Articulos de Revision
Sturge-Weber syndrome: literature review
Sturge-Weber syndrome: literature review
Gaceta Médica Boliviana, vol. 43, no. 2, 2020
Universidad Mayor de San Simón

Received: 12 August 2020
Accepted: 24 October 2020
Abstract: Sturge-Weber syndrome is a rare, sporadic, congenital neurocutaneous disorder affecting approximately 1 in 20,000 to 50,000 live births and is related to a somatic activating gene mutation in GNAQ. Clinically it is characterized by the presence of a port wine stain on the skin of the trigeminal territory, leptomeningeal angiomatosis and glaucoma. It can be associated with different clinical manifestations, of which epileptic seizures represent the most frequent neurological manifestation associated with significant cognitive impairment in these patients. In this article a descriptive review of the literature on the etiological, pathophysiological, classification, clinical, diagnostic and treatment aspects of Sturge-Weber syndrome is presented.
Keywords: Sturge-Weber syndrome, angiomatosis, leptomeningeal, epileptic seizures.
Resumen: El síndrome de Sturge-Weber es un trastorno neurocutáneo, congénito, esporádico e infrecuente que afecta aproximadamente a 1 de cada 20 000 a 50 0000 nacidos vivos y que se relaciona con una mutación genética activadora somática en GNAQ. Clínicamente se caracteriza por la presencia de una mácula en vino de Oporto en la piel de territorio trigeminal, angiomatosis leptomeníngea y glaucoma.Puede asociarse a diferentes manifestaciones clínicas, de las cuales las crisis epilépticas representan la manifestación neurológica más frecuente que se asocia a un deterioro cognitivo importante en estos pacientes. En el presente artículo se realiza una revisión descriptiva de la literatura sobre los aspectos etiológicos, fisiopatológicos, de clasificación, clínicos, diagnósticos y del tratamiento del síndrome de Sturge-Weber.
Palabras clave: síndrome de sturge-weber, angiomatosis, leptomeníngea, crisis epiléptica.
Literature review
For this article, a systematic and methodical search of primary sources of information was carried out in online search engines and scientific indexations, such as: PubMed, ElSevier, Scielo, MedLine, etc.
The primary sources correspond to published scientific studies (Review Article, Case Report, Case Series and Clinical Trials) which will be mentioned in the bibliographic references.
Development and discussion of the theme
Etiology
Matthew et al. in 2013 found in their study that SSW and port wine stains are caused by a somatic activating mutation in GNAQ (c.548G>A; p.R183Q), after performing genomic sequencing in tissue samples from skin and brain lesions in patients with SWS. In 2017 Huang et al. found similar results in patients with SWS, in this case the type of sample studied was endothelial cells from affected nerve tissue, finding the GNAQ p.R183Q mutation in them 6,7. GNAQ encodes G?q, which corresponds to the alpha subunit of heterotrimeric G proteins 4,7. G proteins are a group of transmembrane proteins that play a role in cellular transduction by transmitting signals from G protein-coupled receptors on the cell surface to the interior of the cell; these proteins are so named because they are associated with GTP (Guanosine Triphosphate) and are said to have GTPase activity because they are able to hydrolyse a GTP molecule to GDP (Guanosine DiPhosphate), in the process of transduction 7,8. Mutations in GNAQ are likely to induce changes in cell morphology and cell growth primarily through up-regulation of the MAPK-ERK signalling pathway, providing a basis for molecular pathogenesis in SWS; it is also believed that a somatic activating mutation in GNAQ could have oncogenic potential, indeed somatic GNAQ mutations in melanocytes have been associated with uveal melanoma in an activating mutation leading to increased downstream signalling through the MAPK pathway, however melanomas possess several mutations other than GNAQ that need to be taken into account and in SWS no cumulative mutations were found in the samples studied 6,9,10.
