ARTÍCULOS
ACTIVIDAD REPRODUCTIVA Y DINÁMICA POBLACIONAL DE Rhipidomys fulviventer (RODENTIA: CRICETIDAE) EN LA CORDILLERA ORIENTAL COLOMBIANA
Reproductive activity and population dynamics of Rhipidomys fulviventer (Rodentia: Cricetidae) in the Colombian eastern mountain range
ACTIVIDAD REPRODUCTIVA Y DINÁMICA POBLACIONAL DE Rhipidomys fulviventer (RODENTIA: CRICETIDAE) EN LA CORDILLERA ORIENTAL COLOMBIANA
Mastozoología Neotropical, vol. 26, núm. 2, pp. 452-467, 2019
Sociedad Argentina para el Estudio de los Mamíferos
Recepción: 13 Diciembre 2018
Aprobación: 15 Abril 2019
Resumen: Estudiamos la actividad reproductiva y dinámica poblacional de Rhipidomys fulviventer en un bosque andino de roble en la Cordillera Oriental de Colombia. Se realizó un seguimiento poblacional mensual de octubre de 2014 a septiembre de 2015 y de septiembre de 2016 a enero de 2018, mediante capturas en cinco estaciones fijas en un intervalo altitudinal de 2530 a 2657 m. La condición reproductiva en hembras se estableció por observación de características morfológicas externas y por el análisis de muestras de frotis vaginales para la determinación de la fase del ciclo estral y en los machos se describió su actividad reproductiva mediante histología testicular. Así mismo, se estimó la distribución, fluctuación y asociación del número de individuos capturados y la estructura etaria con la precipitación a lo largo del tiempo, así como la longevidad, la proporción de sexos y las probabilidades de supervivencia y recaptura utilizando el modelo Comarck-Jolly-Seber (CJS). En esta población de R. fulviventer las hembras tienen un patrón de poliestría no estacional sin presentar una relación entre la frecuencia de hembras reproductivas en cada estado y la variación del promedio mensual de lluvias; los machos adultos estuvieron activos reproductivamente, presentando espermatozoides todos los meses. Se encontró que el número de individuos capturados es variable sin relación con el régimen de lluvias, una supervivencia constante moderada-alta, una tasa de recaptura moderada y, diferencias entre machos y hembras en las tasas de recapturas, las áreas de actividad y las distancias medias recorridas, sugiriendo un sistema de apareamiento promiscuo.
Palabras clave: Bosque Andino, dinámica poblacional, factores ambientales, reproducción, roedores de montaña.
Abstract: We studied the reproductive activity and population dynamics of Rhipidomys fulviventer in an Andean oak forest in the Cordillera Oriental of Colombia. A monthly population follow-up was carried out from October 2014 to September 2015 and September 2016 to January 2018, through captures in five fixed stations in an altitudinal interval of 2530 to 2657 m. The reproductive condition in females was established by observation of external morphological characteristics and by the analysis of vaginal smear samples for the determination of the phase of the estrous cycle; in males, reproductive activity was described by testicular histology. Likewise, we estimated the distribution, fluctuation and association of number of individuals captured and age structure with precipitation over time, as well as, longevity, sex ratio and probabilities of survival and recapture using the Comarck-Jolly-Seber model (CJS). In this population of R. fulviventer , females have an unseasonal polyestrous pattern without showing a relation between the frequency of females in each reproductive stage and the variation of the monthly average of rains; adult males were reproductively active, showing sperm every month. It was found that the number of individuals captured is variable without relation to the rainfall regime, a moderate-high constant survival and recapture rate and, differences between males and females in recapture rates, areas of activity, and the average distances traveled, suggesting a promiscuous mating system.
Keywords: Andean forest, environmental factors, mountain rodents, population dynamics, reproduction.
INTRODUCCIÓN
La actividad reproductiva de los roedores tropicales ha sido poco estudiada y por esta razón, existe un vacío en el entendimiento de la regulación de su reproducción por factores ambientales (Bronson 2009). Algunos ecosistemas del trópico presentan patrones de precipitación muy marcados, lo que determina estaciones secas y de lluvias claramente diferenciables que afectan el balance energético entre forrajeo, termorregulación y reproducción (Bronson 1985; 2009).
La respuesta en la actividad reproductiva de una población de roedores tropicales a los factores ambientales ligados con los patrones de precipitación es variable, puede haber mayor actividad reproductiva en época de alta o de baja precipitación (Lacher 1992). Esta relación depende del ambiente y de los hábitos de la especie. Así, por ejemplo, en ecosistemas como los bosques húmedos tropicales que presentan estaciones muy marcadas, se afectan directamente la disponibilidad de recursos y la reproducción, determinando una reproducción claramente estacional (Bronson 1985; Lacher 1992), por el contrario, en los ambientes sin fluctuaciones drásticas en la precipitación, la reproducción tiende a ser continua (Lacher 1992). Se ha sugerido que la reproducción en roedores tropicales es continua debido a que tienen una estrategia oportunista, aprovechando las condiciones favorables de su hábitat, lo que es característico de los roedores que presentan una esperanza de vida corta, madurez sexual rápida, periodo corto de gestación y la presencia de estro postparto (Bronson 1985; Bronson & Perrigo 1987; Gentile et al. 2000).
Pocos estudios se han realizado en bosques tropicales de tierras altas, los cuales sugieren asimismo una reproducción continua que puede tener mayor o menor actividad en las diferentes estaciones asociadas con el régimen de precipitación local. Por ejemplo, Rhipidomys fulviventer (R. latimanusMontenegro-Díaz et al. 1991) y Nephelomys meridensis (Villamizar-Ramírez et al. 2017) se reproducen continuamente en bosques altoandinos de la Cordillera Oriental colombiana; Peromyscus mexicanus (P. nudipes) en un bosque tropical montano transicional con una precipitación estacional (1 402 m de altitud, Costa Rica) tiene una reproducción pseudo-estacional, hembras y machos tienen gametogénesis continua pero sólo se tienen crías en la estación húmeda (Heideman & Bronson 1992).
Igualmente, hay pocos estudios sobre la dinámica poblacional de roedores tropicales de tierras altas. Se ha demostrado un aumento de la densidad en la temporada húmeda, mientras que la probabilidad de supervivencia y de captura varían con el tiempo, sin mostrar algún patrón relacionado con el régimen de precipitación. Por ejemplo, en Peromyscus mexicanus el tamaño poblacional presentó una relación positiva con los promedios de lluvias mensuales en una zona en proceso de sucesión natural, mientras que en un bosque nublado permaneció constante (Rojas & Rodríguez 2007); en los bosques de montaña en la Cordillera Oriental colombiana, en Rhipidomys fulviventer (R. latimanus) la densidad poblacional aumentó continuamente y tuvo una tasa mínima de supervivencia mayor hacia los meses de lluvias altas, además de mostrar una variación mensual en la captura de los individuos (Montenegro-Díaz et al. 1991), mientras que en el mismo sitio de estudio del presente trabajo en Microryzomys minutus, Nephelomys meridensis y Thomasomys laniger las abundancias variaron con el tiempo sin presentar una relación con la precipitación (Vargas-Ramírez et al. 2018).
Por otro lado, a partir del estudio de la ecología espacial, como el área de actividad de una especie, se puede obtener información relacionada con los sistemas de apareamiento, estrategias de forrajeo y componentes importantes del hábitat, entre otros (Santos Moreno 2008). El rango de hogar (“home range”) de un individuo es el espacio donde desarrolla actividades diarias como apareamiento, cuidado de las crías y forrajeo (Burt 1943), mientras que el área de actividad estima el tamaño del espacio usado en un intervalo de tiempo más largo (Santos Moreno 2008). A partir de la estimación del área de actividad se ha inferido el sistema de apareamiento; así, cuando el área de actividad en machos es mayor que en las hembras en roedores pequeños, se ha sugerido un sistema de apareamiento de tendencia promiscua [ej. Necromys (Bolomys) lasiurus (Magnusson et al. 1995; Pires et al. 2010), Akodon cursor (Gentile et al. 1997), Calomys musculinus (Steinmann et al. 2005)]. Sin embargo, se conoce muy poco sobre el área deactividad para roedores neotropicales de montaña.
