15 m para ingurgitarse, y que los porcentajes de defecación durante la alimentación son muy bajos, además que lo hacía lejos del hospedador y después de un periodo prolongado (Braga y Lima 1999); Braga et al. (1998) también observaron características biológicas importantes; así, los huevos poseen un tiempo de maduración de 17,3 ± 1,3 días con un 80,5% de eclosión, con un ciclo de desarrollo entre 83 a 667 días dependiendo de las condiciones climáticas; estos autores concluyeron que las condiciones más apropiadas para mantener una colonia de T. rubrofasciata era tenerlas a temperatura constante con una alimentación semanal para adultos y quincenal para las ninfas (Braga et al. 1998).
Por su patrón de defecación, Braga y Lima (1999) consideraron que T. rubrofasciata debe ser un vector poco eficiente de la enfermedad de Chagas. Sin embargo, como ya se ha indicado en otra oportunidad (Cazorla y Nieves 2010), su capacidad vectorial no debe subestimarse. Esto se señala por varias razones. En primer término, se le captura con mayor frecuencia tanto a nivel peridomiciliar (gallineros, palomares, pilas de madera) como domiciliar, con mayor énfasis en ciudades con puertos marítimos, en asociación con ratas (R. rattus), especialmente en los techos y áticos, volando y atraídos por fuentes lumínicas (Carcavallo et al. 1998a,b, Schofield et al. 2009, WHO 2011, Dujardin et al. 2015a); aunque también se le ha observado en poblaciones fuera de las regiones costeras y se le ha detectado infectada naturalmente con T. cruzi, siendo considerada un vector secundario de la enfermedad de Chagas en Brasil (Scherlock et al. 1998, Schofield et al. 2009, WHO 2011); particularmente en el estado de Maranhão de este último país reseñado, T. rubrofasciata alcanza colonias dentro de las viviendas de barrios periféricos de São Luís, la capital estadal (Rebêlo et al. 1998), por lo que se le puede considerar el vector más importante (Schofield et al. 2009, Silveira y Martins 2014). Esto ultimo relatado, pudiera presentarse en otras ciudades del orbe con condiciones similares; especialmente el transporte marítimo puede incrementar la expansión de esta especie triatomina, dándose casos muy particulares como su hallazgo en el Reino Unido en un cargamento de cocos provenientes de Filipinas (Schofield et al. 2009). Además, a T. rubrofasciata también se le ha detectado infectada con T. (Megatrypanum) conorhini (Donovan, 1909), que parasita también al género Rattus spp., además de ratones y macacos (Macaca spp. Lacepede, 1799, Cercopithecidae Gray, 1821) (Lent y Wygodzinsky 1979, Sherlock et al. 1998, Schofield et al. 2009, WHO 2011). Por lo general, a T. conorhini se le considera un flagelado inocuo para el vertebrado, sin embargo, con el incremento y expansión de los casos de VIH/SIDA el mismo podría infectar a individuos inmunocomprometidos (Dujardin et al. 2015a), tal como ocurre con otras especies de Trypanosoma spp. de animales, como por ejemplo T. (Herpetosoma) lewisi (Kent, 1880) Laveran y Mesnil, 1901, al cual se le considera como inocuo y que se transmite a las ratas por las pulgas (Siphonaptera Latreille, 1825), pero que en la actualidad emerge como potencialmente patógeno para los seres humanos, con varios casos documentados en Africa, Asia y América, algunos de ellos con desenlace fatal (Truc et al. 2013, De Sousa 2014). Resalta el hecho de que a T. rubrofasciata se le ha detectado la bacteria Gram-negativa Rickettsia spp. Da Rocha Lima 1916 (Rickettsiaceae Pinkerton 1936) y es capaz de transmitirla a animales de laboratorio (ratas, ratones, cobayos) (Webb 1940). Otro inconveniente que se presenta cada vez con mayor frecuencia, especialmente en Vietnam, es la ocurrencia de reacciones alérgicas por picada de esta especie triatomina, la cual es dolorosa, ocasionada por la respuesta a los antígenos liberados en la saliva durante el acto de hematofagia, así como también por las heces del triatomino; en la mayoría de los casos las reacciones ocurren en el sitio de la picada, con hinchazón y un intenso prurito y algunas veces con infecciones bacterianas sobreagregadas; sin embargo, eventualmente se han presentado manifestaciones sistémicas severas, incluyendo angiodema, urticaria, dificultad respiratoria, náusea, diarrea e inclusive choques anafilácticos fatales (WHO 2011, Dujardin et al. 2015a). Además de ratas y de humanos, también se puede alimentar de palomas, gatos, conejos, gallinas, perros, ganado porcino y vacuno, marsupiales: Monodelphis domestica Wagner, 1942 (Didelphidae Gray, 1821), además que se le encuentra en zoológicos (Haridass y Ananthakrishnan 1981, Carcavallo et al. 1998a,b, Silva et al. 2015).
Dentro del género Triatoma spp., a T. rubrofasciata se le ubica en el grupo Rubrofasciata (principalmente especies de Norteamérica y del Viejo Mundo) (Bargues et al. 2008). Un reciente estudio filogenético con seis marcadores moleculares reveló que T. rubrofasciata se encuentra estrechamente relacionada con el género Linshcosteus spp., el cual es exclusivo de la India (Justi et al. 2014); aunque se debe mencionar que en estudios por morfometría previos habían mostrado que ambas taxa son distintas (Gorla et al. 1997). Lent y Wygodzinsky (1979) señalan que morfológicamente T. rubrofasciata se distingue de sus congéneres por “la combinación de lo alargado del primer segmento antenal, los gránulos conspicuos de la cabeza y tórax, y el característico patrón cromático, especialmente la coloración más clara del margen del pronoto”; sin embargo, por presentar una distribución geográfica ecuménica sus poblaciones pueden exhibir una amplia variación clinal cromática (desde un naranja-rojizo brillante en el sur de India hasta formas casi melánicas en Hawai) (Lent y Wygodzinsky 1979); asimismo, se ha determinado que las poblaciones del norte y sur de la India presentan diferencias morfométricas importantes (Claver y Yaqub 2015). El estatus taxonómico de T. rubrofasciata no pareciera presentar inconvenientes, esto a pesar de tener varias sinonimias durante su decripción específica. Resulta interesante comentar que en la actualidad se hipotetiza que, mediante evidencias citogenéticas, morfométricas y moleculares, las poblaciones de T. rubrofasciata, así como también las de otras especies de Triatoma spp. del Viejo Mundo, se originaron en el sur de los EEUU, desde donde se dispersaron por vía marítima durante los siglos XV-XVIII (Dujardin et al. 2015b). Resalta el hecho que de las 88 especies que se les conoce su kariotipo T. rubrofasciata sea la única especie triatomina que posee 25 pares de cromosomas (Alevi et al. 2015).
A la luz de todo lo comentado, se hace necesario incrementar los estudios eco-epidemiológicos, en un intento por verificar la presencia actual de esta especie triatomina en el territorio nacional, especialmente hacia las zonas costeras, y determinar su real relevancia en los ciclos silvestres y domésticos de T. cruzi.
CONCLUSIONES
En la Tabla 2 se presenta una sinópsis de la distribución en todas las entidades federales (Fig. 44), y su importancia epidemiológica de las 23 especies de triatominos que actualmente se han reportado para el territorio nacional. Desde que la enfermedad de Chagas fue descrita a comienzos del siglo pasado, las investigaciones sobre la fauna triatomina de Venezuela han sido intensas y exhaustivas; aunque se debe señalar que existen áreas, como la región amazónica, en las que aún se carece de dichos estudios para esclarecer la situación eco-epidemiológica de la tripanosomiasis americana, especialmente si se compara con su contraparte de Brasil.
La aplicación de los criterios de la taxonomía integral ha permitido determinar que especies como R. robustus, T. dimidiata, R. pictipes y P. geniculatus representan complejos de especies crípticas. Por lo tanto, esto obliga la aplicación de esta metodología en las poblaciones triatominas existentes en los focos de la enfermedad de Chagas del país. Conocimiento necesario para el esclarecimiento del verdadero papel que juegan los vectores y la elaboración de estrategias eficaces para su control y vigilancia.
Se hace necesario determinar y corroborar la presencia en el país de especies, tales como R. pallescens, T. rubrofasciata, a las cuales no se les ha vuelto a capturar en los estudios de campo.
En el territorio nacional, cada vez son más frecuentes los reportes sobre la ocurrencia de la transmisión por vía oral de la enfermedad de Chagas a través de la contaminación de alimentos con heces/orina de triatominos. Por ello, es necesario realizar estudios bio-ecológicos más amplios y detallados acerca de especies triatominas a las cuales por lo común no se consideran de participar en los ciclos de transmisión de T. cruzi (e.g., taxa de Tribu Bolboderini; C. pilosa; Ps. arthuri), especialmente a nivel doméstico y en áreas con fuerte intervención humana. Asimismo, se debe ahondar en la significancia y repercusión sanitaria del descubrimiento experimental de la fitofagia de R. prolixus en la transmisión alimentaria del T. cruzi.

Abreviaturas. Am: Amazonas; An: Anzoátegui; Apu: Apure; Ara: Aragua; Ba: Barinas; Bo: Bolívar; Ca: Carabobo; Co: Cojedes; DA: Delta Amacuro; DC: Distrito Capital; Fa: Falcón; Gu: Guárico; La: Lara; Me: Mérida; Mir: Miranda; Mo: Monagas; NE: Nueva Esparta; Por: Portuguesa; Su: Sucre; Ta: Táchira; Tru: Trujilllo; Va: Vargas; Yar: Yaracuy; Zu: Zulia.* Unidades discretas de tipificación.**Ver Fig. 44.

Abreviaturas. Am: Amazonas; An: Anzoátegui; Apu: Apure; Ara: Aragua; Ba: Barinas; Bo: Bolívar; Ca: Carabobo; Co: Cojedes; DA: Delta Amacuro; DC: Distrito Capital; Fa: Falcón; Gu: Guárico; La: Lara; Me: Mérida; Mir: Miranda; Mo: Monagas; NE: Nueva Esparta; Por: Portuguesa; Su: Sucre; Ta: Táchira; Tru: Trujilllo; Va: Vargas; Yar: Yaracuy; Zu: Zulia.* Unidades discretas de tipificación.**Ver Fig. 44.

Agradecimientos
A Leonardo De Sousa y equipo editorial de la revista Saber (Universidad de Oriente, Venezuela), por permitirnos esta oportunidad, además de otorganos permiso para reproducir fotos. Similarmente por cedernos muchas de las fotos de los triatominos y T. cruzi agradecemos a las siguientes instituciones e investigadores: OMS; Fundación IO (España); J. Ayala (EUA); S. Depickère (Inlasa, Bolivia); A. Valderrama, E. Aldana, E. Lizano y M. Alarcón (Universidad de Los Andes, Venezuela); C. Galvão y C. Dale, Laboratório Nacional e Internacional de Referência em Taxonomia de Triatomíneos (LNIRTT), Instituto Oswaldo Cruz, Brasil
Referencias
ABAD-FRANCH F, MONTEIRO F. 2007. Biogeography and evolution of Amazonian triatomines (Heteroptera: Reduviidae): implications for Chagas disease surveillance in humid forest ecoregions. Mem. Inst. Oswaldo Cruz. 102(1):57-69.
ABAD-FRANCH F, MONTEIRO F, JARAMILLO N, GURGEL-GONÇALVES R, DIAS F, DIOTAIUTI L. 2009. Ecology, evolution and the long-term surveillance of vector-borne Chagas disease: A multi-scale appraisal of the tribe Rhodniini (Triatominae). Acta Trop. 110(2-3):159-177.
ABAD-FRANCH F, PAVAN M, JARAMILLO N, PALOMEQUE F, DALE C, CHAVERRA D, MONTEIRO F. 2013. Rhodnius barretti, a new species of Triatominae (Hemiptera: Reduviidae) from western Amazonia. Mem. Inst. Oswaldo Cruz. 108(Suppl. 1):92-99.
ABAD-FRANCH F, LIMA M, SARQUIS O, GURGEL-GONÇALVES R, SÁNCHEZ-MARTÍN M, CALZADA J, SALDAÑA A, MONTEIRO F, PALOMEQUE F, SANTOS W, ANGULO V, ESTEBAN L, DIAS F, DIOTAIUTI L, BAR M, GOTTDENKER N. 2015. On palms, bugs, and Chagas disease in the Americas. Acta Trop. 151:126-141.
ACHÉ A, MATOS A. 2001. Interrupting Chagas disease transmission in Venezuela. Rev. Inst. Med. Trop. São Paulo. 43(1):37-43.
ACEVEDO F, GODOY E, SCHOFIELD C. 2000. Comparison of intervention strategies for control of Triatoma dimidiata in Nicaragua. Mem. Inst. Oswaldo Cruz. 95(6):867-871.
ACQUATELA H. 2003. Estado actual de la enfermedad de Chagas en Venezuela y de su manejo terapéutico.Gac. Méd. (Caracas). 111(2):136-156.
AGUILAR H, ABAD-FRANCH F, RACINES J, PAUCAR A. 1999. Epidemiology of Chagas Disease in Ecuador. A Brief Review. Mem. Inst. Oswaldo Cruz. 94(Suppl. I):387-393.
AGUILAR H, ABAD-FRANCH F, DIAS J, JUNQUEIRA A, COURA J. 2007. Chagas disease in the Amazon region. Mem. Inst. Oswaldo Cruz. 102(Suppl.1):47-55.
ALARCÓN DE NOYA B, DÍAZ-BELLO Z, COLMENARES C, RUIZ-GUEVARA R, MAURIELLO L, MUÑOZ-CALDERÓN A, NOYA O. 2015. Update on oral Chagas disease outbreaks in Venezuela: epidemiological, clinical and diagnostic approaches. Mem. Inst. Oswaldo Cruz. 110(3)377-386.
ALDANA E, LIZANO E. 2004. Defecation index and reproductive success of Triatoma maculata (Hemiptera: Reduviidae) under laboratory conditions. Rev. Biol. Trop. 52(4):927-930.
ALDANA E, VIERA D, LIZANO E, RAMON F, VALDERRAMA A. 1996. Nueva especie de Psammolestes Bergroth de la región Sur Occidental de Venezuela (Hemiptera: Reduviidae: Triatominae). Caribbean J. Sci. 32(2):145-149.
ALDANA E, VIERA D, LIZANO E, RAMON F, VALDERRAMA A. 1997. Morphology of eggs and nymphs of Psammolestes salazari Hemiptera: Reduviidae: Triatominae. Caribbean J. Sci. 33(1-2):70-74.
ALDANA E, LIZANO E, CONTRERAS F, VALDERRAMA A, VIERA D. 2000. Estudio morfológico de estadios ninfales de varias especies del género Rhodnius (Hemiptera: Reduviidae). Caldasia. 22(2):347-351.
ALDANA E, LIZANO E, RODRÍGUEZ M, VALDERRAMA A. 2001. Alimentación y defecación en triatominos del género Rhodnius (Hemiptera: Reduviidae) alimentados con sangre humana. Rev. Biol. Trop. 49(2):693-696.
ALDANA E, LIZANO E, VALDERRAMA A. 2003. Revisión del estatus taxonómico de Rhodnius pictipes Stal 1872 (Hemiptera, Reduviidae, Triatominae). Bol. Dir. Malariol. San. Amb. 43(1):31-38.
ALDANA E, ZAMORA E, LIZANO E. 2005. Ciclo biológico de Rhodnius robustus Larrousse, 1927 alimentado con sangre humana en condiciones de laboratorio. Entomol. Vect. 12(1):53-60.
ALDANA E, AVENDAÑO-RANGEL F, LIZANO E, RODRÍGUEZ-BONFANTE C, BONFANTE-CABARCAS R. 2011a. Panstrongylus geniculatus eggs (Heteroptera, Reduviidae, Triatominae) from a Chagas' endemic area in the center-West of Venezuela. Acta Microsc. 20(2):103-111.
ALDANA E, HEREDIA-CORONADO E, AVENDAÑO-RANGEL F, LIZANO E, CONCEPCION J, BONFANTE-CABARCAS R, RODRÍGUEZ-BONFANTE C, PULIDO M. 2011b. Análsisis morfométrio de Panstrongylus geniculatus de Caracas, Venezuela. Biomédica. 31(1):108-117.
ALDANA E, ARRIECHI S, LIZANO E. 2013. Análisis morfológico del exocorión de huevos de Triatominae (Heteroptera, Reduviidae) mediante Microscopía electrónica de barrido. Acta Microsc. 22(4):366-374.
ALEVI K, CASTRO N, LIMA A, RAVAZI A, MORIELLE-SOUZA A, DE OLIVEIRA J, DA ROSA J, OLIVEIRA M. 2014. Nucleolar persistence during spermatogenesis of the genus Rhodnius (Hemiptera, Triatominae). Cell. Biol. Int. 38(8):977-980.
ALEVI K, BORSATTO K, MOREIRA F, JURBERG J, AZEREDO-OLIVEIR M. 2015. Karyosystematics of Triatoma rubrofasciata (De Geer, 1773) (Hemiptera: Reduviidae: Triatominae). Zootaxa. 3994(3):433-438.
ALROY K, HUANG C, GILMAN R, QUISPE-MACHACA V, MARKS M, ANCCA-JUAREZ J, HILLYARD M, VERASTEGUI M, SANCHEZ G, CABRERA L, VIDAL E, BILLIG E, CAMA V, NÁQUIRA C, BERN C, LEVY M. 2015. Prevalence and transmission of Trypanosoma cruzi in people of rural communities of the high jungle of northern Peru. PLoS Negl. Trop. Dis. 9(5):e0003779.
ALVES C, ARAUJO R, GONTIJO N, PEREIRA M. 2011. Importance and physiological effects of hemolymphagy in Triatomines (Hemiptera: Reduviidae). J. Med. Entomol. 48(2):372-381.
ANCCA J, PINTO J, VEGA S, CÁCERES A, NÁQUIRA C. 2008. Características morfométricas, genéticas, alimenticias y vectoriales de Panstrongylus herreri procedentes de Jaén (Cajamarca) y Cajaruro (Amazonas), Perú. Rev. Perú. Med. Exp. Salud Pública. 25(1)17-25.
ANCCA J, VEGA S, PINTO J, NÁQUIRA C. 2009. Caracterización genética de Trypanosoma cruzi aislados de triatominos de áreas endémicas a la enfermedad de Chagas en el Perú. Rev. Iberam. Parasitol .68(1):8-14.
ANDUZE P, PIFANO F, VOGELSANG E. 1947. Nómina de los artrópodos vulnerantes conocidos actualmente en Venezuela. Bol. Entomol. Venez. 6(núm. extra):1-16.
ANGULO V. 2000. Aspectos ecológicos de la enfermedad de Chagas en el oriente de Colombia. MVZ-Cordoba. 5(1):64-68.
ANGULO V, ESTEBAN L, LUNA K. 2012. Attalea butyracea próximas a las viviendas como posible fuente de infestación domiciliaria por Rhodnius prolixus (Hemiptera: Reduviidae) en los Llanos Orientales de Colombia. Biomédica. 32(2):277-285.
ANGULO V, CASTELLANOS Y, FLÓREZ M, ESTEBAN L, PÉREZ W, FARFÁN A, LUNA K. 2016. Human trypanosomiasis in the Eastern plains of Colombia: new transmission scenario. Am. J. Trop. Med. Hyg. 94(2):348-351.
ÁÑEZ N, CRISANTE G, ROJAS A. 2004. Update on Chagas disease in Venezuela - A review. Mem. Inst. Oswaldo Cruz. 99(8):781-787.
AÑEZ N, CRISANTE G, ROJAS A, DÍAZ N, DIAZ S, LIZANO E, LIZANO E, SUPERLANO Y, ALDANA E. 2005a. Domiciliación de Triatoma nigromaculata de la región montana del sur de Mérida, Venezuela. Bol. Malariol. Salud Amb. 45(1):47-48.
