Caso Clínico
Lesión dermatológica en zona de tatuaje
Dermatological lesion in tattoo area
Lesión dermatológica en zona de tatuaje
Acta Médica Costarricense, vol. 64, núm. 2, pp. 1-5, 2022
Colegio de Médicos y Cirujanos de Costa Rica
Recepción: 15 Diciembre 2021
Aprobación: 06 Octubre 2022
Resumen: Los tatuajes representan una situación in vivo única en la que una gran cantidad de sales metálicas y tintes orgánicos permanecen en la piel durante toda la vida. Como resultado de un mayor número de tatuajes realizados, la incidencia de complicaciones cutáneas asociadas a los tatuajes ha aumentado también. En los últimos 30 años se ha evidenciado un aumento de reportes de tumores cutáneos en los tatuajes; sin embargo, muchos autores siguen considerándolo un evento fortuito. Los posibles efectos cancerígenos locales de los tatuajes siguen sin estar claros. Se cree que este efecto podría ser multifactorial y que combina traumatismo de la aguja, inflamación local crónica, factores externos como la exposición a los rayos ultravioleta (UV) y un posible efecto pro-cancerígeno de las tintas. Se necesitan estudios epidemiológicos y clínicos a gran escala para demostrar esta asociación. Se presenta un caso de un hombre de 40 años, conocido sano, quien 2 meses después de tatuarse el hombro derecho, desarrolla una lesión con características clínicas de un queratoacantoma y a quien se le realiza el diagnostico histológico de un carcinoma espinocelular bien diferenciado e invasor.
Descriptores: Carcinoma de Células Escamosas, queratoacantoma, tatuaje.
Abstract: Tattoos represent a unique in vivo situation where many metallic salts and organic dyes remain on the skin for a lifetime. As a result of a greater number of tattoos performed, the incidence of skin complications associated with tattoos has increased. In addition, in the last 30 years, there has been an increment in reports of skin tumors within tattoos; however, many authors continue to consider it is a coincidental event. The possible local carcinogenic effects of tattoos remain unclear. It is believed that this effect could be multifactorial, combining needle trauma, chronic local inflammation, external factors such as an ultraviolet rays (UV) exposure and a possible pro-cancer effect of the inks. Large-scale epidemiological and clinical studies are needed to demonstrate this association. A case of a known healthy 40-year-old male is presented, in whom 2 months after a tattoo was performed on his right shoulder, he developed a lesion with clinical characteristics of a keratoacanthoma in which the histological diagnosis of a well differentiated and invasive squamous cell carcinoma was made.
Keywords: Carcinoma, squamous Cell, keratoacanthoma, tattooing.
El tatuaje es una práctica artística antigua bien conocida, caracterizada por la colocación intradérmica de pigmento exógeno para obtener un diseño permanente. En los últimos 30 años, los tatuajes y las perforaciones, como arte corporal, han venido ganando aceptación y popularidad en la sociedad actual;1,2 sin embargo, a pesar de esto, existen datos limitados de la prevalencia absoluta de estas prácticas.
Las complicaciones relacionadas a los tatuajes se empezaron a reportar a mediados del siglo XIX.4 Desde entonces su popularidad ha venido aumentando, sobre todo en las últimas décadas, lo cual ha traído un incremento en la incidencia de reacciones cutáneas adversas. Dentro de las complicaciones dermatológicas más comunes de los tatuajes se incluyen: infecciones bacterianas superficiales y profundas, infecciones fúngicas, infecciones virales, reacciones eccematosas, dermatosis inflamatorias localizadas, sarcoidosis, granulomas por cuerpo extraño, queloides, erupciones cutáneas inflamatorias generalizadas y neoplasias cutáneas.3-7 En las últimas décadas se ha incrementado el número de reportes de casos de tumores cutáneos que surgen en un tatuaje, pero hasta la fecha se desconoce si existe una relación directa entre ellos.1,4,8-10
Caso clínico
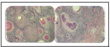
Un hombre de 40 años, conocido sano, se presenta a la consulta externa de Dermatología con historia de una lesión de rápido crecimiento en su hombro derecho, aparecida dos meses después de haberse realizado un tatuaje con tinta oscura permanente. La lesión surgió en una de las zonas del tatuaje. El examen físico reveló un nódulo de 2 x 3 cm, de bordes bien definidos y regulares, con hiperqueratosis central y vasos irregulares (Figuras 1 y 2). No se palparon adenopatías y tampoco se observó evidencia de fotodaño significativo ni en la zona del tatuaje ni en otras regiones fotoexpuestas.