Rhipidomis fulviventer se distribuye desde el este de la Cordillera Oriental de los Andes colombianos en el departamento de Norte de Santander y el páramo de Tamá (Venezuela) hasta el departamento de Cundinamarca, en elevaciones de 1800 a 3100 m (Tribe 2015). Para un periodo de muestreo de siete meses, en un bosque altoandino con régimen de precipitación unimodal, el estudio de Montenegro-Díaz et al. (1991) (referido como R. latimanus), describió algunos aspectos de su biología como la actividad reproductiva, duración de la gestación y tiempo para alcanzar la madurez sexual; además, describe la composición de la dieta, la densidad poblacional, la tasa mínima de supervivencia y el área de actividad. Con un periodo de muestreo mucho mayor, en este estudio se analiza estos aspectos para una población de R. fulviventer que habita en un bosque andino con un régimen de precipitación bimodal, ubicado al norte de su rango de distribución. Se analiza su dinámica poblacional y actividad reproductiva y la relación que puedan tener con el régimen de lluvias local y se comparan con la población estudiada previamente y con lo que se conoce en otros roedores neotropicales. Así, este estudio aporta conocimiento sobre la ecología poblacional y la biología reproductiva asociada con factores ambientales en mamíferospequeños de bosques de tierras altas del Neotrópico.
MATERIALES Y MÉTODOS
El presente trabajo se realizó en un bosque andino de roble (7°01’9.9”N, 72°53’33.6”W), en la vereda Esparta del municipio Santa Bárbara, Santander, Cordillera Oriental, Colombia. El bosque se caracteriza por la dominancia de los árboles del roble Quercus humboldtii. El área tiene un régimen de lluvias bimodal, con dos períodos de lluvias altas de abril a junio y de septiembre a noviembre, y dos períodos de lluvias bajas, de julio a agosto y de diciembre a marzo; la precipitación media anual es de 1214 mm (Worldclim Global Climate Data).
Se realizó un seguimiento poblacional desde octubre del 2014 hasta septiembre del 2015 y desde septiembre del 2016 hasta enero del 2018. Se establecieron cinco estaciones de captura fijas separadas cada 100 m aproximadamente en un rango altitudinal de 2 530 a 2 657 m, cubriendo un área aproximada de 1.84 ha. En cada estación se colocaron aleatoriamente 20 trampas de captura viva (modelo Sherman) sobre el suelo, troncos caídos y troncos doblados, para un total de 100 trampas, las cuales se dejaron activas durante 4 noches consecutivas cada mes. Cada día se cebaron con una mezcla de maní molido, avena en hojuelas, masa de maíz pelado, grasa vegetal y esencia de mantecado o vainilla.
A cada individuo capturado se le registró el sexo, el peso con un dinamómetro (Pesola®de 100 g ± 0,5 g) y las medidas estándar con un calibrador (±0,1 mm) [Longitud total (LT), longitud cabeza-cuerpo (LCC), longitud de la cola (LC), longitud de la oreja (LO) y longitud de la pata posterior (LP)]; los individuos se marcaron mediante la inyección en el dorso de un micro-chip intradérmico de 8 mm (Biomark®) y liberados en el mismo sitio de captura. El esfuerzo de captura se calculó multiplicando el número de trampas instaladas en la zona de estudio por el número de noches de muestreo.
Actividad reproductiva
A partir de las medidas morfológicas estándar tomadas a cada individuo se determinaron las tres categorías de edad, adulto, sub-adulto y juvenil siguiendo la propuesta de Montenegro-Díaz et al. (1991) (Tabla 1).
La condición reproductiva se estableció en hembras adultas mediante la observación de características morfológicas externas (desarrollo de las mamas, estado de la vagina [cerrada, abierta o con tapón vaginal] y morfología de la apertura vaginal [presencia o ausencia de tejido inflamado con o sin estrías en los bordes]) y por el análisis de muestras de frotis vaginales para la determinación de la fase del ciclo estral. Se categorizaron como, en lactancia (apertura vaginal pequeña sin tejido inflamado, mamas desarrolladas y producción de leche) o preñadas (tapón vaginal, vagina cerrada o con la apertura vaginal pequeña sin tejido inflamado, y mamas desarrolladas). La presencia de tapón vaginal se consideró como un indicativo de cópula reciente.
Las muestras de frotis vaginales se obtuvieron de cada hembra con vagina abierta. Los frotis vaginales se hicieron mediante un lavado vaginal introduciendo solución salina (3.0 µl) al 0.9% en el conducto vaginal con una micropipeta Accumax Pro (0.1-10µl); cada muestra se recogió y depositó en una lámina portaobjetos, la cual se dejó secar a temperatura ambiente y se fijó agregando unas gotas de etanol al 70% dejando secar una vez más a temperatura ambiente. Las muestras así tomadas pasaron por el siguiente proceso de tinción: se adicionó eosina durante 4 minutos, se lavó con agua destilada el exceso de colorante, se añadió una gota de etanol al 70% , luego se cubrió las láminas con azul de metileno al 10% por 60 segundos, enseguida se lavó con agua destilada y finalmente se cubrieron las láminas con laminillas. Las muestras se observaron y fotografiaron en un microscopio (Nikon Eclipse 55i®) con cámara integrada (Canon EOS Rebel XS®). Se realizó un duplicado de cada lavado para obtener mejores resultados.
![Categorías de edad en machos y hembras de Rhipidomys fulviventer basadas en las medidas morfológicas estándar: tamaños corporales (mm) [Longitud total (LT), longitud cabeza-cuerpo (LCC), longitud de la cola (LC), longitud de la oreja (LO) y longitud de la pata posterior (LP)] y el peso (g), de los individuos capturados en este estudio.](../45763089025_gt2.png)
Las fases del ciclo estral se diferenciaron cualitativamente teniendo en cuenta el tipo de células del epitelio vaginal presentes en cada muestra (Hubscher et al. 2005; Yener et al. 2007; Caligioni 2009; Byers et al. 2012; Mclean et al. 2012). Adicional al registro y análisis de los frotis vaginales, a cada hembra se le tomaron fotografías (Cámara Nikon Coolpix l330®) de la apertura vaginal para observar la morfología característica de cada fase del ciclo estral (Byers et al. 2012; Villamizar-Ramírez et al. 2017).
Aquellas hembras que no mostraron características morfológicas de preñez o estado de lactancia se categorizaron por los resultados del análisis del epitelio vaginal y por la morfología de la apertura vaginal. Las hembras que se encontraron en proestro, estro o metaestro se consideraron como hembras reproductivas ya que hay estimulación hormonal para cada fase y una clara indicación de que son sexualmente activas.
En los machos adultos se determinó el estado reproductivo mediante histología testicular, estudiando el ciclo del epitelio seminífero con el método de morfología tubular; las etapas se identificaron por la composición general del epitelio seminífero (Boiani et al. 2007; Costa et al. 2010; Morais et al. 2014; 2016; Siman et al. 2017). Para esto se colectaron 2 machos adultos por mes, los cuales fueron eutanizados mediante compresión torácica, los especímenes se procesaron y almacenaron como material seco (pieles y cráneo) y húmedo (cuerpos). Los cuerpos se disecaron ventralmente utilizando un bisturí quirúrgico para la posterior extracción de los testículos y epidídimos; estos se fijaron en formaldehido al 10% amortiguado y deshidratados en una serie creciente de concentraciones de etanol hasta llegar al 70%, en el cual se almacenaron. Luego, para el análisis histológico se deshidrataron en una serie ascendente de concentraciones de etanol hasta el 96% , se aclararon con xilol y se embebieron en paraplast. Se realizaron cortes histológicos con un micrótomo rotatorio Lipshaw® a un grosor de 5 a 7 µm, los cuales fueron teñidos con hematoxilina-eosina. Finalmente, las secciones se examinaron y fotografiaron.
La colecta de los machos se realizó bajo el permiso marco de recolección de especímenes de especies silvestres de la diversidad biológica con fines de investigación científica no comercial (Autoridad Nacional de Licencias Ambientales ANLA, Resolución No. 0047 del 22 de enero del 2015, modificada en la resolución 0260 del 11 de marzo del 2016). Estos individuos ingresaron a la Colección de Mastozoología del Museo de Historia Natural de la Universidad Industrial de Santander.
Análisis de datos
Actividad reproductiva
La actividad reproductiva mensual se calculó como la proporción de hembras preñadas, lactantes y reproductivas (según la caracterización del epitelio vaginal). Las diferencias significativas en el número de hembras en cada estado reproductivo a lo largo del tiempo se probaron mediante la prueba multinomial utilizando el paquete XNomial v1.0.4 (Engels 2015) en R v3.3.1 (R Core Team 2016).
