Articles
Structural plasticity and isolation of umbilical cord progenitor cells of agouti (Dasyprocta prymnolopha) raised in captivity
Plasticidade estrutural e isolamento de células progenitoras do cordão umbilical de cutias (Dasyprocta prymnolopha) criadas em cativeiro
Structural plasticity and isolation of umbilical cord progenitor cells of agouti (Dasyprocta prymnolopha) raised in captivity
Semina: Ciências Agrárias, vol. 40, no. 1, pp. 225-238, 2019
Universidade Estadual de Londrina

Received: 22 March 2018
Accepted: 24 September 2018
Abstract: The agouti has been used as an experimental model in several studies focused on reproductive biology. The umbilical cord, an embryonic attachment that connects the foetus to the placenta, has been reported as an important anatomical site for obtaining stem cells. The objective of this study was to describe macro- and microscopically the umbilical cord of agoutis at different stages of gestation, to expand and cultivate in vitro the progenitor cells and to report their morphological characteristics. Seven cutias were submitted to caesarean section to collect the umbilical cords: five were destined for studies of cord structure in different stages of gestation (30, 35, 50, 75 and 100 days postcoital), and two were collected in the third stage of gestation for isolation and cell culture. The umbilical cord of cutias assumes a spiral arrangement, with veins and arteries on it starting 50 days after coitus. The arteries present an outer layer of smooth muscle fibres in a longitudinal and circular arrangement and a medium layer of smooth muscle fibres with only longitudinal and intimate orientation and coated by the endothelium. The veins consist of longitudinal smooth muscle fibres with an extract of smooth muscle cells, and the endothelium, in all analysed gestational phases, is a structure bounded by simple pavement epithelial tissue originating from the amnion, adhered to Wharton's Jelly and forming the umbilical vessels and allantoid duct. The proposed protocol allowed the collection of a high cellular concentration of umbilical cord progenitor cells from viable cutias.
Keywords: Cell culture, Gestational stages, Umbilical cord, Morphology, Agouti.
Resumo: A cutia vem sendo utilizada como modelo experimental em diversos estudos voltados à biologia reprodutiva. O cordão umbilical, anexo embrionário que une o feto à placenta, tem sido relatado como um importante sítio anatômico para obtenção de células-tronco. O objetivo deste estudo foi descrever macro e microscopicamente o cordão umbilical de cutias, em fases diferentes da gestação, expandir e cultivar in vitro as células progenitoras e relatar suas características morfológicas. Foram utilizadas sete cutias submetidas à cesariana para a coleta dos cordões umbilicais, cinco foram destinadas aos estudos da estrutura do cordão, em diferentes estágios de gestação (30, 35, 50, 75 e 100 dias pós-coito), e duas, no terço final da gestação, para isolamento e cultivo celular. O cordão umbilical de cutia assume disposição espiralada, com veias e artérias sobre ele a partir dos 50 dias após o coito. As artérias apresentam camada externa de fibras musculares lisas, disposição longitudinal e circular, camada média de fibras musculares lisas, apenas com disposição longitudinal e íntima revestida pelo endotélio. As veias constituídas por fibras musculares lisas longitudinais com um extrato de células musculares lisas e pelo endotélio. Em todas as fases gestacionais analisadas é uma estrutura delimitada por tecido epitelial simples pavimentoso, proveniente do âmnio, aderido a Geleia de Wharton e com formação de vasos umbilicais e ducto alantóide. O protocolo proposto permitiu a coleta de células progenitoras do cordão umbilical de cutias, viáveis com elevada concentração celular.
Palavras-chave: Cultivo celular, Fases gestacionais, Cordão umbilical, Morfologia, Cutia.
Introduction
The agouti is a rodent of the Hystricomorpha suborder that, under natural conditions, lives in forests, farms and cultivated areas of Central and South America. Much used in predatory hunting, it plays an important ecological role and is arousing growing scientific interest (GUIMARÃES et al., 2016; MARTINEZ et al., 2013).
Studies with the objective of improving knowledge of the morphology of this wild species are relevant, since they present the agouti as an alternative model for investigations of several pathological processes, besides contributing to its preservation (SILVA et al., 2014). Several studies have been developed to address the morphophysiological aspects of female agouti reproduction (ALMEIDA et al, 2003; FERRAZ et al., 2016; FORTES et al., 2013; GUIMARÃES et al., 2016; SOUSA et al., 2012). Despite the morphological descriptions of the placenta (RODRIGUES et al., 2003, 2006), its globular (spherical) form, lobed structure, orientation of foetal blood flow and sub-placenta, regarding umbilical cord morphogenesis, no specific studies in the agouti. Already, in mocó (Kerodon rupestris), information is provided on the structural components of the umbilical cord at different stages of gestation (RODRIGUES et al., 2013).
