Casos clinicos
Diagnóstico Prenatal de Fibroelastosis Endocardica
Systemic Sclerosis and Lupus Overlap Syndrome
Diagnóstico Prenatal de Fibroelastosis Endocardica
Gaceta Médica Boliviana, vol. 44, núm. 2, pp. 271-273, 2021
Universidad Mayor de San Simón
Recepción: 16 Septiembre 2021
Aprobación: 30 Octubre 2021
Resumen: La fibroelastosis endocárdica es una cardiopatía congénita caracterizada por presentar un engrosamiento difuso del endocardio, esto condiciona una miocardiopatía dilatada en la mayoría de los casos o menos frecuente una miocardiopatía restrictiva. Puede ser una patología primaria o secundaria a otras malformaciones cardíacas, sobre todo a una estenosis o atresia de la aorta. Se estima que la incidencia global al nacimiento es de 1 de cada 5 000 y de 4 por cada 100 cardiopatías congénitas. Se presenta el caso clínico de una gestante de 37 años de edad, quien fuera ingresada a las 19.1 semanas de gravidez en el Hospital Obrero N°2 de Cochabamba-Bolivia, por el diagnóstico ecográfico prenatal de cardiopatía fetal estructural, fibroelastosis endocárdica.
Palabras clave: fibroelastosis endocárdica, cardiopatías congénitas, síndrome del corazón izquierdo hipoplásico, diagnóstico prenatal.
Abstract: Endocardial fibroelastosis is a congenital heart disease characterized by diffuse thickening of the endocardium, this conditions a dilated cardiomyopathy in most cases or less frequent restrictive cardiomyopathy. It can be a primary pathology or secondary to other cardiac malformations, especially a stenosis or atresia of the aorta. The global incidence at birth is estimated to be 1 in 5 000 and 4 in 100 congenital heart disease. The clinical case of a 37-year-old pregnant woman is presented, who was admitted at 19.1 weeks of pregnancy in Hospital Obrero N ° 2 in Cochabamba-Bolivia, due to the prenatal ultrasound diagnosis of structural fetal heart disease, endocardial fibroelastosis.
Keywords: endocardial fibroelastosis, congenital heart defects, hypoplastic left heart syndrome, prenatal diagnosis.
Entre las 27 a 37 días de desarrollo, se observa la formación de los tabiques del corazón, formando así el corazón derecho e izquierdo. En la 5ª semana se forma el tabique auriculoventricular, en tanto que las válvulas auriculoventriculares y semilunares tienen un desarrollo entre la 5ª y 8 semana 1. El corazón normalmente se observa como una estructura conformada por cuatro cámaras relativamente simétricas con un centro cardioregulador que se sitúa cerca a la abertura de la vena cava superior (VCS), el nódulo sinoauricular, en la base del tabique interauricular que comanda la contractibilidad casi simultánea entre ambas aurículas seguido de los ventrículos.
La fibroelastosis endocárdica una cardiopatía poco frecuente, resulta de la deposición patológica de colágeno y elastina dentro del endocardio, provocando una inflamación poco común del endocardio (endocarditis). Es una patología cardiaca rara de causa indeterminada, constituyendo entre el 1 a 4 % de los casos de cardiopatías congénitas y con una tasa de ocurrencia de 1 cada 5 000 a 6 000 nacimientos 11; presenta engrosamiento fibroelástico, ya sea focal o difuso, del endocardio parietal, sobre todo a nivel del ventrículo izquierdo; puede asociarse a otra malformación cardíaca congénita, siendo la obstrucción aórtica la más común presentándose en casi un tercio de los casos 2.
La fibroelastosis endocárdica primaria no está asociada a otras anomalías cardíacas estructurales. El ventrículo afectado por lo general se observa dilatado, hipertrófico o ?constreñido?.. En el caso de la fibroelastosis endocárdica secundaria, se presenta como una anomalía cardíaca estructural generando dilatación o hipertrofia de las cámaras afectadas. La forma dilatada suele aparecer con enfermedad valvular aórtica, coartación de la aorta, enfermedad valvular mitral, u otras lesiones; en tanto que la forma constrictiva se asocia con estenosis o atresia aórtica 4.
Suelen diagnosticarse en el segundo y tercer trimestres de gestación siendo el tipo secundario el más frecuente asociado a obstrucción del tracto de salida del ventrículo izquierdo 5.