It has been hypothesised that during vulnerable periods of embryonic development, initial moderately increased downstream G?q signalling, or dysregulated signalling through G protein-coupled receptors such as dysregulation of vascular MAPK and/or PI3K signalling, could result in malformed, dilated and abnormally innervated blood vessels as findings underlying the port-wine stains and SWS 6,11,12.
Pathophysiology
The primary alterations in the vasculature in SWS correspond to a proliferation of pericytes and duplication of basement membranes without significant ectasia, which occur prior to vessel dilatation. Although the angiopathic findings would have been described as a dilatation of the postcapillary venules, it is now suggested to change this description to one that better fits the current findings on the subject. For example, it is known that SWS blood vessels co-express stem cell markers CD133 and CD166, as well as the venous marker EphB1 and the arterial marker EfnB2, and that during development, both dermal arterioles and venules differentiate from a primary capillary plexus and by default, this primary capillary plexus is thought to develop into a vein with consistent EphB1 expression. Therefore, it is suggested to change the description of a ?dilation of post-capillary venules? to ?progressive dilation of venule-like vasculature? 11,13.
Most SWS lesions are unilateral with a typical trigeminal dermatome distribution, there is usually an intracranial leptomeningeal angiomatosis that is usually ipsilateral to the port-wine stain, although it can also be bilateral, affecting the occipital lobe, occipitoparietal lobe and sometimes an entire cerebral hemisphere; affected vessels are usually tortuous and dilated, and show overexpression of the glycoprotein fibronectin and vascular endothelial growth factor (VEFG) with increased cell proliferation and apoptosis 3. Several studies have also shown atrophy and/or calcification of the cerebral cortex, which could be ?dystrophic calcifications due to hypoxia?, as cerebral blood flow can be reduced to ischemic levels during a seizure 3,4. A seizure usually occurs when there is an imbalance between excitation and inhibition in one or more areas of the brain; Juhász et al. in a study using proton magnetic resonance spectroscopic imaging (MRSI) determined that glutamate (an excitatory neurotransmitter) concentrations were increased in the hemisphere affected by this pathology, therefore it is argued that excessive stimulation of glutamate receptors in the affected brain tissue is related to seizures by causing ?excitotoxic brain injury?, and that glutamate levels may be found in high concentrations due to hypoxia 3,14,15.
Patients with SWS may develop choroid plexus angiomatosis and glaucoma during the course of the disease, these lesions tend to be almost always ipsilateral to the port-wine stain and the risk is higher when both eyelids are affected; in these cases the risk of glaucoma can reach up to 50% of patients, who develop glaucoma mostly in childhood due to anterior chamber anomalies and in early adulthood due to an episcleral elevation of venous pressure, possibly due to the presence of episcleral haemangioma and arteriovenous shunts 4,16.
Classification
Roach would have classified WSS into three types, depending on whether the involvement comprises several tissues or isolated lesions:
Type I: The patient has facial and leptomeningeal angioma and may have glaucoma.
Type II: The patient has facial angioma but no leptomeningeal angioma and may have glaucoma.
Type III: The patient has isolated leptomeningeal angiomas but no glaucoma 17.
SWS has also been classified as complete when the patient has both facial and leptomeningeal angiomas, and incomplete when affects one tissue or a different one 4,17.
Clinical Aspects
SWS can have various clinical manifestations such as cutaneous, neurological, ocular and endocrine.
Cutaneous manifestations
The port-wine stain, also called nevus flammeus, is the most common cutaneous clinical manifestation; it is usually unilateral and has typically been described in the distribution of the ophthalmic and maxillary trigeminal branch, although there is now more evidence that this lesion has a vascular embryological distribution and not so much that of the neural innervation of the face; it is pale pink to purple in color, can extend to the neck or other parts of the body and is present from birth (see figure 1); The location of this malformation has been associated with the risk of developing leptomeningeal angiomas and glaucoma, with the risk being greater when the port-wine stain is located in the frontal region compared to those located in the lower region of the face. There is also evidence that the larger the lesion, the greater the severity of neurological involvement 1,3,4,18 .