In addition, stem cell research in new animal models, including unconventional species such as agouti, has shown promising results regarding cell dynamics in vitro and in vivo, representing innovations in cell culture and therapeutic uses (CABRAL et al., 2012; CARVALHO et al., 2015; ROCHA, 2015; ROCHA et al., 2012). However, since the umbilical cord is a possible source of mesenchymal stem cells, in this wild rodent species, no scientific basis was found in the literature.
The umbilical cord is a structure exclusive to mammals and develops when a mesenchymal tissue connection thickens between the embryo and the chorion, forming a bridge responsible for blood flow between the mother and foetus (EITELVEN et al., 2017; PROCTOR et al, 2013). The different umbilical cord tissues contain hematopoietic and mesenchymal (MSC) stem cells, which can be used in a variety of therapeutic proposals, representing an important anatomical site for obtaining MSC including its lining, subendothelial layer, blood, perivascular zone, and Wharton jelly (EITELVEN et al., 2017; WATSON et al., 2015).
The MSC has gained attention in human and animal research, being the main focus of cell therapy regenerative medicine due to its in vitro expansion, innocuous method of procurement, the possibility of autologous transplants, and, mainly, the absence of ethical impedance (MARTINS et al., 2014; SILVA et al., 2009).
Considering that the umbilical cord is discarded after birth, the utilization of these cells presents an alternative to transplantation with a lower risk of immunological reactions in the host, minimal risks to the donor, and rapid, simple availability (BYDLOWSKI et al., 2009). The objective of this study was to describe macro- and microscopically the umbilical cord of agouti in different gestational stages, to isolate and expand the progenitor cells in vitro and to describe their morphological characteristics.
Methodology
Ethics and experimental animals
Seven cutias (D. prymnolopha) were created at the Center for Studies and Preservation of Wild Animals-NEPAS (Registration IBAMA / PI N° 02 / 08-618, CTF N 474064), authorized by the System of Authorization and Information on Biodiversity - SISBIO activities for scientific purpose n ° 19254-1. The experiments were carried out after approval was obtained from the Ethics Committee on Animal Use (CEUA) of the Federal University of Piauí, opinion N° 006/09.
Anaesthetic-surgical procedure
The cutias were evaluated by means of colpocitology and ultrasound examinations for diagnosis and gestational follow-up. Five animals at different gestational ages expressed as 30, 35, 50, 75 and 100 days postcoital (dpc) were used for the assessment of umbilical cord bioarchitecture. Pregnant females were premedicated with Tramadol (2 mg/kg) and ketamine (20 mg/kg) and maintained with Halotane for caesarean section at the University Veterinary Hospital of the Federal University of Piauí (HVU-UFPI). An incision was made along the Alba line in the pre-retroumbilical direction in order to expose the gravid uterus, then another incision was made in the pregnant uterine horn to obtain the foetus and foetal attachments.
Bioarchitecture of the umbilical cord
Macroscopic description of the umbilical funiculus was performed by means of dissection of the amniotic sac for observation and identification of the umbilical cord, recorded using digital camera photographs (Nikon Eclipse E200). For microscopic analysis, the umbilical cord was washed in water at 40 ºC, fixed in 10% buffered formaldehyde for 24 hours and submitted to histological processing for haematoxylin-eosin staining. Permanent slides were analysed by light microscopy and photographed using a specific photomicrographic system with a digital camera (Sony Cibershot®) coupled to the microscope, performed in the Morphology and Histology Laboratory of the Integrated Core of Morphology and Stem Cell Research UFPI (LabMorf / NUPCelt).
Isolation and culture of umbilical cord progenitor cells
Two females were followed throughout gestation and submitted to caesarean section at birth to collect the umbilical cords. These were pinched at their ends, sectioned and washed in PBS (phosphate buffered saline) with 2% antibiotic (penicillin-streptomycin) for the removal of blood trapped in vessels. Then, the cord was mechanically dissociated with a sterile scalpel blade into a petri dish containing 1% Collagenase type 1 solution (Invitrogen®, Cat. N° 17100-017). The material was incubated in an oven (TECMAL TE-399®) at 37 °C, in 5% CO2 and 95% humidity for 30 minutes. After this procedure, the enzymatic reaction was blocked by the use of Dulbecco's Modified Eagle's complete basal culture medium (D-MEM) (low glucose, no. 11995065; Invitrogen) supplemented with 15% foetal bovine serum, 1% penicillin-streptomycin, 1% L-glutamine (Invitrogen Corporation) and 1% non-essential amino acids (Sigma® N° M7145).
