Articles
Histología del tubo digestivo de tres especies de pepino de mar Isostichopus badionotus, Isostichopus sp.y Stichopus hermanni (Aspidochirotida: Stichopodidae)
Histology of the digestive tract of three species of sea cucumber Isostichopus badionotus, Isostichopus sp. and Stichopus hermanni (Aspidochirotida: Stichopodidae)
Histología del tubo digestivo de tres especies de pepino de mar Isostichopus badionotus, Isostichopus sp.y Stichopus hermanni (Aspidochirotida: Stichopodidae)
Revista de Biología Tropical, vol. 63, núm. 4, 2015
Universidad de Costa Rica
Recepción: 10 Noviembre 2014
Aprobación: 30 Julio 2015
Resumen: Los pepinos de mar tienen un importante papel ecológico en el medio marino, ya que son capaces de alimentarse de la materia orgánica e inorgánica, con lo cual contribuyen a la oxigenación y la transferencia de energía en el ecosistema. En general, existe una falta de conocimiento de la morfología básica de especies nativas de pepino de mar y la función de los órganos vitales. El objetivo de este estudio fue describir la histología del tracto digestivo (DT) de tres especies de holotúridos de la bahía del Rodadero, Colombia. Treinta ejemplares de Isostichopus badionotus, Isostichopus sp. y Stichopus hermanni se capturaron y se sacrificaron por hipotermia. En el laboratorio se obtuvieron secciones del intestino anterior, medio y posterior y se fijaron en formalina (10 %) para su procesamiento histológico convencional. Además, algunas muestras fueron fijadas en glutaraldehído (3 %) para su inclusión en resinas y estudios en microscopía electrónica de alta resolución. Para las especies estudiadas, el TD es largo, lobulado, y se distribuye en la cavidad celómica; tiene al menos dos veces la longitud del cuerpo del pepino de mar. El TD presenta vellosidades revestidas por un epitelio ciliado columnar pseudoestratificado, que descansa sobre una membrana basal y una capa de fibras de colágeno. Se identificaron cuatro tipos de células: coelocmocitos, células cafes, enterocitos y células mucosas y las espículas fueron evidentes en todo el tejido del TD. La microscopía óptica mostró inclusiones alargadas de formación calcárea situadas esencialmente en el intestino grueso, "los cuerpos psamoma". Técnicas de microscopía de alta resolución y de microscopía electrónica mostraron células mucosas granulares cuya superficie apical contiene numerosas microvellosidades. La conformación tisular de los TD de I. badionotus, Isostichopus sp. y S. hermanni fueron similares. Se encontraron diferencias (p < 0.05) en el espesor del tejido submucosa intestinal de las especies estudiadas, que pueden estar ligadas a los hábitos específicos de alimentación de cada uno. La caracterización morfo-histológica del tracto digestivo del pepino de mar es una herramienta útil para entender su fisiología alimenticia.
Palabras clave: celomocitos, enterocitos, intestino, histología, holoturia.
Abstract : Sea cucumbers have an important ecological role in the marine environment because they are able to process organic and inorganic matter, which contributes to the oxygenation and energy transfer in the ecosystem. In general, there is a lack of knowledge on the basic morphology of native species of sea cucumber and the function of vital organs. The aim of this study was to describe the histology of the digestive tract (DT) of three species of holothuroids from Rodadero Bay, Colombia. Thirty specimens of Isostichopus badionotus, Isostichopus sp. and Stichopus hermanni were obtained and sacrificed by hypothermia. In the laboratory, sections of foregut, midgut and hindgut were obtained and fixed in formalin (10%) for later conventional histological processes; besides, some samples were fixed in glutaraldehyde (3%) for their inclusion in resins and studies in high resolution and electron microscopy. For the studied species, the DT is long, folded, and is distributed in the coelomic cavity; it has at least twice the length of the sea cucumber body. The DT presents villi lined by a columnar pseudostratified ciliated epithelium, which rests on a basement membrane and a layer of collagen fibers. Four types of cells were identified: coelocmocytes, brown cells, enterocytes and mucous cells, and the spicules were evident throughout the digestive tract tissue. Light microscopy showed elongated inclusions of calcareous formation located essentially in the hindgut, "the psamoma bodies". We observed granular mucous cells with an apical surface with numerous microvilli. The histology of the DT of I. badionotus, Isostichopus sp. and S. hermanni were found to be similar, but we found differences (p<0.05) in the thickness of the intestinal submucosa tissue, which can be tied to specific feeding habits of each species. Characterization of the morphohistology of the digestive tract of sea cucumber is a useful tool to understand their feeding physiology. Rev. Biol. Trop. 63 (4): 1021-1033. Epub 2015 December 01.
Key words: coelocmocytes, enterocytes, gut, histology, Holothuria.
