Artículos
Digestive system formation during metamorphosis of Carposina sasakii Matsumura, 1900 (Lepidoptera: Carposinidae)
Formación del sistema digestivo durante la metamorphosis de Carposina sasakii Matsumura, 1900 (Lepidoptera: Carposinidae)
Digestive system formation during metamorphosis of Carposina sasakii Matsumura, 1900 (Lepidoptera: Carposinidae)
SHILAP Revista de lepidopterología, vol. 49, núm. 193, pp. 109-122, 2021
Sociedad Hispano-Luso-Americana de Lepidopterología
Recepción: 27 Abril 2020
Aprobación: 30 Julio 2020
Publicación: 30 Marzo 2021
Abstract: The purpose of this study is to investigate the adaptive mechanism of morphological and structural changes to habits, during the metamorphosis development of Carposina sasakii Matsumura, 1900. Traditional dissection, paraffin section, and scanning electron microscopy techniques were used to study the morphological structure and cytohistology of the digestive system in different developmental stages of C. sasakii by classical comparative morphology study. In order to adapt to the change of feeding habits from solid in the larva stage to liquid in the adult stage, the digestive tract of C. sasakii reconstructed in the pupal stage. The crop of the foregut transformed from a spherical shape in the larval stage to an enlarged lateral, accessory, bag-like structure beyond middle of pupal stage and in the adult stage. The hindgut transformed from a columnar structure in the larval stage to a dilated rectal sac at the end of the hindgut in the adult stage. The morphological changes of the digestive tract provided the basis for the sasakii to adapt to the changes of food habits and environment. In addition, the present study provides a basis for better understanding of pupal reconstruction of digestive tract. It also lays the foundation for the nutritional physiology and co-evolution between C. sasakii at different stages and its host plant, while providing morphological data for the toxicological and pathological research of this significant agricultural pest.
Keywords: Lepidoptera, Carposinidae, Carposina sasakii, digestive system, pupa, development, morphology, feeding, China.
Resumen: El propósito de este estudio es investigar el mecanismo adaptativo de hábitos de los cambios morfológicos y estructurales, durante el desarrollo de la metamorfosis de Carposina sasakii Matsumura, 1900. Fue usada la disección tradicional con parafina y el escaneado con microscopio electrónico, para el estudio de la estructura morfológica y citológica del sistema digestivo en diferentes estados del desarrollo de C. sasakii para el clásico estudio morfológico comparativo. En orden de adaptar el cambio de los hábitos alimenticios del sólido, en el estadio de larva, al líquido, en el estadio de adulto, el tracto digestivo de C. sasakii se reconstruye en el estadio pupal. El buche, a continuación del esófago, se transformó de una forma esférica en la etapa larval a una estructura lateral, accesoria, como una bolsa expandida más allá del estadio de pupa y el estadio adulto. El intestino se transformó de una estructura columnar en el estadio larval a un saco rectal dilatado al final del intestino en el estadio adulto. Los cambios morfológicos del tracto digestivo proporcionaron la base para que C. sasakii se adaptara a los cambios de hábitos en la comida y ambientales. Además, el estudio actual, proporciona una base para el mejor conocimiento de la reconstrucción del tracto digestivo de la pupa. También proporciona los cimientos para la fisiología nutritiva y la coevolución entre C. sasakii en sus diferentes etapas y su planta nutricia, mientras que se proporcionan los datos morfológicos para la investigación toxicológica y patológica de esta importante plaga agrícola.
Palabras clave: Lepidoptera, Carposinidae, Carposina sasakii, sistema digestivo, pupa, metamorfosis, morfología, alimentación, China.
Introduction
Insects are an animal group with high diversity and wide geographical distribution. Metamorphosis plays a crucial role in the development life cycle of insects, and apoptosis, and tissue and organ remodeling exists in the process of metamorphosis (HONG et al., 2016). This transformation during metamorphosis allows insect to exhibit different morphological characteristics and living habits at different stages of individual development (ZENG & FENG, 2014), including digestive system development (CHAUTHANI & CALLAHAN, 1967; ROWLAND & GOODMAN, 2016). Metamorphosis provides the possibility for insects to improve the utilization of environmental resources, expand their populations, and escape from disadvantageous living environments (ZENG & FENG, 2014). As a typical complete metamorphosis insect, Carposina sasakii Matsumura, 1900 after long-term adaptation to environmental conditions and co-evolution with its host plant, forms special feeding habits throughout the course of its life cycle.
Carposina sasakii Matsumura, 1900 is a serious fruit-boring pest and harmful to many fruit trees, including apple, jujube, and pear (KIM et al., 2001; LI et al., 2018). The larvae of C. sasakii use their chewing mouthparts to tunnel into fruit to feed and grow. After maturation, C. sasakii larvae emerge from fruits to cocoon and pupate. C. sasakii then emerge from their cocoons as fully developed adults and use a siphoning mouthpart to feed on liquid food (HENSON, 1929; JUDY & GILBERT, 1970). There were significant differences in the morphology and function of organs between adults and larvae of C. sasakii, especially the digestive tract, the main site of digestion and absorption (GULLAN & CRANSTON, 2000; PAUCHET et al., 2008). In the effort to combat the agricultural impact of this insect, it is of great importance to study the morphological structure of its digestive system at different developmental stages, as C. sasakii adapts to the surrounding environment. It is also significant to study changes in the digestive tract to better understand tissue reconstruction during metamorphosis. The digestive tract morphology of C. sasakii larvae has been studied before (XIONG et al., 2011), but morphological differences in the digestive tract during metamorphosis have yet to be reported as to date.