Para determinar si existía una asociación entre los promedios mensuales de precipitación con la actividad reproductiva se utilizó la correlación de Spearman usando el paquete Hmisc (Harrell & Charles 2015) en R v3.3.1 (R Core Team 2016). Debido a que los factores ambientales pueden influir posteriormente en la reproducción, se utilizaron las correlaciones de Spearman con el mes correspondiente, con uno y dos meses anteriores (Antunes et al. 2009).
Duración de la gestación, madurez sexual y dimorfismo sexual
Para determinar la duración de la gestación y el tiempo en alcanzar la madurez sexual se usaron los datos de las capturas y recapturas. Para la duración de la gestación sólo se analizaron las hembras que estuvieron en estro o con tapón vaginal (indicativo de cópula reciente y gestación temprana) en el momento de la captura y en gestación tardía o lactante en la recaptura y se contaron los días transcurridos. Para la madurez sexual se analizaron las hembras que estuvieron como juveniles en el momento de la captura y en estado de preñez temprana en la recaptura y se contaron los días transcurridos.
Para evaluar la posible existencia de dimorfismo sexual en individuos adultos se compararon 6 variables: el peso corporal y las 5 medidas morfológicas estándar, las cuales se evaluaron mediante la prueba t-student o la prueba no paramétrica U de Mann-Whitney en el software STATISTICA 7.0 (Statsoft 2004) con un nivel de significancia de 0.05. Para las variables que mostraron diferencias significativas entre machos y hembras se calculó un índice de dimorfismo (Schulte-Hostedde 2007).
Demografía: individuos capturados, estructura de edades y longevidad
Para evaluar si el número de individuos fluctuaba con el tiempo se realizó una prueba de bondad de ajuste (prueba G), utilizando el paquete RVAideMemoire (Hervé 2017) en R v3.3.1 (R Core Team 2016). Posteriormente, se realizó una correlación de Spearman para evaluar la relación entre el número de individuos capturados y la precipitación promedio mensual.
Para determinar si había diferencias significativas en la captura de adultos respecto de los inmaduros (sub-adultos y juveniles) se utilizó la prueba U de Mann-Whitney y para conocer si existían diferencias en su distribución a través del tiempo se utilizó una prueba multinomial. Por último, el tiempo de permanencia máximo observado en los individuos se tomó como una estimación de la longevidad (Macedo et al. 2007).
Supervivencia - recaptura y proporción de sexos
Mediante la técnica captura-marca-recaptura se realizó el seguimiento de la población de R. fulviventer y con los datos de historias de detección por mes se estimaron la supervivencia aparente y la probabilidad de recaptura usando el modelo Cormack-Jolly-Seber (Cormack 1964; Jolly 1965; Seber 1965; 1986). Se evaluaron todos los posibles modelos que se ven influenciados por la variabilidad del tiempo y el sexo, más no por la edad debido al bajo número de capturas de individuos inmaduros (juveniles y subadultos), por lo tanto, se analizaron únicamente los adultos machos y hembras. Los datos que se incluyeron en este análisis fueron desde octubre del 2014 hasta enero del 2018, aclarando que hay un espacio de 11 meses donde no se realizó marcaje y capturas. Para la elección del mejor modelo se utilizó el Quasi-criterio de información de Akaike (QAIC) (Lebreton et al. 1992), escogiendo el modelo con el menor valor. Después de obtener los resultados de los modelos se procedió a realizar el ajuste de los valores de los parámetros de todos los modelos debido a la variación extrabinomial que puede afectar el análisis. El ajuste se realizó dividiendo el valor observado del factor de inflación de la varianza (c-hat) entre el valor promedio de una simulación con 1 000 repeticiones. Los análisis se realizaron en el programa Mark v8.x (Cooch & White 2014).
Los modelos suponen que los individuos marcados y la presencia de individuos transitorios no afectan la supervivencia de la población residente (homogeneidad de supervivencia) y que el método de captura y marcado no afectan las probabilidades de recaptura (igual probabilidad de captura) (Pérez-Lustre & Santos-Moreno 2010). Estos supuestos se evaluaron utilizando las pruebas de bondad de ajuste (test 2 (ct) y test 3 (sr)) en el programa U-CARE v2-3-4 (Choquet et al. 2005; 2009).
Para determinar si existían diferencias significativas en la proporción de sexos 1:1, se ajustó el número de individuos machos y hembras con la probabilidad de captura estimada para cada sexo, y después se utilizó una prueba binomial (R Core Team 2016) con proporción 0.50. Para establecer si había una diferencia significativa entre el número de machos y hembras en el tiempo se utilizó la prueba multinomial.
Área de actividad y distancia media recorrida
El área de actividad se estimó utilizando los registros geográficos de las trampas donde los individuos machos y hembras fueron recapturados, los puntos se tomaron con un GPS Portátil Garmin Map 64s. Los datos de cada individuo se transfirieron a Google Earth Pro para calcular el área del Polígono Mínimo Convexo (PMC), luego se promediaron las áreas para los machos y para las hembras. Además, se analizó la superposición de las áreas para determinar el patrón de superposición de machos y hembras.
La distancia promedio recorrida se estimó para los individuos que fueron recapturados en una trampa frecuente y que además se capturaron en dos o más trampas. Se midieron las distancias entre la trampa frecuente y cada una de las demás trampas con un decámetro. Luego, las distancias se promediaron para los machos y para las hembras. Los datos usados fueron de 16 meses de muestreo (septiembre/2016-enero/2018). Por último, para determinar si había diferencias significativas entre machos y hembras tanto en área como en distancia se utilizó la prueba U de Mann-Whitney.
RESULTADOS
Se capturaron en total 328 individuos en 618 eventos de captura. De estos individuos, 109 fueron recapturados, 78 adultos (41 machos y 37 hembras), 10 sub-adultos (6 machos y 4 hembras) y 21 juveniles (9 machos y 12 hembras). El rango de recapturas estuvo entre 1 y 7 meses (Tabla S1). El esfuerzo de captura fue de 10.400 trampas/noche.
Actividad reproductiva
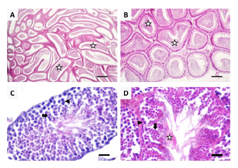
Todas las hembras adultas se encontraron reproductivamente activas a lo largo del tiempo. Se observaron hembras preñadas todos los meses sin presentar diferencias significativas según la prueba multinomial (p=0.18). Las hembras lactantes se encontraron durante la mayoría del muestreo excepto en noviembre del 2014 y en diciembre del 2017, presentando diferencias significativas a lo largo del tiempo (p=0.04) pero sin presentar un patrón aparente o picos de lactancia. Las hembras reproductivas en diferentes fases del ciclo estral se observaron en la mayoría de los meses excepto en 6 de los 27 muestreados, sin mostrar diferencias significativas (p=0.97), así mismo en estos 6 meses se encontraban también hembras preñadas y lactantes (Fig. 1). En las muestras de frotis vaginales se observaron las 4 fases del ciclo estral (Fig. 2) y la proporción de las hembras en cada fase se muestra en la Fig. S1. Cabe resaltar que las dos hembras que se encontraron en diestro no cesaron su reproducción pues estuvieron preñadas un mes después; en hembras preñadas se observó la fase del metaestro.
En la histología testicular realizada sobre los machos adultos se encontró que todos estuvieron activos reproductivamente. En todos los individuos se observaron espermatozoides en los epidídimos y en los testículos se observaron en su mayoría las etapas 7 y 8 del ciclo del epitelio seminífero. La etapa 7 se caracteriza principalmente por presentar espermátides alargadas alineadas al borde luminal, mientras que en la etapa 8 se observan espermatozoides luminales (Morais et al. 2014) (Fig. 3).
Actividad reproductiva y su relación con la precipitación
Con relación a la precipitación no se encontró una correlación significativa entre el promedio mensual de lluvias del mes correspondiente ni de meses anteriores con la ocurrencia de hembras preñadas, en lactancia y reproductivas (Tabla S2). Igualmente, no se observó un patrón de variación sincrónica en la proporción de las hembras en cada estado reproductivo a lo largo del año (Fig. 1).
Duración de la gestación, madurez sexual y dimorfismo sexual
Con base en el estado reproductivo de las hembras observado en la captura y en la recaptura de algunas de ellas (Tabla 2) se presume que el periodo de gestación puede durar entre 29 y 31 días, y que la madurez sexual en hembras puede alcanzarse a los 90 días aproximadamente. Cabe resaltar que se encontró una hembra que tuvo 2 crías en marzo del 2017 y presentó estro posparto.