El resultado de la biopsia incisional reportó un queratoacantoma (KA). Como tratamiento, se decidió realizar resección quirúrgica. La histología posterior a la tumorectomía reveló un carcinoma de células escamosas (CEC) bien diferenciado e invasor, sin invasión perineural o linfovascular, con márgenes libres de tumor.


Discusión
En los últimos 30 años, se ha presentado un aumento en los informes de tumores cutáneos desarrollados en los tatuajes.1,4,8-10 Debido a esto, han surgido inquietudes y preguntas sobre la posible asociación de los tatuajes con neoplasias cutáneas. Se han notificado reportes de casos de melanoma,11,12 carcinomas basocelulares (CBC),13 KA y CEC.1,14-20 Además, se han descrito casos anecdóticos de linfomas de células B sobre pseudolinfomas,21 dermatofibrosarcoma protuberans22 y leiomiosarcomas.23 Por último, pueden desarrollarse otras lesiones “benignas” de tipo escamoso, como la hiperplasia pseudoepiteliomatosa.11,19,24,25


En nuestro caso, la lesión clínica desarrollada fue un KA que progresó hacia un CEC, documentado por la histología que muestra una combinación de ambos componentes, con contrastes bien delimitados entre ellos (ó de células anaplásicas de varios formas y tamaños).26 Con base en lo anterior, se puede inferir que el KA es, en esencia, un CEC de bajo grado que muestran un comportamiento biológico maligno.26-28
No se ha establecido una correspondencia directa entre los tatuajes y las neoplasias. Desde el punto de vista fisiopatológico, se pueden proporcionar argumentos a favor de un riesgo carcinogénico relacionado con los tatuajes como también se pueden brindar argumentos en contra de tal hipótesis.1,4,8-10 De existir un vínculo real entre los tatuajes y el cáncer de piel, lo más probable es que la carcinogénesis sea el resultado de un proceso multifactorial. El trauma, las cicatrices o la inflamación crónica cutánea pueden participar en el desarrollo de algunas neoplasias incluyendo CEC9,10,29,30 y queratoacantomas.1,10 Los pigmentos del tatuaje también podrían participar en la carcinogénesis ya que causan un estado inflamatorio perpetuo como un intento del organismo por degradar el material extraño.10 Otro posible argumento es la exposición a los rayos ultravioleta. Algunos autores han postulado que los rayos ultravioleta (UV) pueden alterar los pigmentos del tatuaje en la dermis y potenciar su efecto cancerígeno.9,10,17. Los datos publicados sobre casos de cáncer cutáneo de piel en tatuajes, rara vez mencionan los hábitos solares del paciente. En algunos casos los pacientes tenían ubicado el tatuaje en un lugar no fotoexpuesto; sin embargo, la mayoría de casos reportados fueron reportados de zonas expuestas al sol (extremidades y cara). Nuestro caso trata de un paciente joven quien clínicamente no mostraba datos de daño solar crónico ni tampoco tenía el antecedente de cáncer de piel o queratosis actínicas. No obstante, su trabajo exigía exposición constante al sol y la localización del tatuaje se encontraba una posible zona fotoexpuesta (hombro derecho).
La exposición cutánea al tatuaje podría entonces, causar una desestabilización inmunitaria local, llamada “distrito cutáneo inmuocomprometido”, lo que ocasionaría otro trastorno, como una neoplasia o infección.30-33
El tatuaje permanente y sus efectos adversos como inductor del potencial efecto cancerígeno, es un tema que la atención médica no debe descuidar ya que podría causar un problema de salud pública en el futuro. En la actualidad, faltan estudios a gran escala de factores clínicos y epidemiológicos que logren demostrar si existe o no, alguna relación causal entre los tumores de piel y los tatuajes. Es importante que se sigan reportando estos tipos de casos en la literatura con el fin de que se obtengan mayores datos. También se necesitan investigaciones adicionales in vivo de las concentraciones cutáneas y sistémicas de pigmentos y sus derivados.