To better understand morphological differences in the digestive tract of C. sasakii during metamorphosis, the basic structure and characteristics of digestive tract histocytology during metamorphosis stage were obtained by traditional dissection, paraffin section, and scanning electron microscopy techniques in the present study. Morphological differences of the digestive tract were compared between different developmental stages of C. sasakii during metamorphosis, and the formation process of the digestive tract before, after, and during the pupal stage were revealed. In particular, there are no published data on the structural and functional properties of the digestive system of the C. sasakii adult, and it is common belief that the moth does not eat solid foods. In the present study, the digestive system of C. sasakii during the larva-pupa and pupa-adult transition stages were structurally and functionally characterized, and the remodeling process of this organ during metamorphosis was investigated. The morphofunctional properties, differences, adaption of the digestive system between larval and adult stages were analyzed as well. The feeding habits of the adult moth and the morphofunctional features of its digestive system demonstrate that C. sasakii, at variance with most information reported in literature, uses suction to consume liquid food which has an impact on its lifespan (NORRIS, 1934; HAMILTON & JOHANSSON, 1955). The present study lays the foundation for the nutritional physiology and co-evolution between C. sasakii and its host plant at different stages and provides morphological data for toxicological and pathological research against this significant agricultural pest. This study opens up the possibility of manipulating the moth’s feeding substrate to improve its performances in mass-rearing research procedures. Our results could help us better understand the process of digestive tract reconstruction adapted to habits, also provide an important basis for further studies of autophagy, apoptosis, and tissue remodeling in the pupal stage of holometabolous insects.
Materials and Methods
Insects
The laboratory population of C. sasakii used in this study was established in 2012. Infectious fruits were collected from apple orchards of the Pomology Institute, Shanxi Academy of Agriculture Sciences (37.35ºN, 112.50ºE) in Taigu County, Shanxi Province, China. The laboratory population was continuously reared for over 30 generations. The larvae of C. sasakii were reared on apples (Malus pumila Mill.) in an incubator (SPX-250B-G, Shanghai Boxun, China) at 25.5 ± 0.5ºC, 75.0 ± 5.0% RH, and a photoperiod of 15:9 (L: D). When 5th instar larvae matured and emerged from fruits, they are placed in a plastic container (400 ml) with fine sand and 10% water content to pupate. After emergence, the adults were placed in a glass cylinder with top and bottom openings (40 cm in diameter and 50 cm in height) for oviposition. The bottom of the glass container was covered with shaved filter paper for egg collection, and the top of the glass container was covered with gauze. An absorbent cotton ball soaked with 10% honey water was suspended inside the glass container for adult complementary nutrition (LI et al., 2019).
Methodology
Anatomical characteristics of the digestive system. Digestive tracts from larvae, 1st day pupae, 3rd day pupae, 5th day pupae, 7th day pupae, 9th day pupae, and adults were dissected in distilled water (mean pupal stage of C. sasakii is 9.57 days according to ZHANG et al. (2018)). After being cold- anaesthetized for 30 minutes at -20ºC, the cuticle was carefully cut forward from the end of the posterior dorsal midline with ophthalmic scissors, the subcutaneous fat-body was then gently removed by ophthalmic anatomical forceps, and finally, the digestive tract was gradually and gently removed. The morphological characteristics of the digestive system were obtained by stereomicroscope Leica M205 C connected to a Leica DFC450 digital camera.
Paraffin sections: The digestive tract was dissected in distilled water and fixed with Carnoy’s solution (ethanol: chloroform: glacial acetic acid, 6: 3: 1). Each digestive tract was dehydrated in gradient concentrations of ethanol successively (50%, 70%, 80%, 90%, 95%, and 100% ethanol) for 15 minutes per concentration and cleared in xylene for 30 minutes. Then, they were embedded in paraffin and cut into thin 6-10 µm serial sections in order to get as far as more anatomical characters. Hereafter, previously processed slides were dewaxed by xylene, successively dehydrated for 15 minutes in each gradient concentration of ethanol (100%, 95%, 90%, 80%, and 70%), and stained with hematoxylin. The slices were then dehydrated in 70%, 80%, and 90% ethanol and stained with eosin. The slides were completely prepared after dehydration in ethanol, transparency in xylene, and mounting by Canada balsam (YANG, 2006; LU et al., 2009). Histological and morphological characteristics of the digestive tract at different developmental stages of C. sasakii were obtained by Leica DM500 microscope.
