Casos clínicos
Resección laparoscópica de mielolipoma suprarrenal gigante
Laparoscopic resection of giant adrenal myelolipoma
Resección laparoscópica de mielolipoma suprarrenal gigante
Gaceta Médica Boliviana, vol. 44, núm. 1, pp. 108-112, 2021
Universidad Mayor de San Simón
Recepción: 14 Noviembre 2020
Aprobación: 04 Abril 2021
Resumen: Los mielolipomas suprarrenales son neoplasias suprarrenales benignas compuestas como su nombre lo indica, por tejido adiposo y tejido hematopoyético. Comprenden entre 6 - 16% de los incidentalomas suprarrenales, El tamaño de estos tumores es variable, desde unos pocos milímetros hasta > 10 cm, es entonces cuando se denominan adrenomielolipomas gigantes. Los síntomas de presentación más comunes son: Dolor abdominal: 22,5%, dolor en hipocondrio: 13,9%, dolor en el flanco: 13,9%, masa abdominal: 5,2%, y en raras ocasiones, disnea, dolor en espalda, fiebre, pérdida de peso y virilización. Presentación del caso: paciente masculino de 61 años de edad, con presencia de tumor de 15 x 12 cm, dependiente de glándula suprarrenal derecha, que comprime polo superior de riñón derecho, de -20 UH, compatible con mielolipoma suprarrenal derecho gigante, hallazgos incidentales, durante protocolo de estudio por crecimiento prostático, se realiza procedimiento de resección de tumor suprarrenal por abordaje laparoscópico, con excelentes resultados clínicos, sangrado mínimo y recuperación inmediata. Conclusión: el mielolipoma suprarrenal es un tumor benigno que se diagnostica en la mayoría de los casos de manera incidental, se sabe que clínicamente es no funcional, aunque siempre se deben de hacer estudios hormonales preoperatorios. El tratamiento de los mielolipomas suprarrenales, depende de cada caso clínico, siendo una recomendación el tratamiento quirúrgico de los tumores grandes >5 cm, sugerimos que se pueda optar por el abordaje laparoscópico, por ser el menos invasivo y con menor tasa de complicaciones, además de la recuperación pronta del paciente.
Palabras clave: Mielolipoma, suprarrenal, laparoscopia.
Abstract: Adrenal myelolipomas are benign adrenal neoplasms composed, as the name implies, of adipose tissue and myeloid (hematopoietic) tissue. They comprise between 6 and 16% of adrenal incidentalomas. The size of these tumors is variable and can vary from a few millimeters to more than 10 cm when they are called giant adrenomyelolipomas. The most common clinical presenting symptoms of adrenal myelolipomas are as follows: Abdominal pain: 22.5%, hypochondrial pain: 13.9%, flank pain: 13.9%, abdominal mass: 5.2%, and rarely, dyspnea, back pain, fever, weight loss and virilization. Presentation of the case: 61-year-old male, with the presence of a 15 x 12 cm tumor, dependent on the right adrenal gland, compressing the upper pole of the right kidney, -20 HU, compatible with giant right adrenal myelolipoma, incidental findings, during study protocol due to prostatic growth, a laparoscopic adrenal tumor resection procedure is performed, with excellent clinical results, minimal bleeding and immediate recovery. Conclusion: adrenal myelolipoma is a benign tumor that is diagnosed incidentally in most cases, it is known to be non-functional clinically, although preoperative hormonal studies should always be done. The treatment of adrenal myelolipomas depends on each clinical case, being a recommendation the surgical treatment of large tumors> 5 cm, we suggest that the laparoscopic approach be chosen, as it is the least invasive and with the lowest rate of complications, in addition of the prompt recovery of the patient.
Keywords: Myelolipoma, adrenal, laparoscopy.
Los mielolipomas suprarrenales son tumores suprarrenales de características benignas, estos tumores están compuestas como su nombre lo indica, por tejido adiposo (graso) y tejido mieloide (hematopoyético). Estos tumores comprenden aproximadamente entre el 6 al 16% de los incidentalomas suprarrenales, se refiere a indicentaloma, a aquellos tumores que son detectados durante estudios de gabinete por otra patología o dolencia y estos tumores comprenden la 2da causa más común de tumores suprarrenales después de los adenomas suprarrenales 1. Estos tumores suelen reconocerse en la edad adulta, con una edad media de diagnóstico aproximadamente a los 51 años de edad. No hay predilección de género. Puede haber una ligera predilección por el lado derecho 6.
En raras ocasiones, los mielolipomas suprarrenales se encuentran fuera de las glándulas suprarrenales, en este caso se denominan mielolipomas extrasuprarrenales o extra-adrenales.
