Casos clínicos
Síndrome de Morgagni-Stewart-Morel. Reporte de caso y revisión de la literatura
Morgagni-Stewart-Morel syndrome. Case report and review of the literature
Síndrome de Morgagni-Stewart-Morel. Reporte de caso y revisión de la literatura
Revista Médica del Instituto Mexicano del Seguro Social, vol. 54, núm. 5, pp. 664-669, 2016
Instituto Mexicano del Seguro Social
Recepción: 23 Marzo 2015
Aprobación: 10 Septiembre 2015
Resumen:
Introducción: La hiperostosis frontal interna (HFI) es un sobrecrecimiento óseo en la parte interna del hueso frontal. Dicha alteración puede ocurrir de forma aislada o acompañada de síntomas neuropsiquiátricos, manifestaciones metabólicas y endocrinológicas que en conjunto forman el síndrome de Morgagni-Stewart-Morel. A este respecto, se presenta el caso de una paciente que cumple criterios para tal síndrome y se realiza una revisión de la literatura médica con especial atención en su fisiopatología. Caso clínico: Mujer de 74 años con historia de exposición a humo de leña, vitíligo, diabetes mellitus tipo 2, hipertensión arterial sistémica y deterioro cognitivo, quien ingresa al hospital por malestar general, mareo, ansiedad, confusión, desorientación y dificultad para la marcha. Se realizaron estudios de imagen de cráneo donde se observó la presencia de hiperostosis frontal interna extensa, atrofia cortical y un infarto lacunar talámico izquierdo. Durante su estancia hospitalaria se documentó la presencia de obesidad grado I, hiperglucemia, hipertrigliceridemia e hiperuricemia. Conclusiones: La paciente cumplió con los criterios del síndrome de Morgagni-Stewart-Morel al manifestar la presencia de hiperostosis frontal interna con manifestaciones metabólicas, endocrinológicas y neuropsiquiátricas. El origen fisiopatológico del síndrome se desconoce, aunque se ha postulado que un desbalance endocrinológico motivado por factores genéticos y ambientales puede ser la causa.
Palabras clave: Hiperostosis frontal interna, Hueso frontal, Obesidad, Diabetes mellitus.
Abstract:
Background: Hyperostosis frontalis interna (HFI) is a bone overgrowth on the inside of the frontal bone. This alteration can occur in isolation or together with neuropsychiatric symptoms, metabolic and endocrine manifestations which together form the Morgagni-Stewart-Morel syndrome. In this regard, the case of a patient who meets criteria for this syndrome is presented and a review of the literature is performed with focus on its pathophysiology. Clinical case: A 74 years old female with a history of exposure to wood smoke, vitiligo, type 2 diabetes mellitus, hypertension and cognitive impairment who enters the hospital by malaise, dizziness, anxiety, confusion, disorientation and difficulty walking. In she were performed imaging of the skull where was observed the presence of extensive hyperostosis frontalis interna, cortical atrophy and a left thalamic lacunar infarction. During this hospital stay the presence of grade I obesity, hyperglycemia, hypertriglyceridemia and hyperuricemia was documented. Conclusions: The patient met the criteria of Morgagni-Stewart-Morel syndrome to manifest the presence of hyperostosis frontalis interna with metabolic, endocrine and neuropsychiatric manifestations. The pathophysiological origin of the syndrome is unknown, although it has been postulated that an endocrine imbalance motivated by genetic and environmental factors may be the cause.
Keywords: Hyperostosis frontalis interna, Frontal bone, Obesity, Diabetes mellitus.
