Articulo
Histoquímica de la glándula digestiva en la ostra perla Pinctada imbricata (Pterioida: Pteriidae) durante su ciclo gametogénico, Venezuela
Histochemistry of the digestive gland of the pearl oyster Pinctada imbricata (Pterioida: Pteriidae) during the gametogenic cycle, Venezuela .
Histoquímica de la glándula digestiva en la ostra perla Pinctada imbricata (Pterioida: Pteriidae) durante su ciclo gametogénico, Venezuela
Revista de Biología Tropical, vol. 64, núm. 2, 2016
Universidad de Costa Rica
Recepción: 23 Marzo 2015
Aprobación: 05 Febrero 2016
Resumen: Las técnicas histoquímicas hoy en día permiten seleccionar áreas de tejido y generar información confiable sobre la distribución de reservas energéticas en los moluscos bivalvos durante su ciclo de vida. Mensualmente se examinaron las gónadas y la glándula digestiva (GD) de 15 individuos recolectados entre abril 2012 y febrero 2013 por técnicas histológicas e histoquímicas de microscopia de luz, para relacionar el ciclo gametogénico y la disponibilidad de reservas energéticas con los parámetros ambientales. En el ciclo gametogénico, la proporción mensual de organismos maduros fue mayor en los machos entre agosto (40 %) y noviembre (53 %), mientras que las hembras tienden a presentar un ciclo más corto y sincronizado de liberación de gametos (septiembre 67 % y octubre 60 %). Los períodos intensos de desoves coinciden en ambos sexos (octubre-enero). Entre abril-agosto 2012 y enero-febrero 2013, se observan los valores más altos del IGl (índice de glúcido), mientras que en septiembre disminuyen y alcanzaron valores mínimos entre octubre y diciembre. El IL (índice de lípidos) presentó valores máximos en abril-2012 y febrero-2013, con un valor intermedio en agosto. Los resultados indican que las reservas de la GD presentan un patrón de movilización en relación inversa con la proliferación de los gametos de ambos sexos, vinculado directamente con la disponibilidad de nutrientes como la clorofila a y el seston orgánico.
Palabras clave: ácido periódico Shiff, Sudan Negro B, glándula digestiva, Pinctada imbricata, microscopía de luz convencional.
Abstract: Histochemical techniques today allow you to select areas of tissue and generate reliable information on the distribution of energy reserves in bivalve molluscs during their life cycle. The main objective of this study was to describe and relate the gametogenic cycle with the availability of energy reserves and the environmental parameters. For this, we sampled and examined the gonads and digestive glands (DG) of 15 individuals collected monthly during April 2012 and February 2013. We processed and analyzed the samples by standard histological and histochemical light microscopy techniques. Our results showed that for the gametogenic cycle, the monthly proportion of mature organisms was higher for males, between August (40 %) and November (53 %), while the females tend to have a shorter synchronized cycle and release of gametes in September (67 %) and October (60 %). The intense spawning periods in both sexes was the same (October to January). Between the periods April-August 2012 and January-February 2013, we observed the highest values of IGl and glucide index (instead, a decrease was observed in September, reaching minimum values during the period October-December). Besides, the maximum values of IL, lipid index, were observed in April-2012 and February-2013, with an intermediate value in August-2013. The results indicated that the reserves of the GD have a pattern of mobilization inversely related to the proliferation of gametes in both sexes; this was directly linked to the availability of nutrients such as chlorophyll a and the organic seston. Rev. Biol. Trop. 64 (2): 849-858. Epub 2016 June 01.
Keywords: periodic acid shiff, Sudan black B, digestive gland, Pinctada imbricate, conventional light microscopy.
La ostra perla Pinctada imbricata se encuentra entre las especies de ostras perleras de más amplia extensión en la franja tropical y subtropical (Urban, 2000) y es comercialmente importante en el Atlántico y en el mar Caribe (O’ Connor & Lawler, 2004). En Venezuela, habita en la costa nororiental (Mackenzie, Troccoli, & León, 2003), donde se explotan artesanalmente los bancos naturales, y actualmente, en el golfo de Cariaco (estado Sucre), existe una gran expectativa para su cultivo. Sin embargo, para el desarrollo de esta actividad, se requiere comprender su biología reproductiva y el gasto energético que ésta requiere para dicha actividad, en relación con el ambiente de cultivo.
