REVIEW
Environmental aspects and diseases related to immunosuppression in cetaceans: a concise review
Aspectos ambientais e infecciosos relacionados à imunossupressão em cetáceos: uma breve revisão
Environmental aspects and diseases related to immunosuppression in cetaceans: a concise review
Semina: Ciências Agrárias, vol. 39, no. 6, pp. 2897-2918, 2018
Universidade Estadual de Londrina
Received: 22 April 2017
Accepted: 20 August 2018
Abstract: The analysis of the health status of sentinel animals is a key element for the evaluation of ecosystem health conditions, since these animals respond to small and large scale changes in ecological factors and the quality of the environment. In the marine environment, the changes are systemic and accumulate impacts of coastal zones and oceanic activities, with aquatic mammals being species that reflect changes in biological and health parameters. For these animals several studies have reported an increase in the frequency and diversity of diseases, including infections by pathogens from the terrestrial environment. This increase may be related to impairment of the immune system activity of these organisms in response to potential synergistic factors. In cetaceans, immunosuppression may be caused by infection with viral agents, such as Morbillivirus, which induce severe lymphoid depletion and is responsible for several cases of mass mortality; chemical contamination, highlighting the organochlorines and trace elements (mainly mercury and cadmium); and even by chronic stress. Anthropic impacts are important stressors, and the consequences are more evident in animals of coastal habits, which leads to a constant release of glucocorticoid hormones and consequent lymphoid depletion, a mechanism similar to that occurring in terrestrial mammals. Immunosuppressed animals are susceptible to opportunistic diseases, some more severe and rare, with the risk of decline of populations. The objective of this review was to provide information on the aspects related to immunosuppression in cetaceans, associating etiological factors and pathological findings, and to highlight the relevance of the evaluation of the endocrine and immune system of marine animals as a reflection of the health status of marine ecosystems.
Key words: Adrenals, Anthropic impacts, Lymph nodes, Marine mammals.
Resumo: A análise do estado de saúde de animais sentinela é elemento-chave para avaliação das condições da saúde ecossistêmica, pois estes animais respondem a mudanças em pequena e larga escala em fatores ecológicos e da qualidade do ambiente. No ambiente marinho, as alterações são sistêmicas e acumulam impactos das zonas costeiras e de atividades oceânicas, sendo os mamíferos aquáticos espécies que refletem as mudanças em parâmetros biológicos e de saúde. Para estes animais diversos estudos vêm relatando um aumento da frequência e diversidade de doenças, incluindo infecções por patógenos provenientes do ambiente terrestre. Este aumento pode estar relacionado ao comprometimento da atividade do sistema imunológico destes organismos em resposta à potenciais fatores sinérgicos. Em cetáceos, a imunossupressão pode ter como causas a infecção por agentes virais, como o Morbillivirus, que induz severa depleção linfoide e é responsável por diversos casos de mortalidade em massa; a contaminação química, destacando os organoclorados e elementos traço (principalmente o mercúrio e o cádmio); e mesmo pelo estresse crônico. Impactos antrópicos são importantes agentes estressores, sendo mais evidentes as consequências em animais de hábitos costeiros, os quais acarretam uma constante liberação de hormônios glicocorticoides e consequente depleção linfoide, mecanismo semelhante ao que ocorre nos mamíferos terrestres. Os animais imunossuprimidos são vulneráveis às doenças oportunistas, algumas mais severas e raras, com risco de dizimar populações. O objetivo desta revisão foi compilar informações sobre os aspectos relacionados à imunossupressão em cetáceos, associando fatores etiológicos e achados patológicos, e destacar a relevância da avaliação do sistema endócrino e imunológico em animais marinhos como reflexo do estado de saúde dos ecossistemas marinhos.
Palavras-chave: Adrenais, Impactos antrópicos, Linfonodos, Mamíferos marinhos.
Introduction
Sentinel animals are affected by environmental degradation and reflect the effects of environmental impacts on environmental, human, and animal health. Marine mammals are at the top of the trophic chain, have a long life expectancy, and respond to changes in the ecosystem. Moreover, these mammals have a thick fat layer that stores toxic chemicals produced by anthropogenic activity (BOSSART, 2011; MOORE, 2008). These characteristics make these organisms sentinels of the marine environment.
Among marine mammal sentinels, cetaceans-whales and dolphins-reflect large-scale environmental changes in coastal and ocean environments (MOORE, 2008). The health status of these animals has been evaluated and monitored worldwide by direct observation and photodocumentation of specimens for identification of injuries (KISZKA et al., 2009) by biopsy (KRAHN et al., 2007), analysis of chemical contaminants in body fluids and tissues (AGUILAR; BORRELL, 2005), and necropsies of stranded animals (LIMA; CÉSAR, 2005; DOMICIANO et al., 2016).
In the past 20 years, several studies have reported diseases in marine mammals and the increasing problem caused by these diseases at the individual and population level. Emerging infectious diseases in cetaceans may be viral (morbillivirus, papillomavirus, and poxvirus), bacterial (brucellosis), parasitic (toxoplasmosis), or fungal (lobomycosis) (VAN BRESSEM et al., 2009). It was suggested that epidemics of infectious diseases and the occurrence of tumors in cetaceans may be associated with stressors generated by human activities (BOSSART, 2011). Pollution (chemical, sound, and biological), reduction of fishing resources, and accidental catch in fishing nets directly or indirectly induce immunosuppression in animals. The potential increase of environmental pressure on cetaceans may lead to increased rate of epizootic outbreaks, spread of potential zoonotic pathogens, and an increase in the prevalence and severity of infectious diseases in these animals worldwide (BOSSART, 2011).
Endocrine and immune organs may reflect the health status of cetaceans, which constantly respond to acute and chronic natural and anthropic stressors in the marine environment (CLARK et al., 2006). Among these organs, the analysis of the adrenal glands provides information on the animal’s response to stress by the levels of glucocorticoid hormones produced and secreted, especially cortisol. Because cortisol is an immunosuppressor, lymph node assessment indicates whether the immune system of the animals exposed to stress agents is compromised. In this context, the objective of this study is to review and provide information on immunosuppression in cetaceans to assess their health status and associate this information with etiological and pathological characteristics.
Immunosuppression and natural and anthropogenic impacts
Immunosuppression is the reduction of the activity or efficiency of the immune system (REZENDE, 2011). In cetaceans, infection with morbillivirus (HEANEY et al., 2002), contamination with toxic chemicals (ROSS, 2002; BENNETT et al., 2001), and stress-induced conditions such as concomitant diseases (parasitism) and anthropogenic activities (accidental capture and habitat degradation) are the major causes of immunosuppression (Figure 1) (LEONARD, 2005; BEINEKE et al., 2005).

Natural impacts
Viruses of the genus Morbillivirus are one of the leading causes of immunosuppression in cetaceans. Morbillivirus are RNA viruses of the Paramyxoviridae family that infect several species of mammals (DI GUARDO et al., 2005). The genus includes different species, whose names refer to the animal from which the virus was isolated, including canine distemper virus (CDV, initially described in canids), rinderpest virus (RPV, in bovids), and phocine distemper virus (PDV, in the seal Phoca vitulina). In cetaceans, cetacean Morbillivirus (CeMV) includes three well-characterized strains-dolphin morbillivirus (DMV, described in the striped dolphin, Stenella coeruleoalba), porpoise morbillivirus (PMV, described in the harbour porpoise, Phocoena phocoena), and pilot whale morbillivirus (PWMV, described in the long-finned pilot whale, Globicephala melas) (HALL, 1995; KENNEDY, 1998)-and three other strains, including the new strain from the Guyana dolphin, Sotalia guianensis (GD-CeMV) (GROCH et al., 2018).
In marine mammals, Morbillivirus PDV and CeMV were detected in 1988 in seals and cetaceans, respectively (VAN BRESSEM et al., 2014). PVD caused the death of approximately 18,000 seals (P. vitulina) and hundreds of gray seals (Halichoerus grypus) along the coast of Europe (COSBY et al., 1988). CeMV infection is characterized by histological changes similar to the distemper reported in specimens of P. phocoena stranded on the coast of Ireland and later identified in dead cetaceans on the coast of England, Scotland, and the Netherlands (KENNEDY et al., 1988; GROCH et al., 2018). Since then, several cases of mass mortality have been reported in cetaceans.
The occurrence of CeMV in Brazil was reported in two species of cetaceans: Fraser’s dolphins (Lagenodelphis hosei), detected by specific antibodies (VAN BRESSEM et al., 2001), and S. guianensis. The first case in S. guianensis was reported in the state of Espírito Santo in the southeast region of Brazil, and the diagnosis was made by immunohistochemistry and confirmed by polymerase chain reaction, PCR (GROCH et al., 2014). In addition, three cases of Morbillivirus were reported in S. guianensis in the state of Paraná and detected by immunohistochemistry (DOMICIANO et al., 2016). However, the discovery of the new GD-CeMV (Guiana dolphin-CeMV) strain specific to S. guianensis was confirmed by compatible molecular and immunohistological analyses, and this strain caused the mass mortality of dolphin populations in Rio de Janeiro (GROCH et al., 2018).
Information on clinical signs of Morbillivirus is scarce in cetaceans. However, neurological and behavioral changes were observed, including disorientation and cachexia (DOMINGO et al., 1992; KENNEDY, 1998), and were predominant during the epidemic in Rio de January in 2017/2018 (Azevedo, A., personal communication). The pathological findings observed macroscopically include severe bilateral pneumonia with congestion, edema, in addition to interlobular, subpleural, and mediastinal emphysema (KENNEDY, 1998). Pulmonary abscesses associated with parasitic granulomas and enlarged and edematous lymph nodes with multifocal necrosis are frequent in the lungs. Some animals present ulcerations of the upper gastrointestinal tract and genitals, subcutaneous edema, hemorrhagic necrotizing encephalitis, and congestion of hepatic vessels (KENNEDY, 1998; GROCH et al., 2014).
The most significant microscopic changes involved the respiratory tract, central nervous system, and lymphoid tissues. The lungs presented interstitial bronchopneumonia, edema, fibroplasia, and inflammatory infiltrate with syncytial cells; these cells were usually found in the bronchial, bronchiolar, and alveolar lumen, and less frequently in the alveolar interstitium. Morbillivirus-infected lungs are often affected by secondary bacterial and parasitic infections, which are common sequelae of strong immunosuppression caused by Morbillivirus infections (KENNEDY, 1998).
