Agroindustria
Recepción: 30 Abril 2014
Aprobación: 25 Junio 2015
Resumen: La innovación en productos comestibles es un proceso que permite elaborar alimentos seguros, que provean beneficios para la salud del consumidor y le suministren una alternativa alimenticia, tal es el caso del yogur con leches semidescremadas de cabra y vaca, avena, mango y estevia. El objetivo de esta investigación fue elaborar un yogur con leches descremadas de cabra y vaca, mezcladas con avena, estevia y mango, para determinar su efecto durante el almacenamiento y aprovechar el valor agregado que proporcionan estos alimentos. Para ello se elaboró yogur teniendo en cuenta tres mezclas de leches de cabra y vaca 90 %-10 %, 70 %-30 % y 50 %-50 %. El análisis sensorial determinó que la mejor mezcla correspondía a 70 %-30 %. Ocho formulaciones de yogur 70 %-30 % fueron elaboradas combinando avena, mango y estevia en diferentes concentraciones antes y durante la incubación. El experimento tuvo duración de 15 días y se evaluó el pH, la sinéresis y la acidez. Se seleccionó la mejor formulación y se comparó con una mezcla de leches semidescremadas de cabra y vaca con sacarosa. A ambos tratamientos se les determinó características fisicoquímicas, microbiológicas, proximales, sensoriales y estructurales durante 30 días. Los resultados sugieren que la adición de 3 % avena, 5 % mango y 2 % de estevia a una mezcla 70 %-30 % de leche fue favorable en la elaboración de yogur.
Palabras clave: yogur, almacenamiento de alimentos, procesamiento de alimentos, propiedades fisicoquímicas.
Abstract: Product development is a sequential process of finding innovative ideas in food and turn them into successful products, i.e., that are safe, provide benefits to the health of consumers and are an alternative food for the consumers. Such is the case of yogurt with goat's and cow`s semi-skimmed milk, oats, mango and stevia. A mixture of goat's and cow's semi-skimmed milk with oats, mango and stevia was selected for the production of a yogurt. The objective of this research was to develop a yogurt with goat's and cow's semi-skimmed milk, using oats, mango y stevia evaluating their effect on the physical, chemical, structural, nutritional and sensorial characteristics during storage, while drawing the added value provided by goat's and cow's semi-skimmed milk, oats, mango and stevia as a sweetener and its use in industry. The yogurt was made taking into consideration three mixtures of goat and cow milk 90%-10%, 70%-30%-50%-50% respectively, sensory analysis determined that the best mix corresponded to 70%-30%. Eight formulations 70%-30% of yogurt were prepared by combining oats, mango and stevia at different concentrations before and during incubation. The experiment was 15 days long and the pH, acidity and syneresis were evaluated. The best formulation was selected and compared to a mixture of goat`s and cow`s semi-skimmed milk with sucrose. The physicochemical, microbiological, proximal, sensory and structural characteristics were determined for both treatments during 30 days. The results suggest that the addition of 3 % oats, 5 % mango and 2 % stevia to a 70/30 mixture of milk is favorable in the preparation of the yogurt.
Key words: yogurt, food storage, food processing, chemicophysical properties.
Introducción
La leche de algunas especies como cabra y vaca es un alimento importante para los humanos por su calidad nutricional al ser fuente de proteínas y vitaminas (A, D, B1, B2 y B12) (Rojas-Castro et al. 2007). Entre estas dos, la leche de vaca es de mayor disponibilidad así como sus derivados; comparada con la de cabra, su contenido en vitamina B12 y ácido fólico es 5 y 12 veces más, respectivamente. Por su parte, las proteínas de la leche de cabra son menos alergénicas y su grasa es más digerible al ser el glóbulo graso de menor tamaño, lo que influye positivamente en las características sensoriales de los productos elaborados a partir de ella (Rojas-Castro et al. 2007; Martín-Diana et al. 2003). Además, la leche de cabra presenta un equilibrio de aminoácidos esenciales, niveles altos de calcio, selenio, magnesio, potasio, fósforo, zinc, entre otros (Cano et al. 2015; Bergillos-Meca et al. 2015) y es rica en vitaminas A y B (Silva et al. 2013; Senaka Ranadheera et al. 2012), sumado a lo anterior, también contiene taurina libre, uno de los productos metabólicos finales de aminoácidos que tiene azufre, que desempeña varias funciones biológicas como modulador de crecimiento y de actividad neuronal, conjugación de sales biliares, regulación de metabolismo osteoblástico, protección de células contra diversos tipos de heridas, prevención de daño cardiovascular y tratamiento de hígado graso en niños (Li et al. 2012). Igualmente, el consumo de productos lácteos de cabra está asociado con alta digestibilidad, alcalinidad distinta, ciertos valores terapéuticos en medicina y nutrición humana (Satir y Guzel-Seydim 2015). Sin embargo, existe una deficiencia nutricional de la leche de cabra que puede ser mejorada por el proceso de fermentación láctica, ya que muchas bacterias lácticas producen algunas vitaminas, que dan como resultado un producto enriquecido (Silva et al. 2013).