Vascular malformations if left untreated may progress and develop hypertrophy of soft tissue, bone tissue or nodule formation of the structures involved. Hypertrophy of the maxillary or mandibular bone may occur and can cause dental malocclusion; hypertrophic changes generally have a poor response to laser treatment and can lead to significant facial deformity requiring surgical treatment 19. The average age of presentation of these changes is nine years, and the maxillary bone is the most common site of hypertrophy 3.
Neurological manifestations
The most important neurological manifestations of leptomeningeal angiomatosis are seizures, neurodevelopmental delay, slowly progressive hemiparesis, migraine-like vascular headaches, and cerebrovascular event-like episodes also called stroke-like episodes 3. Epileptic seizures, cerebral cortex atrophy, developmental delay and intellectual deficits commonly occur in childhood and may worsen with age 3,11.
Seizures are usually the first neurological symptom of SWS, developing in up to 80% of these patients, starting in early childhood; however, they can occur at any age. Patients with an onset before 2 years of age have been reported to have refractory and difficult-to-control seizures with increased neurological involvement 1, 3, 4.The epileptic type seizures usually start focal that later evolve into a generalised tonic-clonic form; it is possible to find them such as infantile spasms, myoclonic or atonic seizures 4. These seizures may be precipitated by febrile episodes 4. Neurological deterioration is progressive and is directly related to their frequency and duration, and is associated with impaired cerebral perfusion such as cerebral ischemia3. Prolonged seizures, especially in infants and young children, can also trigger a cerebrovascular accident (CVA) 4.
Stroke-like episodes may cause transient neurological deficits, there may be hemiparesis that develops acutely or with the onset of seizures, the affected limb does not grow at the same rate as the rest of the body, so that hemiatrophies appear in the affected limbs 4.
Behavioural problems such as autism spectrum disorders (ASD), attention deficit hyperactivity disorder (ADHD) and oppositional defiant disorder have been reported to be more prevalent in patients with SWS, depression is more prevalent in this group of patients, and some psychotic symptoms such as visual and auditory hallucinations have also been reported 4,20 .
Patients with SWS may grow normally during the first months of life, but later on they tend to be developmentally delayed 4.
Ocular manifestations
Vascular malformation in the eye can affect the conjunctiva, episclera, retina and/or choroid 3.
Patients may develop glaucoma, as one of the most frequent ocular manifestations, usually unilateral to the port-wine stain but not always, as a consequence of elevated episcleral venous pressure leading to increased intraocular pressure 21. However, two forms of glaucoma have been described in SWS, the first, also called congenital, accounts for 60% and is associated with abnormalities in the anterior chamber of the eye, and the second, also called late glaucoma, accounts for 40% and is related to elevated episcleral venous pressure 3.
Choroidal haemangiomas, which may be present as a circumscribed or diffuse form, are typically unilateral and ipsilateral to the port-wine stain, but this is not always the case; bilateral choroidal haemangiomas are rare 3, 16. The choroid of patients with SWS thickens in adolescence and adulthood, and it is in this period that complications such as subretinal hemorrhage, serous retinal detachment, cystoid macular edema and detachment of the macular neuroepithelium can occur, even leading to severe vision loss 16.
Visual field disturbances may be present in patients with SWS, such as a homonymous hemianopsia that may be due to angiomas affecting both occipital lobes or involving the optic pathways 4. Other less common ocular abnormalities that have also been described include retinal detachment, heterochromia of the iris, strabismus, lens dislocation, neovascularisation of the iris and choroid 3.
Endocrine manifestations
Growth hormone-secreting cells of the pituitary gland have been reported to be particularly sensitive to vascular insult, which may lead to an increased risk of endocrine disruption at this level, and cases of central hypopituitarism in SWS have also been reported in this setting 22, 23.