En cuanto al dimorfismo sexual en los adultos, las 6 variables analizadas presentaron diferencias significativas, siendo mayores los valores en machos que en hembras. Por lo tanto, se calculó el índice de dimorfismo sexual para todas las variables corporales; el peso fue la variable en la que más se diferenciaron, seguido por el largo cabeza-cuerpo (LCC) (Tabla 3).
Demografía: individuos capturados, estructura de edades y longevidad
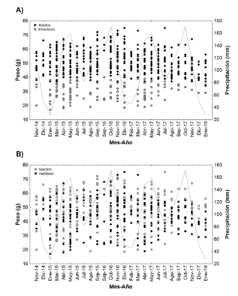
El número de individuos varió a través del tiempo (Test G=125.71; gl=26; n=618; P<0.0004) sin presentar una relación con la precipitación del mismo mes (r=0.23, p=0.25) y meses anteriores (1 mes antes: r=0.02, p=0.91; 2 meses antes: r=-0.37, p=0.06).
Se observaron adultos e inmaduros todos los meses, obteniendo una mayor captura de adultos (219 individuos, 134 machos y 85 hembras) que de inmaduros (100 individuos, 52 machos y 48 hembras), no se incluyeron 9 individuos machos debido a que no se obtuvieron las medidas. Así, la captura de adultos respecto de los inmaduros fue significativamente diferente (Test U=46; p=0.0001). A través del tiempo se encontraron diferencias significativas en la captura tanto para los adultos como para los inmaduros (p=0.0001, test multinomial) (Fig. 4).
Se capturó repetidamente una hembra durante 19 meses (abril-2015/noviembre-16, 7 recapturas) y a otra durante 17 meses (septiembre-15/febrero-17, 5 recapturas); a un macho durante 20 meses [enero-15 (juvenil)/ septiembre-16 (adulto), 5 recapturas] y a otro durante 16 meses (mayo-15/septiembre-16, 4 recapturas). Por tanto, se infiere que la longevidad de los individuos de esta población está entre 16 y 20 meses.
Supervivencia - recaptura y proporción de sexos
Los supuestos evaluados de igualdad de captura y supervivencia homogénea indican que el método de captura y marcado no afectan las probabilidades de captura y que los individuos marcados y la presencia de individuos transitorios no afectan la supervivencia de la población residente (Tabla S3).
El mejor modelo candidato fue aquel en que la probabilidad de supervivencia permanece constante en el tiempo y no varía con el sexo, mientras que la probabilidad de captura difiere entre sexos y permanece constante en el tiempo [Φ(.)p(s)]. Para ajustar los parámetros de todos los modelos se utilizó el valor de c-hat=0.87, el cual se obtuvo de la división entre el valor observado (8.62) y el valor promedio de la simulación (9.88). Una vez se ajustaron los parámetros el mejor modelo siguió siendo Φ(.)p(s), superando al segundo modelo Φ(s)p(s) en 266% (Tabla S4). Según el modelo Φ(.)p(s), la probabilidad de supervivencia de los adultos de esta población de R. fulviventer fue de 0.78 y la probabilidad de recaptura de los machos fue 0.50 y de las hembras 0.62, siendo mayor en hembras en un 12% .
La proporción de sexos (machos: hembras) ajustado con la probabilidad da captura estimada para machos y hembras fue 1:0.84 (98 machos y 82 hembras), sin presentar diferencias significativas (p=0.263, test binomial con proporción 0.50). Por último, la distribución de machos y hembras a través del tiempo varió significativamente (p=0.0001, test multinomial) (Fig. 4)


Área de actividad y distancia media recorrida
Para el área de actividad se analizaron en total 16 individuos (7 machos y 9 hembras), estimándose para los machos un área promedio de 113.9±41.8 m2 y para las hembras de 61.4±18.7 m2, con diferencias significativas entre sexos (Test U=8; p=0.013). Para otros 13 individuos (5 machos y 8 hembras) se encontraron valores extremos que no se tuvieron en cuenta para la estimación del promedio. De estos individuos, en los machos se encontraron valores máximos de 633 y 771 m2 y para las hembras un valor mínimo de 9.21 m2 y uno máximo de 342 m2. Además, se observó un patrón de superposición de áreas intrasexual e intersexual, en las 5 estaciones de muestreo (Fig. 5).


En cuanto a la distancia media recorrida, se estimó para un total de 17 individuos (5 machos y 12 hembras), siendo para los machos 20.5±12.1 m y para las hembras 14.7±8.1 m, sin presentar diferencias significativas (Test U=207; p=0.152).
DISCUSIÓN
Actividad reproductiva
Los resultados de este análisis muestran que la población de Rhipidomys fulviventer tiene un patrón reproductivo de poliestría no estacional, reproduciéndose continuamente y sin variación y, por tanto, sin presentar una clara relación con la variación en la precipitación de su hábitat andino. A lo largo del tiempo y en un mismo mes se encontraron hembras preñadas, en lactancia y en estro, de manera que existe asincronía reproductiva intrasexual. Para la población altoandina de esta especie Montenegro Díaz et al. (1991) encontraron también actividad reproductiva constante durante los 7 meses muestreados y hembras en diferentes estados reproductivos en un mismo muestreo y a lo largo del tiempo.
![Comparación entre sexos en los tamaños corporales (mm) [Longitud total (LT), longitud cabeza-cuerpo (LCC), longitud de la cola (LC), longitud de la oreja (LO) y longitud de la pata posterior (LP)] y el peso (g) de los individuos adultos de toda la muestra de Rhipidomys fulviventer. Se especifica el promedio ± desviación estándar, los intervalos mayores e inferiores entre paréntesis, la muestra total estudiada entre paréntesis y la probabilidad de significancia (p) de la prueba t-student o su homóloga no paramétrica U de Mann-Whitney. (*, probabilidad significativa). Se indica el índice de dimorfismo sexual (H:M).](../45763089025_gt4.png)
Para otras especies del género Rhipidomys de zonas bajas se ha registrado también una actividad reproductiva continua, como sucede en R. macrurus (R. mastacalis) en un bosque de galería (con precipitación estacional) del Cerrado en Brasil (Mares & Ernest 1995), Rhipidomys sp. en los llanos inundables de Venezuela, y en R. venezuelae (R. mastacalis) en un bosque húmedo premontano, pero con un pico reproductivo pronunciado en la temporada húmeda temprana (O’Connell 1989). Sin embargo, en Brasil para R. itoan, se registró un periodo reproductivo (hembras preñadas y lactantes) de agosto a diciembre (temporada lluviosa) en un bosque pluvial montano (1 048 m de altitud) (Macedo et al. 2007).
Además de la especie de este estudio, pocos estudios se han realizado en especies de roedores que habitan bosques de tierras altas. Para el mismo hábitat del presente estudio se encontró que Nephelomys meridensis se reproduce continuamente (Villamizar-Ramírez et al. 2017), por otro lado, se encontró reproducción continua pseudo-estacional en Peromyscus nudipes (P. mexicanus) en un bosque tropical montano transicional con una precipitación estacional (1402 m de altitud, Costa Rica) (Heideman & Bronson 1992). Por lo tanto, estos estudios sugieren que los ratones neotropicales de montaña tienden a tener una reproducción continua y para algunas especies puede variar de acuerdo con el régimen climático particular de su hábitat.
Para roedores neotropicales de bajas altitudes la tendencia asimismo es mostrar actividad reproductiva continua. Lacher (1992) revisa estudios de roedores realizados en bosques tropicales húmedos de tierras bajas (Brasil y Panamá) y sabanas húmedas (Brasil y Venezuela), encontrando reproducción continua con estacionalidad variada para las diferentes especies en relación con su hábitat. Así mismo, Proechimys semispinosus y Hoplomys gymnurus en una zona de bosque lluvioso (54 m de altitud, Colombia) (Alberico & Gónzalez-M 1993); Akodon cursor y Oligoryzomys nigripes, aunque con mayor actividad en la estación seca en zonas intervenidas del valle Pamparrão con algunas zonas inundables (326 m de altitud, Brasil) (Gentile et al. 2000); y Nyctomys sumichrasti en bosques húmedos tropicales en Costa Rica (Romero & Timm 2013).
Tradicionalmente, para la determinación de la actividad reproductiva de los machos se ha empleado la posición relativa de los testículos, categorizando a los machos reproductivos a aquellos con testículos escrotales y los machos no reproductivos con testículos intra-abdominales [p. ej. en Rhipidomys fulviventer (R. latimanus) (Montenegro-Díaz et al. 1991), Hoplomys gymnurus y Proechimys semispinosus (Alberico & Gónzalez-M 1993), entre otros]. Sin embargo, esta metodología no es adecuada y no se considera un indicativo confiable, ya que se ha observado el cambio rápido de posición escrotal a abdominal tras la manipulación del individuo [p. ej. en Nephelomys meridensis (Villamizar-Ramírez et al. 2017)], y actividad espermatogénica en individuos con testículos en posición intra-abdominal. Así, para determinar el estado reproductivo en los machos es recomendable el uso de análisis histológicos y análisis comparativo de volumen testicular (Mills et al. 1992; Boiani et al. 2008).