Scanning electron microscopy (SEM). After dissection in distilled water, the digestive tracts of C. sasakii were cleaned in phosphoric acid buffer solution (Na2HPO4-NaH2PO4, 0.1 mol/L, pH 7.4) and fixed in 2.5% glutaraldehyde at 4ºC for 4 hours. They were then dehydrated for 20 minutes in each concentration of ethanol in a graded series of 30%, 50%, 70%, 80%, and 90% and then twice for 20 minutes in 100% ethanol. The dehydrated digestive tracts were treated with acetone for 30 minutes. Then, the samples were dried in a CO2 critical point dryer, fastened by electric adhesive tape, and sputter-coated with gold. Finally, the processed samples were examined under JSM-6490LV scanning electron microscopy with an acceleration voltage of 10 kv.
Data analysis. Graphpad Prism 7 (Graphpad Software, San Diego, CA, USA) was used for one- way analysis of variance (Fisher’s protected least significant difference) in the morphological characteristics of the midgut cells.
Results
Schematic anatomical morphology of the digestive system of C. sasakii
The digestive system of C. sasakii consists of the digestive tract and salivary glands, which are involved in digestion. The salivary glands are a pair of tubular glands that are connected to the mandible, convoluted on both sides of the digestive tract, and longer than the digestive tract (Fig. 1).
The digestive tract of larval C. sasakii is tubular and clearly composed of three parts: the foregut, midgut, and hindgut. The foregut is a tubule starting from the pharynx in the head capsule and ending in the bulge region. The midgut is located between the foregut and hindgut, and the Malpighian tubes serve as a landmark for the boundary between the midgut and hindgut. The hindgut ends to the anus. The ratio of the length of the foregut, midgut, and hindgut in the larval stage is 1:3:2, whereas the ratio of the width of the foregut, midgut, and hindgut is 2:6:3 (Fig. 1).

Anatomical morphology of the foregut
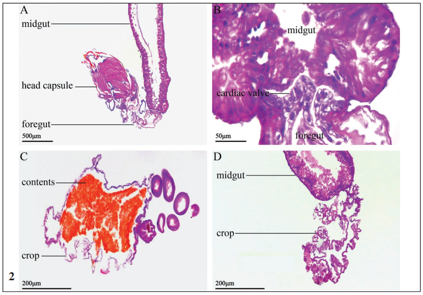
Foregut morphology of larvae: The foregut accounts for 1/6 of the total length of the digestive tract and is thinner and shorter than other parts of the digestive tract. The esophagus, with a width of approximately 1/3 of that of the midgut, extends from pharynx. The crop of larvae is an expanded spherical structure inferior to the esophagus with good extensibility, and it is slightly wider than the esophagus and narrower than the midgut (Fig. 1). The intestinal wall of the foregut is thin, membranous, and has no obvious cellular structure (Fig. 2A). The cardiac valve at the end of the foregut extends into the foregut in a funnel-like shape. The cells of the cardiac valve are cuboidal, closely arranged, and have nuclei accounting for 1/4-1/3 of the total cell volume (Fig. 2B). Gastric caeca are not observed in 5th instar larva (Figs 1, 2A, 3).

(A) General morphology of the foregut and midgut in 5th instar larvae; (B) Cardiac valve of 5th instar larvae; (C) Crop containing contents of 9th day pupae; (D) Crop of adults.

(A) General morphology of that digestive tract in 5th instar larvae; (B) The boundary between the foregut and midgut in 5th instar larvae.
Foregut morphology of pupa: There are no obvious morphological differences of the foregut between the first 3 days in the pupa stage and larval stage (Figs 4B, 4C, 4D). However, the esophagus changes from a tubular structure in larvae to a longer, narrower, and slenderer capillary structure with a clearly enlarged, lateral accessory bag-like crop (full of contents) from 5th day in the pupa stage (Fig. 4E). The wall of the crop is still thin and membranous at this stage, and its contents increase by the 9th day of pupation (Figs 2C, 4G). No obvious cellular structure is observed in the crop as well (Fig. 2C).

(A) Digestive tract of 4th instar larvae; (B) Digestive tract of 5th instar larvae; (C). Digestive tract of 1st day pupa; (D) Digestive tract of 3rd day pupa; (E) Digestive tract of 5th day pupa; (F) Digestive tract of 7th day pupa; (G) Digestive tract of 9th day pupa; (H) Digestive tract of adult moths. Scales = 1.0 mm. The arrow points to the location of the crop, and the small triangle points to the location of the rectal sac.
Foregut morphology of adult: The length of the foregut is about 1/4 of the length of the adult digestive tract. The esophagus becomes narrower and longer than that of larvae, and the width of the esophagus is about 1/8 of that of the midgut (Fig. 4H). The crop of the adult is an enlarged, lateral accessory bag-like structure connected with the foregut near the midgut (Fig. 4H). There is no obvious cellular structure or contents within the crop (Fig. 2D).