El proceso gametogénico requiere de un suministro continuo de energía, de modo, que el ciclo reproductivo está acoplado al ciclo de nutrientes para maximizar el éxito y su actividad reproductiva (Cannuel & Beninger, 2005). La energía destinada para el crecimiento y reproducción es obtenida directamente del alimento disponible, reservas metabólicas o una combinación de ambas (Bayne & Newell, 1983). En pectínidos, el músculo aductor se encarga de acumular reservas en forma de carbohidratos que son transferidos a la gónada para la reproducción, mientras que en mitílidos, ostreidos y venéridos, la glándula digestiva, músculo, manto y estructuras celulares como el tejido conectivo vesicular y las células adipogranulares, se encargan de proveer los nutrientes para el desarrollo gonadal (Vite & Saucedo, 2008).
Mediante técnicas histoquímicas, es posible identificar y cuantificar la movilización de las reservas energéticas durante la gametogénesis en los moluscos bivalvos (Gómez, 2008). Para la identificación de los carbohidratos se utiliza la reacción del ácido periódico y el reactivo de Schiff (Humason, 1979) y los lípidos pueden ser detectados utilizando el Sudan Negro B (Rodríguez-Jaramillo, 2004). A partir de estas técnicas, se han desarrollado índices de calidad histológica como un estimador del contenido energético, y se ha podido conocer la utilización de dicha energía en bivalvos, para satisfacer las demandas metabólicas de la gametogénesis (Gómez & Saucedo, 2009).
En el presente trabajo, se describe por primera vez, un estudio histoquímico y de análisis digital de imágenes en la ostra perla Pinctada imbricata en condiciones de cultivo, con el objetivo de determinar si existe o no transferencia energética de un tejido somático (glándula digestiva) a la gónada (tejido germinal), durante el desarrollo de su ciclo reproductivo en relación con los factores ambientales, lo cual permitirá generar información para establecer lineamientos que conlleven a mantener y acondicionar los adultos para la producción de gametos con fines de acuicultura.
Materiales y métodos
Recolección de muestras y procesamiento de ejemplares: Se obtuvo de forma mensual, entre abril-2012 y febrero-2013, 15 organismos de Pinctada imbricata, cultivados en sistema de suspensión de una línea de cultivo o long line (en cilindros de malla de plástico biodegradable), ubicada en la ensenada de Turpialito, golfo de Cariaco (10º26’56” N - 64º02’00” W). A cada organismo se le extrajo la masa visceral, que contiene el tejido gonadal y la glándula digestiva, y fue fijada en solución de Davidson por un periodo de 48 h (Shaw & Battle, 1957).
Factores ambientales: La temperatura fue registrada a intervalos de 60 min en el sitio de cultivo, utilizando un termógrafo (Sealog- Vemco, ± 0.01 ºC). Con una frecuencia semanal, se recolectó en el sitio de cultivo agua de mar, con una botella Niskin de 5 L (el agua de mar recolectada se trasvasó a frascos ambar de 2 L, para ser analizadas posteriormente en el laboratorio), para determinar el seston orgánico e inorgánico, y la biomasa fioplanctónica estimada por la concentración de clorofila a, de acuerdo a los protocolos establecidos en Strickland & Parsons (1972). Adicionalmente, se determinó el índice de Surgencia (IS), basándose en la estadística de vientos de la estación meteorológica del aeropuerto de Porlamar, Nueva Esparta, según Bowden (1983): UI = (tsx/rw f)*100; donde, f = parámetro de Coriolis, tsx= la tensión del viento de superficie, rw =la densidad media del agua (1 025 kg.m³).
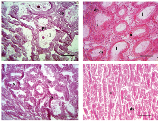
Técnicas histológicas e histoquímicas: Para microscopía de luz visible, los tejidos, una vez fijados, se lavaron con agua corriente, se deshidrataron y se incluyeron en xilol y parafina para obtener cortes de 5 μm de grosor (Howard & Smith, 1983). Los tejidos gonadales se tiñeron con hematoxilina de HarrisEosina Y alcohólica (H-E) (Humason, 1979), y se identificaron las fases de desarrollo gametogénico en ambos sexos, para lo que se siguió la clasificación para ostras perleras establecida por Tranter (1959) y Southgate & Lucas (2008) con los estadios: Indiferenciado (I), Desarrollo activo (II), Madurez (III), Desove (IV) y postdesove (V). Para histoquímica, se tiñeron los tejidos obtenidos de la glándula digestiva, y se identificó en los túbulos digestivos con el reactivo de Schiff-ácido Periódico, la presencia de algunos glicanos como glucógeno y glicoconjugados, y con Sudan negro B la presencia de lípidos como grasas neutras, fosfolípidos y esteroles (Gómez, 2008).