Para R. fulviventer y con base en esta metodología se encontraron espermatozoides en los epidídimos y en los túbulos seminíferos las etapas 7 y 8 del ciclo del epitelio seminífero, demostrándose que todos los machos adultos fueron activos reproductivamente y lo fueron asimismo de manera continua en todos los meses muestreados. Otros roedores neotropicales también presentan gametogénesis continua, por ejemplo, en una población de Necromys (Bolomys) lasiurus en un área del Cerrado en Brasil (Couto & Talamoni 2005); sin embargo, la producción continua de espermatozoides puede ser significativamente mayor en la estación húmeda como ocurre en otra población de esta misma especie (Parreira & Cardoso 1993). En contraste, Akodon montensis tuvo gametogénesis cíclica con fases de recrudecimiento, actividad o proliferación, regresión y reposo en un bosque semi-deciduo estacional en Brasil (Couto & Talamoni 2005).
Duración de la gestación, madurez sexual y dimorfismo sexual
Muchos roedores en el trópico se reproducen de forma continua debido a las condiciones favorables del hábitat y a su estrategia oportunista, característica de los roedores que presentan una esperanza de vida corta, madurez sexual rápida, corto periodo de gestación y la presencia de estro postparto (Bronson 1985; Bronson & Perrigo 1987; Lacher 1992; Gentile et al. 2000). El seguimiento en campo de los individuos capturados en este estudio permitió establecer algunas de estas características para la población de R. fulviventer; el periodo de gestación podría estar entre los 29 y 31 días, la madurez sexual en hembras se podría alcanzar a los 90 días aproximadamente y las hembras siendo poliéstricas continuas pueden y mostraron tener estro postparto. En la población estudiada por Montenegro-Díaz et al. (1991) se encontraron tiempos similares, duración de la gestación de 1 mes y madurez sexual de 95 días. En otros roedores neotropicales también se han observado valores cercanos, como en Thomasomys laniger (gestación 24 días, madurez sexual a los 3.5 meses) (Lopez-Arevalo et al. 1993) y Nephelomys meridensis (gestación de 28-32 días, madurez sexual a los 100 días) (Villamizar-Ramírez et al. 2017). Para ambientes más cercanos al subtrópico la edad de madurez sexual en Nectomys squamipes es de 31 a 51 días y en Akodon cursor es de 38.8 a 51.2 días (Gentile et al. 2000), siendo sustancialmente menores a lo reportado aquí para R. fulviventer. Así, dentro de esta estrategia propia de los roedores, el periodo de gestación y el tiempo para alcanzar la madurez sexual de cada especie es variable.
El estro postparto se registró en esta población de R. fulviventer y en la población del estudio de Montenegro-Díaz et al. (1991), asimismo para la especie simpátrica Nephelomys meridensis (Villamizar Ramírez et al. 2017). Para R. gardneri, Tribe (2015) menciona que las hembras pueden quedar en preñez mientras están lactando. Por lo tanto, la evidencia de este rasgo permite confirmar la continuidad en la actividad reproductiva para las hembras y la estrategia oportunista descrita para los roedores.
En roedores se ha reportado variación en el patrón de dimorfismo sexual entre géneros, sin embargo, en la mayoría de los casos se observa un mayor tamaño en los machos, siendo estos más grandes que las hembras (Schulte-Hostedde 2007). En pocos grupos se ha reportado tamaños corporales mayores para las hembras (Schulte-Hostedde 2007), p. ej. en Salinomys delicatus (Rodríguez 2012) y Peromyscus maniculatus (Schulte-Hostedde et al. 2001). En esta población de R. fulviventer, los machos son un poco más grandes que las hembras, especialmente en las variables largo cabeza cuerpo (LCC) y peso corporal, similar a lo observado en la población estudiada por Montenegro-Díaz et al. (1991) y al igual que en Nephelomys meridensis (Villamizar-Ramírez et al. 2017) y en Neotoma mexicana (Cornely & Baker 1986). Schulte-Hostedde (2007) indica que se ha relacionado este mayor tamaño corporal en machos con el alto grado de competencia entre machos cuando el sistema de apareamiento es la poliginia (p. ej. en roedores de desierto de la familia Heteromyidae y en roedores fosoriales de la familia Geomyidae) (Schulte-Hostedde 2007).
Demografía: individuos capturados, estructura de edades y longevidad
El número de individuos en esta población de R. fulviventer varió con el tiempo sin presentar una relación con el régimen de lluvias de la zona; en contraste, en la población estudiada por Montenegro-Díaz et al. (1991), R. fulviventer presentó un aumento continuo hacia los meses de mayor precipitación. Para otros roedores simpátricos con el de nuestra población (Microryzomys minutus, Nephelomys meridensis y Thomasomys laniger), Vargas-Ramírez et al. (2018) encontraron que las abundancias variaron con el tiempo sin presentar una relación con la precipitación, indicando que este es un fenómeno común para los roedores de la zona de estudio. Así mismo, la abundancia de las poblaciones de roedores puede variar con relación o sin ella con el régimen climático de los hábitats particulares en otras especies, p. ej. en Peromyscus mexicanus el tamaño poblacional fluctuó con el tiempo y presentó una relación positiva con los promedios de lluvias mensuales en una zona en proceso de sucesión natural ubicada a los 2500 m de altitud, mientras que, en un bosque nublado (2 450 a 2 550 m de altitud), el tamaño poblacional permaneció constante (Rojas & Rodríguez 2007). En Peromyscus aztecus la densidad fue mayor hacia finales de la estación húmeda y la estación secafría y menor en la temporada seca, mientras que Reithrodontomys fulvescens no tuvo fluctuaciones en el tiempo, pero aumentó ligeramente en la estación húmeda en un bosque nublado maduro y uno perturbado (1 560 y 2 240 m de altitud, México) (Vázquez et al. 2000).
La mayor captura de individuos adultos que de inmaduros y su distribución desigual a lo largo del tiempo observado en esta población de R. fulviventer, también se observó para la otra población de la especie (Montenegro-Díaz et al. 1991). En otros trabajos de roedores neotropicales, también se señala que los adultos presentan una mayor densidad que los inmaduros y su distribución es diferente a través del tiempo [e.g. en Nectomys squamipes, Oryzomys intermedius, Trinomys iheringi y Akodon cursor (Bergallo & Magnusson 2004), Peromyscus mexicanus (Rojas & Rodríguez 2007), Nephelomys caracolus (García et al. 2013) y Nephelomys meridensis (Villamizar-Ramírez et al. 2017)]. Alberico & Gónzalez-M (1993) mencionan que en Hoplomys gymnurus y Proechimys semispinosus el rango vital de los juveniles es más pequeño que el de los adultos, al limitarse a una zona estrecha dentro del rango de la madre, siendo entonces, una posible explicación para este patrón desigual de capturas entre las diferentes clases de edad en roedores neotropicales. Adicionalmente, en un muestreo es más factible capturar adultos que inmaduros, pues como se observó aquí y en otros roedores, el tiempo en alcanzar la madurez sexual es corto, mientras que el tiempo de vida adulta es más prolongado (Villamizar-Ramírez et al. 2017).
El tiempo de permanencia visto en esta población estuvo entre 1 y 7 meses, aunque los individuos pueden tener una longevidad de 16 y 20 meses, estimada como el tiempo máximo de permanencia en un periodo de muestreo de 27 meses. En R. itoan se encontró un tiempo promedio de 8 meses y un máximo de 18, en un periodo de capturas de 4 años (Macedo et al. 2007) y en R. macrurus (R. mastacalis) el tiempo máximo de permanencia fue de 9 meses en un periodo de muestreo de 14 meses (Mares & Ernest 1995). Para zonas templadas se conoce que en el roedor Peromyscus leucopus pocos individuos viven más de un año y que la mayoría desaparece a los 6 meses, aunque llega a tener un tiempo máximo de 18, 20 y 38 meses (Burt 1940; Stickel & Warbach 1960). Varias son las especies ya sea de zonas tropicales o templadas que tienen una permanencia menor a 1 año (Mares & Ernest 1995), aunque puedan tener una esperanza de vida mayor; lo cual concuerda con lo observado para esta población de R. fulviventer.