Clínicamente, estos tumores pueden ser asintomáticos en la mayoría de los casos o presentarse con dolor abdominal de tipo cólico u opresivo, también pueden acompañarse ocasionalmente de náuseas e incluso llegar al vómitos. En la tomografía abdominopelvica contrastada endovenosa aparecen como tumores de características hipodensas bien circunscritas, de bordes claros y regulares, con una atenuación de -90 a -120 UH (unidades hounsfield) 1- 4.
Su etiopatogenia sugiere que es por los estímulos, como la necrosis o la inflamación, que podrían conducir a la metaplasia de las células reticuloendoteliales, lo que podría conducir al desarrollo de mielolipomas suprarrenales. Esta hipótesis se apoya en el aumento de la incidencia en los años avanzados de vida. Otros datos afirman que los adipocitos se desarrollan a partir de las células madre mesequimatosa en el endotelio, lo que da como resultado una inflamación que lleva a la corteza suprarrenal a secretar mediadores responsables del reclutamiento de progenitores hematopoyéticos, con la consiguiente proliferación y aumento del número de células hematopoyéticas. Por último, otra hipótesis elaborada por Hans et al, observaron que la inyección de extracto de pituitaria en ratas conduce a la transformación de la corteza suprarrenal en tejido similar a la médula ósea, con posterior proliferación celular. Por tanto, se planteó la hipótesis de que el exceso de ACTH, podría ser responsable de la patogenia de los mielolipomas suprarrenales. Esta teoría está respaldada por la mayor incidencia de mielolipomas suprarrenales en la hiperplasia suprarrenal congénita (CAH), donde los niveles de ACTH pueden ser muy altos. Otras teorías proponen que el estilo de vida estresante y una dieta desequilibrada podrían influir en la historia natural de los mielolipomas 4, 5.
El tamaño de estos tumores es variable y puede variar desde unos pocos milímetros hasta más de 10 cm, es entonces cuando se denominan adrenomielolipomas gigantes.
Los síntomas de presentación clínica más comunes de los mielolipomas suprarrenales son los siguientes: Dolor abdominal: 22,5%, dolor hipocondrial: 13,9%, dolor en el flanco: 13,9%, masa abdominal: 5,2%, y en raras ocasiones, disnea, dolor en espalda, fiebre, pérdida de peso y la virilización5.
Presentación del caso
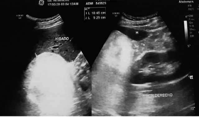
Presentamos el caso de un paciente masculino de 61 años de edad, con antecedente de hipertensión arterial sistémica de 6 años de diagnóstico, con adecuado control, quien acude a control por sintomatología urinaria obstructiva baja moderada, con dificultad para la micción, disminución de la fuerza y calibre de la micción, inició su padecimiento hace 1 año, por lo que se solicitan exámenes de laboratorio y gabinete de control, documentando, próstata de 80 gr, riñones normales, observando lesión sólida de 12 x 10 cm sobre el polo superior de riñón derecho, con escaso realce a la aplicación de Doppler, imagen hiperecoica con regiones hipoecoicas entremezcladas, sugestivas de mielolipoma suprarrenal ( figura 1).

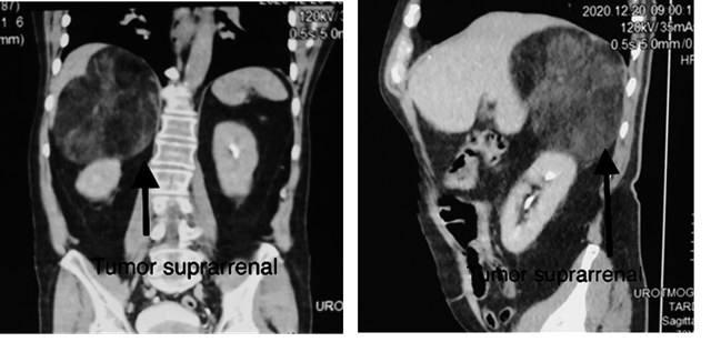
Con estos hallazgos, se decide realizar una tomografía abdominopélvica simple y contrastada en sus 3 fases (arterial, venosa y de eliminación), en la que se evidencia tumor de 15 x 12 cm, dependiente de glándula suprarrenal derecha, que comprime polo superior de riñón derecho, de -20 UH, compatible con mielolipoma suprarrenal derecho gigante, sin alteraciones en otras estructuras, con estos datos de tener una densidad de características grasa totalmente, sin llegar a tener unidades positivas mayor a 10 UH, no fue necesario realizar un estudio de contraste precoz y tardío para evaluar el wash-out, sabiendo que este cálculo se realiza en lesiones con densidades positivas, por las características totalmente benignas, y de componente graso se decide tratamiento quirúrgico ( figura 2).

