Resumen: Un tricobezoar es una masa compacta de pelo que se aloja generalmente en el estómago. Es frecuente en mujeres jóvenes que comen su propio pelo (tricofagia) debido a trastornos psicológicos. Presentamos el caso de una adolescente de 13 años de edad quien es traída por emergencia por presentar dolor abdominal persistente desde hace 3 días. La ecografía abdominal fue sugestiva de tricobezoar, hallazgo que fue confirmado mediante una endoscopia digestiva alta. Desde hace dos años antes de su ingreso, presentaba, masticación de cabello y consumo del mismo que asocia a viaje de su hermano al extranjero y a la separación de sus padres. Al noveno día, se realizó laparotomía exploratoria con gastrostomía extrayendo tricobezoar gástrico, que en el estudio anatomopatológico pesó 1033,8 g y midió 31,5 x 18 cm. en sus dimensiones mayores. Estos casos son sumamente raros. En nuestro caso el tricobezoar alcanzó el tamaño más grande de los hasta ahora reportados. Contradictoriamente la sintomatología fue mínima.
Descriptores: Tricobezoares, Tricotilomanía, Bezoares, gástrico.
Abstract: A trichobezoar is a compact mass of hair that is usually stored in the stomach. It is common in young women who eat their own hair (trichophagia) due to psychological disorders. We present the case of a 13-year-old teenager who had been brought in an emergency for having persistent abdominal pain for 3 days. Abdominal ultrasound was suggestive of trichobezoar, a finding that was confirmed by upper gastrointestinal endoscopy. For two years before her admission, she had chewed her hair and consumed it, which she associated with her brother’s trip abroad and the separation of her parents. On the ninth day, an exploratory laparotomy with gastrostomy was performed, extracting gastric trichobezoar, which in the anatomopathological study weighed 1033.8 g. and measured 31.5 x 18 cm. in its larger dimensions. These cases are extremely rare. In our case, the trichobezoar reached the largest size of those reported so far. Contradictorily, the symptoms were minimal.
Keywords: Trichobezoars, Trichotillomania, Bezoars, gastric.
Casos clínicos
Tricobezoar gástrico gigante: reporte de un caso clínico-patológico
Giant gastric trichobezoar: a clinical-pathological case report
Recepción: 02 Noviembre 2022
Aprobación: 02 Marzo 2023
El bezoar es una masa constituida por alguna sustancia no digerible, de volumen variable, que se puede hallar en el estómago o el intestino de los animales. Hay varios tipos de bezoar, tanto orgánicos como inorgánicos.1 El término Bezoar proviene del dialecto árabe andalusí bazáhr y este del persa pâdzahr que significa antídoto. El término tricobezoar está constituido por una raíz griega y una árabe. La raíz griega es trico (pelo) y la raíz árabe, bazáhr (antídoto), ya que antiguamente los bezóares se usaban para contrarrestar los efectos de diversos tipos de veneno.2
El pelo está hecho de queratina dura.3 La queratina es una proteína que no puede ser digerida por el jugo gástrico del humano1,4y de algunos animales tampoco, como los gatos,5 cabras,6 entre otros2 en quienes no es raro observar que vomitan bolas de pelos. A la masa de pelos retenida en el estómago se denomina tricobezoar. Algunas personas tienen compulsión a comer los pelos a lo que se denomina tricofagia, que generalmente se asocia con tricotilomania.1 Existen varias maneras de corregir este problema, sin embargo, la cirugía parece ser la más segura.7
Nuestro objetivo es dar a conocer un raro caso de tricobezoar de enormes dimensiones en una paciente en edad pediátrica quien presentaba sintomatología mínima. Durante el estudio del caso se pudo determinar que tenía antecedentes de tricotilomanía y tricofagia secundaria a trastornos psicológicos de soporte familiar inadecuado.
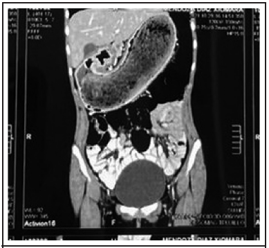
Mujer de 13 años de edad procedente de Moche, ocupación estudiante, grado de instrucción: 1º grado de secundaria. Rendimiento alto. Tres días antes del ingreso: paciente presenta dolor abdominal tipo cólico con intensidad 5/10 según Escala Visual Analógica (EVA), en región epigástrica sin irradiación. Dos días antes del ingreso: ante persistencia de dolor acude a médico particular quien le indica Tomografía Axial Computarizada (TAC) abdominopélvica y le administra metamizol 760 mg. endovenoso. El día del ingreso por emergencia acude con resultado de TAC abdominopélvica que informa “neumatosis gástrica con distensión de la cámara” (Figura 1) y con resultado de ecografía abdominal que informa: “formación hiperecogénica ocupante de cavidad gástrica hasta la región del antropíloro sugestivo de bezoar (tricobezoar)”. Se realizó: SARS-COV 2 (-) Grupo Sanguíneo O (+).