The primary changes detected in the central nervous system were meningoencephalitis, demyelination, and perivascular cuffs, degenerative and necrotic neuronal changes, microgliosis, and neuronophagia. Syncytial cells were also observed in the nervous system (KENNEDY, 1998). Severe lymphoid depletion occurred in lymphoid organs (lymph nodes, spleen, thymus, and gut-associated lymphoid tissue). The presence of syncytial cells was reported in the lymph nodes and spleen (DOMINGO et al., 1992; KENNEDY, 1998).
The transmission of Morbillivirus to cetaceans is predominantly horizontal because of the social behavior of these animals (CARTER et al., 1992). However, large amounts of the PDV antigen were detected by immunocytochemistry in the lactating mammary glands of a female specimen of the striped dolphin Stenella coeruleoalba, suggesting the possibility of transmission to the baby via milk (DOMINGO et al., 1992).
Lymphoid depletion due to infection with Morbillivirus allows the development of opportunistic diseases, and some diseases are more severe and rare under normal conditions. The first case of co-infection between Morbillivirus and Herpesvirus in cetaceans was reported in a specimen of S. coeruleoalba stranded on the Mediterranean coast during the peak of the second epizootic outbreak in 2007 (SOTO et al., 2012). The most prominent lesions were found in lymphoid tissues with marked lymphocyte depletion. Intranuclear basophilic inclusions not-suggestive of DMV were observed and investigated. Using PCR and sequencing techniques, the samples were identified as belonging to the cetacean Alphaherpesvirus group, and sequencing demonstrated a degree of similarity of 99% and 98% base pair (bp) to two herpesviruses previously identified in Ziphius cavirostris and Stenella coeruleoalba, respectively. In fin whales (Balaenoptera physalus), co-infections of Morbillivirus and Toxoplasma gondii (DI GUARDO et al., 2013; MAZZARIOL et al., 2012) with parasites (DUIGNAN et al., 1992; TAUBENBERGER et al., 2000), bacteria and fungi (LIPSCOMB et al., 1994) were reported.
Anthropogenic impacts
Environmental contaminants
The oceans are the destination of many substances derived from anthropic action, including different types of chemical pollutants that affect the entire food chain. Animals from coastal environments have greater contact with these substances and therefore have higher concentrations of these chemicals in their bodies. Cetaceans have a thick fat layer and biochemical and physiological processes that allow bioaccumulation and biomagnification of lipophilic compounds (AGUILAR et al., 1999; KENNISH, 1996). The accumulation of contaminants may induce dysfunctions in these animals, including reproductive failure, tumors, immunosuppression and, consequently, higher susceptibility to contagious diseases (COLBORN; SMOLEN 1996).
Females transfer a large proportion of these toxic compounds, especially organic compounds, to the offspring during pregnancy (via placental transfer) and lactation. This transfer is due to the mobilization of body fat for milk production, including stored lipophilic compounds. For this reason, higher levels of contaminants are usually found in males than mature females (which transferred some of these substances to the offspring) (AGUILAR; BORRELL, 1994b).
The chemical pollutants most often found in the oceans are organochlorine pesticides, polychlorinated biphenyls (PCBs), polybrominated diphenyl ethers (PBDEs), polycyclic aromatic hydrocarbons (PAHs), perfluorinated compounds (PFCs), and trace elements, including mercury, cadmium, lead, and tin (KANNAN et al., 2008). Some studies have reported the presence of high concentrations of toxic chemicals in marine mammals, including pyrethroids (ALONSO et al., 2012b) and Dechlorane (DE LA TORRE et al., 2012). Several studies have demonstrated the adverse effects of these compounds on the health of marine mammals (DESFORGES et al., 2016; KAKUSCHKE; PRANGE, 2007; KAKUSCHKE et al., 2005; KANNAN et al., 2008; O’SHEA; ODELL, 2008; HALL et al., 2018; BROCK et al., 2013).
Lailson-Brito et al. (2010) analyzed adipose tissue samples from S. guianensis living in the south and southeast regions of Brazil and reported high concentrations of the organochlorine compounds dichlorodiphenyltrichloroethane (DDT), hexachlorobenzene (HCB), and PCBs. The values (in ng/g lipid) ranged from 652 to 23555 for ΣDDT, <4.4 to 156 for HCB, and 765 to 99175 for ΣPCB. These concentrations were similar to those found in cetaceansfrom highly industrialized regions of the Northern Hemisphere, including Panama (ΣDDT, 2520-7610; ΣPCB, 1800-2800), the Mediterranean Sea (ΣDDT, 2187.5-18173; ΣPCB, 3009.4-22714; HCB, 6.94-305.6), and Western Europe (ΣPCB, 11215 ± 11779/10737 ± 10811). In addition to the immunosuppressive effect, many organochlorines have estrogenic and anti-androgenic activity, impairing reproduction (KAVLOCK et al., 1996).
De la Torre et al. (2012) measured the concentrations of Dechlorane, PBDE, and decabromodiphenyl ethane (DBDPE) in liver samples from 20 porpoises (Pontoporia blainvillei) from the southern and southeastern coast of Brazil. The chemicals with the highest concentrations were Mirex (Dechlorane; C10Cl12), ranging from 7.63 to 275 ng/g lw, and PBDE, ranging from 6.3 to 119.1 ng/g lw. Despite the lack of information on risk thresholds for Dechlorane, its presence in marine mammals is a cause for concern and indicates the need to obtain further information of its effects on animal health and the environment.
Polybrominated diphenyl ethers (PBDEs) are polybrominated compounds used as flame retardants in the event of fires in some equipment, such as electrical appliances, building materials, and textiles (ERIKSSON et al., 2001). Cetaceans present higher amounts of PBDEs compared with their prey because of the bioaccumulation and biomagnification of these compounds, increasing the ecological vulnerability of these animals. Several studies reported the effects of deregulation on neural development and endocrine activity (BIRNBAUM; STASKAL, 2004; COSTA; GIORDANO, 2007; KO et al., 2014). P. blainvillei from the Brazilian coast had large concentrations of this compound and the highest concentration of MeO-PBDE reported in coastal cetaceans (ALONSO et al., 2012a).
PCBs are organochlorine compounds used in the production of thermoelectric insulators in transformers and capacitors because of the high thermal stability and the high dielectric constant of these substances (PENTEADO; VAZ, 2001; CARPENTER, 2006). Similar to PBDEs, PCBs bioaccumulate and biomagnify in the marine food chain. Experimental and epidemiological studies have shown that PCBs may have adverse impacts on the immune, endocrine, and reproductive systems (ARNOLD et al., 1995; TRYPHONAS et al., 1991). Schwacke et al. (2012) evaluated the relationship between PCB concentrations and the health status of 29 bottlenose dolphins (Tursiops truncatus) on the coast of Georgia, USA and found that 26% of the contaminated animals had anemia. These authors related that there was a negative correlation between PCB concentrations in fat and iron and thyroid hormone levels, lymphocyte proliferation, and the number of neutrophils and monocytes. High concentrations of PCBs and other persistent pollutants have also been found in populations of dolphins killed by infectious diseases (AGUILAR; BORRELL, 1994a), demonstrating that these contaminants have an immunosuppressive effect on cetaceans.
In vitro and epidemiological studies have evaluated the effects of trace elements on marine mammals (KAJIWARA et al., 2003; KUNITO et al., 2004; SEIXAS et al., 2009). High levels of mercury were associated with a higher rate of infectious diseases in harbor dolphins (P. phocoena) (BENNETT et al., 2001). Moreover, an in vitro study evidenced the immunosuppressive action of mercury and cadmium on the phagocytes and lymphocytes of T. truncatus and some of the observed effects were a significant decrease in the lymphoproliferative response and a decrease in phagocytosis (CÁMARA PELLISSÓ et al., 2008). In Brazil, high concentrations of cadmium have been found in the long-beaked common dolphin (Delphinus capensis) and specimens of Stenella (DORNELES et al., 2007).
Chromium does not seem to cause immunosuppression in cetaceans. However, in other animal species, including cattle, chromium used in dietary supplementation induced a decrease in serum cortisol levels (MOONSIE-SHAGEER; MOWAT, 1993). Although it does not directly affect the immune system, chromium used in pigments and corrosion inhibitors was genotoxic to the lungs, skin, and testis of whales (WISE et al., 2008a, b; LI CHEN et al., 2009) and might contribute to the development of tumors.
High concentrations of trace elements (as observed in cetaceans from the Northern Hemisphere) were found in the liver of small whales stranded on the coast of São Paulo and Paraná (KUNITO et al., 2004). These concentrations varied according to species, and the Guiana dolphin (S. guianensis) had higher levels of V (0.13 ± 0.07 µg/g), Se (38 ± 49 µg/g), T-Hg (77 ± 107 µg/g), Org-Hg (3.8 ± 3.9 µg/g), and Pb (0.070 ± 0.053 µg/g) whereas P. blainvillei had higher levels of Mn (0.040 ± 0.008 µg/g), As (1.2 ± 0.4 µg/g), and Rb (5.34 ± 0.89 µg/g). However, the amount of V, Se, Mo, Cd, T-Hg, and Org-Hg in the liver was increased as the age of the animals was increased independently of the species, and the offspring of S. guianensis presented extremely high amounts of Cu (262-1970 µg/g) and Zn (242-369 µg/g). The authors emphasized the high concentrations of T-Hg in S. guianensis (77 µg/g), S. frontalis (140 µg/g), and S. coeruleoalba (290 µg/g) compared to those in liver samples of S. bredanensis (23 µg/g) from Florida and seabirds of the species Callorhinus ursinus (165 µg/g) in Japan (KUNITO et al., 2004).
Butyltin compounds are used in many applications, including the manufacture of plastics and antifouling paints in boats. However, in the 1980s, its use was regulated worldwide after oyster production was significantly decreased (FELIZZOLA, 2005). Since 1988, the International Maritime Organization (IMO) has evaluated the effects of antifouling agents, particularly tributyltin (TBT), on ocean and human health. In 2001, the IMO established the Anti-Fouling Systems on Ships (AFS) Convention, which determined the gradual phasing out of TBT-based paints by 2008. Brazil signed the AFS Convention in November 2002 and, in 2007, the Brazilian Navy established NORMAM 23/DPC regulating the use of anti-fouling systems (MARINHA DO BRASIL, 2007). Some studies evaluated the effects of these compounds on the immune system of cetaceans, and the reduction in mitoses in T. truncatus lymphocytes exposed to butyltin compounds and PCBs has been reported (NAKATA et al., 2002). These pollutants suppress the activity of lectin concanavalin A, resulting in mitosis (NAKATA et al., 2002). Furthermore, the results of in vitro tests indicated strong immunotoxicity with consequent atrophy of the thymus and spleen (SEINEN et al., 1977), and another study reported toxicity in the red blood cells of rats exposed to butyltin compounds (GRAY et al., 1986).
