Casos clínicos
Recaída de linfoma folicular de alto grado en tiroides
Relapse of high grade follicular lymphoma in thyroid
Recaída de linfoma folicular de alto grado en tiroides
Acta Médica Costarricense, vol. 64, núm. 3, pp. 43-49, 2022
Colegio de Médicos y Cirujanos de Costa Rica
Recepción: 11 Junio 2022
Aprobación: 09 Noviembre 2022
Resumen: El linfoma folicular de tiroides es una entidad rara que representa menos del 2% de los linfomas extranodales y cuyo principal factor de riesgo es la tiroiditis de Hashimoto. Suele afectar con mayor predisposición a pacientes adultos mayores, en los que con frecuencia se presenta como una masa de crecimiento rápido con compromiso de las estructuras adyacentes en el cuello. Sin embargo, dada su rara incidencia, esta patología debe ser sospechada por el clínico para un diagnóstico temprano oportuno. Aunque en la actualidad no existen guías de manejo estandarizadas para esta entidad, acostumbra tener buena respuesta a radioterapia y quimioterapia. El presente caso describe la historia de un paciente con una recaída de linfoma no Hodgkin de tipo folicular de alto grado localizado en tiroides que se presentó a urgencias con disfonía, parálisis bilateral de cuerdas vocales, cambio en el tono de la voz y disfagia, con el antecedente de un linfoma folicular de alto grado en localización retroperitoneal y en remisión luego de 8 ciclos de quimioterapia con rituximab, ciclofosfamida, doxorubicina, vincristina y prednisona, el cual presentó citorreducción luego del tratamiento con quimioterapia con el protocolo de rituximab, dexametasona, citarabina y cisplatino.
Descriptores (DeCS): Linfoma, glándula tiroides, linfoma folicular, recurrencia, adulto mayor, quimioterapia.
Abstract: Follicular thyroid lymphoma is a rare entity that represents less than 2% of extranodal lymphomas; and whose main risk factor is Hashimoto's thyroiditis. This tends to affect older adult patients with greater predisposition, where it usually presents as a rapidly growing mass with compromise of the adjacent structures in the neck. However, given its rare incidence, this pathology should be suspected by the clinician for an early diagnosis. Although there are currently no standardized management guidelines for this entity, it usually responds well to radiotherapy and chemotherapy. The present case describes the history of a patient with a relapse of high-grade follicular-type NHL located in the thyroid who presented to the emergency room with dysphonia, bilateral paralysis of the vocal cords, change in tone of voice and dysphagia, with the history of high-grade follicular lymphoma in retroperitoneal location in remission after 8 cycles of chemotherapy with Rituximab, Cyclophosphamide, Doxorubicin, Vincristine and Prednisone, which presented cytoreduction after treatment with chemotherapy with the protocol Rituximab, Dexamethasone, Cytarabine and Cisplatin.
Keywords: Lymphoma, Thyroid Gland, Recurrence, Lymphome folliculaire, Aged, Chemotherapy.
En los últimos años, los linfomas no Hodgkin (LNH) de tipo extranodal han demostrado una tendencia al aumento y han ocupado un porcentaje significativo localizados encabeza y cuello, donde pueden comprometer la tiroides.1-6 El linfoma de tiroides representa menos del 2% de linfomas extranodales y suele tener su origen en linfocitos B, siendo su principal factor de riesgo la tiroiditis de Hashimoto, y afectan con mayor frecuencia a pacientes del sexo femenino en la sexta o séptima década de vida.7 Las recaídas de LNH pueden presentarse en diferentes localizaciones a la del tumor inicial, y presentar un tipo histológico diferente al tumor inicial o convertirse de un linfoma indolente a un linfoma agresivo; esto es característico del linfoma folicular.8 Sin embargo, a la fecha no se han reportado casos de recaídas de linfoma folicular en tiroides.
Presentación de caso
Paciente masculino de 63 años se presentó a urgencias del centro médico naval con un tiempo de enfermedad de 3 meses caracterizado por disfonía, odinofagia, disfagia y debilidad muscular. Además, el paciente refería un cambio en el tono de su voz, indicando que esta se había vuelto más aguda. El paciente tenía antecedentes de linfoma no Hodgkin de tipo folicular de alto grado de localización retroperitoneal estadio IV en remisión, diagnosticado en 2017, por lo que recibió 8 ciclos quimioterapia de acuerdo con el protocolo R-CHOP hasta 2018.
