Caso Clínico
Necrosis avascular de la cabeza del fémur en un paciente pediátrico con drepanocitosis: a propósito de un caso
Avascular necrosis of the femoral head in a sickle cell disease pediatric patient: case report
Necrosis avascular de la cabeza del fémur en un paciente pediátrico con drepanocitosis: a propósito de un caso
Acta Médica Costarricense, vol. 65, no. 3, pp. 155-159, 2023
Colegio de Médicos y Cirujanos de Costa Rica
Received: 26 August 2023
Accepted: 10 November 2023
Resumen: La drepanocitosis o anemia de células falciformes es una hemoglobinopatía hereditaria que se transmite de forma autosómica recesiva, la cual está asociada con episodios de dolor agudo y daño progresivo a órganos blanco que producen un gran impacto en la esperanza y la calidad de vida de quienes la padecen. La necrosis avascular de la cabeza del fémur es una complicación bien conocida en los pacientes con drepanocitosis presente hasta en un 25 % de los pacientes adultos y tanto en un 12 % de los pacientes pediátricos. A continuación, se presenta el caso de un paciente masculino de 9 años con drepanocitosis, quien en cita de control refirió 15 días de coxalgia y claudicación de la marcha. Tras realizar estudios radiológicos se documentó una necrosis avascular de la cabeza del fémur, convirtiéndose de esta manera en el primer caso documentado en el Hospital Nacional de Niños de Costa Rica de un paciente pediátrico con una necrosis avascular de la cadera del fémur como complicación de su drepanocitosis.
Descriptores: Drepanocitosis, necrosis avascular de la cabeza del fémur.
Abstract: Sickle cell disease is an autosomic recessive hereditary hemoglobin disorder, associated with episodes of acute pain and progressive organ damage with great impact on a patient’s life expectancy and quality of life. Avascular necrosis of the femoral head is a well-known complication of sickle cell disease affecting almost 25% of adult patients and just in 12% of pediatric patients. Below is the case of a 9-year-old male patient with sickle cell disease, who on a control appointment reported 15 days of hip pain and gait claudication. After performing radiological studies, avascular necrosis of the femoral head was diagnosed, becoming the first case documented at the National Children Hospital of Costa Rica of avascular necrosis of the femoral head as a complication in a pediatric patient with sickle cell disease.
Keywords: Sickle cell disease, avascular necrosis of the femoral head.
La drepanocitosis o anemia de células falciformes es una anemia hereditaria producto de la mutación de un único nucleótido en el gen que codifica para la producción de la beta globina, específicamente en el sexto aminoácido de la beta globina, cambiando una adenina por una timina, lo que se traduce en un cambio en la expresión de dicho codón, donde una glutamina es reemplazada por una valina, produciéndose así una hemoglobina funcionalmente defectuosa llamada Hemoglobina S (Hb S). Cuando esta mutación se hereda de forma homocigota (Hemoglobina SS) o de forma doble heterocigota, es decir, asociada con otras variantes en el gen de la beta globina, por ejemplo, hemoglobina SC, SB0 o SB+, se desarrolla la enfermedad.1,2
La Hb S desoxigenada tiende a polimerizarse produciendo glóbulos rojos con forma de hoz o drepanocitos, los cuales son más frágiles, rígidos y, por lo tanto, más susceptibles a la hemólisis. Esta polimerización se da en mayor medida en estados de deshidratación y acidosis; y en menor medida en la presencia de Hemoglobina Fetal (Hb F) o cuando se ha coheredado con alfa talasemia. La polimerización de la Hb S está asociada no solo con anemia hemolítica crónica sino también con los fenómenos vaso oclusivos.1
La osteonecrosis es una complicación común en la drepanocitosis, se desarrolla cuando los drepanocitos, que son anormalmente adherentes, impiden el flujo sanguíneo causando infartos óseos. A pesar de que esto puede suceder en múltiples sitios, la necrosis avascular de la cabeza del fémur (NAVCF) suele ser el más frecuente, ya que la cabeza femoral carece de circulación colateral y, por ende, es más vulnerable al daño vascular.3, 4
A continuación, se presenta el caso del primer paciente pediátrico que se documenta en el Hospital Nacional de Niños de la Caja Costarricense de Seguro Social con drepanocitosis y dolor en cadera causado por NAVCF.