Análisis digital de imágenes: Se llevó a cabo mediante la cuantificación del área de las sustancias que reaccionaron positivamente para carbohidratos o lípidos, se midió en las imágenes capturadas con el objetivo 40 X de 20 adenómeros de la glándula digestiva por individuo usando el programa Image Pro Plus 5.1 (Media Cybernetics, Inc.).
Índices de glúcidos y lípidos: Los índices de glúcidos (IGl) y lípidos (IL) se obtuvieron por la relación porcentual de la sumatoria del área ocupada por las estructuras que reaccionaron positivamente para carbohidratos o lípidos en relación al área del adenómero, según lo descrito por Rodríguez-Jaramillo (2004): IGl y IL = (Área de cobertura estructuras positivas / Área del adenómero)*100.
Se realizó un ANOVA de una vía para detectar diferencias en el IGl e IL durante el período de estudio y de acuerdo al estadio de maduración, seguido por la prueba a posteriori de Bonferroni (Zar, 2010) con el programa Statistica vers 8.0 (Stat Sof, Inc.). Para establecer relaciones con las variables del análisis histoquímico en los adenómeros (índice de glúcidos, índice de lípidos, el área y diámetro del adenómero y de su lumen) con los factores ambientales de la zona se realizó un análisis descriptivo de componentes principales con el paquete estadístico Statgraphic plus 5.1, Inc.
Resultados
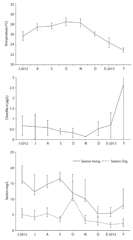
Factores ambientales: Las variaciones mensuales de la temperatura, clorofila a, seston (orgánico e inorgánico) se muestran en la figura 1. La temperatura, durante el lapso de junio-noviembre 2012, mostró un aumento progresivo, con máximos valores entre octubre y noviembre (28.47 ± 0.78 °C y 28.25 ± 0.42 °C, respectivamente) para luego disminuir gradualmente en los últimos meses de cultivo (diciembre: 26.07 ± 0.42, enero: 24.36 ± 0.95 ºC y febrero: 22.86 ± 0.44 ºC). La clorofila a presentó un comportamiento inverso a la temperatura. Los valores más bajos de clorofila a se registraron en los meses de octubre y noviembre (0.32 ± 0.23 µg/L y 0.14 ± 0.01 µg/L), mientras que el máximo pico se obtuvo en febrero (2.64 ± 2.57 µg/L). El seston presentó su valor más alto en el mes de octubre (22.48 ±5.20 mg/L).

Ciclo gametogénico: Los machos, presentaron mayormente individuos en estadio de desarrollo activo inicial y avanzado, con predominio del desarrollo activo en abril (80 %) y julio (57 %). Entre agosto (40 %) y noviembre (53 %) hubo mayor proporción de machos maduros, con desoves continuos durante casi todos los meses, principalmente en septiembre (33 %), octubre (30 %), noviembre (38 %) y diciembre (20 %). En las hembras, siempre estuvo presente el estadio de desarrollo activo. Los períodos de máxima madurez se observaron en septiembre (67 %), octubre (60 %), noviembre (57 %) y diciembre (45 %), con desoves entre octubre y noviembre (20 y 29 %), y otro a partir de diciembre (30 %). Entre machos y hembras coincidieron los períodos de máximos desoves (octubre-diciembre).
Análisis histoquímico de los adenómeros: El IGl (Fig. 2) entre los meses estudiados presentó diferencias significativas (ANOVA, P < 0.05), formando tres grupos (Cuadro 1). Entre abril-agosto 2012 y enero-febrero 2013, se observaron los valores más altos del IGl, en cambio a partir de septiembre se produjo una caída, alcanzando valores mínimos durante octubre-diciembre. El IGl entre las fases de maduración (Cuadro 2) presentó diferencias significativas (ANOVA, P < 0.05), en donde el desarrollo activo y desove, conformaron el grupo con los valores más altos, mientras que en el resto de los estadios se registraron los menores valores. El IL (Fig. 3) presentó diferencias significativas (ANOVA, P < 0.05) entre los meses (Cuadro 1), con valores máximos en abril-2012 y febrero-2013, con un valor intermedio en agosto. Entre las fases de madurez sexual (Cuadro 2) se detectaron diferencias significativas (ANOVA, P < 0.05); el desarrollo activo (I) presentó el valor máximo, seguido de los maduros, con los valores más bajos en las fases de desove y postdesove.




