CASOS CLÍNICOS
Recepción: 03 Diciembre 2017
Aprobación: 28 Enero 2018
Resumen: El íleo biliar es una patología poco frecuente, surge más frecuentemente en el adulto mayor como complicación de la colelitiasis. Se trata de una enfermedad en que un cálculo proveniente del árbol biliar condiciona obstrucción mecánica con dilatación y posterior inflamación de asas intestinales. Su presentación clínica suele ser inespecífica, resultando un reto diagnostico su valoración. En la misma, se acompaña de dolor y distensión abdominal, náuseas, vómitos y alteración del ritmo evacuatorio. El tratamiento generalmente es mediante abordaje quirúrgico en busca de prevenir el desarrollo de otras complicaciones. Se presenta el caso clínico de un paciente varón, adulto mayor, que acude al Instituto de Gastroenterología Boliviano Japonés de Cochabamba, Bolivia, con una presentación inespecífica del cuadro clínico tras una internación previa que no resolvió el cuadro inicial, cuyo diagnóstico requirió de la realización de estudios de imagen ampliados, como tomografía axial computarizada con contraste, para su posterior resolución quirúrgica.
Palabras clave: Obstrucción intestinal, Fístula biliar, Cálculos, Anciano.
Abstract: Gallstone ileus is a rare pathology, it arises more frequently in the elderly as a complication of cholelithiasis. It is a disease in which a stone from the biliary tree conditions mechanical obstruction with dilatation and subsequent inflammation of intestinal loops. Its clinical presentation is usually non-specific, resulting in a diagnostic challenge for its assessment. In it, it is accompanied by pain and abdominal distension, nausea, vomiting and alteration of the evacuatory rhythm. Treatment is generally through a surgical approach in order to prevent the development of other complications. We present the clinical case of a male patient, elderly, who attends the Japanese Bolivian Gastroenterology Institute of Cochabamba, Bolivia, with a nonspecific presentation of the clinical picture after a previous hospitalization that did not resolve the initial picture, whose diagnosis required performance of extended imaging studies, such as contrast-enhanced computed tomography, for subsequent surgical resolution.
Keywords: Intestinal obstruction, Biliary fistula, Stones, Elderly.
Se define el íleo biliar como una complicación poco frecuente de la colelitiasis, en la que la presencia de un lito, de considerable tamaño, se impacta y condiciona obstrucción mecánica en asas intestinales, con posterior dilatación e inflamación de estas1,2. El origen de dicho cálculo resulta de la comunicación entre el árbol biliar y el tracto gastrointestinal a través de una fístula, generalmente colecistoduodenal, por la que un lito migra y condiciona periodos intermitentes de síntomas de obstrucción, lo que confunde y a la vez retrasa su diagnóstico temprano3. Se ha estimado que el tamaño aproximado del cálculo para condicionar obstrucción debe ser de 2-2,5 cm de diámetro, siendo los sitios más frecuentes de obstrucción: íleon (60%), yeyuno (15%), estómago (15%) y colon (5%) en condiciones en las que no exista estenosis en cualquiera de estos segmentos3.
El íleo biliar resulta ser una complicación poco frecuente de la litiasis biliar, presentándose en el 0,3–0,5% de la misma, correspondiendo de 30–35 casos por cada millón de hospitalizaciones1. Alcanza una frecuencia de 1–4 % de las causas de obstrucción intestinal en personas menores de 65 años, pudiendo llegar hasta el 25% en edades superiores a ésta, más frecuentemente en mujeres, con una relación de 3,5:11. Se ha documentado a la vez, que hasta el 50% de los pacientes presentan antecedentes de patología litiásica previa1,2.
A los factores propios de la enfermedad (íleo biliar) se suman los dependientes del paciente adulto mayor, con los que se entiende que la expresión clínica es distinta, generalmente atípica, a la de pacientes jóvenes. La misma semiología y semiotecnia hace que el abordaje de un paciente adulto mayor resulte difícil, un reto, por los cambios propios del envejecimiento, y que, a la vez, pueden retrasar o confundir el diagnostico4,5.