Anatomical morphology of the midgut
Midgut morphology of larvae: The midgut of the larva is tubular and is 1/2 of the total length of the digestive tract. It is wider and longer than the foregut (Fig. 1). The intestinal wall of the midgut consists of monolayer cells arranged linearly, and the inner surface is smooth (Fig. 5A). There are many types of cells in the midgut, of which columnar cells are the most basic. Columnar cells are the main constituent cells of the intestinal wall of the midgut, and they are nearly rectangular and closely arranged. The lumen side of the intestinal wall also contains microvilli specialized from columnar cells . In the midgut of 4th instar larvae, cells are closely arranged, and microvilli have a length of about 1/3 of the length of columnar cells and are orderly arranged. A large number of round granules can be observed in the intestinal lumen near the bowel wall of the midgut (Fig. 5B). After 5th instar larvae mature, columnar cells of the midgut are more loosely arranged compared to 4th instar larvae, and intestinal wall cells are more irregular in shape with no obvious microvilli (Fig. 5C). Regenerative cells with less cytoplasm are located at the base of the intestinal wall cell layer in 5th instar larvae (Fig. 5D). Goblet cells are interspersed between columnar cells in the intestinal wall and invaginate to form a cup cavity and cup neck. Goblet cells lack cytoplasm compared to other midgut cells, their nuclei are located under the cup cavity, and their microvilli are specialized from the cup cavity (Fig. 5E). There are significant differences in cell length between columnar (0.0248 ± 0.0008 mm), goblet (0.0135 ± 0.0010 mm), and regenerative cells (0.0095 ±0.0013 mm) (P<0.05). The width of regenerative cells (0.0083 ± 0.0013 mm) is significantly lesser than that of columnar (0.0164 ± 0.0008 mm) and goblet cells (0.0135 ± 0.0013 mm) (P <0.05). Meanwhile, the nuclear length in columnar cells (0.0100 ± 0.0004 mm) is significantly greater than that of regenerative (0.0050 ± 0.0004 mm) and goblet cells (0.0037 ± 0.0004 mm) (P <0.05). However, the nuclear width of goblet cells (0.0036 ± 0.0005 mm) is significantly lesser than that of columnar (0.0067 ± 0.0004 mm) and regenerative cells (0.0055 ± 0.0007 mm) (P <0.05). (Table 1).


(A) General view of the larval alimentary canal subdivided into the foregut, midgut, and hindgut; (B) Columnar cells and microvilli specialized from the inner columnar cell membrane of 4th instar larvae; (C) Columnar cells and no obvious microvilli specialized from the inner columnar cell membrane of 5th instar larvae; (D) Columnar and regenerative cells of 5th instar larvae; (E) Goblet cells of 4th instar larvae; (F) Midgut of 3rd day pupae; (G) Midgut of 5th day pupae; (H) Midgut of 7th day pupae; (I) Midgut of 9th day pupae; (J) Malpighian tube of 5th instar larvae
Midgut morphology of the pupa: Intestinal cells of the midgut are arranged irregularly in the pupal stage, and no obvious microvilli are observed along the intestinal wall. The contents of the midgut gradually reduce with the development in the pupal stage. By the 5th day of pupation, the contents of the midgut cavity are gradually emptied (Figs 5F, 5G, 5H, 5I).
Midgut morphology of the adult: Intestinal cells of the midgut are arranged irregularly in the adult stage. There are no obvious microvilli, and empty cavities appear within intestinal wall cells compared to the larval stage midgut. The midgut length is about 1/4 of that of the whole alimentary canal, and its width is about 8 times of that of the foregut (Fig. 4H). The proportion of the midgut in the whole alimentary canal is smaller than the proportion in the larval stage.
There are non-cellular membrane-like structures in the intestinal cavity of the midgut, which is clearly divided into two compartments: intramembranous and extramembranous (Fig. 5A).
There are 3 moniliform Malpighian tubes on each side of the alimentary canal at the end of the midgut. Each is a thick, short common tube protruding out of each side at the end of the midgut and bifurcated at the base, one of which bifurcates again (Fig. 1). The terminals of the Malpighian tubes connect with the hindgut to form the cryptonephridium in the laval stage (Figs 1, 6). The ends of Malpighian tubes in adults are free in haemocoele, which is different from the structure of cryptonephridium in larvae (Figs 4A, 4B, 4H, 6). The walls of Malpighian tubes are composed of a single layer of cells, with large nuclei accounting for most of the cells’ volume (Fig. 5J) (ÖZYURT et al., 2017; GONÇALVES et al., 2018). From the 3rd to the 9th day of pupation, contents are observed in the lumen of Malpighian tubes (Figs 4D, 4E, 4F, 4G).

(A) Malpighian tube location of 5th instar larvae; (B) Cryptonephridium of 5th instar larvae.
Anatomical morphology of the hindgut
Hindgut morphology of the larva: The hindgut is tubular and slightly narrower than the midgut. The hindgut has a length of about 1/3 of that of the digestive tract and is constricted anteriorly by 1/3 (Fig. 1). The circular muscles of the hindgut arrange in an orderly manner (Fig. 6), which is different from the midgut. Cells of the hindgut wall are flat and orderly arranged. Intestinal cavity cells in the posterior hindgut fold inwards into 6-7 rectal pads, each rectal pad possessing 3 to 5 cells. The intestinal endometrium of the hindgut is thin and lacks cellular structure (Fig. 7A).