Presentación del caso
Paciente masculino de 11 años, conocido drepanocítico, en control desde los 6 meses de edad, en el tamizaje neonatal con diagnóstico probable de drepanocitosis y posteriormente al año de edad con electroforesis de hemoglobina confirmatoria, con patrón electroforético SS/F, morfología con hipocromía (2+), anisocitosis (3+) dada por macrocitos, microcitos y esferocitos. Macrocitos con basofília difusa (2+). Poiquilocitosis (3+) dado por esquistocitos y drepanocitos. Codocitos (2+). Ambos padres con patrón electroforético AS. Tuvo su primera crisis vaso oclusiva a los veintidós meses de edad. Se le inició hidroxiurea a los 4 años y 3 meses y a los 4 años y 7 meses se inicia esquema de transfusión mensual por ultrasonidos doppler transcraneales (US DTC) alterados e historia de cefalea. En el primer US DTC se documentó aumento patológico de la velocidad sistólica promedio con aumento de la resistencia y en el US DTC control, 1 mes después, con mayor resistencia y turbulencias en circulación posterior.
Durante el tiempo que estuvo con transfusiones mensuales se suspende la hidroxiurea. Finalmente, el programa de transfusión mensual se suspende a los 6 años ante resolución de los síntomas y normalización del US DTC y se reinicia hidroxiurea. Posteriormente, después de un cuadro de dolor torácico por el cual estuvo internado 4 días se decide ingresar al programa de eritroaféresis, en el cual permanece por 7 meses y es retirado por no cumplir criterios. Desde entonces su manejo sigue siendo con hidroxiurea. No tiene complicaciones oftalmológicas ni cardiacas derivadas de su enfermedad.
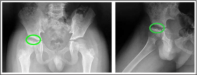
A los 9 años, en cita de control, menciona tener 15 días de evolución de claudicación a la marcha y dolor en cadera derecha, al examen físico se encuentra limitación funcional y dolor a la exploración, y por radiografías convencionales de cadera se evidencia necrosis del 30 % de la cabeza del fémur (figura 1). Ortopedia considera que no requiere manejo quirúrgico en ese momento y se le da manejo conservador. El manejo inicial se da con analgesia con ibuprofeno y transfusión de glóbulos rojos empacados. En radiografía de control 5 meses después ya se encuentra en etapa de remodelación. (figura 2)
Actualmente el paciente no tiene dolor. En la última radiografía, tras año y medio de su diagnóstico (figura 3), no ha presentado más crisis vaso oclusivas y se encuentra sin limitación funcional.
Necrosis avascular de la cabeza del fémur en drepanocitosis



Discusión
La drepanocitosis se caracteriza por hipercoagulabilidad, menor vida media de los hematíes y ha sido considerada, en muchas ocasiones, una enfermedad vascular debido a la gran cantidad de manifestaciones vasculares crónicas que presentan quienes la padecen, entre ellas úlceras, accidentes vasculares cerebrales, síndrome torácico agudo, retinopatía, infartos esplénicos, priapismo, insuficiencia renal, hipertensión pulmonar y el motivo de esta publicación, la NAVCF.5
La causa más común de hospitalización de un paciente con drepanocitosis es el dolor y su incidencia está relacionada con la presencia de conteos altos de leucocitos, bajo nivel de Hb F y alto nivel de hematocrito. Por lo general, los pacientes con Hb SC y Hb SB+ presentan menos episodios de dolor que aquellos con Hb SS y Hb SB0; sin embargo, todos los pacientes son diferentes y la forma en cómo se comporten puede diferir a lo que esta esperado según la literatura para su genotipo.1 En el caso de la NAVCF, muchos son los factores predisponentes que se han señalado y pareciera ser que el más consistente entre los diversos estudios son las crisis vasooclusivas frecuentes y severas.6