Diagnosis
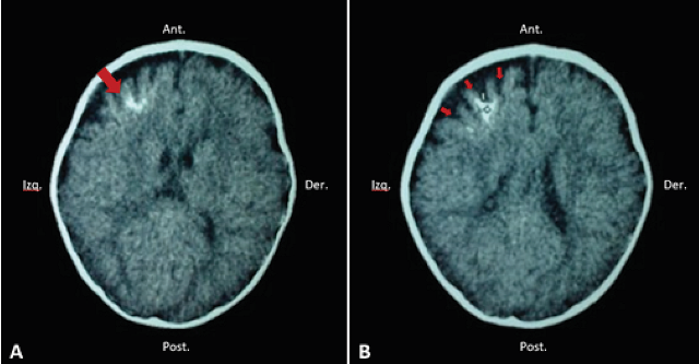
It can be diagnosed by the finding of typical clinical symptoms and by the facial appearance of the port-wine stain 11. ?All patients with facial nevus should undergo radiological evaluation to rule out SWS?, which can be helpful in detecting the classic intracranial calcifications in these patients 1 ( Figure 2).

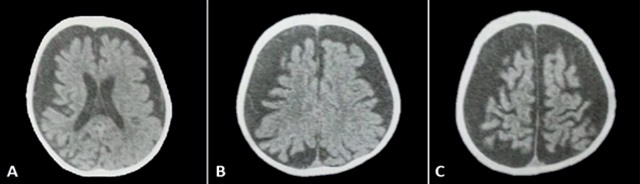
However, multiple radiological findings have been seen such as atrophy of cerebral lobes, hypertrophy of choroid plexuses, enlargement of deep cerebral veins, venous drainage abnormalities and recently an asymmetric enlargement of the cavernous sinus has been described 4, 24( Figure 3).

Imaging tests, such as doppler ultrasound, computed tomography (CT) or magnetic resonance imaging (MRI), can be useful to determine any possible localised vascular malformations in deep tissues, e.g. cerebral vascular malformations or arteriovenous malformations 4, 11. The neuroimaging technique of choice for the diagnosis of SWS is currently MRI with gadolinium contrast, as it can demonstrate the presence of leptomeningeal angiomatosis and determine the degree of involvement of brain structures 4.
The electroencephalogram (EEG) assesses epileptiform activity and brain dysfunction; activity is often attenuated or decreased in the affected hemisphere, this pattern of activity can be detected from the first months of the patient?s life and becomes more evident with the progression of brain atrophy 4.
SWS should be diagnosed differentially from infantile haemangiomas, which are the most common benign tumours of childhood and usually involute over time; molecularly, endothelial cells of infantile haemangiomas are Glut-1 positive, but endothelial cells of SWS are not 25.Other differential diagnoses include Rendu-Osler-Weber syndrome, Angio-osteodystrophy syndrome, Maffuci syndrome, Von Hippel Lindau disease and Klippel Trenaumy-Weber syndrome 17.
Treatment
The treatment of SWS is directed towards port-wine stains, epileptic seizures, migraine seizures, stroke-like events and glaucoma.
The treatment of choice for port-wine stains is pulsed dye laser (PDL) therapy; early initiation of treatment may decrease progression to tissue hypertrophy and visual, airway and swallowing complications 3, 26. It has been reported that the degree of response to the laser is greater in the frontal region as opposed to the malar or prolabial area and in general 7- 15 sessions are required to achieve clearance of the lesion; definitive or complete clearance is not always possible 3. ?The laser heats the haemoglobin within the blood vessels and destroys them, sparing the surrounding skin structures?, however the macula may eventually regenerate, requiring a greater number of sessions; therapeutic resistance may be due to regeneration and revascularisation of the clotted vessels 3, 4. Certain adjuvant drugs to PDL treatment have been described that could improve treatment efficacy, such as topical Imiquimod and Rapamycin 27. Rapamycin as an adjuvant treatment to PDL has been shown to be a potential anti-angiogenic agent that could prevent revascularisation after PDL treatment; however Greveling et al. recently demonstrated in a randomised trial that topical application of the commercially available solution (Rapamune® 0.1%) as an adjuvant to PDL treatment does not appear to improve lesion whitening in SWS, oral Rapamycin may have more promising results, and further research is recommended regarding efficacy, adverse effects and cost-effectiveness 28.
