Casos clínicos
Síndrome de Down y bloqueo cardiaco secundario a lupus neonatal*
Down syndrome and heart block secondary to neonatal lupus
Síndrome de Down y bloqueo cardiaco secundario a lupus neonatal*
Revista Médica del Instituto Mexicano del Seguro Social, vol. 55, núm. 1, pp. 128-132, 2017
Instituto Mexicano del Seguro Social
Recepción: 15 Marzo 2013
Aprobación: 20 Mayo 2013
Resumen: En el síndrome de Down, hasta ahora, no se ha reportado su asociación a bloqueo cardiaco congénito, entidad poco frecuente, presentándose únicamente en el 1% de las madres que presentan lupus eritematoso sistémico. La presencia de anticuerpos anti-Ro atraviesan la barrera placentaria presentando lupus neonatal con lesiones dérmicas y bradicardia por bloqueo cardiaco congénito, motivo por el cual describimos el siguiente caso. Se trata de un recién masculino de término, producto de madre joven asintomática, pero con anormalidades serológicas, al nacimiento con estigmas de síndrome de Down y bradicardia congénita, manifestación poco frecuente pero común en hijos de madres con lupus, se inició protocolo de estudio, realizándole exámenes de laboratorio e incluyendo estudios inmunológicos y de gabinete como electrocardiograma y ecocardiograma, lo que dio pauta a tomar estudios inmunológicos a la madre, siendo positivos antiRo. Concluimos que el riesgo de presentar bloqueo cardiaco en un paciente con síndrome de Down es el mismo que para la población general.
Palabras clave: Síndrome de Down, Bloqueo cardíaco, Lupus.
Abstract: In Down syndrome, so far, has not been reported it’s association with congenital heart block, this entity is rare and occurred in only 1% of mothers who have systemic lupus erythematosus, the presence of anti-Ro antibodies cross the placenta presenting neonatal lupus with skin lesions and congenital heart block, bradycardia, which is why we describe the following case. This is a new male end product of asymptomatic young mother, but serological birth with stigmata of Down syndrome, birth presents congenital bradycardia rare manifestation abnormalities, but common in children of mothers with lupus are initiated study protocol, realizing you including laboratory tests and immunological studies cabinet as electrocardiogram and echocardiogram, which gave tone to take the mother immunological studies, being positive antiRo. We concluded that the risk of heart block in a patient with Down syndrome is the same as for the general population.
Keywords: Down syndrome, Heart block, Lupus.
Introducción
El lupus eritematoso neonatal es una enfermedad rara producida por el paso transplacentario de autoanticuerpos maternos anti-Ro y/o La a la circulación fetal, presentando el 50% de los casos manifestaciones cutáneas, hematológicas y hepáticas.1,2,3 Esta entidad se describió inicialmente en hijos de madres con lupus eritematoso sistémico,4pero se puede manifestar en otras enfermedades del tejido conectivo, por ejemplo el síndrome de Sjögren.5
El síndrome lúpico neonatal es una enfermedad autoinmune que se produce por el paso de anticuerpos maternos del tipo anti-Ro/SSA y anti-La/SSB. En el 70-95% ocasiona bloqueo auriculoventricular completo congénito, complicación grave y se manifiestan in utero o en el período neonatal inmediato.2
Su incidencia oscila entre el 1/15 000-22 000 nacidos vivos;3 sin embargo, y a pesar de los medios actuales para el diagnóstico prenatal temprano, aún es una patología con alta morbilidad y mortalidad que requiere diagnóstico e intervención temprano.
A pesar de que toda madre de un niño con síndrome lúpico neonatal tiene anticuerpos circulantes, solo 1-2% de las madres con anticuerpos tendrá un hijo con bloqueo auriculoventricular completo congénito, cuyo riesgo se incrementa en segundo embarazo en 5-17% y en 50% para los subsecuentes.6 En el 10% de los casos, la enfermedad se presentará en un corazón con estructura normal y sin asociaciones a enfermedades del tejido conectivo o anticuerpos circulantes en la madre.