De acuerdo con lo descrito, se presenta el caso de un paciente varón, adulto mayor, con íleo biliar de presentación atípica cuyos diagnósticos diferenciales y comorbilidades asociadas influyeron en gran medida en el abordaje inicial y comorbilidades asociadas influyeron en gran medida en el abordaje inicial y pronóstico final.
Descripción del Caso Clínico
Paciente masculino de 72 años de edad, de raza mestiza, cuyo único antecedente patológico fue hiperplasia prostática diagnosticada un año, tratado con dilatación uretral, sin antecedentes quirúrgicos, acude al servicio de emergencias del Instituto de Gastroenterología Boliviano Japonés (IGBJ), Cochabamba, Bolivia, en enero de 2 021, referido de un Hospital de segundo nivel de atención, con el antecedente de presentar cuadro clínico de 15 días con dolor abdominal difuso, a predominio de hemiabdomen izquierdo, tipo espasmódico, de inicio progresivo y moderada intensidad, acompañado de distensión abdominal, náuseas que no llegaron al vómito, dificultad para la eliminación de heces y gases, hiporexia y adinamia, por lo que acude en primera instancia a hospital de segundo nivel local donde se lo interna con el diagnóstico de síndrome de retención gástrica y deshidratación severa, se realiza plan terapéutico con sonda nasogástrica (no teniéndose dato de la obtención del débito de la misma), soluciones cristaloides, omeprazol y metronidazol endovenosos (EV), con lo que refieren mejoría clínica. A la vez el paciente es diagnosticado de SARS-COV2 a los 3 días de ingreso hospitalario mediante técnica de reacción en cadena de la polimerasa (PCR) y refiriendo haber recibido tratamiento con el que hubo mejoría, pero no se indica en que consistió el mismo. Para el sexto día de internación el paciente había presentado ausencia de dolor y distensión abdominal, además de tránsito intestinal (+), por lo que se realiza inicio y progresión de la dieta. Al día siguiente, presenta nuevamente dolor, distensión abdominal, náuseas y vómitos de aparentes características porraceas, con descompensación y deterioro del estado general y pulmonar con desaturación. Seis días después, ante la no mejoría del cuadro, se lo refiere a tercer nivel solicitando estudio de endoscopia digestiva alta en el IGBJ.
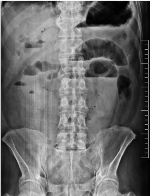
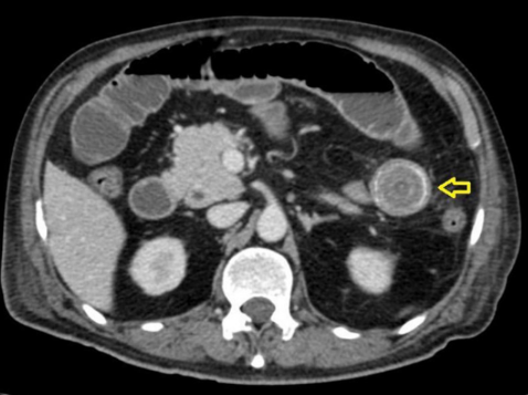
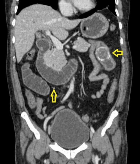
En dicha institución se revalora al paciente, evidenciando al examen físico mal estado general, consciente, orientado, con signos de dificultad respiratoria y desaturación al aire ambiente hasta 70%, saturación hasta 92% con oxígeno por máscara con reservorio a 8 l/min, piel y mucosas moderadamente secas, normocoloreadas, pulmones con murmullo vesicular disminuido con estertores y roncus diseminados en ambos campos pulmonares, abdomen levemente distendido, con ruidos hidroaereos (+) hipoactivos, blando, doloroso a la palpación profunda en mesogastrio, sin datos de irritación peritoneal, tacto rectal con esfínter normotónico, ampolla rectal vacía y dedo de guante explorador limpio, siendo el resto del examen conservado. Se obtienen estudios