Some studies have shown that sunscreens are classified as emerging environmental pollutants (TOVAR-SÁNCHEZ et al., 2013; RICHARDSON, 2010; FENT et al., 2008). Although their effects on the ecosystem are yet unknown, some studies suggest that these contaminants act as endocrine disrupters in the form of estrogens and anti-androgens, severely impairing reproduction and thyroid function in animals (RICHARDSON, 2010; FENT et al., 2008; BRAUSCH; RAND, 2011).
Few studies to date have investigated the presence of these compounds in marine mammals. Gago-Ferrero et al. (2013) reported in their study that 21 of the 56 liver samples from P. blainvillei specimens found dead on the Brazilian coast stretching from Espírito Santo to Rio Grande do Sul contained octocrylene, an endocrine disruptor present in sunscreens. Although the coast of the state of São Paulo is the most polluted, the animals from the cost of Rio Grande do Sul presented the highest concentrations of this compound (up to 782 ng/g lipid). The comparison with the amount found in fish suggests the bioaccumulation and biomagnification of this compound in cetaceans. However, it is necessary to analyze the presence of octocrylene throughout the food chain to establish its real impact on animal and environmental health. Furthermore, there is evidence that this compound is transferred to the fetus considering that the placenta of a pregnant female of P. blainvillei was contaminated (GAGO-FERRERO et al., 2013).
An environment severely impacted by anthropic activity is the estuary of St. Lawrence, in eastern Canada. This estuary receives large amounts of effluent and chemical pollutants from the most industrialized region of North America (FOX, 2001). The most abundant substances were organochlorines such as PCBs, DDT, PBDE, chlordane, hexachlorocyclohexane, and trace elements. These contaminants affect the animals living in this area, including the beluga (Delphinapterus leucas), a small cetacean from Arctic and sub-Arctic regions (FOX, 2001; MARTINEAU et al., 1987, 1988; MUIR et al., 1996).
The severe changes observed in belugas may be due to the effect of these pollutants. The problems reported in this species include a decrease in the number of gravid females (BURNS; SEAMAN, 1985), abscesses and adenomas in the thyroid gland (DE GUISE et al., 1995b), hyperplastic nodules and serous cysts in the cortical region of the adrenal glands (DE GUISE et al., 1995a), and infections with pathogenic bacteria (HILEMAN, 1992). The belugas of the St. Lawrence estuary also had a high incidence of tumors and the main type of tumor in these animals is gastrointestinal carcinoma, which is rare in other cetaceans (MARTINEAU et al., 2002). Metastatic mammary carcinomas were identified in this species but were not found in other cetacean species (MARTINEAU et al., 2002; MIKAELIAN et al., 1999). This high rate is attributed to exposure to carcinogenic compounds and decreased resistance to tumor development (DE GUISE et al., 1995b).
In Brazil, Van-Bressem et al. (2009) examined the presence of lobomycosis-like disease (LLD) and nodular skin disease (NSD) in a S. guianensis population from Cananéia, São Paulo, and a population from Paranaguá, Paraná, where it was observed that the prevalence of LLD and NSD in Paranaguá porpoises was 4% and 13%, respectively. In contrast, none of the porpoises from Cananéia showed signs of these diseases. The concentration of chemical contaminants in the Paranaguá region (in the south of Brazil) is much higher than in the Cananéia region (in the southeast of Brazil). This result demonstrated that cutaneous diseases may reflect environmental conditions and ecosystem degradation.
Stressors
Stress is defined as a response to a situation that induces a disturbance in homeostasis (LEONARD, 2005). In cetaceans, stress agents range from natural situations such as the search for prey and reproductive periods to anthropogenic activities. Anthropogenic activities may include accidental catches, collision with vessels, pollution by chemical substances and domestic and industrial effluents, noise disturbance (particularly in port areas), and reduction of the food supply by overfishing (BRUHN et al., 1999; SIEBERT et al., 1999; BEINEKE et al., 2010). The response of cetaceans to stress is similar to that described in other mammals (CURRY, 1999) and stress adaptation reactions may involve the mobilization of different physiological responses, including immunological responses (DOHMS; METZ, 1991).
The response to stressors is mediated by different systems, particularly the autonomic nervous system (ANS), hypothalamic-pituitary-adrenal (HPA) axis, and complementary systems involving neuropeptides and neurotransmitters (GRIFFIN, 1989). The immediate response is mediated by ANS, in which sympathetic activation induces the release of catecholamines (adrenaline and noradrenaline) and increases heart rate and blood pressure, preparing the body for a fight or flight response. This response to stress is short-lived because of the parasympathetic reflex (ULRICH-LAI; HERMAN, 2009).
After activation of the ANS, stress activates the HPA axis, releasing glucocorticoids, including cortisol. Cortisol production is regulated by the adrenocorticotrophic hormone (ACTH) produced in the pituitary gland (GRIFFIN, 1989). The release of ACTH, in turn, is controlled by the corticotrophin-releasing hormone (CRH), synthesized in the hypothalamus, or by the antidiuretic hormone (ADH) (GRIFFIN, 1989). In contrast to the ANS-mediated response, in which stress responses occur in seconds, the mechanism of activation of the HPA axis is slow, and the peak glucocorticoid level occurs minutes after the stimulus (ULRICH-LAI; HERMAN, 2009). It is important to emphasize that the objective of the stress responses is immediate survival and does not necessarily preserve the functioning of the organism in the future (WRIGHT et al., 2009).
During stress responses, cortisol produces the following: i. mobilizes carbohydrates in metabolic pathways to increase the levels of energy substrates, causing hyperglycemia; ii. induces catecholamines to act in metabolic pathways and blood vascularization; and iii. induces protective immunological reactions, including inflammation, to minimize cellular and tissue damage (MUNCK et al., 1984; BREAZILE, 1988).
Cortisol also promotes immunosuppression, characterized by lymphopenia and eosinopenia (BUSH, 2004), and insulin resistance, with potential diabetogenic action (DAMIANI et al., 2001). Therefore, during chronic stress, immune adaptation is impaired, leading to changes due to hypercortisolism (ARBORELIUS et al., 1999). Venn-Watson et al. (2013) compared a group of T. truncatus dolphins maintained in captivity and a free-living group and observed that captive dolphins were more susceptible to the development of insulin resistance and metabolic syndrome than free-living animals. These authors indicated that stress was a primary contributor to the induction of these changes because of the diabetogenic effect of cortisol.
Cetaceans maintained in captivity are usually more severely affected by stressors than free-living animals. Stressful situations include reduced habitat space, overcrowding, and changes in habitat structure. Consequently, opportunistic diseases are common in captivity, indicating immunosuppression or inadequate management of the animals (BUCK, 1980). The pathogens identified in captive cetaceans included Candida albicans, which was the most common (SWEENEY; RIDGWAY, 1975); Giardia sp., and Cryptosporidium spp. (REBOREDO-FERNÁNDEZ et al., 2014), and Cryptococcus laurentii (MARTINS et al., 2002), among others.
Stress may lead to severe injuries when animals are handled for containment or transport, particularly wild animals (terrestrial and aquatic). The most common example is capture myopathy caused by excessive release of catecholamines (PACHALY et al., 1993). Capture myopathy is a degenerative muscular disease caused by tissue hypoxia and change in pH, inducing the necrosis of cardiac muscle fibers and release of potassium, myoglobin, and lactate. Death is a consequence of heart failure. However, another sign of the disease is acute renal failure due to myoglobinemia (DIAS, 1993). Injuries suggestive of capture myopathy, including myocardial contraction band necrosis and ischemia-reperfusion injuries in the intestine and kidneys were identified in several stranded cetaceans (TURNBULL; COWAN, 1998; COWAN; CURRY, 2008). Although capture myopathy is common in many mammals, it is more pronounced in cetaceans, which hampers and even prevents attempts at rehabilitation (CLARK et al., 2006).
Noise pollution causes stress to cetaceans, and the response to these stressors may be immediate or delayed. The most common noises are those generated by different types of vessels, including whale-watching, fishing, and icebreaking boats, and sounds coming from marine construction such as drilling, dredging, explosions, maritime seismic activity, sonars, and even aircraft. Coastal cetaceans are exposed to the synergistic and cumulative effects of noise pollution. However, isolated events such as acoustic pulses emitted by seismic activity may cause irreversible injuries to these animals, and environments free from these impacts are not available to cetaceans (NOWACEK et al., 2007).
In seawater, sound travels almost five times faster than through the air, spreading over hundreds of miles and affecting organisms in large areas (URICK, 1983). The behavioral changes observed in several species included the abandonment of habitats and essential activities such as food foraging (NOWACEK et al., 2007). In the USA, the reduction of the marine fleet led to a significant reduction of noise produced by ships, and glucocorticoid levels were decreased substantially in whales of the species Eubalaena glacialis (ROLLAND et al., 2012). In small cetaceans from Babitonga Bay, Santa Catarina state, Brazil, a population of S. guianensis temporarily abandoned its habitat near a port during the months of expansion of the coast (CREMER et al., 2009), potentially impairing food foraging and increasing exposure to other impacts, including catches in fishing nets. The reported effects are evident because these noises are strong stressors to cetaceans by limiting animal communication, search for prey, and the capacity of displacement and assessment of the environment.
Mass-mortality events in marine mammals are associated with toxins produced during algal blooms (diatoms and dinoflagellates). These events are caused by four classes of toxins: saxitoxins, brevetoxins, domoic acid, and ciguatoxins. These substances are neurotoxins, but their chemical structures are different. Furthermore, the symptom, pathological, and epidemiological characteristics are different in animals contaminated with these substances (VAN DOLAH et al., 2003). Walsh et al. (2005) evaluated lymphocyte proliferation in Florida manatees exposed to red tide (excessive multiplication of Karenia brevis) and cold temperatures (stressors) and compared with free-living healthy animals. These authors observed that the lymphocyte proliferation of the first group was approximately one third that of healthy animals and that the direct effects of the toxin were evaluated by co-culturing the lymphocytes of stressed manatees with K. brevis extracts, and further indicated that the proliferative response was further reduced, suggesting that red tides impaired the immune function.