Patogénesis
Aún no se entiende con exactitud el mecanismo exacto por el cual se produce el bloqueo; la hipótesis sugiere que el paso de autoanticuerpos a través de la placenta de madres con enfermedad autoinmune se manifiesta alrededor de la semana 12 de gestación, esta hipótesis es la que se acepta como la más probable.7 Los anticuerpos anti-Ro y anti-La actúan contra las proteínas ribonucleares «Ro» y «La» intracelulares, importantes para la maduración de RNA polimerasas. Estos autoanticuerpos tienen especial afinidad por células del sistema de conducción fetal, sobre todo entre las semanas 16 y 24 de gestación.8 Allí desencadenan un proceso autoinmune que lesiona el nodo auriculoventricular y los tejidos circundantes causando isquemia, necrosis y posterior fibrosis; además, se crea una desconexión entre la aurícula y el nodo auriculoventricular.9Se cree que la apoptosis del miocito favorece la expresión de estas proteínas nucleares para que las reconozcan los autoanticuerpos, generando inducción de la inflamación, fagocitosis de la célula apoptótica y liberación de factor de necrosis tumoral. Otra teoría, es el posible efecto arritmogénico de los autoanticuerpos al inhibir, de forma directa, los canales de calcio tipo L, los cuales son fundamentales para el inicio y la propagación del potencial de acción en el nodo auriculoventricular.10,11
Manifestaciones clínicas
Dependen de la edad de presentación. Puede aparecer in utero, al nacimiento o más tarde. Cuando se presenta in utero, casi invariablemente es por un síndrome lúpico neonatal. La bradicardia fetal puede detectarse desde la semana 18 hasta la 28 por medio de ecocardiografía fetal con la cual puede medirse el intervalo PR mecánico. Los fetos con frecuencias más bajas tienen grandes complicaciones como aborto espontáneo, hidrops severo, fibroelastosis endocárdica, derrame pericárdico y muerte intrauterina.1,6 Si logran alcanzar el nacimiento, tienen mortalidad de hasta 30% en un neonato mayor de 34 semanas y hasta de 50% en menores. Estos niños desarrollarán cardiomiopatía dilatada, fibroelastosis e insuficiencia mitral severas.
Cuando se manifiesta en el período neonatal, la bradicardia es el signo cardinal, además de signos de falla cardiaca secundarios a bajo gasto.
El electrocardiograma mostrará frecuencia atrial aumentada, frecuencia ventricular baja y ritmo de la unión o del nodo auriculoventricular de escape o ectópico. Puede encontrarse bloqueo auriculoventricular de primer o segundo grado que posteriormente se convertirá en completo. Hasta 40% de los bloqueos auriculoventriculares completos congénitos pueden no manifestarse hasta la niñez. Esto tal vez se debe a que pueden presentarse de forma intermitente y asintomática. En esta situación es muy poco probable que la causa sea el síndrome lúpico neonatal.12,13
Diagnóstico
Aunque la historia prenatal será de gran ayuda para el diagnóstico, en más del 50% de los casos la madre no tiene enfermedad activa, solo anticuerpos circulantes y únicamente un tiempo después desarrollará la enfermedad. La mayor concentración de autoanticuerpos en el sistema de conducción fetal, se da entre las semanas 16 y 24 de gestación. Este es el período de mayor vulnerabilidad para el feto. Aunque no hay guías establecidas, en las embarazadas en riesgo se recomienda hacer seguimiento con ecocardiografía fetal cada semana durante este período y luego cada dos semanas hasta la 32; después de esta es poco probable que se produzca bloqueo.7
Un feto en el que se detecte bloqueo auriculoventricular completo congénito, deberá nacer en un centro de alta especialidad, para recibir atención especializada. En el neonato con frecuencia cardiaca baja no explicada por otra causa, es obligatorio realizar electrocardiograma después del nacimiento para corroborar el bloqueo. Debido a que más del 90% de los casos ocurren por síndrome lúpico neonatal, también es imperativo efectuar estudios a la madre en caso de que no tenga enfermedad manifiesta. No tiene utilidad medir anticuerpos en el neonato.1,2,3,4,5,6
Tratamiento prenatal
En la actualidad, la única recomendación segura en estas mujeres es que, en presencia de positividad fiable para anticuerpos anti-Ro/SSA, se realicen ecocardiogramas seriados y ecografías obstétricas por lo menos cada 2 semanas a partir de la semana 16 de edad gestacional.14 Los esteroides fluorados no se deben utilizar en la ausencia de los síntomas, aunque las madres presenten anticuerpos positivos; en la presencia de síntomas alarmantes, la betametasona parece más segura que la dexametasona.15
La inmunoglobulina no ha demostrado ser eficaz para la prevención de recurrencia de bloqueo cardiaco congénito en hijos de madres con anticuerpos anti-Ro.16,17,18
Tratamiento posnatal
En niños asintomáticos se vigila, durante la primera semana, la aparición de síntomas o la progresión de un bloqueo auriculoventricular de primer o segundo grado hacia uno de tercero. El tratamiento consiste en el manejo de la falla cardiaca por medio de medicamentos y soporte inotrópico. En más del 60% de los pacientes se implantará marcapasos definitivo, más de la tercera parte lo requieren en la primera semana de vida.19,20,21
Las recomendaciones para el empleo de marcapasos figuran dentro de las guías del Colegio Americano de Cardiología (ACC), la Asociación Americana del Corazón (AHA) y la Sociedad Norteamericana de Electrofisiología y Marcapasos para la implantación de marcapasos.22,23Las indicaciones de clase I (evidencia demostrada o acuerdo general para el uso indiscutible) en niños con bloqueo auriculo-ventricular II avanzado y de III grado, son:
Bradicardia sintomática, disfunción ventricular o bajo gasto
Ritmo de escape con QRS amplio, taquicardia ectópica de la unión, arritmia ventricular compleja
Frecuencia cardiaca < 50/minuto en reposo o < 70/minuto si hay cardiopatía congénita
QT prolongado
Taquicardia ventricular sostenida con o sin QT prolongado
Bloqueo auriculoventricular completo después de siete días posquirúrgico
Pronóstico
Existe el riesgo de desarrollar cardiomiopatía dilatada en 23% de los pacientes a pesar de la implantación temprana de marcapasos. Los pacientes que permanecen asintomáticos en la niñez, pueden desarrollar limitación al ejercicio con el paso de los años y de 5 a 11% desarrollarán falla cardiaca a largo plazo.
La mortalidad oscila entre 20-30% si no se instaura un manejo oportuno.
Los principales factores asociados con mal pronóstico son: desarrollo de bloqueo in utero, frecuencias menores de 55/minuto, presencia de hidrops, bajo peso al nacer, prematurez, género masculino y desarrollo de cardiomiopatía dilatada en quienes la mortalidad será mayor a 60%.24
Reporte del caso
Madre de 18 años, enfermedades y toxicomanías negadas, hemotipo O+, gesta 1, con control prenatal desde el segundo trimestre, acudió a 10 consultas, 3 ultrasonidos obstétricos reportados como normales, adecuado consumo de hematínicos, presentó infección del tracto urinario en el segundo trimestre de gestación por lo que recibió tratamiento no especificado, aparentemente remitió; el producto se obtiene por cesárea indicada por sufrimiento fetal agudo (bradicardia), respira espontáneamente al nacer, con bradicardia de 80 latidos por minuto, apnea que ameritó 2 ciclos de VPP, Apgar 5/7, SA 0/3, Peso 3100 kg, talla 51 cm, PC 33 cm, PA 34 cm, Capurro 39 SDG.
A su ingreso a UCIN con facies características de síndrome de Down y síndrome de dificultad respiratoria que ameritó progresión a fase III de ventilación. A nivel hemodinámico precordio hiperdinámico, ruidos cardiacos arrítmicos, desdoblamiento del segundo ruido, frecuencia cardiaca de 65 lpm. Se realizó electrocardiograma y radiografía (figuras 1 y 2).


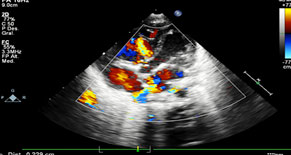
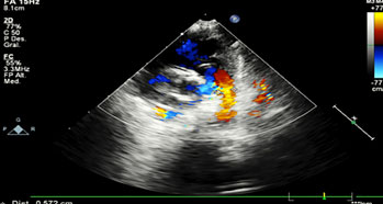
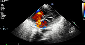
Neurológico: hipoactivo, reactivo a estímulos externos, con fontanela anterior normotensa, la posterior amplia. Al décimo día, crisis convulsivas focalizadas a miembros superiores, se agrega anticomisial, ultrasonido trasnsfontanelar normal. La frecuencia cardiaca con 42 a 65 latidos por minuto, precordio hiperdinámico, soplo sistólico en 2° Espacio Intercostal Izquierdo grado II/VI, sin irradiación, con 2do ruido intenso, borde hepático a 3 cm por debajo de reborde costal, pulsos amplios en las 4 extremidades, simétricos, ameritó apoyo aminérgico y noradrenérgico, persistiendo con bradicardia, por hipertensión arterial sistémica se suspende. El ecocardiograma reportó CIV perimembranosa de 2 mm, CIA de 6 mm ostium secundum, PCA de 5x6x5 mm, insuficiencia tricuspídea moderada y se envía a 3er nivel (figuras 3, 4 y 5). Desafortunadamente no se autorizó autopsia.



Renal: desde su ingreso presentó oliguria, creatinina 0.8, urea 11, que aumentó a la segunda semana. Gastrointestinal: en ayuno desde su ingreso, con apoyo de NPT. Metabólico: euglucémico, soluciones parenterales a 60 mL kg, GKM 4. BI 5.4, con tinte ictérico Krammer II, se coloca en fototerapia. TORCH y panel viral negativo, hipoproteinemia y albuminemia por lo que solicita US de hígado y vías biliares. Reporte de ultrasonido: ascitis, líquido libre en espacio subfrénico y esplenorrenal, vía biliar integra. Hematoinfeccioso: plaquetopenia por clínica y laboratorio 76 000, se transfunde CP y se inicia ampicilina/gentamicina, posteriormente vancomicina/imipenem. Genética: fascies característica de síndrome de Down por lo que solicita realización de cariotipo (no realizado por transfusión). Presentó inestabilidad hemodinámica y falleció, no logrando su envió a tercer nivel para colocación de marcapaso.
Discusión
Describimos un paciente con Síndrome de Down, hijo de madre asintomática positiva a anticuerpos anti-Ro que condicionó en el paciente lupus neonatal así como bloqueo cardiaco congénito completo. Del 40 al 50% de los pacientes con síndrome de Down presentan cardiopatías, las más frecuentes: CIV perimembranosa, seguida por canal AV, PCA, CIA y tetralogía de Fallot sin embargo no se ha reportado asociación entre síndrome de Down con bloqueo cardiaco, y por el antecedente de ser hijo de madre asintomática pero con bloqueo cardiaco, con repercusión hemodinámico por lo que ameritaba como tratamiento la colocación de marcapasos, para mejorar la sobrevida
Agradecimiento
Quiero agradecer a mi maestra la Dra. Méndez y a mi familia por su apoyo incondicional.
Referencias
Aguilera PP, Vicente VA, González-EA. Lupus eritematoso neonatal. Seminarios de la Fundación Española de Reumatología. 2011;12(1):15-20.
Orcel CR, Tapia CL, Díaz CR, Gutiérrez PMT. Neonatal lupus erythematosis: A five-year case review. Reumatol Clin. 2014;10(3):170-3.
Isayama T, Inamura N, Shiono N. Neonatal lupus erythematosus complicated by improved congenital complete heart block. Official Journal of the Japan Pediatric Society. 2013;2:521-3.
Yang C, Shih IH, Yang CH. Neonatal lupus erythematous infants and their mother: A 10-year retrospective study. Dermatologica Sinica. 2010;28:107-12.
Amoura Z, Arnaud L, Mathian A. Neonatal lupus: a fetal-maternal immunisation model? Bull Acad Natl Med. 2012;196(8):1625-37.
Yildirim A, Tunaodlu SF, Karaadac TA. Neonatal Congenital Heart Block. Indian Pediatrics. 2013;50(16):483-8.
Reed HJ, Clancy RM, Lee HK, Saxena A, Izmirly MP, Buyon PJ. Umbilical cord blood levels of maternal antibodies reactive with p200 and full-length Ro 52 in the assessment of risk for cardiac manifestations of neonatal lupus. Arthritis Care and Research. 2012;64(9):1373-81.
Rozenblyum EV, Sukhdeo S, Jaeggi E, Hornberger L, Wyatt P, Laskin CA, Silverman ED. A42: anti-Ro and anti-La antibodies in the general pregnant population: Rates and fetal outcomes. Arthritis Rheumatol. 2014;66(11):63.
Roy KK, Subbaiah M, Kumar S, Sharma JB, Singh N. Feto-maternal outcome in pregnancies complicated by isolated fetal congenital complete heart block. J Obstet Gynaecol. 2014;15:1-3.
Ambrosi A, Wahren-Herlenius M. Congenital heart block: Evidence for a pathogenic role of maternal autoantibodies. Arthritis Research and Therapy. 2012;14:208.
Ambrosi A, Sonesson SE, Wahren-Herlenius M. Molecular mechanisms of congenital heart block. Exp Cell Res. 2014;325(1):2-9.
Suthar R, Sahu JK, Rohit M, Khandelwal NK, Singhi P. Stroke in a case of neonatal lupus: An uncommon complication. J Child Neurol. 2014;21:157-60.
Yahalom M, Roguin N, Antonelli D, Suleiman K, Turgeman Y. Association of heart block with uncommon disease States. Int J Angiol. 2013;22(3):171-6.
Brucato A. Prevention of congenital heart block in children of SSA-positive mothers. Rheumatology. 2008;47:35-7.
Makino S, Yonemoto H, Itoh S, Takeda S. Effect of steroid administration and plasmapheresis to prevent fetal congenital heart block in patients with systemic lupus erythematosus and/or Sjögren’s syndrome. Acta Obstet Gynecol Scand. 2007;86(9):1145-6.
Routsias JG, Kyriakidis NC, Friedman DM, Llanos C, Clancy R, Moutsopoulos HM et al. Association of the idiotype: Antiidiotype antibody ratio with the efficacy of intravenous immunoglobulin treatment for the prevention of recurrent autoimmune-associated congenital heart block. Arthritis Rheum. 2011;63(9):2783-9.
Friedman DM, Llanos C, Izmirly PM, Brock B, Byron J et al. Evaluation of fetuses in a study of intravenous immunoglobulin as preventive therapy for congenital heart block: Results of a multicenter, prospective, open-label clinical trial. Arthritis Rheum. 2010;62(4):1138-46.
Pisoni CN, Brucato A, Ruffatti A, Espinosa G, Cervera R, Belmonte-Serrano M et al. Failure of intravenous immunoglobulin to prevent congenital heart block: Findings of a multicenter, prospective, observational study. Arthritis Rheum. 2010;62(4):1147-52.
Di Mauro A, Caroli CV, Favia GG, Calderoni G, Cicinelli E, Laforgia N. Antenatal and postnatal combined therapy for autoantibody-related congenital atrioventricular block. BMC Pregnancy Childbirth. 2013;13:220.
Shepard CW, Kochilas L, Vinocur JM, Bryant R, Harvey BA, Bradley S et al. Surgical placement of permanent epicardial pacing systems in very low-birth weight premature neonates: A review of data from the Pediatric Cardiac Care Consortium (PCCC). World J Pediatr Congenit Heart Surg. 2012;3(4):454-8.
Haydin S, Ozturk E, Ergul Y, Tuzcu V. Intrathoracic implantation of a dual-chamber pacemaker in a preterm infant with congenital AV block. J Card Surg. 2013;28(2):196-8.
Villain E. Indications for pacing in patients with congenital heart disease. Pacing Clin Electrophysiol. 2008;31(1):17-20.
Gregoratos G, Abrams J, Epstein AE et al. ACC/AHA/NASPE 2002 Guideline update for implantation of cardiac pacemarkers and antiarrhythmia davices summary article: A report of the American College of Cardiology/American Heart Association Task Force on Practice Guidelines. J Am Coll Cardiol. 2002;40(9):1703-19.
Mitra S, Saha AK, Sardar SK, Singh AK. Remission of congenital complete heart block without anti-Ro/La antibodies: A case report. Ann Pediatr Cardiol. 2013;6(2):182.
Notas
Notas de autor
carla_illana@hotmail.com
Información adicional
PMID PubMed: 28092260
Enlace alternativo
http://revistamedica.imss.gob.mx/editorial/index.php/revista_medica/article/view/1144/1763 (pdf)