La hiperostosis del cráneo hace referencia a un grupo de hallazgos patológicas endocraneales, cada una de ellos con una etiología independiente, con diferentes características histopatológicos y localización.1 En 1964, Perou definió la hiperostosis frontal interna (HFI) como una proliferación ósea bilateral, displásica, de crecimiento lento, habitualmente autolimitada y benigna, pero ocasionalmente progresiva y agresiva, que involucra primariamente la tabla interna del cráneo, con o sin participación del diploe, y con predilección por el hueso frontal,2 aunque ocasionalmente puede extenderse a los huesos temporales, parietales y al occipital.3 La línea media del cráneo está respetada en la mayoría de los casos.1 Histológicamente, presenta componentes óseos normales, incluyendo sistemas Haversianos, y el hueso lamelar no muestra evidencia de células neoplásicas.3 El diagnóstico diferencial de esta entidad debe hacerse con los osteofitos del embarazo, el osteoma osteoide, la enfermedad de Paget, la acromegalia, la hiperostosis senil, y otras condiciones tumorales. No obstante, la HFI es fácil de diferenciar por su apariencia única y distribución.4,5 La prevalencia y severidad de esta enfermedad se han incrementado a través del tiempo: rara vez es descrita en poblaciones históricas pero es común en las poblaciones modernas.5 Además, afecta más frecuentemente a mujeres, y la severidad del fenómeno se incrementa con la edad.2,6
La HFI puede aparecer de forma aislada, usualmente es encontrada de forma incidental en estudios de rayos X, de tomografía computada de cráneo o en imágenes de resonancia magnética,7 aunque también puede acompañarse por diversas manifestaciones metabólicas, endocrinológicas, neuropsiquiátricas y vasculares, formando diferentes síndromes, tales como el síndrome de Morgagni (HFI, obesidad, virilismo), el síndrome de Stewart-Morel (HFI, obesidad, alteraciones mentales), el síndrome de Troell-Junet (HFI, acromegalia, gota, diabetes mellitus), el síndrome de Frölich (HFI, obesidad, retraso del crecimiento, hipocratismo hipofisario) y el síndrome de Klippel-Trenaunay-Weber (hipertrofia de tejidos blandos y óseos que incluyen HFI, venas varicosas y hemangioma plano).1,8,9 Actualmente, varias de estas manifestaciones se agrupan en el síndrome de Morgagni-Stewart-Morel (o síndrome de Morgagni-Stewart-Morel-Moore), el cual se define por la presencia de HFI asociada a diversas alteraciones metabólicas, endocrinológicas y neuropsiquiátricas.10 A este respecto, se informa el caso de una paciente quien cumple con los criterios para considerarse portadora de tal síndrome, el cual, aunque es poco descrito, cobra relevancia porque sus principales componentes son habituales y, de acuerdo a lo reportado en la literatura, muestran una relación fisiopatológica.
Caso clínico
Mujer de 74 años con antecedente de exposición crónica a humo de leña, vitíligo de 20 años de evolución sin tratamiento, hipertensión arterial sistémica identificada hace 15 años y bajo control con enalapril, diabetes mellitus tipo 2 de 8 años de diagnóstico en tratamiento con glibenclamida y metformina, e historia de deterioro en la memoria anterógrada referida por sus familiares de 6 meses de evolución. Inició su padecimiento actual 24 horas antes de su ingreso a hospitalización con la presencia de malestar general, mareo, ansiedad, confusión, desorientación y dificultad para la marcha.
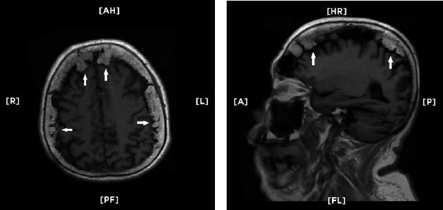
A su ingreso al área de Admisión Continua se documentó una cifra de tensión arterial de 190/100 mm Hg. En la exploración física se encontró con alteración en las funciones mentales superiores, así como hemiparesia derecha. Se realizó una tomografía computada simple de cráneo donde se reportó con parénquima cerebral homogéneo y normal, atrofia cortical y ventriculomegalia compensatoria pero con múltiples nódulos en la superficie interna del hueso frontal y de ambos parietales (figura 1). La resonancia magnética de cráneo documentó un infarto lacunar talámico izquierdo reciente y corroboró la presencia de la enostosis craneal (figura 2). El electroencefalograma realizado resulto normal para la edad de la paciente, sin actividad epileptiforme ni datos compatibles con encefalopatía.