Desde hace 2 años antes de su ingreso, presenta episodios de pica (jabón), masticación de cabello y consumo del mismo con una frecuencia de una vez por semana aproximadamente que asocia a viaje de su hermano al extranjero (Barcelona), circunstancia en que sintió mucha tristeza y llanto. Desde hace un año, paciente nota presencia de “bulto” en región epigástrica. Además, episodios de dolor abdominal epigástrico leve (3/10 EVA) tipo cólico a predominio nocturno, de curso esporádico y resolución espontánea durante el último año.
Examen físico: Talla: 1,50 m, peso 38 kg, IMC: 16,8. Superficie corporal: 1,26 m2. Apreciación general: Aparente Regular Estado (ARE) General, ARE Nutricional, ARE Hidratación, ventilando espontáneamente. Funciones biológicas: conservadas.
Piel y faneras: palidez +/+++, llenado capilar < 2’’ Abdomen: globuloso, ruidos hidroaéreos presentes, timpánico, se palpa masa de consistencia dura en hemiabdomen superior levemente dolorosa de aproximadamente 10 x 12 cm.
Es hospitalizada para interconsultas. Dentro de las pruebas de laboratorio, es de resaltar una Hb: 6,2 g/dl, por lo que al tercer día de hospitalización se le transfunde una unidad de paquete de glóbulos rojos. Al 5to. día se le realiza endoscopia digestiva alta que informa: “Se observa un cuerpo extraño constituido por pelo que ocupa prácticamente toda la cavidad gástrica, lo que apenas permite examinar la cara posterior del cuerpo y antro proximal (mucosa normal), a ese nivel el tricobezoar ocupa prácticamente todo el lumen impidiendo seguir explorando distalmente” (Figura 2).

Las interconsultas a Cirugía pediátrica, Cirugía general y Gastroenterología coincidieron en el diagnóstico de tricobezoar. Psicología informó: madre refiere que su hija siempre ha sido una niña tranquila, responsable, es muy preocupada con las tareas de su colegio y quiere que todo sea perfecto. Hace 2 años su hermano mayor viajo a otra ciudad por trabajo y la menor empezó a arrancarse el cabello, pero con el tiempo fue disminuyendo. Hace un año, la madre se separó de su esposo y la paciente empezó nuevamente a jalarse el cabello y comerlo. La paciente refiere que cuando está preocupada o tensa se jala el cabello para disminuir el malestar y no pensar. Conclusiones: Tricotilomania, Ansiedad. Ausencia de hermano. Familia disfuncional. Psiquiatría informó: “Despierta, orientada, lenguaje coherente, no colaboradora, ansiedad, sentimiento de soledad, baja tolerancia a la frustración, tristeza, mal control de impulsos”. Diagnóstico: 1) Trastorno depresivo ansioso 2) Tricotilomanía.
Al 9no. día de hospitalización se realizó laparotomía exploratoria con gastrostomía y extracción de cuerpo extraño.
Hallazgos: Gran dilatación de cámara gástrica, conteniendo masa sólida que ocupa la totalidad de la luz. Tricobezoar gástrico de aproximadamente 40 x 30 cm.
Patología quirúrgica informó: Se recibe una masa elongada con aspecto de un “pepinillo” color negro con extremo en cayado (Figura 3), constituido por miríadas de pelos apelmazados formando una masa compacta, entremezclado con escasos residuos gástricos. Pesa 1033,8 g. y mide 31,5 x 18 cm en sus dimensiones mayores. En su curvatura mayor mide 49 cm. y en su curvatura menor 26 cm. La circunferencia mayor mide 21,5 cm y la menor 17 cm alcanzando 7 cm. de diámetro en un extremo y 5,7 cm. de diámetro en el extremo opuesto.

Este es el primer caso que se presenta en nuestro departamento de patología, que se inició hace 62 años, además que fue una masa de enorme tamaño que no se condice con la edad de la paciente.