(A) Rectal pad of 5th instar larvae; (B) Adult hindgut.
Hindgut morphology of the pupa: The shape of the hindgut within the first 3 days of pupation is similar to that of 5th instar larvae (Figs 4B, 4C, 4D). And on the 5th day of pupation, the anterior 3/4 portion of the hindgut transforms into a slenderer, tubular, and membranous structure, the length of hindgut is nearly as long as the midgut. The expanded rectal sac appears in the posterior hindgut, and a small amount of chyme can be observed in it (Fig. 4E). At the 9th day of pupation, the rectal sac of the posterior hindgut becomes extremely enlarged: the width is about 3 times of that of the midgut, and a large amount of chyme is visible within it (Fig. 4G).
Hindgut morphology of the adult: The hindgut makes up half of the length of the digestive tract in the adult stage, and the proportion is larger than that in the larval stage. The anterior 3/4 portion of the hindgut transforms into a thin tube that is longer than the adult midgut and has a width that is 3/8 of that of the adult midgut (Fig. 4H). The posterior 1/4 portion of the hindgut is specialized into an expanded rectal sac near the anus, its width is slightly narrower than the midgut, and no obvious content is observed within it (Figs 4H, 7B). The posterior end of the rectal sac is connected with the anus through a tubular structure (Fig. 4H).
Discussion
During the process of metamorphosis, the organs and tissues of holometabolous insects are transformed (HONG et al., 2016), including the digestive tract. Larval C. sasakii has chewing mouthparts to feed on solid food, whereas adults have siphoning mouthparts to feed on liquid food. Feeding habits are quite different between larvae and adults. Correspondingly, before and after the pupal stage, morphological characteristics of the digestive tract in the larval and adult stages are quite different as well. Our results indicate that changes in the shape of the digestive tract and its shrinking size are adaptations to the change in food type. Differences in the morphology of the digestive tract between larvae and adults could provide strong evidence for adaptive evolution in insects to different types of food. This result is in line with previous research, as the digestive tract, the main site of ingestion and digestion in the insect body, adapts to an insect’s feeding habits in the long-term evolutionary process (GULLAN & CRANSTON, 2000).
The foregut is where food that has not yet entered the midgut is stored in larvae. The foregut of adults transforms into a capillary structure after reconstruction during the pupal stage, and an enlarged lateral accessory sac develops in the posterior foregut. Anatomy morphology analysis reveals large amount of contents in the crop at the late pupal stage, but no obvious contents are observed in the adult crop. Formation of the crop during the pupal stage may be related to the storage of cocoonase during adult emergence (KAFATOS & WILLIAMS, 1964; KAFATOS et al., 1967; WANG et al., 2005). Enlarged lateral sacs in the posterior foregut are also present in the adult stage. It is inferred that the crop of adult C. sasakii is related to wing expansion after emergence (JUDY & GILBERT, 1969). However, no gastric caecum is observed at the junction of the foregut and midgut, and this result is different from that of XIONG et al. (2011). The gastric caecum commonly present in solid feeders and absent in most insects is considered to be of evolutionary importance in avoiding the accumulation of noxious wastes in the anterior midgut (TERRA, 1990). Gastric caecumis always absent in the predatory group and semi-predatory species of Hemiptera (ELSON, 1937). No differences were noted between sexes or between various nymphal instars of Zonocerus variegatus (Linnaeus, 1758) (AKPAN & OKORIE, 2003), whereas gastric caeca have been observed in mosquito larvae though not in adults (VOLKSMANN & PETERS, 1989). Thus, the presence or absence of gastric caeca may be closely related to research taxon and developmental stage, though more taxa need to be further studied. The morphology of the adult foregut is not only different from that of 5th instar C. sasakii larvae, but also the length of the foregut compared to that of the whole digestive tract is greater in adults than in larvae.
The midgut is an important location for digestion and absorption (TONG et al., 2013; TERRA et al., 2019). With the metamorphosis and development of C. sasakii, the change in the proportion of the adult midgut that makes up the digestive tract decreases, and it indicates that the function of the digestive tract has changed to a certain extent. HUANG et al. (2006) also found similar results in the silkworm. This change adapts to the biological characteristics of larval feeding to satisfy the rapid growth of the larval body and of adult feeding to ensure reproduction (O’BRIEN et al., 2002; O’BRIEN et al., 2004). For the histological characteristics of the midgut, it was found that its contents decrease gradually with the development of the pupal stage, showing a tendency of emptying into the hindgut. This phenomenon indicates that metabolic activity in the body remains active during the pupal stage, when the insect is apparently immobile. Food is further digested with the development of pupae. This phenomenon can also be found in the tobacco hornworm, Manduca sexta (Linnaeus, 1763), by magnetic resonance microscopy (HALLOCK, 2008). There are a large number of round cellular masses in the intestinal cavity of 4th instar larvae, called yellow bodies (WIGGLESWORTH, 1972). The presence of condensed heterochromatin in yellow bodies is an important indicator of apoptosis and autophagy (THUMMEL, 2001; TETTAMANTI et al., 2006). The autophagy of yellow body cells provides essential nutrients, such as peptides, lipids, and free sugars, for the development of immobile pupae (TSUJIMOTO & SHIMIZU, 2005). The microvilli of 5th instar larvae are less developed than those of 4th instar larvae, which may be the result of cell apoptosis (FERNÁNDEZ- SEGURA et al., 1990; KONDO et al., 1997; HÄCKER, 2000).