complementarios de laboratorios en sangre que reportan: leucocitosis de 10 640/ml, con neutrofilia del 88 %, Hb 12 g/dl (previo de 15,2), normocítica, normocrómica, Hto 34,8 %, hipoproteinemia con hipoalbuminemia severa con proteínas totales de 4,2 g/dl y albumina de 2,1 g/dl, e hipokalemia leve con K de 3,0 mEq/L, además de gasometría arterial que evidenciaba alcalosis metabólica parcialmente compensada con acidosis respiratoria, con insuficiencia respiratoria aguda hipoxémica moderada (PaFiO2 170), y resto de laboratorios del hemograma, coagulograma, glicemia, pruebas renales y hepatograma dentro de parámetros normales. Se obtiene a la vez Rx de tórax PA y abdomen AP de pie, evidenciando en el primero imágenes radiopacas de infiltrado alveolo-intersticial diseminadas en ambos campos pulmonares a predominio del lado izquierdo, y en la segunda, asas de intestino delgado dilatadas con imagen sugestiva de pila de monedas y niveles hidroaéreos a predominio del lado izquierdo (Figura 1). Tras la obtención de estos exámenes y en el contexto del paciente se han tomado en cuenta los diagnósticos diferenciales de obstrucción intestinal vs hemorragia digestiva alta, este último según la institución inicial que realizó la referencia, que indicaba la presencia de vómitos porráceos y el evidente descenso de la Hb en 3 puntos, por lo que se continúa con la indicación de endoscopia digestiva alta la cual reporta: “Datos de obstrucción intestinal alta (debito de retención proveniente de segunda y tercera porción duodenal) (Figura 2), sospecha de metaplasia columnar de esófago, gastritis crónica superficial de antro, estudio parcialmente satisfactorio (por segmentos con debito retentivo no valorables)”. Con estos hallazgos se refuerza mucho más la primera hipótesis, pero llama la atención que un paciente sin antecedentes quirúrgicos abdominales presente datos de obstrucción intestinal, además de tratarse de un paciente con un cuadro clínico atípico, y que al momento no había podido ser resuelto bajo medidas conservadoras, por lo que se decide solicitar estudios ampliados extrainstitucionales, como una tomografía axial computarizada (TAC) de abdomen con contraste de forma urgente; tras gestionar la misma, se obtiene reporte que indica (Figuras 3 y 4): “Hallazgos tomográficos compatibles con íleo biliar (imagen de cálculo de 4 x 3,2 cm con áreas de calcificación en su pared a nivel de yeyuno proximal), probable fístula bilio-digestiva (colecistoduodenal), neumobilia, pequeños quistes renales simples bilaterales, hallazgos de la porción valorable de tórax sugerente de proceso infeccioso de etiología viral sugestivas de COVID-19”. Con ello se solicita la valoración por el servicio de cirugía que, en misma fecha de ingreso, realiza procedimiento quirúrgico de laparotomía exploradora, enterotomía, extracción de cálculo y enterorrafia, con diagnóstico postoperatorio de “Obstrucción intestinal alta, íleo biliar, neumonía por SARS-COV2, hiperplasia prostática”, describiendo en los hallazgos operatorios un cálculo de aproximadamente 4 x 4 cm que ocupaba la totalidad de la luz yeyunal a +/- 60 cm del ángulo de Treitz.
