Casos clinicos
Tumor de Células de Sertoli Esclerosante Testicular
Sclerosing Sertoli cell tumor of the testis
Tumor de Células de Sertoli Esclerosante Testicular
Gaceta Médica Boliviana, vol. 44, núm. 2, pp. 240-243, 2021
Universidad Mayor de San Simón
Recepción: 19 Julio 2021
Aprobación: 29 Agosto 2021
Resumen: Actualmente el tumor de células de Sertoli de tipo esclerosante, se encuentra clasificado como una variante de los tumores de células de Sertoli NOS (sin otra especificación), ya que ambos tumores presentan mutación del gen CTNNB1, codificador de b-catenina, la relevancia de su identificación radica en que esta variante se correlaciona, aunque en un bajo porcentaje, con potencial metastásico.Masculino de 56 años de edad, con cuadro de 7 años de evolución, caracterizado por presentar dolor testicular izquierdo con leve aumento de consistencia en polo inferior de testículo izquierdo, se realiza ecografía testicular, en la que se evidencia lesión heterogénea de 2 cm de diámetro máximo, dependiente de polo inferior de testículo izquierdo; se realiza orquiectomía radical izquierda, con reporte histopatológico: tumor de células de sertoli testicular. Cursando posteriormente con evolución satisfactoria, con cicatrización completa de la herida, y actualmente en vigilancia, sin necesidad de tratamiento adyuvante. Conociendo su relativa rareza y los pocos casos notificados, los tumores testiculares de células de Sertoli siguen siendo un misterio relativo y en la actualidad, continúan siendo un desafío para su diagnóstico. Con este caso, pretendemos apoyar en el conocimiento y fomentar la investigación adicional de estos tumores, con el objetivo de optimizar el diagnóstico, dar un adecuado tratamiento.
Palabras clave: tumor, células de sertoli, testículo.
Abstract: Currently, the sclerosing-type Sertoli cell tumor is classified as a variant of the NOS Sertoli cell tumors (without other specification), because it has been shown that both tumors present mutation in the CTNNB1 gene, which encodes the b-catenin (19), the relevance of its identification lies in the fact that this variant is correlated, although in a low percentage, with metastatic potential. A 56-year-old male, with a 7-year evolution, characterized by presenting left testicular pain with a slight increase in consistency in the lower pole of the left testicle, a testicular ultrasound was performed, which revealed a heterogeneous lesion of 2 cm in diameter maximum, dependent on the lower pole of the left testis; Left radical orchiectomy was performed, with histopathological report: testicular sertoli cell tumor. Later, with satisfactory evolution, with complete wound healing, and currently under surveillance, without the need for adjuvant treatment.Knowing their relative rarity and the few reported cases, testicular Sertoli cell tumors remain a relative mystery and today, they continue to be a challenge for diagnosis. With this case, we intend to support the knowledge and promote additional research on these tumors, with the aim of optimizing the diagnosis and providing adequate treatment.
Keywords: tumor, sertoli cells, testis.
El cáncer de testículo es relativamente raro, y forma parte aproximadamente menos de 1% de los tumores en los hombres 1, 2, 3, 4
Este tumor es el más frecuente en hombres entre 20 a 34 años de edad, y su incidencia está en aumento en las últimas 6 décadas. Los tumores de células germinales comprenden aproximadamente el 95% de los tumores testiculares 5- 10.
En el testículo, los tumores no germinales suponen aproximadamente el 5% de las neoplasias que se originan en este órgano 11. Este grupo minoritario lo conforman los tumores derivados del estroma y de los cordones sexuales. Entre estos últimos, el tumor de células de Sertoli es una entidad muy poco frecuente ya que supone sólo entre el 0,4 y el 1,5% de ellos 12. A pesar de su rareza, es un tumor bien descrito en la literatura y que incluye 3 variedades histológicas específicas 12. Entre ellas, la forma esclerosante es especialmente rara. Desde su descripción por primera vez en 1991 por Zuckenberg y Young en una pequeña serie de 10 casos 13, la revisión de la literatura aporta solamente casos sueltos 11, 12, 14- 18.
El tumor de células de Sertoli (TCS) es una neoplasia que deriva de los cordones sexuales del estroma testicular. Es un tipo infrecuente, no existiendo más de 170 casos descritos en la literatura. Representan del 0,4 al 1,5% de los tumores testiculares en el adulto y hasta el 4% en los niños, suponiendo el 17% de las neoplasias no germinales 15, 18.
Cada una de las estirpes difiere en su comportamiento maligno, así como en su asociación con procesos extragonadales. Histopatológica y clínicamente existen tres variedades diferentes para clasificar a los tumores de células de Sertoli: clásica, células grandes calcificadas y esclerosante 9- 14. En este informe, presentamos un caso inusual de un tumor testicular poco común que exhibe características atípicas, que resultó difícil de diagnosticar.