The isolated cells were plated at 106 cells/mL in 25 cm2 culture bottles with 3 mL culture medium and kept in an incubator. The medium was changed every 3 days and the culture monitored for growth evaluation until it reached 80% confluence. The culture wells were submitted to trypsinization and the cell concentration evaluated using a haematocytometer. Cells were plated at 106 cells/mL in 25 cm2 tissue-culture bottles, expanded in culture, photographed under reversed phase contrast microscopy (COLEMAN NIB-100®) and pealed with double the original area. The concentration and cellular morphology were evaluated at each passage.
Results
Macroscopically, the cutia umbilical cord (Dasyprocta sp.) 30 dpc (Figure 1A) is a transparent, elongated tubular structure. At 35 dpc (Figure 1B) it presents blood vessels initiating a spiral process. Already at 50 dc (Figure 1C) the vessels are completely spiralled, counter-clockwise, with arteries and veins of different calibres wrapped in the cord and a reddish colour. At 75 dpc (Figure 1D) the cord appears off-white to slightly yellow, consisting of three arteries and two umbilical veins. The arteries are located centrally in the cord, and the veins pass by spiralling it. At 100 dpc (Figure 1E) this structure is 10 cm long and remains elongated and transparent, with blood vessels spiralling symmetrically.
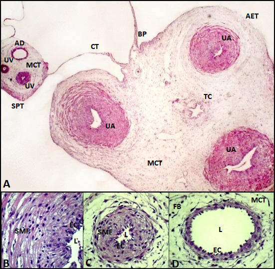
Regarding histological analysis, the umbilical cord at 30 dpc is delimited by simple pavement epithelial tissue, with pavement cells, cells that are attached to each other and have little extracellular material between them, adhered to the mucous connective tissue (Wharton jelly), which is rich in an amorphous substance, by the intense synthesis of fibroblasts. It was not possible to visualize the umbilical vessels at this stage of gestation. At 35 dpc (Figure 2), the vessels were evident, and the histological structure of the cord remained similar. At this stage, an artery, a vein and the allantoic duct were identified. The umbilical artery has three layers: the outer (adventitial) layer of smooth muscle fibres with a longitudinal and circular arrangement and the middle, also formed by smooth muscle fibres with a longitudinal and intimal arrangement of endothelial cells. The umbilical vein has two layers: one of smooth muscle fibres with a longitudinal arrangement with smooth muscle cells and another of endothelium. The allantoic duct is composed of a simple layer of endothelial cells, flattened with central and elliptical nuclei.
At 50 dpc, histologically, the umbilical cord of agouti (Figure 3A) is demarcated by simple squamous epithelial tissue originating from the amnion with the pavement epithelial cells presenting as flat, polyhedral, together and superimposed fixed to the tissue dense conjunctiva modelled through the basal lamina where material exchange takes place. Thus, like at 35 dpc, it consists mostly of Wharton jelly rich in fundamental matter, with star-shaped, large and elliptical nuclei. As for the umbilical blood vessels, at this stage of development, three arteries and two umbilical veins are individualized.


The arteries (Figure 3B) are composed of the intimate layer, formed by smooth muscle fibres with a circular longitudinal arrangement (myocytes), the medial layer, consisting of muscular fibres with a longitudinal layout, and the intima around the lumen, of endothelial cells. Similarly, the umbilical veins are formed by a double layer, the most external to the lumen consisting of smooth muscle fibres with a longitudinal arrangement, longitudinal bundles of myofibrils and smooth muscle cells and the innermost, a single layer of flattened endothelial cells (Figure 3C). The allantoic duct (Figure 3D), when compared to 35 dpc, shows no changes in its conformation.

At 75 dpc, the cord maintains its histological structure, being delimited by a single layer of epithelial cells, flattened and resembling scales close to each other, fixed to the connective tissue. Wharton jelly with elastic and collagen fibres and vessels adheres to the tissue, the venous elastic lamina being more regular than the arterial vein. At 100 dpc (Figure 4A-B) no relevant histological differences were observed when compared to 75 dpc. However, arteries (Figure 4C-D) with thicker walls and a star-shaped lumen were observed, whereas veins (Figure 4E-F) had thinner walls and an elliptic lumen.

The umbilical cord progenitor cell isolation protocol used was effective, with a mean number of cells isolated per animal of 4.5 x 105 and a mean cell viability of 89% throughout the passages, which remained similar between the cultured umbilical cord samples, as shown in Table 1.