Interaction between immunosuppression and adrenal and lymphoid organs
Adrenals
The adrenal glands of cetaceans are anatomically and histologically similar to those of other terrestrial mammals, being composed of a cortical and a medullary region surrounded by a capsule of connective tissue. However, in cetaceans, the cortical region is pseudolobular, and the degree of lobulation varies between species. Medullary projections of unknown function are observed in several species and are more conspicuous in T. truncatus. In Stenella attenuata and S. longirostris, the cells of the medullary projections resemble norepinephrine-producing cells of the spinal cord region (CLARK et al., 2005, 2006).
In T. truncatus, catecholamine-producing cells are restricted to an external medullary region (CLARK et al., 2005), and this characteristic is also observed in other species (CLARK et al., 2006). Differences in the cortex-medulla ratio were also reported. The ratio in T. truncatus is 1:1, contrasting with the ratios in other mammals, whose cortical region is much larger than the medullary region (ratio of 4:1) (ABDALLA; ALI, 1989). In humans, the cortex corresponds to 90% of the adrenal gland (KIRBY, 1990) and in the cetaceans Kogia breviceps and Mesoplodon europaeus, the cortex corresponds to a little more than 80% of the adrenal gland (CARBALLEIRA et al., 1987). The functional significance of the increased cortical region is unknown but may be related to electrolyte balance and higher production of aldosterone in mammals living in drier areas or in hypertonic environments where water conservation is necessary (CLARK et al., 2005). Moreover, there is sex-related variation, with the cortex of S. longirostris males being larger than that of females (CLARK et al., 2008).
Some studies have correlated chronic stress with morphological changes in the adrenal glands of cetaceans. Clark et al. (2006) compared the adrenal glands of T. truncatus that died from acute injuries (network trapping, vessel collision, or acute infections) or chronic injuries (long-term illness or severe debilitating injury). The glands of dolphins killed by chronic injuries were significantly larger, especially the cortical region, with an increase of 2.5-fold. The increased size of the adrenals was related to the increase in hormone production in an attempt to improve the response to the chronicity of the stressors.
Lymphoid organs
The lymphoid system of cetaceans is similar to that of other mammals and is composed of the thymus, spleen, lymph nodes, mucosa-associated lymphoid tissues (tonsils and appendix), bone marrow, blood, and lymph (COWAN; SMITH, 1999).
The thymus of cetaceans is similar to that of other mammals and regresses progressively with the advancement of age (COWAN, 1994). However, the exact age in which regression begins in cetaceans is unknown (COWAN; SMITH, 1999). In P. phocoena and T. truncatus, cysts were observed next to the thymus and were characterized as tumorous lesions (BEINEKE et al., 2010). However, microcysts are common in the thymus of P. phocoena and are related to age (BEINEKE et al., 2010). Macrocysts were observed in animals with impaired health and are caused by chronic diseases and accelerated thymic atrophy (WÜNSCHMANN et al., 1999).
The spleen of cetaceans is similar to that of other mammals. However, although the spleen is a single organ, multiple accessory spleens are common in whales and dolphins, in contrast to the spleen of other species (BLESSING et al., 1972). Multiple structures are also found in domestic animals (incidental findings) but are usually caused by splenic rupture following trauma or surgery (MAUÉS et al., 2013). The spleen of cetaceans is smaller than that of other mammals (its mass corresponds to approximately 0.2% of the total mass of the animal) (SLIJPER, 1958) and does not store blood. The hypothesis for the lack of ability to store blood is the lack of predators for most species, with no need for extra oxygen distribution throughout the body in fight or flight responses (HARTWIG; HARTWIG, 1985).
The lymph nodes of cetaceans are morphologically and histologically similar to those of other mammals and perform the same functions. It is a secondary lymphoid organ whose parenchyma can be divided into a cortical and a medullary region, covered by a collagen capsule of a dense connective tissue. Between these two regions, there is a deep cortical or paracortical region composed primarily of T lymphocytes and reticular cells, together with a few plasma cells and macrophages (JUNQUEIRA; CARNEIRO, 2008; SILVA et al., 2014). B lymphocytes are the predominant cell type in the cortical region and are organized in spherical or ovoid arrangements designated lymphoid follicles (JUNQUEIRA; CARNEIRO, 2008). When a lymph node is activated by antigens, B lymphocytes multiply, expand, and form the germinal centers where cell multiplication and somatic mutation occur. Somatic mutation is related to the rigidity and specificity of the interaction between antigens and immunoglobulins produced by B cells (TIZARD, 2009; ROMANO et al., 2002). However, lymph nodes in cetaceans rarely present germinal centers and are composed primarily of a paracortical and a medullary region (ROMANO et al., 1993). The medullary region, in turn, contains macrophages, B lymphocytes entangled in lymphatic vessels, blood vessels, and diffuse lymphoid tissue (ROMANO et al., 2002; JUNQUEIRA; CARNEIRO, 2008).
Silva et al. (2014) described the morphology and location of lymph nodes of seven Odontocetes species: Sotalia guianensis, S. fluviatilis, Stenella clymene, S. longirostris, Inia geoffrensis, Peponocephala electra, and Globicephala macrorhynchus, from the North and Northeast regions of Brazil. The following lymph node types were found according to their location in the organism: parotid, mandibular, hyoid, cervical (superficial and deep), periscapular, mediastinal, hilar respiratory, pulmonary, diaphragmatic, gastric, mesenteric, mesocolic/colic, hilar hepatic, pancreatic, hilar renal, pelvic, and genital (male and female). Of these, most were found in these seven species, except parotid, hyoid, periscapular, and pancreatic lymph nodes. In all species studied, smooth muscle fibers in the subcapsular zone were observed.
The arrangement of lymphoid follicles in cetaceans is controversial. Moskov et al. (1969) described the lymph nodes of Phocoena phocoena and Delphinus delphis with a central location of the lymphoid follicles, and this arrangement was similar to the inverse architecture described in swine. In other species, the arrangement follows the cortex-medulla pattern, common in most mammals (SILVA et al., 2014).
Lymphoid tissues (lymphoepithelial structures) such as oropharyngeal tonsils, which are similar to Waldeyer’s tonsillar ring in terrestrial mammals, and the lymphoepithelial gland in the larynx and anal tonsil were also observed in cetaceans. The probable function is antigen presentation at the site of contact with the external environment, as during breathing and diving (when there is rectal water reflux) (COWAN; SMITH, 1999; BEINEKE et al., 2010).
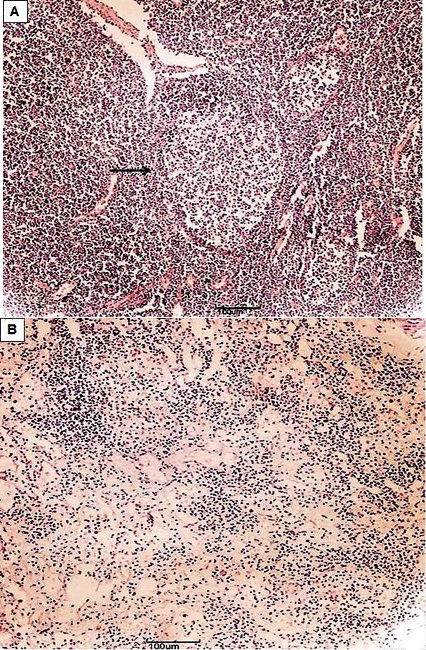
One of the histological findings that characterize immunosuppression in cetaceans is lymphoid depletion, which is the decreased number of lymphocytes in lymph nodes. Lymphoid depletion was reported in S. guianensis stranded on the coast of Paraná and infected with morbillivirus (DOMICIANO et al., 2016). Lymphoid depletion in the Guiana dolphin (S. guianensis) stranded on the coast of Paraná is illustrated in Figure 2.

Final considerations
It is known that many environments are changed as a result of anthropic activities, and these changes may cause stress, immunosuppression, and diseases in animals living in these habitats. Few studies have evaluated the health status of marine mammals. The characteristics of lymph nodes and adrenal glands may serve as indicators of animal health and environmental impacts. Lymph node analysis provides information on the immune response of marine animals, i.e., their responses to pathogens and impaired immunity (lymphoid depletion). The adrenal glands reflect the animals’ response to stress via production of hormones such as cortisol, which induces immunosuppression. Therefore, the examination of these structures may contribute to the systematic evaluation of the effects of stress as a consequence of anthropic activities and the quality of the ecosystems considering that these animals are sentinels of environmental health and potential indicators of environmental impacts and habitat degradation.
References
ABDALLA, M. A.; ALI, A. M. Morphometric and histological studies on the adrenal glands of the camel, Camelus dromedarius. Acta Morphologica Neerlando-Scandinavica, Utrecht, v. 26, n. 4, p. 269-281, 1989.
AGUILAR, A.; BORRELL, A. Abnormally high polychlorinated biphenyl levels in striped dolphins (Stenella coeruleoalba) affected by the 1990-92 Mediterranean epizootic. Science of the Total Environment, Amsterdam, v. 154, n. 2-3, p. 237-247, 1994a.
AGUILAR, A. . DDT and PCB reduction in the western Mediterranean in 1987-2002, as shown by levels in dolphins. Marine Environmental Research, Amsterdam, v. 59, n. 4, p. 391-404, 2005.
AGUILAR, A. . Reproductive transfer and variation of body load of organochlorine pollutants with age in fin whales (Balaenoptera physalus). Archives of Environmental Contamination and Toxicology, New York, v. 27, n. 4, p. 546-554, 1994b.
AGUILAR, A.; BORREL, A.; PASTOR, T. Biological factors affecting variability of persistent pollutant levels in cetaceans. Journal of Cetacean Research Management, Cambridge, v. 1, p. 83-116, 1999. Special Issue.