El yogur es producido por fermentación ácido láctica de la lactosa en la leche por bacterias como Lactobacillus bulgaricus y Streptococcus thermophillus, las acciones sinérgicas de estas contribuyen a una textura específica, composición y propiedades sensoriales del yogur (Sumarmono y Sulistyowati 2015; Hashemi et al. 2015).
Actualmente, se consume el yogur por sus propiedades organolépticas y saludables y se ha convertido en uno de los alimentos lácteos más apetecidos del mundo con variedad de sabores y presentaciones existentes en el mercado (Blanco et al. 2006; Parra 2012a). El yogur aporta beneficios a la salud entre los cuales se destaca: reducción de colesterol, prevención de enfermedades urogenitales (candidal vaginitis), protección y prevención contra la diarrea, control de enfermedades inflamatorias del intestino como enfermedad de Crohn y pouchitis, síndrome del intestino irritable, alivio de los síntomas de intolerancia a la lactosa y reducción del colesterol y la presión arterial. Otros beneficios incluyen la producción de enzimas, estabilización de la microflora (Parra 2012b) y reducción del riesgo de algunos tipos de cáncer, como el de colon, prevención de alergias alimentarias (Aryana y McGrew 2007) y prevención y tratamiento de úlcera gástrica causada por Helicobacter pylori (Aryana y McGrew 2007).
Además del consumo de yogur y sus beneficios, se ha incrementado la popularidad de alimentos o sustancias que aportan propiedades funcionales a los alimentos, ejemplos de ellos son la avena, el mango y la estevia. Las tendencias actuales y el desarrollo mundial de nuevos productos con funcionalidad han demostrado una bioactividad significante de frutas exóticas con impacto positivo en algunos desordenes crónicos (Carbonell et al. 2015).
La avena (Avena sativa L.) es una planta que crece alrededor del mundo y es ampliamente utilizada como alimento animal, pero, debido al alto valor nutricional, es también utilizada como alimento humano (Okon 2015) y considerada un cereal, el cual contiene un alto nivel de nutrientes, como proteína, grasa, minerales y vitaminas (Hu et al. 2014); además, es una buena fuente de fibra, beta glucanos, ácidos grasos insaturados y bioactivos fitoquímicos como vitaminas, ácidos fenólicos y avenantramidas (Edelmann et al. 2012; Duta et al. 2015). La avena es distinta entre los cereales por sus características multifuncionales y su perfil nutricional; se utiliza como tratamiento complementario para la disminución del colesterol, diabetes, enfermedades cardiovasculares (Nakurte et al. 2013; Gamel et al. 2015) y mejoramiento de la función intestinal y del sistema inmunológico (Shen et al. 2015).
Desde el punto de vista del valor nutritivo, el mango es una fuente importante de fibra y vitaminas. La pulpa del mango presenta una concentración importante de compuestos bioactivos, tales como vitamina A (esencial para el mantenimiento de los tejidos epiteliales y mucosas), y con una gran actividad antioxidante como la vitamina C, vitamina E, polifenoles, carotenos, entre otros. Además de presentar una importante concentración de minerales como potasio y magnesio, los cuales intervienen en la transmisión nerviosa y muscular; también aporta pequeñas cantidades de hierro, fósforo y calcio. Asimismo, la pulpa del mango contiene pectinas, ácidos orgánicos (cítrico y málico) y taninos. En su composición se destaca, igualmente, la presencia de una sustancia denominada manguiferina, que, en animales de experimentación, parece ejercer una acción antioxidante, inmunomoduladora, antiviral y antitumoral (Sumaya et al. 2012).
La estevia (Stevia rebaudiana Bertoni) es un arbusto perenne perteneciente a la familia Asteraceae que crece en áreas tropicales y subtropicales de América del Sur, donde sus hojas se han utilizado tradicionalmente como un edulcorante natural durante cientos de años. En la actualidad, el uso potencial de la estevia como edulcorante se ha ampliado a otros campos como los alimentos procesados, en los que se incluyen los jugos de fruta, galletas y panes, esto es debido a que es un ingrediente no calórico y de 100 a 300 veces más endulzante que la sacarosa (Barba et al. 2014).
La estevia es de interés científico y terapéutico debido a la dulzura que presentan sus hojas y se ha aplicado como sustituto de la sacarosa para el tratamiento de la diabetes mellitus, la obesidad, la hipertensión y la prevención de la caries (Lemus-Mondaca et al. 2012). Al respecto, estudios toxicológicos han demostrado que el esteviósido no tiene efectos mutagénicos, teratogénicos o carcinogénicos cuando se utiliza como edulcorante (Lemus-Mondaca et al. 2012; Pal et al. 2015).
Teniendo en cuenta lo anterior, el objetivo de este trabajo fue elaborar un yogur a base de leches descremadas de cabra y vaca, utilizando avena, estevia y almíbar de mango, para determinar su efecto sobre las características físicas, químicas, estructurales, nutricionales y sensoriales durante el almacenamiento y aprovechar el valor agregado que proporcionan la leche semidescremada de cabra, la avena, el mango y la estevia como edulcorante y su utilización en la industria.