Dentro la evolución postoperatoria el paciente presentó mejoría en lo referente al cuadro abdominal, se indicó soporte nutricional con nutrición parenteral total por vía central, medicación con soluciones cristaloides, ceftriaxona 1 g EV cada 12 horas (7 días), metronidazol 500 mg EV cada 8 horas (7 días), omeprazol 40 mg EV cada 12 horas, metoclopramida 10 mg EV cada 8 horas y analgesia en horario con ketorolaco 30 mg EV cada 8 horas, se realizó curaciones y hubo buena evolución de las heridas operatorias, tras lo que se realizó el retiro de un único drenaje penrosse a los siete días del postoperatorio. Además, se realizó inicio y progresión de la dieta líquida con preparados de proteínas por vía nasoenteral a los siete días, con buena tolerancia, y se discontinuó la nutrición parenteral tras los 10 días del postoperatorio. Sin embargo, tras complicaciones asociadas al cuadro pulmonar, el paciente ingresa a terapia intensiva al segundo día de internación y segundo día postoperatorio, siendo orointubado y manejado con soporte de oxígeno y ventilador mecánico. Se realiza cambio de antibióticos tras obtener cultivos de aspirado traqueal con presencia de Escherichia coli productor de betalactamasa de espectro extendido (BLEE +) a imipenem y amicacina, y tras una evolución tórpida paciente fallece a los 15 días de internación con los diagnósticos de Choque séptico a foco pulmonar, síndrome de distress respiratorio agudo severo, neumonía por SARS-COV2, obstrucción intestinal alta por íleo biliar.




Discusión
Se presenta a un paciente varón que acude en primera instancia con un cuadro inespecífico que es catalogado como síndrome de retención gástrica, manejado con tratamiento conservador y con limitaciones en el uso de estudios ampliados por condiciones logísticas y de recursos económicos, más aún en situación de crisis sanitaria y pandemia por SARS-COV2, que limitó los esfuerzos por llegar a la causa responsable del cuadro inicial. La presentación clínica atípica e inespecífica del cuadro, dolor abdominal difuso sin irritación, distensión abdominal, náuseas sin vómitos, expresan los aparentes datos intermitentes de obstrucción intestinal que menciona Mizzel JS3, como también la clínica atípica del adulto mayor que han explicado Treuer R4 y Carpio-Deheza G5 en sus publicaciones, las mismas que, como es el caso, retrasaron el diagnostico e intervención claramente quirúrgica oportuna de nuestro paciente, además que, como esta descrito, prolongan el tiempo de estancia hospitalaria. Al mismo tiempo, llama la atención, que a pesar de varios días del cuadro clínico nuestro paciente no expresó gran alteración laboratorial en correlación a su estado clínico deteriorado como ocurre en una típica obstrucción intestinal alta que generalmente se acompaña de un estado de hipovolemia, inflamación y translocación bacteriana que llevan a mayores estados de falla renal e importante desequilibrio hidroelectrolítico e incluso sepsis3,6,7, esto refuerza lo mencionado líneas arriba en relación a una presentación atípica de la enfermedad en el adulto mayor.
En relación a los hallazgos imagenológicos, la imagen en pila de monedas sigue teniendo alto valor diagnóstico en patologías obstructivas del intestino delgado como es en el caso nuestro, al igual que menciona Carpio-Deheza G5 en su publicación de abdomen agudo quirúrgico. En mención a imagenología se recomienda una adecuada valoración de los estudios iniciales que en sospecha de íleo biliar podrían ayudar al diagnóstico y evidenciar la conocida Triada de Rigler, que hace mención de la conjunción en la radiografía de abdomen de pie de: neumobilia, asas de intestino delgado dilatadas y la visualización directa o indirecta de un cálculo en intestino delgado, y en ocasiones, el cambio de posición del lito en radiografías de control. En la revaloración del caso de nuestro paciente se evidencia dos de estos signos específicos, asas de intestinos delgado dilatadas y una tenue imagen sugerente de neumobilia, siendo el hallazgo de dos de los signos de la triada de Rigler patognomónicos de íleo biliar según Aguila-Gomez MV; es así, que el uso de ésta puede ayudar y prescindir de elementos no coste-accesibles en algunos casos8.