In addition to excreting metabolic wastes, the insect hindgut serves an important function in reabsorbing metabolic water and other nutrients from residues (TREHERNE, 1967). The rectal pads of the hindgut play a vital role in the absorption of metabolic water and inorganic salts (PHILLIPS, 1970). The hindgut of the adult transforms into a membranous structure, and an inflated rectal sac begins to form and contains contents by the 5th day of pupation. The volume of the rectal sac gradually increases with pupal development, indicating that pupal metabolic wastes may accumulate in the hindgut from digestion and cause it to expand adaptively to form a rectal sac. A similar result has been reported in Bombyx mori (Linnaeus, 1758) as well (IZZETOĞLU & ÖBER, 2011). However, the volume of the rectal sac in adults is obviously smaller than that of 9th day pupae, suggesting that pupal metabolites may be excreted after adult emergence. The adult rectal sac, a membranous structure, is expandable and can conform to certain morphologies according to digestive needs. Therefore, the size of the rectal sac decreases after adult emergence.
The Malpighian tube is not part of the digestive system, but it is closely related to the insect digestive system, both anatomically and functionally, during development. The Malpighian tube is an important excretory organ involved in the formation of urine. It also significantly contributes to the retention or reabsorption of essential components (WIGGLESWORTH, 1972). In particular, the posterior end of the Malpighian tube adheres to the hindgut to form a rectal complex, called the cryptonephridium, in larval C. sasakii that disappears by the adult stage. This phenomenon is also found in several other lepidopteran insects (RIGONI et al., 2004; KOLOSOV & O’DONNELL, 2019). The cryptonephridium efficiently maintains salt balance and reabsorbs metabolic water in larvae (RAMSAY, 1976; REYNOLDS & BELLWARD, 1989). However, the ends of the Malpighian tube dissociate in the adult stage of C. sasakii, indicating that the cryptonephridium degenerates in the pupal stage. Similar results have been found in Apidae (Hymenoptera) (SILVA-DE-MORAES RLM, 1976) and Tenebrionidae (Coleoptera) (BYERS, 1971) insects.
Acknowledgments
We are grateful for the assistance of Dr. Antonio Vives for Spanish Abstract translation of this manuscript. Financial support for this study was provided by the Funding Program for the Scientific Activities of Selected Returned Overseas Professionals in Shanxi Province to Zhiwei Zhang, the Excellent PhD Reward Project Fund of Shanxi Province to Lina Men (Grant SXYBKY201702), the Graduate Student Innovation Project of Shanxi Province to Qiqi Xue (Grant 2019SY210), the National Natural Science Foundation of China (Grant 31402007), Central Public-interest Scientific Institution Basal Research Fund (Grant Y2019XK19), and Grant TYIT201402 from Shanxi Agricultural University. The funding sources had no role in the study design, in the collection, analysis, or interpretation of the data, in the writing of the report, nor in the decision to submit this paper for publication.
BIBLIOGRAPHY
AKPAN, E. B. & OKORIE, G. T., 2003.– Allometric growth and performance of the gastric caeca of Zonocerus variegatus(L.) (Orthoptera: Pyrgomorphidae).– Acta entomologica Sinica, 46(5): 558-566.
BYERS, J. R., 1971.– Metamorphosis of the perirectal Malpighian tubules in the mealworm Tenebrio molitor L. (Coleoptera, Tenebrionidae). II. Ultrastructure and role of autophagic vacuoles.– Canadian Journal of Zoology, 49(8): 1185-1191.
CHAUTHANI, A. R. & CALLAHAN, P. S., 1967.– Developmental Morphology of the Alimentary Canal of Heliothis zea (Lepidoptera: Noctuidae).– Annals of the Entomological Society of America, 60(6): 1136-1141.
ELSON, J. A., 1937.– A comparative study of Hemiptera.– Annals of the Entomological Society of America, 30(4): 579-597.
FERNÁNDEZ-SEGURA, E., GARCÍA, J. M. & CAMPOS, A., 1990.– Scanning electron microscopic study of natural killer cell-mediated cytotoxicity.– Histology & Histopathology, 5(3): 305-310.
GONÇALVES, W. G., FERNANDES, K. M., SANTANA, W. C., MARTINS, G. F., ZANUNCIO, J. C. & SERRÃO, J. E., 2018.– Post-embryonic development of the Malpighian tubules in Apis mellifera (Hymenoptera) workers: morphology, remodeling, apoptosis, and cell proliferation.– Protoplasma, 255(2): 585-599.