Materiales y métodos
Esta investigación se realizó en la planta piloto de alimentos del programa Química de Alimentos de la Universidad Pedagógica y Tecnológica de Colombia, sede Tunja. La elaboración de yogur fue llevada a cabo en Erlenmeyer de un litro a una temperatura de 43 ºC en una incubadora; para ello se utilizaron dos tipos de leche previamente descremadas: leche de vaca ultrapasterizada y de cabra adquirida del municipio de Samacá (Boyacá). En la elaboración de yogur se utilizó un cultivo iniciador liofilizado que contenía Streptococcus thermophilus y Lactobacillus delbrueckii ssp. Bulgaricus, utilizándose de manera directa para la inoculación de la leche. La sacarosa y estevia se emplearon en forma granular; el mango (variedad Tommy Atkins) se adquirió teniendo en cuenta la calidad, la madurez y la sanidad del fruto; y la avena se manejó en hojuelas. Los ingredientes anteriores fueron adquiridos de marcas reconocidas disponibles en el mercado.
Para evaluar la mejor proporción de leche en la elaboración de yogur, se utilizaron tres formulaciones con leches semidescremadas de cabra y vaca 90/10 (p/p), 70/30 (p/p) y 50/50 (p/p). Con el fin de seleccionar la mejor formulación, se realizó un análisis sensorial a cada una; luego, se evaluó la adición de avena, almíbar de mango y estevia en diferentes concentraciones antes y durante la incubación en la elaboración de yogur, según lo especifica la tabla 1, durante un periodo de 15 días, a la vez que se midieron la acidez, el pH y la sinéresis. La formulación que presentó mejor comportamiento durante estos 15 días se comparó durante un periodo de 30 días con una muestra de leches semidescremadas de cabra y vaca adicionadas con sacarosa y sin avena, almíbar de mango y estevia. A los dos tratamientos anteriores (muestra seleccionada durante periodo de 15 días y muestra con sacarosa y sin avena, almíbar de mango y estevia) se realizó una evaluación fisicoquímica, proximal, sensorial, estructural y microbiológica durante 30 días en condiciones de refrigeración.

Elaboración de almíbar de mango
Para la elaboración del concentrado, se seleccionaron dos kilos de mango teniendo en cuenta aspectos de madurez y calidad microbiana; se realizó una limpieza con abundante agua con el fin de eliminar restos de tierra y materia orgánica superficial; posteriormente, los frutos se sumergieron en una solución de 200 ppm de hipoclorito de sodio por cinco minutos para reducir la carga microbiana, se utilizaron cuchillos domésticos para separar la cáscara y la semilla y así finalmente proceder con el licuado y la filtración de la pulpa. El producto final se concentró hasta 50 °Brix en una estufa industrial, una vez alcanzada la temperatura ambiente, se almacenó en condiciones de refrigeración hasta su utilización en la elaboración de yogur.
Preparación del cultivo iniciador
Para la preparación del cultivo, se utilizó la metodología propuesta por Shori y Baba (2012), con algunas modificaciones. Una mezcla de cultivo liofilizado que contenía Streptococcus thermophilus y Lactobacillus bulgaricus fue utilizado para la inoculación.
Elaboración del yogur
Se siguió la metodología recomendada por Vargas et al. (2008) con algunas modificaciones quienes utilizaron leche de cabra para dicho fin. Esta elaboración se detalla en la figura 1.

Métodos
Análisis físico-químico
Acidez titulable. La acidez titulable fue medida por titulación de 10 ml de muestra con 0,1N NaOH utilizando fenolftaleína como indicador. El resultado se expresó como porcentaje de ácido láctico (AOAC 962.12/90). En el experimento del efecto de adición de avena, almíbar de mango y estevia antes y después de la incubación (para un total de ocho tratamientos) se determinó la acidez los días 1, 3, 7, 10 y 15 en condiciones de refrigeración a 4 °C; posteriormente, a la muestra seleccionada del experimento anterior, se tomó la acidez los días 1, 6, 12, 20 y 30 en condiciones de refrigeración a 4 °C.
pH. Fue medido con un pH metro convencional los días 1, 3, 7, 10 y 15 (con la adición de avena, almíbar de mango y estevia antes de la incubación) y, después de la incubación, los días 1, 6, 12, 20 y 30 en condiciones de refrigeración 4 °C (AOAC 945.27/90).
Sinéresis. La sinéresis del yogur de ambos tratamientos fue determinada por un procedimiento de centrifugación de acuerdo a Li y Guo (2006).
Caracterización proximal. Se seleccionó la muestra de yogur con avena, almíbar de mango y estevia que presentó mejores resultados antes de la incubación y una muestra de yogur con sacarosa para realizar los siguientes análisis por duplicado al final del experimento:
Determinación de humedad: se llevó a cabo por el método gravimétrico (AOAC 930.15/90).
Determinación de cenizas: se realizó secando previamente las muestras a 110 °C y posteriormente calcinadas a una temperatura de 550 °C hasta obtener peso constante (AOAC 942.05/90).