The first adherent spindle cells were observed after 48 hours of culture, surrounding the explant. The appearance of the first cell colonies occurred after 96 hours of culture, with fibroblastoid morphology and adherents. Numerous mononuclear cells remained in suspension until the first wash with PBS after 72 hours of culture. During subsequent washes over 30 days, the percentage of these cells in suspension and adhered was progressively reduced until only colonies of progenitor cells were observed. These coalesced and formed a cell monolayer with 80% confluence after 45 days of cultivation.
The cells obtained were dispersed to the explant, with mononuclear morphology and in suspension, resulting from tissue release through enzymatic digestion. As the cells adhered to the culture substrate, they assumed a fusiform morphology in clusters around the explant, with a clear nucleus and well-defined cell borders, maintaining contact by means of cytoplasmic prolongations oriented parallel to each other (Figure 5). Cells preserved the fibroblastomoid morphology observed in culture isolation; they were continuously expanded by seven passages, and increasing cell concentrations were obtained at each peal.

Discussion
The umbilical cord of D. prymnolopha presents typical umbilical vessels, obeying a spiral pattern similar to that reported in the literature for buffaloes and humans (FERREIRA et al., 2009; PATIL et al., 2013; STANDRING, 2010). This arrangement occurs during the second and third trimesters of gestation, and presumably occurs due to cord angulations, with the advancement of gestation and torsional force imposed by foetal movements. The length of the umbilical cord of 10 cm, seen at 100 dpc, resembles the findings in another species of this rodent, Dasyprocta leporina L, in which it varies in length between 9.5 and 13 in the middle and final third of gestation (RODRIGUES et al., 2006).
Between 35 and 50 dpc, histologically there was an increase in the number of blood vessels, previously, two, one artery and one umbilical vein, passing to five blood vessels, three arteries and two umbilical veins. Similarly, the number of blood vessels, between the middle and final phases of gestation in D. aguti, Hydrochoerus hydrochaeris, Kerodon rupestres, Cavia porcellus and Agouti paca, was observed by Miglino et al. (2004). However, among these vessels, the authors identified an artery and a vitelline vein that supplied the yolk sac in the placenta. In contrast, in this study it was not possible to identify vitelline vessels.
The umbilical cord epithelium is composed of simple pavement epithelial tissue similar to that observed in mocos (RODRIGUES et al., 2013). However, it differs from the tissues described in studies by Hillemann and Gaynor (1961) in oats (Myocastor coypus) and Silva (2001) in paca (Agouti paca) because they presented a simple, continuous squamous epithelial lining and simple, cubic cells with ovoid nuclei. This structure consists, for the most part, of Wharton jelly, with collagen and elastin fibres, which contribute to the firmness of the intact cord. According to Ferguson and Dodson (2009), the thickness and turgidity of Wharton jelly vary with vessel expansion and contraction and can provide structural stability and prevent overdistension of vessels.
The artery wall presents three layers and the vein, two; however, rudimentary in the phase of 35 dpc, with tunics in development, but not totally differentiated between them. In addition, between 50 and 100dpc, the arteries and the umbilical veins are distinct in the muscular layers and the arrangement of their fibres similar to that described in the literature for other animals and humans (KADNER et al., 2004; RODRIGUES et al., 2013; ZHU et al., 2016). These fibres form a sphincter that promotes occlusion of the vessels when the umbilical cord ruptures, avoiding haemorrhage (FERREIRA et al., 2009). As for the lining tissue of the allantoic duct wall, the results in agouti were different from those reported by Tibbttes and Hillemann (1959) in chinchillas and by Silva (2001) in bales, indicating cubic, bi-stratified epithelium. However, in all cases, as well as in mocós observed by Rodrigues et al. (2013), the allantoic duct is formed by endothelial cells.
From progenitor cells adhering to a umbilical cord of galls at the end of gestation was effective by adapting pre-cells to murine and human cells (GUO; WANG, 2018; LI et al., 2012). In their cell isolation protocols, all these authors used mechanical fragmentation, enzymatic digestion and CO2 cultivation. In this study, we also chose to wash the umbilical cord with 10% conjugated antibiotic (penicillin-streptomycin), given the risk of contamination during transport from the surgical centre to the cell culture laboratory. In addition, the base nutrient medium was supplemented with 15% foetal bovine serum (FBS) and 1% non-essential amino acids (ANE) to minimize cell death by deprivation of oxygen and nutrients in the intermittent period between the collection of material and the start of processing. Such options are not commonly described in the literature, and no studies have been identified comparing these methodologies. However, Reiners Júnior et al. (2000) postulated that the reduction of glutathione levels and growth factors, among other substances, contributes to cellular oxidative stress. As the ANE is rich in glutamic acid, cysteine and glycine, components of the antioxidant glutathione, and FBS is rich in growth factors, it was assumed that the use of these would contribute to the maintenance of cellular viability.