Presentación del caso
Paciente femenina de 37 años de edad, G3P1A1C0, parto eutócico hace 13 años con producto a término; aborto retenido hace 3 años resuelto con reporte histopatológico de mola hidatiforme parcial, acude a emergencias de ginecología en el Hospital Obrero N°2 presentando un cuadro clínico de 2 horas de evolución caracterizado por presentar sangrado transvaginal de coloración café oscuro en escasa cantidad, asociado a dolor de intensidad leve en región perineal.
Al examen físico se observa abdomen globuloso a expensas de útero grávido con fondo uterino de 21 cm, producto único, frecuencia cardiaca fetal de 140 por minuto, dinámica uterina negativa y tono uterino normal. Al examen especular se observa cérvix posterior epitelizado con sangrado café en moderada cantidad a través del orificio cervical externo proveniente de cavidad uterina. La paciente es hospitalizada con el diagnostico embarazo de 19 semanas, amenaza de aborto.
La ecografía obstétrica de control reporta 1) Embarazo de 19,1 semanas, 2) Peso estimado fetal menor al percentil, 3) silueta cardiaca anormal.
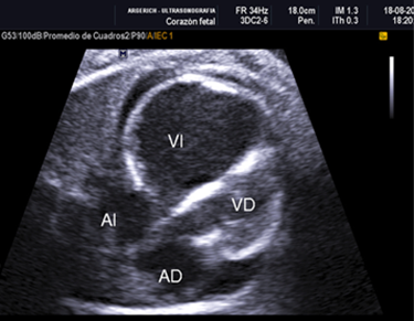
Por tal hallazgo se solicita ecocardiografía fetal a la unidad de Medicina fetal que reporta:1) Engrosamiento hiperecogenico endocárdico del ventrículo izquierdo dilatado con disfunción diastólica severa, motilidad ventricular casi ausente compatible con fibroelastosis endocárdica (Figura Nº1). 2) Desviación del tabique interventricular al lado derecho con dos comunicaciones interventriculares pequeñas cerca del ápex. 3) Derrame pericárdico de 3 mm en relación a la pared posterior del VI. 4) tractos de salida y entrada normales. También se solicita Doppler obstétrico observándose hemodinamia feto-placentaria y útero-placentaria normal (Figura 1).
Tras valoración por la unidad, se determina un pronóstico pobre, una patología con alta tasa de letalidad pre y posnatal, con una posible asociación a aneuploidía. Se solicita cariotipo fetal en líquido amniótico, cuyo resultado a las 3 semanas indica: cariotipo 47, XX, +18 pura. La unidad de medicina materno fetal se reúne con la paciente y le explican la situación del feto y el embarazo como de alto riesgo de óbito intrauterino y eventualmente posnatal temprano. Dada la anomalía cardiaca y cromosomopatía se consideró realizar una junta médica para una interrupción voluntaria, el cual es rechazado por la paciente. La paciente es dada de alta hospitalaria con controles periódicos frecuentes, realizándose un total de 8 controles.

En la semana 37 paciente acude nuevamente a emergencia con un cuadro clínico de cefalea holocraneana de tipo opresivo de moderada intensidad, edema de ambos miembros inferiores. Como hallazgo positivo al examen clínico presentó una presión arterial de 150/92 mmHg, que sumado a la cefalea se decide su internación con el diagnóstico de: 1) Embarazo de 37 semanas y 3 días 2) Feto único vivo, 3) Preeclampsia con datos de severidad, 4) Cardiopatía fetal compleja.
Se realiza cesárea segmentaria tipo Kerr obteniéndose un RN de sexo femenino con peso de 2740 gramos, talla de 47 cm y APGAR 8/9.
Se realizaron los estudios postnatales que confirmaron la fibroelastosis subendocardica con insuficiencia grave del ventrículo izquierdo. Debido a la alta complejidad de la patología, el recién nacido afectado falleció a las 3 semanas de vida extrauterina en su domicilio. No se realizó autopsia.
Discusión
El endocardio experimenta una transición a fibroblastos y produce colágeno-elastina, esta transición y producción de colágeno-elastina se da en la vida intrauterina y en la infancia, cuando el potencial de crecimiento celular sea mayor.. Es por esto que la fibroelastosis endocárdica se caracteriza por una pérdida total de la contractibilidad del ventrículo izquierdo, debido a un desarrollo insuficiente de la musculatura cardiaca y formación de tejido fibroso anormal, condicionando así una severa disfunción contráctil, asociado o no a una estenosis aórtica (Figura 2).

