Casos clínicos
Infección respiratoria polimicrobiana: un caso de colonización multirresistente y coinfección viral en un lactante
Polymicrobial respiratory infection: a case of multidrug-resistant colonization and viral coinfection in an infant
Infección respiratoria polimicrobiana: un caso de colonización multirresistente y coinfección viral en un lactante
Gaceta Médica Boliviana, vol. 46, núm. 2, pp. 118-122, 2023
Universidad Mayor de San Simón
Recepción: 16 Agosto 2023
Aprobación: 20 Septiembre 2023
Resumen: Se presenta el caso de un lactante de 38 semanas ingresado con distrés respiratorio a un nosocomio al norte del Perú. Tras intubación y conexión a ventilación mecánica, se administró tratamiento antimicrobiano y sedoanalgesia. Durante la hospitalización, el paciente presentó fiebre, tos con expectoración quintosa, rubicundez facial y desaturación. Se observó edema en párpados, manos y pies, pero la perfusión tisular se mantuvo adecuada. En el cuarto día, sufrió convulsión febril, sibilancias respiratorias y oliguria con hematuria. Se realizaron cambios en el tratamiento y se administraron transfusiones. Al día 7, con apoyo del panel de PCR múltiple (FilmArray®) para el diagnóstico etiológico de enfermedades infecciosas respiratorias, se diagnosticó colonización/infección por Acinetobacter baumannii multirresistente, la cual se acompañó con la detección de Serratia marcescens y virus sincicial respiratorio. Tras una estancia prolongada, se logró la extubación exitosa el día 10. El día 24, el paciente fue dado de alta sin fiebre, signos vitales estables y sin requerir oxígeno, solo tratamiento para las convulsiones.
Palabras clave: acinetobacter baumannii, infecciones por virus sincitial respiratorio, infecciones asintomáticas, síndrome de dificultad respiratoria, serratia marcescens..
Abstract: A case is presented of a 38-week-old infant admitted with respiratory distress to a hospital in northern Perú. After intubation and connection to mechanical ventilation, antimicrobial treatment and sedoanalgesia were administered. During hospitalization, the patient experienced fever, cough with quintose expectoration, facial rubor, and desaturation. Edema was observed in the eyelids, hands, and feet, but tissue perfusion remained adequate. On the fourth day, the patient had a febrile seizure, respiratory wheezing, and oliguria with hematuria. Treatment changes were made, and transfusions were administered. On the seventh day, using the FilmArray® multiplex PCR panel for etiological diagnosis of respiratory infectious diseases, colonization/infection by multidrug-resistant Acinetobacter baumannii was diagnosed, accompanied by the detection of Serratia marcescens and respiratory syncytial virus. After a prolonged stay, successful extubation was achieved on day 10. On day 24, the patient was discharged without fever, stable vital signs, and without requiring oxygen, only treatment for seizures.
Keywords: acinetobacter, respiratory syncytial virus infections, respiratory distress syndrome, serratia marcescens.
Las bacterias, como el Streptococcus pneumoniae y el Haemophilus influenzae, junto con los virus como la influenza y el virus respiratorio sincitial (VSR), son los principales causantes de enfermedades graves en las vías respiratorias inferiores. Sin embargo, es importante destacar que el VSR es el único virus para el cual no hay vacunas eficaces disponibles en la actualidad. En contraste, los virus desempeñan un papel más significativo en las infecciones leves del tracto respiratorio medio y superior, así como en la bronquiolitis en niños. Por otro lado, las bacterias son la principal causa de neumonía, especialmente en adultos1.
En las infecciones adquiridas a nivel nosocomial, Acinetobacter baumannii es el microorganismo más frecuente en los cultivos de esputo de pacientes hospitalizados de larga estancia y suele ser la causa de neumonía adquirida en el hospital (NAH), asociada a mal pronóstico y alta mortalidad, además en estos casos, es usual que resulte difícil diferenciar entre la colonización bacteriana de una infección verdadera2. El tratamiento de la infección por A. baumannii suele requerir terapia antimicrobiana de amplio espectro con carbapenémicos y en algunos casos el uso de drogas nefrotóxicas como colistina. Esta práctica, puede generar presión selectiva propicia para la aparición de otros agentes patógenos, entre ellos Serratia marcescens. Esta última también es responsable de infecciones asociadas a la atención en salud con una alta tasa de mortalidad y morbilidad, especialmente cuando se presentan brotes por aislamientos multirresistentes. Además, es importante destacar que Serratia marcescens es naturalmente resistente a varios antibióticos, incluyendo la colistina3.
