Casos clinicos
Mixoma auricular derecho en la infancia
Right atrium myxoma in chilhood
Mixoma auricular derecho en la infancia
Gaceta Médica Boliviana, vol. 43, núm. 1, pp. 103-106, 2020
Universidad Mayor de San Simón

Recepción: 23 Enero 2020
Aprobación: 12 Marzo 2020
Resumen: Los tumores cardíacos primarios son poco frecuentes y representan solo el 5% de todos los tumores cardíacos. El 75% de estos tumores son benignos, y el mixoma es el tumor benigno más común en el adulto (50%). La mayoría de los mixomas cardíacos se localizan en la aurícula izquierda, solo el 18-20% se localizan en la aurícula derecha, y es aún más infrecuente la aparición de un tumor bilobulado, los signos y síntomas con los que se presentan son inespecíficos y varían de acuerdo a su comportamiento. Presentamos un caso con estas características en una paciente escolar de 9 años de edad que ingresó al Hospital del Niño Manuel Ascencio Villarroel
Palabras clave: mixoma, tumor cardiaco, aurícula derecha.
Abstract: Primary cardiac tumors are rare and represent only 5% of all cardiac tumors. 75% of these tumors are benign, and myxoma is the most common benign tumor in adults (50%). Most cardiac myxomas are located in the left atrium, only 18-20% are located in the right atrium, and the appearance of a bilobed tumor is even more infrequent, the signs and symptoms with which they occur are nonspecific and they vary according to their behavior. We present a case with these characteristics in a 9-year-old school patient who was admitted to Manuel Ascencio Villarroel Children?s Hospital.
Keywords: myxoma, cardiac tumor, right atrium.
Los tumores cardíacos primarios son poco frecuentes, la mayoría son benignos, los mixomas son los tumores cardíacos más frecuentes 2 y representan el 50% de estos 1, 2.
Los mixomas pueden permanecer asintomáticos durante mucho tiempo, pero una vez diagnosticados deben ser extirpados 2.
Se expone el caso de una paciente que presentó un mixoma auricular derecho lobulado, con implantación en aurícula derecha que prolapsa en forma intermitente hacia la cavidad ventricular derecha y que fue intervenida quirúrgicamente. El propósito de este estudio es analizar la forma de presentación clínica, las características anatomopatológicas, los resultados posperatorios tras la resección quirúrgica de mixoma auricular derecho.
Presentación del caso
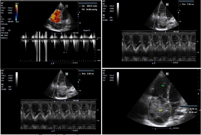
Paciente femenina escolar de 9 años de edad sin antecedentes patológicos personales, se encontraba asintomática hasta aproximadamente un día previo a su ingreso, decide ir a consulta médica cuando inicia cuadro de dolor abdominal de inicio en región epigastrio que se irradia a región lumbar de moderada a gran intensidad, tipo pungitivo continuo, acompañado de alzas térmicas cuantificadas de 38°C y un cuadro clínico persistente e incremento del dolor en región de flanco derecho, anorexia, tos no productiva, no cianotizante y no emetizante. Presenta hallazgos patológicos al examen físico, en relación al aspecto respiratorio se evidencia leve retracción supraesternal, campos pulmonares se ausculta crépitos aislados en región subescapular derecho. En relación al aspecto cardiovascular; taquicárdica con frecuencia cardiaca de 128 lpm, presión arterial 100/70 mmHg, a la auscultación con soplo sistólico audible en los 4 focos de auscultación con intensidad II/VI. Exámenes complementarios con hemograma que reporta leucocitos de 11,900 mm 3 a expensas de segmentados 84%, hemoglobina de 15 g/dl y hematocrito 45,3%; pCr de 61mg/dL, gasometría arterial con acidosis metabólica compensada pH: 7,49; pCO2: 20,1; pO2: 89,4; HCO3 13; radiografía de tórax donde presenta infiltrados alveolares basal derecho y cisuritis, sugerente de proceso neumónico basal derecho. Se realiza ecografía abdominal que reporta hallazgo compatible en primer término con endocarditis bacteriana sin descartar tumor auricular (mixoma), hígado con discreto refuerzo periportal, vesícula con presencia de microlitiasis biliar, neumonía basal del lóbulo inferior derecho. Se indica cobertura antibiótica, por sospecha de tromboembolismo pulmonar inician enoxaparina y solicitan dímero D que reporta 4763. Se solicita ecocardiograma ( Figura 1) que reporta crecimiento de cavidad derecha, masa heterogénea móvil de 8,5 x 6 cm a nivel de la aurícula derecha que prolapsa en forma intermitente hacia la cavidad ventricular compatible con mixoma, índice cardiotorácico de 0,6 mm e hipertensión pulmonar leve a moderado.