ALONSO, M. B.; ELJARRAT, E.; GORGA, M.; SECCHI, E. R.; BASSOI, M.; BARBOSA, L.; BERTOZZI, C. P.; MARIGO, J.; CREMER, M.; DOMIT, C.; AZEVEDO, A. F.; DORNELES, P. R.; TORRES, J. P. M.; LAILSON-BRITO, J.; MALM, O.; BARCELÓ, D. Natural and anthropogenically-produced brominated compounds in endemic dolphins from Western South Atlantic: another risk to a vulnerable species. Environmental Pollution, Barking, v. 170, n. 1, p. 152-160, 2012a.
ALONSO, M. B.; FEO, M. L.; CORCELLAS, C.; VIDAL, L. G.; BERTOZZI, C. P.; MARIGO, J.; SECCHI, E. R.; BASSOI, M.; AZEVEDO, A.; DORNELES, P. R.; TORRES, J. P. M.; LAILSON-BRITO, J.; MALM, O.; ELJARRAT, E.; BARCELÓ, D. Pyrethroids: a new threat to marine mammals? Environment International, Elmsford, v. 47, n. 1, p. 99-106, 2012b.
ARBORELIUS, L.; OWENS, M. J.; PLOTSKY, P. M.; NEMEROFF, C. B. The role of corticotropin-releasing factor in depression and anxiety disorders. Journal of Endocrinology, London, v. 160, n. 1, p. 1-12, 1999.
ARNOLD, D. L.; BRYCE, F.; MCGUIRE, P. F.; STAPLEY, R.; TANNER, J. R.; WRENSHALL, E.; MES, J.; FERNIE, S.; TRYPHONAS, H.; HAYWARD, S.; MALCOLM, S. Toxicological consequences of Aroclor 1254 ingestion by female rhesus (Macaca mulatta) monkeys. II. Reproduction and infant findings. Food and Chemical Toxicology, Oxford, v. 33, n. 6, p. 457-474, 1995.
BEINEKE, A.; SIEBERT, U.; MCLACHLAN, M.; BRUHN, R.; THRON, K.; FAILING, K.; MÜLLER, G.; BAUMGÄRTNER, W. Investigations of the potential influence of environmental contaminants on the thymus and spleen of harbor porpoises (Phocoena phocoena). Environmental Science and Technology, Easton, v. 39, n. 11, p. 3933-3938, 2005.
BEINEKE, A.; SIEBERT, U.; WOHLSEIN, P.; BAUMGÄRTNER, W. Immunology of whales and dolphins. Veterinary Immunology and Immunopathology, Amsterdam, v. 133, n. 2-4, p. 81-94, 2010.
BENNETT, P. M.; JEPSON, P. D.; LAW, R. J.; JONES, B. R.; KUIKEN, T.; BAKER, J. R.; ROGAN, E.; KIRKWOOD, J. K. Exposure to heavy metals and infectious disease mortality in harbour porpoises from England and Wales. Environmental Pollution, Barking, v. 112, n. 1, p. 33-40, 2001.
BIRNBAUM, L. S.; STASKAL, D. F. Brominated flame retardants: cause for concern? Environmental Health Perspectives, Research Triangle Park, v. 112, n. 1, p. 9-17, 2004.
BLESSING, M. H.; LIGENSA, K.; WINNER, R. Zur Morphologie der milz einiger im wasser lebender säugetiere. Zeitschrift für Wissenschaftliche Zoologie, London, v. 184, n. 1, p. 164-204, 1972.
BOSSART, G. D. Marine mammals as sentinel species for oceans and human health. Veterinary Pathology, Basel, v. 48, n. 3, p. 676-690, 2011.
BRAUSCH, J. M.; RAND, G. M. A review of personal care products in the aquatic environment: Environmental concentrations and toxicity. Chemosphere, Oxford, v. 82, n. 11, p. 1518-1532, 2011.
BREAZILE, J. E. The physiology of stress and its relationship to mechanisms of disease and therapeutics. Veterinary Clinics of North America: Food Animal Practice , Philadelphia, 4, n. 3, p. 441-480, 1988.
BROCK, P. M.; HALL, A. J.; GOODMAN, S. J.; CRUZ, M.; ACEVEDO-WHITEHOUSE, K. Immune activity, body condition and human-associated environmental impacts in a wild marine mammal. PlosOne, San Francisco, v. 8, n. 6, p. 1-8, 2013.
BRUHN, R.; KANNAN, N.; PETRICK, G.; SCHULZ-BULL, D. E.; DUINKER, J. C. Persistent chlorinated organic contaminants in harbour porpoises from the North Sea, the Baltic Sea and Arctic waters. Science of the Total Environment, Amsterdam, v. 237/238, n. 1, p. 351-361, 1999.
BUCK, J. D. Occurrence of human- associated yeasts in the feces and pool waters of captive bottlenosed dolphins (Tursiops truncatus). Journal of Wildlife Disease, Lawrence, v. 16, n. 1, p. 141-149, 1980.
BURNS, J. J.; SEAMAN, G. A. Biology and ecology. Pt II of Investigations of beluga whales in coastal waters of western and northern Alaska. Final report prepared for NOAA, Outer Continental Shelf Environmental Assessment Program. contract NA-81-RAC-00049 by Alaska Dept Fish and Game, Fairbans, Alaska, 1985. 129 p.
BUSH, B. M. Interpretação de resultados laboratoriais para clínicos de pequenos animais. São Paulo: Roca, 2004. 384 p.
CÁMARA PELLISSÓ, S.; MUÑOZ, M. J.; CARBALLO, M.; SÁNCHEZ-VIZCAÍNO, J. M. Determination of the immunotoxic potential of heavy metals on the functional activity of bottlenose dolphin leukocytes in vitro. Veterinary Immunology and Immunopathology, Amsterdam, v. 121, n. 3-4, p. 189-198, 2008.
CARBALLEIRA, A.; BROWN, J. W.; FISHMAN, L. M.; TRUJILLO, D.; ODELL, D. K. The adrenal gland of stranded whales (Kogia breviceps and Mesoplodon europaeus): morphology, hormonal contents, and biosynthesis of corticosteroids. General and Comparative Endocrinology, New York, v. 68, n. 2, p. 293-303, 1987.
CARPENTER, D. O. Polychlorinated biphenyls (PCBs): routes of exposure and effects on human health. Reviews on Environmental Health, Tel Aviv, v. 21, n. 1, p. 1-23, 2006.
CARTER, S.; HUGHES, D.; TAYLOR, V.; BELL, S. Immune responses in common and grey seals during the seal epizootic. Science of the Total Environment, Amsterdam, v. 115, n. 1-2, p. 83-91, 1992.
CLARK, L. S.; COWAN, D. F.; PFEIFFER, D. C. Morphological and histological examination of the pan-tropical spotted dolphin (Stenella attenuata) and the spinner dolphin (Stenella longirostris) adrenal gland. Anatomia Histologia Embryologia, Berlin, v. 37, n. 2, p. 153-159, 2008.
CLARK, L. S. . Morphological changes in the Atlantic bottlenose dolphin (Tursiops truncatus) adrenal gland associated with chronic stress. Journal of Comparative Pathology, Liverpool, v. 135, n. 4, p. 208-216, 2006.
CLARK, L. S.; PFEIFFER, D. C.; COWAN, D. F. Morphology and histology of the Atlantic bottlenose dolphin (Tursiops truncatus) adrenal gland with emphasis on the medulla. Anatomia Histologia Embryologia, Berlin, v. 34, n. 2, p. 132-140, 2005.
COLBORN, T.; SMOLEN, M. J. Epidemiological analysis of persistent organochlorine contaminants in cetaceans. Reviews of Environmental Contamination and Toxicology, New York, v. 146, n. 1, p. 91-172, 1996.
COSBY, S. L.; MCQUAID, S.; DUFFY, N.; LYONS, C.; RIMA, B. K.; ALLAN, G. M.; MCCULLOUGH, S. J.; KENNEDY, S.; SMYTH, J. A.; MCNEILLY, F.; CRAIG, C.; ÖRVELL, C. Characterization of a seal morbillivirus. Nature, London, v. 336, n. 6195, p. 115-116, 1988.
COSTA, L. G.; GIORDANO, G. Developmental neurotoxicity of polybrominateddiphenyl ether (PBDE) flame retardants. Neurotoxicology, Amsterdam, v. 28, n. 6, p. 1047-1067, 2007.
COWAN, D. F. Involution and cystic transformation of the thymus of the bottlenose dolphin, Tursiops truncatus. Veterinary Pathology, Basel, v. 31, n. 6, p. 648-653, 1994.
COWAN, D. F.; CURRY, B. E. Histopathology of the alarm reaction in small odontocetes. Journal of Comparative Pathology, Liverpool, v. 139, n. 1, p. 24-33, 2008.
COWAN, D. F.; SMITH, T. L. Morphology of the lymphoid organs of the bottlenose dolphin, Tursiops truncatus. Journal of Anatomy, London, v. 194, n. 4, p. 505-517, 1999.
CREMER, M. J.; SIMÕES-LOPES, P. C.; PIRES, J. S. R. Occupation pattern of a harbor inlet by the estuarine dolphin, Sotalia guianensis (P. J. Van Bénéden, 1864) (Cetacea, Delphinidae). Brazilian Archives of Biology and Technology, Curitiba, v. 52, n. 3, p. 765-774, 2009.
CURRY, B. E. Stress in mammals: the potential influence of fishery-induced stress on dolphins in the eastern tropical Pacific Ocean, NOAA Technical Memorandum NMFS, NOAA-TM-NMFSSWFSC- 260, Southwest Fisheries Science Center. La Jolla: CA, 1999. 121 p.
DAMIANI, D.; KUPERMAN, H.; DICHTCHEKENIAN, V.; DELLA MANNA, T.; SETIAN, N. Corticoterapia e suas repercussões: a relação custo-benefício. Pediatria, São Paulo , 1, n. 1, p. 71-82, 2001.
DE GUISE, S.; LAGAC, A.; BELAND, P.; GIRARD, C.; HIGGINS, R. Nonneoplastic lesions in beluga whales (Delphinapterus leucas) and other marine mammals from the St. Lawrence Estuary. Journal of Comparative Pathology, Liverpool, v. 112, n. 3, p. 257-271, 1995a.
DE GUISE, S.; MARTINEAU, D.; BÉLAND, P.; FOURNIER, M. Possible mechanisms of action of environmental contaminants on st. lawrence beluga whales (Delphinapterus leucas). Environmental Health Perspectives, Research Triangle Park, v. 103, n. 4, p. 73-77, 1995b.