Supervivencia – recaptura y proporción de sexos
La supervivencia moderada-alta (0.78) aquí encontrada bajo el uso del modelo Comarck-Jolly-Seber es cercana a la encontrada para Nyctomys sumichrasti (0.83) en un bosque tropical (precipitación unimodal), donde Pérez-Lustre & Santos-Moreno (2010) mencionan que quizás se deba a que los adultos ocupan espacios seguros con vegetación densa. En R. macrurus (Rhipidomys sp) se encontró que la probabilidad de supervivencia promedio mensual fue de 0.67, con un aumento al inicio de la estación seca (Milano 2007). En especies de otros géneros como en Peromyscus mexicanus la supervivencia varió con el tiempo y estuvo entre 0.45 y 1, sin presentar una relación con el régimen de lluvias (Rojas & Rodríguez 2007). En Oecomys mamorae la supervivencia aumentó al comienzo de la estación húmeda y disminuyó al final de la estación lluviosa (Andreazzi et al. 2011).
En la población de R. fulviventer estudiada por Montenegro-Díaz et al. (1991) se estimó la supervivencia mínima bajo un método numérico, mediante el cual encontraron una supervivencia de 0.50 a 0.83, aumentando hacia los meses de mayores lluvias. Además, mencionan que se categoriza como moderada-alta y que puede deberse al hábito arborícola de esta especie, dándole ventaja comparativa con especies estrictamente terrestres. Sin embargo, se ha registrado el uso tanto arbóreo como terrestre para otras especies de este mismo género [R. macconnelli y R. nitela (Handley 1976), R. venustus (Aagaard 1982), R. leucodactylus (Guillotin & Petter 1984), R. mastacalis (Sousa et al. 2004) y R. ipukensis (Rocha et al. 2011)], similar a lo ocurrido en este estudio donde la gran mayoría de capturas se dieron sobre el suelo. Vargas-Ramírez et al. (2018) encontraron una relación positiva y significativa entre la abundancia de R. fulviventer y la profundidad de la hojarasca, señalando que, aunque R. fulviventer se conoce como de hábito arbóreo también puede usar el sotobosque, con lo cual la capa vegetal acumulada de bosques de roble le confieren beneficios para el forrajeo y el refugio.
La mayor recaptura de hembras (0.62) que de machos (0.50) relacionada con la actividad reproductiva puede explicar estos resultados, pues se encontraron hembras en los estados de preñez y lactancia en todos los meses, siendo estos estados reproductivos costosos energéticamente (Bronson 1985; 2009) las hembras tendrían que salir a forrajear para suplir el costo energético, y quizás deban restringir su rango de forrajeo, aumentando así la posibilidad de ser recapturadas. Lo contrario se observó en Oryzomys chapmani, donde ocurrió una mayor probabilidad de captura de machos (0.87) que de hembras (0.57), (Pérez-Lustre & Santos-Moreno 2010) mencionan que puede deberse a que los machos tienen una mayor movilidad y que puede atribuirse a la búsqueda activa de las hembras.
La proporción de sexos para R. fulviventer se ajustó al esperado 1:1, similar a lo ocurrido en la población estudiada por Montenegro-Díaz et al. (1991), quienes señalan que la proporción de sexos se ajustó al esperado 1:1 (10 machos y 10 hembras). Igualmente ocurre en otras especies como en R. macrurus (Rhipidomys sp) (38 machos y 32 hembras) (Milano 2007) y en R. venezuelae (R. mastacalis) (19 machos y 26 hembras) (O’Connell 1989). Este patrón de proporción 1:1 que ocurre en muchos roedores neotropicales puede ser indicativo de que no hay presión selectiva hacia uno de los dos sexos, como es señalado por Rojas & Rodríguez (2007) para Peromyscus mexicanus.
Área de actividad y distancia media recorrida
La distribución aleatoria de las trampas en los sitios de muestreo y el tamaño del sitio total pueden influir en la estimación del rango de hogar en roedores (Börger et al. 2006; Laver & Kelly 2008; Adler 2011). Debido a que el diseño de muestreo del presente estudio fue aleatorio y con un tamaño de muestreo medio (1.8 ha) se muestra una aproximación al tamaño del área de actividad y las distancias promedio recorridas de la especie R. fulviventer.
En esta población de R. fulviventer se encontró que los machos tienen un área de actividad significativamente mayor que la estimada para las hembras, esto concuerda con lo señalado para poblaciones de otras especies de roedores en donde se ha usado el método del Polígono Mínimo Convexo [Necromys (Bolomys) lasiurus (Magnusson et al. 1995; Pires et al. 2010), Akodon cursor (Gentile et al. 1997), Nectomys squamipes (Bergallo & Magnusson 2004), Calomys musculinus (Steinmann et al. 2005)]. Estos autores sugieren que para estas especies el sistema de apareamiento podría ser de tendencia promiscua. Gentile et al. (2000) sugieren que la mayor área encontrada para machos en comparación con las hembras en Akodon cursor, estaría relacionada con que los machos tendrían contacto con varias hembras, mientras que las hembras se quedarían defendiendo su camada y los recursos alimenticios.
En cuanto a las distancias medias recorridas estimadas se encontró una mayor distancia recorrida en machos que en hembras sin presentar diferencias significativas, similar a lo encontrado por (Bonaventura et al. 1992) quienes estimaron en una población de Akodon azarae las distancias medias recorridas entre estaciones de captura sucesivas, encontrando diferencias significativas entre machos y hembras, siendo mayor la distancia recorrida en machos.
Debido a que en esta población la reproducción es continua, el bajo tamaño de área de actividad en las hembras puede estar relacionada con el cuidado de la camada durante la lactancia y la menor movilidad durante la preñez avanzada. En los machos un mayor rango de área y mayores distancias medias recorridas, pueden asociarse con la búsqueda de hembras, sugiriendo un sistema de apareamiento promiscuo.
CONCLUSIÓN
En este bosque andino de roble, Rhipidomys fulviventer se reproduce continuamente a lo largo del tiempo, mostrando un patrón de poliestria no estacional en hembras y producción continua de espermatozoides en machos, sin presentar una relación directa con la precipitación. Además, se sugiere que presenta un sistema de apareamiento de tendencia promiscua con base en las diferencias encontradas entre machos y hembras en las tasas de recapturas, las áreas de actividad y las distancias medias recorridas. Por otro lado, asociado con el hecho de que su hábito es arbóreo pero que también puede usar el estrato terrestre sugiere un aprovechamiento amplio de la oferta ambiental constante de recursos para la reproducción continua y la supervivencia constante y moderada alta encontrada.
Materiales suplementarios
Suplemento 1 (pdf)
Tabla S1. Descripción de las recapturas. Se encuentran los individuos recapturados, número de recapturas, edad y sexo.
Tabla S2. Relación entre cada estado reproductivo de las hembras de Rhipidomys fulviventer y la precipitación promedio mensual.
Tabla S3. Supuestos evaluados de igualdad de captura (test ct) y supervivencia homogénea (test sr) de la población de Rhipidomys fulviventer.
Tabla S4. Descripción de los 16 modelos candidatos evaluados para la población de Rhipidomys fulviventer.
Fig. S1. Proporción de hembras reproductivas en proestro, estro, metaestro y diestro de Rhipidomys fulviventer de todo el muestreo.
Agradecimientos
A Laura C. Vargas, Jefferson Sánchez y Lineth Velásquez, quienes dieron su apoyo en la fase de campo y a la familia Jaimes Martínez por su hospitalidad. Al Grupo de Estudios en Biodiversidad en particular y en general a la Universidad Industrial de Santander.
REFERENCIAS
Aagaard, E. M. J. 1982. Ecological distribution of mammals in the cloud forests and páramos of the Andes, Merida, Venezuela. Colorado State University.
Adler, G. H. 2011. Spacing patterns and social mating systems of echimyid rodents. Journal of Mammalogy 92:31-38. https://doi.org/10.1644/09-mamm-s-395.1
Alberico, M., & A. Gónzalez-M. 1993. Relaciones competitivas entreProechimys semispinosus . Hoplomys gymnurus (Rodentia:Echimyidae) en el occidente colombiano. Caldasia 17:325-332.