La NAVCF se produce posterior a un periodo de isquemia, en el caso de los pacientes con drepanocitosis esta isquemia es secundaria a la oclusión de los vasos sanguíneos que se produce cuando los eritrocitos, que en condiciones normales son bicóncavos, cambian su forma a drepanocitos y esta forma de hoz los hace más susceptibles a la adhesión entre ellos mismos y a las paredes endoteliales con el consecuente detenimiento del flujo sanguíneo.4 Una vez que el infarto sucede, si el flujo sanguíneo no se logra restablecer rápidamente, se da la necrosis y esta se caracteriza por apoptosis de las células del hueso, por lo cual este colapsa y se provoca un aplanamiento de la cabeza femoral. Secundariamente a este proceso, se puede desarrollar una osteoartritis, sin embargo, en niños, la mayoría del cartílago tiene propiedades de crecimiento y, gracias a la gran capacidad de regeneración que poseen, entre más pequeño sea el niño hay más potencial para regenerarse y recuperar la forma de la cabeza femoral y su tamaño, evitando así el desarrollo de una artritis secundaria.7 Los mecanismos fisiopatológicos por los cuales se da este proceso en los pacientes con drepanocitosis no se conocen del todo, no obstante, es una complicación conocida en dichos pacientes con una prevalencia que va entre el 3.2 % y el 26.7 %, independientemente del genotipo de la drepanocitosis, ya sea SS o SC.3, 4, 8, 9 En la población pediátrica está descrita en hasta un 12 % de los casos.10
La necrosis de la cabeza femoral puede presentarse tan temprano como a la edad de 5 años, y su incidencia aumenta con los años, siendo el pico máximo en los adultos jóvenes; algunos estudios han encontrado que en pacientes con genotipo SC y SB+ tiende a presentarse más tardíamente, a pesar de esto, hay quienes dicen que para la edad de 35 años el 50 % de los pacientes con drepanocitosis ya ha tenido algún grado de NAVCF y puede progresar en una gran parte de los casos hasta el colapso de esta, destruyendo la articulación por completo y requiriendo un reemplazo total de cadera. En niños y adultos jóvenes es primordial un diagnóstico temprano que colabore con la preservación de la articulación, especialmente porque la literatura ha reportado una alta incidencia de fracaso en el reemplazo de cadera en pacientes con drepanocitosis (hasta un 50 % a 5 años plazo), así como una mayor necesidad de reintervenir al paciente para revisiones. 3, 4, 8, 9
Histológicamente, al tomar una biopsia es usual observar el hueso esponjoso bien organizado y trabéculas reparables en la parte proximal de la biopsia que corresponde con la necrosis cefálica del hueso. La parte distal contiene trabéculas delgadas, menos organizadas, frágiles y distorsionadas por el proceso de toma de la biopsia.11
El tratamiento de la NAVCF es largo y complejo, a menudo requiere de cirugía y casi siempre culmina con la limitación funcional de la articulación en menor o mayor grado y dolor crónico, lo cual repercute negativamente en el estado de salud, la calidad de vida y el estado emocional de quienes la padecen. Estudios han demostrado que los pacientes pediátricos y adolescentes con NAVCF tienen puntajes significativamente disminuidos en las escalas de funcionamiento físico y de rendimiento escolar, el puntaje obtenido en la escala de funcionamiento físico está directamente influenciado por la presencia de drepanocitosis, necrosis avascular de la cabeza del fémur bilateral y mayor disfunción articular, siendo el dolor el síntoma que más puntos baja en las escalas de funcionamiento físico y es esta disfunción física la que disminuye la calidad de vida de nuestros pacientes.10
El tratamiento de la NAVCF es aún controversial, no hay consenso internacional ni guías de tratamiento basadas en la evidencia. Los tratamientos más comunes incluyen la descompresión quirúrgica y la terapia física.12 En los pacientes pediátricos, como el mencionado anteriormente, la capacidad de regeneración es mayor y por lo tanto dependiendo del grado de necrosis que exista se puede evitar la cirugía, de hecho, en este paciente con apenas un 30 % de necrosis la cirugía no fue necesaria. Está comprobado que el tratar de descomprimir quirúrgicamente el aplastamiento de la cabeza del fémur que se da, a pesar de aliviar el dolor más tempranamente, acelera la fase regenerativa de la zona necrótica con el consecuente colapso articular a una edad más temprana, convirtiéndose así el tratamiento conservador en el tratamiento de elección en estos casos.7