GULLAN, P. J. & CRANSTON, P. S., 2000.– The insects: an outline of entomology: 624 pp. Blackwell Science, Oxford.
HÄCKER, G., 2000.– The morphology of apoptosis.– Cell & Tissue Research, 301(1): 5-17.
HALLOCK, K. J., 2008.– Magnetic resonance microscopy of flows and compressions of the circulatory, respiratory, and digestive systems in pupae of the tobacco hornworm, Manduca sexta.– Journal of Insect Science, 8(1): 10.
HAMILTON, J. B. & JOHANSSON, M., 1955.– Influence of sex chromosomes and castration upon lifespan. Studies of meal moths, a species in which sex chromosomes are homogeneous in males and heterogeneous in females.– The Anatomical Record, 121(3): 565-577.
HENSON, H., 1929.– On the development of the mid-gut in the larval stages of Vanessa urticae (Lepidoptera).– Quarterly Journal of Microscopy Science, 73(1): 87-105.
HONG, F., SONG, H. & AN, C. J., 2016.– Introduction to insect metamorphosis.– Chinese Journal of Applied Entomology, 53(1): 1-8.
HUANG, Z. J., ZHONG, Y. J., DENG, X. J., HE, X. R., LIANG, H. & PAN, Z., 2006.– Observation of the midgut and silk gland in silkworm during pupal-adult metamorphosis.– Journal of South China Agricultural University, 27(2): 100-103
IZZETOĞLU, G. T. & ÖBER, A., 2011.– Histological investigation of the rectal sac in Bombyx mori L.– Turkish Journal of Zoology, 35(2): 213-221.
JUDY, K. J. & GILBERT, L. I., 1969.– Morphology of the alimentary canal during the metamorphosis of Hyalophora cecropia (Lepidoptera: Saturniidae).– Annals of the Entomological Society of America, 62(6): 1438-1446.
JUDY, K. J. & GILBERT, L. I., 1970.– Histology of the alimentary canal during the metamorphosis of Hyalophora cecropia (L.).– Journal of Morphology, 131(3): 277-299.
KAFATOS, F. C., TARTAKOFF, A. M. & LAW, J. H., 1967.– Cocoonase I. Preliminary characterization of a proteolytic enzyme from silk moths.– Journal of Biological Chemistry, 242(7): 1477-1487.
KAFATOS, F. C. & WILLIAMS, C. M., 1964.– Enzymatic mechanism for the escape of certain moths from their cocoons.– Science, 146(3643): 538-540.
KIM, D. S., LEE, J. H. & YIEM, M. S., 2001.– Temperature-dependent development of Carposina sasakii (Lepidoptera: Carposinidae) and its stage emergence models.– Environmental Entomology, 30(2): 298-305.
KOLOSOV, D. & O’DONNELL, M. J., 2019.– The Malpighian tubules and cryptonephric complex in lepidopteran larvae: 165-202.– In R. JURENKA (ed.). Advances in Insect Physiology, 56: 1-343.
KONDO, T., TAKEUCHI, K., DOI, Y., YONEMURA, S., NAGATA, S. & TSUKITA, S., 1997.– ERM (ezrin/radixin/moesin)-based molecular mechanism of microvillar breakdown at an early stage of apoptosis.– Journal of Cell Biology, 139(3): 749-758.
LI, X. F., FENG, D. D., XUE, Q. Q., MENG, T. L., MA, R. Y., DENG, A., et al., 2019.– Density-Dependent Demography and Mass-Rearing of Carposina sasakii (Lepidoptera: Carposinidae) Incorporating Life Table Variability.– Journal of economic entomology, 112(1): 255-265.
LI, Y. Y., SUN, L. N., TIAN, Z. Q., HAN, H. B., ZHANG, H. J., QIU, G. S., WY, Y. & YUE, Q., 2018.– Gut bacterial community diversity in Carposina sasakii and Grapholitha molesta.– The Journal of Applied Ecology, 29(10): 3449-3456.
LU, X., HE, H. & XI, G. S., 2009.– The microstructure of alimentary canal and Malpighian tubules of Teleogyllus emma.– Chinese Bulletin of Entomology, 46(5): 764-767.
NORRIS, M. J., 1934.– Contributions towards the Study of Insect Fertility.– III.* Adult Nutrition, Fecundity, and Longevity in the Genus Ephestia (Lepidoptera, Phycitidae).– Proceedings of the Zoological Society of London, 104(2): 333-360.
O’BRIEN, D. M., BOGGS, C. L. & FOGEL, M. L., 2004.– Making eggs from nectar: the role of life history and dietary carbon turnover in butterfly reproductive resource allocation.– Oikos, 105(2): 279-291.
O’BRIEN, D. M., FOGEL, M. L. & BOGGS, C. L., 2002.– Renewable and nonrenewable resources: amino acid turnover and allocation to reproduction in Lepidoptera.– Proceedings of the National Academy of Sciences, 99(7): 4413-4418.