DE LA TORRE, A.; ALONSO, M. B.; MARTÍNEZ, M. A.; SANZ, P.; SHEN, L.; REINER, E. J.; LAILSON-BRITO, J.; TORRES, J. P. M.; BERTOZZI, C.; MARIGO, J.; BARBOSA, L.; CREMER, M.; SECCHI, E.; MALM, O.; ELJARRAT, E.; BARCELO, D. Dechlorane-related compounds in franciscana dolphin (Pontoporia blainvillei) from southeastern and southern coast of Brazil. Environmental Science & Technology, Easton, v. 46, n. 22, p. 12364-12372, 2012.
DESFORGES, J. P. W.; SONNE, C.; LEVIN, M.; SIEBERT, U.; DE GUISE, S.; DIETZ, R. Immunotoxic effects of environmental pollutants in marine mammals. Environment International, Elmsford, v. 86, n. 1, p. 126-139, 2016.
DI GUARDO, G.; DI FRANCESCO, C. E.; ELENI, C.; COCUMELLI, C.; SCHOLL, F.; CASALONE, C.; PELETTO, S.; MIGNONE, W.; TITTARELLI, C.; DI NOCERA, F.; LEONARDI, L.; FERNÁNDEZ, A.; MARCER, F.; MAZZARIOL, S. Morbillivirus infection in cetaceans stranded along the Italian coastline: pathological, immunohistochemical and biomolecular findings. Research in Veterinary Science, Oxford, v. 94, n. 1, p. 132-137, 2013.
DI GUARDO, G.; MARRUCHELLA, G.; AGRIMI, U.; KENNEDY, S. Morbillivirus infections in aquatic mammals: a brief overview. Journal of Veterinary Medicine, Berlin, v. 52, n. 2, p. 88-93, 2005.
DIAS, J. L. C. Miopatia de captura. Informativo ABRAVAS, São Paulo , 1, n. 1, p. 1-2, 1993.
DOHMS, J. E.; METZ, A. Stress mechanisms of immunosuppression. Veterinary Immunology and Immunopathology, Amsterdam, v. 30, n. 1, p. 89-109, 1991.
DOMICIANO, I. G.; DOMIT, C.; BROADHURST, M. K.; KOCH, M. S.; BRACARENSE, A. P. F. R. L. Assessing disease and mortality among small cetaceans stranded at a world heritage site in southern Brazil. Plos One, San Francisco, v. 11, n. 2, p. 1-17, 2016.
DOMINGO, M.; VISA, J.; PUMAROLA, M.; MARCO, A.; FERRER, L.; RABANAL, R.; KENNEDY, S. Pathologic and immunocytochemical studies of morbillivirus infection in striped dolphins (Stenella coeruleoalba). Veterinary Pathology, Basel, v. 29, n. 1, p. 1-10, 1992.
DORNELES, P. R.; LAILSON-BRITO, J.; SANTOS, R. A.; COSTA, P. A. S.; MALM, O.; AZEVEDO, A. F.; TORRES, J. P. M. Cephalopods and cetaceans as indicators of offshore bioavailability of cadmium off Central South Brazil Bight. Environmental Pollution, Barking, v. 148, n. 1, p. 352-359, 2007.
DUIGNAN, P. J.; GERACI, J. R.; RAGA, J. A.; CALZADA, N. Pathology of Morbillivirus infection in striped dolphins (Stenella coeruleoalba) form Valencia and Murcia, Spain. Canadian Journal of Veterinary Research, Ottawa, v. 56, n. 3, p. 242-248, 1992.
ERIKSSON, P.; JAKOBSSON, E.; FREDRIKSSON, A. Brominated flame retardants: a novel class of developmental neurotoxicants in our environment? Environmental Health Perspectives, Research Triangle Park, v. 109, n. 9, p. 903-908, 2001.
FELIZZOLA, J. F. Especiação de compostos butílicos de estanho em sedimentos superficiais da Baía de Todos os Santos. 2005. Dissertação. (Mestrado em Química) - Pontifícia Universidade Católica do Rio de Janeiro, Rio de Janeiro.
FENT, K.; KUNZ, P.; GOMEZ, E. UV filters in the aquatic environment induce hormonal effects and affect fertility and reproduction in fish. Chimia, Bern, v. 62, n. 5, p. 1-8, 2008.
FOX, G. A. Wildlife as sentinels of human health effects in the Great Lakes-St. Lawrence basin. Environmental Health Perspectives, Research Triangle Park, v. 109, n. 6, p. 853-861, 2001.
GAGO-FERRERO, P.; ALONSO, M. B.; BERTOZZI, C. P.; MARIGO, J.; BARBOSA, L.; CREMER, M.; SECCHI, E. R.; AZEVEDO, A.; LAILSON-BRITO JUNIOR, J.; TORRES, J. P. M.; MALM, O.; ELJARRAT, E.; DÍAZ-CRUZ, M. S.; BARCELÓ, D. First determination of UV filters in marine mammals. Octocrylene levels in Franciscana dolphins. Environmental Science and Technology, Easton, v. 47, n. 11, p. 5619-5625, 2013.
GRAY, B. H.; PORVAZNIK, M.; LEE, L. H. Cyanide stimulation of tri-n-butyltin mediated hemolysis. Journal of Applied Toxicology, Chichester, v. 6, n. 4, p. 263-269, 1986.
GRIFFIN, J. F. T. Stress and immunity: a unifying concept. Veterinay lmmunology and Immunopathology, Amsterdam, v. 20, n. 3, p. 263-312, 1989.
GROCH, K.; COLOSIO, A. C.; MARCONDES, M. C. C.; ZUCCA, D.; DÍAZ-DELGADO, J.; NIEMEYER, C.; MARIGO, J.; BRANDÃO, P. E.; FERNÁNDEZ, A.; CATÃO-DIAS, J. L. Novel cetacean morbillivirus in Guiana Dolphin, Brazil. Emerging Infectious Diseases, Atlanta, v. 20, n. 3, p. 511-513, 2014.
GROCH, K. R.; SANTOS-NETO, E. B.; DÍAZ-DELGADO, J.; IKEDA, J. M. P.; CARVALHO, R. R.; OLIVEIRA, R. B.; GUARI, E. B.; BISI, T. L.; AZEVEDO, A. F.; LAILSON-BRITO, J.; CATÃO-DIAS, J. L. Guiana Dolphin unusual mortality event and link to cetacean Morbillivirus, Brazil. Emerging Infectious Diseases, Atlanta, v. 24, n. 7, p. 1349-1354, 2018.
HALL, A. J. Morbilliviruses in marine mammals. Trends in Microbiology, Cambridge, v. 3, n. 1, p. 4-9, 1995.
HALL, A. J.; McCONNELL, B. J.; SCHWACKE, L. H.; YLITALO, G. M.; WILLIAMS, R.; ROWLES, T. K. Predicting the effects of polychlorinated biphenyls on cetacean populations through impacts on immunity and calf survival. Environmental Pollution, Barking, v. 233, n. 1, p. 407-418, 2018.
HARTWIG, H.; HARTWIG, H. G. Structural characteristics of the mammalian spleen indicating storage and release of red blood cells. Aspects of evolutionary and environmental demands. Experientia, Basel, v. 41, n. 2, p. 159-163, 1985.
HEANEY, J.; BARRETT, T.; COSBY, S. L. Inhibition of in vitro leukocyte proliferation by morbilliviruses. Journal of Virology, Washington, v. 76, n. 7, p. 3579-3584, 2002.
HILEMAN, B. Effects of organohalogens on marine mammals to be investigated. Chemical & Engineering News, Washington, v. 70, n. 10, p. 23-24, 1992.
JUNQUEIRA, L. C. U.; CARNEIRO, J. Histologia básica. 11. ed. Rio de Janeiro: Guanabara Koogan, 2008. 524 p.
KAJIWARA, N.; MATSUOKA, S.; IWATA, H.; TANABE, S.; ROSAS, F. C. W.; FILLMANN, G.; READMAN, J. W. Contamination by persistent organochlorines in cetaceans incidentally caught along brazilian coastal waters. Archives of Environmental Contamination and Toxicology, New York, v. 46, n. 1, p. 124-134, 2003.
KAKUSCHKE, A.; PRANGE, A. The influence of metal pollut ion on the immune system a potential stressor for marine mammals in the North Sea. International Journal of Comparative Psychology, San Antonio, v. 20, n. 1, p. 179-193, 2007.
KAKUSCHKE, A.; VALENTINE-THON, E.; GRIESEL, S.; FONFARA, S.; SIEBERT, U.; PRANGE, A. Immunological impact of metals in harbor seals (Phoca vitulina) of the North Sea. Environmental Science & Technology, Easton, v. 39, n. 19, p. 7568-7575, 2005.
KANNAN, K.; MOON, H. B.; YUN, S. H.; AGUSA, T.; THOMAS, N. J.; TANABE, S. Chlorinated, brominated, and perfluorinated compounds, polycyclic aromatic hydrocarbons and trace elements in livers of sea otters from California, Washington, and Alaska (USA), and Kamchatka (Russia). Journal of Environmental Monitoring, Cambridge, v. 10, n. 4, p. 552-558, 2008.
KAVLOCK, R. J.; DASTON, G. P.; DEROSA, C.; FENNER-CRISP, P.; GRAY, L. E.; KAATTARI, S.; LUCIER, G.; LUSTER, M.; MAC, M. J.; MACZKA, C.; MILLER, R.; MOORE, J.; ROLLAND, R.; SCOTT, G.; SHEEHAN, D. M.; SINKS, T.; TILSON, H. A. Research needs for the risk assessment of health and environmental effects of endocrine disruptors: a report of the U. S. EPA sponsored workshop. Environmental Health Perspectives, Research Triangle Park, v. 104, n. 4, p. 715-740, 1996.
KENNEDY, S. Morbillivirus infections in marine mammals. Journal of Comparative Pathology, Liverpool, v. 119, n. 3, p. 201-225, 1998.
KENNEDY, S.; SMYTH, J. A.; CUSH, P. F.; MCCULLOUGH, S. J.; ALLAN, G. M.; MCQUAID, S. Viral distemper now found in porpoises. Nature, London, v. 336, n. 6194, p. 21-21, 1988.
KENNISH, M. J. Practical handbook of estuarine and marine pollution. New Jersey: CRC press, 1996. 544 p.