Es valorada por cirujano cardiovascular que realiza el abordaje diagnóstico, solicita una TAC general para descartar posibles diseminaciones. Basándose en los datos obtenidos, en primera instancia se decide tratar la neumonía basal, a su alta médica por neumología se programa intervención quirúrgica bajo circulación extracorpórea, se realiza auriculotomía derecha y se observa una gran masa de color rojizo pardo que ocupa gran parte de la aurícula derecha, bilobulada, con el segundo lóbulo de aspecto amarillento, móvil, que penetraba en el ventrículo derecho a través de la válvula tricúspide ( Figura 2), con implantación en el tabique interauricular.

Se realizó resección de la masa, con inclusión del segmento del tabique donde se implantaba y parte de la pared posterior de la aurícula izquierda donde infiltraba el tumor, se reparó el defecto restante de la pared posterior de la aurícula izquierda con sutura directa y se reconstruyó el septum interauricular con parche de pericardio ( Figura 3). La paciente fue traslada a sala de Terapia Intensiva con recuperación posquirúrgica favorable, siendo dada de alta en buenas condiciones.

Discusión
Los tumores cardíacos primarios son poco frecuentes y representan solo el 5% de todos los tumores cardíacos; el restante 95% corresponde a tumores secundarios o metastásicos. De los tumores cardíacos primarios, el 75% son benignos, y de estos, el 50% son mixomas, convirtiendo al mixoma en el tumor más común en adultos (y el tercer más común en pacientes pediátricos, con 10% de incidencia); la otra mitad corresponde a lipomas, rabdomiomas, fibroelastomas y otras variedades más raras 1, 2, 3.
Macroscópicamente estos tumores suelen ser polipoides, pediculados, raramente sésiles, de consistencia blanda y gelatinosa, de tamaño variable, habitualmente entre 5 y 6 cm. Histológicamente se caracterizan por tener una matriz mixoide, con células poligonales típicas con un citoplasma eosinofílico. En tan sólo un 10% de los casos se observan focos de calcificación 4.
Si bien se ha comunicado la presencia de los mismos en neonatos, y los rangos de edad llegan hasta personas de 95 años, son más frecuentes entre los 30 y los 70 años. Parece haber un pequeño predominio femenino 5, 6.
Los mixomas pueden permanecer asintomáticos durante mucho tiempo, pero una vez diagnosticados deben ser extirpados y en algunas situaciones, embolia pulmonar o sistémica, episodios sincopales o evidencia ecocardiográfica de masas multilobulares, la cirugía se debe llevar a cabo con premura.
La mayoría de los pacientes se presentan con al menos una característica de la triada clásica que incluye: obstrucción cardíaca, síntomas constitucionales y eventos embólicos. El tamaño, los cambios posturales y la localización de los mixomas determinan las manifestaciones clínicas 9, 11.
Habitualmente hay un solo tumor (aunque se han descrito mixomas múltiples que afectan más de una cámara cardíaca), y frecuentemente son pediculados. Pueden ser esporádicos (>90%), recurrentes o presentarse asociados a otras manifestaciones clínicas, como en el síndrome de Carney. En el 75-86% de los casos se localizan en la aurícula izquierd 6, 7, 11.
En nuestro paciente el mixoma se encontraba situado en el septum interauricular en la aurícula derecha, infiltrando el mismo y prolapsando al ventrículo derecho.
Los mixomas de la aurícula derecha, en particular, pueden obstruir la válvula tricúspide, causando síntomas de insuficiencia cardíaca derecha, edema periférico, congestión hepática o muerte súbita, la cual ha sido reportada como más común entre los pacientes con mixomas auriculares derechos que protruyen a través de la válvula tricúspide, como es el caso de nuestro paciente 10, 13.
La embolia sistémica pueden sufrirla el 25-50% de los pacientes que presentan mixomas del lado izquierdo del corazón y más de la mitad de los émbolos se dirigen el sistema nervioso central, incluyendo la retina. En el 30% de estos pacientes las manifestaciones neurológicas aparecen antes que el resto de la sintomatología 7.
En 1959 se realizó el primer diagnóstico ecocardiográfico por modo M. La ecocardiografía es la herramienta diagnóstica de elección, pero con ella es imposible definir con certeza el tipo de tumor, así como si es un tumor o un trombo. Sin embargo, se puede definir el tamaño, la fijación, la movilidad y el prolapso de la masa a través de las válvulas cardíacas. La sensibilidad para diagnosticar el mixoma de la ecografía transtorácica es de aproximadamente el 95%, pudiendo llegar cerca del 100% con la ecografía transesofágica 7, 11.