Esta patología puede estar asociada también a otras anomalías genéticas como tales como el síndrome de Turner, el síndrome de Jacobsen y la trisomía 13 y 18 8.
Los hallazgos ecográficos, en el caso de fibroelastosis del ventrículo izquierdo, muestran las paredes de este dilatadas e hiperecogénicas, en caso de estenosis aórtica la válvula aórtica aparenta estar engrosada, con dilatación postestenótica. Su diagnóstico definitivo se realiza mediante la biopsia del ventrículo izquierdo 9.
La circulación posnatal en los recién nacidos se da por la persistencia del conducto arterioso, es por eso que a los pacientes hay que administrarles prostaglandina al momento del nacimiento para mantener la apertura del conducto arterioso; es por eso que se debe conocer la condición fetal prenatal para una adecuada planificación y en caso de no contar con los recursos, realizar una derivación a un centro especializado que cuente con una unidad de cuidados neonatales. En casos avanzados la terapia de elección es el trasplante cardiaco.
Cuando se observa alteración de la función cardíaca, sospecha de disfunción miocárdica, además de estenosis aórtica y datos ecográficos típicos de la fibroelastosis, se puede considerar terminar la gestación 10.
Actualmente el diagnóstico de la fibroelastosis endocárdica se puede realizar a través de la ecografía obstétrica, y es por eso que se debe tener un conocimiento óptimo de la anatomía cardíacas y realizar una adecuada interpretación de las imágenes ecográficas y ecocardiográficas durante el desarrollo fetal, para así poder hacer un diagnóstico precoz, lo que permitirá planificar la forma y momento adecuados para el parto para poder brindar un tratamiento oportuno al recién nacido.
Referencias bibliográficas
1. Tortora-Derrickson: Principios de anatomía y fisiología, 11ª edición. Consultado el 15 de febrero de 2017.
2. Yuste P, García Fernández MA, Barroso E, Fernández Espino R, Vargas J. Atlas de ecocardiografía bidimensional y Doppler. Madrid: Capitel Editores; 1982. p. 222-3.
3. Fink BW. Congenital heart disease: A deductive approach to its diagnosis. Chicago: Year Book Medical Publishers; 1975. p. 137-46.
4. Behrman RE, Kliegman RM, Jenson HB. Nelson. Tratado de Pediatría. 17 ed. Madrid: Elsevier; 2004.
5. Rustico MA, Benettoni A, Bussani R, Maieron A, Mandruzzato G. Early fetal endocardial fibroelastosis and critical aortic stenosis: a case report. Ultrasound in Obstetrics and Gynecology. 1995;5(3):202?5.
6. Kapadia SR, Leon MB, Makkar RR, et al: Five-year outcomes of transcatheter aortic valve replacement compared with standard treatment for patients with inoperable aortic stenosis (PARTNER 1): a randomised controlled trial. Lancet 385:2485?2491;2015.
7. R Kapadia S, B Leon M, R Makkar R, Tuzcu M, G Svensson L. 5-year outcomes of transcatheter aortic valve replacement compared with standard treatment for patients with inoperable aortic stenosis (PARTNER 1): a randomized controlled trial. The Lancet. 2015;385(9986):2485?91. Disponible en: https://doi.org/10.1016/s0140-6736(15)60290-2
8. Mielke G, Mayer R, Hassberg D, Breuer J. Sequential development of fetal aortic valve stenosis and endocardial fibroelastosis during the second trimester of pregnancy. American Heart Journal. 1997;133(5):607?10.
9. Cotran RS, Kumar V, Collins T. Robbins. Patología estructural y funcional. 6 ed. Madrid: McGraw-Hill Interamericana; 2000. p. 162.
10. Pons Porrata LM, George Pardo CA, Gómez Pérez H, Peña Reyes JM, Guerrero Fernández CM. Fibroelastosis cardíaca fetal. MEDISAN. 2011; 15(9):1314-131. Disponible en: https://www.imbiomed.com.mx/articulo.php?id=77037.
11. Julia A. Drose. (2011). Ecocardiografía fetal. Segunda edición. Editorial Amolca.