KIRBY, V. L. Endocrinology of marine mammals. In: GULLAND, F. M. D.; DIERAUF, L. A.; WHITMAN, K. L. (Org.). CRC handbook of marine mammal medicine: health, disease, and rehabilitation. Boca Raton: CRC Press, 1990.
KISZKA, J.; VAN BRESSEM, M. F.; PUSINERI, C. Lobomycosis-like disease and other skin conditions in Indo-Pacific bottlenose dolphins Tursiops aduncus from the Indian Ocean. Diseases of Aquatic Organisms, Oldendorf, v. 84, n. 2, p. 151-157, 2009.
KO, F. C.; WE, N. Y.; CHOU, L. S. Bioaccumulation of persistent organic pollutants in stranded cetaceans from Taiwan coastal Waters. Journal of Hazardous Materials, Amsterdam, v. 277, n. 1, p. 127-133, 2014.
KRAHN, M. M.; HANSON, M. B.; BAIRD, R. W.; BOYER, R. H.; BURROWS, D. G.; EMMONS, C. K.; FORD, J. K. B.; JONES, L. L.; NOREN, D. P.; ROSS, P. S.; SCHORR, G. S.; COLLIER, T. K. Persistent organic pollutants and stable isotopes in biopsy samples (2004/2006) from Southern Resident killer whales. Marine Pollution Bulletin, Oxford, v. 54, n. 12, p. 1903-1911, 2007.
KUNITO, T.; NAKAMURA, S.; IKEMOTO, T.; ANAN, Y.; KUBOTA, R. ; TANABE S.; ROSAS, F. C. W.; FILLMANN, G.; READMAN, J. W. Concentration and subcellular distribution of trace elements in liver of small cetaceans incidentally caught along the Brazilian coast. Marine Pollution Bulletin, Oxford, v. 49, n. 7-8, p. 574-587, 2004.
LAILSON-BRITO, J.; DORNELES, P. R.; AZEVEDO-SILVA, C. E.; AZEVEDO, A. F.; VIDAL, L. G.; ZANELATTO, R. C.; LOZINSKI, C. P. C.; AZEREDO, A.; FRAGOSO, A. B. L.; CUNHA, H. A.; TORRES, J. P. M.; MALM, O. High organochlorine accumulation in blubber of Guiana dolphin, Sotalia guianensis, from Brazilian coast and its use to establish geographical differences among populations. Environmental Pollution, Barking, v. 158, n. 5, p. 1800-1808, 2010.
LEONARD, B. E. The HPA and immune axes in stress: the involvement of the serotonergic system. European Psychiatry, Paris, v. 20, n. 3, p. 302-306, 2005.
LI CHEN, T.; WISE, S. S.; KRAUS, S.; SHAFFIEY, F.; GRAU, M.; THOMPSON, W. D.; ZHENG, T.; ZHANG, Y.; ROMANO, T.; O'HARA, T.; WISE, J. P. Particulate hexavalent chromium is cytotoxic and genotoxic to the North Atlantic right whale (Eubalaena glacialis) lung and skin fibroblasts. Environmental and Molecular Mutagenesis, New York, v. 50, n. 5, p. 387-393, 2009.
LIMA, R. P.; CÉSAR, F. B. A importância da criação das redes de encalhes de mamíferos aquáticos no Brasil. In: IBAMA. Protocolo de conduta para encalhes de mamíferos aquáticos: rede de encalhes de mamíferos aquáticos do Nordeste. Recife: IBAMA, 2005. p.11-16.
LIPSCOMB, T. P.; SCHULMAN, F. Y.; MOFFETT, D.; KENNEDY, S. Morbilliviral disease in bottlenose dolphins (Tursiops truncatus) from the 1987-1988 epizootic. Journal of Wildlife Diseases, Ames, v. 30, n. 4, p. 567-571, 1994.
MARINHA DO BRASIL - Diretoria de Portos de Costas: Normas da Autoridade Marítima Para o Controle de Sistemas Antiincrustantes em Embarcações - Normam - 23/DPC. Rio de Janeiro: Diretoria de Portos e Costas, 2007.
MARTINEAU, D.; BÉLAND, P.; DESJARDINS, C.; LAGACÉ, A. Levels of organochlorine chemicals in tissues of beluga whales (Delphinapterus leucas) from the St Lawrence Estuary, Quebec, Canada. Archives of Environmental Contamination and Toxicology, New York, v. 16, n. 2, p. 137-147, 1987.
MARTINEAU, D.; LAGACÉ, A.; BÉLAND, P.; HIGGINS, R.; ARMSTRONG, D.; SHUGART, L. Pathology of stranded beluga whales (Delphinapterus leucas) from the St. Lawrence Estuary, Quebec. Journal of Comparative Pathology, Liverpool, v. 98, n. 3, p. 287-311, 1988.
MARTINEAU, D.; LEMBERGER, K.; DALLAIRE, A.; LABELLE, P.; LIPSCOMB, T. P.; MICHEL, P.; MIKAELIAN, I. Cancer in wildlife, a case study: beluga from the St. Lawrence Estuary, Québec, Canada. Environmental Health Perspectives, Research Triangle Park, v. 110, n. 3, p. 285-292, 2002.
MARTINS, H. M.; DIAS, M. I.; MARTINS, M. L.; BERNARDO, F. Leveduroses oportunistas do tracto respiratório de delfinídeos em cativeiro. Revista Portuguesa de Ciência Veterinárias, Lisboa, v. 97, n. 544, p. 189-192, 2002.
MAUÉS, T.; ISRAEL, C. B.; ALVIM, A. P. V.; FERREIRA, M. L. G. Esplenose em canino: relato de caso. Revista Brasileira de Ciência Veterinária, Niterói, v. 20, n. 1, p. 6-8, 2013.
MAZZARIOL, S.; MARCER, F.; MIGNONE, W.; SERRACCA, L.; GORIA, M.; MARSILI, L.; DI GUARDO, G.; CASALONE, C. Dolphin Morbillivirus and Toxoplasma gondii coinfection in a Mediterranean fin whale (Balaenoptera physalus). BMC Veterinary Research, London, v. 8, n. 20, p. 1-5, 2012.
MIKAELIAN, I.; LABELLE, P.; MARTINEAU, D. Metastatic mammary adenocarcinomas in two beluga whales (Delphinapterus leucas) from the St. Lawrence estuary, Quebec, Canada. Veterinary Record, London, v. 145, n. 25, p. 738-739, 1999.
MOONSIE-SHAGEER, S.; MOWAT, D. N. Effect of level of supplemental chromium on performance, serum constituents, and immune status of stressed feeder calves. Journal of Animal Science, Champaign, v. 71, n. 1, p. 232-238, 1993.
MOORE, S. E. Marine mammals as ecosystem sentinels. Journal of Mammalogy, Lawrence, v. 89, n. 3, p. 534-540, 2008.
MOSKOV, M.; SCHIWATSCHEWA, T.; BONEV, S. Vergleich histologische untersuchungen der lymphknoten der saüger. Anatomischer Anzeiger, Jena, v. 124, n. 1, p. 49-67, 1969.
MUIR, D. C. G.; FORD, C. A.; ROSENBERG, B.; NORSTROM, R. J.; SIMON, M.; BÉLAND, P. Persistent organochlorines in beluga whales (Delphinapterus leucas) from the St Lawrence river estuary. 1. Concentrations and patterns of specific PCBs, chlorinated pesticides and polychlorinated dibenzo-p-dioxins and dibenzofurans. Environmental Pollution, Barking, v. 93, n. 2, p. 219-234, 1996.
MUNCK, A.; GUYRE, P. M.; HOLBROOK, N. J. Physiological functions of glucocorticoids in stress and their relation to pharmacological actions. Endocrine Reviews, Baltimore, v. 5, n. 1, p. 25-44, 1984.
NAKATA, H.; SAKAKIBARA, A.; KANOH, M.; KUDO, S.; WATANABE, H.; NAGAI, N.; MIYAZAKI, N.; ASANO, Y.; TANABE, S. Evaluation of mitogen-induced responses in marine mammal and human lymphocytes by in-vitro exposure of butyltins and non-ortho coplanar PCBs. Environmental Pollution, Barking, v. 120, n. 2, p. 245-253, 2002.
NOWACEK, D. P.; THORNE, L. H.; JOHNSTON, D. W.; TYACK, P. L. Responses of cetaceans to anthropogenic noise. Mammal Review, Oxford, v. 37, n. 2, p. 81-115, 2007.
O’SHEA, T. J.; ODELL, D. K. Large-scale marine ecosystem change and the conservation of marine mammals. Journal of Mammalogy, Lawrence, v. 89, n. 3, p. 529-533, 2008.
PACHALY, J. R.; WERNER, P. R.; SCHIMANSKI, J. C.; CIFFONI, E. M. G. Estresse por captura e contenção em animais selvagens. A Hora Veterinária, Porto Alegre, v. 13, n. 74, p. 47-52, 1993.
PENTEADO, J. C. P.; VAZ, J. M. O legado das bifenilas policloradas (PCBs). Química Nova, São Paulo , 24, n. 3, p. 390-398, 2001.
REBOREDO-FERNÁNDEZ, A.; GÓMEZ-COUSO, H.; MARTÍNEZ-CEDEIRA, J. A.; CACCIÒ, S. M.; ARES-MAZÁS, E. Detection and molecular characterization of Giardia and Cryptosporidium in common dolphins (Delphinus delphis) stranded along the Galician coast (Northwest Spain). Veterinary Parasitology, Amsterdam, v. 202, n. 3-4, p. 132-137, 2014.
REZENDE, J. M. Imunodepressão, imunossupressão. Revista de Patologia Tropical, Goiânia, v. 40, n. 2, p. 199-201, 2011.
RICHARDSON, S. D. Environmental mass spectrometry: emerging contaminants and current issues. Analytical Chemistry, Washington, v. 82, n. 2, p. 4742-4774, 2010.
ROLLAND, R. M.; PARKS, S. E.; HUNT, K. E.; CASTELLOTE, M.; CORKERON, P. J.; NOWACEK, D. P.; WASSER, S. K.; KRAUS, S. D. Evidence that ship noise increases stress in right whales. Proceedings of the Royal Society B, London, v. 279, n. 1737, p. 2363-2368, 2012.
ROMANO, T. A.; FELTEN, S. Y.; OLSCHOWKA, J. A.; FELTEN, D. L. A microscopic investigation of the lymphoid organs of the beluga, Delphinapterus leucas. Journal of Morphology, Philadelphia, v. 215, n. 3, p. 261-287, 1993.
