Casos clínicos
Embolia por colesterol en miembros inferiores: reporte de caso
Cholesterol embolism in the lower limbs: case report
Embolia por colesterol en miembros inferiores: reporte de caso
Gaceta Médica Boliviana, vol. 46, núm. 2, pp. 137-142, 2023
Universidad Mayor de San Simón
Recepción: 08 Agosto 2023
Aprobación: 20 Noviembre 2023
Resumen: La embolia por cristales de colesterol es efecto de la desestabilización de una placa de ateroma tras un evento desencadenante, produciendo la migración de cristales de colesterol hasta arteriolas periféricas, desencadenando un proceso inflamatorio endotelial; el espectro clínico varía desde ser asintomático hasta con un compromiso multiorgánico; la sospecha diagnóstica es principalmente clínica y será la biopsia de piel por su fácil accesibilidad, la que confirme el diagnóstico. El tratamiento es aún controvertido y no existe un consenso de las medidas terapéuticas para aplicar. A continuación, se presenta el caso de un paciente varón de 72 años de edad con una ateroembolia por cristales de colesterol en miembros inferiores, secundaria a una manipulación endovascular por angioplastia previa.
Palabras clave: colesterol, embolia por colesterol, hipertensión renovascular..
Abstract: Cholesterol crystal embolism is the effect of the destabilization of an atherosclerotic plaque after a triggering event, producing the migration of cholesterol crystals to peripheral arterioles, triggering an endothelial inflammatory process; the clinical spectrum varies from being asymptomatic to having multiple organ involvement; diagnostic suspicion is mainly clinical and the skin biopsy will confirm the diagnosis due to its easy accessibility. The treatment is still controversial and there is no consensus on the therapeutic measures to apply. Below is the case of a 72-year-old male patient with atheroembolism due to cholesterol crystals in the lower limbs, secondary to endovascular manipulation by prior angioplasty.
Keywords: cholesterol, cholesterol embolism, renovascular hypertension..
La aterosclerosis es un trastorno común en el que hay placas arteriales compuestas de colesterol, sustancias grasas y otros desechos celulares en la superficie de la íntima vascular; la cubierta fibrosa que cubre las placas llega a ser vulnerable a ruptura, exponiendo el núcleo y su contenido intraplaca de colesterol a la circulación1. Un émbolo es cualquier material que puede ser trombos, fragmentos de placa ateromatosa, la cual su principal componente son cristales de colesterol, células tumorales u otros cuerpos extraños, que arrastrada por el torrente sanguíneo, lleva a la obstrucción parcial o total de una arteria distal2. La embolia de colesterol, es un trastorno de oclusión arterial ya sea parcial o total, en el que hay obstrucción luminal de arterias de calibre pequeño por cristales de colesterol que se forman a partir de la fragmentación, previa desestabilización de la placa de ateroma3.
Es una patología poco frecuente, con una incidencia mundial de 0,09 % a 2,9 %4, otras reportadas en población de riesgo son del 2 al 4 %, esta diferencia es porque no es posible llegar a un diagnóstico preciso; debido a los diferentes diseños de estudio y criterios de diagnóstico, por otro lado, muchos desconocen la patología, o no se pueden realizar estudios anatomopatológicos precisos; en el estudio de Moolenars y Lamers se reportan incidencias aún más bajas, de 0,31 %, ya que varía según cada población estudiada3.
Debido a la variabilidad e inespecificidad de sus manifestaciones clínicas según el órgano afectado, se necesita alta sospecha diagnóstica, por lo que, en la mayoría de los casos, 70% del diagnóstico se ha realizado en la etapa post mortem5. En la actualidad no se cuentan con estudios realizados en población Latinoamericana ni Boliviana.
Este embolo originado de una arteria proximal de gran calibre, migra hacia arterias distales medianas a pequeñas, causando daño en los órganos diana por taponamiento mecánico, desencadenando una respuesta inflamatoria; es una patología infradiagnosticada que ocurre predominantemente en hombres de edad avanzada, con antecedentes de enfermedad aterosclerótica e hipertensión; pueden ocurrir espontáneamente por inestabilidad de placa, sin embargo son más comunes después de procedimientos endovasculares como cateterismos o angiografías, frecuentemente por vía femoral; la angioplastia, el traumatismo, la trombólisis o anticoagulación con Warfarina, tienen cierta influencia6.