The main objective of neurological treatment is to minimise epileptic activity with antiepileptic drugs to avoid or minimise psychomotor impairment and other neurodevelopmental alterations in these patients; it is important to educate and inform them about how to recognise these seizures and how to act once they occur, as well as to advise them about intercurrent diseases with fever in order to avoid them as much as possible, since fever can trigger these seizures; good hydration and oxygenation of the patient should also be ensured 3. It has been reported that most patients achieve seizure control with 1-2 antiepileptic drugs plus low-dose acetylsalicylic acid 4. The most commonly used drugs in infants have been Oxcarbazepine, Carbamazepine, Levetiracetam and Phenobarbital and patients with infantile spasms may respond to treatment with steroids, Topiramate, Vigabatrin or ketogenic diet4. Oxcarbazepine was associated with fewer reported side effects than other antiepileptic drugs, so it may be preferable and it is recommended to start treatment with Oxcarbazepine unless generalised seizure features are present 29. Topiramate, despite being associated with triggering acute bilateral angle-closure glaucoma and worsening prognosis in certain cases, was not associated with glaucoma-related signs in a limited analysis of patients, and the reported side effects of Valproate were consistent with its known effects, so these drugs may be safe alternatives to treat concomitant migraine and epilepsy, in addition to triptans and Lamotrigine which have also been used for this purpose 4, 28. Low-dose acetylsalicylic acid (3-5 mg/kg/day) can reduce the frequency and severity of seizures and stroke-like episodes 30. Presymptomatic treatment has been proposed especially in patients with extensive bilateral leptomeningeal angiomatosis who are at increased risk of severe seizures and neurological deficits; Levetirazetam, Phenobarbital and other antiepileptic drugs associated with low doses of aspirin have been used in these patients; presymptomatic treatment is not recommended for all patients with SWS because of the adverse effects of the medication 3, 30. Aggressive treatment is warranted in prolonged and refractory seizures as a therapeutic measure; and when medical treatment fails, surgical treatment such as lesionectomy, either by callostomy or hemispherectomy, should be considered 3, 4, 11. In relation to acetylsalicylic acid, adverse effects such as hemorrhages, gingivorrhages and hematomas have been described, but these adverse effects are not reported to be more serious 4.
The primary goal in glaucoma treatment is to lower intraocular pressure to prevent ischemic optic nerve damage 3, 4. Treatment with eye drops to reduce intraocular pressure, such as prostaglandins, beta-blockers or carbonic anhydrase inhibitors can be effective because they decrease the production of fluid in the eye and increase the outflow of aqueous humour through the uveoscleral pathway; Timolol and Lantaprost have been used to treat glaucoma in patients with SWS 26, 31. If the patient does not respond to medical treatment, surgical treatments such as Ahmed glaucoma valve implantation and other invasive procedures will be performed; recently a case of glaucoma successfully treated with the CyPass stent has been described, this method offers an approach that is less invasive and has been shown to offer a long-term solution to reduce intraocular pressure in patients with SWS 26
Discussion
SWS as we have seen is a disorder that occurs infrequently in the population, and it is of great importance to be able to recognise it clinically; the presence of port-wine stain should alarm parents and physicians because of the higher risk of leptomeningeal angiomatosis and glaucoma that these patients present in relation to the general population; this lesion may be present from birth and it is important to identify it properly, in order to make a referral to a specialist for treatment of this ?birthmark?, as well as for consultation with a neurologist and ophthalmologist for evaluation and appropriate treatment of brain or ocular involvement (or both) if necessary; in cases where this lesion is not present, diagnosis is likely to be more difficult but will be guided by the other clinical manifestations that these patients may present. It is important to take into account in the treatment the multidisciplinary management aimed at treating the disease and its complications, as well as providing support and assistance to the patient and his or her family; this multidisciplinary team should also have the function of closely monitoring the patient and his or her complications, and it is also considered of great importance not to neglect the emotional and psychological manifestations of these patients. To date, there is no standardised treatment for patients with SWS, therefore management of each patient must always be individualised and it is hoped that in the future new research will be carried out, aimed above all at the molecular part of the etiology of this syndrome, which could provide hope for these patients, in order to have a better prognosis in general.