Al ingreso, sus funciones vitales fueron: FC 70x', FR 18x', T 37 °C y PA 100/70 mmHg. Al examen físico, se encontró aumento de volumen en la región anterior del cuello, dolor a la palpación profunda en ambos bordes laterales del cuello y presencia de adenopatías cervicales en fosa supraclavicular izquierda.
Sus exámenes de laboratorio fueron: Hb 12.4 g/ dL, Hct 37%, VCM 89.2 fL, HCM 29.9 pg, CHCM 33.5 pg, plaquetas 179 10'3 cels/mm3, leucocitos 3.49 10'3/ mm3, abastonados 0%, segmentados 2.86%, linfocitos 17.0%, monocitos 1%, eosinófilos 0%, basófilos 0%, LDH 702 U/L, U 36.8 mg/dl, Cr 0.64 mg/dl, TGP 26.4 U/L, TGO 19.5 U/L, cloro 100.50 mmol/L, potasio 4.36 mmol/L, sodio 137.8 mmol/L, calcio 8.6 mg/dl, fosfatasa alcalina 91.9 U/L. Sus pruebas de función tiroidea se mostraron alteradas: T4L 1.03 ng/dL, TSH 11.40 uI/ml, anti-tiroglobulina 398.0 UI/ml, anti-TPO microsomal 85.8 IU/ml. Su panel inmunológico fue negativo para CMV, hepatitis B, hepatitis C, EBV, HIV y RPR.
La ecografía de tiroides reveló masas hipoecogénicas expansivas de contenido heterogéneo en ambos lóbulos tiroideos compatibles con una probable neoplasia de tiroides.

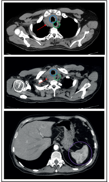
La tomografía computarizada con contraste (Figuras 1 A, B y C) mostró una masa sólida de 44x38 mm en el lóbulo tiroideo derecho que infiltraba la pared lateral del esófago y causaba estenosis de su lumen en un 80%, además demostró múltiples adenopatías cervicales en los grupos ganglionares II, IV y V bilaterales y adenopatías paratraquales inferiores. A nivel del parénquima pulmonar se observaron lesiones micronodulares de aspecto metastásico en ambos campos pulmonares. También se evidenció una fractura compresiva patológica a nivel del cuerpo vertebral T9 y una lesión nodular mal definida en el bazo, posiblemente metastásica.
Posterior a esto, se le practicó una laringoscopia que solo demostró un septum nasal desviado hacia la derecha. Las cuerdas vocales mostraron longitud y grosor conservado sin presencia de signos inflamatorios o deformación, pero mostraron parálisis bilateral en aducción, lo que levantó la sospecha de un probable compromiso de los nervios laríngeos recurrentes. Además, se realizó una punción aspirativa de la glándula tiroides con aguja fina que demostró la presencia de linfocitos atípicos consistentes con la presencia de linfoma no Hodgkin de probable origen tiroideo. A continuación, se realizó una biopsia por escisión de ganglio linfático supraclavicular izquierdo para estudio histopatológico, la cual demostró a nivel macroscópico una masa nodular de aspecto adiposo de dimensiones 2x1,5x1 y 2 cm de contenido pardo homogéneo. A nivel microscópico, se evidenció una imagen consistente con linfoma no Hodgkin de tipo folicular de alto grado 3B de origen en células B. La inmunohistoquímica demostró ACL (+), CD20 (+), CK20 (-), CD3 (-), CK7 (-), CD79a (+), CD10 (+), MUM-1 (+/-), c-myc (-), bcl-2(+) y BCL-6(+). El Ki67 mostró un índice de proliferación del 60% (Figuras 2 A, B, C y D).