However, the mean cell viability of 89% and the mean concentration of 4.5 x 105 cells/mL were similar to those obtained by other authors. Cooper et al. (2013), Pawitan et al. (2014) and Kannaiyan and Paulraj (2015) obtained concentrations between 105 and 108 cells/mL and viability above 80%, which allows us to infer that the proposed model was adequate.
Such morphological characteristics and cell layout were similar to those observed in MSC cultures isolated from the dental pulp of murines, in which a large number of rounded cells in suspension were present in the first hours due to enzymatic dissociation of the explant and later, with fusiform morphology due to the cellular adhesion around the adjacent pulp tissue (CARVALHO et al., 2015).
The observation of clusters surrounding the explant in which the cells detach themselves from the umbilical cord tissue, forming a radial pattern, also corroborate the findings of studies with umbilical cord MSC (BIEBACK; BRINKMANN, 2010; COOPER; VISWANATHAN, 2011; SHI et al., 2011; YANG et al. 2011).
Although it is not the object of the present study to determine the nature of the progenitor cells obtained, other studies infer that plastic-adherent cells, with fusiform morphology and fibroblastoid-originating cells identical to themselves, remaining undifferentiated for more than five passages, can be classified as trunk mesenchymal (BIEBACK; BRINKMANN, 2010; COOPER; VISWANATHAN, 2011; NARDI; MEIRELLES, 2006). In this study, the cells were kept undifferentiated until the 10th passage, sustaining such a possibility, as proposed by Rocha et al. (2012).
According to the International Society of Cell Therapy, at a minimum, the induction of cell differentiation in two distinct strains and immunophenotypic characterization with respect to CD90 or 105 positivity or negativity are required for two hematopoietic markers for classification as a mesenchymal stem cell lineage (DOMINICI et al., 2006). As the agouti is a wild rodent, native to the American fauna, and recent studies (CABRAL et al., 2012; FERRAZ et al., 2016; GUIMARÃES et al., 2016) indicate it as an alternative animal model to the murine models, it is priority the description of the structural plasticity of the embryonic annexes, as well as its potential for isolation of progenitor cells, as it is proposed in this opportunity, for further studies on the cellular characterization. In addition, for future research, the development of specific antibodies for the characterization of progenitor cells in this species will constitute an important scientific challenge.
The observed in vitro characteristics of confluence, continuous expansion in increasing rate of peaking, viability and morphological homogeneity indicate cell stability in cultures of progenitor cells obtained from the umbilical cord of agouti, indicating the potential of this tissue for characterization and cell therapy studies.
Conclusion
The bioarchitecture of the umbilical cord of the agouti (D. Prymnolopha) is described in a similar manner to that of other wild rodents, with a typical arrangement of the umbilical vessels, composed for the most part of Wharton jelly. Throughout the phases of gestation, the formation of the umbilical blood vessels, which increase in number and display their histological composition more clearly, occurs. The proposed model for collecting progenitor cells from the umbilical cord of agoutis is feasible for obtaining samples with a high concentration and cell viability. The cellularity of this organ brings the possibility of its clinical use in cell therapy, as the identified cells were morphologically similar to undifferentiated mesenchymal cells.
References
ALMEIDA, M. M.; CARVALHO, M. A. M.; CAVALCANTE FILHO, M. F.; MIGLINO, M. A.; MENEZES, D. J. A. Estudo morfológico e morfométrico do ovário de cutias (Dasyprocta aguti Linnaeus, 1766). Brazilian Journal of Veterinary Research and Animal Science, São Paulo, v. 40, n. 1, p. 55-62, 2003.
BIEBACK, K.; BRINKMANN, I. Mesenchymal stromal cells from human perinatal tissues: from biology to cell therapy. World Journal Stem Cells, Pleasanton, v. 26, n. 4, p. 81-92, 2010.
BYDLOWSKI, S. P.; DEBES, A. A.; MASELLI, L. M. F.; JANZ, F. L. Biological characteristics of mesenchymal stem cells. Revista Brasileira de Hematologia e Hemoterapia, São Paulo, v. 31, n. 1, p. 25-35, 2009.