Proteína. Se efectúo mediante el método de Kjeldahl, el cual determinó la concentración de nitrógeno presente en la muestra (AOAC 955.04/90).
Fibra cruda. Se utilizó el método Weende 962.09/90 de la AOAC (1990), tomando muestras previamente desengrasadas, y se les realizó una digestión ácida en presencia de H2SO4 0,20 N y digestión alcalina en presencia de NaOH 0,3 N.
Determinación de extracto etéreo. El ensayo se realizó utilizando el método 920.39/90 de la AOAC (1990). Una cantidad previamente homogeneizada, seca y molida de cada tratamiento de yogur se sometió a una extracción con éter de petróleo. Posteriormente, se realizó la extracción total de la materia grasa libre por soxhlet y se pesaron 4 gramos de muestra en un dedal.
Conteo de células viables ácido lácticas en yogur. Para realizar el conteo de bacterias ácido lácticas se pesaron 20 gramos de agua peptonada y mezclada con un litro de agua destilada, la mezcla fue distribuida en tubos seguido por autoclave a 121 °C por 20 minutos. Las muestras de yogur de cada tratamiento (1 ml) fue mezclado con 9 ml de agua peptonada. La mezcla fue agitada y una serie de diluciones fueron preparadas
Evaluación sensorial. Se realizó una prueba de aceptación utilizando una escala hedónica de cinco puntos. A cada uno de los calificativos empleados en la escala se le asignó un valor de 1 a 5, siendo 5 la mejor calificación y 1 la peor. Para la evaluación de yogur se utilizaron 30 jueces consumidores potenciales del producto aplicando la siguiente escala: 1: me disgusta muchísimo; 2: me disgusta moderadamente; 3: no me gusta ni me disgusta; 4: me gusta moderadamente; 5: me gusta muchísimo.
Análisis microestructural. La microestructura de las muestras de yogur fue liofilizada y examinada utilizando un microscopio electrónico de barrido de acuerdo a la metodología realizada por Espírito-Santo et al. (2013) con algunas modificaciones. El análisis se realizó al final del almacenamiento en la cuarta semana. Las muestras se prepararon utilizando nitrógeno líquido y transferido al vacío, la muestra fue grabada durante 10 minutos.
Análisis estadístico. Para observar la correlación que existía entre los análisis realizados a cada una de las muestras, se llevó a cabo un análisis tipo Anova para determinar la relación existente entre la variación de dichos parámetros y la adición de los compuestos de interés en el yogur (avena, almíbar de mango y estevia) para cada una de las muestras. Los análisis realizados se llevaron a cabo con un nivel de incertidumbre del 95 %, equivalente en la curva normal a n ≤ 0,05.
Resultados y discusiones
Selección de la muestra
En la tabla 2 se observa los resultados de la evaluación sensorial de los tres tratamientos de yogur con diferente concentración de leches semidescremadas de cabra y vaca.

De acuerdo a los resultados obtenidos en la tabla 2 fue seleccionada la muestra 70/30 (p/p) por presentar un sabor suave pero, a la vez, características propias de yogur; la muestra 90/10 (p/p) presentó características de acidez muy pronunciadas y, para el caso de la 50/50 (p/p), la textura y el sabor se asemejaron demasiado al producto conocido como kumis.
Acidez
En la figura 2 se observa que los ocho tratamientos tuvieron un comportamiento ascendente con valores finales de acidez entre 0,86 y 0,97 % de ácido láctico. El tratamiento que presentó mayor acidez fue 2.4 con un valor de 0,99% y el de menor acidez fue el tratamiento 1.1 con un valor de 0,85 %; lo anterior indica que la adición de avena, almíbar de mango y estevia, después de la incubación, tuvo una ligera influencia en los tratamientos al presentar la mayor acidez entre estos. Se observa además que, a partir del día 10 de almacenamiento y hasta final del experimento, los ocho tratamientos presentaron un comportamiento similar, esto puede ser corroborado estadísticamente al no existir diferencia significativa (p>0,05) en los tratamientos.

Los cambios anteriores se pueden atribuir a una hidrólisis de componentes como la lactosa presente en el yogur. Al respecto, Rojas-Castro et al. (2007) explican que, una vez inoculada la leche, se inicia una fermentacion ácido láctica por la hidrólisis enzimática de la lactosa en glucosa y galactosa, siendo la glucosa degradada en ácido láctico.