Finalmente, se llegó al diagnóstico de linfoma folicular de alto grado de tiroides, de acuerdo con la clasificación de Ann Arbor para linfoma primario de tiroides; el paciente se encontraba en un estadio IIIE, presentaba factores de mal pronóstico dentro del índice pronóstico internacional de linfoma folicular (FLIPI), como son: edad mayor de 60 años, estadio clínico III, elevación de LDH por encima de su valor normal y niveles de hemoglobina menores de 12 g/ dL, con lo que sumó un puntaje de 4 correspondiente a un riesgo alto. Su ecocardiograma mostró una FEVI de 61% y el paciente fue considerado con alto riesgo de cardiotoxicidad por quimioterapia debido a su edad y a que había recibido quimioterapia previa, por lo que recomendaron control ecocardiográfico cada 2 ciclos de quimioterapia.

El paciente recibió 3 ciclos de quimioterapia con el esquema R-DHAP (rituximab, dexametasona, citarabina y cisplatino), con lo cual la masa demostró una reducción notable de tamaño con relación al inicio. Sin embargo, a pesar de la citorreducción del tumor, el paciente presentaba problemas para la deglución de sólidos y de líquidos, además de la persistencia de la disfonía y el tono agudo de la voz, por lo que se optó por la realización de una gastrostomía con fines alimentarios. En las 48 horas posteriores a la intervención, el paciente fue diagnosticado de una neumonía intrahospitalaria y falleció.
Discusión
El linfoma folicular es el tipo de linfoma indolente más frecuente dentro de los linfomas no Hodgkin y suele tener una evolución variable con múltiples recaídas y remisiones. Su pronóstico ha mejorado en los últimos años para estadios tempranos y avanzados de la enfermedad; sin embargo, existe un grupo significativo de pacientes que aún presenta recaídas. Estas pueden clasificarse en tempranas o tardías, según el tiempo de aparición. Las tempranas son las que ocurren durante los primeros 24 meses posteriores a la quimioterapia, así como de mal pronóstico y frecuencia, mientras que las tardías son las más frecuentes.7,8
El paciente del caso presentó una recaída luego de 4 años de remisión clínica; el linfoma reapareció en la tiroides, una localización diferente a la localización inicial. Ha de tenerse en cuenta que cuando un paciente se presenta con una recaída sistémica se considera la lesión de mayor tamaño como el punto de origen de la lesión, que en este caso fue la tiroides, por lo que se consideró como una recaída de linfoma primario de tiroides de tipo folicular de alto grado. Ha de mencionarse que las recaídas de linfoma folicular, tanto como su transformación maligna en un linfoma agresivo, casi siempre son clonalmente relacionadas al tumor primario.8,9
El linfoma de tiroides es un tipo del linfoma no Hodgkin extranodal, que representa menos del 5% de neoplasias de tiroides y cuenta con una incidencia anual de 2 por 1 millón de personas. Los subtipos más frecuentes de linfoma primario de tiroides son el difuso de células B grandes y el linfoma de tejido linfoide asociado a mucosas (MALT). Sin embargo, se han reportado otros subtipos menos frecuentes, como el folicular, linfocítico pequeño, linfoma de Burkitt, linfoma de células del manto, linfoma linfoblástico y linfoma de Hodgkin.6,10,11
Debe hacerse la diferenciación entre un linfoma primario de tiroides y uno secundario, pues ambos difieren significativamente en cuanto al pronóstico.11 Mientras que el linfoma primario se origina en la tiroides, el secundario es el resultado de infiltración metastásica de la glándula por un tumor extratiroideo.10,11 Debido a que el linfoma folicular raramente compromete la tiroides de manera secundaria, a la presentación clínica del caso y las pruebas de función tiroides, el paciente del caso fue diagnosticado con un linfoma primario de tiroides de tipo folicular.10 Sin embargo, no puede excluirse totalmente la posibilidad de una infiltración secundaria con origen en tejido linfoide.10,11
El principal factor de riesgo para el desarrollo de linfoma de tiroides es la tiroiditis de Hashimoto. Se cree que el mecanismo se debe a una estimulación antigénica constante, por exposición persistente de antígenos presentes en las células de la tiroides, lo que conllevaría a transformación maligna.6,10,11 El paciente del caso presentado no contaba con antecedentes de enfermedad tiroidea, su función tiroidea se hallaba alterada y mostraba hipotiroidismo subclínico y serología consistente con tiroiditis de Hashimoto, lo que reafirma el diagnóstico planteado. Debe tenerse en cuenta que la mayoría de los pacientes con linfoma de tiroides son eutiroideos durante la presentación; sin embargo, un 10% de estos podrían tener hipotiroidismo.6