Andreazzi, C. S., V. Rademaker, R. Gentile, H. M. Herrera, A. M. Jansen, & P. S. D’andrea. 2011. Population ecology of small rodents and marsupials in a semi-deciduous tropical forest of the southeast Pantanal, Brazil. Zoologia 28:762-770. https://doi.org/10.1590/s1984-46702011000600009
Antunes, P. C., M. A. A. Campos, L. G. R. Oliveira-Santos, & M. E. Graipel. 2009. Population dynamics of Euryoryzomys russatus and Oligoryzomys nigripes (Rodentia, Cricetidae) in an Atlantic forest area, Santa Catarina Island, Southern Brazil. Biotemas 22:143-151. https://doi.org/10.5007/2175-7925.2009v22n2p143
Bergallo, H. G., & W. E. Magnusson. 1999. Effects of climate and food availability on four rodent species in Southeastern Brazil. Journal of Mammalogy 80:472-486. https://doi.org/10.2307/1383294
Bergallo, H. G., & W. E. Magnusson. 2004. Factors affecting the use of space by two rodent species in Brazilian Atlantic forest. Mammalia 68:121-132. https://doi.org/10.1515/mamm.2004.013
Boiani, L., N. Berois, & G. D’elía. 2008. Anual male reproductive cycle of a Hantavirus reservoir, the long-tailed mouse Oligoryzomys flavescens (Rodentia; Cricetidae, Sigmodontinae) from Uruguay. Mastozoología Neotropical 15:23-32. https://doi.org/10.1016/j.tice.2007.05.001
Boiani, L., G. Casanova, A. Olivera, & N. Berois. 2007. Seminiferous epithelium cycle of a hantavirus reservoir, the longtailed mouse Oligoryzomys flavescens (Rodentia-Cricetidae). Tissue and Cell 39:267-275. https://doi.org/10.1016/j.tice.2007.05.001
Bonaventura, S. M., F. O. Kravetz, & O. V. Suarez. 1992. The relationship between food availability, space use and territoriality in Akodon azarae (Rodentia, Cricetidae). Mammalia 56:407-416. https://doi.org/10.1515/mamm.1992.56.3.407
Börger, L. et al. 2006. Effects of sampling regime on the mean and variance of home range size estimates. Journal of Animal Ecology 75:1393-1405. https://doi.org/10.1111/j.1365-2656.2006.01164.x
Bronson, F. H. 1985. Mammalian Reproduction: An Ecological Perspective. Biology of Reproduction 32:1-26.
Bronson, F. H. 2009. Climate change and seasonal reproduction in mammals. Philosophical Transactions of the Royal Society Biological Sciences 364:3331-3340. https://doi.org/10.1098/rstb.2009.0140
Bronson, F. H., & G. Perrigo. 1987. Seasonal regulation of reproduction in muroid rodents. American Zoologist 27:929-940. https://doi.org/10.1093/icb/27.3.929
Burt, W. H. 1940. Territorial behavior and populations of some small mammals in Southern Michigan. Miscellaneous Publications Museum of Zoology, University of Michigan 45.
Burt, W. H. 1943. Territoriality and Home Range concepts as applied to mammals. Journal of Mammalogy 24:346-352. https://doi.org/10.2307/1374834
Byers, S. L., M. V Wiles, S. L. Dunn, & R. A. Taft. 2012. Mouse estrous cycle identification tool and images. Plos One 7:e35538. https://doi.org/10.1371/journal.pone.0035538
Caligioni, C. S. 2009. Assessing reproductive status/stages in mice. Current Protocols in Neuroscience Appendix 4. https://doi.org/10.1002/0471142301.nsa04is48
Choquet, R., J. Lebreton, O. Gimenez, A. Reboulet, & R. Pradel. 2009. U-CARE: Utilities for performing goodness of fit tests and manipulating CApture-REcapture data. Ecography 32:1071-1074. https://doi.org/10.1111/j.1600-0587.2009.05968.x
Choquet, R., A. Reboulet, J. Lebreton, O. Gimenez, & R. Pradel. 2005. U-CARE 2.2 User’s Manual. CEFE, Montpellier, France:1-53.
Cornely, J. E., & R. J. Baker. 1986. Neotoma mexicana. Mammalian Species 262:1-7.
Cooch, E. G., & G. C. White. 2014. Program MARK: A Gentle Introduction. 13th edition.
Cormack, R. M. 1964. Estimates of survival from the sighting of marked animals. Biometrika 51:429-438. https://doi.org/10.1093/biomet/51.3-4.429
Costa, G. M. J., M. C. Leal, A. C. S. Ferreira, D. A. Guimarães, & L. R. França. 2010. Duration of Spermatogenesis and Spermatogenic Efficiency in 2 Large Neotropical Rodent Species: The Agouti (Dasyprocta leporina) and Paca (Agouti paca). Journal of Andrology 31:489-499. https://doi.org/10.2164/jandrol.109.009787
Couto, D., & S. A. Talamoni. 2005. Reproductive condition of Akodon montensis Thomas and Bolomys lasiurus(Lund) (Rodentia, Muridae) based on histological and histometric analyses of testes and external characteristics of gonads. Acta Zoologica 86:111-118. https://doi.org/10.1111/j.1463-6395.2005.00191.x
Engels, B. 2015. Exact Goodness-of-Fit Test for Multinomial Data with Fixed Probabilities. The R Project for Statistical Computing.
García, F. J., M. I. Delgado-Jaramillo, M. Machado, L. Aular, & Y. Mújica. 2013. Pequeños mamíferos no voladores de un bosque nublado del Parque Nacional Yurubí, Venezuela: abundancias relativas y estructura poblacional. Interciencia 38:719-725.
Gentile, R., P. S. D’andrea, & R. Cerqueira. 1997. Home ranges of Philander frenata and Akodon cursor in a Brazilian restinga (Coastal Shrubland). Mastozoología Neotropical 4:105-112.
Gentile, R., P. S. D’andrea, R. Cerqueira, & L. S. Maroja. 2000. Population dynamics and reproduction of marsupials and rodents in a Brazilian rural area: a five-year study. Studies on Neotropical Fauna and Environment 35:1-9. https://doi.org/10.1076/0165-0521(200004)35:1;1-m;ft001
Guillotin, M., & F. Petter. 1984. Un Rhipidomys nouveau de Guyane francaise, R. leucodactylus aratayae ssp. nov. (Rongeurs, Cricétides). Mammalia 48:541-544. https://doi.org/10.1515/mamm.1984.48.4.541
Handley, C. O. 1976. Mammals of the Smithsonian Venezuelan Project. Brigham Young University Science Bulletin, Biological Series 20. https://doi.org/10.5962/bhl.part.5667
Harrell, F. E., & D. Charles. 2015. Hmisc: Harrell Miscellaneous. The R Project for Statistical Computing.
Heideman, P. D., & F. H. Bronson. 1992. A pseudoseasonal reproductive strategy in a tropical rodent, Peromyscus nudipes. Journal of Reproduction and Fertility 95:57-67. https://doi.org/10.1530/jrf.0.0950057
Hervé, M. 2017. Diverse Basic Statistical and Graphical Functions: RVAideMemoire. The R Project for Statistical Computing.
Hubscher, C. H., D. L. Brooks, & J. R. Johnson. 2005. A quantitative method for assessing stages of the rat estrous cycle. Biotechnic & Histochemistry 80:79-87. https://doi.org/10.1080/10520290500138422
Jolly, G. M. 1965. Explicit estimates from capture-recapture data with both death and immigration-stochastic model. Biometrika 52:225-247. https://doi.org/10.2307/2333826
Lacher, T. E. 1992. Ecological aspects of reproductive patterns in South American small rodents. Reproductive Biology of South American Vertebrates (W. C. Hamlett, ed.). Springer-Verlag, New York. https://doi.org/10.1007/978-1-4612-2866-019
Laver, P. N., & M. J. Kelly. 2008. A Critical Review of Home Range Studies. Journal of Wildlife Management 72:290-298.