El Análisis de Componentes Principales (Fig. 4) para relacionar el estudio histoquímico de los túbulos digestivos (índice de glúcidos, índice de lípidos, el área y diámetro del adenómero y de su lumen) con los factores ambientales de la zona de cultivo, junto con el índice de surgencia, alcanzó un porcentaje de varianza total explicada en los cuatro primeros componentes (ejes) de un 88 %. Adicionalmente, muestra que para el componente uno, existe una asociación positiva entre el índice de lípidos, clorofila a, área y diámetro de los túbulos digestivos, índice de surgencia y el área y diámetro de lumen de los adenómeros, y a su vez, estas variables están asociadas negativamente con el seston inorgánico, la temperatura, el índice de glúcido y el seston orgánico. Cabe destacar, que existe una fuerte asociación entre el seston orgánico y el índice de glúcido, y entre el índice de glúcido y la clorofila a. Además, se observa, que para el componente 2, el diámetro y área del lumen del adenómero posee una asociación negativa con el diámetro y el área del adenómero.

Discusión
El modelo de acumulación de reservas energéticas en la glándula digestiva de la ostra perla Pinctada imbricata, correspondió con las respuestas fisiológicas que generalmente presentan los moluscos bivalvos durante su ciclo gametogénico. En general, los resultados de este estudio, revelan que tanto los lípidos como los carbohidratos de la glándula digestiva son transferidos a la gónada para la formación de ovocitos y espermatozoides, observándose claramente que las concentraciones de estas reservas varían de acuerdo a dos factores: el estadío gametogénico y la época de cultivo (influenciado por los parámetros ambientales).
El contenido de carbohidratos y lípidos de los adenómeros de la glándula digestiva reflejó una disminución en los meses de madurez y desove de la especie (octubre-diciembre). Se observa que en ellos, los lípidos constituyen las reservas con mayor concentración que los glúcidos. Es importante resaltar que el patrón de variación en el tiempo de cultivo de los carbohidratos y lípidos, consiste en que poseen mayor contenido en los primeros (abril-julio) y últimos meses (enero-febrero). Por otro lado, es de notar que durante este período la actividad gametogénica de la especie es continua, con un ciclo reproductivo prolongado durante todo el año, coincidiendo con lo observado por Ruffini (1984) y Marcano (1984).
Durante el ciclo reproductivo de esta especie, se observó poco desarrollo gonádico en el estadio de reposo, lo que sugiere que la producción de gametos es constante, el cual es un comportamiento típico de bivalvos tropicales y subtropicales que se reproducen durante todo el año, con desoves continuos (Pouvreau, Gangnery, Tiapari, Lagarde, Garnier, & Bodoy, 2000; Kimani, Mavuti, & Mukiama, 2006). Este comportamiento coincide con otros trabajos realizados en P. imbricata en Venezuela y en otras latitudes que demuestran que esta especie presenta una reproducción continua. En otras regiones (Australia, Sri Lanka, India, Golfo Pérsico, Colombia) e incluso en Venezuela en la isla de Cubagua (Marcano, 1984), se ha reportado un ciclo reproductivo bimodal con dos picos reproductivos durante el año (Tranter, 1959; Urban, 2000). En el caribe, Urban (2000) y Marcano (1984), observaron dos picos reproductivos durante el año.
En relación a esto, P. imbricata en el desarrollo activo y postdesove posee un mayor porcentaje de reserva tanto para lípidos y como carbohidratos (en este estadio las reservas se van a comenzar a utilizar), y uno menor en madurez y desove parcial, cuando las reservas han sido agotadas para el desarrollo de los gametos en ambos sexos. La glándula digestiva es un órgano que tiene la función de digestión extracelular y almacenar los excedentes de energía (glucógeno y lípidos) del alimento (Saucedo, Racotta, Villarreal, & Monteforte, 2002) los cuales son transferidos en el organismo. Es importante destacar, que la especie, para generar constantemente gametos, necesita de un aporte continuo de reservas provenientes de tejidos somáticos, y dentro de ellos, la glándula digestiva. Morton (1983), señala que a medida que se encuentran en una digestión activa con contenido energético, el área de lumen del túbulo se reduce, y cuando las reservas disminuyen y la actividad digestiva disminuye, el área del lumen aumenta. Esta característica descrita coincide con los resultados observados en el estudio. En el ACP, se observa que el área y diámetro del lumen del túbulo digestivo y el área y diámetro del adenómero de Pinctada imbricata poseen una asociación negativa, estableciéndose entonces una actividad de digestión entre el alimento presente en el medio y la reservas, para la posterior transferencia a los tejidos gonadales.