ROMANO, T.; ABELLA, K.; COWAN, D.; CURRY, B. Investigation of the morphology and autonomic innervation of the lymphoid organs in the pantropical spotted, spinner, and common dolphins (Stenella attenuata, Stenella longirostris and Delphinus delphis) incidentally entangled and drowned in the tuna purse-seine fishery in the eastern tropical pacific. La Jolla, San Diego: NOAA, 2002. 23 p.
ROSS, P. S. The role of immunotoxic environmental contaminants in facilitating the emergence of infectious diseases in marine mammals. Human and Ecological Risk Assessment, London, v. 8, n. 2, p. 277-292, 2002.
SCHWACKE, L. H.; ZOLMAN, E. S.; BALMER, B. C.; DE GUISE, S.; GEORGE, R. C.; HOGUET, J.; HOHN, A. A.; KUCKLICK, J. R.; LAMB, S.; LEVIN, M.; LITZ, J. A.; MCFEE, W. E.; PLACE, N. J.; TOWNSEND, F. I.; WELLS, R. S.; ROWLES, R. W. Anaemia, hypothyroidism and immune suppression associated with polychlorinated biphenyl exposure in bottlenose dolphins (Tursiops truncatus). Proceedings of the Royal Society, London, v. 279, n. 1726, p. 48-57, 2012.
SEINEN, W.; VOS, J. G.; VAN SPANJE, I.; SNOEK, M.; BRANDS, R.; HOOYKAAS, H. Toxicity of organotin compounds: II. Comparative in vivo and in vitro studies with various organotin and organolead compounds in different animal species with special emphasis on lymphocyte cytotoxicity. Toxicology and Applied Pharmacology, New York, v. 42, n. 1, p. 197-212, 1977.
SEIXAS, T. G.; KEHRIG, H. A.; DI BENEDITTO, A. P. M.; SOUZA, C. M. M.; MALM, O.; MOREIRA, I. Trace elements in different species of cetacean from Rio de Janeiro coast. Journal of the Brazilian Chemical Society, São Paulo , 20, n. 2, p. 243-251, 2009.
SIEBERT, U.; JOIRIS, C.; HOLSBEEK, L.; BENKE, H.; FAILING, K.; FRESE, K.; PETZINGER, E. Potential relation between mercury concentrations and necropsy findings in cetaceans from German waters of the North and Baltic Seas. Marine Pollution Bulletin, Oxford, v. 38, n. 4, p. 285-295, 1999.
SILVA, F. M. O.; GUIMARÃES, J. P.; VERGARA-PARENTE, J. E.; CARVALHO, V. L.; MEIRELLES, A. C. O.; MARMONTEL, M.; FERRÃO, J. S. P.; MIGLINO, M. A. Morphological analysis of lymph nodes in odontocetes from north and northeast coast of Brazil. The Anatomical Record, Salt Lake City, v. 297, n. 5, p. 939-948, 2014.
SLIJPER, E. J. Organ weights and symmetry problems in porpoises and seals. Archives Neérlandaises de Zoologie, Leiden, v. 13, n. 1, p. 97-113, 1958.
SOTO, S.; GANZÁLEZ, B.; WILLOUGHBY, K.; MALEY, M.; OLVERA, A.; KENNEDY, S.; MARCO, A.; DOMINGO, M. Systemic herpesvirus and Morbillivirus co-infection in a striped dolphin (Stenella coeruleoalba). Journal of Comparative Pathology, Liverpool, v. 146, n. 2-3, p. 269-273, 2012.
SWEENEY, J. C.; RIDGWAY, S. H. Common diseases of small cetaceans. Journal of the American Veterinary Medical Association, Chicago, v. 167, n. 7, p. 533-540, 1975.
TAUBENBERGER, J. K.; TSAI, M. M.; ATKIN, T. J.; FANNING, T. G.; KRAFFT, A. E.; MOELLER, R. B.; KODSI, S. E.; MENSE, M. G.; LIPSCOMB, T. P. Molecular genetic evidence of a novel morbillivirus in a long-finned pilot whale (Globicephalus melas). Emerging Infectious Diseases, Atlanta, v. 6, n. 1, p. 42-45, 2000.
TIZARD, I. R. Imunologia veterinária: uma introdução. 8. ed. São Paulo: Editora Elsevier, 2009. 520 p.
TOVAR-SÁNCHEZ, A.; SÁNCHEZ-QUILES, D.; BASTERRETXEA, G.; BENEDÉ, J. L.; CHISVERT, A.; SALVADOR, A.; MORENO-GARRIDO, I.; BLASCO, J. Sunscreen products as emerging pollutants to coastal waters. Plos One, San Francisco, v. 8, n. 6, p. 1-8, 2013.
TRYPHONAS, H.; LUSTER, M. I.; SCHIFFMAN, G.; DAWSON, L. L.; HODGEN, M.; GERMOLEC, D.; HAYWARD, S.; BRYCE, F.; LOO, J. C. K.; MANDY, F.; ARNOLD, D. L. Effect of chronic exposure of PCB (Aroclor 1254) on specific and nonspecific immune parameters in the rhesus (Macaca mulatta) monkey. Fundamental and Applied Toxicology, Orlando, v. 13, n. 6, p. 773-786, 1991.
TURNBULL, B. S.; COWAN, D. F. Myocardial contraction band necrosis in stranded cetaceans. Journal of Comparative Pathology, Liverpool, v. 118, n. 4, p. 317-327, 1998.
ULRICH-LAI, Y. M.; HERMAN, J. Neural regulation of endocrine and autonomic stress response. Nature Reviews - Neuroscience, London, v. 10, n. 6, p. 307-409, 2009.
URICK, R. J. Principles of underwater sound. New York: McGraw-Hill Companies, 1983. 423 p.
VAN BRESSEM, M. F.; DUIGNAN, P. J.; BANYARD, A.; BARBIERI, M.; COLEGROVE, K. M.; DE GUISE, S.; DI GUARDO, G.; DOBSON, A.; DOMINGO, M.; FAUQUIER, D.; FERNANDEZ, A.; GOLDSTEIN, T.; GRENFELL, B.; GROCH, K. R.; GULLAND, F.; JENSEN, B. A.; JEPSON, P. D.; HALL, A.; KUIKEN, T.; MAZZARIOL, S.; MORRIS, S. E.; NIELSEN, O.; RAGA, J. A.; ROWLES, T. K.; SALIKI, J.; SIERRA, E.; STEPHENS, N.; STONE, B.; TOMO, I.; WANG, J.; WALTZEK, T.; WELLEHAN, J. F. X. Cetacean morbillivirus: current knowledge and future directions. Viruses, Basel, v. 6, n. 12, p. 5145-5181, 2014.
VAN BRESSEM, M. F.; SANTOS, M. C. O.; OSHIMA, J. E. F. Skin diseases in Guiana dolphins (Sotalia guianensis) from the Paranaguá estuary, Brazil: a possible indicator of a compromised marine environment. Marine Environmental Research, Amsterdam, v. 67, n. 2, p. 63-68, 2009.
VAN BRESSEM, M. F.; VAN WAEREBEEK, K.; JEPSON, P. D.; RAGA, J. A.; DUIGNAN, P. J.; NIELSEN, O.; DI BENEDITTO, A. P.; SICILIANO, S.; RAMOS, R.; KANT, W.; PEDDEMORS, V.; KINOSHITA, R.; ROSS, P. S.; LÓPEZ-FERNANDEZ, A.; EVANS, K.; CRESPO, E.; BARRETT, T. An insight into the epidemiology of dolphin morbillivirus worldwide. Veterinary Microbiology, Amsterdam, v. 81, n. 4, p. 287-304, 2001.
VAN DOLAH, F. M.; DOUCETTE, G. J.; GULLAND, F. M. D.; ROWLES, T. L.; BOSSART, G. D. Impacts of algal toxins on marine mammals. In: VOS, J. G.; BOSSART, G. D.; FOURNIER, M. ; O’SHEA, T. J. (Org.). Toxicology of marine mammals. Londres: Taylor & Francis, 2003. p. 247-269.
VENN-WATSON, S.; SMITH, C. R.; STEVENSON, S.; PARRY, C.; DANIELS, R.; JENSEN, E.; CENDEJAS, V.; BALMER, B.; JANECH, M.; NEELY, B. A.; WELLS, R. Blood-based indicators of insulin resistance and metabolic syndrome in bottlenose dolphins (Tursiops truncatus). Frontiers in Endocrinology, Lausanne, v. 4, n. 136, p. 1-8, 2013.
WALSH, C. J.; LUER, C. A.; NOYES, D. R. Effects of environmental stressors on lymphocyte proliferation in Florida manatees, Trichechus manatus latirostris. Veterinary Immunology and Immunopathology, Amsterdam, v. 103, n. 3-4, p. 247-256, 2005.
WISE, J. P.; WISE, S. S.; KRAUS, S.; SHAFFIEY, F.; GRAU, M.; LI CHEN, T.; PERKINS, C.; THOMPSON, W. D.; ZHENG, T.; ZHANG, Y.; ROMANO, T.; O'HARA, T. Hexavalent chromium is cytotoxic and genotoxic to the North Atlantic right whale (Eubalaena glacialis) lung and testes fibroblasts. Mutation Research, Amsterdam, v. 650, n. 1, p. 30-38, 2008b.
WISE, S. S.; HOLMES, A. L.; WISE, J. P. Hexavalent chromium-induced DNA damage and repair mechanisms. Reviews on Environmental Health, Tel Aviv, v. 23, n. 1, p. 39-57, 2008a.
WRIGHT, A. J.; DEAK, T.; PARSONS, E. C. M. Concerns related to chronic stress in marine mammals. SC/61/E16. p. 1-7, 2009. Available at: <https://www.researchgate.net/profile/ECM_ Parsons/publication/239782299_Concerns_related_to_chronic_stress_in_marine_mammals/links/0046352cd4d015eddc000000.pdf>. Access at: 31 ago 2018.
WÜNSCHMANN, A.; SIEBERT, U.; FRESE, K. Thymic cysts in harbor porpoises (Phocoena phocoena) from the German North Sea, Baltic Sea, and waters of Greenland. Veterinary Pathology, Basel, v. 36, n. 5, p. 391-396, 1999.
Author notes
*Author for correspondence