Potential conflict of interest:The authors declare that they have no conflict of interest relevant to the submission of this article.
References
1. Saeed M.A., Hilal K., Chand P. Bilateral intracranial calcifications with bilateral facial cutaneous naevus: Sturge Weber syndrome. BMJ Case Rep . 2017 ; bcr2017219985.[Citado 6 Sep 2020] Disponible en: https://doi.org/10.1136/bcr-2017-219985
2. Comi A.M. Chapter 11-Sturge-Weber syndrome. Handb Clin Neurol . 2015 ; 137(3): 157-68.[Citado 6 Sep 2020] Disponible en: https://doi.org/10.1016/B978-0-444-62702-5.00011-1 [ Links ]
3. Higueros E., Roe E., Granell E., Baselga E. Síndrome de Sturge-Weber: revisión. Actas Dermosifiliogr . 2017 ; 108(5): 407-17.[Citado 6 Sep 2020] Disponible en: https://www.actasdermo.org/es-pdf-S0001731016304422 [ Links ]
4. Velázquez-Gallego C., Ceballos-Ruiz J.F., Ruiz-Jaramillo N., Villamizar-Londoño C. Rev Ecuat Neurol . 2019 ; 28(2): 105-14. [Citado 6 Sep 2020] Disponible en: http://revecuatneurol.com/wp-content/uploads/2019/10/2631-2581-rneuro-28-02-000105.pdf
5. Nidhi C., Anuj C. Sturge Weber Syndrome: An Unusual Case with Multisystem Manifestations. Ethiop J Health Sci . 2016 ; 26(2):187-92. [Citado 6 Sep 2020] Disponible en: [ Links ]
6. Shirley M. D., Tang H., Gallione C. J., Baugher J. D., Frelin L.P., et al. Sturge-Weber Syndrome and Port-Wine Stains Caused by Somatic Mutation in GNAQ. N Engl J Med . 2013 ; 368(21): 1971-79. [Citado 6 Sep 2020] Disponible en: https://doi.org/10.1056/NEJMoa1213507 [ Links ]
7. Huang L., Couto J.A., Pinto A., Alexandrescu S., Madsen J. R., et al. Somatic GNAQ mutation is enriched in brain endothelial cells in Sturge-Weber Syndrome. Pediatr Neurol . 2017 ; 67: 59-63.[Citado 6 Sep 2020] Disponible en: https://doi.org/10.1016/j.pediatrneurol.2016.10.010
8. Aktories, K., Gierschik, P., Heringdorf D.M.z., Schmidt M., Schultz G., et al. cAMP guided his way: a life for G protein-mediated signal transduction and molecular pharmacology-tribute to Karl H. Jakobs. Naunyn-Schmiedeberg?s Arch Pharmacol. . 2019; 392: 887-911. [Citado 6 Sep 2020] Disponible en: https://doi.org/10.1007/s00210-019-01650-1
9. He R., Liao S., Yao X., Huang R., Zeng J.,et al. Klippel-Trenaunay and Sturge-Weber Overlap Syndrome with KRAS and GNAQ mutations. Ann Clin Transl Neurol. 2020 ; 7(7): 1258-64. [Citado 6 Sep 2020] Disponible en: https://doi.org/10.1002/acn3.51106
10. Hildebrand M.S., Harvey A.S., Malone S., A. Damiano J.A., et al. Somatic GNAQ mutation in the forme fruste of Sturge-Weber syndrome. Neurol Genet . 2018 ; 4(3): e236. [Citado 6 Sep 2020] Disponible en: https://doi.org/10.1212/NXG.0000000000000236
11. Nguyen V., Hochman M., Mihm M.C., Nelson J.S., Tan W. The Pathogenesis of Port Wine Stain and Sturge Weber Syndrome: Complex Interactions between Genetic Alterations and Aberrant MAPK and PI3K Activation. Int J Mol Sci . 2019 ; 20(9): 2243. [Citado 6 Sep 2020] Disponible en: https://doi.org/10.3390/ijms20092243 [ Links ]