Es importante el plantearse hasta dónde llega nuestra capacidad resolutiva de la enfermedad, siendo que los pacientes adultos son complejos y su abordaje resulta muchas veces difícil y requiere entrenamiento4,5. Con ello en consideración, se decide en determinado momento realizar la referencia del paciente a una institución del tercer nivel de atención en salud como lo es el IGBJ, en donde se revalúa el estado del paciente y ante la referencia del médico que lo envía (vomito porraceo) y el descenso de la Hb. se busca dilucidar los posibles diagnósticos diferenciales, entre ellos hemorragia digestiva alta. En este punto debe analizarse la necesidad de un estudio de endoscopia alta siendo que en el contexto del paciente existe un riesgo adicional a la brocoaspiración como una de las complicaciones de la endoscopia9, por lo que se planteó en primera instancia dos alternativas, realizar la instalación de sonda nasogástrica (SNG) para valorar el débito del mismo, o realizar intubación orotraqueal para realizar el procedimiento endoscópico: sin embargo, ambas alterativas estaban restringidas a extremo por la crisis sanitaria, al haberse contraindicado la instalación de SNG en los protocolos de atención del IGBJ en pacientes covid-19 (+), y respecto a la segunda alternativa no se contaba con espacio disponible en salas de terapia intensiva para su posterior traslado, por lo que se decide realizar el estudio endoscópico con medidas adicionales de protección de la vía aérea y precaución en el uso de sedación9 para confirmar o descartar hemorragia digestiva, y a la vez, investigar la causa de los vómitos que no habían remitido con medidas conservadoras. El análisis de este aspecto deberá realizarse en función a la valoración integral e individual de cada caso y en consideración a la disponibilidad de recursos.
Nuevamente en contexto, tras realizarse el estudio de endoscopia se decide investigar la causa de la obstrucción a través de estudios ampliados de imagen, TAC de abdomen con contraste3, con el que se define el diagnóstico y se justifica el abordaje quirúrgico.
El abordaje terapéutico de pacientes con cuadros inespecíficos y en carencia de recursos puede ser indicación para una exploración quirúrgica, con sospecha diagnostica sujeta a confirmación, como lo es en el artículo publicado por Gonzales-García JE10 de una paciente con antecedente de colelitiasis y cólicos a repetición en la que si bien se observaba asas de intestino delgado dilatadas no cumplía con otros datos sugerentes de obstrucción intestinal, y en un procedimiento planteado inicialmente como colecistectomía se encontró un cuadro intraoperatorio típico de íleo biliar. En otras circunstancias de duda diagnostica, y habiendo disponibilidad de recursos y/o gestiones para ello, se pueden complementar estudios de gabinete siempre y cuando el estado del paciente lo permita, como en nuestro caso, y como lo describe Margos-García RE11 en su artículo, para llegar al diagnóstico de íleo biliar tras la obtención de una TAC de abdomen, y posteriormente realizar un procedimiento quirúrgico, generalmente de laparotomía, enterotomía, extracción del lito y enterorrafia, en la mayoría de los casos. Cabe mencionar que la resolución de la patología litiásica mediante colecistectomia o de la fistula bilioenterica se puede realizar en el mismo tiempo operatorio o dejar para un segundo tiempo quirúrgico si es que el estado del paciente no lo permite3. Esto último no pudo ser posibleen nuestro caso debido a la evolución tórpida y desfavorable del cuadro pulmonar en salas de terapia intensiva.
Conclusiones
El íleo biliar resulta una patología poco frecuente que debe ser abordada tras la conjunción de la adecuada valoración clínica, el uso de exámenes complementarios disponibles y en la revaloración integral constante, mas no intencionalmente prolongada, del paciente para determinar la causa de un cuadro inespecífico con el que acuden la mayoría de estos pacientes adultos mayores. Para ello, es importante la pericia clínica, y de interpretación por parte del médico, de todos los elementos que ayuden a discernir entre los posibles diagnósticos diferenciales, y más no confundir ni retrasar oportunas intervenciones. A la vez, se reconoce a las patologías concomitantes, y de reciente aparición, como otro de los principales aspectos a valorar y abordar dentro la evolución de la enfermedad sobre todo en adultos mayores por su gran impacto en el pronóstico de estos.