Imágenes de reconstrucción digital de cráneo mediante tomografía computada. Se observan múltiples nódulos que afectan la totalidad de la parte interna del hueso frontal con extensión los parietales y que respetan la línea media

Imágenes de resonancia magnética de cráneo en modo T-1, corte axial (izquierda) y parasagital (derecha). Se observa sobrecrecimiento óseo nodular irregular que involucra a hueso frontal y ambos parietales (flecas) así como atrofia cortical
La paciente fue hospitalizada en el departamento de Medicina Interna, donde recibió tratamiento para la enfermedad vascular cerebral por parte del servicio de Neurología a base de atorvastatina y ácido acetilsalicílico. También, recibió tratamiento antihipertensivo inicialmente a base de prazosin y posteriormente con amlodipino. Sin embargo, por los antecedentes y los hallazgos en los estudios de imagen se ahondo en el estudio de su estado metabólico y endocrinológico. Su peso era de 68 kg y su talla de 1.48 m, con un índice de masa corporal de 31.04 kg/m2 de superficie corporal. Sus exámenes de laboratorio reportaron: glucosa 115 mg/dL (normal 70-100); hemoglobina glucosilada de 7.6% (normal 4.0-6.0); ácido úrico 6.48 mg/dL (normal 2.0-6.0), y triglicéridos de 272 mg/dL (normal 50-150). La biometría hemática, la determinación de azoados y el colesterol total junto con sus subunidades resultaron normales. En el perfil hormonal, la determinación de 1,24 dihidroxicolecalciferol, la hormona paratiroidea, la hormona del crecimiento, la hormona luteinizante, la hormona folículo estimulante, el estradiol, la prolactina, la hormona estimulante de tiroides, la tiroxina, la tiroxina libre, la triyodotiroxina, la hormona adrenocorticotrópica y el cortisol matutino resultaron normales. Únicamente la testosterona total se reportó en 0.03 ng/dL (normal 1.42-9.23).
Luego de 6 días de hospitalización, la paciente presentó recuperación del estado confusional agudo, aunque con persistencia de la hemiparesia derecha como secuela de la enfermedad vascular cerebral. Fue egresada y hasta el momento continúa en seguimiento por el servicio de Neurología de nuestra unidad.
Discusión
El presente caso se trata de una mujer de la octava década de la vida con antecedente de exposición a humo de leña, vitíligo, hipertensión arterial, diabetes mellitus y deterioro cognitivo en quien se documentó la presencia de HFI asociada también a obesidad, hipertrigliceridemia e hiperuricemia, integrándose con ello el diagnóstico de síndrome de Morgagni-Stewart-Morel. La HFI se caracteriza por la presencia de uno, o más frecuentemente, múltiples nódulos localizados de forma bilateral en la tabla interna del hueso frontal, aunque puede extenderse a los huesos temporales, parietales y al occipital y que respetan la línea media.1,3 Esta entidad es encontrada de forma aislada en estudios de esqueletos arqueológicos previos al siglo 18,11,12con excepción de algunos estudios en poblaciones históricas aisladas como los realizados en la ciudad ancestral de Qatna, Siria, y en Pueblo Bonito, Nuevo México, donde se reporta una alta prevalencia.13,14Actualmente, la prevalencia va del 0.8 al 12.8 %.12,15
Se considera que el periodo de la revolución industrial fue el punto de cambio en la prevalencia de la HFI, donde las condiciones económicas, la disponibilidad de alimentos, y la ingesta calórica mejoró dramáticamente en una gran proporción de la población, llevando consigo un incremento de la esperanza de vida, pero también con un incremento en la incidencia de alteraciones metabólicas y endocrinológicas, las cuales se sugiere juegan un papel en el desarrollo de la HFI.15 Es 4 a 5 veces más frecuente en mujeres, con la mayor prevalencia en la postmenopausia (40-60 %),15 y su presencia en los hombres se ha asociado a alteraciones gonadales, donde se ha documentado una relación positiva entre la HFI y la supresión androgénica,16 lo cual ha postulado la hipótesis de que la estimulación estrogénica prolongada durante el periodo reproductivo pudiera explicar su predominio en el sexo femenino.1,2
La severidad de la HFI varía ampliamente en forma y tamaño, y puede clasificarse usando métodos radiológicos (indirecto) o morfológicos (directo).1Con base en las observaciones radiológicas, la HFI puede ser clasificada en 3 categorías: positiva, negativa e inconclusa. En los casos positivos, la HFI es vista en las radiografías del cráneo y se caracteriza por una irregularidad amplia en la superficie endocraneal del hueso frontal con densidad aumentada de forma variable; en los casos clasificados como negativos, no hay alteraciones identificables en las radiografías; en los casos inconclusos, hay cambios mínimos positivos identificables.3 Los criterios radiológicos para graduar la HFI son: grado 0, sin neoformación ósea; grado I, neoformación ósea inicial en el endocraneo; grado II, engrosamiento óseo prominente y de apariencia redondeada en la tabla interna; grado III, el engrosamiento del cráneo es extenso con irregularidad en los nódulos.17La clasificación morfológica e histopatológica de la enfermedad la divide en 4 grados de severidad: tipo A, una o múltiples elevaciones óseas aisladas de menos de 10 mm de diámetro localizadas en la superficie endocraneal del hueso frontal; tipo B, formación ósea nodular que ocupa menos del 25 % del hueso frontal; tipo C, formación ósea nodular que afecta menos del 50 % el frontal; tipo D, sobrecrecimiento óseo nodular continuo que involucra más del 50 % del frontal.15 Esta clasificación ha sido modificada añadiéndose el tipo E, la cual se designa como la HFI severa con expansión a los tejidos blandos.1La clasificación morfológica ha sido adaptada para su uso en imágenes de tomografía computada de cráneo con una sensibilidad del 84 %, una especificidad del 90.5 % y un valor predictivo positivo del 91.3 %.5 De acuerdo a las características morfológicas encontradas en las imágenes de la reconstrucción digital de la tomografía de cráneo y de la resonancia magnética, nuestra paciente fue estadificada con un tipo D.