Los pepinos de mar están presentes en todos los océanos del mundo y se encuentran distribuidos desde zonas someras hasta grandes profundidades, habitando diferentes sustratos marinos (Hyman, 1955; Pérez-Ruzafa & Marcos, 1987; Richmond, 1996). Desde el punto de vista ecológico procesan grandes cantidades de sedimento, por lo cual son considerados como los mayores consumidores de detritus (Bakus, 1973; Richmond & Martínez, 1993; Uthicke, 1999; Uthicke, 2001; Roberts et al., 2001; Calva, 2002; Toral-Granda, 2006). Además, algunas especies poseen un alto valor comercial debido a su uso en la alimentación (por su gran valor nutricional) y en la industria farmacéutica, siendo aprovechadas a través de su pesquería y mediante la acuacultura (Chen, 2004; Aydin, Hüseyin, Bekir, Yilmaz, & Sevim, 2011; Conand & Byrne, 1993; Morgan, 2000; Pitt, 2001; Bordbar Anwar, & Saari, 2011).
Es evidente el incremento del comercio mundial de pepinos de mar, los altos precios en el mercado, su importancia biológica y ecológica, y la escasa información que sobre ellos existe. El sistema digestivo de los pepinos de mar suscita un interés particular por su función y la capacidad de regeneración del mismo; su morfología es muy variable, según el régimen alimenticio y el tipo de hábitat que ocupan (Feral & Massin, 1982). A pesar de la importancia que representa este órgano, su estructura y función ha sido poco estudiada (Feral & Massin, 1982; Foster & Hodgson 1996; Mashanov & Dolmatov, 2001; Mashanov, Frolova, & Dolmatov, 2004; Kamenev, Dolmatov, Frolova, & Nguyen, 2013). El conocimiento de la morfología es fundamental para entender la nutrición y sus aspectos ecológicos, fisiológicos y sus aplicaciones en la acuicultura. Este estudio tuvo como objetivo conocer y comparar la estructura histológica del tubo digestivo de tres especies de pepino de mar: Isostichopus badionotus (Selenka, 1867), Isostichopus sp. y Stichopus hermanni (Semper, 1868), nativas del Caribe colombiano.
Material y métodos
Mediante buceo autónomo a lo largo de un año se capturaron 30 especímenes de tres especies de pepino de mar (10 individuos por especie): I. badionotus, Isostichopus sp. y S. hermanni (Figura 1), entre 4-8 m de profundidad, en la Bahía de Rodadero, Santa Marta (11°13'73" N - 74° 13´59" W). I. badionotus y S. hermanni se extrajeron de fondos arenosos, mientras que S. sp. de fondos rocosos. Estos fueron transportados vivos hasta el laboratorio de Acuicultura de la Universidad del Magdalena. Un día después fueron sacrificados mediante hipotermia (sometidos a 12 ºC temperatura del agua de mar, durante un periodo de 75 minutos), medidos con un ictiómetro convencional y pesados en una balanza digital (Higland, HCB 1002, 0.01 g). Para recolectar las muestras del tubo digestivo (TD) se realizó una disección desde el eje posterior de la parte ventral del holotúrido hasta la boca. Todos los TD fueron pesados con una balanza digital y medidos con una reglilla (cm). Luego, se realizaron diez cortes longitudinales y transversales de tentáculo, esófago, estómago e intestino (anterior, medio y posterior) (Figura 2), que se fijaron (24 horas), por cada individuo en formol tamponado al 10 % con fosfatos 0.1 M. (pH 7.2), para su procesamiento con técnicas histológicas convencionales (Humason, 1972) y en glutaraldehído (3 %) y tetraóxido de osmio al 1 %. Posteriormente, se incluyeron cinco fragmentos del TD en resinas epóxicas, y se hicieron cortes de 1 μm de espesor que se tiñeron con azul de toluidina, para observarlos al microscopio de luz (Microscopía óptica de alta resolución, MOAR); también se procesaron otros cortes finos para observar su ultraestructura (Zeis EM 109), luego de ser contrastados con acetato uranilo y citrato de plomo. Los cortes histológicos de 5 μm de espesor se tiñeron con hematoxilina-eosina (HE). Para todas las especies se siguió un mismo protocolo.


Los pepinos se identificaron mediante claves taxonómicas que incluyeron su aspecto externo y las espículas de su musculatura. En la actualidad se procesa información conducente a la caracterización genética de Isostichopus sp., habiéndose comprobado por análisis genéticos preliminares que la especie es nueva para la región. Las especies se encuentran registradas en la colección de invertebrados marinos del Laboratorio de Acuicultura de la Universidad del Magdalena.