Debido a la disponibilidad de métodos de detección molecular como el sistema automatizado Filmarray® multiplex PCR panel, ahora es posible determinar la presencia de agentes infecciosos en muestras polimicrobianas con mayor precisión. Sobre todo ya que los síndromes clínicos se superponen considerablemente, y cada vez hay más pruebas de coinfecciones bacterianas, virales y fúngicas que revelan la relevancia epidemiológica y clínica de las infecciones respiratorias mixtas. De esta manera, se conoce que las tasas de coinfección que acompañan al virus de la influenza pueden representar hasta el 36,1 % de las IRA4 , mientras que en el caso de pacientes infectados por VSR la asociación con una coinfección bacteriana del tracto respiratorio inferior, oscila entre el 17,5 y el 44 % de los pacientes positivos tanto para el VSR como para bacterias principalmente S. pneumoniae y H. influenzae5. Por este motivo, se presenta un caso poco común de colonización/infección por A. baumannii panresistente y Serratia marcescens en un paciente con una infección concomitante por el virus sincitial respiratorio. Este caso tiene como objetivo documentar el impacto de las coinfecciones viral-bacteriana en las infecciones respiratorias.
Reporte de caso:
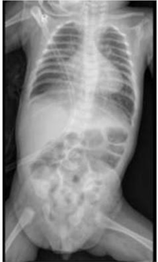
Se presenta un caso clínico de un lactante de 38 semanas de edad, procedente de la ciudad de Chiclayo en Perú, quien fue ingresado a la sala de emergencias del Hospital Regional Lambayeque por un cuadro febril y dificultad respiratoria, seis horas después de su ingreso, se acentuó el distrés respiratorio, lo que llevó a la intubación y conexión a ventilación mecánica invasiva. Tras la evaluación de los resultados de Radiografía (Figura 1) se inició el tratamiento antimicrobiano con Ceftriaxona y Azitromicina, junto con sedoanalgesia a base de Midazolam y Fentanilo.
El paciente fue trasladado a la Unidad de Trauma Shock y posteriormente a la Unidad de Cuidados Especiales Pediátricos (UCEP) después de ocho horas de su ingreso a la sala de emergencias. Durante su hospitalización, el paciente experimentó episodios febriles y tos con expectoración quintosa, acompañados de rubicundez facial y desaturación hasta un nivel del 78 %. También se observó un leve edema en los párpados que progresó a las manos y los pies. Permaneció sedado y conectado a un ventilador, presentando roncus y subcrepitantes difusos de manera bilateral. A pesar de estos síntomas, se mantuvo una adecuada perfusión tisular.

En el cuarto día, el paciente sufrió una convulsión asociada con un episodio febril y sibilancias respiratorias bilaterales. Además, se presentó oliguria y hematuria, lo que llevó a la administración de furosemida y al cambio de antibióticos a Meropenem y Vancomicina. También se le administraron transfusiones de plasma fresco y vitamina K. En este mismo día, se registró un episodio de distrés respiratorio severo y desaturación, con una gran resistencia de la vía aérea a la ventilación con presión positiva manual.
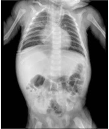
En el quinto día, se intentó la extubación, pero el paciente no toleró el procedimiento debido a la obstrucción del tubo orotraqueal con secreción sanguinolenta densa. Además, los episodios de tos quintosa se acentuaron. En el séptimo día, se agregó tratamiento antibiótico con Colistina debido a la identificación de una colonización/infección polimicrobiana por estudios de biología molecular mediante el uso de un panel filmarray que permitió la detección de Acinetobacter baumannii multirresistente Además, esta técnica molecular permitió la detección de S. marcescens y VSR. En el octavo día se obtuvo una radiografía de tórax de control donde se aprecian áreas con densidades anormales, que son heterogéneas y se encuentran principalmente en el campo pulmonar derecho, las cuales sugieren infección pulmonar (Figura 2). En el décimo día, se inició el tratamiento con morfina y clonazepam debido al síndrome de abstinencia. Después de una estancia prolongada en cuidados intensivos, en el día 14 se logró realizar la extubación de manera exitosa. Sin embargo, el paciente continuó recibiendo tratamiento y cuidados.