Se decide iniciar tratamiento médico por crecimiento prostático obstructivo, a base de Tamsulosina 0.4 mg, se realiza estudio hormonal de función del tumor suprarrenal, mediante la medición de cortisol serico, metanefrinas en orina, las cuales fueron negativas, no fue necesario un estudio de aldosterona por no tener datos de descontrol hipertensivo de difícil manejo, con estos resultados se programa cirugía de resección de mielolipoma suprarrenal derecho por abordaje laparoscópico trasnperitoneal. El procedimiento se realizó en posición de lumbotomia, colocación de sonda Foley 18 Fr, se procedió a colocar tres trocares: uno a nivel para umbilical derecho de 10 mm y dos más a nivel de la línea clavicular media de 5 mm ( figura 3).

Se liberaron las adherencias, se realiza incisión en fascia de told, de desciende colon derecho, se localiza tumor, se diseca y se separa de su plano con polo superior de riñón derecho, con apoyo de energía bipolar, se controla vasos de tumor con Enseal, y se corta, se completa disección de tumor en su totalidad, se corrobora hemostasia, ( figura 4) y se amplía incisión de trocar de 5 mm sobre la cresta iliaca, y se extrae pieza por ese puerto ( figura 5), se deja drenaje tubular en lecho quirúrgico. Se calculó un sangrado aproximado de 250 ml. El paciente cursó con adecuada evolución y fue egresado a las 48 horas, con drenaje y posterior retiro a los 5 días, sin complicaciones.


El resultado histopatológico señaló: mielolipoma suprarrenal.
A los 4 meses de seguimiento, el paciente se encuentra hemodinamicamente estable, sin alteraciones funcionales, con buena evolución, aún con tratamiento para evitar el crecimiento prostático.
Discusión
La importancia del reporte de este caso recae en que si bien, no hay evidencia de transformación maligna de estos tumores en la literatura, el tratamiento de estos tumores benignos depende del patrón clínico ante el que nos presentamos, es así que nos podemos encontrar dentro de uno de cuatro patrones clínico-patológicos 6.
Mielolipoma suprarrenal aislado se refiere a una glándula suprarrenal normal, este es el patrón de presentación más común. Son asintomáticos y se identifican incidentalmente.
Mielolipoma suprarrenal con hemorragia aguda tiene como complicación mas común la hemorragia retroperitoneal. Las lesiones aisladas más grandes (más de 4 cm) y aquellas compuestas predominantemente de grasa > 50%, tienen un mayor riesgo de sangrado 9, 10.
Mielolipoma extraadrenal ocurren fuera de la glándula suprarrenal, se encuentran con mayor frecuencia en el retroperitoneo, donde se informa que la ubicación presacra o perirrenal.
Mielolipoma suprarrenal con enfermedad suprarrenal asociada es el menos frecuente, tiende a tener un trastorno endocrinológico se ha notificado hipercortisolismo (síndrome de Cushing), hiperplasia suprarrenal congénita e hiperaldosteronismo primario.
El mielolipoma suprarrenal más grande notificado hasta la fecha pesaba 6 kg. Los sitios extraadrenales incluyen el retroperitoneo, el tórax y la pelvis. Por lo general son tumores unilaterales, sin embargo, también pueden afectar a ambas glándulas suprarrenales 7, 8.
El tratamiento del mielolipoma suprarrenal debe decidirse en función del tamaño y compromiso clínico. Las lesiones pequeñas que miden menos de 5 cm y las asintomáticas generalmente se controlan mediante estudios de imágenes durante un período de 1 a 2 años, y se mantienen en vigilancia. Se sugiere que los tumores sintomáticos o mayores de 7 cm, deben ser sometidos a escisión quirúrgica, como en nuestro caso un tumor de más de 10 cm. El enfoque se basa principalmente en la incidencia de emergencias potencialmente mortales, causadas por ruptura y hemorragia dentro de lesiones grandes 13. Las técnicas mínimamente invasivas y endoscópicas se utilizan mejor para lesiones de menor tamaño, según la experiencia del operador. El tipo de abordaje y la técnica por vía laparoscópica, necesita una amplia experiencia y técnica para tumores voluminosos. El seguimiento es obligatorio independientemente del método quirúrgico empleado 10, 11, 12.
En nuestro caso, se usó la técnica laparoscópica, por tres puertos, consiguiendo la extracción del tumor, sin complicaciones, y con sangrado mínimo, con una recuperación a la actividad de manera temprana, además del beneficio de la estética de la cirugía laparoscópica.