Para conocer si existían diferencias del espesor de la submucosa intestinal entre las especies de holotúridos, se evaluaron los supuestos de normalidad (prueba de Kolmogorov-Smirnov) y homocedasticidad (prueba de Bartlett), y se realizó un análisis de varianza a dos vías (ANOVA). Se empleó el programa Statgraphics Centurion XV.I (2010).
Resultados
En Isostichopus badionotus y Isostichopus sp. se observaron intestinos de similar longitud, pero de variables coloraciones al ser observados macroscópicamente: en tonos beige entre uno y otro. Los especímenes de S. hermanni presentaron las mayores longitudes (Cuadro 1), con una relación por lo menos de dos veces la longitud del cuerpo.

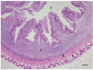
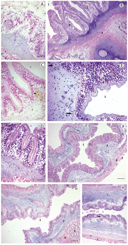
La conformación anatómica e histológica del tubo digestivo fue similar en las tres especies, con forma cilíndrica, lisa, con pliegues a partir de su porción media. Macroscópicamente se observaron siete partes: tentáculos, boca, faringe, esófago, estómago, intestino (dividido en anterior, medio y posterior), y cloaca (Figura 2). El TD mostró cinco capas tisulares: epitelio luminal (mucosa), tejido conjuntivo (submucosa), capa muscular, serosa y un epitelio exterior o celómico de tipo glandular (sistema neuronal) (Figura 3), y se observaron espículas a lo largo del tubo digestivo.

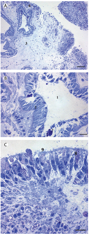
La boca situada ventralmente, rodeada por 20 tentáculos, estaba adherida al anillo calcáreo junto con los hilos suspensores y la vesícula de Poli. La estructura se compuso de un epitelio cilíndrico pseudoestratificado que contenía células columnares con borde en cepillo, con núcleo apical y células mucosas o secretorias, cuya estructura granular se apreció nítidamente con la técnica de MOAR (Figura 4). Este epitelio reposó sobre una estructura gruesa de tejido conjuntivo, con abundantes celomo citos granulares aleatoriamente distribuidos, de forma circular, con un núcleo grande y citoplasma basófilo.

La faringe y el esófago se ubicaron en el bulbo acuafaríngeo (BA). La faringe amarilla estaba conformada por epitelio columnar, con abundantes células secretoras o mucosas, núcleos basófilos, que se apoyaron en tejido conjuntivo rodeado por una capa muscular circular y estriada. El esófago presentó una coloración café rojiza con vellosidades cortas, conformadas por epitelio luminal con células columnares de núcleo basal, células mucosas con núcleos apicales, una extensa capa de tejido conjuntivo con abundantes celomocitos y tejido muscular circular y estriado, que separó el tejido glandular que se conectaba al celoma (Figura 5).

El estómago, de apariencia café-rojiza, se caracterizó por estar unido al esófago y al intestino a través de una fina conexión tisular en donde existió una disminución evidente del diámetro tubular. La mucosa estuvo conformada por tejido glandular, cuyo epitelio mostró células cilíndricas y que se identificó por la presencia de numerosas células glandulares apoyadas sobre el tejido conjuntivo y una musculatura circular y longitudinal, la cual estaba anexa al plexo neural (Figura 5).
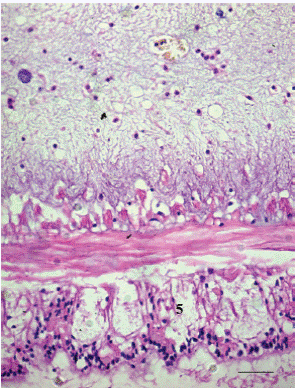
El intestino, de coloración grisácea, se dividió en tres regiones: anterior, media y posterior. La porción anterior se diferenció del resto del TD por su apariencia "segmentada" y sus largas vellosidades. Se compuso de un epitelio luminal columnar pseudoestratificado con microvellosidades y abundantes células secretorias, caliciformes. En la parte externa del epitelio se identificó tejido conjuntivo, tejido muscular cilíndrico y longitudinal y el epitelio celómico (también llamado plexo neural), consistente en una capa de células nerviosas, externas, en contacto con la cavidad visceral. El intestino medio mostró la misma conformación que la del intestino anterior pero con un mayor número de vellosidades de menor longitud; presentó células cafés, circulares, cuyo nombre se debe a que contienen en su citoplasma numerosos gránulos pequeños teñidos de este color con HE. El intestino posterior desembocó en una cloaca adherida al cuerpo a través de bandas suspensoras. Mostró vellosidades más cortas, con epitelio pseudoestratificado y núcleos dispuestos de forma basal ó apical, que se asientan en la lámina basal, por debajo de la cual existió una extensa capa de tejido conjuntivo. En él aparecieron corpúsculos redondos, de aspecto calcáreo que simulan los "cuerpos de psamoma", o calcificaciones en los humanos. Al microscopio electrónico se observó un epitelio columnar, con pocas microvellosidades, con los núcleos en la mitad superior de la célula. Se distinguieron hemidesmosomas en la base celular, sobre la membrana basal y células agranulares o células con gránulos densos (Figura 5 y Figura 6).