Al día 18 se vuelve a tomar una radiografía de tórax, en la cual destacan radiopacidades en tercio medio de campo pulmonar derecho y retrocardiaca lo cual indica la sospecha de infiltrados pulmonares que pueden ser el resultado de la acumulación de líquido, células inflamatorias o tejido cicatricial en el pulmón. A pesar de ello la evolución clínica es favorable (Figura 3). El día 24, se decidió dar de alta al paciente, ya que había completado el tratamiento indicado. Durante este período, ya no se registraron episodios de fiebre, la presión arterial y la frecuencia cardíaca se mantuvieron estables, y se observó una adecuada perfusión tisular. Además, el hemograma se encontraba dentro de los parámetros normales y el paciente no requería soporte de oxígeno, únicamente se indicó tratamiento para las convulsiones. Se proporcionaron instrucciones de seguimiento adecuadas.

Discusión
La presencia de patógenos multirresistentes en pacientes pediátricos requiere una atención especial, ya que las coinfecciones virales y bacterianas se asocian con mayor gravedad y admisiones en unidades de cuidados intensivos. Por lo tanto, es fundamental mejorar la prevención y el manejo de las infecciones respiratorias mediante el control de la infección y la reducción del uso innecesario de antibióticos de amplio espectro, con el objetivo de disminuir la transmisión de gérmenes multirresistentes en el entorno hospitalario.
En este estudio se presenta un caso de colonización/infección polimicrobiana en un lactante de 38 semanas, procedente de la ciudad de Chiclayo. Los eventos de coinfección viral-bacteriana son un hecho común ampliamente reportado en la literatura. Por ejemplo, en los pacientes ingresados en áreas críticas con infección grave por influenza A, es muy frecuente hallar coinfecciones bacterianas o virales6. Aunque la frecuencia de coinfección bacteriana es variable y las especies bacterianas coinfectantes más prevalentes son Streptococcus pneumoniae y Staphylococcus aureus7, muchas otras especies tienen la capacidad de causar coinfecciones. En el caso presentado, se reporta a A. baumannii y S. marcescens en una muestra en la que también se detectó VSR. La detección simultánea de patógenos se hace cada vez más posible por los métodos moleculares de rutina con los que se cuenta en la actualidad. Aunque discernir entre infección y colonización aún representa un gran desafío en el que se requiere no solo tomar en cuenta los hallazgos microbiológicos sino aspectos clínicos y epidemiológicos.
Durante la pandemia por Covid-19, las coinfecciones por A. baumannii se relacionaron a infecciones bacterianas secundarias o sobreinfecciones, principalmente bacteriemias e infecciones del tracto urinario8. Así mismo, la coinfección del virus SARS-CoV-2 con bacterias, hongos incluso otros virus parece ligarse a una mayor frecuencia de desenlaces desfavorables9, para el caso de VSR, las coinfecciones más comunes reportadas son por Staphylococcus aureus, Pseudomonas aeruginosa, Streptococcus pneumoniae, Moraxella catarrhalis, Haemophilus influenzae y Klebsiella pneumoniae10. Sin embargo, no existen a la fecha reportes de coinfecciones tanto de S. marcescens o A. baumannii con VSR, a pesar de ello, existen mecanismos implicados en las coinfecciones y superinfecciones producidas por virus-bacterias que pueden explicar este hallazgo.
La infección viral puede causar disrupción de la integridad del epitelio a través de la pérdida de uniones estrechas entre las células epiteliales, rearreglo del citoesqueleto de actina y apoptosis/necrosis de las células epiteliales lo que conduce a una mayor susceptibilidad a infecciones bacterianas secundarias11,12. Así mismo, los virus pueden modificar la función de las vías respiratorias mediante la acción directa sobre las células epiteliales ciliadas causando obstrucción y pérdida de cilios, que impide el aclaramiento mucociliar. De este modo causan el incremento en la producción de moco, en este sentido, se sabe que el VSR y los virus de la influenza aumentan las proteínas asociadas con el moco, como la Muc5ac después de la infección13,14 .
