Imágen Médica
Absceso Retrofaríngeo diagnosticado por Tomografía Computada
Computed Tomography Diagnosed Retropharyngeal Abscess
Absceso Retrofaríngeo diagnosticado por Tomografía Computada
Gaceta Médica Boliviana, vol. 42, núm. 2, pp. 206-207, 2019
Universidad Mayor de San Simón

Recepción: 10 Septiembre 2019
Aprobación: 27 Septiembre 2019

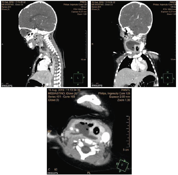
Descripción
A nivel de cuello derecho predominantemente suprahioideo con extensión infrahioideo en compartimiento carotídeo y retrofaríngeo ipsilateral existe la presencia de colección abscedada con cápsula semigruesa definida captante de contraste, de 42x20x48 mm de tamaño en sus diámetros longitudinal, anteroposterior y transversal respectivamente, con contenido líquido con burbujas de aire en su interior. Además, presenta sutil infiltración de la grasa mediastínica superior y datos de mediastinitis. Presentó focos múltiples de condensación en relación a neumonía multifocal, probablemente por broncoaspiración.
Notas de autor
Enlace alternativo