AÑEZ N, SAAVEDRA C, CRISANTE G, ROJAS A, LIZANO E. 2005b. Infección natural por Trypanosoma cruzi en Panstrongylus geniculatus (Latreille, 1811) de la región montana de Mérida, Venezuela. Bol. Malariol. Salud Amb. 45(2):139-140.
AÑEZ N, CRISANTE G, PARADA H. 2007. Nuevos casos agudos de enfermedad de Chagas en el occidente de Venezuela. Salus. 11(Supl.1):87‐90.
AÑEZ N, CRISANTE G, SORIANO P. 2009. Trypanosoma cruzi congenital transmission in wild bats. Acta Trop. 109(1):78-80.
AÑEZ N, ATENCIO R, RIVERO Z, BRACHO A, ROJAS A, ROMERO M, CRISANTE G. 2011. Chagas disease inapparent infection in asymptomatic individuals from a Yukpa ethnic community in western Venezuela. Bol. Malariol. Salud Amb. 51(2):167-175.
ARANZAZU N, PARRA J, CARDENAS M, RADA E, ZERPA O, RIVERA T, BORGES R, GONZALEZ P, MORALES J, SOSA R, SANCHEZ F, CONVIT J. 2012. Cojedes: a leprosy hyperendemic state. Int. J. Dermatol. 51(2):186-194.
ARCE-FONSECA M, RIOS-CASTRO M, CARRILLO-SÁNCHEZ S DEL C, MARTÍNEZ-CRUZ M, RODRÍGUEZ-MORALES O. 2015. Prophylactic and therapeutic DNA vaccines against Chagas disease. Parasit.Vectors. 8:121.
AVENDAÑO-RANGEL F, PEFAUR J, LIZANO E, ALDANA E, VELÁSQUES-OLIVARES D, CONCEPCIÓN J. 2011. Eratyrus mucronatus (Hemiptera, Triatominae) domiciliado y alimentado con sangre humana y canina en el estado Mérida, Venezuela: un riesgo potencial para la transmisión de la enfermedad de Chagas. Revista Científica, FCV-LUZ. 21(5):421-424.
AVENDAÑO-RANGEL F, SANDOVAL C, ALDANA E. 2016. Descripción de setas cuticulares externas de cabeza, tórax, patas, abdomen y genitalias en cuatro especies de Triatominae. Biomédica 36(3):354-358.
AYALA J. 2009. Una nueva especie de Panstrongylus Berg de Venezuela (Hemiptera: Reduviidae, Triatominae). Entomotrópica. 24(3):105-109.
AYALA J, MATTEI R, MATTEI R. 2014. Descripción de la hembra de Panstrongylus martinezorum Ayala, 2009 (Hemiptera: Reduviidae, Triatominae) con comentarios sobre la distribución geográfica de la especie en el estado Amazonas, Venezuela. Bol. SEA. 54:383-389.
BARATA J. 1981. Aspectos morfológicos de ovos de triatominae: II - Características macroscópicas e exocoriais de dez espécies do gênero Rhodnius Stal, 1859 (Hemiptera - Reduviidae). Rev. Saúde Pública.15(5):490-542.
BARATA J. 1998. Macroscopic and exochorial structures of Triatominae eggs. In: CARCAVALLO R, GALÍNDEZ I, JURBERG J, LENT H. (Ed.). Atlas of Chagas´ Disease Vectors in the Americas. Vol. II. Editora Fiocruz: Rio Janeiro, Brasil, pp. 409-448.
BARGUES M, KLISIOWICZ D, GONZALEZ-CANDELAS F, RAMSEY J, MONROY C, PONCE C, SALAZAR-SCHETTINO P, PANZERA F, ABAD-FRANCH F, SOUSA O, SCHOFIELD C, DUJARDIN J, GUHL F, MAS-COMA S. 2008. Phylogeography and genetic variation of Triatoma dimidiata, the main Chagas disease vector in CentralAmerica, and its position within the genus Triatoma. Plos Negl. Trop. Dis. 2(5):1-19.
BARRETO DE ALBUQUERQUE J, SILVA DOS SANTOS D, PÉREZ A, BERBERT L, DE SANTANA VAN VLIET E, FARIAS DE OLIVEIRA D, MOREIRA O, ROGGERO E, DE CARVALHO PINTO C, JURBERG J, COTTA DE ALMEIDA V, BOTTASSO O, SAVINO W, DE MEIS J. 2015. Trypanosoma cruzi infection through the oral route promotes a severe infection in mice: new disease form from an Old infection? PLoS Negl. Trop. Dis. 9(6):e0003849.
BARRETO-SANTANA D, STARLING J, GURGEL-GONÇALVES R, CUBA C. 2011. Biologia comparativa e comportamento alimentar de Rhodnius neglectus e Rhodnius robustus (Triatominae) sob condições de laboratorio. Rev. Soc. Bras. Med. Trop. 44(4):490-495.
BARROYETA R, VIRGÜEZ M. 2010. Estudio de infestación de Acrocomia aculeata Linneo (Palmae) por triatominos e infección natural por Trypanosoma cruzi en vectores capturados. Zona Noroeste y Central del estado Anzoátegui. Barcelona, Venezuela: Universidad de Oriente, Núcleo Anzoátegui, Escuela Ciencias de la Salud [Disertación Grado de Médico Cirujano], pp. 102.
BELISÁRIO C, PESSOA G, DIOTAIUTI L. 2007. Biological aspects of crosses between Triatoma maculata (Erichson, 1848) and Triatoma pseudomaculata Corrêa & Espínola, 1964 (Hemiptera: Reduviidae). Mem. Inst. Oswaldo Cruz. 102(4):517-521.
BÉRENGER J, PLUOT-SIGWALT D. 2002. Rhodnius amazonicus Almeida, Santos & Sposina, 1973, Bona species, close to R. pictipes Stål, 1872 (Heteroptera, Reduviidae, Triatominae). Mem. Inst. Oswaldo Cruz. 97(1):73-77.
BÉRENGER J, PLUOT-SIGWALT D, AGÈS F, BLANCHET D, AZNAR C. 2009. The triatominae species of French Guiana (Heteroptera: Reduviidae). Mem. Inst. Oswaldo Cruz. 104(8):1111-1116.
BOTERO D, RESTREPO M. 2012. Parasitosis humanas. 5a ed. Corporación para Investigaciones Biológicas, Medellín, Colombia, pp. 275-313.
BRAGA M, LIMA M. 1999. Feeding and defecation patterns of nymphs of Triatoma rubrofasciata (De Geer, 1773) (Hemiptera: Reduviidae), and its potential role as vector for Trypanosoma cruzi. Mem. Inst. Oswaldo Cruz. 94(1):127-129.
BRAGA M, PINTO Z, LIMA M. 1998. Life cycle and reproductive patterns of Triatoma rubrofasciata (De Geer, 1773) (Hemiptera: Reduviidae), under laboratory conditions. Mem. Inst. Oswaldo Cruz. 93(4):539-542.
BRAGA M, PRATA K, BRAZIL R. 1999. Biology of nymphs of Rhodnius robustus Larrousse, 1927 (Hemiptera, Reduviidae), fed on pigeon or on Swiss mouse blood in laboratory conditions. Rev. Brasil. Biol. 59(1):91-94.
BRICEÑO Z, ORLANDONI G, TORRES E, MOGOLLÓN A, CONCEPCIÓN J, RODRÍGUEZ-BONFANTE C, ALDANA E. 2014. Factores de riesgo asociadas a la enfermedad Chagas en comunidades rurales en Lara, Venezuela. Rev. Costarric. Salud pública. 23(1):13-24.
BRICEÑO-IRAGORRY L. 1934. Contribución al estudio morfológico de los huevos de algunos reduvídeos. Bol. Soc. Ven. Ciencias Nat. 2:397-400.
BUSSACOS A, NAKAYASU E, HECHT M, PARENTE J, SOARES C, TEIXEIRA A, ALMEIDA I. 2011. Diversity of anti-haemostatic proteins in the salivary glands of Rhodnius species transmitters of Chagas disease in the greater Amazon. J. Proteomics. 74(9):1664-1672.
BUSTAMANTE D, MONROY C, MENES M, RODAS A, SALAZAR-SCHETTINO P. 2004. Metric variation among geographic populations of the Chagas vector Triatoma dimidiata (Hemiptera: Reduviidae: Triatominae) and related species. J. Med. Entomol. 41(3):296-301.
BUSTAMANTE D, DE URIOSTE-STONE S, JUÁREZ J, PENNINGTON P. 2014. Ecological, social and biological risk factors for continued Trypanosoma cruzi transmission by Triatoma dimidiata in Guatemala. PLoS One. 9(8):e104599.
BUSTAMANTE D, HERNÁNDEZ M, TORRES N, ZÚNIGA C, SOSA W, DE ABREGO V, MONROY M. 2015. Information to act: household characteristics are predictors of domestic infestation with the Chagas vector Triatoma dimidiata in Central America. Am. J. Trop. Med. Hyg. 93(1):97-107.
CABELLO D. 1999. Effects of environmental temperature on life tables of Rhodnius neivai Lent, 1953 (Hemiptera: Reduviidae) under experimental conditions. Mem. Inst. Oswaldo Cruz. 94(5):709-714.
CABELLO D. 2001. Resistance to starvation of Rhodnius neivai Lent, 1953 (Hemiptera: Reduviidae: Triatominae) under experimental conditions. Mem. Inst. Oswaldo Cruz. 96(4):587-591.
CABELLO D, GALÍNDEZ I. 1998. Vital statistics of Panstrongylus geniculatus (Latreille 1811) (Hemiptera: Reduviidae) under experimental conditions. Mem. Inst. Oswaldo Cruz. 93(2):257-262.
CABELLO D, LIZANO E, VALDERRAMA A. 1987. Estadísticas vitales de Rhodnius neivai Lent, 1953 (Hemiptera: Reduviidae) en condiciones experimentales. Mem. Inst. Oswaldo Cruz. 82(4):511-524.
CABELLO D, LIZANO E, VALDERRAMA A. 1988. El efecto de la frecuencia alimentaria sobre algunos parámetros poblacionales de Rhodnius neivai. Mem. Inst. Oswaldo Cruz. 83(4):441-446.
CABELLO D, VALDERRAMA A, LIZANO E, BURGOS R. 1992. Observaciones sobre el ciclo de vida de Cavernicola pilosa Barber 1937 (Hemiptera: Reduviidae: Triatominae) en condiciones de laboratorio, con notas sobre su cría y mantenimiento. Rev. Brasil. Biol. 54(4):555-561.
CABRERA R, VEGA S, CÁCERES A, RAMAL C, ALVAREZ C, LADERA P, PINEDO R, CHUQUIPIONDO G. 2010. Epidemiological investigation of an acute case of Chagas disease in an area of active transmission in Peruvian amazon region. Rev. Inst. Med. Trop. São Paulo. 52(2):269-272.
CABRERA R, VEGA S, VALDERRAMA Y, CABANILLAS K, FERNANDEZ C, RODRÍGUEZ O, DEL AGUILA C, HERNÁNDEZ J, MENDOZA L, MEZA J. 2013. New focus of active transmission of Chagas disease in indigenous populations in the Peruvian Amazon basin. Rev. Soc. Bras. Med. Trop. 46(3):367-372.
CABRINE-SANTOS M, FERREIRA K, TOSI L, LAGES-SILVA E, RAMIREZ L, PEDROSA A. 2009. Karyotype variability in KP1 (+) and KP1(-) strains of Trypanosoma rangeli isolated in Brazil and Colombia. Acta Trop. 110(1):57-64.
CÁCERES A, TROYES L, GONZÁLES-PÚREZ A, LLONTOP E, BONILLA C, MURIAS E, HEREDTIA N, VELÁSQUEZ C, YAÑEZ C. 2002. Enfermedad de Chagas en la región nororoental del Perú. I. Triatominos (Hemiptera, Reduviidae) presentes en Cajamarca y Amazonas. Rev. Peru. Med. Exp. Salud Pública.19(1):17-23.
CALDERÓN G, MONZÓN L. 1995. Primer hallazgo de Triatoma nigromaculata (Stål, 1872) en el Perú. Rev. Per. Entomol. 37:124.
CALDERÓN-FERNÁNDEZ G, JUÁREZ M, RAMSEY J, SALAZAR-SCHETTINO P, MONROY M, ORDOÑEZ R, CABRERA M. 2005. Cuticular hydrocarbon variability among Triatoma dimidiata (Hemiptera: Reduviidae) populations from Mexico and Guatemala. J. Med. Entomol. 42(5):780-788.
CALDERÓN-FERNÁNDEZ G, GIROTTI J, JUÁREZ M. 2011. Cuticular hydrocarbons of Triatoma dimidiata (Hemiptera: Reduviidae): intraspecific variation and chemotaxonomy. J. Med. Entomol. 48(2):262-271.
CANTILLO-BARRAZA O, GÓMEZ-PALACIO A, SALAZAR D, MEJÍA-JARAMILLO A, CALLE J, TRIANA O. 2010. Distribución geográfica y ecoepidemiología de la fauna de triatominos (Reduviidae: Triatominae) en la Isla Margarita del departamento de Bolívar, Colombia. Biomédica. 30(3):382-389.
CANTILLO-BARRAZA O, CHAVERRA D, MARCET P, ARBOLEDA-SÁNCHEZ S, TRIANA-CHÁVEZ O. 2014. Trypanosoma cruzi transmission in a Colombian Caribbean region suggests that secondary vectors play an important epidemiological role. Parasites Vectors. 7:381.
CANTILLO-BARRAZA O, GARCÉS E, GÓMEZ-PALACIO A, CORTÉS L, PEREIRA A, MARCET P. 2015. Eco-epidemiological study of an endemic Chagas disease region in northern Colombia reveals the importance of Triatoma maculata (Hemiptera: Reduviidae), dogs and Didelphis marsupialis in Trypanosoma cruzi maintenance. Parasites Vectors. 8:482.
CARBAJAL DE LA FUENTE A, NOIREAU F, CATALÁ S. 2008. Interferences about antennal phenotype: the “Triatoma maculata complex” (Hemiptera: Triatominae) is valid? Acta Trop. 106(1):16-21.
CARCAVALLO R, MARTÍNEZ A. 1978. Notas sobre la biología, ecología y distribución geográfica de Alberprosenia goyovargasi (Hemíptera, Reduviidae, Triatominae). Bol. Dir. Malariol. San. Amb. 18(2):139-143.
CARCAVALLO R, OTERO R, ORTEGA R, TONN R. 1975. Notas sobre la biología, ecología e distribución geográfica de Psammolestes arthuri (Pinto, 1926) (Hemiptera, Reduviidae). Descripción de los estadios preimaginales. Bol. Dir. Malariol. San. Amb. 15(5):231-239.
CARCAVALLO R, BARRETO P, MARTÍNEZ A, TONN R. 1976a. El gênero Microtriatoma Prosen & Martínez, 1952 (Hemiptera, Reduviidae). Bol. Dir. Malariol. San. Amb.16 (3):231-240.
CARCAVALLO R, TONN R, GONZÁLEZ A, OTERO M. 1976b. Notas sobre la biología y distribución geográfica de Cavernicola pilosa Barber, 1937 (Hemíptera, Reduviidae). Bol. Dir. Malariol. San Amb. 16(2):172-175.
CARCAVALLO R, TONN R, JIMENEZ J. 1976c. Notas sobre la biología, ecología y distribución geográfica de Rhodnius neivai Lent, 1953 (Hemíptera, Reduviidae). Bol. Dir. Malariol. San. Amb. 16(2):169-171.
CARCAVALLO R, TONN R, CARRASQUERO B. 1977. Distribución de triatominos en Venezuela, (Hemiptera, Reduviidae). Actualización por entidades y zonas biogeográficas. Bol. Dir. Malariol. San. Amb. 17(1):53-65.
CARCAVALLO R, JUSTO N, MARTÍNEZ A. 1978. Descripción de las ninfas de II, III y IV estadio de Alberprosenia goyovargasi Martínez & Carcavallo, 1977 (Hemíptera, Reduviidae, Triatominae). Observaciones com microscopía eletrónica de barrido. Bol. Dir. Malariol. San. Amb. 18(2):132-138.
CARCAVALLO R, GALÍNDEZ I, MARTÍNEZ A. 1994. Panstrongylus chinai (Del Ponte, 1929), nueva especie de Triatomini para la entomofauna de Venezuela (Hemiptera, Reduviidae, Triatominae). Entomol. Vect. 1(6):195-199.
CARCAVALLO R, BARATA J, DA COSTA A, SERRA O. 1995. Alberprosenia malheiroi Serra, Atzingen & Serra, 1987 (Hemiptera, Reduviidae). Redescrição e bionomía. Rev. Saúde Pública. 29(6):488-495.
CARCAVALLO R, ROCHA D, GALÍNDEZ I, SHERLOCK I, GALVÃO C, LENT H, MARTÍNEZ A, TONN R, CORTÓN E. 1998a. Feeding sources and patterns. In: CARCAVALLO R, GALÍNDEZ I, JURBERG J, LENT H. (Ed.). Atlas of Chagas´ Disease Vectors in the Americas. Vol. II. Editora Fiocruz: Rio Janeiro, Brasil, pp. 537-560.
CARCAVALLO R, RODRIGUEZ M, SALVATELLA R, CURTO DE CASAS S, ROCHA D, SHERLOCK I, GALVÃO C, ROCHA D, GALÍNDEZ I, OTERO M, MARTÍNEZ A, DA ROSA J, CANALE D, FARR T, BARATA J. 1998b. Habitats and related fauna. In: CARCAVALLO R, GALÍNDEZ I, JURBERG J, LENT H. (Ed.). Atlas of Chagas´ Disease Vectors in the Americas. Vol. II. Editora Fiocruz: Rio Janeiro, Brasil, pp. 537-560.
CARCAVALLO R, GALÍNDEZ I, CATALA S, JURBERG J, LENT H, GALVÃO C, BARATA J, VALDERRAMA A. 1998c. Some anatomic structures studied with scanning electron mycoscopy (SEM). In: CARCAVALLO R, GALÍNDEZ I, JURBERG J, LENT H. (Ed.) Atlas of Chagas´ Disease Vectors in the Americas. Vol. I. Editora Fiocruz: Rio Janeiro, Brasil, pp. 299-393.
CARCAVALLO R, JURBERG J, LENT H. 1998d. Torrealbaia martinezi, Gen. nov. sp. n. da tribo Cavernicolini (Hemiptera - Reduviidae): uma abordagem filogenética. Entomol. Vectores. 5(4):143-150.
CARCAVALLO R, JURBERG J, LENT H, NOIREAU F, GALVÃO C. 2000. Phylogeny of the Triatominae (Hemiptera, Reduviidae). Proposals for taxonomic arrangements. Entomol. Vect. 7 (Suppl. 1):1-99.
CARRASCO H, TORRELLAS A, GARCÍA C, SEGOVIA M, FELICIANGELI M. 2005. Risk of Trypanosoma cruzi I (Kinetoplastida: Trypanosomatidae) transmission by Panstrongylus geniculatus (Hemiptera: Reduviidae) in Caracas (Metropolitan District) and neighboring States, Venezuela. Int. J. Parasitol. 35(13):1379-1384.
CARRASCO H, SEGOVIA M, LLEWELLYN M, MOROCOIMA A, URDANETA-MORALES S, MARTÍNEZ C, MARTÍNEZ C, GARCÍA C, RODRÍGUEZ M, ESPINOSA R, DE NOYA B, DÍAZ-BELLO Z, HERRERA L, FITZPATRICK S, YEO M, MILES M, FELICIANGELI M. 2012. Geographical Distribution of Trypanosoma cruzi genotypes in Venezuela. PLoS Negl. Trop. Dis. 6(6):e1707.