Además de la acción directa de los virus se ha reportado que la infección viral puede mejorar la adhesión bacteriana al exponer receptores bacterianos en las células epiteliales y aumentar moléculas de adhesión en la superficie celular. Tal es el caso de S. pneumoniae y H. influenzae en las células epiteliales mediante la unión directa de la glicoproteína G a los componentes bacterianos. La glicoproteína G se ancla en la membrana celular después de la infección y actúa como un receptor bacteriano15,16 . Por otro lado, la infección por VSR también puede interferir con los mecanismos de reparación del epitelio mediante la disminución de la proliferación y diferenciación de las células epiteliales a nivel pulmonar17.
Las detecciones virales y las infecciones polimicrobianas son comunes entre los pacientes pediátricos con IRA. y es que existen ciertos factores de riesgo específicos del huésped, como el sexo masculino, la edad entre 6 meses y 1 año y los antecedentes de inmunosupresión que pueden aumentar la probabilidad de coinfección viral.(p>0,05)18.
Así mismo, los niños con coinfecciones virales tienen más probabilidades de tener IRA grave. Sin embargo, se ha reportado que el cociente de posibilidades para el ingreso en la UCI asociado con la coinfección virus-virus no fue significativo (OR 0,32; IC del 95%: 0,08–1,27). Aunque también se conoce que mientras que los niños con coinfecciones virales tienen menos probabilidades de ser admitidos en la UCI que los niños con infecciones por un solo virus, los niños con coinfección por virus y bacterias, en comparación con los niños con infección por un solo virus, tienen más probabilidades de ser admitidos en una UCI (OR 5,58, IC del 95 %: 1,95–15,96)18.
Las pruebas de reacción en cadena de la polimerasa (PCR) han demostrado ser una herramienta útil para la detección rápida y simultánea de múltiples patógenos respiratorios. En particular, las pruebas PCR multiplex como FilmArray permiten diagnosticar de manera simultánea una amplia gama de virus y bacterias causantes de infecciones respiratorias agudas en solo una muestra. Esto resulta ventajoso tanto para el manejo clínico temprano del paciente, como para investigaciones epidemiológicas que buscan determinar las tasas de coinfección y correlacionar la presencia de distintos patógenos con los desenlaces de la enfermedad. Dadas las altas tasas de coinfección reportadas, especialmente en pacientes pediátricos, el enfoque de screening múltiple mediante PCR ha ganado aceptación como una estrategia integral para el estudio de las infecciones respiratorias19.
En el caso presentado, la infección por el virus sincitial respiratorio (VSR) probablemente facilitó la colonización o infección bacteriana por S. marcescens y A. baumannii a través de diferentes mecanismos mencionados previamente. Estos organismos representan un desafío significativo para el tratamiento hospitalario debido a que suelen surgir como consecuencia del uso de antibióticos de amplio espectro. Cuando estos antibióticos eliminan la microflora normal, bacterias hospitalarias como S. marcescens y A. baumannii pueden colonizar de manera oportunista diversas cavidades corporales, lo que aumenta la probabilidad de que los pacientes requieran cuidados intensivos20.
Por lo tanto, es necesario regular estrictamente el uso de carbapenémicos, especialmente en monoterapia, e implementar esquemas de rotación cíclica de antibióticos para prevenir la aparición de resistencia y la presión de selección ejercida por estos microorganismos21. Asimismo, se debe limitar el uso de antibióticos como la colistina, cuyo uso está directamente relacionado con la aparición de S. marcescens ya que esta es intrínsecamente resistente a este antimicrobiano22.
Es importante destacar que el uso de colistina ejerce presión selectiva sobre gérmenes intrínsecamente resistentes. En un entorno hospitalario donde se utiliza ampliamente la colistina, puede promover la aparición de estos microorganismos, aunque en el caso presentado se priorizó la erradicación de A. baumannii y aparentemente S. marcescens fue un colonizante. La presencia de S. marcescens en áreas críticas debe llamar la atención, ya que puede interpretarse como un indicador de agotamiento de antimicrobianos en servicios de atención crítica22.