Las placas ateroscleróticas están compuestas de cristales de colesterol, plaquetas, fibrina y detritus celulares; la inestabilidad de esta, es causada por cambios hemodinámicos, inflamación y hemorragia intraplaca. El evento desencadenante genera la erosión de la placa, exponiendo estos componentes a la circulación sistémica; la embolización de estos cristales de colesterol a la circulación distal conduce a la obstrucción de las arteriolas con diámetros menores de 200 μm, provocando lesión isquémica, posteriormente reacción inflamatoria por activación del complemento, llevando a una hipocomplementemia refractaria por consumo, estrés oxidativo, agregación leucocitaria, perpetuando una lesión endotelial4. Estos casos se diferencian de émbolos de origen séptico ya que en estos hay un foco infeccioso, además de clínica y paraclínicos con datos sugerentes a infección y no solo a inflamación. Un trombo que se desprende y se vuelve en embolo, es de mayor dimensión, comprometiendo vasos de mayor calibre como en una tromboembolia pulmonar o cerebral; el mayor reto diagnostico esta con los émbolos tipo cuerpo extraño o tumorales, arteriopatia urémica, entre otros, que obstruyen pequeñas arteriolas y el diagnóstico diferencial se llevara a cabo por estudios anatomopatológicos2.
Ante un cuadro de dolor de moderada a gran intensidad en miembros inferiores, presencia de livedo reticular, con pulsos periféricos palpables, se debe sospechar de embolia por cristales de colesterol hasta demostrar lo contrario, por sus manifestaciones clínicas se pueden dividir en cutáneas y extra cutáneas; en las cutáneas se evidencia presencia de livedo reticular, acrocianosis, necrosis, ulceras, purpura, entre otras7. En las extra cutáneas varía según el órgano afectado, con manifestaciones renales 34 %, gastrointestinales 30 % con mayor mortalidad, oftálmicas 6 % a 20 % de pacientes presentan placas de Hollenhorst que son cristales de colesterol refractiles en bifurcaciones de arterias de retina que pueden aparecer como complicaciones de alguna enfermedad, como musculo esqueléticas, con mialgias y debilidad; compromiso del sistema nervioso central o incluso hematopoyéticas por afectación de la medula ósea, aún más rara3. Los pacientes con síntomas en las extremidades inferiores y una fuente infrarrenal de embolia pueden tener resultados más favorables8, como es el caso que se reporta a continuación, un paciente diagnosticado con embolia por cristales de colesterol en miembros inferiores secundaria a manipulación endovascular por angioplastia previa, con evolución favorable.
Presentación del caso clínico
Paciente masculino de 72 años de edad con antecedentes de diabetes mellitus tipo II tratado con insulina humana, enfermedad renal crónica en diálisis, hipertensión arterial de difícil manejo, controlada con losartan, amlodipina y carvedilol, la cual fue secundaria a una estenosis del 70% de arteria renal derecha diagnosticada por angiografía en noviembre del 2022; posteriormente requirió una angioplastia con colocación de stent en la arteria renal derecha; 10 días posteriores a tal intervención, el paciente refiere dolor en miembros inferiores a la bipedestación, deambulación y compresión en ambas pantorrillas, seguida de la aparición de lesiones purpuricas tipo livedo reticular en tercio medio anterior de muslos, piernas y región plantar de ambos pies, con predominio plantar izquierdo (Figura 1).

Se hospitaliza al paciente para manejo, con signos vitales de: PA 120/80 mmHg, FC 78 lpm, FR 18 rpm, SatO2 95%, FiO2 21%. Paraclínicos de ingreso en los cuales se evidencia leve leucocitosis 11,500 U/L, eosinofilia 7%, marcadores inflamatorios como eritrocedimentación y proteína C reactiva elevados 110 mm/h y 96 mg/l respectivamente, lactato deshidrogenasa 756 U/L, creatin fosfoquinasa 475 U/L, ambas elevadas, con deterioro de función renal en contexto de paciente con enfermedad renal crónica en hemodiálisis, niveles de complemeto dentro de parámetros normales C3 85,5 mg/dl, C4 22,3 mg/dl.
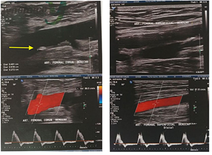
Por otro lado, ante la sospecha de una embolia por colesterol, se realiza una ecografía doppler arterial de miembros inferiores, la cual denota ateroesclerosis en fase inicial sin alteraciones hemodinámicas, presencia de placas mixtas no significativas en arteria femoral común (Figura 2).