No se presentaron diferencias entre los tejidos, pero se observó un marcado contraste en el espesor de los epitelios en las tres regiones intestinales (95.0 % de confianza) (Cuadro 1).
Por otra parte, el tubo digestivo se encontró integrado al sistema neuronal (plexo neural), conformado por una fina hilera de fibras y células nerviosas que inervaron el tejido muscular del sistema alimentario (Figura 7).

Discusión
Los tubos digestivos de Isostichopus badionotus, Isostichopus sp. y Stichopus hermanni presentaron estructuras tisulares similares a las descritas en otros miembros de la familia Stichopodidae (Herreid, Larussa, & Defesi, 1976; Feral & Massin, 1982).
La anatomía digestiva de estos organismos, consiste en un tubo largo, se ha adaptado para que los animales puedan alimentarse constantemente de algas, materia orgánica y arena depositada en los fondos marinos y para la expulsión de heces compactas, tal como se comprobó en este estudio (Ferguson, 1969).
Entre estas especies, se observaron cambios anatómicos relacionados con la longitud del TD con respecto a la longitud del cuerpo, que pueden ser consecuencia de las diferencias de hábitat, lo cual es atribuido a que las especies no tienen las mismas preferencias alimenticias. Según Liao (1997), Guzman y Guevara (2002) y Purcell, Samyn, y Conand (2012), estos invertebrados habitan estratos rocosos, fondos arenosos, arrecifes de coral y praderas marinas. Los organismos estudiados se obtuvieron de diferentes lugares, pues mientras I. badionotus, S. hermanni se capturaron en fondos arenosos, Isostichopus sp. siempre se extrajo de fondos rocosos, lo cual puede implicar adaptaciones anatómicas especiales y el consumo de dietas diferentes según la zona, así, se evidenció una disminución en el espesor de la capa de tejido conjuntivo del TD. Algunos autores aseguran que estas diferencias pueden ser de origen filogenético o debidas a adaptaciones relacionadas con la ingesta de alimento (Ferguson, 1969; Massin, 1982; Baird & Thistle, 1986). Mientras que todas las especies consumieron macroalgas, microalgas y gasterópodos, I. badionotus y S. hermanni consumieron sedimento fino, pero Isostichopus sp. consumió sedimento granuloso. Watson y Norton (1985), Jensen (1983), Arrontes (1990), y Goff y Klee (2006), mencionan que las preferencias alimenticias pueden ser una función de las características nutricionales, morfológicas y de la disponibilidad del alimento. Hamel, Hilmmelman, y Dufresne (1993) reportaron que Psolus fabricii, presenta un intestino largo en relación con su tamaño corporal, debido a una adaptación a su dieta compuesta por diatomeas. En este sentido, es posible que se observe una mayor longitud del TD y una disminución de las capas de epitelio de S. hermanni debido a que esta requiere de un mayor tiempo de digestión, al consumir detritus y materia orgánica (Ferguson, 1969).
Histológicamente, a lo largo del TD la disposición de cada tejido fue similar entre las especies, pues desde la faringe hasta la cloaca se observó un epitelio pseudoestratificado, que recubre el lumen intestinal, con microvellosidades para aumentar su superficie celular de absorción, una capa de tejido conjuntivo con abundantes fibras colágenas y celomocitos, una capa de músculo con dos orientaciones, una longitudinal y otra circular, y finalmente, un plexo neural con funciones especializadas de osmorregulación y regenerativas (GarcíaArrarás & Greenberg, 2001). Todas estas capas presentan la misma organización tisular a lo largo del TD. Los estudios estadísticos mostraron diferencias significativas en el espesor del intestino posterior entre especies (p<0.05), lo cual probablemente sea debido a variados hábitos alimenticios entre las especies, como ya se mencionó.
Isostichopus badionotus, Isostichopus sp. y S. hermanni presentaron una boca ubicada en posición ventral y rodeada por 20 tentáculos peltados, a partir de los cuales se alimentan. Estos son característicos del orden Aspidochirodita y su presencia está ligada al grado de adaptación y mecanismo de alimentación que poseen estos organismos; existen variados tipos de tentáculos en los holotúridos, y la morfología de las especies estudiadas indican su tipo de alimentación mediante "barrido" (Roberts, 1979; Hammond, 1982; Roberts & Bryce, 1982; Roberts & Moore, 1997; Massin, Zulfigar, Tan Shau Hwai, & Rizal Boss, 2002; Hudson, Wigham, & Tyler, 2004). La anatomía, morfología tisular y el comportamiento de los tentáculos en el momento de la ingestión del alimento han sido estudiados por Costelloe y Keegan (1984), en Aslia lefevrei, quienes mencionan que el tejido está compuesto por células secretorias y células epiteliales. En este estudio, se encontró una organización similar observándose mediante MOAR y ultraestructura, que las células secretorias poseen abundantes gránulos probablemente relacionados con actividad quimiosensitiva, función que debe determinarse en estudios futuros.