Actualmente el tumor de células de Sertoli de tipo esclerosante, se encuentra clasificado como una variante de los tumores de células de Sertoli NOS (sin otra especificación), debido a que se ha demostrado que ambos tumores presentan mutación en el gen CTNNB1, que codifica la b-catenina 19, la relevancia de su identificación radica en que esta variante se correlaciona, aunque en un bajo porcentaje, con potencial metastásico 13.
Aunque la mayor parte de los tumores de Sertoli presenta un comportamiento benigno, se ha descrito que en un 5% de los casos pueden cursar con un comportamiento biológico agresivo y potencial metastásico, algunos factores patológicos que juegan un rol predictivo en este comportamiento son: 1) tamaño mayor a 5 cm, 2) extensión extratesticular, 3) necrosis, 4) índice mitósico >5 mitosis por 10 campos de alto poder, 5) atipia de alto grado, 6) permeación vascular-linfática 20, 21
Presentación del caso
Masculino de 56 años de edad, sin antecedentes de relevancia, acude a consulta por Urologìa, por presentar cuadro de siete años de evolución, caracterizado por presentar dolor testicular izquierdo tipo opresivo intermitente, con irradiación a región inguinal izquierda, sin factores asociados, recibiendo múltiples tratamientos, a base de analgésicos, y antibióticos por probable orquiepididimitis izquierda, con mejoría parcial de los síntomas, refiere leve aumento de consistencia en polo inferior de testículo izquierdo. Refiere presentar diario de manera súbita dolor en todo el testículo izquierdo, con irradiación a región inguinal izquierda.
Se realiza exploración física, en la que se evidencia aumento de consistencia del testículo izquierdo, con nódulo en polo inferior, no doloroso a la palpación, sin datos de infección ni fluctuación, con leve dolor a la presión testicular, resto de la exploración normal.
Por el dolor crónico y el aumento de consistencia del testículo izquierdo, se realiza ecografía testicular, en la que se evidencia lesión heterogénea de 2 cm de diámetro máximo, dependiente de polo inferior de testículo izquierdo; sin otros hallazgos de importancia ( Figura 1).

Se solicita marcadores tumorales, los cuales están en el rango normal. Se completa su protocolo de estudio con una tomografía toracoabdomniopelvica, sin datos de lesiones o tumores en otras áreas del cuerpo.
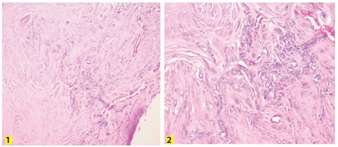
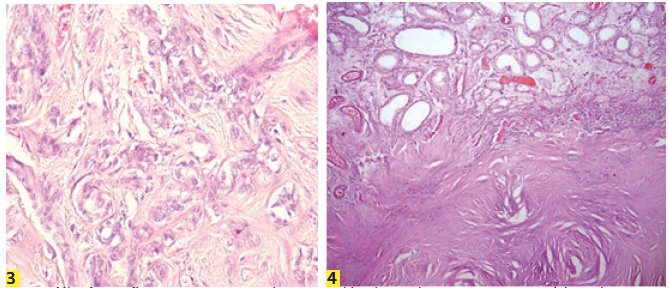
Se decide su programación para realizar orquiectomía radical izquierda, la cual se realiza sin complicaciones, con hallazgos de cordón espermático libre de neoplasia, piel de escroto libre de neoplasia, teniendo como reporte histopatológico: tumor de células de sertoli testicular, con bordes quirúrgicos libres de neoplasia, cordón libre de neoplasia, epidídimo libre de neoplasia, con bordes quirúrgicos negativos, con descripción microscópica en la que se observa: neoplasia intratesticular circunscrita compuesta por células cuboidales con atipia leve y citoplasma pálido que conforman estructuras tubulares y cordones sobre un estroma extensamente colagenizado que compone más de la mitad de la neoplasia. (Figura 1-2, 3-4). Cursando con evolución satisfactoria, con cicatrización completa de la herida, y actualmente en vigilancia, sin necesidad de tratamiento adyuvante.


Discusión
La mayor parte de los tumores de células de Sertoli son benignos, es conocido que las neoplasias testiculares por sí solas son una patología rara, estos tumores representan solo el 1% de todos los tumores malignos en los hombres. Las células neoplásicas de Sertoli son muy raras y representan menos del 1% de todos los tumores en el testículo. Este tumor suele encontrarse accidentalmente en una ecografía, durante algún estudio, ya sea por dolor testicular o más comúnmente por aumento de volumen en el testículo, como en nuestro caso. La mayoría de los tumores de células de Sertoli tienen un curso clínico benigno, pero del 10% al 22% de estos tumores pueden cambiar su comportamiento a tumores con características de agresividad.