Lebreton, J.-D., K. P. Burnham, J. Clobert, & D. R. Anderson. 1992. Modeling survival and testing biological hypotheses using marked animals: a unified approach with case studies. Ecological Monographs 62:67-118. https://doi.org/10.2307/2937171
Lopez-Arevalo, H., O. Montenegro-Díaz, & A. Cadena. 1993. Ecología de los pequeños mamíferos de la Reserva Biológica Carpanta, en la Cordillera Oriental colombiana. Studies on Neotropical Fauna and Environment 28:193-210. https://doi.org/10.1080/01650529309360904
Macedo, J., D. Loretto, M. C. S. Mello, S. Freitas, M. V. Vieira, & R. Cerqueira. 2007. História natural dos mamíferos de uma área perturbada do Parque Nacional da Serra dos Órgãos. Ciência e Conservação na Serra dos Órgãos (C. Cronemberguer & E. V. Castro, eds.). IBAMA. Brasilia. https://doi.org/10.11606/d.44.2006.tde-15032007-085200
Magnusson, W. E., A. De Lima Francisco, & T. M. Sanaiotti. 1995. Home-range size and territoriality in Bolomys lasiurus (Rodentia: Muridae) in an Amazonian savanna. Journal of Tropical Ecology 11:179-188. https://doi.org/10.1017/s0266467400008622
Mares, M. A., & K. A. Ernest. 1995. Population and community ecology of small mammals in a Gallery Forest of Central Brazil. Journal of Mammalogy 76:750-768. https://doi.org/10.2307/1382745
Mclean, A. C., N. Valenzuela, S. Fai, & S. A. L. Bennett. 2012. Performing vaginal lavage, crystal violet staining, and vaginal cytological evaluation for mouse estrous cycle staging identification. Journal of visualized experiments: Jove 67:1-6. https://doi.org/10.3791/4389
Milano, M. Z. 2007. Ecologia da comunidade de pequenos mamíferos da Floresta Estacional Aluvial da RPPN Cabeceira do Prata, regiao da Serra da Bodoquena, Estado do Mato Grosso do Sul. Universidade Federal do Paraná. https://doi.org/10.11606/d.44.1990.tde-09082013-151532
Mills, J. N., B. A. Ellis, J. E. Childs, J. I. Maiztegui, & A. Castro- Vázqez. 1992. Seasonal changes in mass and reproductive condition of the corn mouse (Calomys musculinus ) on the Argentine Pampa. Journal of Mammalogy 73:876-884. https://doi.org/10.2307/1382210
Montenegro-Díaz, O., H. López-Arévalo, & A. Cadena. 1991. Aspectos ecológicos del roedor arboricola Rhipidomys latimanus Tomes, 1860, (Rodentia: Cricetidae) en el Oriente de Cundinamarca, Colombia. Caldasia 16:565-572.
Morais, A. C. T. et al. 2014. The tubular compartment and the spermatogenic dynamics of the wild rodent Oxymycterus nasutus (Rodentia: Cricetidae). Animal Reproduction Science 149:249-258. https://doi.org/10.1016/j.anireprosci.2014.06.027
Morais, A. C. T. et al. 2016. Germ cells and the seminiferous epithelium cycle in the wild rodent Oxymycterus rufus (Rodentia: Cricetidae). Journal of Pharmacy and Biological Sciences 11:61-71. https://doi.org/10.9790/3008-1104036171
O’Connell, M. A. 1989. Population dynamics of neotropical small mammals in seasonal habitats. Journal of Mammalogy 70:532-548. https://doi.org/10.2307/1381425
Parreira, G. G., & F. M. Cardoso. 1993. Seasonal variation of the spermatogenic activity in Bolomys lasiurus (Lund, 1841) (Rodentia, Cricetidae), from Southeastern Brazil. Mammalia 57:27-34. https://doi.org/10.1515/mamm.1993.57.1.27
Pérez-Lustre, M., & A. Santos-Moreno. 2010. Movements and Capture-Recapture data analysis of the vesper rat (Nyctomys Sumichrasti : Rodentia, Muridae) in a Tropical Forest in Northeastern Oaxaca, Mexico. Acta Zoológica Mexicana (n.s.) 26:627-638. https://doi.org/10.21829/azm.2010.263804
Pires, A. Dos S., F. A. Dos S. Fernandez, B. R. Feliciano, & D. Freitas. 2010. Use of space by Necromys lasiurus (Rodentia, Sigmodontinae) in a grassland among Atlantic Forest fragments. Mammalian Biology 75:270-276. https://doi.org/10.1016/j.mambio.2009.04.002
R Core Team. 2016. R: A Language and Environment for Statistical Computing. R Foundation for Statistical Computing. Vienna, Austria.
Rocha, R. G. et al. 2011. Small mammals of the mid-Araguaia River in central Brazil, with the description of a new species of climbing rat. Zootaxa:1-34. https://doi.org/10.11646/zootaxa.2789.1.1
Rodríguez, D. et al. 2012. Historia natural de un roedor raro del desierto Argentino, Salinomys delicatus (Cricetidae: Sigmodontinae). Revista Chilena de Historia Natural 85:13-27. https://doi.org/10.4067/s0716-078x2012000100002
Rojas, L. R., & M. B. Rodríguez. 2007. Ecología poblacional del ratón Peromyscus mexicanus (Rodentia: Muridae) en el Parque Nacional Volcán Poás, Costa Rica. Revista de Biología Tropical 55:1037-1050. https://doi.org/10.15517/rbt.v55i3-4.5976
Romero, A., & R. M. Timm. 2013. Reproductive strategies and natural history of the arboreal Neotropical vesper mouse, Nyctomys sumichrasti . Mammalia 77:363-370. https://doi.org/10.1515/mammalia-2012-0106
Santos Moreno, J. A. 2008. Ecología de comunidades y poblaciones de pequeños mamíferos terrestres en tres estados secesionales de bosque mesófilo de montaña en la Sierra Norte de Oaxaca, México. Universidad Autonoma Metropolitana. https://doi.org/10.21829/azm.2007.231561
Schulte-Hostedde, A. I. 2007. Chapter 10 Sexual size dimorphism in rodents. Rodent societies: an ecological and evolutionary perspective (J. O. Wolff & P. W. Sherman, eds.). The University of Chicago Press, Chicago and London.
Schulte-Hostedde, A. I., J. S. Millar, & G. J. Hickling. 2001. Sexual dimorphism in body composition of small mammals. Canadian Journal of Zoology 79:1016-1020. https://doi.org/10.1139/cjz-79-6-1016
Seber, G. A. F. 1965. A note on the Multiple-Recapture census. Biometrika 52:249-259. https://doi.org/10.2307/2333827
Seber, G. A. F. 1986. A review of estimating animal abundance. Biometrics 42:267-292.
Siman, V. A. et al. 2017. Spermatogenic dynamics of the spiny rat Kannabateomys amblyonyx (Wagner, 1845) (Rodentia, Echimyidae). Animal Reproduction Science 184:36-43. https://doi.org/10.1016/j.anireprosci.2017.06.011
Sousa, M. A., A. Langguth, & E. D. A. Gimenez. 2004. Mamíferos dos Brejos de Altitude Paraíba e Pernambuco. Brejos de altitude em Pernambuco e Paraíba: História natural, ecologia e conservação. Ministério do Meio Ambiente, Brasília. https://doi.org/10.1590/s1676-06032011000300011
Statsoft. 2004. Statistica (data analysis software system).
Steinmann, A. R., J. W. Priotto, E. A. Castillo, & J. J. Polop. 2005. Size and overlap of home range in Calomys musculinus (Muridae: Sigmodontinae). Acta Theriologica 50:197-206. https://doi.org/10.1007/bf03194483
Stickel, L. F., & O. Warbach. 1960. Small-Mammal populations of a Maryland Woodlot, 1949-1954. Ecology 41:269-286. https://doi.org/10.2307/1930216
Tribe, C. J. 2015. Genus Rhipidomys. Mammals of South America (J. L. Patton, U. F. J. Pardiñas & G. D’Elía, eds.). The University of Chicago Press, Chicago and London.
Vargas-Ramírez, L. C., J. E. Colmenares-Pinzón, & V. H. Serrano Cardozo. 2018. Uso de microhabitat por un ensamble de pequeños mamíferos no voladores en un bosque de roble sobre la Cordillera Oriental de los Andes colombianos. Revista Mexicana de Biodiversidad 89:479-487. https://doi.org/10.22201/ib.20078706e.2018.2.1933
Vázquez, L., R. Medellín, & G. Cameron. 2000. Population and community ecology of small rodents in montane forest of Western México. Journal of Mammalogy 81:77-85. https://doi.org/10.1093/jmammal/81.1.77
Villamizar-Ramírez, Á. M., V. H. Serrano-Cardozo, & M. P. Ramírez-Pinilla. 2017. Reproductive activity of a population of Nephelomys meridensis (Rodentia: Cricetidae) in Colombia. Mastozoología Neotropical 24:177-189.
Yener, T., A. Tunc, H. Aslan, H. Aytan, & A. Caliskan. 2007. Determination of oestrous cycle of the rats by direct examination: how reliable? Anatomy, Histology, Embryology 36:75-77. https://doi.org/10.1111/j.1439-0264.2006.00743.x
Información adicional
Editor asociado: S. Zapata