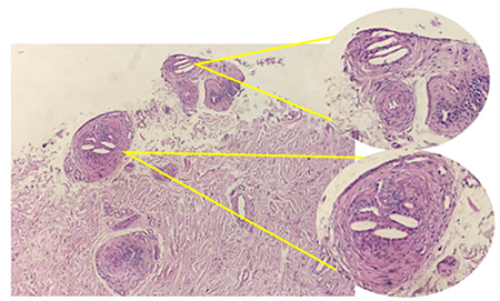
Para confirmar el diagnostico presuntivo se solicita una biopsia de piel, la cual informa un ateroembolismo de vasos arteriales de pequeño calibre en dermis profunda lo que corrobora el diagnostico (Figura 3).

Por los hallazgos clínicos, los antecedentes referidos del paciente, los estudios complementarios; ante la sospecha diagnóstica de embolia por cristales de colesterol en miembros inferiores secundarios a manipulación endovascular por angioplastia previa. El paciente fue manejado por el servicio de nefrología, recibió tratamiento médico durante su internación, junto a medidas generales de sostén, además de hemodiálisis programada por la enfermedad renal crónica; asociado con hipolipemiantes como la atorvastatina, que refleja asimismo un efecto pleiotrópico estabilizante de placa ateromatosa; ácido acetilsalicílico por su efecto antiagregante; prednisona por efectos antiinflamatorios, ya que la inflamación es una piedra angular en la fisiopatología de dicha patología; pentoxifilina ya que mejora la oxigenación tisular al reducir viscosidad sanguínea y potenciar flexibilidad de hematíes; todo sumado a un tratamiento enfocado en sus comorbilidades como antihipertensivos (losartan, amlodipina, carvedilol) e insulina humana. Por posibles complicaciones a nivel oftálmico, fue evaluado por el servicio de oftalmología, realizando un fondo de ojo con hallazgos correspondientes a émbolos por cristales de colesterol además de retinopatía diabética no proliferativa leve a moderada y retinopatía hipertensiva grado II (Figura 4).

Al tercer día de internación el paciente evoluciona favorablemente PA 130/70 mmHg, FC 78 lpm, FR 18 rpm, SatO2 96 %, FiO2 21 %, con mejoría sintomática del dolor en extremidades inferiores, pulsos periféricos en miembros inferiores conservados, lesiones maculares livenoides con disminución leve de tamaño en muslos, piernas y en región plantar bilateral. Al 5to día de internación paciente evoluciona favorablemente, con signos vitales estables, mejoría sintomática total, sin dolor a la deambulación, ni compresión en las pantorrillas, lesiones auto limitadas en proceso de disminución de extensión (Figura 5a).
Laboratorios de egreso con tendencia a la normalización ya con valores de eosinófilos 1 %, proteína C reactiva 24,2 mg/l, lactato deshidrogenasa normal 415 U/L, creatin fosfoquinasa 80 U/L, resto de parámetros medidos dentro de rango de normalidad. Por lo que se decide el alta hospitalaria. Posteriormente al mes de su alta hospitalaria paciente evoluciono con alivio completo de los síntomas, así como las lesiones en miembros inferiores que remitieron completamente (Figura 5b).


Discusión
La embolia por colesterol es un síndrome es el cual el 77 % de los diagnósticos son postmortem4. Se produce cuando las placas ateromatosas en las arterias de gran calibre, tras algún estimulo desencadenante, liberan émbolos de colesterol a la circulación, alojándose como cristales filosos en lúmenes de arteriolas distales, lo que resulta con diversos grados de isquemia al órgano diana; paralelamente las arteriolas que están parcialmente ocluidas enfrentan una intensa respuesta inflamatoria de cuerpo extraño por la migración de células gigantes con proliferación endotelial llevando finalmente a la fibrosis con una oclusión completa9.
En la inflamación aguda, que corresponde a la primera fase, las paredes de las arteriolas comprometidas están infiltradas por leucocitos polimorfonucleares y eosinófilos los cuales liberan IL-5 activando aún más los eosinófilos, por lo que es característico encontrar en paraclínicos eosinofilia, la cual se evidencio en el paciente; posteriormente a las 24 o 48 horas, llegan células mononucleares que se convierten en macrófagos que fagocitan los cristales de colesterol convirtiéndose en células espumosas; los cristales de colesterol actúan como señal endógena siendo estos reconocidos como patrones moleculares asociados a daño (DAMPs), por inflamosomas de la subfamilia NLRP- IL1 activando el sistema inmune, además del complemento, por lo que en estadios iniciales hay hipocomplementemia por consumo; en nuestro paciente esta no fue detectada por el momento en el que se solicitaron los paraclínicos. Paralelamente hay formación de trombos intraluminales; en la etapa final, hay proliferación endotelial y fibrosis de la íntima dando como resultado vasoconstricción, llegando a una obliteración del lumen arterial, instaurando isquemia tisular y en el peor de los escenarios necrosis en el órgano afectado (Figura 6). Por lo tanto, al ser resistentes a la fagocitosis por macrófagos, los cristales de colesterol pueden permanecer alojados durante meses4,10,11.