12. Gao L., Yin R., Wang H., Guo, W., Song, W., et al. Ultrastructural Characterization of Hyperactive Endothelial Cells, Pericytes and Fibroblasts in Hypertrophic and Nodular Port Wine Stain Lesions. Br. J. Dermatol . 2017 ; 177(4): e105-e108. [Citado 7 Sep 2020] Disponible en: https://doi.org/10.1111/bjd.15373 [ Links ]
13. Li W., Mukouyama Y.S. Tissue-specific venous expression of the EPH family receptor EphB1 in the skin vasculature. Dev Dyn . 2013; 242(8): 976-88. [Citado 7 Sep 2020] Disponible en: https://doi.org/10.1002/dvdy.23985 [ Links ]
14. Juhász C., Hu J., Xuan Y., Chugani H.T. Imaging increased glutamate in children with Sturge-Weber syndrome: Association with epilepsy severity. Epilepsy Res . 2016; 122: 66-72. [Citado 7 Sep 2020] Disponible en: https://doi.org/10.1016/j.eplepsyres.2016.02.010 [ Links ]
15. Stafstrom C.E., Staedtke V., Comi A.M. Epilepsy Mechanisms in Neurocutaneous Disorders: Tuberous Sclerosis Complex, Neurofibromatosis Type 1, and Sturge-Weber Syndrome. Front Neurol . 2017 ; 8: 87. [Citado 7 Sep 2020] Disponible en: https://doi.org/10.3389/fneur.2017.00087 [ Links ]
16. Formisano M., Abdolrahimzadeh B., Mollo R., Bruni P., Malagola R., et al. Billateral diffuse choroidal hemangioma in Sturge Weber syndrome: A case report highlighting the role of multimodal imaging and a brief review of the literature. J Curr Ophthalmol . 2019 ; 31(2): 242-49.[Citado 7 Sep 2020] Disponible en: https://doi.org/10.1016/j.joco.2018.10.001
17. Gill N.C., Bhaskar N. Sturge - Weber syndrome: A case report. Contemp Clin Dent . 2010 ; 1(3): 183-85.[Citado 7 Sep 2020] Disponible en: https://doi.org/10.4103/0976-237X.72789 [ Links ]
18. Waelchli R., Aylett S.E., Robinson K., Chong W.K., Martinez A.E., Kinsler V.A. New vascular classification of port-wine stains: improving prediction of Sturge-Weber risk. Br J Dermatol . 2014 ; 171(4): 861-67. [Citado 7 Sep 2020] Disponible en: https://doi.org/10.1111/bjd.13203 [ Links ]
19. Lee J. W., Chung H. Y., Cerrati E.W., March O.T.M., Waner M. The Natural History of Soft Tissue Hypertrophy, Bony Hypertrophy, and Nodule Formation in Patients with Untreated Head and Neck Capillary Malformations. Dermatologic Surgery . 2015 ; 41(11), 1241-45. [Citado 9 Sep 2020] Disponible en: https://doi.org/10.1097/DSS.0000000000000525 [ Links ]
20. Harmon K.A., Day A.M., Hammill A.M., Pinto A.L., McCulloch C.E., et al. Quality of Life in Children With Sturge-Weber Syndrome. Pediatr Neurol . 2019 ; 101:26-32. [Citado 9 Sep 2020] Disponible en: https://doi.org/10.1016/j.pediatrneurol.2019.04.004