Briceño et al. (2001) mencionaron que, durante el almacenamiento de un yogur, la acidez puede aumentar en condiciones de refrigeración máximo hasta 1,5 % expresada en ácido láctico. En este estudio se comparó yogures comerciales con elaborados a escala de laboratorio para determinar la población viable de flora láctica y sus efectos sobre el pH y la acidez. Igualmente, Hussain et al. (2009) encontraron en un yogur natural al final del experimento, en el día 10 de almacenamiento, una acidez como máximo de 1,1 % expresada en ácido láctico; en este mismo estudio, reportaron para un yogur probiótico una acidez final de 1,44%, este se llevó a cabo para comparar y evaluar la calidad de yogur elaborado con probióticos y uno natural.
pH
En la figura 3 se observa el comportamiento de pH de los ocho tratamientos, los valores finales del experimento estuvieron en un intervalo de pH entre 4,7 y 5. Los tratamientos antes de la inoculación tuvieron los mayores valores de pH entre 4,9 y 5, respecto a los realizados después de la incubación. Es así que el tratamiento antes de la incubación que contenía 8 % avena y 10 % almíbar de mango presentó el mayor pH de 5,0, seguido de los tratamientos 1.2 y 1.1. Para los tratamientos después de la incubación, los valores oscilaron entre 4,7 y 4,8; los que presentaron menores valores fueron 2.3 y 2.4 con un pH de 4,7. Se observa además que, a partir del día tres hasta el día siete de almacenamiento, los ocho tratamientos presentaron disminución de los valores de pH. Los tratamientos 1.1, 1.2 y 1.3 a partir del día siete presentaron descenso hasta el final del experimento, estos tratamientos, que correspondieron a antes de la incubación, indican que las bacterias ácido lácticas utilizaron los componentes de avena, almíbar de mango y estevia a partir del día diez de almacenamiento. Los tratamientos restantes tuvieron una tendencia que se asemeja a la linealidad hasta el final del experimento, estos tratamientos corresponden a la adición de la avena, estevia y almíbar de mango después de la incubación, y su comportamiento se debe, probablemente, a que las bacterias ácido lácticas a partir del día siete del experimento no utilizaron estos componentes como fuente de alimento. Kailasapathy et al. (2008) mencionan que los cambios bajos de pH son debidos a variaciones en el contenido de ácido en el yogur, en este caso ácido láctico. Hassan y Amjad (2010) mencionan, al respecto, que la reducción de pH en el yogur puede ser por la degradación de la lactosa en ácido láctico durante el almacenamiento. Esta formación de ácido láctico provoca un descenso de pH que tiene lugar no solo durante la incubación, sino también durante el almacenamiento del yogur, pues los microorganismos quedan viables, aunque, en este último caso, el descenso es menos marcado debido al efecto de la baja temperatura (Rojas-Castro et al. 2007), lo anterior es corroborado estadísticamente debido a que existe evidencia para afirmar que los diferentes tratamientos tienen influencia en el pH.

Sinéresis
La sinéresis tuvo tendencia a aumentar durante el almacenamiento; al inicio del experimento, en promedio, los valores para los ocho tratamientos fueron 42 %; durante los 15 días de experimento fueron: 1.1: 45 %; 1.2: 40 %; 1.3: 42 %; 1.4: 45 %; 2.1: 46 %; 2.2: 53 %; 2.3: 49 % y 2.4: 47%. Los valores de sinéresis presentados son similares a los reportados por Díaz et al. (2004), quienes los encontraron entre 45-65 % para un yogur control (sin fibra, elaborado con leche entera y sacarosa). Estadísticamente existe diferencia significativa (p < 0,05) para sinéresis en los diferentes tratamientos de yogur.
Este comportamiento puede ser explicado, además, por la disminución en el pH durante el almacenamiento, lo cual puede tener efecto de contracción en la matriz de la micela de caseína, lo que causa más eliminación de lactosuero (Achanta et al. 2007). Peng et al. (2009) mencionan que el contenido de sólidos en un yogur ayuda a prevenir la separación de lactosuero e igualmente mencionan que un aumento en el contenido de proteína podría resultar en una textura fuerte con menos separación de lactosuero.
Teniendo en cuenta el comportamiento durante 15 días de pH, acidez y sinéresis de un yogur elaborado en una proporción de leche 70/30 (p/p) y adicionado con diferentes concentraciones de avena, almíbar de mango y estevia, se determinó que las ocho muestras estuvieron en los valores normales para un yogur según la Norma Técnica Colombiana 805; sin embargo, la muestra seleccionada era la que contenía 3 % de avena, 5 % de almíbar de mango y 2 % de estevia (es decir el tratamiento 1.2), que, además de presentar pH y acidez característicos de yogur, presentó los valores más bajos de sinéresis al final del periodo.
Evaluación de yogur con una formulación 70/30 (p/p) de leche, 3 % de avena, 5 % de almíbar de mango y 2 % de estevia
pH y acidez
En la figura 4 se observa el comportamiento de pH y acidez de yogur para los dos tratamientos. En la acidez se detalla una tendencia a aumentar durante el almacenamiento para ambos tratamientos; el que contenía sacarosa, presentó una acidez final de 1,02 %, expresado en ácido láctico; y el que contenía avena, almíbar de mango y estevia, 0,94 %. Esto es explicado porque, una vez inoculada la leche, se inicia una fermentación ácido láctica por la hidrólisis enzimática de la lactosa en glucosa y galactosa, siendo la glucosa degradada en ácido láctico (Rojas-Castro et al. 2007). Al respecto, Vargas et al. (2008) mencionan que la velocidad de acidificación de BAL varía con el tipo de leche y, en algunos casos, los cultivos iniciadores son más activos en la leche de cabra mientras otros en la de vaca.