Conclusión
El mielolipoma suprarrenal es un tumor benigno que se diagnostica en la mayoría de los casos de manera incidental, se sabe que clínicamente es no funcional, aunque siempre se deben de hacer estudios hormonales preoperatorios. El tratamiento de los mielolipomas suprarrenales, depende de cada caso clínico, siendo una recomendación el tratamiento quirúrgico de los tumores grandes >5 cm, sugerimos que se pueda optar por el abordaje laparoscópico, por ser el menos invasivo y con menor tasa de complicaciones, además de la recuperación pronta del paciente.
Referencias
1. Gac E Patricio, Cabané T Patricio, Klein P Eulin, Seymur M Camila, Segura H Paula. Mielolipoma suprarrenal gigante. Rev Chil Cir. 2012; 64( 3 ): 292-296. [Internet][citado 2021 Mar 17] Disponible en: https://scielo.conicyt.cl/scielo.php?script=sci_arttext&pid=S0718-40262012000300014&lng=es
2. López Martín Leticia, García Cardoso Juan Vicente, Gómez Muñoz Jesús, González Enguita Carmen. Mielolipoma suprarrenal: Aportación de un caso y revisión de la literatura. Arch Esp Urol. 2010; 63( 10): 880-883. [citado 2021 Mar 17] [Internet] Disponible en: http://scielo.isciii.es/scielo.php?script=sci_arttext&pid=S0004-06142010001000010&lng=es.
3. Wang F, Liu J, Zhang R, Bai Y, Li C, Li B, Liu H, Zhang T. CT and MRI of adrenal gland pathologies. Quant Imaging Med Surg. 2018; 8(8): 853-875. DOI: 10.21037/qims.2018.09.13
4. Haro A, Fujishita T, Nishikawa H, Taguchi Y, Kouda T, Kajiwara K, Makino H, Kanematsu T, Oshiro Y, Yokoyama H. A rare case of gradual enlargement of a multifocal myelolipoma of the posterior mediastinum for 12 years after surgical resection of an adrenal myelolipoma. Int J Surg Case Rep. 2018; 51: 400-403. DOI: 10.1016/j.ijscr.2018.09.027.
5. Wadood DQ, Qureshi DSA, Singh DP, Freedman DJ. A rare case of co-existing adrenal and pelvic myelolipomas. Radiol Case Rep. 2018; 13(5): 999-1002. DOI: 10.1016/j.radcr.2018.07.008
6. Decmann Á, Perge P, Tóth M, Igaz P. Adrenal myelolipoma: a comprehensive review. Endocrine. 2018;59(1):7-15. DOI: 10.1007/s12020-017-1473-4
7. Liu W, Chen W, He X. An Unusual Cause of Cushing?s Syndrome and Viriliza-tion. Gastroenterology. 2015; 149(4):e5-6. DOI: 10.1053/j.gastro.2015.02.020
8. Lam AK. Lipomatous tumours in adrenal gland: WHO updates and clinical im-plications. Endocr Relat Cancer. 2017; 24(3): R65-R79. DOI: 10.1530/ERC-16-0564
9. Littrell LA, Carter JM, Broski SM, Wenger DE. Extra-adrenal myelolipoma and extramedullary hematopoiesis: Imaging features of two similar benign fat-containing presacral masses that may mimic liposarcoma. Eur J Radiol. 2017; 93: 185-194. DOI: 10.1016/j.ejrad.2017.05.039
10. Wilson B, Becker A, Estes T, Keshavamurthy J, Pucar D. Adrenal Hemangioma Definite Diagnosis on CT, MRI, and FDG PET in a Patient With Primary Lung Cancer. Clin Nucl Med. 2018;43(6):e192-e194. DOI: 10.1097/RLU.0000000000002069
11. Campbell MJ, Obasi M, Wu B, Corwin MT, Fananapazir G. The radiographically diagnosed adrenal myelolipoma: what do we really know? Endocrine. 2017;58(2):289-294. DOI: 10.1007/s12020-017-1410-6
12. Shenoy VG, Thota A, Shankar R, Desai MG. Adrenal myelolipoma: Controver-sies in its management. Indian J Urol. 2015;31(2):94-101. DOI: 10.4103/0970-1591.152807
13. Baisakh MR, Chattoraj A, Narayanan R, Mohanty R, Mishra M. Adrenal myelolipoma: A rare lesion of adrenal gland. Indian J Cancer. 2015;52(4):597-8. DOI: 10.4103/0019-509X.178402
Enlace alternativo
http://www.scielo.org.bo/scielo.php?script=sci_arttext&pid=S1012-29662021000100020&lng=es&nrm=iso (html)