Los datos publicados en 2016, provenientes de la base de datos nacional de cáncer de EE.UU., mostraron que sólo el 0,4% de los pacientes, fueron diagnosticados con tumores de células de Sertoli o células de Leydig malignos 18. De estos pacientes solo 65 (21%) de estos pacientes tenían un tumor maligno de células de Sertoli. En este estudio la tasa de supervivencia general a 1 y 5 años, para los tumores de células de Sertoli en estadio I fue: 93% (IC del 95% (intervalo de confianza): 83-100) y 77% (IC del 95%: 62-95), respectivamente. Estos tumores de Sertoli generalmente se encuentran de manera casual, como lesiones escrotales indoloras, sin la presencia de ningún otro síntoma, u ocasionalmente dolor leve. De los estudios que se disponen la ecografía testicular es la más útil, en este estudio un tumor de células de Sertoli se observa, como una lesión intratesticular hipoecoica, que de manera cotidiana suele ser solitaria 1 9. El tratamiento de estos tumores es la orquiectomía radical; se necesitaría tratamiento adicional solo si la cirugía no fue radical o si durante los estudios de extensión se documenta metástasis a distancia.
El pronóstico de estos pacientes normalmente es bueno debido a la ausencia de signos histológicos típicos de malignidad, extirpación radical del testículo afectado, marcadores tumorales no elevados y sin signos radiológicos visibles de enfermedad metastásica. No obstante, es necesario un seguimiento periódico para la detección y el tratamiento de posibles metástasis en el futuro 20- 22. Conocer los tipos de tumores de células de Sertoli ayuda a los patólogos y urólogos a elegir el abordaje terapéutico correcto, como en nuestro caso, en el que se prefirió una orquiectomía radical por abordaje inguinal. La caracterización inmunohistológica no siempre es fácil y pueden incluso referirse casos no concluyentes. La cirugía para preservar los testículos es probablemente la terapia más apropiada, pero en el presente caso, esto no se realizó debido a las incertidumbres con respecto al informe histológico preliminar 23- 25. El presente informe de caso tiene el objetivo general de aumentar el conocimiento sobre estos tumores. Sin embargo, no se pueden dar recomendaciones para el seguimiento adecuado de estos tumores, debido a su rareza y la falta de datos de seguimiento para la mayoría de los casos notificados 24.
Conclusión
El caso que presentamos es un aporte a la literatura mundial, ya que conociendo su relativa rareza y los pocos casos notificados, los tumores testiculares de células de Sertoli siguen siendo un misterio relativo y en la actualidad, continúan siendo un desafío para su diagnóstico en la medicina moderna. Con este caso, pretendemos apoyar en el conocimiento y fomentar la investigación adicional de estos tumores, con el objetivo de optimizar el diagnóstico, dar un adecuado tratamiento y un buen seguimiento de los pacientes con esta patología, y poder tener siempre en cuenta esta entidad, para realizar un buen diagnóstico y en el tiempo adecuado.
Referencias bibliográficas
1. Siegel RL, Miller KD, Jemal A. Cancer statistics, 2018. CA: A Cancer Journal for Clinicians. 2018;68(1):7-30. Disponible en: https://doi.org/10.3322/caac.21442
2. National Cancer Institute. Cancer of the Testis - Cancer Stat Facts [Internet]. SEER. Disponible en: https://seer.cancer.gov/statfacts/html/testis.html
3. Sarici H, Telli O, Arici M. Bilateral testicular germ cell tumors. Türk Üroloji Dergisi/Turkish Journal of Urology. 2013;39(4):249-52.
4. Huyghe E, Matsuda T, Thonneau P. Increasing Incidence of Testicular Cancer Worldwide: A Review. Journal of Urology. 2003;170(1):5-11. Disponible en: https://doi.org/10.1097/01.ju.0000053866.68623.da
5. Shanmugalingam T, Soultati A, Chowdhury S, Rudman S, Van Hemelrijck M. Global incidence and outcome of testicular cancer. Clinical Epidemiology. 2013;5(1):417-27. Disponible en: https://doi.org/10.2147/clep.s34430
6. Verhoeven RHA, Gondos A, Janssen-Heijnen MLG, Saum KU, Brewster DH, Holleczek B, et al. Testicular cancer in Europe and the USA: survival still rising among older patients. Annals of Oncology. 2013;24(2):508-13. Disponible en: https://doi.org/10.1093/annonc/mds460
7. Chia VM, Quraishi SM, Devesa SS, Purdue MP, Cook MB, McGlynn KA. International Trends in the Incidence of Testicular Cancer, 1973-2002. Cancer Epidemiology Biomarkers & Prevention. 2010;19(5):1151-9. Disponible en: https://doi.org/10.1158/1055-9965.epi-10-0031
8. Punjani N, Winquist E, Power N. Do retroperitoneal extragonadal germ cell tumours exist?. Canadian Urological Association Journal. 2015;9(11-12):381.