CABRAL, R. M.; FERRAZ, M. S.; RIZZO, M. S.; SOUSA, F. C. A.; RODRIGUES, N. M.; IBIAPINA, P. B.; AMBRÓSIO, C. E.; CARVALHO, M. A. M. Kidney injury and cell therapy: preclinical study. Microscopy Research and Technique, New York, v. 75, n. 5, p. 566-570, 2012.
CARVALHO, Y. K. P.; ARGÔLO-NETO, N. M.; AMBRÓSIO, C. E.; OLIVEIRA, L. D. J. D.; ROCHA, A. R. D.; SILVA, J. B. D.; CARVALHO, M. A. M.; ALVES, F. R Isolation, expansion and differentiation of cellular progenitors obtained from dental pulp of agouti (Dasyprocta prymnolopha Wagler, 1831). Pesquisa Veterinária Brasileira, Seropédica, v. 35, n. 6, p. 590-598, 2015.
COOPER, K.; SHAH, V.; SAPRE, N.; SHARMA, E.; MISTRY, C.; VISWANATHAN, C. Defining permissible time lapse between umbilical cord tissue collection and commencement of cell isolation. International Journal of Hematology-Oncology and Stem Cell Research, Tehran, v. 7, n. 4, p. 15-23, 2013.
COOPER, K.; VISWANATHAN, C. Establishment of a mesenchymal stem cell bank. Stem Cells International, New York, v. 2011, n. 1, p. 1-8, 2011.
DOMINICI, M. L. B. K.; LE BLANC, K.; MUELLER, I.; SLAPER-CORTENBACH, I.; MARINI, F. C.; KRAUSE, D. S.; DEANS, R. J.; KEATING, A.; PROCKOP, D. J.; HORWITZ, E. M. Minimal criteria for defining multipotente mesenchymal stromal cells. The international society for cellular therapy position statement. Cytotherapy, Philadelphia, v. 8, n. 4, p. 315-317, 2006.
EITELVEN, T.; MENIN, R. P.; FUSIGER, K. C.; BENVENUTTI, V.; ZANINI, J.; CAUMO, C. R.; BALESTRIN, R. C. Aplicações biológicas de células-tronco: benefícios e restrições. Revista Interdisciplinar de Ciência Aplicada, Caxias do Sul, v. 2, n. 3, p. 16-25, 2017.
FERGUSON, V. L.; DODSON, R. B. Bioengineering aspects of the umbilical cord. European Journal of Obstetrics and Gynecology and Reproductive Biology, Amsterdam, v. 144, p. S108-S113, 2009. Supplement 1.
FERRAZ, M. S.; MORAES JUNIOR, F. J.; FEITOSA, M. L. T.; BEZERRA, D. O.; PESSOA, G. T.; CARVALHO, M. A. M.; ALBUQUERQUE, D. M. N. Técnica de fatiamento do ovário para obtenção de oócitos em cutias (Dasyprocta prymnolopha). Pesquisa Veterinária Brasileira, Seropédica, v. 36, n. 6, p. 204-208, 2016.
FERREIRA, G. J.; BRANCO, É.; CABRAL, R.; GREGORES, G. B.; FIORETTO, E. T.; LIMA, A. R. D.; SARMENTO, C. A.; MIGLINO, M. A.; CARVALHO, A. F. Morphological aspects of buffaloes (Bubalus bubalis) umbilical cord. Pesquisa Veterinária Brasileira, Seropédica, v. 29, n. 10, p. 788-792, 2009.
FORTES, E. A. M.; FERRAZ, M. S.; BEZERRA, D. O.; CONDE JÚNIOR, A. M. C.; CABRAL, R. M.; SOUSA, F. D. C. A.; AMPAIO, I. B. M. Prenatal development of the agouti (Dasyprocta prymnolopha Wagler, 1831): external features and growth curves. Animal Reproduction Science, Manchester, v. 140, n. 3, p. 195-205, 2013.
GUIMARÃES, D. A.; OHASHI, O. M.; SINGH, M.; VALE, W. Profile of plasmatic progesterone on pregnancy, and the postpartum estrus of Dasyprocta prymnolopha (Rodentia: Dasyproctidae). Revista de Biología Tropical, San José, v. 64, n. 4, p. 1519-1526, 2016.
GUO, Q.; WANG, J. Effect of combination of vitamin E and umbilical cord-derived mesenchymal stem cells on inflammation in mice with acute kidney injury. Immunopharmacology and Immunotoxicology, New York, v. 40, n. 2, p. 168-172, 2018.