Al existir un factor desencadenante que desestabiliza la placa de ateroma, como los traumatismos de la pared arterial por maniobras angioinvasivas12, como se presentó en nuestro paciente, se instaurara la migración de cristales de colesterol. El diagnóstico es principalmente clínico por las manifestaciones cutáneas, el dolor y presencia de pulsos periféricos conservados. Los paraclínicos generalmente son inespecíficos y pueden mostrar elevaciones en el recuento de leucocitos, disminución del recuento de hematíes o trombocitopenia. Los marcadores de inflamación, como la velocidad de sedimentación globular elevada, la proteína C reactiva, se han asociado con la ateroembolia. Además, pueden incluir hipocomplementemia transitoria y eosinofilia8; en este caso no se evidencio hipocomplementemia ya que esta ocurre en los primeros días de la enfermedad.
La isquemia de celulas musculares se acompaña de un aumento considerable de la creatina fosfoquinasa (CPK); niveles de Lactato deshidrogenasa (LDH) y Glutámico Oxalacetico transaminasa (GOT); las primeras se encontraban elevadas en el paciente, también aumentan en casos de oclusión arterial aguda, debido a la lesión isquémica de la musculatura esquelética4.
La biopsia de piel confirma el diagnóstico de la enfermedad, con alto rendimiento de hasta un 92 %; en la histopatología es patognomónica la visualización dentro de los vasos de la unión dermohipodérmica de hendiduras alargadas biconvexas en forma de agujas9,13. Otras técnicas útiles son el examen del fondo de ojo encontrando cuerpos de Hollenhorst que son lesiones brillantes y refráctiles en bifurcaciones de arterias en retina, aunque sólo detecta la embolia por cristales de colesterol en un 6 % al 20 % de los casos. Hallazgo el cual estuvo presente en nuestro paciente. Se reportan casos en los cuales solo con el hallazgo en el examen de fondo de ojo fue suficiente para el diagnóstico y no llegaron a exámenes invasivos como biopsia14.
El manejo es aún controversial, basándose en eliminar factores precipitantes, fármacos que actúen sobre la fisiopatología, por lo que se sugiere el uso de antiagregantes plaquetarios, hipolipemiantes que además tengan efectos en inmunidad innata y adaptativa15, corticoesteroides en pacientes con evidencia analítica de inflamación5. Una diana terapéutica en estudio es el uso de anticuerpo monoclonal contra IL-1, poco estudiado6,15. Desde otra perspectiva, se recomiendan procedimientos invasivos como una embolectomía en casos de obstrucción de grandes vasos, en este tipo de pacientes donde un factor desencadenante per se, son los procedimientos invasivos, y dada que la obstrucción es en arteriolas distales de pequeño calibre, no se recomiendan estos procedimientos6.
En conclusión, la embolia por cristales de colesterol es un fenómeno infradiagnosticado que durante su evolución clínica puede presentar múltiples complicaciones, las cuales comprometen el flujo vascular, entre estas las complicaciones mayores son la hipoperfusión de tejido, condicionando riesgo de isquemia, infecciones o necrosis. En el diagnóstico es fundamental el antecedente del factor desencadenante, como un procedimiento invasivo, evidenciar lesiones cutáneas descritas, estudios de analítica y biopsia la cual confirma el diagnostico. En el tratamiento actual no hay un consenso definido, pero se sabe que este debe estar dirigido a disminuir la respuesta inflamatoria con el uso de corticoides, antiagregantes plaquetarios e hipolipemiantes. El pronóstico de la enfermedad es bueno en casos diagnosticados es bueno en casos diagnosticados oportunamente en estadios iniciales.
Referencias bibliográficas
1. Li X, Bayliss G, Zhuang S. Cholesterol Crystal Embolism and Chronic Kidney Disease. International journal of molecular sciences. 2017;18(6):1120. Disponible en: https://doi.org/10.3390/ijms18061120.
2. Beato Merino MJ, Diago A, Fernandez-Flores A, Fraga J, García Herrera A, Garrido M, et al. Dermatopatología de la oclusión intraluminal vascular: parte II (coagulopatías, émbolos y miscelánea). Actas Dermosifiliogr. 2021;112(2):103–17. Disponible en: http://dx.doi.org/10.1016/j.ad.2020.10.004.