CARRASCO H, SEGOVIA M, LONDOÑO J, ORTEGOZA J, RODRÍGUEZ M, MARTÍNEZ C. 2014. Panstrongylus geniculatus and four other species of triatomine bug involved in the Trypanosoma cruzi enzootic cycle: high risk factors for Chagas’ disease transmission in the Metropolitan District of Caracas, Venezuela Venezuela. Parasites Vectors. 7:602.
CASTRO M, BARRETT T, SANTOS W, ABAD-FRANCH F, RAFAEL J. 2010. Attraction of Chagas disease vectors (Triatominae) to artificial light sources in the canopy of primary Amazon rainforest. Mem. Inst. Oswaldo Cruz. 105(8):1061-1064.
CATALÁ S, SCHOFIELD C. 1994. Antennal sensilla of Rhodnius. J. Morphol. 219(2):193-203.
CATALÁ S, SACHETTO C, MORENO M, ROSALES R, SALAZAR-SCHETRINO P, GORLA D. 2005. Antennal phenotype of Triatoma dimidiata populations and its relationship with species of phyllosoma and protracta complexes. J. Med. Entomol. 42(5):719-725.
CAVALIER-SMITH T. 2014. Gregarine site-heterogeneous 18S rDNA trees, revision of gregarine higher classification, and the evolutionary diversification of Sporozoa. Eur. J. Protistol. 50(5):472-495.
CAZORLA D. 2011. El uso de hongos entomopatógenos para el control biorracional de Triatominae, vectores de la enfermedad de Chagas. Avances Cardiol. 31(4):333-352.
CAZORLA D. 2015. Psammolestes arthuri naturalmente infectado con Trypanosoma cruzi encontrado en simpatría con Rhodnius prolixus y Triatoma maculata en nido de aves en el estado Anzoátegui, Venezuela. Saber. 27(2):324-327.
CAZORLA D, NIEVES E. 2010. Triatominos de Venezuela: aspectos taxonómicos, biológicos, distribución geográfica e importancia médica. Avances Cardiol. 30(4):347-369.
CECCARELLI S, RABINOVICH J. 2015. Global climate change effects on Venezuela's vulnerability to Chagas Disease is linked to the geographic distribution of five triatomine species. J. Med. Entomol. 52(6):1333-1343.
CEDILLOS R, ROMERO J, SASAGAWA E. 2012. Elimination of Rhodnius prolixus in El Salvador, Central America. Mem. Inst. Oswaldo Cruz. 107(8):1068-1069.
CHAGAS C. 1909. Nova trypanozomiaze humana. Estudos sobre a morfolojia e cíclo evolutivo do Schizotripanum cruzi n. gen. n. sp., ajente etiolójico de nova entidade morbida do homem. Mem. Inst. Oswaldo Cruz. 1(2):159-218.
CHAVES L, AÑEZ N. 2003. Geometría de las células del exocorión de huevos de Rhodnius prolixus (Heteroptera: Reduviidae). Entomotrópica.18:(1):1-5.
CHAVES L, RAMONI-PERRAZI P, LIZANO E, AÑEZ N. 2003. Morphometrical changes in eggs of Rhodnius prolixus (Heteroptera: Reduviidae) during development. Entomotrópica. 18(2):83-88.
CHAVES L, ZAMORA E, ALDANA E. 2004. Perfil de la mortalidad de hembras de Rhodnius robustus (Heteroptera: Reduviidae). Rev. Saúde Pública. 38(3):466-468.
CHÁVEZ J. 2006. Contribución al estudio de los triatominos del Perú: distribución geográfica, nomenclatura y notas taxonómicas. Ann. Fac. Med. 67(1):65-76.
CHIANG R, CHIANG J, SARQUIS O, LIMA M. 2012. Morphology of reproductive accessory glands in eight species of blood-feeding Hemiptera (Hemiptera, Reduviidae) insect vectors of Chagas disease. Acta Trop. 122(2):196-204.
CHICO M, SANDOVAL C, GUEVARA A, CALVOPIÑA M, COOPER P, REED S, GUDERIAN R. 1997. Chagas disease in Ecuador: evidence for disease transmission in an Indigenous population in the Amazon region. Mem. Inst. Oswaldo Cruz. 92(3):317-320.
CLAVER M, YAQUB A. 2015. Morphometric Analysis of Tropicopolitan Bug Triatoma rubrofasciata (De Geer) in two different parts of India. Int. J. Res. Stud. Biosc. 3(5):130-138.
COELLO D. 1992. Aspectos de la biología y comportamiento de Rhodnius neivai Lent, 1953 (Hemiptera, Reduviidae). Bol. Malariol. San. Amb. 32(1/4):10-42.
CORTÉS L, SUÁREZ H. 2005. Triatominos (Reduviidae: Triatominae) en un foco de enfermedad de Chagas en Talaigua Nuevo (Bolívar, Colombia). Biomédica. 25(4):568-574.
CORTEZ M, GONÇALVES T. 1998. Resistance to starvation of Triatoma rubrofasciata (De Geer, 1773) under laboratory conditions (Hemiptera: Reduviidae: Triatominae). Mem. Inst. Oswaldo Cruz. 93(4):549-554.
COSTA C. 2009. Análise proteonomica das salivas dos triatomíneos Rhodnius brethesi, Rhodnius robustus e Panstrongylus megistus, vectores da Doença do Chagas. Brasilia, D.F., Brasil: Universidade de Brasilia. Instituto de Ciencias Biológicas [Dissertação de Mestrado en Biología Molecular], pp. 81.
COSTA C, SOUSA M, RICART C, SANTANA J, TEIXEIRA A, ROEPSTORFF P, CHARNEAU S. 2011. 2-DE-based proteomic investigation of the saliva of the Amazonian triatomine vectors of Chagas disease: Rhodnius brethesi and Rhodnius robustus. J. Proteomics.74(9):1652-1663.
COURA J, JUNQUEIRA A, FERNANDO O, VALENTE S, MILES M. 2002. Emerging Chagas disease in Amazonian Brazil. Trends Parasitol. 18(4):171-176.
COUTINHO C. 2013. Caracterização das espécies do gênero Rhodnius Stål, 1859 (Hemiptera, Reduviidae, Triatominae) pelo método do Código de Barras de DNA. Rio de Janeiro, Brasil: Instituto Oswaldo Cruz, Programa de Pós-Graduação en Biodiversidade y Saúde [Dissertação de Mestrado en Biodiversidade y Saúde], pp. 90.
COVA-GARCÍA P, SUAREZ M.1959. Estudio de los triatominos de Venezuela. Publ. Dir. de Malariología. Tip. Vargas S.A., Caracas, Venezuela, pp. 209.
CROSSA R, HERNÁNDEZ M, CARACCIO M, ROSE V, VALENTE S, VALENTE V, MEJÍA J, ANGULO V, SANDOVAL C, ROLDÁN J, VARGAS F, WOLFF M, PANZERA F. 2002. Chromosomal evolution trends of the genus Panstrongylus (Hemiptera, Reduviidae), vectors of Chagas disease. Infect. Genet. Evol. 2(1):47-56.
CRUZ-GUZMÁN P, MOROCOIMA A, CHIQUE J, RAMONIS-QUINTERO J, UZCÁTEGUI M, CARRASCO H. 2014. Psammolestes arthuri naturalmente infectado con Trypanosoma cruzi encontrado en simpatría con Rhodnius prolixus y Triatoma maculata en nido de aves en el estado Anzoátegui, Venezuela. Saber. 26(4):428-440.
CUBA C, ABAD-FRANCH F, ROLDÁN-RODRÍGUEZ J, VARGAS F, POLLACK L, MILES M. 2002. The triatomines of northern Peru, with emphasis on the ecology and infection by trypanosomes of Rhodnius ecuadoriensis (Triatominae). Mem. Inst. Oswaldo Cruz. 97(2):175-183.
CUBA C, VALLEJO G, GURCEL- GONCALVES R. 2007. Triatomines (Hemiptera, Reduviidae) prevalent in the northwest of Peru: species with epidemiological vectorial capacity. Parasitol. Latinoam. 62(3-4)154-164.
CURTIS-ROBLES R, LEWIS B, HAMER S. 2016. High Trypanosoma cruzi infection prevalence associated with minimal cardiac pathology among wild carnivores in central Texas. Int. J. Parasitol. Parasites Wildl. 5:117-123.
DA ROSA J, MENDONÇA V, GARDIM S, CARVALHO D, OLIVEIRA J, NASCIMENTO J, PINOTTI H, PINTO M, CILENSE M, GALVÃO C, BARATA J. 2014. Study of the external female genitalia of 14 Rhodnius species (Hemiptera, Reduviidae, Triatominae) using scanning electron microscopy. Parasites Vectors. 7:17.
DA SILVA I, DA SILVA H.1989. Estudo comparado do ciclo evolutivo de triatomineos a duas temperaturas. Mem. Inst. Oswaldo Cruz. 84(Supl. IV):499-500.
DA SILVA I, DA SILVA H. 1990. Influência da temperatura na biologia de triatomíneos. XIV. Rhodnius pictipes Stal, 1872(Hemiptera, Reduviidae). Rev. Patol. Trop. 19(2):151-157.
DAMBORSKY M, BAR M, OSCHEROV E. 2001. Detección de triatominos (Hemiptera: Reduviidae) en ambientes domésticos y extradomésticos. Corrientes, Argentina. Cad. Saúde Pública. 17(4):843-849.
DAYRAT B. 2005. Towards integrative taxonomy. Biol. J. Linn. Soc. 85:407-415.
DE AZAMBUJA P, GARCIA E, RATCLIFFE N. 1991. Aspects of classification of Hemiptera hemocytes from six triatomine species. Mem. Inst. Oswaldo Cruz. 86(1):1-10.
DE LA RIVA J, MATÍAS A, TÓRREZ M, MARTÍNEZ E, DUJARDIN J. 2001. Adult and nymphs of Microtriatoma trinidadensis (Lent, 1951) (Hemiptera: Reduviidae) caught from peridomestic environment in Bolivia. Mem. Inst. Oswaldo Cruz. 96(7):889-894.
DE NOYA B, DÍAZ-BELLO Z, COLMENARES C, RUIZ-GUEVARA R, MAURIELLO L, MUÑOZ-CALDERÓN A, NOYA O. 2015. Update on oral Chagas disease outbreaks in Venezuela: epidemiological, clinical and diagnostic approaches. Mem. Inst. Oswaldo Cruz. 110(3):377-386.
DE OLARIA T. 1985. Nota sobre la presencia de Rhodnius neivai lent, 1953 (Hemiptera, Reduviidae- Triatominae) en el Municipio Chiquinquirá. Distrito Maracaibo, estado Zulia-Venezuela. Kasmera. 13(1-4):118-123.
DE SOUSA M. 2014. On opportunist infections by Trypanosoma lewisi in humans and its differential diagnosis from T. cruzi and T. rangeli. Parasitol. Res. 113(12):4471-4475.
DE SOUZA A. 2013. Padrões morfológicos das sensilla antenais e das asas da espécie amazônica Rhodnius brethesi (Matta, 1919) e a especificidade com a palmeira Leopoldinia piassaba (Wallace, 1853). Rio de Janeiro, Brasil: Instituto Oswaldo Cruz, Programa de Pós-Graduação em Medicina Tropical [Dissertação de Mestrado en Medicina Tropical], pp. 108.
DEPICKÈRE S, DURÁN P, LÓPEZ R, CHÁVEZ T. 2011. Presence of intradomicile colonies of the triatomine bug Panstrongylus rufotuberculatus in Muñecas, La Paz, Bolivia. Acta Trop. 117(2):97-100.
DEPICKÈRE S, DURÁN P, LÓPEZ R, MARTÍNEZ E, CHÁVEZ T. 2012. After five years of chemical control: colonies of the triatomine Eratyrus mucronatus are still present in Bolivia. Acta Trop. 123(3):234-238.
DIAS F. 2011. Aspectos ecológicos da Tripanossomíase Americana em comunidades do médio Tapajós, Pará, Brasil, e riscos de transmissão do Trypanosoma cruzi às populações humanas da região. Belo Horizonte, Brasil: Instituto Oswaldo Cruz, Programa de Pós-Graduação em Ciencias da saude [Dissertação Doutorado en Doenças Infecciosas y Parasitarias], pp. 215.
DÍAS J, PRATA A, SCHOFIELD C. 2002. Doença de Chagas na Amazônia: esboço da situação atual e perspectivas de prevenção. Rev. Soc. Bras. Med. Trop. 35(6):669-678.
DIAS F, QUARTIER M, ROMAÑA C, DIOTAIUTI L, HARRY M. 2010. Tamandua tetradactyla Linnaeus, 1758 (Myrmecophagidae) and Rhodnius robustus Larrousse, 1927 (Triatominae) infection focus by Trypanosoma rangeli Tejera, 1920 (Trypanosomatidae) in Attalea phalerata Mart. ex Spreng (Arecaceae) palm tree in the Brazilian Amazon. Infect. Genet. Evol. 10(8):1278-1281.
DIAS F, QUARTIER M, DIOTAIUTI L, MEJÍA G, HARRY M, LIMA A, DAVIDSON R, MERTENS F, LUCOTTE M, ROMAÑA C. 2014. Ecology of Rhodnius robustus Larrousse, 1927 (Hemiptera, Reduviidae, Triatominae) in Attalea palm trees of the Tapajós River Region (Pará State, Brazilian Amazon). Parasites Vectors. 7:154.
DIAS J, QUEIROZ D, MARTINS H, GORLA D, PIRES H, DIOTAIUTI L. 2016. Spatial distribution of triatomines in domiciles of an urban area of the Brazilian Southeast Region. Mem. Inst. Oswaldo Cruz. 111(1):43-50.
DÍAZ-ALBITER H, FERREIRA T, COSTA S, RIVAS G, GUMIEL M, CAVALCANTE D, PAVAN M, GONZALEZ M, DE MELLO C, DILLON V, BRUNO R, GARCIA E, LIMA M, DE CASTRO D, DILLON R, DE AZAMBUJA P, GENTA F. 2016. Everybody loves sugar: first report of plant feeding in triatomines. Parasit. Vectors. 9(1):114.
DÍAZ-LIMAY E, ESCALANTE H, JARA C. 2004. Niveles de parasitemia y alteraciones histopatológicas en Mus musculus BALB/c infectado con Trypanosoma cruzi obtenido de Panstrongylus chinai del Valle Chamán, La Libertad - Perú. Parasitol. Latinoam. 59(3-4):153-158.
DIB J, BARNABE C, TIBAYRENC M, TRIANA O. 2009. Incrimination of Eratyrus cuspidatus (Stal) in transmission of Chagas’ disease by molecular epidemiology analysis of Trypanosoma cruzi isolates from a geographically restricted area in the north of Colombia. Acta Trop. 111(3):237-242.
DORN P, MONROY C, CURTIS A. 2007. Triatoma dimidiata (Latreille, 1811): A review of its diversity across its geographic range and the relationship among populations. Infect. Genet. Evol. 7(2):343-352.
DORN P, CALDERON C, MELGAR S, MOGUEL B, SOLORZANO E, DUMONTEIL E, RODAS A, DE LA RUA N, GARNICA R, MONROY C. 2009. Two distinct Triatoma dimidiata (Latreille, 1811) taxa are found in sympatry in Guatemala and Mexico. PLoS Negl. Trop. Dis. 3(3):e393.
DORN P, DE LA RÚA N, AXEN H, SMITH N, RICHARDS B, CHARABATI J, SUAREZ J, WOODS A, PESSOA R, MONROY C, KILPATRICK C, STEVENS L. 2016. Hypothesis testing clarifies the systematics of the main Central American Chagas disease vector, Triatoma dimidiata (Latreille, 1811), across its geographic range. Infect. Genet. Evol. 44:431-443.
DOS SANTOS C. 2009. Caracterização morfológica, ultra-estrutural e morfométrica das formas imaturas de espécies do gênero Rhodnius Stal, 1859 (Hemiptera, Reduviidae, Triatominae) encontradas na região amazónica. Rio de Janeiro, Brasil: Instituto Oswaldo Cruz, Programa de Pós-Graduação em Biologia Parasitaria [Dissertação Doutorado en Biologia Parasitaria], pp. 219.
DOS SANTOS S, LOPES C, DUJARDIN J, PANZERA F, PÉREZ R, CARBAJAL DE LA FUENTE A, PACHECO A, NOIREAU F. 2007. Evolutionary relationships based on genetic and phenetic characters between Triatoma maculata, Triatoma pseudomaculata and morphologically related species (Reduviidae: Triatominae). Inf. Gen. Evol. 7(4):469-475.
DOS SANTOS-MALLET J, JUNQUEIRA A, MOREIRA C, ANDRADE Z, COURA J, GONÇALVES T. 2005. Morphobiological aspects of Rhodnius brethesi Matta, 1919 (Hemiptera: Reduviidae) from the Upper and Middle Negro River, Amazon region of Brazil: I - scanning electron microscopy. Mem. Inst. Oswaldo Cruz. 100(8):915-923.
DUJARDIN J, MATTIAS A J 2007. Ciberatlas de Triatominae. Versión 8. Disponible en línea: http://www.mpl.ird.fr/morphometrics/ (Acceso: 09.07. 2016).
DUJARDIN J, FORGUES G, TORREZ M, MARTINEZ E, CORDOBA C, GIANELLA A. 1998. Morphometrics of domestic Panstrongylus rufotuberculatus in Bolivia. Ann. Trop. Med. Parasitol. 92(2):219-228.
DUJARDIN J, LAM T, KHOA P, SCHOFIELD C. 2015a. The rising importance of Triatoma rubrofasciata. Mem. Inst. Oswaldo Cruz. 110(3):319-323.
DUJARDIN J, PHAM K, TRUONG L, PANZERA F, PITA S, SCHOFIELD C. 2015b. Epidemiological status of kissing-bugs in South East Asia: A preliminary assessment. Acta Trop. 151:142-149.
DURAN P, ALI V, DEPICKÈRE S, CHAVEZ T, LOPEZ R, ALIAGA C, LARDEUX F, SINANI E, DURAN H, SANCHEZ A, JIMENEZ A, MARTINEZ E. 2012. Rhodnius stali y Rhodnius robustus involucrados en la transmision de la enfermedad de Chagas en la Amazonia boliviana. Workshop internacional de la enfermedad de Chagas, vectores triatominos, Trypanosoma cruzi y Triatoma virus. Cochabamba, Bolivia: Universidad Mayor de San Simón. Disponible en línea en: http://www.documentation.ird.fr/hor/fdi:010059854 (Acceso 20.04.2016).
EICKHOFF C, DUNN B, SULLIVAN N, HOFT D. 2013. Comparison of the infectivity of Trypanosoma cruzi insect-derived metacyclic trypomastigotes after mucosal and cutaneous contaminative challenges. Mem. Inst. Oswaldo Cruz. 108(4):508-511.
ERAZO D, CORDOVEZ J. 2016. The role of light in Chagas disease infection risk in Colombia. Parasit. Vectors. 9(1):9.
ESPÍNOLA H, RODRIGUEZ F, BERMUDEZ M, TONN R. 1981. Informaciones sobre la biología y el ciclo de vida de Triatoma maculata (Erichson, 1848) (Hemiptera, Reduviidae, Triatominae), en condiciones de laboratorio. Bol. Dir. Malariol. San. Amb. 21(2):140-142.
EWEL J, MADRIZ, TOSI JR J. 1976. Zonas de Vida de Venezuela. Memoria explicativa sobre el mapa ecológico. 2a edición. Editorial Sucre, Caracas, Venezuela, pp. 270.
FÉ N, FRANÇA M, CARVALHO-COSTA F. 2009a. Reassessing the entomological investigation around the first autochthonous case of Chagas disease in Western Brazilian Amazon. Mem. Inst. Oswaldo Cruz. 104(1):121-123.
FÉ N, MAGALHÃES L, FÉ F, ARAKIAN S, MONTEIRO W, BARBOSA M. 2009b. Ocorrência de triatomíneos em ambientes silvestres e domiciliares do município de Manaus, Estado do Amazonas. Rev. Soc. Brasil. Med. Trop. 42(6):642-646.