Conclusión y recomendaciones
En conclusión, este artículo de reporte de caso resalta la complejidad de las coinfecciones polimicrobianas, particularmente las virales y bacterianas, en un entorno hospitalario. Factores como la edad pediátrica, el estado inmunológico y los cambios inducidos por la infección viral pueden aumentar la susceptibilidad a las colonizaciones y superinfecciones bacterianas. Aunque no hay informes previos de coinfecciones específicas como la descrita entre el VSR y Acinetobacter baumannii y Serratia marcescens, existen mecanismos por los cuales los virus respiratorios pueden contribuir a las coinfecciones bacterianas. El caso presentado destaca la importancia de considerar la posibilidad de una infección polimicrobiana en pacientes con infecciones respiratorias graves, especialmente aquellos con factores de riesgo. Además, resalta la utilidad de las pruebas moleculares en la detección rápida y simultánea de múltiples patógenos respiratorios ante la necesidad de regular el uso de terapia antimicrobiana, así como el uso de medidas de soporte ventilatorio y hemodinámico, para lograr la estabilización y recuperación de los pacientes.
Referencias bibliográficas
1. Doorn HR van, Yu H. Viral Respiratory Infections. Hunter’s Tropical Medicine and Emerging Infectious Diseases. 2020:284–288. Available from: https://www.ncbi.nlm.nih.gov/pmc/articles/PMC7152106/ [cited 2023 Aug 16].
2. Feng D-Y, Zhou J-X, Li X, Wu W-B, Zhou Y-Q, Zhang T-T. Differentiation Between Acinetobacter Baumannii Colonization and Infection and the Clinical Outcome Prediction by Infection in Lower Respiratory Tract. Infect Drug Resist. 2022 ;15:5401–5409. Available from: https://www.ncbi.nlm.nih.gov/pmc/articles/PMC9480586/ [cited 2023 Aug 16].
3. Merkier AK, Rodríguez MC, Togneri A, et al. Outbreak of a Cluster with Epidemic Behavior Due to Serratia marcescens after Colistin Administration in a Hospital Setting. J Clin Microbiol. 2013;51(7):2295–2302. Available from: https://www.ncbi.nlm.nih.gov/pmc/articles/PMC3697717/ [cited 2023 Aug 16].
4. Peng D, Zhao D, Liu J, et al. Multipathogen infections in hospitalized children with acute respiratory infections. Virol J. 2009;6(155). Available from: https://virologyj.biomedcentral.com/articles/10.1186/1743-422X-6-155#citeas.
5. Oliva J, Terrier O. Viral and Bacterial Co-Infections in the Lungs: Dangerous Liaisons. Viruses 2021;13(9):1725. Available from: https://www.ncbi.nlm.nih.gov/pmc/articles/PMC8472850/ [cited 2023 Aug 16].
6. Blyth CC, Webb SAR, Kok J, et al. The impact of bacterial and viral co-infection in severe influenza. Influenza Other Respir Viruses 2013;7(2):168–176. Available from: https://pubmed.ncbi.nlm.nih.gov/22487223/.
7. Klein EY, Monteforte B, Gupta A, et al. The frequency of influenza and bacterial coinfection: a systematic review and meta-analysis. Influenza Other Respir Viruses 2016;10(5):394–403. Available from: https://pubmed.ncbi.nlm.nih.gov/27232677/.
8. Rangel K, Chagas TPG, De-Simone SG. Acinetobacter baumannii Infections in Times of COVID-19 Pandemic. Pathogens 2021;10(8):1006. Available from: https://www.mdpi.com/2076-0817/10/8/1006 [cited 2023 Aug 16].
9. Quiñones-Laveriano, DM. Soto, A. Quilca-Barrera L. Frecuencia de coinfección por patógenos respiratorios y su impacto en el pronóstico de pacientes con COVID-19. Revista de la Facultad de Medicina Humana 2021;21(3):610–622. Available from: http://www.scielo.org.pe/scielo.php?script=sci_abstract&pid=S2308-05312021000300610&lng=es&nrm=iso&tlng=es [cited 2023 Aug 16].