De acuerdo con los parámetros ambientales, se observa que la glándula digestiva posee dos fuentes de recursos energéticos principales: la biomasa fitoplanctónica (clorofila a) y el seston orgánico. La relación entre la alta disponibilidad del fitoplancton y la proporción de madurez y desove, ya ha sido observada tanto en bivalvos cultivados en el golfo de Cariaco (Pérez, 2012), como en otras regiones. En este estudio, el incremento de los glúcidos coinciden con el aumento del seston orgánico y los lípidos con la clorofila a, relacionado además con el índice de surgencia. Es importante destacar, que en la zona de cultivo el material alimentario puede estar relacionado por una fuente de origen fitoplanctónico como detrítico, que se encuentran disponibles para los organismos filtradores; esto, asociado con la acumulación de nutrientes provenientes de la surgencia costera, provoca una disminución de la temperatura, incremento de la concentración de nutrientes y por consiguiente, origina una elevada producción primaria (Acosta, Lodeiros, Prieto, Glem, & Natera, 2009). Además, la clorofila a es un importante modulador del crecimiento y reproducción de los bivalvos (Arrieche, Licet, García, Lodeiros, & Prieto, 2002).
Nuestros resultados muestran que las técnicas histoquímicas e histológicas generaron datos confiables e importantes a nivel microscópico sobre el proceso reproductivo de P. imbricata, el cual fue continuo y estuvo influenciado particularmente por la disponibilidad de alimento, el cual es acumulado en la glándula digestiva y luego es transferido, principalmente como lípidos, para el desarrollo gametogénico. El IGl y el IL fueron indicativos de la actividad de la glándula digestiva como tejido funcional para la producción gametogénica de la especie; ambos presentaron un alto valor cuando hubo disponibilidad de alimento, y de forma alterna durante el desarrollo activo; a su vez mostraron valores bajos durante los períodos de maduración y desove.
Agradecimientos
La investigación fue financiada a través del proyecto FONACIT-UDO 2011000344. Los autores agradecen a Milagros Moreno (Técnica en Microscopía Electrónica) y a Karina Guzmán (Licenciada en Biología) por su ayuda en el procesamiento de las muestras.
Referencias
Acosta, V ., Lodeiros, C., Prieto, A., Glem, M., & Natera, Y. (2009). Efecto de la profundidad sobre el crecimiento de los mejillones Perna perna y Perna viridis (Bivalvia: Mytilidae) en cultivo suspendido, en el golfo de Cariaco, Venezuela. Zootecnia Tropical, 27, 315-328.
Arrieche, D., Licet, B., García, N., Lodeiros, C., & Prieto, A. (2002). Índice de condición, gonádico y de rendimiento del mejillón marrón Perna perna (Bivalvia: Mytilidae), del Morro de Guarapo, Venezuela. Interciencia, 11, 613-619.
Bayne, B., & Newell, R. (1983). Physiological energetics of marine mollusks. In A. S Saleuddin, & K. M. Wilbur (Eds.), The mollusca (pp. 407-515). New York: Academic Press.
Bowden, K. 1983. Physical oceanography of coastal waters. England: Ellis Horwood Limited.
Cannuel, R., & Beninger, P. (2005). Is oyster broodstock feeding always necessary? A study using oocyte quality predictors and validators in Crassostrea gigas. Aquatic Living Resources, 18, 35-43.
Gómez, M. E. (2008). Evaluación de indicadores cualitativos y cuantitativos de calidad de gónada y tejidos somáticos de la madreperla Pinctada mazatlanica (Hanley, 1856) relacionados con la reproducción (Tesis de postgrado). Centro de Investigaciones Biológicas del Noroeste, La Paz, México.
Gómez, E., & Saucedo, P. (2009). Evaluation of quality indices of the gonad and somatic tissues involved in reproduction of the pearl oyster Pinctada mazatlanica with histochemistry and digital image analysis. Journal of Shellfish Research, 28, 329-335.