Su presentación clínica más frecuente es como una masa cervical de crecimiento rápido que ejerce efecto de masa sobre las estructuras adyacentes, como en el caso del paciente, quien presentó disfagia, disfonía, cambio en el tono de la voz y parálisis de cuerdas vocales; así como también con la presencia de síntomas B que incluyen pérdida de peso, sudoración nocturna y fiebre. Por la presentación clínica del paciente, se infiere que la masa comprimió el nervio laríngeo superior y provocó disfonía y cambio en el tono de la voz del paciente; del mismo modo, una compresión en el nervio laríngeo recurrente explicaría la parálisis bilateral de cuerdas vocales.6,10,11
El diagnóstico de esta entidad suele hacerse mediante citología por aspiración con aguja fina y biopsia de tiroides o mediante tiroidectomía. La citología por aspiración con aguja fina tiene un rol importante en el diagnóstico; no obstante, tiene un valor diagnóstico limitado puesto que otras entidades, como la tiroiditis linfocítica y el carcinoma anaplásico de tiroides, pueden mostrar citología con características similares. Aun así, en el caso presentado, la presencia de linfocitos atípicos en la citología, aunad al antecedente de estar en un periodo de remisión de LNH folicular de alto grado en un estadio avanzado de enfermedad, sugería una posible recaída.11 En el caso presentado, el hospital no contaba con los medios para realizar una biopsia core de tiroides, por lo que se optó por la realización de una biopsia de un ganglio linfático cervical por motivos de accesibilidad y de un diagnóstico no invasivo.
Las recaídas de linfoma deben manejarse de acuerdo con el tipo histológico de linfoma, estadio de la enfermedad y tiempo en el que ocurre la recaída.12 Actualmente no existe un consenso estricto para el manejo de las recaídas de linfoma no Hodgkin, pues existe aún mucha variabilidad entre los ensayos clínicos y estudios realizados. Con todo, existen nuevas estrategias de manejo para las recaídas, dependiendo de si estas se presentan como enfermedad localizada o enfermedad avanzada. Muchos de estos enfoques se basan en terapias dirigidas con anticuerpos monoclonales, conjugados fármacoanticuerpo, radioinmunoterapia, inhibidores de vías de señalización celular y nuevos agentes quimioterapéuticos; no obstante, muchos de estos tratamientos en la actualidad no se encuentran disponibles en países en vías de desarrollo.8,12 La terapia de rescate para linfoma folicular en un estadio avanzado de enfermedad consiste en rituximab en monoterapia o en combinación con agentes alquilantes, inmunoterapia o radioterapia.8,12
Por otro lado, el manejo del linfoma primario de tiroides depende del tipo histológico y estadio de enfermedad. A la fecha no existen ensayos clínicos controlados aleatorizados que comparen la eficacia de los diferentes tipos de manejo. Aun así, los linfomas de tiroides son sensibles a la quimioterapia y a la radioterapia. No se recomienda cirugía para su manejo, pero esta puede indicarse en el manejo de emergencia de la vía aérea o con fines diagnósticos, debido al alto riesgo que conlleva su ejecución en estos pacientes.8,13
El paciente del caso presentaba un estadio avanzado de la enfermedad y un grado histológico altamente agresivo por lo que su manejo se reservó a un esquema basado en rituximab con quimioterapia.10
El estado nutricional es un aspecto importante en los pacientes con neoplasias de cabeza y cuello y, debido a la alta prevalencia de malnutrición en esta población, la cual oscila entre 35% y 60%, se han desarrollado estrategias para mejorar el estado nutricional de estos pacientes.14 Muchos estudios han demostrado la efectividad de la gastrostomía percutánea endoscópica en la prevención de la malnutrición en esta población.15 El paciente del caso presentaba una alteración en la motilidad del esófago secundaria a la compresión tumoral, debido a que, a pesar de haber experimentado una reducción en el tamaño de la masa, tenía dificultad para deglutir, razón por la cual se decidió realizar una gastrostomía percutánea.