10. Pacheco GA, Gálvez NMS, Soto JA, Andrade CA, Kalergis AM. Bacterial and Viral Coinfections with the Human Respiratory Syncytial Virus. Microorganisms 2021 ;9(6):1293. Available from: https://www.ncbi.nlm.nih.gov/pmc/articles/PMC8231868/ [cited 2023 Aug 16].
11. Linfield DT, Raduka A, Aghapour M, Rezaee F. Airway tight junctions as targets of viral infections. Tissue Barriers 2021;9(2):1883965. Available from: https://www.ncbi.nlm.nih.gov/pmc/articles/PMC8078511/.
12. Ruan T, Sun J, Liu W, et al. H1N1 Influenza Virus Cross-Activates Gli1 to Disrupt the Intercellular Junctions of Alveolar Epithelial Cells. Cell Rep 2020;31(13):107801. Available from: https://pubmed.ncbi.nlm.nih.gov/32610119/.
13. Vareille M, Kieninger E, Edwards MR, Regamey N. The airway epithelium: soldier in the fight against respiratory viruses. Clin Microbiol Rev 2011;24(1):210–229. Available from: https://pubmed.ncbi.nlm.nih.gov/21233513/.
14. Hashimoto K, Graham BS, Ho SB, et al. Respiratory syncytial virus in allergic lung inflammation increases Muc5ac and gob-5. Am J Respir Crit Care Med 2004;170(3):306–312. Available from: https://pubmed.ncbi.nlm.nih.gov/15130904/.
15. Hament J-M, Aerts PC, Fleer A, et al. Direct binding of respiratory syncytial virus to pneumococci: a phenomenon that enhances both pneumococcal adherence to human epithelial cells and pneumococcal invasiveness in a murine model. Pediatr Res 2005;58(6):1198–1203. Available from: https://pubmed.ncbi.nlm.nih.gov/16306193/.
16. Avadhanula V, Wang Y, Portner A, Adderson E. Nontypeable Haemophilus influenzae and Streptococcus pneumoniae bind respiratory syncytial virus glycoprotein. J Med Microbiol 2007;56(Pt 9):1133–1137. Available from: https://pubmed.ncbi.nlm.nih.gov/17761473/.
17. Li W, Shen H-H. Effect of respiratory syncytial virus on the activity of matrix metalloproteinase in mice. Chin Med J (Engl) 2007;120(1):5–11. Available from: https://pubmed.ncbi.nlm.nih.gov/17254480/.
18. Chorazy ML, Lebeck MG, McCarthy TA, Richter SS, Torner JC, Gray GC. Polymicrobial Acute Respiratory Infections in a Hospital-Based Pediatric Population. Pediatr Infect Dis J 2013;32(5):460–466. Available from: https://journals.lww.com/pidj/abstract/2013/05000/polymicrobial_acute_respiratory_infections_in_a.7.aspx.
19. Silva KE da, Rossato L, Jorge S, et al. Three challenging cases of infections by multidrug-resistant Serratia marcescens in patients admitted to intensive care units. Braz J Microbiol 2021;52(3):1341–1345. Available from: https://www.ncbi.nlm.nih.gov/pmc/articles/PMC8324748/ [cited 2023 Aug 16].
20. Duijn PJ van, Verbrugghe W, Jorens PG, et al. The effects of antibiotic cycling and mixing on antibiotic resistance in intensive care units: a cluster-randomised crossover trial. Lancet Infect Dis 2018;18(4):401–409. Available from: https://pubmed.ncbi.nlm.nih.gov/29396000/.
21. Binsker U, Käsbohrer A, Hammerl JA. Global colistin use: a review of the emergence of resistant Enterobacterales and the impact on their genetic basis. FEMS Microbiol Rev 2021;46(1):fuab049. Available from: https://www.ncbi.nlm.nih.gov/pmc/articles/PMC8829026/ [cited 2023 Aug 16].
22. Augustine S, Bonomo RA. Taking stock of infections and antibiotic resistance in the elderly and long-term care facilities: A survey of existing and upcoming challenges. Eur J Microbiol Immunol (Bp) 2011;1(3):190–197. Available from: https://www.ncbi.nlm.nih.gov/pmc/articles/PMC3906614/ [cited 2023 Aug 16].