Howard, D. W., & Smith, C. S. (1983). Histological techniques for marine bivalve mollusks. USA: NOAA, Tech. Mem.
Humason, G. L. (1979). Animal tissue techiques. USA: W.H. Freeman and Company.
Kimani, E., Mavuti, K., & Mukiama, T. (2006). The reproductive activity of the pearl oyster Pinctada imbricata Röding 1798 (Pteriidae) in Gazi Bay, Kenya. Tropical Zoology, 19, 159-174.
Mackenzie, C., Troccoli, L., & León, L. (2003). History of the Atlantic pearl-oyster, Pinctada imbricata, industry in Venezuela and Colombia, with biological and ecological observations. Marine Fisheries Review, 65, 1-20.
Marcano, V. (1984). Aspectos biológicos de la reproducción de la ostra perla, Pinctada imbricata, (Röding, 1798), (Mollusca-Bivalvia) de punta Las Cabeceras, isla de Cubagua. Estado Nueva Esparta, Venezuela (Tesis de grado). Universidad de Oriente, Cumaná.
Morton, B. S. (1983). The biology and functional morphology of the twisted ark Trisidos semitorta (Bivalvia: Arcacea) with a discussion on shell “torsion” in the genus. Malacologia, 23, 375-396.
O’Connor, W. A., & Lawler, N. (2004). Reproductive condition of the pearl oyster, Pinctada imbricata, Roding, in Port Stephens, New South Wales, Australia. Aquaculture, 35, 385-396.
Pérez, E. (2012). Crecimiento y supervivencia de cohortes de ostra perla Pinctada imbricata (RÖding, 1798) en cultivo suspendido en el golfo de Cariaco, Venezuela (Tesis de postgrado). Universidad de Oriente, Cumaná.
Pouvreau, S., Gangnery, A., Tiapari, J., Lagarde, F., Garnier, M., & Bodoy, A. (2000). Gametogenic cycle and reproductive effort of the tropical blacklip pearl oyster, Pinctada margaritifera (Bivalvia: Pteriidae), cultivated in Takapoto Atoll (French Polynesia). Aquatic Living Resources , 13, 37-48.
Rodríguez-Jaramillo, C. (2004). Efecto de la temperatura sobre la gametogénesis en Atrina maura (Sowerby, 1835) (Bivalvia: Pinnidae) (Tesis de postgrado). Instituto Politécnico Nacional, La Paz.
Ruffini, E. (1984). Desarrollo larval experimental de la ostra perla Pinctada imbricata (Röding, 1798) (Mollusca: Bivalvia) y algunas observaciones sobre su reproducción en el banco natural de Punta Las Cabeceras, Isla de Cubagua, Venezuela (Trabajo de Grado). Universidad de Oriente, Cumaná.
Saucedo, P. E., Racotta, I. S., Villarreal, H., & Monteforte, M. (2002). Seasonal changes in the histological and biochemical profile of the gonad, digestive gland, and muscle of the Calafia mother-of-pearl oyster, Pinctada mazatlanica (Hanley, 1856) associated with gametogenesis. Journal of Shellfish Research , 21, 127-135.
Shaw, B. L., & Battle, H. I. (1957). The gross and microscopic anatomy of the digestive tract of the oyster Crassotrea virginica (Gmelin). En D. Howard, & C. Smith (Eds.), Histological techniques of marine bivalve mollusks (pp. 114-123). USA: NOAA Tech. Memo.
Southgate, P. C., & Lucas, J. S. (2008). The Pearl Oyster. Amsterdam: Editorial Elsevier.
Strickland, J. D., & Parsons, T. R. (1972). A practical handbook of seawater analysis. Canada: Ottawa, Fisheries Research Board of Canada.
Tranter, D. (1959). Reproduction in Australian pearl oysters (Lamellibranchia), Pinctada fucata (Gould). Australian Journal Marine Freshwater Research, 10, 45-66.
Urban, H. J. (2000). Culture potential of the pearl oyster Pinctada imbricata from the Caribbean. I. Gametogenic activity, growth, mortality and production of a natural population. Aquaculture , 189, 361-373.
Vite, M. N., & Saucedo, P. E. (2008). Energy storage and allocation during reproduction of pacific winged pearl oyster Pteria sterna at bahía de La Paz, Baja California Sur, Mexico. Journal of Shellfish Research , 27, 375-383.
Zar, J. H. 2010. Biostatistical analysis. Nueva Jersey, EEUU: Prentice Hall