HILLEMANN, H.; GAYNOR, A. I. The definitive architecture of the placentae of nutria, Myocastor coypus (Molina). American Journal of Anatomy, Philadelphia, v. 109, n. 3, p. 299-317, 1961.
KADNER, A.; ZUND, G.; MAURUS, C.; BREYMANN, C.; YAKARISIK, S.; KADNER, G.; TURINA, M.; HOERSTRUP, S. P. Human umbilical cord cells for cardiovascular tissue engineering: a comparative study. European Journal of Cardio-Thoracic Surgery, Freiburg, v. 25, n. 4, p. 635-641, 2004.
KANNAIYAN, J.; PAULRAJ, B. Clinical prospects of scale-up foetal Whartons jelly derived multipotent stromal cells to fulfil the therapeutic demands. International Journal of Pharma and Bio Sciences, Tamilnadu, v. 6, n. 4, p. 882-894, 2015.
LI, J.; LI, D.; LIU, X.; TANG, S.; WEI, F. Human umbilical cord mesenchymal stem cells reduce systemic inflammation and attenuate LPS-induced acute lung injury in rats. Journal of Inflammation, Londres, v. 9, n. 1, p. 33-43, 2012.
MARTINEZ, A. C.; OLIVEIRA, F. S.; ABREU, C. O.; MARTINS, L. L.; PAULONI, A. P.; MOREIRA, N. Colheita de sêmen por eletroejaculação em cutia-parda (Dasyprocta azarae). Pesquisa Veterinária Brasileira, Seropédica, v. 33, n. 1, p. 86-88, 2013.
MARTINS, G. R.; TEIXEIRA, M. F. S.; BESERRA JUNIOR, R. Q.; DIAS, R. P.; AGUIAR, T. D. F.; MARINHO, R. C.; PINHEIRO, A. R. A. Células-tronco mesenquimais: características, cultivo e uso na Medicina Veterinária. Revista Brasileira de Higiene e Sanidade Animal, Fortaleza, v. 8, n. 2, p. 181-202, 2014.
MIGLINO, M. A.; CARTER, A. M.; AMBROSIO, C. E.; BONATELLI, M.; OLIVEIRA, M. F.; FERRAZ, R. D. S.; RODRIGUES, R. F.; SANTOS, T. C. Vascular organization of the hystricomorph placenta: a comparative study in the agouti, capybara, guinea pig, paca and rock cavy. Placenta, New York, v. 25, n. 5, p. 438-448, 2004.
NARDI, N. B.; MEIRELLES, L. S. Mesenchymal stem cells: isolation, in vitro expansion and characterization. Handbook of Experimental Pharmacology, Berlim, v. 174, n. 1, p. 249-282, 2006.
PATIL, N. S.; KULKARNI, S. R.; LOHITASHWA, R. Umbilical cord coiling index and perinatal outcome. Journal of Clinical and Diagnostic Research: JCDR, Delhi, v. 7, n. 8, p. 1675-1677, 2013.
PAWITAN, J. A.; LIEM, I. K.; BUDIYANTI, E.; FASHA, I.; FERONIASANTI, L.; JAMAAN, T.; SUMAPRADJA, K. Umbilical cord derived stem cell culture: multiple-harvest explant method. International Journal of PharmTech Research, Mumbai, v. 6, n. 4, p. 1202-1208, 2014.
PROCTOR, L. K.; FITZGERALD, B.; WHITTLE, W. L.; MOKHTARI, N.; LEE, E.; MACHIN, G.; KINGDOM, J. C.; KEATING, S. J. Umbilical cord diameter percentile curves and their correlation to birth weight and placental pathology. Placenta, New York, v. 34, n. 1, p. 62-66, 2013.
REINERS JÚNIOR, J. J.; MATHIEU, P.; OKAFOR, C.; PUTT, D. A.; LASH, L. H. Depletion of cellular glutathione by conditions used for the passaging of adherent cultured cells. Toxicology Letters, Amsterdam, v. 115, n. 2, p. 153-163, 2000.
ROCHA, A. R. Roedor silvestre como fonte de células-tronco: caracterização e multipotencialidade de células mesenquimais estromais e adiposas de cutia (Dasyprocta prymonolopha). 2015. Tese (Doutorado em Ciência Animal) - Universidade Federal do Piauí, Teresina, 2015.
ROCHA, A. R.; ALVES, F. R.; ARGÔLO-NETO, N. M.; SANTOS, L. F.; ALMEIDA, H. M.; CARVALHO, Y. K. P.; BEZERRA, D. D. O.; FERRAZ, M. S.; PESSOA, G. T.; CARVALHO, M. A. M. Hematopoietic progenitor constituents and adherent cell progenitor morphology isolated from black‐rumped agouti (Dasyprocta prymnolopha, Wagler 1831) bone marrow. Microscopy Research and Technique, New York, v. 75, n. 10, p. 1376-1382, 2012.