FELICIANGELI M. 2009. Control de la enfermedad de Chagas en Venezuela. Logros pasados y retos presentes. Interciencia. 34(6):393-399.
FELICIANGELI M, RABINOVICH J. 1985. Vital statistics of Triatominae (Hemiptera: Reduviidae) under laboratory conditions II. Triatoma maculata. J. Med. Entomol. 22(1):43-48.
FELICIANGELI M, DUJARDIN J, BASTRENTA B, MAZZARRI M, VILLEGAS J, FLORES M, MUÑOZ M. 2002. Is Rhodnius robustus (Hemiptera: Reduviidae) responsible for Chagas disease transmission in Western Venezuela? Trop. Med. Inter. Health. 7(3):280-287.
FELICIANGELI M, CAMPBELL-LENDRUM D, MARTINEZ C, GONZALEZ D, COLEMAN P, DAVIES C. 2003. Chagas disease control in Venezuela: Lessons from the Andean region and beyond. Trends Parasitol. 19(1):44-49.
FELICIANGELI M, BENÍTEZ J, REYES P, MALDONADO C, BORGES E. 2004a. ¿Hay Enfermedad de Chagas en la región Amazónica de Venezuela? Bol. Dir. Malariol. San. Amb. 44(2):67-76.
FELICIANGELI M, CARRASCO H, PATTERSON J, SUAREZ B, MARTINEZ C, MEDINA M. 2004b. Mixed domestic infestation by Rhodnius prolixus Stal, 1859 and Panstrongylus geniculatus Latreille, 1811, vector incrimination, and seroprevalence for Trypanosoma cruzi among inhabitants in El Guamito, Lara state, Venezuela. Am. J. Trop. Med. Hyg. 71(4):501-505.
FELICIANGELI M, HERNÁNDEZ M, SUAREZ B, MARTÍNEZ C, BRAVO A, BRACHO J, TOYO J, TORRELLAS A, MARRERO R. 2007. Comparación de métodos de captura intradoméstica de triatominos vectores de la enfermedad de Chagas en Venezuela. Bol. Dir. Malariol. San. Amb. 47(1):103-117.
FILHO J. 2011. Estudo de sete espécies do gênero Rhodnius (Hemiptera, Reduviidae, Triatominae) por meio dois genes nucleares e um mitocondrial. Araraquara, Brasil: Universidade Estadual Paulista “Júlio de Mesquita Filho”, Facultad de Ciencias Farmaceuticas [Dissertação de Mestrado en Biociencias e Bioteconología Aplicadas á Farmácia], pp. 65.
FITZPATRICK S, FELICIANGELI M, SANCHEZ-MARTIN M, MONTEIRO F, MILES M. 2008. Molecular genetics reveal that silvatic Rhodnius prolixus do colonise rural houses. PLoS Negl. Trop. Dis. 2(4):e210.
FLORES A, GASTÉLUM E, BOSSENO M, ORDOÑEZ R, KASTEN F, ESPINOZA B, RAMSEY J, BRENIÈRE S. 2001. Isoenzyme variability of five principal triatomine vector species of Chagas disease in Mexico. Infect. Genet. Evol. 1(1):21-28.
FLÓREZ M, ROJAS J, ANGULO V. 2015. Biología de Eratyrus mucronatus (Hemiptera, Reduviidae, Triatominae) en condiciones de laboratorio. Bol. Malariol. San. Amb. 55(1):86-93.
FORERO D. 2009. Heteroptera. True bugs. Version 27 February 2009 (under construction). Disponible en línea: http://tolweb.org/Heteroptera/10805/2009.02.27 in The Tree of Life Web Project, http://tolweb.org/ (Acceso 25.04.16).
FORERO D, WEIRAUCH C, BAENA M. 2004. Synonymy of the reduviid (Hemiptera: Heteroptera) genus Torrealbaia (Triatominae) with Amphibolus (Harpactocorinae), with notes on Amphibolus venator (Klug, 1830). Zootaxa. 670:1-12.
FREITAS S, GONÇALVES T, SERRÃO J, SANTOS-MALLET J. 2007a. Fine structure of the male accessory glands of Triatoma rubrofasciata (De Geer, 1773) (Hemiptera, Triatominae). Microsc. Res. Tech. 70(4):355-360.
FREITAS S, SANTOS-MALLET J, SERRÃO J, LOROSA E, GONÇALVES T. 2007b. Morphometry of the testis follicles in Triatoma rubrofasciata (De Geer, 1773) (Hemiptera, Triatominae). Anim. Biol. 57(4):393-400.
FREITAS S, BONIFÁCIO S, JUNQUEIRA A, SOUZA A, GONÇALVES T. 2012. Testicular and color variation in the kissing bug, Rhodnius brethesi in Amazonas, Brazil. J. Insect. 12(65):01-11.
GALÍNDEZ I, CARCAVALLO R, VALDERRAMA A. 1994a. Erwinilas o cerdas interomatidiales en la subfamilia Triatominae (Hemiptera: Reduviidae). Entomol. Vect. 1(3):93-96.
GALÍNDEZ I, CARCAVALLO R, VALDERRAMA A. 1994b. Algunos estudios morfométricos en los Triatominae. I. Rhodnius prolixus y Rhodnius robustus (Hemiptera: Reduviidae). Entomol. Vect. 1(3):99-111.
GALÌNDEZ I, TORRES A, MARQUEZ J, CARCAVALLO R. 1997. Colonización y ciclo de vida de Panstrongylus geniculatus (Latreille, 1811) (Hemiptera, Reduviidae, Triatominae). Entomol. Vector. 4(3):83-94.
GALÍNDEZ I, CARCAVALLO R, JURBERG J, GALVÃO C, LENT H, BARATA J, PINTO SERRA O, VALDERRAMA A. 1998a. External morphology and anatomy. In: CARCAVALLO R, GALÍNDEZ I, JURBERG J, LENT H. (Ed.). Atlas of Chagas´ Disease Vectors in the Americas. Vol. I. Editora Fiocruz: Rio Janeiro, Brasil, pp. 53-83.
GALÍNDEZ I, ROCHA D, LENT H, CARCAVALLO R, JURBERG J, GALVÃO C, BARBOSA H, MARTÍNEZ A, BARATA J, DA ROSA J. 1998b. Nymphal stages. In: CARCAVALLO R, GALÍNDEZ I, JURBERG J, LENT H. (Ed.). Atlas of Chagas´ Disease Vectors in the Americas. Vol. II. Editora Fiocruz: Rio Janeiro, Brasil, pp. 449-513.
GALVÃO A. 1973. Contribuição ao conhecimento do Triatoma maculata (Erichson, 1848) e do Triatoma pseudomaculata Corrêa & Espínola, 1964 (Hemiptera, Reduviidae). Rev. Soc. Bras. Med. Trop. 7(6):367-380.
GALVÃO C. 2003. A sistemática dos triatomíneos (Hemiptera, Reduviidae), de De Geer ao DNA. Entomología y Vectores. 10(4):511-530.
GALVÃO C, DE PAULA A. 2014. Sistemática e evolução dos vetores. En: GALVÃO C, Organizador. Vetores da Doença de Chagas no Brasil. Sociedade Brasileira de Zoologia, Série Zoologia: guias e manuais de identificação. Curitiba, Brasil, pp. 26-32.
GALVÃO C, GURGEL-GONÇALVES R. 2014. Vetores conhecidos no Brasil. En: GALVÃO C, Organizador. Vetores da Doença de Chagas no Brasil. Sociedade Brasileira de Zoologia, Série Zoologia: guias e manuais de identificação. Curitiba, Brasil, pp. 88-170.
GALVÃO C, JURBERG J. 2014. Introduçao. En: GALVÃO C, Organizador. Vetores da Doença de Chagas no Brasil. Sociedade Brasileira de Zoologia, Série Zoologia: guias e manuais de identificação. Curitiba, Brasil, pp. 5-9.
GALVÃO C, JUSTI S. 2015. An overview on the ecology of Triatominae (Hemiptera: Reduviidae). Acta Trop.151:116-125.
GALVÃO C, CARCAVALLO R, ROCHA D, JURBERG J. 2003. A checklist of the current valid species of the subfamily Triatominae Jeannel, 1919 (Hemiptera: Reduviidae) and their geographical distribution, with nomenclatural and taxonomic notes. Zootaxa. 202:1-36.
GAMBOA J, PÉREZ-RÍOS L. 1965. El `rancho' venezolano: su influencia en la prevalencia triatomina doméstica. Bol. Dir. Malariol. San. Amb. 5(3):129-140.
GARCÍA A, CARRASCO H, SCHOFIELD C, STOTHARD J, FRAME I, VALENTE S, MILES M. 1998. Random amplification of polymorphic DNA as a tool for taxonomic studies of triatomine bugs (Hemiptera: Reduviidae). J. Med. Entomol. 35(1):38-45.
GARCÍA-ALZATE R, LOZANO-ARIAS D, REYES-LUGO R, MOROCOIMA A, HERRERA L, MENDOZA-LEÓN A. 2014. Triatoma maculata, the vector of Trypanosoma cruzi, in Venezuela. Phenotypic and genotypic variability as potential indicator of vector displacement into the domestic hábitat. Front. Public Health. 2:170.
GARCÍA-JORDÁN N, BERRIZBEITIA M, CONCEPCIÓN J, ALDANA E, CÁCERES A, QUIÑONES W. 2015. Estudio entomológico de vectores transmisores de la infección por Trypanosoma cruzi en la población rural del estado Sucre, Venezuela. Biomédica. 35(2):247-257.
GARDIM S, ALMEIDA C, TAKIYA D, OLIVEIRA J, ARAÚJO R, CICARELLI R, DA ROSA J. 2014. Multiple mitochondrial genes of some sylvatic Brazilian Triatoma: Non-monophyly of the T. brasiliensis subcomplex and the need for a generic revision in the Triatomini. Infect. Gen. Evol. 23:74-79.
GARROUSTE R. 2009. La première observation in natura de l’entomophagie de Panstrongylus geniculatus (Latreille 1811) hématophage vecteur de la maladie de Chagas (Hemiptera: Reduviidae). Ann. Soc. Entomol. Fr. (N.S.). 45(3):302-304.
GAUNT M, MILES M. 2000.The ecotopes and evolution of Triatomine bugs (Triatominae) and their associated trypanosomes. Mem. Inst. Oswaldo Cruz. 95(4):557-565.
GÓMEZ-MELENDRO E, HERNÁNDEZ C, GONZÁLEZ-URIBE C, BROCHERO H. 2014. First Record of Triatoma maculata (Erichson, 1848) (Hemiptera: Reduviidae: Triatomini) in the Municipality of Riohacha, La Guajira - Colombia. Front. Public Health. 2:219.
GÓMEZ-PALACIO A, ARBOLEDA S, DUMONTEIL E, TOWNSEND A. 2015. Ecological niche and geographic distribution of the Chagas disease vector, Triatoma dimidiata (Reduviidae: Triatominae): evidence for niche differentiation among cryptic species. Infec. Genet. Evol. 36:15-22.
GONCALVES L, LIRIA J, SOTO-VIVAS A. 2016. Ontogenetic morphometrics in Psammolestes arthuri (Pinto 1926) (Reduviidae, Triatominae) from Venezuela. JEZS. 4(1):369-373.
GONÇALVES T, JURBERG J, COSTA J, DE SOUZA W. 1985. Estudo morfológico comparativo de ovos e ninfas Triatoma maculata (Erichson, 1848) e Triatoma pseudomaculata Correa & Spinola, 1964 (Hemipetra, Reduviidae, Triatominae). Mem. Inst. Oswaldo Cruz. 83(3):263-276.
GONZÁLEZ-BRÍTEZ N, MOROCOIMA A, MARTÍNEZ C, CARRASCO H. 2010. Infección por Trypanosoma cruzi y polimorfismo del citocromoB del ADNmitocondrial en Triatoma maculata de Anzoátegui y Portuguesa, Venezuela. Bol.Mal.San. Amb. 50(1):85-93.
GORLA D, DUJARDIN J, SCHOFIELD C. 1997. Biosystematics of Old World Triatominae. Acta Trop. 63(2-3):127-140.
GRIJALVA M, PALOMEQUE-RODRÍGUEZ F, COSTALES J, DAVILA S, ARCOS-TERAN I. 2005. High household infestation rates by synanthropic vectors of Chagas disease in southern Ecuador. J. Med. Entomol. 42(1):68-74.
GRIJALVA M, VILLACIS A, OCAÑA-MAYORGA S, YUMISEVA C, MONCAYO A, BAUS E. 2015. Comprehensive survey of domiciliary Triatomine species capable of transmitting Chagas disease in southern Ecuador. PLoS Negl. Trop. Dis. 9(10):e0004142.
GUERRA A, ALEVI K, ROSA J, AZEREDO-OLIVEIRA M. 2014. Distribution of constitutive heterochromatin in species of triatomines with fragmentation of sex chromosomes X. Genet. Mol. Res. 13(4):10279-10284.
GUEVARA A, GARZÓN E, BOWEN C, CÓRDOVA X, GÓMEZ E, OUAISSI A. 2005. High infection rates of Triatoma dimidiata are associated with low levels of Trypanosoma cruzi seroprevalence in Pedro Carbo, Ecuador. Use of a tc24 gene-based PCR approach. Parasite. 12(1):65-68.
GUHL F, AGUILERA G, PINTO N, VERGARA D. 2007. Actualización de la distribución geográfica y ecoepidemiología de la fauna de triatominos (Reduviidae: Triatominae) en Colombia. Biomédica. 27(suppl.1):143-162.
GUILLÉN Z, CÁCERES I, ELLIOT A, ARANA N. 1991. Evolución de Panstrongylus chinai del Ponte, 1929 (Hemiptera, Reduviidae) en el laboratorio. Rev. Per. Med. Trop. 5:85-93.
GURCEL-GONÇALVES R, SILVA R. 2009. Analysis of the geographical distribution of Psammolestes Bergroth (Hemiptera: Heteroptera: Reduviidae: Triatominae) in South America, with new records of Psammolestes tertius Lent & Jurberg. Zootaxa. 2033:41-48.
GURGEL-GONÇALVES R, ABAD-FRANCH F, FERREIRA J, SANTANA D, CUBA C. 2008. Is Rhodnius prolixus (Triatominae) invading houses in central Brazil? Acta Trop. 107(2):90-98.
GURGEL-GONÇALVES R, GALVÃO C, COSTA J, PETERSON A. 2012. Geographic distribution of Chagas disease vectors in Brazil based on ecological niche modeling. J. Trop. Med. 2012:1-15.
HAMILTON P, LEWIS M, CRUICKSHANK C, GAUNT M, YEO M, LLEWELLYN M, VALENTE S, DA SILVA F, STEVENS J, MILES M, TEIXEIRA M. 2011. Identification and lineage genotyping of South American trypanosomes using fluorescent fragment length barcoding. Infect. Genet. Evol. 11(1):44-51.
HARIDASS E. 1986. Ultrastructure of the eggs of Reduviidae: III. Eggs of Triatominae and Echtrichodiinae (Insecta-Heteroptera). Proc. Indian Acad. Sci. (Anim. Sci.). 95(4):447-456.
HARIDASS E, ANANTHAKRISHNAN T. 1981. Bionomics and behaviour of the reduviid bug, Triatoma rubrofasciata (de Geer), the vector of Trypanosoma (Megatrypanum) conorhini (Donovan), in India. Proc. Indian Natn. Sci. Acad. B. 46(6):884-891.
HARRY M. 1993a. Isozymic data question the specific status of some blood-sucking bugs of the genus Rhodnius, vectors of Chagas disease. Trans. Roy. Soc. Trop. Med. Hyg. 87(4):492-493.
HARRY M. 1993b. Use of the median process of the pygophore in the identification of Rhodnius nasutus, R. neglectus, R. prolixus and R. robustus (Hemiptera: Reduviidae). Ann. Trop. Med. Parasitol. 87(3): 277-282.
HARRY M. 1994. Morphometric variability in the Chagas' disease vector Rhodnius prolixus. Jpn. J. Genet. 69(3):233-250.
HARRY M, GALINDEZ I, CARIOU M. 1992. Isozyme variability and differentiation between Rhodnius prolixus, R. robustus and R. pictipes, vectors of Chagas disease in Venezuela. Med. Vet. Entomol. 6(1):37-43.
HARRY M, ROOSE C, VAUTRIN D, NOIREAU F, ROMAÑA C, SOLIGNAC M. 2008. Microsatellite markers from the Chagas disease vector, Rhodnius prolixus (Hemiptera, Reduviidae), and their applicability to Rhodnius species. Infect. Genet. Evol. 8(3):381-385.
HASHIMOTO K, SCHOFIELD C. 2012. Elimination of Rhodnius prolixus in Central America. Parasit. Vectors. 5:45.
HERNÁNDEZ J, REBOLLAR-TÉLLEZ E, INFANTE F, MORÓN A, CASTILLO A. 2010. Indicadores de infestación, colonización e infección de Triatoma dimidiata (Latreille) (Hemiptera: Reduviidae) en Campeche, México. Neotrop. Entomol. 39(6):1024-1031.
HERRERA L. 2010. Una revisión sobre reservorios de Trypanosoma (Schizotrypanum) cruzi (Chagas, 1909), agente etiológico de la Enfermedad de Chagas. Bol. Malariol. San. Amb. 50(1):3-15.
HIWAT H. 2014. Triatominae species of Suriname (Heteroptera: Reduviidae) and their role as vectors of Chagas disease. Mem Inst Oswaldo Cruz. 109(4):452-458.
HUECK J. 2005. Nicaragua: La fauna de la Reserva Biológica Indio Maíz, IBESo (Investigación sobre Biodiversidad, Ecología y Sociedad). Financiado por PASMA, Danida, Facultad de Recursos Naturales y del Ambiente, Universidad Nacional Agraria. Disponible en línea en: http://subweb.diis.dk/graphics/Subweb/IBESo/Publications/hueck.pdf (Acceso 10.02.2016).
HYPŠA V, TIETZ D, ZRZAVÝ J, REGO O, GALVÃO C, JURBERG J. 2002. Phylogeny and biogeography of Triatominae (Hemiptera: Reduviidae): molecular evidence of a New World origin of the Asiatic clade. Mol. Phylogenet. Evol. 23(3):447-457.
IRIARTE D. 1941. La enfermedad de Chagas en el estado Yaracuy. Boletín del Laboratorio de la Clínica “Luis Razzeti”. 1(3):45-64.
ISHIMARU Y, GOMEZ E, ZHANG F, MARTINI-ROBLES L, IWATA H, SAKURAI T, KATAKURA K, HASHIGUCHI Y, KATO H. 2012. Dimiconin, a novel coagulation inhibitor from the kissing bug, Triatoma dimidiata, a vector of Chagas disease. J. Exp. Biol. 215(20):3597-3602.
JACOME-PINILLA D, HINCAPIE-PEÑALOZA E, ORTIZ M, RAMÍREZ J, GUHL F, MOLINA J. 2015. Risks associated with dispersive nocturnal flights of sylvatic Triatominae to artificial lights in a model house in the northeastern plains of Colombia. Parasites Vectors. 8:600.
JARAMILLO O, CASTILLO D, WOLFF M. 2002. Geometric morphometric differences between Panstrongylus geniculatus from field and laboratory. Mem. Inst. Oswaldo Cruz. 97(5):667-673.
JURBERG J, RANGEL E. 1980. Observaçoes sobre Rhodnius robustus Larrousse, 1927 e Rhodnius pallescens Barber, 1932 (Hemiptera, Reduviidae, Triatominae). Rev. Bras. Biol. 40:569-577.
JURBERG J, REIS V, LENT H. 1970. Ciclo de desarrollo, en el laboratorio, de Rhodnius robustus Larrousse, 1927 (Hemiptera, Reduviidae, Triatominae). Rev. Bras. Biol. 30(3):477-481.
