Casos clinicos
Recepción: 20 Septiembre 2021
Aprobación: 03 Noviembre 2021
DOI: https://doi.org/10.47993/gmb.v44i2.312
Resumen: La colitis isquémica representa la forma más frecuente de isquemia intestinal ( 60-70%) como consecuencia de privación transitoria del flujo vascular por alteraciones anatómicas funcionales, locales o sistémicas. Se presenta el caso clínico de paciente de 70 años de edad procedente de La Paz Bolivia, ciudad a 3 650 m.s.n.m. a quien se diagnosticó colitis isquémica por torsión del eje mesentérico a nivel de colon sigmoides asociado a dolicomegacolon andino, procediendo a colectomía izquierda y anastomosis termino-terminal, con buena evolución.
Palabras clave: colitis isquémica, enfermedades del colon, colectomía.
Abstract: Ischaemic colitis represents the most frequent form of intestinal ischaemia (60-70%) as a consequence of transient deprivation of vascular flow due to functional, local or systemic anatomical alterations. We present a case report of a 70-year-old patient from La Paz, Bolivia, a city at an altitude of 3 650 m.a.m.s.l., who was diagnosed with ischaemic colitis as a result of torsion of the mesenteric axis at the level of the sigmoid colon associated with Andean dolichomegacolon, followed by left colectomy and termino-terminal anastomosis, with satisfactory evolution.
Keywords: ischemic colitis, colonic diseases, colectomy.
La isquemia intestinal es la condición clínica que aparece cuando el flujo sanguíneo del territorio mesentérico resulta insuficiente para satisfacer los requerimientos del intestino. De acuerdo con la clasificación propuesta por la Asociación Americana de Gastroenterología (AGA), la isquemia intestinal se subdivide en tres formas clínicas bien diferenciadas: isquemia mesentérica aguda, isquemia mesentérica crónica y colitis isquémica (CI) 1. La CI representa la forma más frecuente de isquemia intestinal (60-70%) y surge cuando el colon se ve transitoriamente privado del flujo vascular debido a una alteración de la circulación sistémica o a un problema local de naturaleza anatómica o funcional. Su presentación oscila entre las formas leves y transitorias con afección de la mucosa y la submucosa, y las formas fulminantes que conducen a un estado de necrosis gangrenosa con perforación, peritonitis y muerte 2, 3.
En el caso que se presenta, el factor de riesgo para colitis isquémica fue la edad mayor a 60 años y la etiología fue la torsión del dolicomegacolon andino.
Presentación del caso
Paciente mujer de 77 años de edad procedente de La Paz Bolivia, región a 3 650 m.s.n.m. con constipación ocasional, presenta dolor cólico súbito en flanco izquierdo, proctalgia, sensaciones de urgencia para defecar y de cuerpo extraño en recto, escasa eliminación de gases y heces, no rectorragia ni hematoquecia. En los primeros días de internación se realiza rectosigmoidoscopía flexible y posterior colonoscopia que muestran hemorroides internas GII y a 35 cm del margen anal un tumor de sigmoides circunferencial friable, con superficie vascularizada irregular con NBI (Imágenes de banda estrecha), luz de 14 mm, se toman biopsias ( Figura 1-A).

A. Tumor de sigmoides circunferencial friable, superficie vascularizada irregular con NBI, luz de 14 mms (Diagnóstico endoscópico: adenocarcinoma vs. Enfermedad inflamatoria intestinal)
B. Rectosigmoidoscopía normal
La histopatología es compatible con colitis isquémica asociada a proceso inflamatorio crónico y agudo (Figura 2-A) Serología Chagas, CEA, CA19,9 negativos, ecografía abdominal normal, ecocardiograma informa hipertensión pulmonar leve, insuficiencia mitral y tricuspídea leves, en la TAC abdominopélvica con contraste, se observa sigmoides y descendente con pared engrosada, estriaciones de la grasa perilesional por inflamación, se trata con ayuno, NPT (Nutrición parenteral total), cefotaxima por 10 días, mesalazina 500 mg c/8 hrs. VO por 3 semanas, al día 20 de internación nueva colonoscopía muestra luz normal, hemorroides GII, sigmoiditis erosiva edematosa, alta médica.