RODRIGUES, M. N.; OLIVEIRA, G. B.; PAULA, V. V.; SILVA, A. R.; ASSIS NETO, C.; CHAVES, A.; OLIVEIRA, M. F. Microscopy of the umbilical cord of rock cavies Kerodon rupestris Wied, 1820 (Rodenta, Caviidae). Microscopy Research and Technique, New York, v. 76, n. 4, p. 419-422, 2013.
RODRIGUES, R. F.; CARTER, A. M.; AMBROSIO, C. E.; SANTOS, T. C.; MIGLINO, M. A. The subplacenta of the red-rumped agouti (Dasyprocta leporina L). Reproductive Biology and Endocrinology, Londres, v. 4, n. 1, p. 31-38, 2006.
RODRIGUES, R. F.; MIGLINO, M. A.; FERRAZ, R. H. S.; MORAIS-PINTO, L. Placentação em cutias (Dasyprocta aguti, Carleton M. D.): aspectos morfológicos. Brazilian Journal of Veterinary Research Animal Science, São Paulo, v. 40, n. 2, p. 133-137, 2003.
SHI, L. L.; LIU, F. P.; WANG, D. W. Transplantation of human umbilical cord blood mesenchymal stem cells improves survival rates in a rat model of acute hepatic necrosis. The American Journal of the Medical Sciences, New York, v. 342, n. 3, p. 212-217, 2011.
SILVA, A. B. S.; SANTOS, T. M. V.; CARVALHO, M. A. M.; GUERRA, P. S. L.; RIZZO, M. S.; ARAÚJO, W. R.; TORRES, C. B. B.; CONDE JUNIOR, A. M. Morfologia da laringe de cutia (Dasyprocta sp.). Pesquisa Veterinária Brasileira, Seropédica, v. 34, n. 6, p. 593-598, 2014.
SILVA, F. C.; ODONGO, C. A.; DULLEY, F. L. Células-troncos hematopoiéticas: utilidades e perspectivas. Revista Brasileira de Hematologia e Hemoterapia, São Paulo, v. 31, p. 53-58, 2009. Suplemento 1.
SILVA, W. N. Aspecto morfológico da placenta e anexos fetais da paca (Agouti paca). 2001. Dissertação (Mestrado em Anatomia dos Animais Domésticos) - Faculdade de Medicina Veterinária e Zootecnia, Universidade de São Paulo, São Paulo, 2001.
SOUSA, F. C. A.; FORTES, E. A. M.; FERRAZ, M. S.; MACHADO JÚNIOR, A. A. N.; MENEZES, D. J. A.; CARVALHO, M. A. M. Pregnancy in hytricomorpha: gestacional age and embrryonicfetal development of agouti (Dasyprocta prymnolopha, Wagler 1831) estimatede by ultrasonograpy. Theriogenology, Philadelphia, v. 78, n. 6, p. 1278-1285, 2012.
STANDRING, S. Gray's anatomia: a base anatômica da prática clínica. 40. ed. Rio de Janeiro: Elsevier, 2010. 1565 p.
TIBBITTS, F. D.; HILLEMANN, H. H. The development and histology of the chinchilla placentae. Journal of Morphology, New York, v. 105, n. 2, p. 317-365, 1959.
WATSON, N.; DIVERS, R.; KEDAR, R.; MEHINDRU, A.; MEHINDRU, A.; BORLONGAN, M. C.; BORLONGAN, C. V. Discarded Wharton jelly of the human umbilical cord: a viable source for mesenchymal stromal cells. Cytotherapy, Philadelphia, v. 17, n. 1, p. 18-24, 2015.
YANG, X.; ZHANG, M.; ZHANG, Y.; LI, W.; YANG, B. Mesenchymal stem cells derived from Wharton jelly of the human umbilical cord ameliorate damage to human endometrial stromal cells. Fertility and Sterility, Birmingham, v. 96, n. 4, p. 1029-1036, 2011.
ZHU, X.; HOU, L.; ZHANG, J.; YAO, C.; LIU, Y.; ZHANG, C.; XU, Y.; CAO, J. The structural and functional effects of fine particulate matter from cooking oil fumes on rat umbilical cord blood vessels. Environmental Science and Pollution Research, Berlim, v. 23, n. 16, p. 1029-1036, 2016.
Author notes
mcelina@ufpi.edu.br