9. Turnbull C, Rahman N. Genome-wide association studies provide new insights into the genetic basis of testicular germ-cell tumour. International Journal of Andrology. 2011;34(4):e86-97. Disponible en:
10. Greene MH, Kratz CP, Mai PL, Mueller C, Peters JA, Bratslavsky G, et al. Familial testicular germ cell tumors in adults: 2010 summary of genetic risk factors and clinical phenotype. Endocrine-related cancer. 2010;17(2):109-21. Disponible en: https://doi.org/10.1677/erc-09-0254
11. Ulbright TM, Amin MB, Young RH. Tumors of the testis, adnexa, spermatic cord, and scrotum. Atlas of Tumor Pathology, 3rd Series, Fascicle 25, Washington DC: Armed Forces Institute of Pathology. 1999.
12. Giglio M, Medica M, de Rose AF, Germinale F, Ravetti JL, Carmignani G. Testicular Sertoli Cell Tumours and Relative Sub-Types. Urologia Internationalis. 2003;70(3):205-10.
13. Zukerberg LR, Young RH, Scully RE. Sclerosing Sertoli Cell Tumor of the Testis. The American Journal of Surgical Pathology. 1991;15(9):829-34.
14. Anderson GA. Sclerosing Sertoli cell tumor of the testis: a distinct histological subtype. J Urol. 1995;154(5):1756-8.
15. de Diego Rodriguez E, Pascual Soria C, Portillo Martin JA. Tumor testicular de células de sertoli esclerosante en paciente VIH. Arch Esp urol, 2001; 54: 1129-32.
16. Gravas S, Papadimitriou K, Kyriakidis A. Sclerosing Sertoli Cell Tumor of the Testis: A Case Report and Review of the Literature. Scandinavian Journal of Urology and Nephrology. 1999;33(3):197-9.
17. Hita Rosino E, López Hidlgo J, Mellado Mesa P, Olivar Buera M. Tumor testicular de células de sertoli. Actas Urol Esp. 2001; 25: 74-77.
18. Reale D, Pascale M, Vitullo G, Di Virgilio M, Pizzicannella J, Piccolotti G. Sclerosing Sertoli cell tumor of the testis, Report of a case and review of the literature. Minerva Urol Nefrol. 2002;54(3):179-82.
19. Colecchia M. Observations on the Paper ?Sclerosing Sertoli Cell Tumor of the Testis. American Journal of Surgical Pathology. 2014;38(8):1160.
20. Young RH, Koelliker DD, Scully RE. Sertoli Cell Tumors of the Testis, Not Otherwise Specified. The American Journal of Surgical Pathology. 1998;22(6):709-21.
21. Moch H, Cubilla AL, Humphrey PA, Reuter VE, Ulbright TM. The 2016 WHO Classification of Tumours of the Urinary System and Male Genital Organs-Part A: Renal, Penile, and Testicular Tumours. European Urology. 2016 Jul;70(1):93-105.
22. Proppe KH, Scully RE. Large-cell Calcifying Sertoli Cell Tumor of the Testis. American Journal of Clinical Pathology. 1980;74(5):607-19.
23. Handley J, Carson D, Sloan J, Walsh M, Thornton C, Hadden D et al. Multiple lentigines, myxoid tumours and endocrine overactivity; four cases of Carney?s complex. British Journal of Dermatology. 1992;126(4):367-371.
24. Handley J, Carson D, Sloan J, Walsh M, Thornton C, Hadden D, et al. Multiple lentigines, myxoid tumours and endocrine overactivity; four cases of Carney?s complex. British Journal of Dermatology. 1992;126(4):367?71.
25. García-Villa P, Martínez-Arroyo C, Salgueiro-Ergueta R, Paredes-Mendoza J, Zárate-Osorno A, Marina-González J. Tumor testicular maligno de células de Sertoli en edad madura. Rev Mex Urol. 2009;69(3):123-126.Disponible en: https://www.elsevier.es/es-revista-revista-mexicana-urologia-302-articulo-tumor-testicular-maligno-celulas-sertoli-X2007408509495407
26. Terayama K, Hirokawa M, Shimizu M, Kanahara T, Manabe T. Sertoli cell tumor of the testis. Report of a case with imprint cytology findings. Acta Cytologica. 1998;42(6):1458?60.