A pesar de que las complicaciones de la gastrostomía son infrecuentes, nuestro paciente, debido a su condición de inmunosuprimido y a la presencia de comorbilidades, experimentó una neumonía aspirativa, lo que lo llevó a la muerte.15 Si bien en la actualidad no existe un consenso sobre el manejo del linfoma folicular de tiroides, estos responden óptimamente a la quimioterapia y radioterapia.
Referencias
Armitage JO, Gascoyne RD, Lunning MA, Cavalli F. Non-Hodgkin lymphoma. Lancet. 2017; 390:298- 310. DOI:10.1016/S0140-6736(16)32407-2
Bowzyk Al-Naeeb A, Ajithkumar T, Behan S, Hodson DJ. Non-Hodgkin lymphoma. BMJ. 2018;362:k3204. DOI:10.1136/bmj.k3204
Singh R, Shaik S, Negi B, Rajguru J, Patil P, Parihar A, et al. Non-Hodgkin's lymphoma: A review. J Fam Med Prim Care. 2020; 9:1834-1840. DOI: 10.4103/ jfmpc.jfmpc_1037_19
Szczepanek-Parulska E, Szkudlarek M, Majewski P, Breborowicz J, Ruchala M. Thyroid nodule as a first manifestation of Hodgkin lymphoma-report of two cases and literature review. Diagn Pathol. 2013; 116:1746-1596. DOI:10.1186/1746-1596-8-116
Das J, Ray S, Sen S, Chandy M. Extranodal involvement in lymphoma - A Pictorial Essay and Retrospective Analysis of 281 PET/CT studies. Asia Ocean J Nucl Med Biol. 2014;2:42-56. Disponible en: https://www.ncbi.nlm.nih.gov/pmc/articles/PMC4937711/
Stein SA, Wartofsky L. Primary Thyroid Lymphoma: A Clinical Review. J Clin Endocrinol Metab. 2013;98:3131-3138. DOI:10.1210/jc.2013-1428
Carbone A, Roulland S, Gloghini A, Younes A, von Keudell G, López-Guillermo A, et al. Follicular lymphoma. Nat Rev Dis Prim. 2019; 5:83. DOI:10.1038/s41572-019-0132-x
Matasar MJ, Luminari S, Barr PM, Barta SK, Danilov A V., Hill BT, et al. Follicular Lymphoma: Recent and Emerging Therapies, Treatment Strategies, and Remaining Unmet Needs. Oncologist. 2019; 24:e1236-1250. DOI:10.1634/theoncologist.2019-0138
Juskevicius D, Dirnhofer S, Tzankov A. Genetic background and evolution of relapses in aggressive B-cell lymphomas. Haematologica. 2017;102:1139-1149. DOI:10.3324/haematol.2016.151647
Bacon CM, Diss TC, Ye H, Liu H, Goatly A, Hamoudi R, et al. Follicular Lymphoma of the Thyroid Gland Am J Surg Pathol. 2009; 33:22-34. DOI: 10.1097/PAS.0b013e31817d7470
Peixoto R, Correia Pinto J, Soares V, Koch P, Taveira Gomes A. Primary thyroid lymphoma: A case report and review of the literature. Ann Med Surg. 2017;13:29-33. DOI:10.1016/j.amsu.2016.12.023
Chao M. Treatment challenges in the management of relapsed or refractory non-Hodgkin lymphoma - novel and emerging therapies. Cancer Manag Res.2013; 5:251-269. DOI:10.2147/CMAR.S34273
Walsh S, Lowery AJ, Evoy D, McDermott EW, Prichard RS. Thyroid Lymphoma: Recent Advances in Diagnosis and Optimal Management Strategies. Oncologist. 2013; 18:994-1003. DOI:10.1634/ theoncologist.2013-0036
Lang K, ElShafie RA, Akbaba S, Koschny R, Bougatf N, Bernhardt D, et al. Percutaneous Endoscopic Gastrostomy Tube Placement in Patients with Head and Neck Cancer Treated with Radiotherapy. Cancer Manag Res. 2020;12:127-136. DOI:10.2147/CMAR.S218432
Rahnemai-Azar AA. Percutaneous endoscopic gastrostomy: Indications, technique, complications and management. World J Gastroenterol. 2014;20:7739-7751. DOI: 10.3748/wjg.v20.i24.7739
Notas