El tratamiento de elección de los tumores cardíacos, en especial de los mixomas, es el quirúrgico. La primera resección quirúrgica de un mixoma auricular izquierdo fue descrita por Clarence Crafford en 1954, y desde entonces se estableció la naturaleza quirúrgica obligada de esta enfermedad 6, 8.
Si bien la cirugía generalmente es curativa, se han comunicado casos de recidivas hasta 25 años después, comunicándose recurrencias en el 3-5% de los casos de etiología esporádica y en el 22% en casos asociados al síndrome de Carney 11, 12.
La mortalidad postoperatoria a nivel mundial es de alrededor del 2,2% aproximadamente 13.
Al ser una presentación inusual y cuyas características clínicas pueden pasar desapercibidas o como en el presente caso un hallazgo incidental ante signos que pueden ser confundidas con cuadros de abdomen agudo o del tracto respiratorio bajo, es importante el abordaje integral y racional a fin de llegar a un diagnóstico certero.
Referencias
1. Gabe D, Rodríguez C, Vigliano , San Martino J, Wisner N, et al. Mixomas cardiacos: correlacion anotomoclinica. Diponible en: https://www.sciencedirect.com/science/article/abs/pii/S0300893202766438
2. Muñoz D, García S, Páez J, Hernández E. Mixoma gigante de auricula derecha. Disponible en: https://www.sciencedirect.com/science/article/pii/S1134009613000168
3. Zamora Bastidas T, Maya Ruiz DE, Rangel M, López Garzón N. Mixoma: manifestaciones neurológicas y reumatológicas. Informe de casos. Revista Uruguaya de Cardiología. 2013; 28(1) 116-121.
4. López N, BermúdezJoaquí M. Mixoma: manifestaciones neurológicas y reumatológicas. Informe de casos Tromboembolismo pulmonar secundario a mixoma gigante de aurícula derecha. Disponible en: https://www.sciencedirect.com/science/article/abs/pii/S0300893202766438
5. Calejero D, González M, Ortas R, Ferreira I. Trombolismo pulmonar secundario a mixoma gigante de auricula derecha. Disponible en: http://www.scielo.edu.uy/scielo.php?pid=S1688-04202013000100018&script=sci_arttext
6. Masuda I, Ferreño AM, Pasca J, Pereiro G, Lastiri H. Tumores cardíacos primarios. Mixoma auricular. Rev Fed Arg Cardiol, 33 (2004), pp. 196-204
7. Moreno Martínez F, Lagomasino Hidalgo Á, González Alfonso, Puig Reyes I, Mirabal Rodríguez R, López Bernal O, et al. Mixoma auricular izquierdo pediculado con aspecto macroscópico de trombo calcificado. Rev Arg Cir Cardiovasc, 4 (2004/2005), pp. 251-255
8. Becker RP, Frangini SP, Arnaiz GP. Mixoma auricular izquierdo recurrente en niño de 2 años. Caso clínico. Rev Med Chile, 134 (2006), pp. 635-640
9. De Paula Vale M, Freire Sobrinho A, Vinícius Sales M, Meirelles Teixeira M, Chaves Cabral K. Mixoma gigante em átrio esquerdo ? Relato de caso. Rev Bras Cir Cardiovasc, 23 (2008), pp. 276-278
10. Lobo Filho JG, de Sá Sales DE, Pereira Borges AEP, Leitão MC. Mixoma de átrio direito com prolapso para o ventrículo direito. Braz J Cardiovasc Surg, 21 (2006), pp. 217-220
11. Raila F, Patel P, Avera B, Sigler J. Echocardiographic diagnosis of left atrial myxoma. South Med J, 75 (1982), pp. 1120-1122
12. Hong H, Yi L, Shigong G, Xuezhong Y. Right atrial myxoma-induced syncope. Postgrad Med J, 87 (2011), pp. 438-439
13. Dike OB, Ajiduku SS, Omonua OO, Abdulkareem LL, Parsonage W. A probable right atrial myxoma prolapsing through the tricuspid valve into the right ventricle: a case report. Cases Journal, 1 (2008), p. 386 Disponible en: http://www.casesjournal.com/content/1/1/386
14. González Enzo L, Pizzi MN, Caponi MG, Vigliano C, Varela Otero MDP, Dulbecco E., et al. Mixomas cardíacos: presentación clínica, resultados quirúrgicos y pronóstico a largo plazo. Rev Arg Cardiol, 78 (2010), pp. 108-113.
Notas de autor
Enlace alternativo
http://www.scielo.org.bo/scielo.php?script=sci_arttext&pid=S1012-29662020000100019&lng=es&nrm=iso (html)