La HFI usualmente no produce ningún síntoma, pero, si los nódulos óseos protruyen extensamente (bullet-like), o si son demasiado grandes, el tejido blando subyacente como la dura o el cerebro pueden ser comprimidos o afectados.1,9,10,18 Algunos estudios han señalado la presencia de atrofia cerebral en relación con la HFI,18,19 aunque no está claro si la HFI causa atrofia cerebral a través de la compresión cerebral crónica o si el crecimiento nodular ocupa el espacio creado por la degeneración cerebral.12 Las manifestaciones neurológicas que han sido relacionadas con la compresión cerebral en pacientes afectados por la HFI incluyen: deterioro cognitivo,19,20cefalea,21afasia motora transcortical, parkinsonismo,22demencia, epilepsia23,24 e hipertensión intracraneal.25También se ha asociado a manifestaciones psiquiátricas tales como alteraciones de conducta y depresión.10,12 En relación a lo anterior, se considera que el deterioro cognitivo referido en la paciente con 6 meses de evolución y manifestado por alteración en la memoria anterógrada puede deberse a la compresión encefálica efectuada por la HFI y, en cambio, el déficit neurológico agudo que motivo su atención médica puede explicarse por el descontrol hipertensivo y la lesión isquémica en el tálamo izquierdo identificada en el estudio de resonancia magnética del encéfalo.
Por otro lado, la presencia de HFI junto con alteraciones neuropsiquiátricas, metabólicas y endocrinológicas definen el síndrome de Morgagni-Stewart-Morel (o síndrome de Morgagni-Stewart-Morel-Moore).10,16Esta condición fue descrita por primera vez en 1719 por Giovanni Battista Morgagni, quien notó una asociación entre la HFI, la obesidad y el hirsutismo (síndrome de Morgagni).1,8-10 En 1928 Stewart y en 1929 Morel, documentaron su relación con síntomas psiquiátricos y cefalea persistente (síndrome de Stewart-Morel).1,3,10En 1955, al notar la asociación entre la HFI, la obesidad y la diabetes mellitus, Moore denominó a esta condición craneopatía metabólica.13 En la actualidad, el síndrome de Morgagni-Stewart-Morel se ha asociado con diversos trastornos metabólicos y hormonales como: obesidad, diabetes mellitus, hirsutismo, hipercolesterolemia, hiperuricemia,10 acromegalia,9 hiperprolactinemia,26alteraciones menstruales27 y alteraciones tiroideas;9,10 así como alteraciones neuropsiquiátricas tales como: depresión,10cefalea, deterioro cognitivo, alteraciones de conducta,12,20,28 alteraciones vestibulares,27 esquizofrenia28 y crisis convulsivas.29 A este respecto, la paciente cumplió con los criterios necesarios para ser considerada portadora de este síndrome al manifestar la presencia de HFI con obesidad, diabetes mellitus, hiperuricemia, hipertrigliceridemia y deterioro cognitivo, todos ellos componentes referidos en la literatura que lo integran.
