CASOS CLÍNICOS
Hipertensión intracraneal idiopática asociada a infección por COVID 19
Idiopathic intracranial hypertension associated with COVID infection 19
Hipertensión intracraneal idiopática asociada a infección por COVID 19
Gaceta Médica Boliviana, vol. 46, núm. 1, pp. 121-122, 2023
Universidad Mayor de San Simón
Recepción: 03 Diciembre 2017
Aprobación: 28 Enero 2018
Resumen: Se presenta el caso de una paciente adulta joven con antecedente de ovario poliquístico e infección reciente por COVID 19 que inicia con cuadro de astenopia y visión borrosa junto con cefalea, se realiza fondo de ojo con papiledema bilateral, estudios de laboratorio y neuro imagen sin hallazgos positivos, también punción lumbar con presión de apertura elevada por lo que se diagnostica hipertensión intracraneal idiopática con posterior mejoría post punción.
Palabras clave: Infección por Coronavirus 2019-nCoV, baja visión, hipertensión intracraneal idiopática..
Abstract: The case of a young adult patient is presented with a history of polycystic ovary and recent infection by COVID 19 that starts with asthenopia and blurred vision along with headache, fundus examination with bilateral papilledema was performed, laboratory and neuroimaging studies without positive findings, also lumbar puncture with elevated opening pressure so idiopathic intracranial hypertension was diagnosed with subsequent post puncture improvement.
Keywords: COVID-19 Virus Infection, low vision, idiopathic intracranial hypertension..
La hipertensión intracraneal idiopática es un raro trastorno de presión intracraneal elevada con composición normal del líquido cefalorraquídeo y sin patología intracraneal1. Esta condición afecta principalmente a mujeres en edad fértil y con frecuencia causa dolores de cabeza, pérdida de visión, diplopía, tinnitus y náuseas2.Por otra parte a nivel mundial, la gravedad de la enfermedad por coronavirus 2019 (COVID-19) se ha asociado frecuentemente con el síndrome de dificultad respiratoria aguda3,junto con complicaciones neurológicas como cefalea, convulsiones, enfermedad cerebrovascular, encefalitis viral, encefalomielitis aguda diseminada, síndrome de Guillain-Barré y anosmia4. A continuación, se expone el caso de una presentación atípica de hipertensión intracraneal como posible complicación de la infección por COVID-19 en una paciente adulta joven sin antecedentes neurológicos.
Presentación del caso clínico
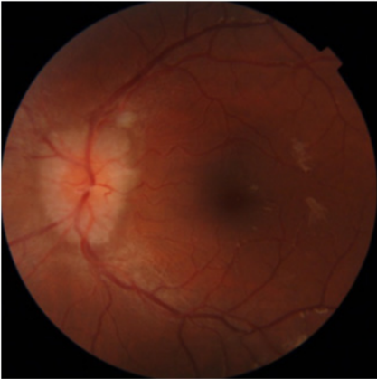
Paciente femenina de 26 años de edad con antecedente de ovario poliquístico e infección por COVID 19. Hace 1 mes con síntomas leves dados por tos seca, rinorrea hialina junto con astenia y adinamia , sin requerimiento de hospitalización. Consulta posterior a eso con astenopia asociada a sensación de visión borrosa ocasional y cefalea Holocraneana ,al examen físico alerta afebril estable hemodinamicamente se realiza fondo de ojo en el cual , en ojo izquierdo se visualiza Papiledema, disco optico con bordes poco definidos sobreelevados ,con atrofia de fibras nerviosas peri discales emergencia central en vasos (Figura 1) y avanzado en ojo derecho disco optico con bordes sobreelevados y difusos con emergencia central en vasos, atrofia de capa de fibras nerviosas en cuadrante superior e inferior temporal y nasal, evidencia de exudados de macula (Figura 2). Se indica realización de resonancia cerebral la cual reporta dentro de limites normales y resonancia magnética de órbitas dentro de límites normales, hemograma dentro de limites normales, Beta 2 glicoproteína IgM e IgG: Negativos, An SM: Negativo, Anti RNP: Negativo, ADA:0.29, Anticoagulante lúpico: Negativo, TSH:2.87 Anti RO: Negativo Uroanálisis: Contaminado, Negativo para bacilos ácido-alcohol resistentes, Cardiolipina IgM e IgG: Negativos. Posteriormente se realiza punción lumbar con presión de apertura elevada (40cmH2O), liquido acelular, normal, se diagnostica Hipertensión Endocraneana idiopática con mejoría posterior a punción lumbar, se decide inicio de acetazolamida 500 mg cada 12 horas, a los 5 días de egreso hospitalario la paciente presenta buena tolerancia y mejoría de cuadro clínico.