La faringe y esófago son estructuras simples encargadas de recolectar el material suspendido para llevarlo hasta el estómago e intestino. Según Ferguson (1969), poseen células mucosas secretoras de mucopolisacáridos. Feral y Massin (1982), mencionan que es confusa la presencia de sinapsis y cilios en el epitelio digestivo en esta zona y en el estómago, pues mientras en unas especies se ha demostrado (H. tubulosa), en otras no es evidente (Stichopus japonicus, Leptosynapta galliennel). Kamenev et al. (2013), describen para Cladolabes schmeltzii que las células epiteliales están conectadas mediante desmosomas, septas y estructuras a manera de "remache" (rivet-like structures). En este estudio se identificaron hemidesmosomas, estructuras similares a las encontradas para equinodermos por Green, Bergquist, y Bullivant (1979), Frolova y Dolmatov (2010), y Kamenev et al. (2013).
El estómago en holotúridos cumple la función de absorción de nutrientes. Una de las características interesantes encontradas fue la presencia de estómago en las tres especies, lo cual contrasta con la ausencia del mismo reportada en Holothuria glaberrima, Cladolabes schmeltzii, y Neostichopus grammatus donde no se evidencia la figura macroscópica de un estómago, sin embargo, a nivel histológico se observa su organización tisular (Foster & Hodgson, 1996; García-Arraras, 1998; Kamenev et al., 2013).
Según Ferguson (1969), la principal función del intestino radica en el transporte y la compactación de las heces. La función del intestino anterior se relaciona con la ingestión y absorción de los nutrientes a través de las células que forman las vellosidades y la secreción de moco de las células caliciformes para lubricar el alimento que se ingiere. En tanto que el intestino medio, actúa en la secreción mucosa al lumen, absorción de nutrientes a través de las microvillosidades, digestión intracelular de partículas, síntesis enzimática, almacenamiento y transporte de nutrientes, en tanto que el intestino posterior realiza la expulsión de las heces (Jangoux & Lawrence, 1982). En este estudio se encontraron diferencias significativas (p<0.05), en el espesor del tejido de la submucosa intestinal lo cual probablemente esté asociado con los hábitos alimenticios de las especies investigadas. Foster & Hodgson (1996), no encontraron diferencias significativas entre el espesor del intestino anterior de Roweia stephensoni y R. frauenfeldi frauenfeldi, pero sí en el epitelio del intestino posterior en R. stephensoni. Los autores suponen que estas diferencias se pueden atribuir al origen filogenético de las especies o a variadas adaptaciones funcionales de los organismos debidas a los hábitos alimenticios; así, si las especies ingieren bacterias, estas serán más fácilmente digeridas, que cuando ingieren algas unicelulares, diatomeas, materia orgánica (entre otros), que constituyen dietas que requieren un mayor tránsito digestivo por su alto contenido en celulosa o silicatos.
Se identificaron numerosas "células café" situadas esencialmente en el intestino, las cuales se han descrito en otros holotúridos (Smiley, 1994), y tienen funciones de defensa, pues se forman alrededor de células dañadas o partículas extrañas y son un mecanismo de protección contra la invasión microbiana (Hetzel, 1965; Fontaine & Lambert, 1977). En Cladolabes schmeltzii se evidenciaron abundantes células café en el epitelio luminal y el tejido conjuntivo de las tres regiones del tracto digestivo. Los autores mencionan que es probable que los amebocitos participen en su formación (Canicattì, D'ancona, & Farina-Lipari, 1989). Se considera que no son células como tal, sino cúmulos de material, que al teñirse con H-E se colorean de color café y que probablemente realicen funciones de defensa.
Además de estas células, se observaron inclusiones calcáreas o "cuerpos de psamoma". Hernández-Sámano (2010), en un estudio realizado en México para la identificación y caracterización de proteasas en Isostichopus fuscus y Holothuria impatiens se menciona que estas estructuras actúan como agentes patógenos o "inclusiones". La constitución de las mismas sugiere que se trata de espículas, estructuras presentes en todos los órganos que conforman este grupo de animales. Se deben desarrollar estudios más profundos para identificar la naturaleza y función de las mismas, que probablemente este relacionado con la ingestión de materia de naturaleza calcárea o de arena.