El manejo de la drepanocitosis ha ido mejorando con el transcurso de los años, el uso de profilaxis antibiótica aunado a un esquema de vacunas completo han sido los responsables de disminuir importantemente la mortalidad temprana de estos pacientes debido a infecciones. Sin embargo, el manejo de las crisis de dolor y la prevención del daño a órgano blanco aún representan un reto. La hidroxiurea se mantiene aún como la única terapia disponible capaz de modificar el curso de la enfermedad y el reciente cambio en su introducción al esquema de tratamiento a una edad temprana de 9 meses promete una mejor calidad de vida para nuestros pacientes, con menos complicaciones y secuelas. Actualmente se está estudiando el uso bifosfonatos, específicamente ácido zolendrónico, en modelos de ratones con Hb SS, con resultados positivos en cuanto a la pérdida ósea y al retorno de la fisiología normal del hueso, tratamiento que impresiona ser prometedor para estos pacientes que cada vez tienen una mayor esperanza de vida, no obstante, el trasplante de médula ósea sigue siendo el único tratamiento curativo y su disponibilidad en países de bajos recursos es limitada.1,3
Referencias
Amid A, Odame I. Improving outcomes in children with sickle cell disease: treatment considerations and strategies. Paediatric drugs. 2014; 16:255-266. DOI: 10.1007/s40272-014-0074-4
Strouse J. Sickle cell disease. Handb Clin Neurol. 2016; 138:311- 324. DOI: 10.1016/B978-0-12-802973-2.00018-5
Adesina O, Brunson A, Keegan THM, Wun T. Osteonecrosis of the femoral head in sickle cell disease: prevalence, comorbidities, and surgical outcomes in California. Blood Adv. 2017; 1:1287-1295. DOI: 10.1182/bloodadvances.2017005256
Sanders WJ. A rare case of avascular necrosis in sickle cell trait: a case report. BMC hematol. 2018; 18:5. DOI:10.1186/s12878-018-0098-z
Lakkakula B. Association between MTHFR 677C>T polymorphism and vascular complications in sickle cell disease: A metaanalysis. Trans Clin Biol. 2019; 26:284-288 DOI: 10.1016/j. tracli.2019.01.003
Adekile AD, Gupta R, Al-Khayat A, Mohammed A, Atyani S, Thomas D. Risk of avascular necrosis of the femoral head in children with sickle cell disease on hydroxyurea: MRI evaluation. Pediatr Blood Cancer. 2019; 66:e27503. DOI: 10.1002/pbc.27503
Guerado E, Caso E. The physiopathology of avascular necrosis of the femoral head: an update. Injury. 2016; 47:S16-s26. DOI:10.1016/S0020-1383(16)30835-X
Akinyoola AL, Adediran IA, Asaleye CM, Bolarinwa AR. Risk factors for osteonecrosis of the femoral head in patients with sickle cell disease. Int orthop. 2009; 33:923-926. DOI: 10.1007/s00264-008-0584-1
Worrall D, Smith-Whitley K, Wells L. Hemoglobin to hematocrit ratio: the strongest predictor of femoral head osteonecrosis in children with sickle cell disease. J Pediatr Orthop. 2016; 36:139-144. DOI: 10.1097/BPO.0000000000000409
Matos MA, Silva L, Alves GB, de Alcantara WSJ, Veiga D. Necrosis of the femoral head and health-related quality of life of children and adolescents. Acta Ortop Bras. 2018; 26:227-230. DOI: 10.1590/1413-785220182604174253
Mukisi-Mukaza M, Gomez-Brouchet A, Donkerwolcke M, Hinsenkamp M, Burny F. Histopathology of aseptic necrosis of the femoral head in sickle cell disease. Int Orthop. 2011; 35:1145- 1450. DOI: 10.1007/s00264-010-1121-6
Itzep NP, Jadhav SP, Kanne CK, Sheehan VA. Spontaneous healing of avascular necrosis of the femoral head in sickle cell disease. Am J Hematol. 2019; 94:E160-e2. DOI: 10.1002/ajh.25453
Abreviaturas:
Fuentes de apoyo:
Conflicto de interés: