Casos clínicos
Carcinoma escamocelular y liquen plano frente a lesiones liquenoides en boca. Reporte de caso
Oral squamous cell carcinoma and lichen planus vs. lichenoid lesions. Case report
Carcinoma escamocelular y liquen plano frente a lesiones liquenoides en boca. Reporte de caso
Revista Médica del Instituto Mexicano del Seguro Social, vol. 54, núm. 5, pp. 673-679, 2016
Instituto Mexicano del Seguro Social
Recepción: 11 Marzo 2015
Aprobación: 16 Junio 2015
Resumen:
Introducción: el desarrollo de carcinoma escamocelular a partir del liquen plano bucal es controversial. Describimos un caso con carcinoma escamocelular intrabucal, que cursa con lesiones de liquen plano bucal y se analizan las dificultades para distinguir los cambios incipientes del carcinoma escamocelular de las lesiones por liquen plano intrabucales que lleven a establecer un diagnóstico certero de ambas entidades. Caso clínico: hombre de 57 años, con antecedente de tabaquismo y hábito alcohólico crónico, que presenta lesión tumoral ulcerada en borde lateral izquierdo de lengua y placas blancas reticulares bilaterales en mucosa yugal, bordes laterales y vientre de lengua. El reporte histopatológico fue de carcinoma escamocelular invasor moderadamente diferenciado y liquen plano respectivamente. Conclusiones: la naturaleza premaligna del liquen plano bucal es controvertida, esto por inconsistencia en los criterios diagnóstico clínicos e histológicos que permitan diferenciar los casos de liquen plano bucal de otras lesiones como las reacciones liquenoides o displasias intraepiteliales con alto potencial de malignización. Posiblemente las reacciones liquenoides bucales tienen un mayor riesgo de transformación maligna al compararse con el clásico liquen plano bucal.
Palabras clave: Carcinoma de células escamosas, Neoplasias de la boca, Líquen plano.
Abstract:
Background: The development of squamous cell carcinoma from oral lichen planus is controversial. We report a case of intraoral squamous cell carcinoma, which presents together with lesions of oral lichen planus. The aim of this report was to analyze the problem to distinguish between the incipient changes of squamous cell carcinoma from the features described in oral lichen planus, in order to establish an accurate diagnosis of both entities. Clinical case: A 57-year old man with a history of smoking and chronic alcohol intake, who had an ulcerated tumor mass located in the tongue, and bilateral white reticular patches on buccal mucosa and borders of the tongue. The histopathological report was moderately differentiated invasive squamous cell carcinoma and lichen planus respectively. Conclusions: The premalignant nature of OLP is still indeterminate and controversial, this is primarily due to inconsistency in the clinical and histological diagnostic criteria used to differentiate cases of oral lichen planus from lichenoid reactions or other lesions causing intraepithelial dysplasia with high potentially malignant transformation. Oral lichenoid reactions are possibly most likely to develop malignant transformation as compared to the classic OLP lesions.
Keywords: Squamous cell carcinoma, Mouth neoplasms, Lichen planus.
El liquen plano (LP) es una enfermedad inflamatoria relativamente común que afecta piel, anexos cutáneos y/o mucosas bucales u otras. Aproximadamente del 1.4-3.2 % de la población puede desarrollar LP. La prevalencia del LP bucal (LPB) se ha estimado en un 2 %.1 Su etiología es aún desconocida, sugiriéndose una patogénesis autoinmune mediada por células T, en la que los linfocitos T citotóxicos inducen la apoptosis de las células epiteliales. La enfermedad se caracteriza por inflamación crónica con infiltración de linfocitos T a nivel subepitelial o subepidérmica en mucosas y piel, respectivamente.
Clínicamente, el LPB puede manifestarse de diversas formas: en placa blanca, reticulada, atrófica o erosiva, pigmentada, ampollar y papular.2 La variante reticular es la más común, presentándose en forma de placas blancas constituidas por una serie de líneas ligeramente elevadas, que al entrelazarse adquieren el característico patrón de encaje. También puede adoptar un aspecto anular con finas estrías que irradian desde la periferia hacia el exterior de la lesión. Se localiza principalmente en la mucosa vestibular y aproximadamente el 10 % de los casos de LPB se manifiesta únicamente en la mucosa de la encía y es generalmente asintomática. Por el contrario, en las formas atrófica, erosiva y ampollar del LPB, la sintomatología es frecuente y de intensidad variable. El LP erosivo es la presentación más agresiva de la enfermedad, siendo generalmente doloroso. Esta variante se caracteriza por presentar áreas eritematosas, erosivas o francamente ulcerativas superficiales, localizadas predominantemente en mucosa yugal, dorso lingual y mucosa gingival, esta última comúnmente referida como gingivitis descamativa. Su asociación con VHC y diabetes mellitus ha sido descrita.3,4
El diagnóstico diferencial del LPB incluye una variedad de lesiones como la queratosis friccional, la variante crónica hiperplásica de la candidosis, la leucoplasia vellosa, la leucoplasia idiopática o asociada a tabaquismo, las reacciones liquenoides por diversas causas, el lupus eritematoso, la enfermedad de injerto contra huésped, el pénfigo vulgar, el penfigoide, enfermedades carenciales o las aftas recurrentes, entre otros.3,4
En 1910 se describió el primer caso de carcinoma escamocelular (CEC) concomitante con LPB,5 desde entonces, se han descrito algunos estudios6 y casos aislados7 sobre esta relación.
Se ha observado que los pacientes con LPB pueden cursar CEC bucal con más frecuencia que la población en general,6 afectando primordialmente al sexo femenino e involucrando las áreas de la mucosa yugal.8 Ciertos investigadores han determinado su porcentaje de transformación maligna anual, que oscila entre el 0.04-4.9 %,9,10 y se ha descrito un riesgo de desarrollo de CEC en las lesiones de LPB en placa reticular en un 33 %, en placa homogénea del 29 %, atróficas 13 % y ulcerativas-erosivas 25 %; sin embargo, investigaciones recientes contradicen lo anterior, detectándose que la variante en placa, ha sido sobrerrepresentada entre estos estudios.9,11 En contra de las estimaciones realizadas sobre el potencial de malignización del LPB, se sabe que la frecuencia del LPB es variable en distintos lugares del mundo,12 por lo que sería difícil establecer cifras reales de CEC bucal asociado a LPB, cuando los datos de prevalencia de LPB en la mayoría de las poblaciones mundiales se presumen o desconocen.
Se ha descrito también que en la población general, la incidencia de CEC bucal en pacientes con LPB no es muy distinta de la observada en los estudios de referencia. Por el contrario, se ha calculado que si cerca del 1-5 % del LPB desarrollara una transformación maligna, el LPB por tanto, debería ser el origen principal de cáncer bucal en muchos países del mundo;13 sin embargo, se ha observado que esto no es así, e incluso algunos autores han detallado que esto es improbable.14 Además, los reportes en los cuales la tasa de transformación maligna del LPB ha sido estimada, por diversas razones no corresponden a los datos de prevalencia real; la principal de estas causas es porque los cálculos en la mayoría de los estudios al respecto, han sido efectuados en cohortes de sujetos con LPB derivados de centros especializados de enfermedades bucales; en consecuencia, imperan sesgos importantes de referencia en las estimaciones de las cifras publicadas, así como el sesgo de LPB de tipo sintomático, el de detección, el de atención y manejo, entre otros.
En este artículo presentamos el caso de un paciente que cursó con lesiones que comparten los criterios diagnósticos para LPB y la presencia simultánea de un CEC bucal, con la finalidad de ilustrar, analizar y discutir la sincronía de estas entidades y enfatizar en la dificultad de su diagnóstico, de acuerdo a los parámetros tanto clínicos como histopatológicos actuales.
Caso clínico
Paciente de sexo masculino de 57 años de edad, que presenta lesión asintomática en la lengua, de un mes de evolución, detectada por el paciente, posterior a trauma y manejada previamente por facultativos con antibióticos (ciprofloxacino), antisépticos tópicos (yodopovidona) y prednisona (20 mg/día) sin mejoría. El paciente tiene antecedente de hábito alcohólico intenso de 20 años de evolución y tabaquismo de 40 cigarrillos/día, por 12 años, suspendido desde hace 6 años (índice tabáquico de 24). Los exámenes de laboratorio de sangre periférica, biometría hemática y química sanguínea no mostraron alteraciones, con excepción de niveles de hemoglobina glucosilada de 7.6.
A la exploración física se observó xerostomía moderada, con presencia de placas blancas reticulares bilaterales en mucosa yugal, bordes laterales y vientre lingual (figuras 1 y 2), paladar blando y pilares anteriores; con eritema generalizado de mucosas exacerbado en el dorso tercio medio de la lengua, en asociación con candidosis eritematosa. Además, una lesión tumoral, ulcerada (figura 3), con moteado milimétrico blanco-amarillento, infiltrada e indurada, dolorosa a la palpación, en el borde lateral izquierdo de la lengua, extendiéndose hacia vientre lingual, sin adenomegalias. Se tomaron dos biopsias; una con impresión diagnóstica de liquen plano frente a lesiones liquenoides de mucosa yugal derecha, y otra como carcinoma escamocelular del borde lateral izquierdo de la lengua. Se administró antimicótico tópico (clotrimazol) por 15 días, con desaparición de las lesiones reticulares.

Placas blancas reticulares afectando mucosa vestibular derecha características de liquen plano bucal

Placas blancas reticulares en vientre lingual y piso de boca del lado derecho compatibles con liquen plano bucal

Lesión tumoral ulcerada infiltrada e indurada en borde lingual izquierdo correspondiente a carcinoma escamocelular
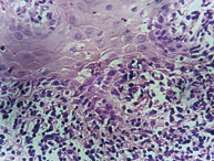
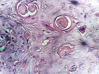
El estudio microscópico mostró las características histológicas de liquen plano (figura 4) de la muestra tomada del vestíbulo, con hifas del hongo Candida sp, así como la presencia de CEC invasor moderadamente diferenciado de la lesión nodular, de la región del borde lingual izquierdo (figura 5). Con estos hallazgos, el paciente fue referido a oncología para su manejo.

Imagen histológica de lesión en mucosa yugal, se observa licuefacción de la capa basal e intenso infiltrado linfocitario subyacente, correspondiente a liquen plano. (H&E, 40x)

Microfotografía que muestra carcinoma escamocelular invasor. (H&E, 40x)
Discusión
Los reportes aislados de pacientes con LPB y CEC bucal sincrónicos, han sugerido la posibilidad de transformación maligna del LPB, por lo que la Organización Mundial de la Salud (OMS) le ha clasificado como una “condición potencialmente maligna”. Sin embargo, el carácter premaligno atribuido al LPB ha sido objeto de constante polémica,15,16 particularmente porque se ha considerado que su vinculación con el cáncer es, a la práctica, casi inexistente, lo que sugiere fuertemente la posibilidad de un diagnóstico inicial de LPB erróneo en aquellos casos que describen su transformación en CEC.
Diversos estudios se han desarrollado con el objetivo de valorar el potencial de malignización del LPB, considerando que el diagnóstico del LP es complejo cuando afecta exclusivamente la mucosa bucal. Los criterios clínicos e histológicos establecidos por la OMS para su identificación son poco claros, insuficientes y, consecuentemente, insatisfactorios.17 Desde el punto de vista clínico se debe considerar que existe una amplia gama de lesiones bucales que comparten características morfológicas con el LPB y que dificultan su distinción. En años recientes, esta problemática ha tratado de resolverse por expertos en patología bucal, a través de la instauración de criterios clínicos e histológicos, que estrictamente deban cumplirse para establecer el diagnóstico de un “verdadero” LPB o lo más cercano posible y que además, puedan ser aplicables en la investigación.18
De acuerdo con los criterios clínicos sugeridos recientemente para sustentar el diagnóstico de LP, las lesiones bucales deben ser imperiosamente bilaterales y simétricas, conformarse por líneas blanquecinas ligeramente elevadas y anastomosantes, formando un patrón en red. Estas características en patrón reticulado deben estar siempre presentes, incluso en los otros tipos morfológicos de LPB, para ser considerado como tal.5 Sin embargo, estos criterios son inadecuados al no considerar los demás patrones clínicos del LPB, cuando las lesiones reticulares están ausentes; en consecuencia, pueden verse excluidos del diagnóstico de LPB algunas presentaciones clínicas, siendo verdaderos LPB. Además, los criterios clínicos para LPB se basan solo en el aspecto físico de las lesiones y, por tanto, pueden incluirse en el diagnóstico de LPB, otras lesiones con la misma imagen clínica, sin corresponder realmente a un LPB. Por otra parte, tampoco se toman en cuenta en estos criterios los agentes causales diversos, que igualmente, pueden dar origen a lesiones de la mucosa bucal con una imagen en placa blanca reticular bilateral, que se asemeje al LPB.
Es ampliamente conocido que los hallazgos característicos clínicos del LPB, como las estriaciones blancas reticulares y/o pápulas blancas, particularidad esencial de esta enfermedad, así como las variantes tipo placa atrófica, ulcerativa y/o bulosa, pueden estar presentes al momento del diagnóstico o pueden ocurrir durante el curso de la enfermedad.19Pero ninguno de estos hallazgos clínicos son exclusivos o están limitados al LPB, por el contrario, un gran número de lesiones de la mucosa bucal cursan con la misma imagen clínica del LPB, como parte de su presentación, durante algún momento de la enfermedad o por condiciones específicas del medio bucal en ciertos pacientes. Consecuentemente, estas características clínicas definidas para el LPB no son lo suficientemente útiles para distinguirlo categóricamente de otras enfermedades. Incluso, algunos especialistas han tratado de validar el criterio o criterios clínicos e histológicos del LPB, a través de su aplicación práctica en estudios cegados, sin lograr un éxito hasta el momento, en la distinción con otras lesiones reticuladas. Por tanto, los criterios clínicos e histológicos actuales son vistos como herramientas particularmente importantes, que nos ayudan para hacer grupos de pacientes que llenen un criterio diagnóstico definido, pero aún inadecuados para establecer radicalmente el diagnóstico de LPB.20,21
Algunos autores han sostenido que los casos de LPB que desarrollaron cáncer, en realidad no eran LPB, sino lesiones displásicas con hallazgos clínicos liquenoides. La implicación de esta premisa es que los pacientes con displasia liquenoide representan un grupo de riesgo diferente, que puede ser identificado con el uso apropiado de métodos diagnósticos disponibles por especialistas en el área y como tal, deben ser distinguidos de los pacientes con LPB no relacionado a displasia. Cuando se emplea el término liquenoide, este se refiere a lesiones que típicamente muestran las características clínicas, pero no completan los criterios histológicos o viceversa. El término “compatible” con LPB se refiere a aquellas lesiones que parcialmente reúnen los criterios tanto clínicos como histológicos.5 Por ello, hoy en día el diagnóstico del LPB y su diferenciación de las lesiones liquenoides, continúa siendo difícil y controvertido.
Algunos clínicos han establecido que el LP lleva un potencial maligno inequívoco con un riesgo no especificado; pero otros mencionan que el LPB y las lesiones liquenoides tienen un aspecto clínico e histológico característico, pero no patognomónico, que usualmente permite, en ambos casos, la distinción con la leucoplasia bucal. Sin embargo, el tipo de liquen plano en placa puede a menudo, semejar clínicamente a la leucoplasia. Existen además, dificultades para distinguir clínicamente entre el liquen plano de algunas lesiones liquenoides (o por contacto, entre otras); lo que enfatiza la importancia de la biopsia en el diagnóstico.
Se ha intentado también, en algunos estudios, conformar el criterio o criterios histológicos que establezcan el diagnóstico del LPB con especialistas en patología bucal cegados de la imagen física clínica durante la visualización de la imagen histológica, sin lograr tampoco un éxito hasta el momento en la correlación de las lesiones por LPB, tanto histológica como clínicamente.22,23 A diferencia del LP cutáneo cuyo diagnóstico, por lo general, se establece con base en las características morfológicas de las lesiones, en el LPB es indispensable el estudio microscópico del tejido que identifique los criterios histológicos requeridos.24Estos incluyen, entre otros, el infiltrado linfocítico con patrón en banda a nivel subepitelial, es decir, limitado a las capas papilar y reticular superficial de la lámina propia de la mucosa, con licuefacción de la capa basal del epitelio. Por la posibilidad de malignidad, la presencia de displasia epitelial histológicamente excluye el diagnóstico de LPB, aún cuando los cambios celulares epiteliales observados sean secundarios al proceso inflamatorio y no por transformación maligna.25 Pero, nuevamente, estas características histológicas también pueden compartirse con diversas alteraciones. A pesar de las deficiencias ya mencionadas, el diagnóstico definitivo de LPB se establece solo si se reúnen satisfactoriamente tanto los parámetros clínicos como los histológicos.
La biopsia es obviamente una herramienta importante en el proceso del diagnóstico del LPB, pero un diagnóstico de LPB basado exclusivamente en la histopatología nos lleva frecuentemente a un resultado erróneo. Por otra parte, la malinterpretación del estudio microscópico de una muestra de tejido de la mucosa bucal por parte del patólogo, puede también ser a menudo una fuente de equivocación,25 más aún si se carece de una correlación clínica adecuada. Un error común entre los facultativos poco experimentados en las enfermedades bucales es el relacionado con la selección de la muestra de tejido más representativa de las características de un LPB y es una de las razones importantes por las que el especialista debería observar en lo posible, tanto la imagen clínica del paciente como la histopatología. En algunos casos, como por ejemplo en la lesión liquenoide por contacto causada por componentes metálicos restaurativos, puede ser prácticamente imposible distinguirla histológicamente del LPB.26 Tales lesiones pueden ser distinguidas con base en otros parámetros clínicos 27 y no exclusivamente en la imagen física; y considerando que las lesiones liquenoides no son ampliamente conocidas por su transformación maligna, su inclusión en los estudios de LPB podría estar originando la obtención de cifras alteradas en la tasa relacionada al potencial maligno del LPB.28
Más aún, recientemente se han realizado y divulgado estudios de seguimiento de casos que no cumplían satisfactoriamente los criterios diagnósticos actuales de LPB, categorizándolos como lesiones “liquenoides”, distinguiéndolos de aquellos que sí reunían todos los criterios de LPB, observándose que la transformación maligna ocurrió exclusivamente en las lesiones liquenoides y no en el LPB, calculándose una tasa de transformación maligna del 0.65 % por año para las lesiones liquenoides, con un incremento en el riesgo 219 veces mayor.9La aplicación rigurosa de los criterios clínicos e histológicos en estos estudios, permitió realizar grandes diferencias entre las denominadas lesiones “liquenoides” del considerado como “liquen plano”.5
Por otra parte, la coexistencia de LPB y la presencia de factores que predisponen al cáncer bucal como el hábito tabáquico y alcohólico, son elementos a considerar como variables que pueden directamente estar afectando la mucosa bucal y hacerla susceptible al desarrollo de una lesión premaligna, independientemente de las lesiones por LPB. La evaluación de la influencia de otros factores asociados al desarrollo de cáncer bucal sobre la mucosa bucal entre los pacientes con LPB aún no ha sido analizada profundamente.
Más aún, la presencia de factores potencialmente causales del desarrollo de imágenes clínicas e histológicas de LPB no ha sido descrita ampliamente. Las lesiones blancas en placa reticular bilaterales observadas en nuestro paciente, corresponden completamente con las características clínicas e histológicas de un LPB de acuerdo con las nuevas definiciones clínicas propuestas en años recientes. Sin embargo, el sujeto cursaba también con candidosis eritematosa de larga evolución, probablemente asociada más estrechamente a la xerostomía secundaria por su hábito tabáquico intenso. En este caso, por definición clínica estrictamente de LPB, no puede distinguirse entre la posibilidad de lesiones liquenoides relacionadas a esta micosis, que cursan con las características clínicas similares al LPB, demostrándose con este caso, una de las deficiencias en los criterios clínicos. El reticulado de la mucosa bucal en pacientes con semejantes características y antecedentes, suele desaparecer después del manejo antimicótico; por tanto, sería recomendable considerar en próximos consensos, la inclusión de criterios etiológicos tanto en el diagnóstico de LPB, como de las lesiones liquenoides.
Por lo anterior, es dudoso el desarrollo de cáncer bucal observado en cohortes en las que el LPB ha sido diagnosticado con base en criterios diversos. Además, debe considerarse que en la mayoría de los casos asociados al CEC, el diagnóstico de LPB no ha sido realizado por expertos en patología bucal, ni con criterios bien definidos.
Por otra parte, un factor importante a considerar en los estudios de seguimiento, sobre el desarrollo del cáncer bucal en el LPB, es el uso continuo y prolongado de medicamentos inmunosupresores tópica o sistémicamente utilizados en su manejo, que podrían estar influyendo per se en el desarrollo de esta neoplasia, independientemente del LP, o bien actuar sinérgicamente.
En nuestro caso, el paciente presentaba los factores más comúnmente asociados con el desarrollo de CEC bucal, el tabaco y el alcohol, de manera intensa; con tratamiento inmunomodulador sin mejoría del reticulado, mismo que desapareció posterior a la administración de antimicótico. En nuestro paciente, la muestra histológica de las áreas que clínicamente correspondían a LPB, reunió los requisitos microscópicos para considerársele LP. Sin embargo, la presencia del hongo Candida sp, también fue evidente, lo que sugiere que la placa reticulada fue una manifestación secundaria de la candidosis más que producto del LPB, al desaparecer ante el manejo antimicótico. Nuevamente, las deficiencias en los criterios histológicos también son demostradas en este caso.
Estudios sobre el potencial maligno del LPB se han distinguido por inconsistencias en los criterios diagnósticos utilizados específicamente para establecer el LP, por deficiencias en el criterio adoptado para identificar un verdadero caso de transformación maligna en el LPB, por excluir otros factores de riesgo para la transformación maligna y por ausencia en el manejo óptimo de los pacientes para asegurar un diagnóstico temprano de transformación maligna. El consenso permanece evasivo al respecto, llevando a los investigadores en este campo a publicar trabajos recientes conflictivos sobre el potencial maligno del LPB y sobre el cuestionamiento respecto a aconsejar la exclusión de pacientes con displasia epitelial o sobre la consideración de un hábito tabáquico en los estudios sobre LP y su potencial de malignización.11
Conclusiones
La naturaleza premaligna del LPB es controvertida y aún discutida. La polémica sobre el potencial de malignización del LPB se basa fundamentalmente en su definición intrabucal.19 El problema inicial surge de la duda sobre cuál es la definición estricta que se ajusta al LPB y por tanto, a qué se le va a denominar como un verdadero LPB.16,19,29 Se ha sustentado que el LPB conlleva un pequeñísimo pero significativo riesgo de desarrollo de cáncer bucal. El que algunos pacientes con LPB puedan desarrollar CEC no es imposible, pero sí es extremadamente infrecuente; incluso ante la mayor estimación en las cifras, se corre el riesgo de causar preocupación innecesaria al paciente con LP y por otra parte, sobresaturar a los oncólogos con lesiones que no les competen. Es posible, además, que el diagnóstico erróneo del LP haya influido en esta percepción.30 Posiblemente las reacciones liquenoides bucales sean las lesiones más propensas a formar las bases de la transformación maligna al compararse con el clásico LPB, por lo que es recomendable que estas lesiones sean valoradas por profesionales con amplia experiencia en el diagnóstico de las enfermedades bucales, considerando que existen lesiones bucales que, a pesar de no corresponder a un verdadero LPB, comparten características clínicas e histológicas con esta entidad. Por ahora, el consejo radica en llevar a cabo exámenes de seguimiento bianuales, por expertos en el campo y particularmente importante en aquellos pacientes con lesiones liquenoides.
El caso presentado en este trabajo, comparte características clínicas e histológicas de liquen plano bucal de acuerdo a la definición estándar que prevalece en la actualidad, pero presenta factores no considerados en la definición que debieran descartarlo y refleja la necesidad de establecer criterios diagnósticos más estrictos, que favorezcan la distinción entre el liquen plano y las lesiones liquenoides en boca.
Referencias
1. Axéll T, Rundquist L. Oral lichen planus- demographic study. Community Dent Oral Epidemiol. 1987; 15(1): 52-6.
2. Van der Meij E, Mast H, Van der Waal I. The possible premalignant character of oral lichen planus and oral lichenoid lesions: a prospective five-year follow-up study of 192 patients. Oral Oncol. 2007; 43 (8): 742-8.
3. Esquivel-Pedraza L, Fernández-Cuevas L. Gastroenterología y boca. En: Villalobos Pérez JJ, Olivera Martínez MA, Valdovinos Díaz MA, eds. Gastroenterología. México. Méndez Editores; 2006. p. 97-108.
4. Carrozzo M, Gandolfo S. Oral diseases possibly associated with hepatitis C virus. Crit Rev Oral Biol Med 2003. 14(2): 115-127.
5. Van Der Meij EH, Van Der Waal I. Lack of clinicopathologic correlation in the diagnosis of oral lichen planus based on the presently available diagnostic criteria and suggestions for modifications. J Oral Pathol Med. 2003; 32(9):507-1
6. Lo Muzio L, Mignogna MD, Favia G, Procaccini M, Testa NF, Bucci E. The possible association between oral lichen planus and oral squamous cell carcinoma: a clinical evaluation on 14 cases and a review of the literature. Oral Oncol. 1998; 34(4): 239-246.
7. Abbate G, Foscolo AM, Gallotti M, Lancella A, Mingo F.Neoplastic transformation of oral lichen: case report and review of the literature. Acta Otorhinolaryngol Ital. 2006; 26(1):47-52.
8. Barnard NA, Scully C, Eveson JW, Cunningham S, Porter SR. Oral cancer development in patients with oral lichen planus. J Oral Pathol Med. 1993; 22(9): 421-4.
9. Shen ZY, Liu W, Feng JQ, Zhou HW, Zhou ZT. Squamous cell carcinoma development in previously diagnosed oral lichen planus: de novo or transformation? Oral Surg Oral Med Oral Pathol Oral Radiol Endod. 2011; 112(5): 592-6.
10. Van der Meij EH, Schepman KP, Van der Waal I. The possible premalignant character of oral lichen planus and oral lichenoid lesions: a prospective study. Oral Surg Oral Med Oral Pathol Oral Radiol Endod. 2003; 96(2):164-171.
11. Silverman S. Oral lichen planus: a potentially premalignant lesion. J Oral Maxillofac Surg. 2000; 58:1286-88.
12. Mignogna MD, Lo Muzio LL, Lo Russo LL, Fedele S, Ruoppo E, Bucci E. Clinical guidelines in early detection of oral squamous cell carcinoma arising in oral lichen planus: a 5-year experience. Oral Oncol. 2001; 37(3): 262-7.
13. Scully C, Beyli M, Ferreiro MC, Ficarra G, Gill Y, Griffiths M, Holmstrup P, Mutlu S, Porter S, Wray D. Update on oral lichen planus: etiopathogenesis and management. Crit Rev Oral Biol Med. 1998; 9(1): 86-122.
14. Van der Meij EH, Schepman KP, Smeele LE, van der Wal JE, Bezemer PD, van der Waal I. A review of the recent literature regarding malignant transformation of oral lichen planus. Oral Surg Oral Med Oral Pathol Oral Radiol Endod. 1999; 88(3): 307-10.
15. Eisenberg E. Oral lichen planus: a benign lesion. J Oral Maxillofac Surg. 2000; 58(11):1278-85.
16. Mattsson, Ulf, Jontell M., Holmstrup P. Oral lichen planus and malignant transformation: is a recall of patients justified? Crit Rev Oral Biol Med. 2002; 13(5): 390-6.
17. Rad M, Hashemipoor MA, Mojtahedi A, Zarei MR, Chamani G, Kakoei S, Izadi N. Correlation between clinical and histopathologic diagnoses of oral lichen planus based on modified WHO diagnostic criteria. Oral Surg Oral Med Oral Pathol Oral Radiol Endod. 2009; 107(6): 796-800.
18. Laeijendecker R, van Joost T, Kuizinga MC, Tank B, Neumann HA. Premalignant nature of oral lichen planus. Acta dermato-venereologica. 2005; 85(6): 516-20.
19. Thorn JJ, Holmstrup P, Rindum J, Pindborg JJ. Course of various clinical forms of oral lichen planus. A prospective follow-up study of 611 patients. J Oral Pathol. 1988; 17(5): 213-18.
20. Kaplan I, Ventura-Sharabi Y, Gal G, Calderon S, Anavi Y. The dynamics of oral lichen planus: a retrospective clinicopathological study. Head Neck Pathol. 2012; 6(2):178-83.
21. Fernández-González F, Vázquez-Álvarez R, Reboiras-López D, Gándara-Vila P, García-García A, Gándara-Rey JM. Histopathological findings in oral lichen planus and their correlation with the clinical manifestations. Med Oral Patol Oral Cir Bucal. 2011; 16(5): 641-6.
22. Chainani-Wu N, Silverman S Jr, Reingold A, Bostrom A, Lozada-Nur F, Weintraub J. Validation of instruments to measure the symptoms and signs of oral lichen planus. Oral Surg Oral Med Oral Pathol Oral Radiol Endod. 2008; 105(1):51-8.
23. Al-Hashimi I1, Schifter M, Lockhart PB, Wray D, Brennan M, Migliorati CA, et.al. Oral lichen planus and oral lichenoid lesions: diagnostic and therapeutic considerations. Oral Surg Oral Med Oral Pathol Oral Radiol Endod. 2007;103 :S25.e1- S25.e12.
24. Juneja M, Mahajan S, Rao NN, George T, Boaz K. Histochemical analysis of pathological alterations in oral lichen planus and oral lichenoid lesions. J Oral Sci. 2006; 48(4):185-193.
25. Bornstein MM1, Kalas L, Lemp S, Altermatt HJ, Rees TD, Buser D. Oral lichen planus and malignant transformation: a retrospective follow-up study of clinical and histopathologic data. Quintessence Int. 2006; 37(4):261-7.
26. Bolewska J, Reibel J. T lymphocytes, langerhans cells and HLA-DR expression on keratinocytes in oral lesions associated with amalgam restorations. J Oral Pathol Med. 1989; 18(9): 525-8.
27. Bratel J, Hakeberg M, Jontell M. Effect of replacement of dental amalgam on oral lichenoid reactions. J Dent. 1996; 248(1-2): 41-5.
28. Gonzalez-Moles MA, Scully C, Gil-Montoya JA. Oral lichen planus: controversies surrounding malignant transformation. Oral Dis 2008; 14(3): 229-43.
29. Napier SS, Speight PM. Natural history of potentially malignant oral lesions and conditions: an overview of the literature. J Oral Pathol Med. 2008; 37(1):1-10.
30. Cortés-Ramírez DA, Gainza-Cirauqui ML, Echebarria-Goikouria MA, Aguirre-Urizar JM. Oral lichenoid disease as a premalignant condition: The controversies and the unknown. Med Oral Patol Oral Cir Bucal. 2009; 14(3):118-22.
Declaración de conflicto de interés:
los autores han completado y enviado la forma traducida al español de la declaración de conflictos potenciales de interés del Comité Internacional de Editores de Revistas Médicas, y no reportaron alguno que tuviera relación con este artículo.