El plexo neural se ha descrito en otras especies de holotúridos: Hyman (1955), lo describió únicamente en la faringe del género Cucumaria y en el estómago de Leptosynapta, en el intestino de Leptosynapta y Claudina, y en la cloaca de Stichopus. García-Arrarás y Greenberg (2001), lo reportan en el intestino de Holothuria glaberrima y H. mexicana. En este estudio el tejido se encontró a lo largo de la pared interna del TD en las tres especies analizadas. Se cree que interviene en las contracciones del tubo digestivo o en su regeneración. Algunos autores han descrito que el epitelio tiene funciones en el transporte y almacenamiento de nutrientes, la excreción de productos, el intercambio gaseoso y sobre la respuesta inmune (Warnau, Temara, Ameye, & Jangoux, 1998; Kamenev et al., 2013). Según García-Arrarás y Greenberg (2001), otros autores han manifiestado que el número y tamaño de este tejido, va disminuyendo en dirección antero-posterior con respecto al animal, como se confirmó en este estudio, y que la información sobre su origen y función aún no está dilucidada, por lo que se deben realizar mayores estudios sobre la naturaleza neuroquímica del mismo.
El TD además de realizar las funciones de digestión y absorción de nutrientes, acumula lípidos y proteínas, y posee funciones de osmorregulación y de respuesta inmune, las cuales se llevan a cabo por medio de los celomocitos presentes en la cavidad abdominal y el sistema vascular de los pepinos estudiados, permitiendo así el intercambio de gases y la defensa del organismo (Eliseikina & Magarlamov, 2002; Xing, Yang, & Chen, 2008).
Como conclusión, los TD de I. badionotus, Isostichopus sp. y S. hermanni son largos y tienen forma de "U", encontrándose distribuidos en la cavidad celómica, en una proporción de dos veces la longitud del TD vs la longitud del cuerpo. Presentan un epitelio columnar pseudoestratificado con microvellosidades largas que semejan cilias, una amplia capa de tejido conjuntivo con fibras colágenas y celomocitos, y un epitelio exterior o celómico glandular. Posee cuatro tipos de células: celomocitos, enterocitos, con diversos tipos de granulación, células o acúmulos café, y células mucosas, e inclusiones de formación calcárea a manera de "cuerpos de los psamoma". Las diferencias estadísticas significativas registradas en el análisis de la submucosa intestinal entre las especies se pueden atribuir a diferencias en los patrones de alimentación.
Agradecimientos
A Colciencias y a la Vicerrectoría de Investigación de la Universidad del Magdalena (Colombia) por la financiación del proyecto: Aspectos preliminares de la tecnología del cultivo del pepino de mar (Holothuria (Cystipus) occidentalis), en la región de Santa Marta", código 1117-521-28356. A María Leonor Caldas, Jorge Rivera y Ladys Sarmiento del Instituto Nacional de Salud (Bogotá, Colombia), por el apoyo técnico en las muestras de MOAR y Ultraestructura. A los pescadores locales de las playas del Rodadero (Santa Marta, Colombia), en especial a Jorge Polo. Al Grupo de Investigación y Desarrollo Tecnológico en Acuicultura.
Referencias
Arrontes, J. (1990). Diet, food preference and digestive efficiency in intertidal isopoda inhabiting macroalgae. Journal of Experimental Marine Biology and Ecology, 139, 231-249.
Aydin, M., Hüseyin, S., Bekir, T., Yilmaz, E., & Sevim, K. (2011). Proximate composition and fatty acid profile of three different fresh and dried commercial sea cucumbers from Turkey. International Journal of Food Science and Technology46, 500-508.
Baird, B. H., & Thistle, D. (1986). Uptake of bacterial extracelular polymer by a deposit-feeding holothurians (Isostichopus badionotus). Marine Biology, 92, 183-187.
Bakus, J. G. (1973). The biology and ecology of tropical holothurians. In: O.A. Jones and R. Edeans (Ed.), Biology and Geology of Coral Reefs (Vol. II, pp 326-367). New York: Academic Press.
Bordbar, S., Anwar, F., & Saari, N. (2011). High-value components and bioactives from sea cucumbers for functional foods - A review. Marine Drugs9(10), 1761-1805.
Calva, L. B. (2002). Hábitos alimenticios de algunos equinodermos. Parte 2. Erizos de Mar y Pepinos de Mar. ContactoS, 47, 54-63.
Canicattì, C., D'ancona, G., & Farina-Lipari, E. (1989). The coelomocytes of Holothuria polii (Echinodermata). I. Light and electron microscopy. Italian Journal of Zoology, 56, 29-36.
Conand, C., & Byrne, M. (1993). A review of recent developments in the world sea cucumber fisheries. Marine Fisheries Review, 55, 1-13.
Costelloe, J., & Keegan, B. F. (1984). Feeding and related morphological structures in the dendrochirote Aslia Iefevrei (Holothuroidea: Echinodermata)., Marine Biology 84, 135-142.