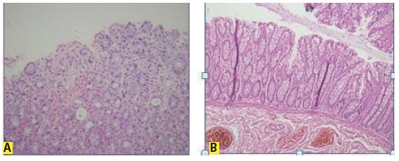
A. Signos histopatológicos de colitis isquémica (criptas marchitas, hialinización en la lámina propia, erosión superficial, edema, hemorragia y focos con tejido de granulación reparativo).
B. mucosa con áreas que muestran cambios isquémicos, pared con edema, cambios inflamatorios y plexos nerviosos intramurales con presencia habitual de células ganglionares. no se observa plexitis ni fibrosis periganglionar.
Reingresa a los 4 días con el mismo dolor en flanco izquierdo, poca evacuación, nueva rectosigmoidoscopia normal ( Figura 1-B), se realiza radiografía contrastada de colon (colon por enema) que muestra dolicomegacolon con torsión de sigmoides en roseta ( Figura 3), motivo de la colitis isquémica. Coloproctología realiza laparotomía, observa dolicomegasigmoide, descendente y sigmoides elongados y enrollado a nivel de unión rectosigmoidea y ángulo esplenocolónico con mesosigmoiditis retráctil, isquemia de sigmoides, procede a colectomía izquierda con anastomosis terminoterminal con stapler circular Nº33 más lavado, drenaje de cavidad y apendicectomía incidental tipo Pouchet ( Figura 3), no se realiza cirugía laparoscópica por tiempo de pandemia COVID-19. Histopatología de colon con cambios isquémicos, inflamatorios, edema de pared, plexo nervioso normal ( Figura 2-B). Con este tratamiento definitivo, la evolución fue favorable con buen pronóstico.

COLON POR ENEMA:dolicomegacolon, torsión de sigmoides en roseta
CIRUGÍA: dolicomegasigmoide, descendente y sigmoides elongados y enrollado a nivel de unión rectosigmoidea y ángulo esplenocolónico con mesosigmoiditis retráctil, isquemia de sigmoides.
Discusión
El dolicomegacolon andino o de altura se presenta en población que vive sobre los 3000 m.s.n.m en el que el diámetro rectosigmoideo transversal es superior a 6,5 cm. El Dr. David Frisancho en 1976 introduce el término dolicomegacolon andino diferenciando del dolicomegacolon chagásico producido por el Tripanosoma Cruzi, el megacolon andino es una enfermedad adquirida a lo largo de los años de residir en la altura, condicionando un colon más largo que su mesenterio lo que favorece su torsión 4- 10. La menor presión atmosférica en la altura según la ley física de Boyle y Mariotte provoca la expansión de gases intraluminales y la dieta en base a tubérculos, oca, chuño, papa, cereales, maíz, cebada, trigo, quinua, legumbres, habas, arvejas, tarwi con cáscara, o sea dieta con alto contenido de fibra que inhibe el fenómeno histológico denominado elastogénesis, con los años influyen en el aumento de la longitud y el diámetro luminal del colon , como en este caso 4, 5, diferenciando de la otra causa de dolicomegacolon adquirido por enfermedad de Chagas, donde hay degeneración o ausencia de los plexos nerviosos de Meissner y Auerbach 6, 7, patología prevalente en nuestro país en la amazonía, valles interandinos y el Chaco boliviano o el dolicocolon asociado a la masticación de hojas de coca por períodos prolongados, en el que se observa esteatosis intestinal en el estudio histopatológico 6, 8, 9. Es frecuente la mesosigmoiditis retráctil que aproxima los segmentos proximal y distal del sigmoides favoreciendo la torsión en forma de vólvulo 4, 10, en nuestra paciente el colon se enroló en forma de roseta comprometiendo la irrigación con consiguiente colitis isquémica, sin obstrucción intestinal completa.
La colitis isquémica (CI) es prevalente en edad mayor a 60 años, entre otros factores de riesgo están la hipercolesterolemia, DM por ateroesclerosis, insuficiencia cardìaca , PA baja como la hipertensión arterial, cirugía abdominal previa, ejercicio físico intenso como una maratón, insuficiencia renal, insuficiencia cardiaca, la hiperlipidemia, fármacos como la digoxina, anticonceptivos, quimioterápicos como el bevacizumab, el irinotecan, la cocaína por reducción del flujo sanguíneo del colon.