JURBERG J, LENT H, GALVÃO C. 1998. The male genitalia and its importance in taxonomy. In: CARCAVALLO R, GALÍNDEZ I, JURBERG J, LENT H. (Ed.). Atlas of Chagas´ Disease Vectors in the Americas. Vol. I. Editora Fiocruz: Rio Janeiro, Brasil, pp. 85-106.
JUSTI S, RUSSO C, MALLET J, OBARA M, GALVÃO C. 2014. Molecular phylogeny of Triatomini (Hemiptera: Reduviidae: Triatominae). Parasites Vectors. 7:149.
KATO H, JOCHIM R, GOMEZ E, SAKODA R, IWATA H, VALENZUELA J, HASHIGUCHI Y. 2010. A repertoire of the dominant transcripts from the salivary glands of the blood-sucking bug, Triatoma dimidiata, a vector of Chagas disease. Infect. Genet. Evol.10 (2):184-191.
KLOTZ S, SHIRAZI F, BOESEN K, BEATTY N, DORN P, SMITH S, SCHMIDT J. 2016. Kissing bug (Triatoma spp.) intrusion into homes: troublesome bites and domiciliation. Environ. Health Insights.10:45-49.
KOLLIEN A, SCHAUB G. 1998. Development of Trypanosoma cruzi after starvation and feeding of the vector - a review. Tokai. J. Exp. Clin. Med. 23(6):335-340.
KOSHY T. 1979a. Chromosomes of Triatominae I: Haploid karyotypes of three species in the genus Rhodnius (Hemiptera: Reduviidae). Acta Cient. Venezolana. 30(2):183-190.
KOSHY T. 1979b. Chromosomes of Triatominae II: Karyotypes studies of five species in the genus Rhodnius (Hemiptera: Reduviidae). Acta Cient. Venezolana. 30(2):191-195.
KOYOC E, MEDINA A, ESCOBEDO F, RODRÍGUEZ C, BARRERA M, REYEZ E, CHABLÉ J, SELEM C, VÁSQUEZ G, MANRIQUE P. 2015. Chicken coops, Triatoma dimidiata infestation and its infection with Trypanosoma cruzi in a rural village of Yucatan, Mexico. Rev. Inst. Med. Trop. São Paulo. 57(3):269-272.
LAROUSSE F. 1927. Etude biologique et systématique du genre Rhodnius Stal (Hémiptères, Reduvidaé). Annales de Parasitologie. 5(1):63-88.
LEE B, BACON K, BOTTAZZI M, HOTEZ P. 2013. Global economic burden of Chagas disease: a computational simulation model. Lancet Infect. Dis. 13(4):342-348.
LEHMANN P, ORDOÑEZ R, OJEDA-BARANDA R, DE LIRA J, HIDALGO-SOSA L, MONROY C, RAMSEY J. 2005. Morphometric analysis of Triatoma dimidiata populations (Reduviidae: Triatominae) from Mexico and Northern Guatemala. Mem. Inst. Oswaldo Cruz. 100(5):477-482.
LEIS M, PEREIRA M, CASAS J, MENU F, LAZZARI C. 2016. Haematophagy is costly: respiratory patterns and metabolism during feeding in Rhodnius prolixus. J. Exp. Biol. 219(Pt 12):1820-1826.
LEITE G, SANTOS C, FALQUETO A. 2007. Insecta, Hemiptera, Reduviidae, Panstrongylus geniculatus: geographic distribution map. Checklist. 3(2):147-152.
LENT H. 1997. Novos sinônimos de duas espécies de Triatominae da Venezuela (Hemiptera, Reduviidae). Entomol. Vect. 4(3):67-70.
LENT H, PIFANO F. 1939. Dados experimentais sobre a infestação do Euritriatoma nigromaculata (Stal, 1872) pelo Schizotrypanum cruzi (Chagas, 1909) e sua redescrição. Mem. Inst. Oswaldo Cruz. 34(4):627-635.
LENT H, PIFANO F. 1940. Sôbre a identidade dos géneros Panstrongylus Berg, 1879 e Mestor Kirkaldy, 1904. Redescrição de Panstrongylus rufotuberculatus encontrado na Venezuela naturalmente infetado pelo Schyzotrypanum cruzi. Rev. Entomol. 11(3):629-639.
LENT H, JURBERG J. 1965. O gênero Psammolestes Bergroth, 1911, com um estudo sôbre a genitália das espécies (Hemiptera, Reduviidae, Triatominae). Rev. Brasil. Biol. 25(4):349-376.
LENT H, JURBERG J. 1968. Estudos morfológicos comparativos de Panstrongylus geniculatus (Latreille, 1811) e Panstrongylus megistus (Burmeister, 1835) e suas genitália externas (Hemiptera, Reduviidae, Triatominae). Rev. Brasil. Biol. 28(4):499-520.
LENT H, JURBERG J. 1969a. O gênero Rhodnius Stal, 1859, com um estudo sobre a genitália externa das especies (Hemiptera, Reduviidae, Triatominae). Rev. Brasil. Biol. 29(4):487-560.
LENT H, JURBERG J. 1969b. Observaçoes sobre o ciclo evolutivo em laboratorio, do Panstrongylus geniculatus (Latreille, 1811) (Hemiptera: Reduviidae, Triatominae). An. Acad. Brasil. Cienc. 41(1):125-131.
LENT H, JURBERG J. 1970. O gênero Eratyrus Stal, 1859 com um estudo sobre a genitália externa (Hemiptera, Reduviidae, Triatominae). Rev. Brasil. Biol. 30(2):297-312.
LENT H, VALDERRAMA A. 1973. Hallazgo en Venezuela del triatomino Rhodnius robustus Larrousse, 1927 en la palma Attalea maracaibensis Martius (Hemiptera, Reduviidae). Bol. Dir. Dir. Malariol. San. Amb. 13(5/6):175-179.
LENT H, JURBERG J. 1975. O gênero Panstrongylus Berg, 1879 com um estudo sobre a genitália externa das especies (Hemiptera, Reduviidae, Triatominae). Rev. Brasil. Biol. 35(3):379-438.
LENT H, VALDERRAMA A. 1977. Observações, em laboratório, sobre o ciclo evolutivo de Rhodnius prolixus Stal, 1859, R. pictipes, 1872 e R. neivai Lent, 1953. Mem. Inst. Oswaldo Cruz. 37(2):325-344.
LENT H, JURBERG J. 1978. Estudo comparativo da genitália externa masculina de seis espécies de Triatoma Laporte, 1832 que mais frequentemente habitam o domicílio humano no Brasil (Hemiptera, Reduviidae). Rev. Brasil. Biol. 38(4):931-944.
LENT H, WYGODZINSKY P. 1979. Revision of Triatominae (Hemiptera, Reduviidae), and their significance as vectors of Chagas' disease. Bull. Am. Mus. Nat. His. 163(3):123-520.
LENT H, JURBERG J. 1984. A genitália externa na tribo Bolboderini (Hemiptera, Reduviidae, Triatominae). Mem. Inst. Oswaldo Cruz. 79(1):1-27.
LENT H, JURBERG J. 1985. Sobre a variação intra-especifica em Triatoma dimidiata (Latreille) e Triatoma infestans (Klug) (Hemiptera, Reduviidae). Mem. Inst. Oswaldo Cruz. 80(3):285-299.
LENT H, JURBERG J, GALVÃO C. 1993. Rhodnius stali n. sp., afim de Rhodnius pictipes Stal, 1872 (Hemíptera, Reduviidae, Triatominae). Mem. Inst. Oswaldo Cruz. 88(4):605-614.
LENT H, CARCAVALLO R, MARTINEZ A, GALÍNDEZ I, JURBERG J, GALVÃO C, CANALE D. 1998. Anatomic relationships and characterization of the species. In: CARCAVALLO R, GALÍNDEZ I, JURBERG J, LENT H. (Ed.). Atlas of Chagas´ Disease Vectors in the Americas. Vol. I. Editora Fiocruz: Rio Janeiro, Brasil, pp. 245-264.
LIMA S, XAVIER S, MALDONADO I, ROQUE A, VICENTE A, JANSEN A. 2014. Expanding the knowledge of the geographic distribution of Trypanosoma cruzi TcII and TcV/TcVI genotypes in the Brazilian Amazon. PLoS One. 9(12):e116137.
LIZARASO Y. 1957. Estudio morfológico de los huevos de algunos Triatominos hallados en el Perú: Reduviidae, Hemiptera. Rev. Perú. Med. Exp. Salud pública. 11(1-2):51-69.
LOAIZA L, CARDOZO R, FUENTES H, AGUIRRE D, GALLARDO A. 2009. Seroprevalencia de la infección chagásica: Comunidad “La Gavillera”, Parroquia Negro Primero. Estado Carabobo, Venezuela, 2007. Comunidad y Salud. 7(1):9-17.
LONGA A, SCORZA J. 2007. Migración de Rhodnius robustus (Hemiptera: Triatominae) desde Acrocomia aculeata (Palmae) hacia domicilios rurales en Venezuela. Bol. Mal. Salud Amb. 47(2):213-220.
LÓPEZ D, JARAMILLO C, GUHL F. 2007. Estructura poblacional y variabilidad genética de Rhodnius prolixus (Hemiptera: Reduviidae) procedente de diferentes áreas geográficas de Colombia. Biomédica. 27(Supl. 1):28-39.
LUITGARDS-MOURA J, BORGES-PEREIRA J, COSTA J, ZAUZA P, ROSA-FREITAS M. 2005a. On the possibility of autochthonous Chagas disease in Roraima, Amazon región, Brazil, 2000-2001. Rev. Inst. Med. Trop. São Paulo. 47 (1):45-54.
LUITGARDS-MOURA J, VARGAS A, ALMEIDA C, MAGNO-ESPERANCA G, AGAPITO-SOUZA R, FOLLY-RAMOS E, COSTA J, TSOURIS P, ROSA-FREITAS M. 2005b. A Triatoma maculata (Hemiptera, Reduviidae, Triatominae) population from Roraima, amazon region, Brazil, has some bionomic characteristics of a potencial Chagas Diasese vector. Rev. Inst. Med. Trop. São Paulo. 47(3):131-137.
LYMAN D, MONTEIRO F, ESCALANTE A, CORDON-ROSALES C, WESSON D, DUJARDIN J, BEARD C. 1999. Mitochondrial DNA sequence variation among triatomine vectors of Chagas' disease. Am. J. Trop. Med. Hyg. 60(3):377-386.
MACHADO-ALLISON C, RAMÍREZ-PÉREZ J. 1967. Chipos. Cuadernos Científicos, 1a Serie, No. 2. Dirección de Cultura, Universidad Central de Venezuela: Caracas, Venezuela, pp. 52.
MAES J. 2002. Triatominae (Heroptera Reduviidae) of Nicaragua. Bull. S.R.B.E./K.B.V.E. 138: 90-94.
MAESTRE-SERRANO R, EYES-ESCALANTE M. 2012. Actualización de la presencia y distribución de triatominos en el Departamento del Atlántico-Colombia: 2003-2010. Bol. Malariol. San. Amb. 52(1125-128.
MALIK L, SINGH G, AMSTERDAM E. 2015. The epidemiology, clinical manifestations, and management of Chagas Heart Disease. Clin. Cardiol. 38(9):565-569.
MARANHÃO A. 2008. Proteoma e transcriptoma comparativo das glândulas salivares de barbeiros das espécies de Rhodnius brethesi, Rhodnius robustus e Panstrongylus megistus. Brasilia, D.F., Brasil: Universidade de Brasilia. Programa de Pós-Graduação em Patologia molecular [Dissertação Doutorado en Patologia Molecular], pp. 95.
MARCILI A, LIMA L, CAVAZZANA M, JUNQUEIRA A, VELUDO H, MAIA DA SILVA F, CAMPANER M, PAIVA F, NUNES V, TEIXEIRA M. 2009a. A new genotype of Trypanosoma cruzi associated with bats evidenced by phylogenetic analyses using SSU rDNA, cytochrome b and Histone H2B genes and genotyping based on ITS1 rDNA. 2009. Parasitology. 136(6):641-655.
MARCILI A, VALENTE V, VALENTE S, JUNQUEIRA A, DA SILVA F, PINTO A, NAIFF R, CAMPANER M, COURA J, CAMARGO E, MILES M, TEIXEIRA M. 2009b. Trypanosoma cruzi in Brazilian Amazonia: Lineages TCI and TCIIa in wild primates, Rhodnius spp. and in humans with Chagas disease associated with oral transmission. Int. J. Parasitol.39(5):615-623.
MARCILLA A, BARGUES M, ABAD-FRANCH F, PANZERA F, CARCAVALLO R, NOIREAU F, GALVÃO C, JURBERG J, MILES M, DUJARDIN J, MAS-COMA S. 2002. Nuclear rDNA ITS-2 sequences reveal polyphyly of Panstrongylus species (Hemiptera: Reduviidae: Triatominae), vectors of Trypanosoma cruzi. Inf. Gen. Evol. 1:225-335.
MARÍN E, SANTILLÁN R, CUBA C, JURBERG J, GALVÃO C. 2007. Captura intra-domiciliar de Panstrongylus rufotuberculatus (Champion, 1899) (Hemiptera, Reduviidae, Triatominae) en Piura, Perú. Cad. Saúde Pública. 23(9):2235-2238.
MARINKELLE C. 1966. Observations on human, monkey and bat trypanosomes and their vectors in Colombia. Trans. R. Soc. Trop. Med. Hyg. 60(1):109-116.
MÁRMOL P. 1971. Notas sobre la presencia del Rhodnius pictipes Stal, 1872 y Eratyrus mucronatus Stal, 1851 (Hemiptera-Reduviidae-Triatominae) en Zipayare Dtto. Bolivar - Estado Zulia. Kasmera. 3(4):405-407.
MÁRQUEZ E, SALDAMANDO-BENJUMEA C. 2013. Rhodnius prolixus and Rhodnius robustus-like (Hemiptera, Reduviidae) wing asymmetry under controlled conditions of population density and feeding frequency. J. Biosci. 38(3):549-560.
MARTÍNEZ A, CARCAVALLO R. 1976. El alótipo macho de Belminus rugulosus Stal, 1859 (Hemiptera, Reduviidae). Bol. Dir. Malariol. San. Amb. 16(3):241-243.
MARTÍNEZ A, CARCAVALLO R. 1977. Un nuevo triatominae neotropical (Hemíptera: Reduviidae). Folia Entomol. Mexic. 38:109-118.
MARTÍNEZ E, CHÁVEZ T, SOSSA D, ARANDA R, VARGAS B, VIDAURRE P. 2007. Triatoma boliviana sp.n. de los valles subandinos de La Paz, Bolivia (Hemiptera: Reduviidae: Triatominae), similar a Triatoma nigromaculata Stal 1859. Bol. Inst. Invest. Salud Des (UMSS). 3(1):1-11.
MARTÍNEZ F, VILLALOBOS G, CEVALLOS A, DE LA TORRE P, LACLETTE J, ALEJANDRE-AGUILAR R, ESPINOZA B. 2006. Taxonomic study of the Phyllosoma complex and other triatomine (Insecta: Hemiptera: Reduviidae) species of epidemiological importance in the transmission of Chagas disease: Using ITS-2 and mtCytB sequences. Mol. Phylogenet. Evol. 41(2):279-287.
MARTÍNEZ-IBARRA J, MIGUEL-ALVAREZ A, ARREDONDO-JIMÉNEZ J, RODRÍGUEZ-LÓPEZ M. 2001. Update on the biology of Triatoma dimidiata Latreille (Hemiptera: Reduviidae) under laboratory conditions. J. Am. Mosq. Control Assoc. 17(3):209-210.
MASCARENHAS B. 1982. Morfometría de ovos de Rhodnius brethesi Matta, 1919 (Hemiptera: Triatominae). Acta Amaz. 12 (3):661-664.
MASCARENHAS B. 1987. Descrição dos estádios imaturos de Rhodnius brethesi Matta, 1919 (Hemiptera, Reduviidae). Bol. Mus. Para. Emílio Goeldi, Série Zool. 3(2):183-194.
MASCARENHAS B. 1990. Triatomíneos da Amazônia. Sobre o ciclo evolutivo de Rhodnius brethesi Matta, 1919 (Hemiptera, Reduviidae: Triatominae). Bol. Mus. Par. Emilio Goeldi, Série Zool. 6(2):191-202.
MASCARENHAS B. 1991. Triatomíneos da Amazônia: sobre o habitat e algumas considerações comportamentais de Rhodnius brethesi Matta, 1919 (Hemiptera: Reduviidae: Triatominae) na região do médio Rio Negro, Amazonas. Bol. Mus. Paran Emílio Goeldi, Série Zool. 7(2):107-116.
MASSARO D, REZENDE D, CAMARGO L. 2008. Estudo da fauna de triatomíneos e da ocorrência de doença de Chagas em Monte Negro, Rondônia, Brasil. Rev. Bras. Epidemiol. 11(2):228-240.
MATIAS A, DE LA RIVA J, TORREZ M, DUJARDIN J. 2001. Rhodnius robustus in Bolivia identified by its wings. Mem. Inst. Oswaldo Cruz. 96(7):947-950.
MAY-CONCHA I, ROJAS J, CRUZ-LÓPEZ L, MILLAR J, RAMSEY J. 2013. Volatile compounds emitted by Triatoma dimidiata, a vector of Chagas disease: chemical analysis and behavioural evaluation. Med. Vet. Entomol. 27(2):165-174.
MAY-CONCHA I, ROJAS J, CRUZ-LÓPEZ L, IBARRA-CERDEÑA C, RAMSEY J. 2015. Volatile compound diversity and conserved alarm behaviour in Triatoma dimidiata. Parasit. Vectors. 8:84.
MAY-CONCHA I, GUERENSTEIN P, RAMSEY J, ROJAS J, CATALÁ S. 2016. Antennal phenotype of Mexican haplogroups of the Triatoma dimidiata complex, vectors of Chagas disease. Infect. Genet. Evol. 40:73-79.
MEJÍA-JARAMILLO A, ARBOLEDA-SÁNCHEZ S, RODRÍGUEZ I, CURA C, SALAZAR A, DEL MAZO J, TRIANA-CHÁVEZ O, SCHIJMAN A. 2009. Geographical clustering of Trypanosoma cruzi I groups from Colombia revealed by low-stringency single specific primer-PCR of the intergenic regions of spliced-leader genes. Parasitol. Res. 104(2):399-410.
MELLO F, JURBERG J, GRAZIA J. 2009. Morphological study of the eggs and nymphs of Triatoma dimidiata (Latreille, 1811) observed by light and scanning electron microscopy (Hemiptera: Reduviidae: Triatominae). Mem. Inst. Oswaldo Cruz. 104(8):1072-1082.
MENDONÇA P. 2010. Estudo comparativo das características citogenéticas e moleculares de Triatoma maculata e Triatoma pseudomaculata. São José do Rio Preto, Brasil: Universidade Estadual Paulista, Instituto de Biociência, Letras e Ciências Exatas [Dissertação de Mestrado en Genética], pp. 90.
MENEGUETTI D, TREVISAN O, CAMARGO L, ROSA R. 2012. Natural infection of triatomines (Hemiptera: Reduviidae) by trypanosomatids in two different environments in the municipality of Ouro Preto do Oeste, State of Rondonia, Brazil. Rev. Soc. Bras. Med. Trop. 45(3):395-398.
MESQUITA R, VIONETTE-AMARAL R, LOWENBERGER C, RIVERA-POMAR R, MONTEIRO F, MINX P, SPIETH J, CARVALHO A, PANZERA F, LAWSON D, TORRES A, RIBEIRO J, SORGINE M, WATERHOUSE R, MONTAGUE M, ABAD-FRANCH F, ALVES-BEZERRA M, AMARAL L, ARAUJO H, ARAUJO R, ARAVIND L, ATELLA G, AZAMBUJA P, BERNI M, BITTENCOURT-CUNHA P, BRAZ G, CALDERÓN-FERNÁNDEZ G, CARARETO C, CHRISTENSEN M, COSTA I, COSTA S, DANSA M, DAUMAS-FILHO C, DE-PAULA I, DIAS F, DIMOPOULOS G, EMRICH S, ESPONDA-BEHRENS N, FAMPA P, FERNANDEZ-MEDINA R, DA FONSECA R, FONTENELE M, FRONICK C, FULTON L, GANDARA A, GARCIA E, GENTA F, GIRALDO-CALDERÓN G, GOMES B, GONDIM K, GRANZOTTO A, GUARNERI A, GUIGÓ R, HARRY M, HUGHES D, JABLONKA W, JACQUIN-JOLY E, JUÁREZ M, KOERICH L, LATORRE-ESTIVALIS J, LAVORE A, LAWRENCE G, LAZOSKI C, LAZZARI C, LOPES R, LORENZO M, LUGON M, MAJEROWICZ D, MARCET P, MARIOTTI M, MASUDA H, MEGY K, MELO A, MISSIRLIS F, MOTA T, NORIEGA F, NOUZOVA M, NUNES R, OLIVEIRA R, OLIVEIRA-SILVEIRA G, ONS S, PAGOLA L, PAIVA-SILVA G, PASCUAL A, PAVAN M, PEDRINI N, PEIXOTO A, PEREIRA M, PIKE A, POLYCARPO C, PROSDOCIMI F, RIBEIRO-RODRIGUES R, ROBERTSON H, SALERNO A, SALMON D, SANTESMASSES D, SCHAMA R, SEABRA-JUNIOR E, SILVA-CARDOSO L, SILVA-NETO M, SOUZA-GOMES M, STERKEL M, TARACENA M, TOJO M, TU Z, TUBIO J, URSIC-BEDOYA R, VENANCIO T, WALTER-NUNO A, WILSON D, WARREN W, WILSON R, HUEBNER E, DOTSON E, OLIVEIRA P. 2015. Genome of Rhodnius prolixus, an insect vector of Chagas disease, reveals unique adaptations to hematophagy and parasite infection. Proc. Natl. Acad. Sci. USA. 112(48):14936-14941.
MEZA S, KANESHIMA E, SILVA S DE O, GABRIEL M, DE ARAÚJO S, GOMES M, MONTEIRO W, BARBOSA M, TOLEDO M. 2014. Comparative pathogenicity in Swiss mice of Trypanosoma cruzi IV from northern Brazil and Trypanosoma cruzi II from southern Brazil. Exp. Parasitol.146:34-42.
MILES M, SOUZA A, PÓVOA M. 1981. Chagas’ disease in the Amazon Basin III. Ecotopes of ten triatomine bugs species (Hemiptera: Reduviidae) from the vicinity of Belém, Pará State, Brazil. J. Med. Entomol. 18(4):266-278.
MILES M, ARIAS J, SOUZA A. 1983. Chagas’ disease in the Amazon Basin: V. Periurban palms as hábitats of Rhodnius robustus and Rhodnius pictipes- Triatomine vectors of Chagas’disease. Mem. Inst. Oswaldo Cruz. 78(4):391-398.
MOLINARI J, ALDANA E, NASSAR J. 2007. Panstrongylus geniculatus (Heteroptera: Reduviidae: Triatominae): Natural infection with Trypanosoma cruzi under cavernicolous conditions in Paraguaná Peninsula, Venezuela. J. Cave Karst. Stud. 69(2):285-287.
MONSALVE Y, PANZERA F, HERRERA L, TRIANA-CHÁVEZ O, GÓMEZ-PALACIO A. 2016. Population differentiation of the Chagas disease vector Triatoma maculata (Erichson, 1848) from Colombia and Venezuela. J. Vector Ecol. 41(1):72-79.
MONTE G. 2010. Relações vetor-hospedeiro de Rhodnius brethesi Matta, 1919 (Hemiptera: Reduviidae: Triatominae), em piaçabais do médio rio Negro, Amazonas, Brasil. Manaus, Amazonas, Brasil: Instituto Nacional de Pesquisas da Amazonia, Programa de Pós-Graduação em Entomologia [Dissertação de Mestrado en Ciencias Biológicas], pp. 39.
MONTE G, TADEI W, FARIAS T. 2014. Ecoepidemiology and biology of Eratyrus mucronatus Stål, 1859 (Hemiptera: Reduviidae: Triatominae), a sylvatic vectorof Chagas disease in the Brazilian Amazon. Rev. Soc. Brasil. Med. Trop. 47(6):723-727.
MONTEIRO F, WESSON D, DOTSON E, SCHOFIELD C, BEARD C. 2000. Phylogeny and molecular taxonomy of the Rhodniini derived from mitocondrial and nuclear DNA sequences. Am. J. Trop. Med. Hyg. 62(4):460-465.
MONTEIRO F, LAZOSKI C, NOIREAU F, SOLÉ-CAVA A. 2002. Allozyme relationships among ten species of Rhodniini, showing paraphyly of Rhodnius including Psammolestes. Med. Vet. Entomol. 16(1):83-90.
MONTEIRO F, BARRETT T, FITZPATRICK S, CORDON-ROSALES C, FELICIANGELI D, BEARD C. 2003. Molecular phylogeography of the Amazonian Chagas disease vectors Rhodnius prolixus and R. robustus. Mol. Ecol. 12(4):997-1006.
MONTEIRO F, PERETOLCHINA T, LAZOSKI C, HARRIS K, DOTSON E, ABAD-FRANCH F, TAMAYO E, PENNINGTON P, MONROY C, CORDON-ROSALES C, SALAZAR-SCHETTINO P, GOMEZ-PALACIO A, GRIJALVA M, BEARD C, MARCET P. 2013. Phylogeographic pattern and extensive mitochondrial DNA divergence disclose a species complex within the Chagas disease vector Triatoma dimidiata. PLoS One. 8(8): e70974.
MONTEIRO W, MAGALHÃES L, DE SÁ A, GOMES M, TOLEDO M, BORGES L, PIRES I, GUERRA J, SILVEIRA H, BARBOSA M. 2012. Trypanosoma cruzi IV causing outbreaks of acute Chagas disease and infections by different haplotypes in the Western Brazilian Amazonia. PLoS One.7(7):e41284.
MONTEÓN V, TRIANA-CHÁVEZ O, MEJÍA-JARAMILLO A, PENNIGNTON P, RAMOS-LIGONIO Á, ACOSTA K, LOPEZ R. 2016. Circulation of Tc Ia discrete type unit Trypanosoma cruzi in Yucatan Mexico. J. Parasit. Dis. 40(2):550-554.
MONTILLA M, SOTO H, PARRA E, TORRES M, CARRILLO P, LUGO L, COLORADO J, ARIAS M. 2011a. Infestation by triatomine bugs in indigenous communities of Valledupar, Colombia. Rev. Saúde Pública. 45(4):773-780.
MONTILLA M, GONZALEZ L, CUCUNUBÁ Z, BIANCHI F, GUHL F, FLOREZ C, TORRES M, PARRA E. 2011b. Infección mixta por Trypanosoma cruzi y Trypanosoma rangeli en dos pacientes de Nunchía, Casanare. Biomédica. 31(Sup. 3):209-421.
MORENO J, TABARES P, JARAMILLO N. 1996. Biological cycle and behavioral aspects of Eratyrus cuspidatus -Stal 1859- under laboratory conditions. Mem. Inst. Oswaldo Cruz. 91(Suppl.):140.
MORIANA S. 2014. Chagas: entre el olvido y la oportunidad. El País. Disponible en línea en: http://elpais.com/elpais/2015/04/10/planeta_futuro/1428680706_109364.html (Acceso 05.05.2016).
MOROCOIMA A, TINEO BRITO E, FERRER E, HERRERA L, NUÑEZ M. 2008. Enfermedad de Chagas en el estado Anzoátegui, Venezuela: Registro de un caso agudo y caracterización parasitológica y molecular del aislado. Bol. Malariol. Salud Amb. 48(2):121-126.
MOROCOIMA A, CHIQUE J, HERRERA L, URDANETA S. 2010a. Eratyrus mucronatus (Stal, 1859) (Hemiptera, Reduviidae, Triatominae): primer registro para el estado Anzoátegui (Venezuela). Bol. Malariol. Salud Amb. 50(2):307-310.
MOROCOIMA A, CHIQUE J, ZAVALA-JASPE R, DÍAZ-BELLO Z, FERRERC E, URDANETA-MORALES S, HERRERA L. 2010b. Commercial coconut palm as an ecotope of Chagas disease vectors in north-eastern Venezuela. J. Vector Borne Dis. 47(2):76-84.
MOROCOIMA A, DE SOUSA L, HERRERA L, ROJAS L, VILLALOBOS M, CHIQUE J, BARROYETA R, BONOLI S. 2011. Simpatría de triatominos (Reduviidae) y escorpiones (Buthidae) en Cocos nucifera y Acrocomia aculeata (Aracaceae) de Anzoátegui, Venezuela. Bol. Malariol. Salud Amb. 51(2):187-198.
MOROCOIMA A, CORIANO H, NAVAS C, DE SOUSA L, FERRER E, HERRERA L. 2012. Panstrongylus rufotuberculatus (Hemiptera, Reduviidae, Triatominae) infectado con Trypanosoma cruzi en el estado Anzoátegui (Venezuela). Bol. Malariol. Salud Amb. 52(1):135-138.
MOSQUERA K, VILLACÍS A, GRIJALVA M. 2016. Life Cycle, feeding, and defecation patterns of Panstrongylus chinai (Hemiptera: Reduviidae: Triatominae) under laboratory conditions. J. Med. Entomol. pii: tjw027. DOI: http://dx.doi.org/10.1093/jme/tjw027.
MYERS J. 1929. Facultative blood-sucking in phytophagous Hemiptera. Parasitol. 21(4):472-480.
NAIFF M, NAIFF R, BARRETT T. 1998. Vetores selváticos de doença de Chagas na área urbana de Manaus (AM): atividade de vôo nas estações secas e chuvosas. Rev. Soc. Brasil. Med. Trop. 31(1):103-105.
NEUMANN ADA S, DIAS F DE A, FERREIRA J DA S, FONTES A, ROSA P, MACEDO R, OLIVEIRA J, TEIXEIRA R, PESSOLANI M, MORAES M, SUFFYS P, OLIVEIRA P, SORGINE M, LARA F. 2016. Experimental infection of Rhodnius prolixus (Hemiptera, Triatominae) with Mycobacterium leprae indicates potential for leprosy transmission. PLoS One. 11(5):e0156037.
NOYA O, BOTTO C, ALARCÓN DE NOYA B, FERRER E, VIETTRI M, HERRERA L. 2012. Primer registro de triatóminos naturalmente infectados por Trypanosoma cruzi en el estado Bolívar, Venezuela. Bol. Malariol. San. Amb. 52(2): 301-306.
NOYA O, RUIZ R, DÍAZ Z, ALARCÓN DE NOYA B. 2015. Epidemiología y clínica de la transmisión oral de Trypanosoma cruzi. XI Taller sobre la Enfermedad de Chagas. Rev. Esp. Salud Pública. Disponible en línea en: https://www.isglobal.org/documents/10179/3408669/Revista+Espa%C3%B1ola+de+Salud+Publica_XI+Taller+de+Chagas.pdf/0dacece8-dda0-4533-a76e-986703f696e5 (Acceso: 02.05.2016).
NOYA-ALARCÓN O, BOTTO C, CORTEZ J, FERRER E, VIETTRI M, HERRERA L. 2011a. Primer registro de Panstrongylus geniculatus (Latreille, 1811) en los municipios Alto Orinoco y Atures, estado Amazonas, Venezuela. Bol. Malariol. Salud Amb. 51(1):81-85.
NOYA-ALARCÓN O, BOTTO C, FERRER E, ALARCÓN DE NOYA B, HERRERA L. 2011b. Primeros hallazgos de la presencia de Trypanosoma cruzi en población humana de la amazonia venezolana. Biomédica. 31(Sup. 3):209-421.
OBARA M, CARDOSO A, PINTO M, SOUZA C, SILVA A, GURGEL-GONÇALVES R. 2013. Eratyrus mucronatus Stål, 1859 (Hemiptera: Reduviidae: Triatominae): First report in the State of Acre, Brazil, and updated geographic distribution in South America. Check List. 9(4):851- 854.
OCAÑA-MAYORGA S, LLEWELLYN M, COSTALES J, MILES M, GRIJALVA M. 2010. Sex, Subdivision, and Domestic Dispersal of Trypanosoma cruzi Lineage I in Southern Ecuador. PLoS Negl. Trop. Dis. 4(12):e915.
OLIVEIRA M. 2005. Ecologia e sistemática de Cavernicola pilosa Barber, 1937 (Hemiptera, Reduviidae). Belo Horizonte, Brasil: Fundación “Oswaldo Cruz”, Centro de Pesquisas “Rene Rachou” [Dissertação de Mestrado en Doenças Infecciosas e Parasitárias], pp. 83.
OLIVEIRA M, SOUZA R, DIOTAIUTI L. 2007. Redescription of the genus Cavernicola and the tribe Cavernicolini (Hemiptera: Reduviidae: Triatominae), with morphological and morphometric parameters. Zootaxa. 1457:57-68.
OLIVEIRA M, FERREIRA R, CARNEIRO M, DIOTAIUTI L. 2008. Ecology of Cavernicola pilosa Barber, 1937 (Hemiptera: Reduviidae: Triatominae) in the Boa Esperança cave, Tocantins, Brazil. Ecotropica. 14(1):63-68.
OMAH-MAHARAJ I. 1992. Studies on vectors of Trypanosoma cruzi in Trinidad, West Indies. Med. Vet. Entomol. 6(2):115-120.
OMS (ORGANIZACIÓN MUNDIAL DE LA SALUD). 2016a. Enfermedades transmitidas por vectores. Nota descriptiva Nº387. Disponible en línea en: http://www.who.int/mediacentre/factsheets/fs387/es/ (Acceso: 2.05.2016)
OMS (ORGANIZACIÓN MUNDIAL DE LA SALUD). 2016b. La enfermedad de Chagas (tripanosomiasis americana). Nota descriptiva Nº340.Disponible en línea en: http://www.who.int/mediacentre/factsheets/fs340/es/ (Acceso 02.05.2016).
ORTIZ I. 1971. Sobre algunos arreglos taxonómicos en el orden de los Hemíptera (Insecta) con referencia especial a la identificación de la familia Triatominae, Pinto, 1931. Revisión del género Panstrongylus Berg y descripción de una nueva especie: Panstrongylus parageniculatus. Rev. Inst. Nac. Hig. 4(1):49-87.
OSUNA E. 1984. Notas sobre Triatominae (Hemiptera: Reduviidae) del Parque Nacional “Cerro de la Neblina” Territorio Federal Amazonas, Venezuela. Bol. Malariol. San. Amb. 24(1-4): 45-46.
OSUNA E, AYALA J. 1993. Belminus pittieri, nueva especie de Bolboderini (Triatominae: Reduviidae: Heteroptera). Bol. Entomol. Venez. 8(2):147-150.
OTÁLORA-LUNA F, GUERIN P. 2014. Amines from vertebrates guide triatomine bugs to resources. J. Insect. Physiol. 71:52-60.
OTÁLORA-LUNA F, PÉREZ-SANCHEZ A, SANDOVAL C, ALDANA E. 2015. Evolution of hematophagous habit in Triatominae (Heteroptera: Reduviidae). Rev. Chil. Hist. Nat. 88(1):4.
OTERO M, JIMÉNEZ J, CARCAVALLO R, ORTEGA R, TONN R. 1975. Actualización de la distribución geográfica de Triatominae (Hemiptera, Reduviidae) en Venezuela. Bol. Dir. Malariol. San. Amb.15(5):217-230.
OTERO A, CARCAVALLO R, TONN R. 1976. Notas sobre la biología, ecología e distribución geográfica de Psammolestes pictipes Stål, 1872 (Hemiptera, Reduviidae). Bol. Dir. Malariol. San. Amb. 16(2):163-168.
PACHECO-TUCUCH F, RAMIREZ-SIERRA M, GOURBIÈRE S, DUMONTEIL E. 2012. Public street lights increase house infestation by the Chagas disease vector Triatoma dimidiata. PLoS One. 7(4):e36207.
PAEZ-COLASANTE X, ALDANA E. 2008. Morfometría geométrica del borde corial y del collar del huevo de cinco especies del género Rhodnius Stal (Heteróptera, Reduviidae, Triatominae). Entomobrasilis. 1(3):57-61.
PALOMEQUE F, ABAD-FRANCH F, GRIJALVA M. 2003. Notas sobre la biología y bionomía de Rhodnius robustus Larrousse, 1927 (Hemíptera, Reduviidae, Triatominae). Rev. Pontificia Univ. Católica del Ecuador. 71: 9-60.
PANZERA F, FERRANDIS I, RAMSEY J, ORDONEZ R, SALAZAR-SCHETTINO P, CABRERA M, MONROY M, BARGUES M, MAS-COMA S, O'CONNOR J, ANGULO V, JARAMILLO N, CORDÓN-ROSALES C, GÓMEZ D, PÉREZ R. 2006. Chromosomal variation and genome size support existence of cryptic species of Triatoma dimidiata with different epidemiological importance as Chagas disease vectors. Trop. Med. Int. Health. 11(7):1092-1103.
PARRA-HENAO G, SEGURA A, QUIRÓS-GÓMEZ O, ANGULO V, ALEXANDER N. 2015. House-level risk factors for Triatoma dimidiata infestation in Colombia. Am. J. Trop. Med. Hyg. 92(1):193-200.
PARRA-HENAO G, ANGULO V, OSORIO L, JARAMILLO N. 2016. Geographic distribution and ecology of Triatoma dimidiata (Hemiptera: Reduviidae) in Colombia. J. Med. Entomol. 53(1):122-129.
PATTERSON J, GAUNT M. 2010. Phylogenetic multi-locus codon models and molecular clocks reveal the monophyly of haematophagous reduviid bugs and their evolution at the formation of South America. Mol. Phylogenet. Evol. 56(2):608-621.
PATTERSON J, BARBOSA S, FELICIANGELI M. 2009. On the genus Panstrongylus Berg 1879: evolution, ecology and epidemiological significance. Acta Trop. 110(2-3):187-199.
PAULA A, DIOTAIUTI L, SCHOFIELD C. 2005. Testing the sister-group relationship of the Rhodniini and Triatomini (Insecta: Hemiptera: Reduviidae: Triatominae). Mol. Phyl. Evol. 35(3):712-718.
PAVAN M. 2009. Filogeografía de Rhodnius pictipes (Hemiptera, Reduviidae) na região amazónica. Rio de Janeiro, Brasil: Instituto Oswaldo Cruz, Programa de Pós-Graduação em Biologia parasitaria [Dissertação de Mestrado en Biologia Parasitaria], pp. 117.
PAVAN M, MONTEIRO F. 2007. A multiplex PCR assay that separates Rhodnius prolixus from members of the Rhodnius robustus cryptic species complex (Hemiptera: Reduviidae). Trop. Med. Int. Health. 12(6):751-758.
PAVAN M, MONTEIRO F. 2014. Técnicas moleculares aplicadas à sistemática e ao controle vetorial. En: GALVAO C, Organizador. Vetores da Doença de Chagas no Brasil. Sociedade Brasileira de Zoologia, Série Zoologia: Guias e Manuais de Identificação. Curitiba, Brasil, pp. 241-260.
PAVAN M, MESQUITA R, LAWRENCE G, LAZOSKI C, DOTSON E, ABUBUCKER S, MITREVA M, RANDALL-MAHER J, MONTEIRO F. 2013. A nuclear single-nucleotide polymorphism (SNP) potentially useful for the separation of Rhodnius prolixus from members of the Rhodnius robustus cryptic species complex (Hemiptera: Reduviidae). Infect. Genet. Evol. 14:426-433.