Estadísticamente los resultados indicaron que, para la acidez, no se encontraron diferencias significativas en los dos tratamientos (p≤0,05) durante el almacenamiento.
En la figura 4 se observa que, al inicio del experimento, los valores de pH para ambos tratamientos fueron diferentes: 4,1 para la muestra que contenía yogur con sacarosa y 4,5 para la muestra de yogur con avena, almíbar de mango y estevia; al transcurrir el tiempo de almacenamiento, los valores de pH para ambos tratamientos presentaron valores similares hasta llegar a un valor final de 4,1, aun cuando existen cambios de pH durante el almacenamiento para las muestras. Este comportamiento está en los parámetros normales de yogur, además los valores son similares a los reportados por Wang et al. (2012) quienes trabajaron con leche de cabra y reportaron valores de 4,1 al final del almacenamiento de 12 semanas. Probablemente, este comportamiento es debido a que, durante el almacenamiento en condiciones de refrigeración, ocurrió una actividad metabólica microbiana por parte de las bacterias ácido lácticas presentes en el yogur tal y como lo señala Lubbers et al. (2004) en yogur almacenado durante más de 20 días bajo refrigeración. Al respecto, en otros estudios realizados por Sahan et al. (2008), Ruíz y Ramírez (2009) y Olson y Aryana (2008) -este último utilizando Lactobacillus acidophilus en la elaboración de yogur y leche descremada de vaca- reportaron que el pH de yogur disminuía por la producción de ácido láctico por parte de las bacterias durante el almacenamiento en condiciones de refrigeración entre 3,8 y 4,5. Estadística-mente, para el pH existen diferencias significativas entre los dos tratamientos (p ≥ 0,05) durante el almacenamiento.
Análisis proximal
En la tabla 3 se observa que el yogur con avena, almíbar de mango y estevia tuvo un ligero incremento en el valor de cenizas, proteína, fibra y humedad, lo anterior es probable al aporte realizado por la avena y el almíbar de mango. Al respecto, la Norma Técnica Colombiana 805 para yogur estipula que el contenido mínimo de proteína y grasa debe ser de 2,5 %, este último valor está fuera de la norma lo cual puede ser explicado por la utilización de la leche semidescremada para la elaboración del yogur.

Análisis microbiológico
La tabla 4 presenta los valores del recuento de bacterias ácido lácticas, se observa que al inicio del experimento la muestra de yogur que contenía avena, almíbar de mango y estevia presentó mayor recuento en comparación con el yogur que contenía sacarosa, debido a que las bacterias ácido lácticas utilizaron como fuente de alimento la avena y el almíbar de mango. Al final del almacenamiento, la muestra de yogur con avena, almíbar de mango y estevia tuvo un recuento mayor, los resultados anteriores son similares a los reportados por Silva et al. (2013) quienes utilizaron leche de cabra y extracto de soya para la elaboración de yogur, encontrado el día 29 de almacenamiento 3,0 x 106 ufc/ml de bacterias ácido lácticas. En otros estudios realizados por Wang et al. (2012) y utilizando leche de cabra reportaron una población de BAL de 1x106 ufc/g para las tres primeras semanas de almacenamiento (Senaka Ranadheera et al. 2012).

Evaluación sensorial
En la figura 5 se reporta la evaluación sensorial para los dos tratamientos con leches semidescremadas de cabra y vaca, que indicó que estos tuvieron una buena aceptación. Para ambos tratamientos las calificaciones entre sí fueron similares, sin embargo, la adición de avena, almíbar de mango y estevia tuvieron relevancia en el sabor y olor y se presentaron mayores calificaciones respecto al yogur con sacarosa, no obstante, el color y la textura tuvieron menores calificaciones.

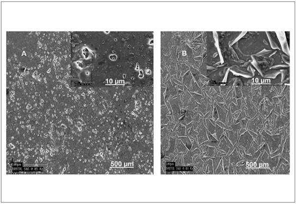
Análisis microestructural
En la figura 6a se observa la microestructura del yogur con sacarosa, se detallan glóbulos grasos distribuidos uniformemente pero de diferente tamaño, lo anterior atribuido a los dos tipos de leche semidescremada utilizadas; en la figura 6b se detalla la microestructura del yogur con avena, almíbar de mango y estevia, se observan los granos de avena de forma ovalada y las fibras de mango de forma de filamentos alargados. Estas últimas se encuentran distribuidas homogéneamente, además, se observan agregados de caseínas en forma esférica adheridos a las fibras del mango. Esto indica que la adición de avena y almíbar de mango se distribuyeron de manera homogénea en la muestra de yogur sin presentar aglomerados o separaciones.