Referencias
Junqueira AL, Wanat KA, Farah RS. Squamous neoplasms arising within tattoos: clinical presentation, histopathology and management. Clin Exp Dermatol. 2017;42:601-6. DOI:10.1111/ced.13183
Kluger N, Seité S, Taieb C. The prevalence of tattooing and motivations in five major countries over the world. J Eur Acad Dermatol and Venereol. 2019;33:484-486. DOI:10.1111/jdv.15808
Kazandjieva J, Tsankov N. Tattoos: Dermatological complications. Clin Dermatol. 2007;25:375-82. DOI:10.1016/j.clindermatol.2007.05.012
Islam PS, Chang C, Selmi C, Generali E, Huntley A, Teuber SS, et al. Medical Complications of Tattoos: A Comprehensive Review. Clin Rev Allergy Immunol. 2016;50:273-86. DOI:10.1007/s12016-016-8532-0
Serup J. How to diagnose and classify tattoo complications in the clinic: a system of distinctive patterns. Curr Probl Dermatol. 2017;52:58-73. DOI: 10.1159/000450780
van der Bent SA, Rauwerdink D, Oyen EM, Maijer KI, Rustemeyer T, Wolkerstorfer A. Complications of tattoos and permanent makeup: overview and analysis of 308 cases. J of Cosmet Dermatol. 2021;20:3630-3641. DOI:10.1111/jocd.14498
Gualdi G, Fabiano A, Moro R, Venturuzzo A, Monari P, Calzavara-Pinton P, et al. Tattoo: Ancient art and current problems. J Cosmet Dermatol. 2021;20:602- 604. DOI:10.1111/jocd.13548
Leijs M, Schaefer H, Rübben A, Cacchi C, Rustemeyer T, van der Bent S. Cutaneous malignancies in tattoos, a case series of six patients. Curr Oncol. 2021;28:4721-4737. DOI: 10.3390/curroncol28060398.
Kluger N. Skin tumors arising in tattoos: coincidental or upcoming public health issue? Expert. Rev Dermatol. 2009;4:313-135. DOI:10.1586/edm.09.28
Kluger N, Koljonen V. Tatoos, inks, and cancer. Lancet Onol. 2012;13:161.168 DOI:10.1016/s1470-2045(11)70340-0
Nicolas JF, Thivolet J. EJD 20th Anniversary. Eur. J. Dermatol. 2011;21:3-4 DOI:10.1684/ejd.2011.1211
Cherkaoui El Baraka F, Kluger N, Ollivier I, Bourgoin R, Grossin M, et al. Melanoma dentro de los tatuajes: dos casos y una revisión sistémica de la literatura. Ann Dermatol Venereol. 2020 147:285-292. DOI:10.1016/j.annder.2019.10.024
Cohen PR, Erickson CP, Uebelhoer NS, Calame A. Tattoo associated basal cell carcinoma: coincidente o coincidence. Biomed. Hub. 2020; 5:508208. DOI:10.1159/000508208
Sarma DP, Dentlinger RB, Forystek AM, Stevens T, Huerter C. Poorly differentiated squamous cell carcinoma arising in tattooed skin. Case Rep Med. 2010;2010:1-3. DOI:10.1155/2010/431813
Pitarch G, Martínez-Menchón T, Martínez-Aparicio A, Sánchez-Carazo JL, Muñoz D, Fortea JM. Squamous cell carcinoma over tattoos. J Am Acad Dermatol. 2007;56:1072-1073. DOI:10.1016/j.jaad.2007.02.032
Gon AS, Minelli L, Meissner M. Keratoacanthoma in a tattoo. Dermatol Online J. 2009;15:7. DOI:10.5070/d3708608rr
Goldenberg G, Patel S, Patel MJ, Williford P, Sangueza O. Eruptive squamous cell carcinomas, keratoacanthoma type, arising in a multicolor tattoo. J Cutan Pathol. 2007;35:62-64.DOI:10.1111/j.1600-0560.2007. 00764.x