Chen, J. (2004). Present status and prospects of sea cucumber industry in China. bêche de mer. SPC Beche-demer Information Bulletin, 19, 2.
Eliseikina, M. G., & Magarlamov, T. Y. (2002). Coelomocyte morphology in the holothurians A. japonicus (Aspidochirotida: Stichopodidae) and Cucumaria japonica (Dendrochirotida: Cucumariidae). Russian Journal of Marine Biology 28, 197-202.
Ferguson, J. C. (1969). Feeding, digestion and nutrition in Echinodermata. In M. Flokin, & B. T. Scheers (Ed.), Chemical Zoology (pp. 71 - 96).. New York: Academic Press
Feral, J. P., & Massin, C. (1982). Digestive systems: Holothuroidea. In M. Jangoux & J.M. Lawrence (Ed.), Echinoderm Nutrition (pp. 191-212). Rotterdam: Balkema.
Fontaine, A. R., & Lambert, P. (1977). The fine structure of the leucocytes of the holothurian, Cucumaria miniata. Canadian Journal of Zoology, 55(9), 1530-1544.
Foster, G. G., & Hodgson, A. N. (1996). Feeding, tentacle and gut morphology in five species of southern African intertidal holothuroids (Echinodermata). South African Journal of Zoology, 31, 70-79.
Frolova, L. T., & Dolmatov, I. Y. (2010). Microscopic anatomy of the digestive system in normal and regenerating specimens of the brittlestar Amphipholis kochii. The Biological Bulletin, 218, 303-316.
García-Arrarás, J. E. & Greenberg, M. J. (2001). Visceral Regeneration in Holothurians. Microscopy Research and Techineque, 55, 438-451.
García-Arrarás, J.E., Estrada-Rodgers, L., Santiago, R., Torres, I.I., Díaz-Miranda, L. & Torres-Avillán, I. (1998). Cellular mechanisms of intestine regeneration in the sea cucumber, Holothuria glaberrima Selenka (Holothuroidea: Echinodermata). Journal of Experimental Zoology281(4), 288-304.
Goff, S.A. & Klee, H. J. (2006). Plant volatile compounds: sensory cues for health and nutritional value? Science, 311, 815-819.
Green, C.R., Bergquist, P.R., & Bullivant, S. (1979). An anastomosing septate junction in endothelial cells of the phylum Echinodermata. Journal of Ultrastructure Research, 68, 72-80.
Guzman, H.M., & Guevara, C.A. (2002). Population structure, distribution and abundance of three commercial species of sea cucumber (Echinodermata) in Panama. Caribbean Journal of Science 38 (3-4), 230-238.
Hamel, J.F., Hilmmelman, J.H., & Dufresne, L. (1993). Gametogenesis and spawning of the sea cucumber Psolus fabricii (Duben and Koren)., The Biological Bulletin 184, 125-143.
Hammond, L.S. (1982). Analysis of grain size selection by depositfeeding holothurians and echinoids (Echinodermata) from a shallow reef lagoon. Discovery Bay, Jamaica. Marine Ecolology Progress Series, 8, 25-36.
Hernández-Sámano, A. C. (2010). Identificación y caracterización de proteasas del pepino de mar (Tesis de Maestría). Universidad Autónoma Metropolitana, Unidad Iztapalapa, México.
Herreid, C.F., Larussa, V.F., & Defesi, C.R. (1976). Blood vascular system of the sea cucumber Stichopus moebii. Journal Morphology, 150, 423-451.
Hetzel, H.R. (1965). Studies on holothurian coelomocytes. II. The origin of coelomocytes and the formation of brown bodies., The Biological Bulletin 12, 102-112.
Hudson, I.R., Wigham, B.D., & Tyler, P.A. (2004). The feeding behaviour of a deep-sea holothurian, Stichopus tremulus (Gunnerus) based on in situ observations and experiments using a Remotely Operated Vehicle. Journal of Experimental Marine Biologyand Ecology301, 75-91.
Humason, G.L. (1972). Animal tissue techniques. San Francisco: W.H. Freeman and Company.
Hyman, L.H. (1955). The Invertebrates: Echinodermata. the celomate bilateria. New York: McGraw-Hill Book Company.
Jangoux, M., & Lawrence, J.M. (Ed.). (1982). Echinoderm nutrition. Rotterdam: BalkemaCRC Press.
Jensen, K.R. (1983). Factors affecting feeding selectivity in herbivorous Ascoglossa (Mollusca: Opisthobranchia)., Journal of Experimental Marine Biologyand Ecology 66, 135-148.
Kamenev, Y.O., Dolmatov, I.Y., Frolova, L.T., & Nguyen, A. K. (2013). The morphology of the digestive tract and respiratory organs of the holothurian Cladolabes schmeltzii (Holothuroidea, Dendrochirotida). Cell Tissue Research. 45, 126-139.