Discusión
La hipertensión intracraneal idiopática es causada por una elevación de la presión intracraneal, afecta principalmente a mujeres jóvenes obesas en edad fértil y su prevalencia oscila entre 0,5 y 2 por 100 000 de la población general5. Las asociaciones etiológicas pueden estar en relación con alteraciones endocrino-metabólicas (alteraciones tiroideas, cushing), fármacos (vitamina A, hormona de crecimiento, antibióticos), alteraciones sistémicas (anemia, síndrome de Guillain-Barré) e infecciones (otitis media, sinusitis, faringitis)5. Las alteraciones visuales y la cefalea son los dos principales síntomas de la hipertensión intracraneal idiopática, aunque no son infrecuentes otras manifestaciones como la parálisis de pares craneales, el déficit cognitivo, el déficit olfatorio y tinnitus. El dolor de cabeza asociado con la hipertensión intracraneal idiopática con frecuencia tiene un fenotipo migrañoso. La causa subyacente del trastorno aún no se ha dilucidado5. Para su diagnóstico es fundamental realizar fondo de ojo, ya que el papiledema se encuentra en casi todos los pacientes. Se ha sugerido que la infección por SARS-CoV-2 puede causar el bloqueo de los vasos linfáticos, ya que el virus puede infectar las células endoteliales linfáticas lo que puede aumentar la resistencia a la salida de LCR y generar una variante de hipertensión intracraneal idiopática6; las células endoteliales capilares del sistema nervioso central expresan el receptor ACE2 del virus, lo que podría dar al virus su naturaleza neuro invasiva que genera diversas manifestaciones neurológicas como encefalitis, meningitis, hemorragia intracerebral , cefalea, accidente cerebrovascular isquémico7. Adicionalmente, se ha descrito que la disfunción de la coagulación puede provocar congestión venosa y aumento de la presión intracraneal. La transcriptómica unicelular anterior ha identificado monocitos no diferenciados y células T agotadas en el líquido cefalorraquídeo de los pacientes8. En nuestro caso, la resonancia magnética cerebral fue normal sin presencia de trombos, no obstante, la asociación de hipertensión endocraneana idiopática con el SARS-CoV2 podría atribuirse a un estado inflamatorio, de alta viscosidad y un estado de hipercoagulabilidad.
Conclusión
Para el médico de atención primaria el diagnóstico preciso de la hipertensión intracraneal idiopática es fundamental, ya que el deterioro visual debido al papiledema puede ser irreversible, también se debe reconocer que una de sus etiologías puede ser infecciosa como en nuestro caso se presenta secundario a COVID 19.
Referencias bibliográficas
1. Raoof N, Hoffmann J. Diagnosis and treatment of idiopathic intracranial hypertension.. Cephalalgia. 2021;41(4):472-8. Disponible en: https://doi.org/10.1177/0333102421997093 [Citado 17 de Abril 2023]
2. Boyter E. Idiopathic intracranial hypertension. JAAPA. 2019;32(5):30–5. Disponible en: https://pubmed.ncbi.nlm.nih.gov/30969189/ [Citado 17 de Abril 2023]
3. Chen N, Zhou M, Dong X, Qu J, Gong F, Han Y, et al. Epidemiological and clinical characteristics of 99 cases of 2019 novel coronavirus pneumonia in Wuhan, China: a descriptive study. Lancet . 2020; 395(10223):507-13. Disponible en: https://doi.org/10.1016/S0140-6736(20)30211-7 [Citado 17 de Abril 2023]
4. Niazkar HR, Zibaee B, Nasimi A, Bahri N. The neurological manifestations of COVID-19: a review article. Neurol Sci. 2020;41(7):1667–71. Disponible en: https://pubmed.ncbi.nlm.nih.gov/32483687/ [Citado 17 de Abril 2023]
5. Raoof N, Hoffmann J. Diagnosis and treatment of idiopathic intracranial hypertension. Cephalalgia. 2021;41(4):472–8. Disponible en: https://pubmed.ncbi.nlm.nih.gov/33631966/ [Citado 17 de Abril 2023]
6. Wostyn P. COVID-19 and chronic fatigue syndrome: Is the worst yet to come? Med Hypotheses. 2021;146:110469. Disponible en: https://doi.org/10.1016/j.mehy.2020.110469 [Citado 17 de Abril 2023]
7. Rajabi MT, Rafizadeh SM, Aghajani AH, Pirzadeh M. Idiopathic intracranial hypertension as a neurological manifestation of COVID-19: A case report. J Fr Ophtalmol. 2022;45(7):e303–5. Disponible en: https://doi.org/10.1016/j.jfo.2022.02.019
8. Faran Khalid M, Micieli JA. Idiopathic Intracranial Hypertension Associated with SARS-CoV-2 B.1.1.7 Variant of Concern. Canadian Journal of Neurological Sciences. 2022;49(3):472-3. Disponible en: https://doi.org/10.1017/cjn.2021.129 [Citado 17 de Abril 2023]