Referencias bibliográficas
1. Ploneda-Valencia CF, Gallo-Morales M, Rinchon C, Navarro-Muñiz E, Bautista-López CA, de la Cerda-Trujillo LF, et al. El íleo biliar: una revisión de la literatura médica. Revista de Gastroenterología de México. 2017;82(3):248-54. Disponible en: http://www.revistagastroenterologiamexico.org/es-el-ileo-biliar-una-revision-articulo-S0375090617300137#:~:text=El%20%C3%ADleo%20biliar%20ocurre%20cuando,y%20el%20tracto%20digestivo8.
2. Castillo-González J, Guillen-Martínez EA, Chama-Naranjo A, Garcia-Cordova E, Farell-Rivas J, López-Olivares R. Íleo biliar: Diagnóstico y Tratamiento oportuno de una enfermedad infrecuente. Cir Andal. 2021;32(1):36-42. Disponible en: https://www.asacirujanos.com/revista/2021/32/1/05
3. Mizell JS, Turnage RH. Obstrucción intestinal. In Feldman M, Friedman L, Brandt LJ. Sleisenger y Fordtran. Enfermedades digestivas y hepáticas. Fisiopatología, diagnóstico y tratamiento. 10th ed. Barcelona: ELSEVIER. 2018.
4. Treuer R. Dolor abdominal agudo en el adulto mayor. Rev Med Clin Condes. 2017;28(2): 282-90. Disponible en: https://www.sciencedirect.com/science/article/pii/S0716864017300445
5. Carpio-Deheza G, Villarroel-La Fuente JW. Abdomen agudo quirúrgico en el adulto mayor, estudio inicial. Revista Boliviana de Geriatría y Gerontología. 2019;1(1):6-11. Disponible en: https://www.socgerbol.com/files/rev1.pdf
6. Riyad A, Maaroufi-Fathillah EK, Lammat L, Rabbani K, Louzi A, Finech B, et al. Gallstone Ileus: AnUnusual Diagnosis Often Omitted. Journal of US-China Medical Science16. 2019;17(1):173-8. Disponible en: https://www.davidpublisher.com/Public/uploads/Contribute/5d9ff935d9701.pdf
7. Asquel VH, Hernández A, Moreno EN, Díaz MA. Íleo biliar como causa poco frecuente de abdomen agudo obstructivo, presentación de caso clínico. MEDICIENCIAS UTA. 2020;4(4):100-5. Disponible en: https://revistas.uta.edu.ec/erevista/index.php/medi/article/view/1252
8. Águila-Gómez MV, Fernández-Tirado, J I. Triada de Rigler un medio diagnóstico radiológico del abdomen agudo quirurgico obstructivo por ileo biliar: presentación de un caso y revisión de la literatura. Cuadernos Hospital de Clínicas. 2021;62(2):47-51. Disponible en: http://www.scielo.org.bo/scielo.php?pid=S1652-67762021000200007&script=sci_arttext&tlng=es
9. Muñoz-Navas M, Betés M. Protocolo de indicaciones, contraindicaciones y complicaciones de la endoscopia en el tracto digestivo superior. Medicine. 2016;12(3):152-6. Disponible en: https://www.sciencedirect.com/science/article/pii/S0304541216000366
10. Gonzalez García JE, Torres Aja L. Íleo biliar: una causa infrecuente de oclusión intestinal. Presentación de un caso clínico. Medisur. 2021;19(6):1028-32. Disponible en: http://scielo.sld.cu/scielo.php?script=sci_arttext&pid=S1727-897X2021000601028
11. Margos-García RE, Campo-Doninelli VMI, Ixcayau-Hernández J. Obstruccion Intestinal por Íleo Biliar: Reporte de un Caso. Rev Guatem Cir. 2021;27:37-9. Disponible en https://issuu.com/asociaciondecirujanosdeguatemala/docs/revista_guatemalteca_de_cirug_a_2022_3_