Los principales mecanismos causales pueden ser oclusivos o no oclusivos, Dentro las causas oclusivas se mencionan fenómenos embólicos o trombóticos de grandes vasos, vasculitis, hipercoagulabilidad, oclusión de vasos por causas mecánicas como la obstrucción intestinal, hipotensión durante o después de una cirugía, causas que aumenten la presión intraluminal como impactación fecal o tumores obstructivos, en la forma oclusiva la afectación suele ser transmural y conduce a un estado de necrosis gangrenosa con independencia del área afectada por la hipoxia 3.
La CI no oclusiva se da por hipoperfusión de la microvasculatura mesentérica, más frecuente en la flexura esplénica y en la unión rectosigmoidea como sucedió en nuestra paciente, la afectación es intramural (no gangrenosa) y el pronóstico es más favorable 3.
El origen de la colitis isquémica en nuestro caso fue no oclusivo por la torsión del eje mesentérico, no llegando a producir en ningún momento volvulación completa del colon sigmoides, manifestándose por alteraciones vasculares visualizadas en endoscopía e histopatología, posteriormente se llegó al diagnóstico definitivo de la alteración anatómica que originó la isquemia mediante el estudio contrastado de colon (colon por enema) y de esta manera se pudo solucionar esta alteración de forma definitiva mediante colectomía izquierda.
Existen pocos casos reportados de vólvulo de sigmoides en dolicomegacolon de altura con obstrucción completa y no así una torsión parcial como causa de colitis isquémica.
Conclusión
A pesar de los adelantos tecnológicos y mayores métodos de imagen diagnósticos , el colon por enema sigue siendo útil en la valoración del dolicomegacolon. La principal complicación del dolicomegacolon andino o de altura es el vólvulo de colon particularmente del sigmoides, en este caso la torsión en roseta sin obstrucción completa provocó una colitis isquémica con resolución quirúrgica satisfactoria.
Referencias bibliográficas
1.Brandt LJ, Boley SJ. AGA technical review on intestinal ischemia. American Gastrointestinal Association. Gastroenterology. 2000; 118 (5) : 954-68. Disponible en: https://doi.org/10.1016/S0016-5085(00)70183-1.
2. Sleisenger MH, Fordtran JS, Feldman M, Brandt LJ, Lawrence Samuel Friedman. Sleisenger & Fordtran?s Gastrointestinal and liver disease : pathophysiology, diagnosis, management. Philadelphia, Pa: Saunders-Elsevier, Cop; 2016. p. 2563-86.
3. Montoro Huguet MÁ, Santolaria Piedrafita S. Colitis isquémica. Gastroenterología y Hepatología Continuada. 2010;9(4):202?9. Disponible en: https://doi.org/10.1016/S1578-1550(10)70044-9
4. Frisancho OV. Dolicomegacolon Andino y Vólvulos Intestinales de Altura. Rev Gastroenterol Perú. 2008; 28(3) : 248-257.
5. López Ferrufino J, López Rivero L. Modificaciones Del Aparato Digestivo En La Altura Dolicomegacolon Andino (de la altura). Revista Paceña De Medicina Familiar. 2005;2(1):21?26.
6. Saravia Burgos J, Acosta Canedo J, Megacolon y vólvulo de sigmoides; incidencia y fisiopatología, Rev Gastroenterol del Perú. 2015; 35 (1): 38-44.
7. Rezende JM, Moreira H. Forma digestiva da doença de Chagas. En: Brener Z., Andrade ZA, Barral-Netto M., editores. Trypanosoma cruzi e doença de Chagas. Guanabara Koogan Ed; Río de Janeiro: 2000. págs. 297?343.
8. Biondich AS, Joslin JD. Coca: The History and Medical Significance of an Ancient Andean Tradition. Emergency Medicine International. 2016;2016:1?5.
9. Saravia J. Intestinal Steatosis: A Prospective Study, American Journal of Gastroenterology. 2017;112: S1454,S1456.
10. Borda Mederos LA, Kcam Mayorca EJ, Alarcon Aguilar P, Miranda Rosales LM. Megacolon andino y vólvulo del sigmoides de la altura: Presentación de 418 casos entre 2008 - 2012 en el hospital C. Monge - Puno, Perú. Revista de Gastroenterología del Perú. 2017;37(4):317?22. Disponible en: http://www.scielo.org.pe/scielo.php?script=sci_arttext&pid=S1022-51292017000400004.