21. Junttila T.L., Alberto N., Winkels M., Greenwood M.D. Successful Reduction of Intraocular Pressure in a Patient with Glaucoma Secondary to Sturge-Weber Syndrome Using a Suprachoroidal Shunt. J Curr Glaucoma Pract . 2020 ; 14(1): 43-6. [Citado 9 Sep 2020] Disponible en: https://doi.org/10.5005/jp-journals-10078-1266 [ Links ]
22. Miller R.S., Ball K.L., Comi A.M., Germain-Lee E.L. Growth hormone deficiency in Sturge-Weber syndrome. Archives of Disease in Childhood . 2006 ; 91(4): 340-41. [Citado 9 Sep 2020] Disponible en: [ Links ]
23. Bachur C.D., Comi A.M., Germain-Lee E.L. Partial Hypopituitarism in Patients With Sturge-Weber Syndrome. Pediatric Neurology . 2015; 53(3), e5-e6. [Citado 9 Sep 2020] Disponible en: https://doi.org/10.1016/j.pediatrneurol.2015.04.005 [ Links ]
24. Pasquini L., Tortora D., Manunza F., Rossi Espagnet M.C., et al. Asymetric cavernous sinus enlargement: a novel finding in Sturge-Weber syndrome. Neuroradiol J . 2019 ; 61: 595-602. [Citado 9 Sep 2020] Disponible en: https://doi.org/10.1007/s00234-019-02182-4 [ Links ]
25. Da Silva T.J., Oliveira D.H., Moura I., Medeiros L., et al. Importance of GLUT1 in differential diagnosis of vascular anomalies. J Vasc Bras . 2015 ; 14(2): 168-76. [Citado 9 Sep 2020] Disponible en: [ Links ]
26. Comi A. Current Therapeutic Options in Sturge-Weber Syndrome. Semin Pediatr Neurol . 2015 ; 22(4): 295-301.[Citado 10 Sep 2020] Disponible en: https://doi.org/10.1016/j.spen.2015.10.005 [ Links ]
27. Lipner S. Topical Adjuncts to Pulsed Dye Laser for Treatment of Port Wine Stains: Review of the Literature. Dermatol Surg . 2018 ; 44(6):796-802.[Citado 10 Sep 2020] Disponible en: [ Links ] https://doi.org/10.1097/DSS.0000000000001507
28. Greveling K., Prens E.P., Van Doorn M.B. Treatment of port wine stains using Pulsing Dye Laser, Erbium YAG Laser, and topical rapamicin (sirolimus) - A randomized controlled trial. Laser Surg Med . 2016; 49(1): 104-9.[Citado 10 Sep 2020] Disponible en: [ Links ] https://doi.org/10.1002/lsm.22548
29. Kaplan E.H., Kossoff E.H., Bachur C.D., Gholston M., Hahn J., et al. Anticonvulsant Efficacy in Sturge-Weber Syndrome. Pediatr Neurol . 2016; 58: 31-6. [Citado 11 Sep 2020] Disponible en: https://doi.org/10.1016/j.pediatrneurol.2015.10.015 [ Links ]
30. Day A.M., Hammill A.M., Juhász C., Pinto A.L., Roach E.S., et al. Hypothesis: Presymptomatic treatment of Sturge-Weber Syndrome With Aspirin and Antiepileptic Drugs May Delay Seizure Onset. Pediatr Neurol . 2019 ; 90: 8-12.[Citado 11 Sep 2020] Disponible en: https://doi.org/10.1016/j.pediatrneurol.2018.04.009 [ Links ]
31. Gómez-Cerdas M. Síndrome Neurocutáneo: Sturge Weber. Cron Cient . 2019 ; 12(12): 26-35. [Citado 11 Sep 2020] Disponible en: https://www.cronicascientificas.com/index.php/ediciones/edicion-xii-mayo-agosto-2019/26-ediciones/240-sindrome-neurocutaneo-sturge-weber [ Links ]