ÖZYURT, N., AMUTKAN, D., POLAT, I., KOCAMAZ, T., CANDAN, S. & SULUDERE, Z., 2017.– Structural and ultrastructural features of the Malpighian tubules of Dolycoris baccarum (Linnaeus 1758),(Heteroptera: Pentatomidae).– Microscopy Research and Technique, 80(4): 357-363.
PAUCHET, Y., MUCK, A., SVATOS, A., HECKEL, D. G. & PREISS, S., 2008.– Mapping the larval midgut lumen proteome of Helicoverpa armigera, a generalist herbivorous insect.– Journal of Proteome Research, 7(4): 1629-1639.
PHILLIPS, J. E., 1970.– Apparent transport of water by insect excretory systems.– American Zoologist, 10(3): 413- 436.
RAMSAY, J. A., 1976.– The rectal complex in the larvae of Lepidoptera.– Philosophical Transactions of the Royal Society of London. B, Biological Sciences, 274(932): 203-226.
REYNOLDS, S. E. & BELLWARD, K., 1989.– Water balance in Manduca sexta caterpillars: water recycling from the rectum.– Journal of Experimental Biology, 141(1): 33-45.
RIGONI, G. M., TOMOTAKE, M. E. M. & CONTE, H., 2004.– Morphology of malpighian tubules of Diatraea saccharalis (F.)(Lepidoptera: Crambidae) at final larval development.– Cytologia, 69(1): 1-6.
ROWLAND, I. J. & GOODMAN, W. G., 2016.– Magnetic Resonance Imaging of Alimentary Tract Development in Manduca sexta.– PloS one, 11(6): e0157124.
SILVA-DE-MORAES RLM, C.-L. C., 1976.– Comparative studies of Malpighian tubules from larvae, pupae and adults workers of Melipona quadrifasciata anthidioides Lep. (Apidae, Meliponinae).– Papéis Avulsos de Zoologia, 29: 249-257.
TERRA, W. R., 1990.– Evolution of digestive systems of insects.– Annual Review of Entomology, 35(1): 181-200.
TERRA, W. R., BARROSO, I. G., DIAS, R. O. & FERREIRA, C., 2019.– Molecular physiology of insect midgut.– In R. JURENKA (ed.). Advances in Insect Physiology, 56: 177-163.
TETTAMANTI, G., MALAGOLI, D., MARCHESINI, E., CONGIU, T., EGUILEOR, M. D. & OTTAVIANI, E., 2006.– Oligomycin A induces autophagy in the IPLB-LdFB insect cell line.– Cell & Tissue Research, 326(1): 179-186.
THUMMEL, C. S., 2001.– Steroid-triggered death by autophagy.– Bioessays, 23(8): 677-682.
TONG, D. D., WU, Y. L., ZHENG, G. L. & LI, C. Y., 2013.– Research advances on insect midgut cell culture in vitro.– Journal of Environmental Entomology, 35(3): 390-398.
TREHERNE, J. E., 1967.– Gut Absorption.– Annual Review of Entomology, 12(1): 43-58.
TSUJIMOTO, Y. & SHIMIZU, S., 2005.– Another way to die: autophagic programmed cell death.– Cell Death & Differentiation, 12(2): 1528-1534.
VOLKMANN, A. & PETERS, W., 1989.– Investigations on the midgut caeca of mosquito larvae—II. Functional aspects.– Tissue and Cell, 21(2): 253-261.
WANG, H. W., ZHANG, C. H., CUI, W. Z., LIU, X. L., ZHOU, Y. C., CAI, Y. M., et al., 2005.– Studies on secretory organs of cocoonase and silkmoth vomiting fluid of silkworm, Bombyx mori.– Science of Sericulture, 31(2): 136-140.
WIGGLESWORTH, V. B., 1972.– The principles of insect physiology: VIII + 827 pp. Chapman and Hall, London/New York.
XIONG, Q., LI, J., XUE, J. L., ZHAO, F. & XIE, Y. P., 2011.– Microstructure of Alimentary Canal and Malpighian Tubules of the Larvae of Carposina sasakii (Insecta: Lepidoptera: Carposinidae).– Sichuan Journal of Zoology, 30(5): 753-755+663.
YANG, J. P., 2006.– Improvement of traditional paraffin section preparation methods.– Journal of Biology, 23(1): 45-46.
ZENG, B. J. & FENG, Q. L., 2014.– Study of insect metamorphosis.– Chinese Journal of Applied Entomology, 51(2): 317-328.
ZHANG, Z. W., MEN, L. N., WU, Z. Y., MENG, T. L. & MA, R. Y., 2018.– Studies on fitness of Carposina sasakii Matsumura (Lepidoptera: Carposinidae) to different varieties of Malus pumila Miller apples.– Journal of Shanxi Agricultural University (Natural Science Edition), 38(7): 1-7.
Notas de autor
* Autor para la correspondencia / Corresponding authorzhiweizhang2012@163.com