3. McGevna L. Cutaneous manifestations of cholesterol embolism. Medscape.com. 2021. Disponible en: https://emedicine.medscape.com/article/1096593-overview [citado el 5 de diciembre de 2022].
4. Ozkok A. Cholesterol-embolization syndrome: current perspectives. Vasc Health Risk Manag. 2019;15:209–20. Disponible en: https://www.dovepress.com/cholesterol-embolization-syndrome-current-perspectives-peer-reviewed-fulltext-article-VHRM [citado el 29 de enero de 2023].
5. Gómez de la Fuente E, Vicente Martín JF, Álvarez Fernández JG, Candela SM, Rodríguez Vázquez M, López Estebaranz LJ, et al. Embolismo por cristales de colesterol, con fracaso renal agudo o subagudo, diagnosticado por las lesiones cutáneas. Actas Dermosifiliogr. 2002;93(6):379–83. Disponible en: https://www.actasdermo.org/es-embolismo-por-cristales-colesterol-con-articulo-13034575 [citado el 9 de marzo de 2023].
6. Foroni Casas LA. Acute Arterial Embolism of the Lower Limb. Embolic Diseases - Evolving Diagnostic and Management Approaches. IntechOpen. 2020. Disponible en: http://dx.doi.org/10.5772/intechopen.84396.
7. Mikhailova ZD, Klimkin PF. Cholesterol atheroembolism syndrome: Current state of the problem. Russ Arch Intern Med. 2020;10(4):272–80. Disponible en: http://dx.doi.org/10.20514/2226-6704-2020-10-4-272-280.
8. Catherine F, Otto M, Biller M, Fahajohn F, Mdjoseph L, et al. Embolism from atherosclerotic plaque: Atheroembolism (cholesterol crystal embolism):Muhamed Saric. Kathryn A Collins, MD, PhD; 2021. Disponible en: https://www.uptodate.com/contents/embolism-from-atherosclerotic-plaque-atheroembolism-cholesterol-crystal-embolism.
9. Shah N, Nagalli S. Émbolos de colesterol. En: StatPearls. Treasure Island (FL). 2023. Disponible en: https://www.ncbi.nlm.nih.gov/books/NBK556091/ [Actualizado el 4 de julio de 2022].
10. Kronzon I, Saric M. Cholesterol embolization syndrome. Circulation. 2010;122(6):631–41. Disponible en: http://dx.doi.org/10.1161/CIRCULATIONAHA.109.886465 [citado el 9 de marzo de 2023].
11. Duewell P, Kono H, Rayner KJ, Sirois CM, Vladimer G, Bauernfeind FG, et al. NLRP3 inflammasomes are required for atherogenesis and activated by cholesterol crystals. Nature. 2010;464(7293):1357–61. Disponible en: http://dx.doi.org/10.1038/nature08938.
12. García Millán C, Fernández Lorente M, Jaén Olasolo P. Ateroembolia por cristales de colesterol. Piel Formación continuada de Dermatología. 2007;22(1):18–23. Disponible en: https://www.elsevier.es/es-revista-piel-formacion-continuada-dermatologia-21-articulo-ateroembolia-por-cristales-colesterol-13097773?code=bX7KvMLnwod9cIWAFH3DGaBNqj1OSu&newsletter=true [citado el 9 de marzo de 2023].
13. Bencosme EI, Romera-Segorbe AM, Moreno-Reig Á, Ramos-Rodríguez C, Caparrós G, Rivera F. Ateroembolia de colesterol por sintrom. Una entidad peligrosa de difícil manejo. Nefroplus. 2014;6(1):1-89. Disponible en: https://www.revistanefrologia.com/en-ateroembolia-colesterol-por-sintrom-una-articulo-X1888970014001604 [citado el 9 de marzo de 2023].
14. Lardino A, Garner O, Ramirez A, Lotta F. Cholesterol embolism: it’s always a good idea to look into the eye. BMJ Case Rep. 2017;bcr-2017-222128. Disponible en: http://dx.doi.org/10.1136/bcr-2017-222128.
15. Tousoulis D, Psarros C, Demosthenous M, Patel R, Antoniades C, Stefanadis C. Innate and adaptive inflammation as a therapeutic target in vascular disease: The Emerging Role of Statins. J Am Coll Cardiol. 2014;63(23):2491–2502. Disponible en: http://dx.doi.org/10.1016/j.jacc.2014.01.054.