El origen fisiopatológico del síndrome de Morgagni-Stewart-Morel se desconoce, aunque se ha postulado que un desbalance endocrinológico motivado por factores genéticos y ambientales puede ser la causa.8,29 Se considera que factores ambientales, tales como una alta ingesta calórica, originan obesidad e hiperglucemia. Esto a su vez, ocasiona disfunción en la producción hormonal de los adipositos, causando un incremento en la concentración de leptina, la cual podría estimular el sobrecrecimiento óseo.1,4,10Se piensa que los estrógenos intervienen en la formación de HFI al estimular el crecimiento óseo en el hueso frontal, y tal alteración puede ser favorecida por la exposición estrogénica prolongada durante el período reproductivo, así como por el consumo de fitoestrógenos de la dieta.1,2 Además, el predominio de la HFI por el hueso frontal pudiera explicarse por la presencia de un angiosoma separado compuesto por numerosas anastomosis vasculares con aspecto de domo.1Finalmente, la presencia de HFI, de acuerdo a su severidad, produce compresión de los tejidos blandos subyacentes (meninges, cerebro), originando las manifestaciones neuropsiquiatritas.1,9,10,18 Con lo anterior, podemos establecer la interrelación que hay entre las manifestaciones clínicas de la paciente: las alteraciones metabólicas y endocrinológicas (obesidad, diabetes mellitus tipo 2) condicionaron una mayor producción de leptina que, junto con la mayor producción de estrógenos propia del género femenino, motivaron el desarrollo de la HFI, el cual por su severidad, originó el deterioro cognitivo encontrado.
Conclusión
El presente caso cumple los criterios para el diagnóstico de síndrome de Morgagni-Stewart-Morel, al presentar varias de las características clínicas documentadas en la literatura que lo integran (HFI, obesidad, diabetes mellitus, hiperuricemia, hipertrigliceridemia y deterioro cognitivo). Dicho síndrome es uno de los menos entendidos y reportados, sin embargo, su diagnóstico diferencial es importante por la relevancia de cada una de las manifestaciones que lo integran, ya que no deben ser interpretadas de forma aislada, puesto que, con lo expuesto en la bibliografía hasta el momento, parecen tener una relación fisiopatológica.
Referencias
1. Raikos A, Paraskevas GK, Yusuf F, Kordali P, Meditskou S, Al-Haj A, et al. Etiopathogenesis of hiperostosis frontal interna: A mystery still. Ann Anat. 2011;193(5):453-458.
2. Nikolic S, Djonic D, Zivkovic V, Babic D, Jukovic F, Djuric M. Rate of ocurrente, gross appearance, and age relation of hyperostosis frontalis interna in females. A prospective autopsy study. Am J Forensic Med Pathol. 2010;31(3):205-207.
3. Hajdu T, Fóthi E, Bernert Z, Molnár E, Lovász G, Kovári I, et al. Appearance of hyperostosis frontalis interna in some osteoarcheological series from Hungary. Homo. 2009;60(3):185-205.
4. Rühli FJ, Henneberg M. Are hyperostosis frontalis interna and leptin linked? A hypothetical approach about hormonal influence on human microevolution. Med Hypotheses. 2002;58(5):378-381.
5. May H, Peled N, Dar G, Hay O, Abbas J, Masharawi Y, et al. Identifying and classifying hiperostosis frontalis interna via computerized tomography. Anat Rec. 2010;293(12):2007-2011.
6. May H, Peled N, Dar G, Abbas J, Hershkovitz I. Hyperostosis frontalis interna: whats does it tell us about our health? Am J Hum Biol 2011;23(3):392-397.
7. Waclawik AJ. Hyperostosis frontalis interna. Arch Neurol. 2006;63(2):291.
8. She R, Szakacs J. Hyperostosis frontalis interna: case report and review of literature. Ann Clin Lab Sci. 2004;34(2):206-208.
9. Chaljub G, Johnson RF 3rd, Johnson RF Jr, Sitton CW. Unusual exuberant hyperostosis frontalis interna: MRI. Neuroradiology. 1999;41(1):44-45.
10. Attanasio F, Granziera S, Giantin V, Manzato E. Full penetrance of Morgagni-Stewart-Morel syndrome in a 75-year-old woman: case report and review of the literature. J Clin Endocrinol Metab. 2013;98(2): 453-457.
11. Antón SC. Endocranial hyperostosis in Sangiran 2, Gibraltar 1, and Shanidar 5. Am J Phys Anthropol. 1997;102(1):111-122.