PAVAN M, CORRÊA-ANTÔNIO J, PEIXOTO A, MONTEIRO F, BUENO G. 2016. Rhodnius prolixus and R. robustus (Hemiptera: Reduviidae) nymphs show different locomotor patterns on an automated recording system. Parasit. Vectors. 9(1):239.
PÉNEAU J, NGUYEN A, FLORES-FERRER A, BLANCHET D, GOURBIÈRE S. 2016. Amazonian Triatomine biodiversity and the transmission of Chagas Disease in French Guiana: In Medio Stat Sanitas. PLoS Negl. Trop. Dis. 10(2):e0004427.
PÉREZ A, MORENO J, COLINA L. 2009. Estudio comparativo de la susceptibilidad de cuatro especies del genero Rhodnius a la infección experimental con Trypanosoma cruzi. Bol. Malariol. Salud Amb. 49(1):135-142.
PEREZ R, PANZERA Y, SCAFIEZZO S, MAZZELLA M, PANZERA F, DUJARDIN J, SCVORTZOFF E. 1992. Cytogenetics as a tool for triatomine species distinction (Hemiptera-Reduviidae). Mem. Inst. Oswaldo Cruz. 87(3):353-361.
PIFANO F. 1940. La enfermedad de Chagas en Venezuela. Oficina Panamericana de la Salud. Disponible en línea en: http://iris.paho.org/xmlui/bitstream/handle/123456789/13077/v19n10p984.pdf?sequence=1 (Acceso 08.05.2016)
PIFANO F. 1941. La enfermedad de Chagas en el estado Yaracuy. Caracas Médico. 19:1103-1166.
PIFANO F. 1954. Nueva trypanosomiasis humana de la región neotrópica producida por el Trypanosoma rangeli, con especial referencia a Venezuela. Arch. Venez. Patol. Trop. Parasitol. Méd. 2(2):89-120.
PIFANO F. 1986. El potencial enzoótico silvestre del complejo ecológico Schizotrypanum cruzi - Didelphis marsupialis - Panstrongylus geniculatus y sus incursiones a la vivienda humana del valle de Caracas - Venezuela. Bol. Acad. Cien. Fís. Mat. Nat. 46(143-144):9-37.
PIFANO C, ORTIZ I. 1952. Cavernicola pilosa Barber, 1937 (Hemíptera Heteroptera: Triatominae) su presencia en Venezuela. Rev. San. Asist. Soc. 17:245-248.
PINEDA S, MELGAR S, DORN P, AGREDA E, RODAS A, MONROY C. 2008. Salivary protein profiles distinguish triatomine species and populations of Triatoma dimidiata (Hemiptera: Reduviidae). J. Med. Entomol. 45(1):52-58.
PINTO C. 1926. Triatomideos da Venezuela, com a descripção de uma nova espécie do gênero Eutriatoma. Ann. Fac. Med. São Paulo. 1:85-87.
PINTO C, OCAÑA-MAYORGA S, TAPIA E, LOBOS S, ZURITA A, AGUIRRE-VILLACÍS F, MAC DONALD A, VILLACÍS A, LIMA L, TEIXEIRA M, GRIJALVA M, PERKINS S. 2015. Bats, Trypanosomes, and Triatomines in Ecuador: new insights into the diversity, transmission, and origins of Trypanosoma cruzi and Chagas Disease. PLoS One.10(10):e0139999.
PITA S, LORITE P, NATTERO J, GALVÃO C, ALEVI K, TEVES S, AZEREDO-OLIVEIRA M, PANZERA F. 2016. New arrangements on several species subcomplexes of Triatoma genus based on the chromosomal position of ribosomal genes (Hemiptera - Triatominae). Infect. Genet. Evol. 43:225-231.
POLONIO R, RAMIREZ-SIERRA M, DUMONTEIL E. 2009. Dynamics and distribution of house infestation by Triatoma dimidiata in central and southern Belize. Vector Borne Zoonotic Dis. 9(1):19-24.
RABINOVICH J, FELICIANGELI M. 2015.Vital statistics of Triatominae (Hemiptera: Reduviidae) under laboratory conditions: IV. Panstrongylus geniculatus. J. Med. Entomol. 52(5):797-805.
RABINOVICH J, KITRON U, OBED Y, YOSHIOKA M, GOTTDENKER N, CHAVES L. 2011. Ecological patterns of blood-feeding by kissing-bugs (Hemiptera: Reduviidae: Triatominae). Mem. Inst. Oswaldo Cruz. 106(4):479-494.
RAMÍREZ J, GUHL F, RENDÓN L, ROSAS F, MARIN-NETO J, MORILLO C. 2010. Chagas cardiomyopathy manifestations and Trypanosoma cruzi genotypes circulating in chronic Chagasic patients. PLoS Negl. Trop. Dis. 4(11):e899.
RAMÍREZ J, HERNÁNDEZ C, MONTILLA M, ZAMBRANO P, FLÓREZ A, PARRA E, CUCUNUBÁ Z. 2014a. First report of human Trypanosoma cruzi infection attributed to TcBat genotype. Zoonoses Public Health. 61(7):477-479.
RAMÍREZ J, TAPIA-CALLE G, MUÑOZ-CRUZ G, POVEDA C, RENDÓN L, HINCAPIÉ E, GUHL F. 2014b. Trypanosome species in neo-tropical bats: biological, evolutionary and epidemiological implications. Infect. Genet. Evol. 22:250-256.
RAMÍREZ-PÉREZ J. 1987. Revisión de los tratominos (Hemiptera, Reduviidae) en Venezuela. Bol. Dir. Malariol. San. Amb. 27(1-4):118-146.
RAMOS-LIGONIO A, TORRES-MONTERO J, LÓPEZ-MONTEON A, DUMONTEIL E. 2012. Extensive diversity of Trypanosoma cruzi discrete typing units circulating in Triatoma dimidiata from central Veracruz, Mexico. Infect. Genet. Evol.12(7):1341-1343.
RANGEL DE ROJAS C. 2010. Plan estratégico de educación ambiental para la prevención del mal de Chagas, Sector Bella Tovar, Municipio Ospino, Estado Portuguesa, Venezuela. Guanare, estado Portuguesa, Venezuela: Universidad de Los Llanos Occidentales “Ezequiel Zamora”, Vicerrectorado de Producción Agrícola [Disertación Grado de Maestría en Educación Ambiental], pp. 135.
REBÊLO J, BARROS V, MENDES W.1998. Espécies de Triatominae (Hemiptera: Reduviidae) do Estado do Maranhão, Brasil. Cad. Saude Pública. 14(1):187-192.
REYES M, ANGULO V. 2009. Ciclo de vida de Triatoma dimidiata Latreille, 1811 (Hemiptera, Reduviidae) en condiciones de laboratorio: producción de ninfas para ensayos biológicos. Biomédica. 29(Suppl.1):119-126.
REYES-LUGO M. 2009. Panstrongylus geniculatus Latreille 1811 (Hemiptera: Reduviidae: Triatominae), vector de la enfermedad de Chagas en el ambiente domiciliario del centro-norte de Venezuela. Rev. Biomed. 20(3):180-205.
REYES-LUGO M, RODRÍGUEZ-ACOSTA A. 2000. Domiciliation of selvatic Chagas disease vector Panstrongylus geniculatus Latreille, 1811 (Triatominae: Reduviidae) in Venezuela. Trans. R. Soc. Trop. Med. Hyg. 94(5):508.
REYES-LUGO M, DÍAZ-BELLO Z, ABATE T, AVILÁN A. 2006a. Stridulatory sound emission of Panstrongylus rufotuberculatus Champion, 1899, (Hemiptera: Reduviidae: Triatominae). Braz. J. Biol. 66(2A):443-446.
REYES-LUGO M, GIRÓN M, KAMIYA H, RODRÍGUEZ-ACOSTA A. 2006b. Un estudio preliminar de la hemolinfa de cuatro poblaciones venezolanas de Panstrongylus geniculatus Latreille, 1811 (Hemiptera: Reduviidae) y su significado epidemiológico. Rev. Cubana Med. Trop. 58(2):134-138.
REYES-LUGO M, REYES-CONTRERAS M, SALVI I, GELVES W, AVILÁN A, LLAVANERAS D, NAVARRETE L, CORDERO G, SÁNCHEZ E, RODRÍGUEZ-ACOSTA A. 2011. The association of Triatoma maculata (Ericsson 1848) with the gecko Thecadactylus rapicauda (Houttuyn 1782) (Reptilia: Squamata: Gekkonidae): a strategy of domiciliation of the Chagas disease peridomestic vector in Venezuela? Asian Pac. J. Trop. Biomed. 1(4):279-284.
REYES-NOVELO E, RUIZ-PIÑA H, ESCOBEDO-ORTEGÓN J, BARRERA-PÉREZ M. 2011. Biología y ecología de Triatoma dimidiata (Latreille, 1811), algunos aspectos de estudio. Dugesiana. 18(1):11-16.
RICARDO-SILVA A. 2010. Eco-biologia de triatomineos no Municipio Oriminá, estado de Pará, Amazonia, Brasil. Rio de Janeiro, Brasil: Instituto Oswaldo Cruz, Programa de Pós-Graduação em Biologia parasitaria [Dissertação de Mestrado en Biologia Parasitaria], pp. 73.
RICARDO-SILVA A, LOPES C, RAMOS L, MARQUES W, MELLO C, DUARTE R, DE LA FUENTE A, TOMA H, REBOREDO-OLIVEIRA L, KIKUCHI S, BAPTISTA T, SANTOS-MALLET J, JUNQUEIRA A, GONÇALVES T. 2012. Correlation between populations of Rhodnius and presence of palm trees as risk factors for the emergence of Chagas disease in Amazon region, Brazil. Acta Trop. 123(3):217-223.
RIVERA M, HERRERA L, MOROCOIMA A, AGUILAR C, GÁRATE T, LÓPEZ M, LARES M, VIETTRI M, FERRER E. 2015. Genetic variability of Trypanosoma cruzi TcI isolates from rural and urban areas of Venezuela. J. Vector Borne Dis. 52(1):23-29.
ROCHA A, NEVES S, LOPES E, MACÊDO V. 1996.Contribução ao conhocimento da cardipatia chagásica aguda. Estudo sistematizdo dos sistemas excito-condutor e nervoso autónomo intracardiaco en caso autóctono do Acre. Rev. Soc. Bras. Med. Trop. 29(4):367-371.
ROCHA D, GALVÃO C, JURBERG J. 1994. Biología do Rhodnius pictipes Stal, 1872 em condições de laboratório (Hemiptera, Reduviidae, Triatominae). Mem. Inst. Oswaldo Cruz. 89(2):265-270.
ROCHA D, DA FONSECA A, COSTA F, JURBERG J, GALVÃO C. 1997. Desenvolvimento de Rhodnius pictipes Stal, 1872 alimentado através de membrana de silicone e em camundongos (Hemiptera, Reduviidae, Triatominae). Mem. Inst. Oswaldo Cruz. 92(4):553-558.
ROCHA D, JURBERG J, CARCAVALLO R, PRESGRAVE O, CUNHA V, GALVÃO C. 2001. Influência da temperatura e umidade no desenvolvimento ninfal de Rhodnius robustus. Rev. Saúde Pública. 35(4):400-406.
ROCHA D, SANTOS C, CUNHA V, JURBERG J, GALVÃO C. 2004. Life cycle of Rhodnius brethesi Matta, 1919 (Hemiptera, Reduviidae, Triatominae), a potential vector of Chagas disease in the Amazon region. Mem. Inst. Oswaldo Cruz. 99(6):591-595.
ROCHA D, SOLANO C, JURBERG J, CUNHA V, GALVÃO C. 2011. Laboratory analysis of the flight of Rhodnius brethesi Matta, 1919, potential wild vector of Trypanosoma cruzi in the Brazilian Amazon. (Hemiptera: Reduviidae: Triatominae). Rev. Pan-Amaz. Saúde. 2(1):73-78.
ROCHA D, JURBERG J, GALVÃO C. 2014. Atividade de voo de Rhodnius robustus Larrousse em laboratório (Hemiptera: Reduviidae: Triatominae). EntomoBrasilis. 7(1):16-18.
RODRÍGUEZ-BONFANTE C, AMARO A, GARCIA M, MEJÍAS L, GUILLEN P, GARCÍA R, ALVAREZ N, DÍAZ M, CARDENAS E, CASTILLO S, BONFANTE-GARRIDO R, BONFANTE- CABARCAS R. 2007. Epidemiología de la enfermedad de Chagas en el municipio Andrés Eloy Blanco, Lara, Venezuela: infestación triatomínica y seroprevalencia en humanos. Cad. Saúde Pública. 23(5):1133-1140.
RODRÍGUEZ-BONFANTE C, ROJAS M, ALDANA E, CONCEPCIÓN J, BONFANTE- CABARCAS R. 2011. Persistence of Chagas disease active transmission among dogs in Venezuela rural community. Rev. Costarr. Salud Pública. 20(2):97-101.
RODRÍGUEZ-LEMOINE V. 2010. Enfermedad de Chagas en Venezuela. Rev. Soc. Ven. Microbiol. 30(1):3.
ROJAS M, VÁRQUEZ P, VILLARREAL M, VELANDIA C, VERGARA L, MÓRAN-BORGES Y, ONTIVEROS J, CALDERÓN M, CHIURILLO-SIERVO M, RODRÍGUEZ-BONFANTE C, ALDANA E, CONCEPCIÓN J, BONFANTE- CABARCAS R. 2008. Estudio soroepidemiológico y entomológico sobre la enfermedad de Chagas en un área infestada por Triatoma maculata (Erichon 1848) en el centro-occidente de Venezuela. Cad. Saúde Pública. 24(10):2323-2333.
ROJAS-CORTEZ M, PINAZO M, GARCIA L, ARTEAGA M, URIONA L, GAMBOA S, MEJÍA C, LOZANO D, GASCON J, TORRICO F, MONTEIRO F. 2016. Trypanosoma cruzi-infected Panstrongylus geniculatus and Rhodnius robustus adults invade households in the Tropics of Cochabamba region of Bolivia. Parasit. Vectors. 9(1):158.
ROQUE A, JANSEN A. 2014. Reservatórios do Trypanosoma cruzi e sua relação com os vetores. En: Galvão C, Organizador. Vetores da Doença de Chagas no Brasil. Sociedade Brasileira de Zoologia, Série Zoologia: Guias e Manuais de Identificação. Curitiba, Brasil, pp. 75-87.
ROSSELL O, MOGOLLÓN J, PACHECO J. 1977. Presencia de Rhodnius robustus Larrousse, 1927 (Hemiptera, Reduviidae) en el estado Trujillo, Venezuela (Comunicación preliminar). Bol. Dir. Malariol. Saneam. Amb. 17(3):230-233.
RUBIO C, MONCADA L, ROJAS M, GARCÍA A. 2013. Comportamiento de Rhodnius robustus Larousse, 1927 (Hemiptera, Reduviidae) durante su alimentación en condiciones de laboratorio. Biomédica. 33(2):205-213.
RUEDA K, TRUJILLO J, CARRANZA J, VALLEJO G. 2014. Transmisión oral de Trypanosoma cruzi: una nueva situación epidemiológica de la enfermedad de Chagas en Colombia y otros países suramericanos. Biomédica. 34(4):631-641.
RUGGIERO M, GORDON D, ORRELL T, BAILLY N, BOURGOIN T, BRUSCA R, CAVALIER-SMITH T, GUIRY M, KIRK P. 2015. A higher level classification of all living organisms. PLoS One. 10(4):e0119248.
RUIZ E, LÓPEZ M, RIVAS F, SÁNCHEZ A, MONCADA L. 2015. Comparison of hemocytes of V-instar nymphs of Rhodnius prolixus (Stål) and Rhodnius robustus (Larousse 1927), before and after molting. Rev. Fac. Med. 63(1):11-17.
SAINZ A, MAURO L, MORIYAMA E, GARCÍA B. 2004. Phylogeny of triatomine vectors of Trypanosoma cruzi suggested by mitochondrial DNA sequences. Genetica. 121(3):229-240.
SALAZAR D, CALLE J. 2003. Caracterización ecoepidemiológica de Rhodnius pallescens en la palma Attalea butyracea en la región momposina (Colombia). Actual. Biol. 25(78):31-38.
SALDAÑA A, PINEDA V, MARTINEZ I, SANTAMARIA G, SANTAMARIA A, MIRANDA A, CALZADA J. 2012. A new endemic focus of Chagas disease in the Northern region of Veraguas Province, Western Half Panama, Central America. PLoS One. 7(4):e34657.
SALDAÑA A, CALZADA J, PINEDA V, PEREA M, RIGG C, GONZÁLEZ K, SANTAMARIA A, GOTTDENKER N, CHAVES L. 2015. Risk factors associated with Trypanosoma cruzi exposure in domestic dogs from a rural community in Panama. Mem. Inst. Oswaldo Cruz.110(7):936-944.
SALOMÃO K, MENNA-BARRETO R, DE CASTRO S. 2016. Stairway to heaven or hell? Perspectives and limitations of Chagas disease chemotherapy. Curr. Top. Med. Chem. 16(20):2266-2289.
SÁNCHEZ-MARTIN M, FELICIANGELI M, CAMPBELL-LENDRUM D, DAVIES C. 2006. Could the Chagas disease elimination programme in Venezuela be compromised by reinvasion of houses by sylvatic Rhodnius prolixus bug populations? Trop. Med. Inter. Health. 11(10):1585-1593.
SANDOVAL C, JOYA M, GUTIEREZ R, ANGULO V. 2000. Cleptohaematophagy of the Triatomine bug Belminus herreri. Med. Vet. Entomol. 14(1):100-101.
SANDOVAL C, ORTIZ N, JAIMES D, LOROSA E, GALVÃO C, RODRIGUEZ O, SCORZA J, GUTIÉRREZ R. 2010. Feeding behaviour of Belminus ferroae (Hemiptera: Reduviidae), a predaceous Triatominae colonizing rural houses in Norte de Santander, Colombia. Med. Vet. Entomol. 24(2):124-131.
SANDOVAL C, MEDONE P, NIEVES E, JAIMES D, ORTIZ N, RABINOVICH J. 2013. Demographic fitness of Belminus ferroae (Hemiptera: Triatominae) on three different hosts under laboratory conditions. Mem. Inst. Oswaldo Cruz. 108(7):854-864.
SANT’ANNA M, DIOTAIUTI L, GONTIJO A, GONTIJO N, PEREIRA M. 2001. Feeding behaviour of morphologically similar Rhodnius species: influence of mechanical characteristics and salivary function. J. Insect. Physiol. 47(12):1459-1465.
SANTANA H. 2014. Estudo taxonómico da Tribo Bolboderini (Hemiptera-Heteroptera, Reduviidae, Triatominae), com análise cladística. Rio de Janeiro, Brasil: Instituto Oswaldo Cruz, Programa de Pós-Graduação em Biodiversidade e Saúde [Dissertação Doutorado en Biodiversidade e Saúde], pp. 140.
SANTANA H, GALVÃO C. 2013. Description of the male genitalia of Belminus rugulosus Stål and Belminus corredori Galvão & Angulo, and comments on the holotype of Parabelminus yurupucu Lent & Wygodzinsky (Hemiptera: Heteroptera: Reduviidae: Triatominae: Bolboderini). Zootaxa. 3746(4):587-596.
SANTOS S. 2010. Estudo citogenético de quatro espécies de Triatominae (Hemiptera, Reduviidae). Minas Gerais, Brasil: Universidade Federal de Visçosa, Programa de Pós-Graduação em Entomologia [Disertación Grado de Doctorado en Entomologia], pp. 71.
SCHOFIELD C, GALVÃO C. 2009. Classification, evolution, and species groups within the Triatominae. Acta Trop. 110(2-3): 88-100.
SCHOFIELD C, GRIJALVA M, DIOTAIUTI L. 2009. Distribución de los vectores de la enfermedad de Chagas en países “no endémicos”: la posibilidad de transmisión vectorial fuera de América Latina. Rev. Argent. Zoonosis Enferm. Infecc. Emerg. 11(Suppl. 1):20-27.