Su incidencia se estima en 0,43% o menos entre pacientes sometidos a una endoscopia.8 Dentro de los bezoars, el tricobezoar, es el más frecuente y ocurre en el 90% de los casos, en el sexo femenino. El 80% de éstos curre en menores de 30 años.9 La edad de nuestra paciente correspondió al grupo etario en que más frecuentemente se presenta este cuerpo extraño, que es entre los 10 y 19 años.5 “El 50% aproximadamente de las pacientes presenta trastornos psicológicos que van desde la ansiedad hasta el retraso mental”.10 La tricotilomania se presenta en uno de cada 2000 niños.11 De éstos sólo el 30% desarrollan tricofagia y de éstos, sólo 1% formará un tricobezoar que requiera extracción quirúrgica.10,12
Entre los factores que dan lugar a su “formación está la longitud del cabello, la cantidad deglutida, la motilidad intestinal disminuida”,10 alteraciones en la secreción gástrica y la presencia de abundante grasa en la dieta.10,12Se hipotetiza que el pelo es atrapado en los pliegues de la mucosa gástrica, lo que hace que el peristaltismo resulte insuficiente para hacer avanzar el filamento de pelo.10,12 Se ha observado que el cabello “siempre esta negro independientemente del color original”, lo cual se explicaría por “la desnaturalización de las proteínas por parte del jugo gástrico”.12
“Las manifestaciones clínicas del tricobezoar son inespecíficas, se puede presentar: saciedad precoz, hiporexia, náuseas y vómito (64%), pérdida de peso (38%), diarrea o constipación (32%), halitosis por la putrefacción del material en el estómago, masa móvil en epigastrio (70%), dolor abdominal (5%)”.10 De éstos, nuestra paciente sólo presentó dolor abdominal y anemia microcítica hipocrómica (ferropénica), también reportada en otros casos.5
“Es imposible el diagnóstico con una radiografía simple, ya que los bezoares no son radiopacos; se pueden observar como una imagen heterogénea moteada que podría ser confundida con un estómago lleno. En el ultrasonido se destaca una banda aumentada de ecogenicidad en la región de estómago con pérdida completa de los ecos posteriores. Mediante la TAC con contraste es posible realizar el diagnóstico en el 97% de los casos (como en nuestro caso), en donde se puede observar un defecto de llenado”.10,12 La endoscopia fue determinante ya que permitió saber la naturaleza del cuerpo extraño.10,12 Las complicaciones más comunes son: erosión de la mucosa gástrica, ulceración, perforación, obstrucción, intususcepción, ictericia obstructiva, enteropatía por pérdida de proteínas, pancreatitis y muerte.13 Dada la enorme masa compacta que ocupaba toda la cavidad gástrica, el tratamiento necesitaba ser netamente quirúrgico, lo cual se hizo mediante incisión mediana supraumbilical que tuvo que ampliarse a infraumbilical. “Aunado al tratamiento quirúrgico, los pacientes deben iniciar también manejo psiquiátrico para el trastorno asociado” de ansiedad o depresión y “para disminuir el riesgo de recurrencia, sugiriendo su control hasta la estabilización psicológica”.10
Según el DSM-5, (Asociación Americana de Psiquiatría. Guía de consulta de los criterios diagnósticos del DSM 5. Arlington, VA, 2013. [accesado 18-01-2023]. Disponible en: https://www.eafit.edu.co/ninos/reddelaspreguntas/Documents/dsm-v-guia-consulta-manualdiagnostico-estadistico-transtornos-mentales.pdf), la tricotilomanía es un trastorno obsesivo - compulsivo. Este es un dato muy útil que orientaría al diagnóstico, sin embargo, la mayoría niega o minimiza este hábito.14 En nuestra paciente, fue la madre quien puso en evidencia el comportamiento compulsivo de su hija. Nuestra paciente presentaba ansiedad, depresión y tristeza por ausencia de su hermano y luego por la separación de sus padres. Esto indudablemente disparó el comienzo de la tricotilomania. La paciente refirió que cuando estaba preocupada o tensa se jalaba el cabello para disminuir el malestar y no pensar.
“En la población general, la prevalencia anual estimada para la tricotilomanía en los adultos y los adolescentes está entre el 1 y 2%. Las mujeres se ven afectadas con mayor frecuencia que los varones, en una proporción de aproximadamente 10:1”.14
En nuestra paciente el tratamiento psicológico post quirúrgico se hizo en 9 sesiones con la técnica cognitivo-conductual, considerada actualmente como la más efectiva.15 Después de lo cual fue dada de alta mejorada, pero con riesgo de reincidencia cuando se siente sola o cuando la comparan con sus primas.
Finalmente, estos casos son sumamente raros. En nuestro caso, el tricobezoar alcanzó el tamaño más grande de los hasta ahora reportados. Contradictoriamente la sintomatología fue mínima. Es de notar que, la endoscopia fue la herramienta de mayor utilidad diagnóstica. Su asociación con trastornos psiquiátricos o psicológicos, hacen imperativo el tratamiento psicológico postquirúrgico a fin de prevenir recurrencias.