12. Devriendt W, Piercecchi-Marti MD, Adalian P, Sanvoisin A, Dutuor O, Leonetti G. Hyperostosis frontalis interna: forensic issues. J Forensic Sci. 2005;50 (1):143-146.
13. Flohr S, Witzel C. Hyperostosis frontalis interna – A marker of social status? Evidence from the Bronce-Age “high society”of Qatna, Syria. Homo. 2011;62 (1):30-43.
14. Mulhern DM, Wilczak CA, Dudar JC. Brief communication: unusual finding at Pueblo Bonito: multiple cases of hyperostosis frontalis interna. Am J Phys Anthropol. 2006;130(4):480-484.
15. Herskovitz I, Greenwald C, Rothschild BM, Latimer B, Dutour O, Jellema LM, et al. Hyperostosis frontalis interna: an anthropological perspective. Am J Phys Anthropol 1999;103(3):303-325.
16. May H, Peled N, Dar G, Abbas J, Medlej B, Masharawi Y, et al. Hyperostosis frontalis interna and androgen suppression. Anat Rec. 2010;293(8):1333-1336.
17. Barber G, Watt I, Rogers J. A comparison of radiological and palaeopathological diagnostic criteria for hyperostosis frontalis interna. Int J Osteoarchaeol. 1997;7(2):157-164.
18. Talarico EF Jr, Prather AD, Hardt KD. A case of extensive hyperostosis frontalis interna in a 87-years-old female human cadaver. Clin Anat. 2008;21(3): 259-268.
19. De Zubicaray GI, Chalk JB, Rose SE, Semple J, Smith GA. Deficits on self ordered tasks associated with hyperostosis frontalis interna. J Neurol Neurosurg Psychiatry. 1997;63(3):309-314.
20. Paulus KS, Magnano I, Aiello I, Sechi GP, Rosati G, Casu AR, et al. P300 and executive function alterations: possible links in a case of Morgagni-Stewart-Morel syndrome. Neurol Sci. 2002;22(6):459-462.
21. Ramchandren S, Liebeskind DS. Headache in a patient with Klinefelter´s syndrome and hyperostosis frontalis interna. J Headache Pain. 2007;8(6): 342-344.
22. Brodoehl S, Klingner C, Mentzel H, Bar KJ. Transcortical motor aphasia and unilateral parkinsonism in a case of hyperostosis frontalis. Neurology. 2013; 80(16):1536-1537.
23. Kocabas H, Sezer I, Melikoglu MA, Gurbuz U, Illeez O, Ozbudak IH, et al. Hyperostosis frontalis interna in a patient with giant cell arteritis. Mod Rheumatol. 2008;18(2):181-183.
24. Sohmiya M, Tanaka M, Sotomatsu A, Aihara Y, Okamoto K. Three elderly cases of hyperostosis cranii with various clinical symptoms. Nihon Ronen Igakkai Zasshi. 2001;38(2):218-223.
25. Elliott C, Johnson E, Chow M. Hyperostosis frontalis interna requiring craniotomy for intracranial hypertension. Can J Neurol Sci. 2014;41(1):109-111.
26. Pawlikowski M, Komorowski J. Hyperostosis frontalis, galactorrhoea/hyperprolactinaemia, and Morgagni-Stewart-Morel syndrome. Lancet. 1983;1 (8322):474.
27. Nallegowda M, Singh U, Khanna M, Yadav SL, Choudhary AR, Thakar A. Morgagni Stewart Morel syndrome - Additional features. Neurol India. 2005; 53:117-119.
28. Yamakawa K, Mizutani K, Takahashi M, Matsui M, Mezaki T. Hyperostosis frontalis interna associated with hypogonadism in an elderly man. Age Ageing. 2006;35(2):202-203.
29. Koller MF, Papassotiropoulos A, Henke K, Behrends B, Noda S, Kratzer A. Evidence of a genetic basis of Morgagni-Stewart-Morel syndrome. A case report of identical twins. Neurodegener Dis. 2005;2(2)56-60.
Declaración de conflicto de interés:
los autores han completado y enviado la forma traducida al español de la declaración de conflictos potenciales de interés del Comité Internacional de Editores de Revistas Médicas, y no reportaron alguno que tuviera relación con este artículo.