Liao, Y. (1997). Fauna Sinica Phylum Echinodermata Class Holothuroidea. Beijing: SciencePress.
Mashanov, V.S., Frolova, L.T., & Dolmatov, I.Y. (2004). Structure of the digestive tube in the holothurian Eupentacta fraudatrix (Holothuroidea, Dendrochirota). Russian Journal of Marine Biology 30, 314-322.
Mashanov, V. S., & Dolmatov, I. Y. (2001). Ultrastructure of the alimentary canal in five-month-old pentactulae of the holothurian Eupentacta fraudatrix. Russian Journal of, Marine Biology 27, 320-328.
Massin, C., Zulfigar, Y., Tan Shau Hwai, A., & Rizal Boss, S.Z. (2002). The genus Stichopus (Echinodermata: Holothuroidea) from the Johore Marine Park (Malaysia) with the description of two new species. Bulletin de l'Institut Royal des Sciences Naturelles de Belgique Biologie, 72, 73-99.
Massin, C. (1982). Food and feeding mechanisms: Holothuroidea. In M. Jangoux & J.M. Lawrence. (Ed.), Echinoderm nutrition (pp. 43-55). Rotterdam: A. A. Balkema.
Morgan, A.D. (2000). Induction of spawning in the sea cucumber Holothuria scabra (Echinodermata: Holothuroidea). Journal of the World Aquaculture Society, 31(2): 186-194.
Pérez-Ruzafa, A., & Marcos, C. (1987). Observaciones sobre la actividad diaria y la ecología de algunas holoturias (Echinodermata: Holothuroidea) litorales. Anales de Biología, 12: 79-90.
Purcell, S.W, Samyn, Y., & Conand, C. (2012). Commercially important sea cucumbers of the world. Food and Agriculture Organization of the United Nations.
Richmond, R. H. (Ed.). (1996). Suggestions for the Management of Sea Cucumber Resources in Micronesia (Technical Report 101). Guam: University of Guam Marine Laboratory.
Richmond, R.H., & Martínez, P.C. (1993). Sea cucumber fisheries in the Galápagos Islands. Biological aspects, impacts and concerns (Technical Report, 18). World Conservation Union (IUCN).
Roberts. D. (1979). Deposit-feeding mechanisms and resource partitioning in tropical holothurians., Journal of Experimental Marine Biologyand Ecology 37, 43-56.
Roberts, D., & Bryce, C. (1982). Further observations on tentacular feeding mechanisms in holothurians., Journal of Experimental Marine Biologyand Ecology 59, 151-163.
Roberts, D., & Moore, H.M. (1997). Tentacular diversity in deep-sea deposit-feeding holothurians: implications for biodiversity in the deep sea. Biodiversity Conservation, 6(11), 1487-1505.
Roberts, D., Moore, H.M., Berges, J., Patching, J.W., Carton, M.W., & Eardly, D.F. (2001). Sediment distribution, hydrolytic enzyme profiles and bacterial activities in the guts of Oneirophanta mutabilis, Psychropotes longicauda and Pseudostichopus villosus: what do they tell us about digestive strategies of abyssal holothurians? Progress in Oceanography, 50(1): 443-458.
Smiley, S. (1994). Holothuroidea. In F.W. Harrison & F.S. Chiao (Ed.), Microscopic Anatomy of Invertebrates (pp. 401-471). New York: Wiley-Liss.
Toral-Granda, V. (2006). La situación biológica y comercial de cohombros de mar de las familias holothuriidae y stichopodidae (Documento de trabajo de la vigésima segunda reunión del Comité de Fauna). Lima, Perú.
Uthicke, S. (1999). Sediment bioturbation and impact of feeding activity of Holothuria (Halodeima) atra and Stichopus chloronotus, two sediment feeding holothurians, at Lizard Island, Great Barrier Reef. Bulletin of Marine Science 64: 129-141.
Uthicke, S. (2001). Nutrient regeneration by abundant coral reef holothurians., Journal of Experimental Marine Biologyand Ecology 265: 153-170.
Warnau, M., Temara, A., Ameye, L., & Jangoux, M. (1998). The excretory function of the posteriormost part of the echinoid and holothuroid gut (Echinodermata). Comparative Biochemistry and Physiology Part A: Molecular & Integrative Physiology, 120(4), 687-691.
Watson, D.C., & Norton, T.A. (1985). Dietary preferences of the common periwinkle, Littorina littorea (L.)., Journal of Experimental Marine Biologyand Ecology 88, 193-211.
Xing, K., Yang, H. Sh., & Chen, M.Y. (2008). Morphological and ultrastructural characterization of the coelomocytes in Apostichopus japonicas. Aquatic Biology, 2, 85-92.