SCORZA J, SOLARTE Y, MORENO E. 1994. The epidemiological importance of Triatoma nigromaculata (Stal, 1859) colonizing human dwellings of the Venezuelan Andes. Mem. Inst. Oswaldo Cruz. 89(3):299.
SEMPERTEGUI-SOSA C. 2012. Phylogenetic and phylogeographic studies of Panstrongylus sp., vectors of Chagas Disease in Loja and Manabí Provinces, Ecuador. Ohio, United States of America: Ohio University, Faculty of the College of Arts and Sciences, Program of Molecular and Cellular Biology [Dissertation Degree Doctor of Philosophy in Molecular and Cellular Biology], pp. 171.
SERRANO O, MENDOZA F, SUÁREZ B, SOTO A. 2008. Seroepidemiología de la enfermedad de Chagas en dos localidades del municipio Costa de Oro, estado Aragua, Venezuela. Biomédica. 28(1):108-115.
SHERLOCK I, CARCAVALLO R, GALÍNDEZ I. 1998. List of natural and experimental flagellate infections in several triatominae species. In: CARCAVALLO R, GALÍNDEZ I, JURBERG J, LENT H (Ed.). Atlas of Chagas´ Disease Vectors in the Americas. Vol. II. Editora Fiocruz: Rio Janeiro, Brasil, pp. 289-297.
SILVA I, FERNANDES F, SILVA H. 1995. Influência da temperatura na biologia de triatomíneos. XX. Triatoma maculata (Erichson, 1848) (Hemiptera, Reduviidae). Rev. Patol. Trop. 24(1):49-54.
SILVA M, JURBERG J, LOROSA E, NUNES V, FERREIRA G, SILVA A. 2015. Encontro de Triatoma rubrofasciata (De Geer, 1773), na cidade do Recife, Pernambuco-2013. Rev. Enf. 1(2):82-84.
SILVA-ITURRIZA A, NASSAR J, GARCÍA-RAWLINS A, ROSALES R, MIJARES A. 2013. Trypanosoma evansi kDNA minicircle found in the Venezuelan nectar-feeding bat Leptonycteris curasoae (Glossophaginae), supports the hypothesis of multiple origins of that parasite in South America. Parasitol. Int. 62(2):95-99.
SILVEIRA A, MARTINS E. 2014. Histórico do controle da transmissão vetorial e situação epidemiológica atual. In: GALVÃO C, Organizador. Vetores da Doença de Chagas no Brasil. Sociedade Brasileira de Zoologia, Série Zoologia: Guias e Manuais de Identificação. Curitiba, Brasil, pp. 88-170.
SOARES R, GONTIJO N, ROMANHA A, DIOTAIUTI L, PEREIRA M. 1998. Salivary heme proteins distinguish Rhodnius prolixus from Rhodnius robustus (Hemiptera: Reduviidae: Triatominae). Acta Trop. 71(3):285-291.
SOLANO P, DUJARDIN J, SCHOFIELD C, ROMAÑA C, TIBAYRENC M. 1996. Isoenzymes as a tool for identification of Rhodnius species. Res. Rev. Parasitol. 56(1):41-47.
SORENSEN J, CAMPBELL B, GILL R, STEFFEN-CAMPBELL J. 1995. Non-monophyly of Auchenorrhyncha ("Homoptera"), based upon 18S rDNA phylogeny: eco-evolutionary and cladistic implications with pre-Heteropteroidea Hemiptera (s.l.) and a proposal for new monophyletic suborders. Pan-Pac. Entomol. 71(1):31-60.
SOTO H, TIBADUIZA T, MONTILLA M, TRIANA O, SUÁREZ D, TORRES M, ARIAS M, LUGO L. 2014. Investigación de vectores y reservorios en brote de Chagas agudo por posible transmisión oral en Aguachica, Cesar, Colombia. Cad. Saúde Pública. 30(4):746-756.
SOTO-VIVAS A. 2009. Clave pictórica de triatominos (Hemiptera: Triatominae) de Venezuela. Bol. Malaraiol. Salud Amb. 49(2):259-274.
SOTO-VIVAS A. 2010. Distribución de los triatominos de Venezuela. Disponible en línea en: http://www.bvs.gob.ve/jornadas2010/03122010/IISimposium/SotoAna.pdf (Acceso 22.05.2016).
SOTO-VIVAS A, BARAZARTE H, MOLINA DE FERNÁNDEZ D. 2001. First record of Eratyrus mucronatus Stål, 1859 (Hemiptera: Reduviidae) in the domiciliary atmosphere in Venezuela. Entomotrópica. 16(3):215-217.
SOTO-VIVAS A, RODRÍGUEZ C, BONFANTE-CABARCA R, ALDANA E. 2007. Morfometría geométrica de Triatoma maculata (Erichson, 1848) de ambientes doméstico y peridoméstico, estado Lara, Venezuela. Bol. Malariol. Salud. Amb. 47(2):231-235.
SOTO-VIVAS A, LIRIA J, LUNA E. 2011. Morfometría geométrica y filogenia en Rhodniini (Hemiptera: Reduviidae) de Venezuela. Acta Zool. Mex. (n.s.). 27(1): 87-102.
SOUZA E. 2016. Descrição de uma nova espécie de Rhodnius (Hemiptera, Reduviidae, Triatominae) da Amazônia. Araraquara, São Paulo, Brasil: Universidade Estadual Paulista “Júlio de Mesquita Filho”, Faculdade de Ciências Farmacêuticas, Programa de Pós-Graduação em Biociências e Biotecnologia Aplicadas a Farmácia [Dissertação de Mestrado en Biociências e Biotecnologia Aplicadas à Farmácia], pp. 87.
SOUZA E, ALEVI K, RIBEIRO A, FURTADO M, ATZINGEN N, AZEREDO-OLIVEIRA M, ROSA J. 2015. First cytogenetic study of Cavernicola pilosa Barber, 1937 (Hemiptera, Triatominae). Genet. Mol. Res. 14(4):13889-13893.
STEVENS L, MONROY M, RODAS A, DORN P. 2014. Hunting, swimming, and worshiping: human cultural practices illuminate the blood meal sources of cave dwelling Chagas vectors (Triatoma dimidiata) in Guatemala and Belize. PLoS Negl. Trop. Dis. 8(9):e3047.
SUPERLANO Y, LIZANOE, GALÍNDEZ I, ALDANA E. 2006. Aislamiento reproductivo postcigótico entre Rhodnius prolixus Stal 1859 y R. robustus Larrousse 1927 (Heteroptera, Triatominae). Parasitol. Latinoam. 61(1:/2):23-31.
TAMAY-SEGOVIA P, ALEJANDRE-AGUILAR R, MARTÍNEZ F, VILLALOBOS G, DE LA SERNA F, DE LA TORRE P, LACLETTE J, BLUM-DOMÍNGUEZ S, ESPINOZA B. 2008. Two Triatoma dimidiata clades (Chagas disease vector) associated with different habitats in southern Mexico and Central America. Am. J. Trop. Med. Hyg. 78(3):472-478.
TARQUI K, SOLÍS H, ZORRILLA V, TUÑOQUE R, VALVERDE F. 2014. Comunicación preliminar sobre la determinación de indicadores entomológicos de triatominos en un centro poblado del distrito de Cajaruro, provincia de Utcubamba (Amazonas), Perú. Rev. Peru. Epidemiol. 18(2):1-5.
TARTAROTTI E, NETO F, CERON C. 2010. Esterase patterns in species of the triatome bug Rhodnius. Med. Vet. Entomol. 24(1):26-31.
TEIXEIRA A, MONTEIRO P, REBELO J, ARGAÑARAZ E, VIEIRA D, LAURIA-PIRES L, NASCIMENTO R, VEXENAT C, SILVA A, AULT S, COSTA J. 2001. Emerging Chagas disease: trophic network and cycle of transmission of Trypanosoma cruzi from palm trees in the Amazon. Emerg. Infect. Dis. 7(1):100-112.
TEJERA E. 1919. La trypanosomose americaine ou maladie de Chagas au Venezuela. Bull. Soc. Pathol. Exot. 12:509-513.
TONN R, CARCAVALLO R, ORTEGA R. 1976. Notas sobre la biología, ecología y distribución geográfica de Rhodnius robustus Larousse, 1927 (Hemiptera: Reduviidae). Bol. Dir. Malariol. San. Amb. 26(2):158-171.
TORRES A. 1982. Sobre un foco urbano de Trypanosoma cruzi (Chagas, 1909) en la ciudad de Maracaibo, Venezuela. Kasmera. 10(1-4):57-71.
TORRES D, CABRERA R. 2010. Geographical distribution and intra-domiciliary capture of sylvatic triatomines in La Convención province, Cusco, Peru. Rev. Inst. Med. Trop. São Paulo. 52(3):157-160.
TORRES K, AVENDAÑO-RANGEL F, LIZANO E, ROJAS M, RODRÍGUEZ-BONFANTE C, BONFANTE-CABARCAS R, ALDANA E. 2010. Viabilidad y estructura especial en una colonia de laboratorio de Triatoma maculata (Hemiptera: Reduviidae) alimentada con sangre humana. Biomédica. 30(1):72-81.
TORRES-MONTERO J, LÓPEZ-MONTEON A, DUMONTEIL E, RAMOS-LIGONIO A. 2012. House infestation dynamics and feeding sources of Triatoma dimidiata in central Veracruz, Mexico. Am. J. Trop. Med. Hyg. 86(4):677-682.
TRAVIEZO-VALLES L, FINIZOLA B. 2011. Panstrongylus rufotuberculatus (Hemiptera: Reduviidae) naturalmente infectado con Trypanosoma rangeli. Bol. Med. Post. 27(1-2):2-6.
TRAVIEZO-VALLES L, BERKEFELD D, ALDANA E. 2008. Infección natural de Panstrongylus rufotuberculatus (Hemiptera: Reduviidae) al sureste del estado Lara, Venezuela. Bol. Mal. Salud Amb. 48(1):99-101.
TRAVIEZO-VALLES L, RODRÍGUEZ R, BRETT A, ALBARRÁN M. 2009. Atracción de deyecciones de triatominos sobre Triatoma maculata y Panstrongylus rufotuberculatus, vectores del Chagas. Salud, Arte y Cuidado. 2(1):40-43.
TRUC P, BUSCHER P, CUNY G, GONZATTI M, JANNIN J, JOSHI P, JUYAL P, LUN Z, MATTIOLI R, PAYS E, SIMARRO P, TEIXEIRA M, TOURATIER L, VINCENDEAU P, DESQUESNES M. 2013. Atypical human infections by animal Trypanosomes. PLoS Negl. Trop. Dis. 7(9): e2256.
URDANETA-MORALES S. 2014. Chagas' disease: an emergent urban zoonosis. The Caracas valley (Venezuela) as an epidemiological model. Front. Public Health. 2:265.
URIBE C. 1927. On the Biology and life history of Rhodnius prolixus Stål. J. Parasitol. 13(2):129-136.
USINGER R. 1934. Blood sucking among phytophagous Hemiptera. Can. Entomol. 66(5):97-100.
VALDERRAMA A, LIZANO E. 1976. Fases ninfales de Cavernicola pilosa Barber, 1937 halladas en las cercanías de Caracas, Venezuela (Hemíptera, Reduviidae, Triatominae). Rev. Brasil. Biol. 36(4):957-960.
VALDERRAMA A, LIZANO E, CABELLO D, VALERA M. 1996. Panstrongylus turpiali n. sp. (Hemíptera: Reduviidae: Triatominae) from Venezuela. Carib. J. Sci. 32(2):142-144.
VALENTE S, VALENTE V, PINTO A, CÉSAR M, DOS SANTOS M, MIRANDA C, CUERVO P, FERNANDES O. 2009. Analysis of an acute Chagas disease outbreak in the Brazilian Amazon: human cases, triatomines, reservoir mammals and parasites. Trans. R. Soc. Trop. Med. Hyg. 103(3):291-297.
VALENTE V, VALENTE S, NOIREAU F, CARRASCO H, MILES M. 1998. Chagas disease in the Amazon Basin: association of Panstrongylus geniculatus (Hemiptera: Reduviidae) with domestic pigs. J. Med. Entomol. 35(2):99-103.
VALENTE V DE C. 1999. Potential for domestication of Panstrongylus geniculatus (Latreille, 1811) (Hemiptera, Reduviidae, Triatominae) in the municipality of Muana, Marajo Island, State of Para, Brazil. Mem. Inst. Oswaldo Cruz. 94(Suppl.1):399-400.
VALLEJO G, SUÁREZ Y, OLAYA Y, GUTIÉRREZ S, CARRANZA J. 2015. Trypanosoma rangeli: un protozoo infectivo y no patógeno para el humano que contribuye al entendimiento de la transmisión vectorial y la infección por Trypanosoma cruzi, agente causal de la enfermedad de Chagas. Rev. Acad. Colomb. Cienc. Ex. Fis. Nat. 39(150):111-122.
VÁSQUEZ L, GALVÃO C, PINTO N, GRANADOS H. 2005. First report of Triatoma nigromaculata (Stål, 1859) (Hemiptera, Reduviidae, Triatominae) for Colombia. Biomédica. 25(3):417-421.
VELASCO-CASTREJÓN O, RIVAS-SÁNCHEZ B. 2008. Apuntes para la historia de la enfermedad de Chagas en México. Bol. Méd. Hosp. Infant. Méx. 65(1):57-79.
VELIZ O, MORILLO N, TORRES R, BONFANTE R. 1972. Rhodnius neivai naturalmente infectado con Trypanosoma cruzi en la ciudad de Barquisimeto, Estado Lara, Venezuela. Acta Méd. Venez. 19(2):392-393.
VILLEGAS E, BENDEZÚ H, CÁRDENAS R. 2011. Seguimiento epidemiológico (2002-2011) de la enfermedad de Chagas en el estado Trujillo, Venezuela. Biomédica. 31(Sup.3): 209-421.
VILLEGAS J, FELICIANGELI M, DUJARDIN J. 2002. Wing shape divergence between Rhodnius prolixus from Cojedes (Venezuela) and Rhodnius robustus from Mérida (Venezuela). Infect. Genet. Evol. 2(2):121-128.
WALECKX E, GOURBIÈRE S, DUMONTEIL E. 2015. Intrusive versus domiciliated triatomines and the challenge of adapting vector control practices against Chagas disease. Mem. Inst. Oswaldo Cruz. 110(3):324-338.
WEBB J. 1940. The occurrence of Rickettsia-Like bodies in the Reduviid Bug Triatoma rubrofasciata and their transmission to laboratory animals. Parasitology. 32(4):355-360.
WEIRAUCH C. 2003. Glandular areas associated with the male genitalia in Triatoma rubrofasciata (Triatominae, Reduviidae, Hemiptera) and other Reduviidae. Mem. Inst. Oswaldo Cruz. 98(6):773-776.
WEIRAUCH C, BÉRENGER J, BERNIKER L, FORERO D, FORTHMAN M, FRANKENBERG S, FREEDMAN A, GORDON E, HOEY-CHAMBERLAIN R, HWANG W, MARSHALL S, MICHAEL A, PAIERO S, UDAH O, WATSON C, YEO M, ZHANG G, ZHANG J. 2014. An illustrated identification key to assassin bug subfamilies and tribes (Hemiptera: Reduviidae). CJAI. 26:1-115.
WESTENBERGER S, BARNABÉ C, CAMPBELL D, STURM N. 2005.Two hybridization events define the population structure of Trypanosoma cruzi. Genetics. 171(2):527-543.
WHO (WORLD HEALTH ORGANIZATION). 2011. Informal consultation on Chagas disease in the Western Pacific. Nagasaki, Japan. WHO Regional Office for the Western Pacific: Manila, Filipinas, pp. 61.
WHO (WORLD HEALTH ORGANIZATION). 2012. Research priorities for Chagas disease, human African trypanosomiasis and leishmaniasis. World Health Organ. Tech. Rep. Ser. 975:1-100.
WHO (WORLD HEALTH ORGANIZATION). 2015. Chagas disease in Latin America: an epidemiological update based on 2010 estimates. Wkly. Epidemiol. Rec. 90(6):33-43.
WOLFF M, GONZÁLEZ C. 1998. Ciclo de vida de Panstrongylus geniculatus (Hemiptera: Reduviidae) en condiciones de laboratorio. Caldasia. 20(1):75-77.
WOLFF M, CASTILLO D. 2000. Evidencias de domesticación y aspectos biológicos de Panstrongylus geniculatus (Latreille, 1811) (Hemiptera: Reduviidae). Acta Entomol. Chil. 24:77-83.
WOLFF M, CASTILLO C. 2002. Domiciliation trend of Panstrongylus rufotuberculatus in Colombia. Mem. Inst. Oswaldo Cruz. 97(3):297-300.
WOLFF M, CASTILLO D, URIBE J, ARBOLEDA J. 2001.Tripanosomiasis americana: determinación de riesgo epidemiológico de transmisión en el municipio de Amalfi, Antioquia. Iatreia. 14(2): 111-121.
WOLFF M, CUARTAS E, VELÁSQUEZ C, JARAMILLO N. 2004. Development cycle of Panstrongylus rufotuberculatus (Hemiptera: Reduviidae) under laboratory conditions. J. Med. Entomol. 41(6):1010-1014.
WONG Y, SORNOSA MACIAS K, GUALE MARTÍNEZ D, SOLORZANO L, RAMIREZ-SIERRA M, HERRERA C, DUMONTEIL E. 2016. Molecular epidemiology of Trypanosoma cruzi and Triatoma dimidiata in costal Ecuador. Infect. Genet. Evol. 41:207-212.
ZAVALA-JASPE R, ABATE T, REYES-LUGO M, ALARCÓN DE NOYA B, DÍAZ-BELLO Z. 2009. Panstrongylus rufotuberculatus (Champion, 1899) naturalmente infectados con Trypanosoma cruzi en el estado Miranda, Venezuela. Bol. Malariol. Salud Amb. 49(2):309-311.
ZELEDÓN R. 1981. El Triatoma dimidiata (Latreille, 1811) y su relación con la enfermedad de Chagas. Ed. Universidad Estatal a Distancia, San José, Costa Rica, pp. 146.
ZELEDÓN R. 1983. Vectores de la enfermedad de Chagas y sus características eco-fisiológicas. Interciencia. 8(6):384-395.
ZELEDÓN R, GUARDIA V, ZÚÑIGA A, SWARTZWELDER J. 1970a. Biology and ethology of Triatoma dimidiata (Latreille, 1811). I. Life cycle, amount of blood ingested, resistance of starvation, and size of adults. J. Med. Entomol. 7(3):313-339.
ZELEDÓN R, GUARDIA V, ZÚÑIGA A, SWARTZWELDER J. 1970b. Biology and ethology of Triatoma dimidiata (Latreille, 1811). II. Life span of adults and fecundity and fertility of females. J. Med. Entomol. 7(4):462-469.
ZELEDÓN R, ALVARADO R, JIRÓN L. 1977. Observations on the feeding and defecation patterns of three triatomine species (Hemiptera: Reduviidae). Acta Trop. 34(1):65-77.
ZELEDÓN R, UGALDE J, PANIAGUA L. 2001. Entomological and ecological aspects of six sylvatic species of Triatomines (Hemiptera, Reduviidae) from the collection of the National Biodiversity Institute of Costa Rica, Central America. Mem. Inst. Oswaldo Cruz. 96(6):757-764.
ZINGALES B, ANDRADE S, BRIONES M, CAMPBELL D, CHIARI E, FERNANDES O, GUHL F, LAGES-SILVA E, MACEDO A, MACHADO C, MILES M, ROMANHA A, STURM N, TIBAYRENC M, SCHIJMAN A. 2009. Second Satellite Meeting. A new consensus for Trypanosoma cruzi intraspecific nomenclature: second revision meeting recommends TcI to TcVI. Mem. Inst. Oswaldo Cruz. 104(7):1051-1054.