Conclusiones
Luego de la evaluación fisicoquímica como pH, acidez y sinéresis de las ocho muestras, en diferentes proporciones de leche de cabra y vaca, adicionadas con avena, almíbar de mango y estevia, en diferentes concentraciones antes y después de la incubación, se observaron características similares y normales entre sí comparado con el yogur que solo contenía sacarosa. La adición de avena, almíbar de mango y estevia tuvo un efecto en las bacterias ácido lácticas aumentando su recuento al inicio y final del almacenamiento, lo cual beneficia al consumidor por su efecto en la salud humana; la evaluación sensorial mostró una mejor aceptación en sabor y olor para el yogur que contenía avena, almíbar de mango y estevia en comparación con el yogur que contenía solamente sacarosa. La mezcla de leches semidescremadas de cabra y vaca en la elaboración de yogur es una opción viable para los industriales; además, la adición de avena, almíbar de mango y estevia son materias primas que proporcionaron valor agregado al yogur elaborado con una mezcla de leches de cabra y vaca.
Referencias
Achanta K, Aryana KJ, Boeneke CA. 2007. Fat free plain set yogurts fortified with various minerals. LWT-Food Sci Technol. 40(3):424-429.
Association Official Analytical Chemists. 1990. The official and recommended practices of the American Chesmest's Society. Champaign: AOAC.
Aryana KJ, McGrew P. 2007. Quality attributes of yogurt with Lactobacillus casei and various prebiotics.. LWT-Food Sci Technol 40(10):1808-1814.
Barba FJ, Criado MN, Belda-Galbis CM, Esteve MJ, Rodrigo, D. 2014. Stevia rebaudiana Bertoni as a natural antioxidant/antimicrobial for high pressure processed fruit extract: processing parameter optimization. Food Chem. 148:261-267.
Bergillos-Meca T, Cabrera-Vique C, Artacho R, Moreno-Montoro M, Navarro-Alarcón M, Olalla M, Giménez R, Ruiz-López MD. 2015. Influence of milk ultrafiltration on Ca, Mg, Zn and P levels in fermented goats' milk. Small Ruminant Res. 124:95-100.
Blanco SC, Pacheco E, Frágenas NN. 2006. Evaluación física y nutricional de un yogurt con frutas tropicales bajo en calorías. Rev Fac Agron. 32:131-144.
Briceño AG, Martínez R, García K. 2001. Viabilidad y actividad de la flora láctica (Streptococcus salivarius, Lactobacillus bulgaricus) del yogurt en Venezuela. Acta Cient Venez. 52(1):46-54.
Cano S, Perelló G, Nadal M, Domingo J. 2015. Comparison of the nutritional composition and the concentrations of various contaminants in branded and private label yogurts. J Food Companal. 42:71-77.
Carbonell-Capella JM, Buniowska M, Esteve MJ, Frígola A. 2015. Effect of Stevia rebaudiana addition on bioaccessibility of bioactive compounds and antioxidant activity of beverages based on exotic fruits mixed with oat following simulated human digestion.. Food Chem 184:123-130.
Díaz-Jiménez B, Sosa-Morales ME, Vélez-Ruiz JF. 2004. Efecto de la adición de fibra y la disminución de grasa en las propiedades fisicoquímicas del yogur. Rev Mex Ing Quím. 3(3):287-305.
Duta DE, Culetu A. 2015. Evaluation of rheological, physicochemical, thermal, mechanical and sensory properties of oat-based gluten free cookies. J Food Eng. 162:1-8.
Edelmann M, Kariluoto S, Nyström L, Piironen V. 2012. Folate in oats and its milling fractions.. Food Chem 135(3):1938-1947.
Espírito-Santo AP, Lagazzo A, Sousa ALOP, Perego P, Converti A, Oliveira MN. 2013. Rheology, spontaneous whey separation, microstructure and sensorial characteristics of probiotic yoghurts enriched with passion fruit fiber. Food Res Int. 50(1):224-231.
Gamel TH, Abdel-Aal E-SM, Tosh SM. 2015. Effect of yeastfermented and sour-dough making processes on physicochemical characteristics of ß-glucan in whole wheat/oat bread.. LWT-Food Sci Technol 60(1):78-85.
Hashemi H, Hadi M, Mesbahi G, Amin M. 2015. Scientific and technical aspects of yogurt fortification: A review. Food Science and Human Wellness. 4(1):1-8.
Hassan, A, Amjad I. 2010. Nutritional evaluation of yoghurt prepared by different starter cultures and their physiochemical analysis during storage. Afr J Biotechnol. 9(20):2913-2917.
Hu X, Zheng J, Li X, Xu C, Zhao Q. 2014. Chemical composition and sensory characteristics of oat flakes: A comparative study of naked oat flakes from China and hulled oat flakes from western countries. J Cereal Sci. 60(2):297-301.
Hussain I, Rahman A, Atkinson N. 2009. Quality comparation of probiotic and natural yogurt. Pak J Nutr. 8:9-12.
Kailasapathy K, Harmstorf I, Phillips M. 2008. Survival of Lactobacillus acidophilus and Bifidobacterium animalis ssp. lactis in stirred fruit yogurts.. LWT-Food Sci Technol 41(7):1317-1322.
Lemus-Mondaca R, Vega-Gálvez A, Zura-Bravo L, Ah-Hen K. 2012. Stevia rebaudiana Bertoni, source of a high-potency natural sweetener: A comprehensive review on the biochemical, nutritional and functional aspects.. Food Chem 132(3):1121-1132.