Ortiz A, Yamauchi PS. Rapidly growing squamous cell carcinoma from permanent makeup tattoo. J Am Acad Dermatol. 2009;60:1073-1074. DOI:10.1016/j. jaad.2008.11.902
Kluger N, Plantier F. Pseudo-epitheliomatous hyperplasia, keratoacanthoma, and squamous cell carcinoma occurring within tattoos: diagnostic issues. J Am Acad Dermatol. 2007;57:901-902. DOI:10.1016/j.jaad.2007.06.021
Kluger N, Cribier B. Keratoacanthomas and squamous cell carcinomas on tattoos: a review of 42 cases. Dermatology. 2021;237:309-312.DOI:10.1159/000509728
Sangueza OP, Yadav S, White CR, Braziel RM. Evolution of B-cell lymplhoma from pseudolymphoma. A multidisciplinary approach using histology, immunohistochemistry, and Southern blot analysis. Am J Dermatopathol. 1992;14:408-413. DOI:10.1097/00000372-199210000-00006
Baker PA, O’Dowd GJ, Khan IU. Dermatofibrosarcoma protuberans arising in a decorative tattoo. Sarcoma. 2005;9:37-41 DOI:10.1080/13577140500094289
West CC, Morritt AN, Pedelty L, Lam DG. Cutaneous leiomyosarcoma arising in a tattoo - “a tumour with no humour”. J Plast Reconstr Aesthet Surg. 2009;62:79-80 DOI:10.1016/j.bjps.2008.09.021
Balfour E, Olhoffer I, Leffell D, Handerson T. Massive pseudoepitheliomatous hyperplasia: an unusual reaction to a tattoo. Am J Dermatopathol 2003;25:338- 340. DOI:10.1097/00000372-200308000-00010
Swigost AJ, Peltola J, Jacobson-Dunlop E, Goldfarb N. Tattoo-related squamous proliferations: a spectrum of reactive hyperplasia. Clin Exp Dermatol. 2018;43:728-732. DOI:10.1111/ced.13559
Takai T. Advances in histopathological diagnosis of keratoacanthoma. J Dermatol. 2017;44:304-314. DOI:10.1111/1346-8138.13696
Weedon DD, Malo J, Brooks D, Williamson R. Squamous cell carcinoma arising in keratoacanthoma: a neglected phenomenon in the elderly. Am J Dermatopathol. 2010;32:423-426. DOI:10.1097/dad.0b013e3181c4340a
Sanchez YE, Simón P, Requena L, Ambrojo P, de Eusebio E. Solitary keratoacanthoma: a selfhealing proliferation that frequently becomes malignant. Am J Dermatopathol. 2000;22:305-310. DOI:10.1097/00000372-200008000-00002
Kwiek B, Schwartz RA. Keratoacanthoma (KA): an update and review. J Am Acad Dermatol. 2016;74:1220-1233. DOI:10.1016/j.jaad.2015.11.033
Piccolo V, Baroni A, Russo T, Schwartz RA. Ruocco’s immunocompromised cutaneous district. Int J Dermatol. 2015;55:135-141. DOI:10.1111/ijd.13086
Wolf R, Wolf D, Ruocco V, Ruocco E. Wolf’s isotopic response: The first attempt to introduce the concept of vulnerable areas in dermatology. Clin Dermatol. 2014;32:557-560. DOI:10.1016/j. clindermatol.2014.04.002
Caccavale S, Kannangara A, Ruocco E. The immunocompromised cutaneous district and the necessity of a new classification of its disparate causes. Indian J. Dermatol Venereol Leprol. 2016;82:227. DOI:10.4103/0378-6323.174422
Ruocco V, Ruocco E, Piccolo V, Brunetti G, Guerrera LP, Wolf R. The immunocompromised district in dermatology: A unifying pathogenic view of the regional immune dysregulation. Clin Dermatol.2014;32:569-576. DOI:10.1016/j.clindermatol.2014.04.004
Notas