Li J, Guo M. 2006. Effects of Polymerized Whey Proteins on Consistency and Water-holding Properties of Goat's Milk Yogurt. J Food Sci. 71(1):34-38.
Li S, Walsh H, Gokavi S, Guo M. 2012. Interactions between Lactobacillus acidophilus strains and the starter cultures, Lactobacillus bulgaricus and Streptococcus thermophilus during fermentation of goats' milk. Afr. J Food Sci 11(51):11271-11279.
Lubbers S, Decourcelle N, Vallet N, Guichard E. 2004. Flavor Release and rheology behavior of strawberry fat free stirred yogurt during storage. J Agric. Food Chem 52(10): 3077-3082.
Martín-Diana AB, Janer C, Peláez C, Requena T. 2003. Development of a fermented goat's milk containing probiotic bacteria. Int Dairy J. 13(10):827-833.
Nakurte I, Kirhnere I, Namniece J, Saleniece K, Krigere L, Mekss P, Vicupe Z, Bleidere M, Legzdina L, Muceniece R. 2013. Detection of the lunasin peptide in oats (Avena sativa L).. J Cereal Sci 57(3):319-324.
Okon SM. 2015. Effectiveness of resistance genes to powdery mildew in oat. Crop Prot. 74:48-50.
Olson DW,. Aryana KJ 2008. An excessively high Lactobacillus acidophilus inoculation level in yogurt lowers product quality during storage.. LWT-Food Sci Technol 41(5):911-918.
Pal PK, Mahajan M, Prasad R, Pathania V, Singh B, Ahuja PS. 2015. Harvesting regimes to optimize yield and quality in annual and perennial Stevia rebaudiana under sub-temperate conditions. Ind Crop Prod. 65:556-564.
Parra RA. 2012a. Importancia terapéutica y estabilizantes-edulcorantes en la tecnología de yogur. 1.a edición. Tunja: Universidad Pedagógica y Tecnológica de Colombia.
Parra RA. 2012b. Yogur en la salud humana. Rev Lasallista Investig. 9(2):162-177.
Peng Y, Serra M, Home D, Lucey J. 2009. Effect of fortification with various types of milk protein on the rheological properties and permeability of nonfat set yogurt.. J Food Sci 74:666-673.
Rojas-Castro WN, Chacón-Villalobos A, Pineda-Castro ML. 2007. Características del yogurt batido de fresa derivadas de diferentes proporciones de leche de vaca y cabra. Agronomía Mesoamericana. 18(2):221-237.
Ruíz JA, Ramírez AO. 2009. Elaboración de yogurt con probióticos (Bifidobacterium spp. y Lactobacillus acidophilus) e inulina. Rev Fac Agron (LUZ). 26:223-242.
Sahan N, Yasar K, Hayaloglu AA. 2008. Physical, chemical and flavour quality of non-fat yogurt as affected by a ß-glucan hydrocolloidal composite during storage. Food Hydrocolloid. 22(7):1291-1297.
Satir G, Guzel-Seydim ZB. 2015. Influence of Kefir fermentation on the bioactive substances of different breed goat milks. LWTFood.
Senaka Ranadheera C, Evans CA, Adams MC, Baines SK. 2012. Probiotic viability and physico-chemical and sensory properties of plain and stirred fruit yogurts made from goat's milk.. Food Chem 135(3):1411-1418.
Shen R, Liu X, Dong J, Si J, Li H. 2015. The gel properties and microstructure of the mixture of oat ß-glucan/soy protein isolates. Food Hidrocolloid. 47:108-114.
Silva DCG, Brugnera DF, Abreu LR. 2013. Quantification of lactic acid bacteria and bifidobacteria in goat milk based yoghurts with added water-soluble soy extract. Afr. J Food Sci 7(10):392-398.
Shori AB, Baba AS. 2012. Viability of lactic acid bacteria and sensory evaluation in Cinnamomum verum and Allium sativum-bio-yogurts made from camel and cow milk. Journal of the Association of Arab Universities for Basic and Applied Sciences. 11(1):50-55.
Sumarmono J, Sulistyowati M. 2015. Fatty acids profiles of fresh milk, yogurt and concentrated yogurt from peranakan etawah goat milk. Procedia Food Sci. 3:216-222.
Sumaya-Martínez MT, Sánchez LM, Torres G, García D. 2012. Red de valor del mango y sus desechos con bases en las propiedades nutricionales y funcionales. Revista Mexicana de Agronegocios. 30:826-833.
Vargas M, Cháfer M, Albors A, Chiralt A, González-Martínez C. 2008. Physicochemical and sensory characteristics of yoghurt produced from mixtures of cows' and goats' milk.. Int Dairy J 18(12):1146-1152.
Wang W, Bao Y, Hendricks GM, Guo M. 2012. Consistency, microstructure and probiotic survivability of goats' milk yoghurt using polymerized whey protein as a co-thickening agent.. Int Dairy J 24(2):113-119.
Notas