Casos clínicos
Fibrosis endomiocárdica asociada a síndrome antifosfolipídico. Revisión a propósito de un caso*
Endomyocardial fibrosis associated to Antiphospholipid syndrome. Case report and review
Fibrosis endomiocárdica asociada a síndrome antifosfolipídico. Revisión a propósito de un caso*
Revista Médica del Instituto Mexicano del Seguro Social, vol. 55, núm. 2, pp. 247-251, 2017
Instituto Mexicano del Seguro Social
Resumen: Paciente masculino de 29 años con antecedentes de convulsiones que ingresa por episodio de pérdida de conocimiento recuperado e hipertensión arterial con deterioro de la función renal. El electrocardiograma simulaba una miocardiopatía hipertrófica que se descartó por ecocardiografía Doppler ya que sugirió una fibrosis endomiocárdica que se confirmó por resonancia magnética nuclear cardíaca con realce tardío. Dado el episodio de pérdida de conocimiento, se realizaron estudios de imágenes cerebrales que mostraban lesiones secuelares vasculares y microangiopáticas. Esto, sumado a la alteración de la función renal con proteinuria en rango nefrótico, intensificó la búsqueda de la causa etiológica y se llegó al diagnóstico de síndrome antifosfolipídico. El paciente fue dado de alta con tratamiento antihipertensivo, acenocumarol, anticonvulsivantes e inmunosupresores.
Palabras clave: Fibrosis endomiocárdica, Síndrome antifosfolipídico, Espectroscopía de resonancia magnética, Cardiomiopatías.
Abstract: A 29-year-old man with a history of seizures, was admitted due to an episode of unconsciousness recovered and hypertension with renal disfunction. The electrocardiogram mimicked a hypertrophic cardiomyopathy, but, by Doppler echocardiography, this was discarded because it suggested endomyocardial fibrosis which was confirmed by cardiac magnetic resonance imaging with late enhancement. Since the episode of unconsciousness, brain imaging studies were performed showing vascular sequelae and microangiopathic lesions. These vascular lesions asocciated with renal disfunction with proteinuria within nephrotic range, intensified the search for the etiology arriving to the diagnosis of antiphospholipid syndrome. The patient was discharged with antihypertensive therapy, acenocoumarol, antiepileptic and immunosuppressive drugs.
Keywords: Endomyocardial fibrosis, Antiphospholipid syndrome, Magnetic resonance spectroscopy, Cardiomyopathies.
Introducción
Las enfermedades del tejido conectivo comprenden un amplio grupo de entidades cuya etiología es desconocida y que se caracterizan por afectar a múltiples órganos y sistemas, además de compartir una patogenia inmunológica que da lugar a manifestaciones de tipo inflamatorio, aunque siempre su lesión básica es una vasculitis difusa. Dentro de éstas se encuentra el síndrome antifosfolipídico (SAF), una entidad poco frecuente caracterizada por un estado de hipercoagulabilidad. Para el diagnóstico de SAF es esencial la detección de los llamados anticuerpos antifosfolipina, como los anticuerpos anticardiolipina o el anticoagulante lúpico.1 Cualquier estructura cardiovascular puede verse afectada y la incorporación de la resonancia magnética nuclear cardíaca con realce tardío (RMNC con RT) permitió el reconocimiento precoz de casos que muchas veces la ecocardiografía no logra definir. La asociación con fibrosis endomiocárdica es infrecuente, según se observa a partir de la literatura médica publicada; además, en nuestro caso, el SAF tuvo una presentación más infrecuente aún, que es la insuficiencia renal con proteinuria en rango nefrótico, razón por la cual consideramos interesante la presentación de este reporte.
Caso clínico
Paciente masculino de 29 años con antecedentes de dos episodios de pérdida de conocimiento que fueron atribuidos a convulsiones. Ingresa por presentar un nuevo episodio de pérdida de conocimiento con recuperación ad integrum. Se encontraba con una presión arterial de 155/110 mm Hg y una frecuencia cardíaca de 78 lpm. El examen neurológico inicial no mostraba signos de foco agudo. En el examen cardiológico se auscultó un soplo sistólico regurgitante mitral, el resto del examen físico del paciente era normal. El electrocardiograma evidenciaba ritmo sinusal, frecuencia cardíaca de 78 lpm y signos de hipertrofia ventricular izquierda con ondas T negativas profundas simulando una miocardiopatía hipertrófica (figura 1). La radiografía de tórax era normal. Realizamos un ecocardiograma Doppler que mostró diámetros ventriculares normales, aurícula derecha con dilatación leve, dilatación acentuada de la aurícula izquierda y una fracción de eyección del ventrículo izquierdo de 66%. Observamos un aumento de la ecogenicidad del endocardio en los segmentos inferolateral mediobasal e inferior mediobasal (figura 2). La válvula mitral se encontraba levemente engrosada con apertura normal, un área de 1.96 cm2, e insuficiencia moderada. En el flujograma mitral se observó un patrón de relajación prolongada.


El laboratorio de ingreso mostró un hemograma sin eosinofilia y con trombocitopenia de 100 000 x mm3, una leve alteración de la función renal con una urea de 0.56 g/L, creatinina de 2.12 mg/dL y una depuración de creatinina de 70 mL/min. Por los antecedentes de convulsiones fue evaluado por miembros del servicio de Neurología, quienes solicitaron un electroencefalograma que informó actividad focal y una tomografía axial computarizada de cerebro que mostró signos de atrofia córtico subcortical acentuados en relación con la edad del paciente y una hipodensidad focal inespecífica localizada a nivel córtico subcortical parietal derecho. Ante estos hallazgos los neurólogos solicitaron una resonancia magnética nuclear cerebral que mostró imágenes de aspecto secuelar vascular y otras de tipo microangiopático, con leve dilatación de cavidades ventriculares y profundización de las cisternas basales, silvianas y surcos subaracnoideos corticales, los que constituyen signos de retracción cortical difusa. Por último, solicitaron una angio-resonancia magnética nuclear cerebral que mostró un área de encefalomalacia secuelar en territorio de la arteria silviana derecha.
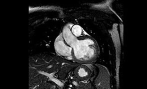
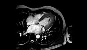
Desde el punto de vista cardiológico, solicitamos un Holter que informó ritmo sinusal con extrasístoles ventriculares y supraventriculares muy poco frecuentes, así como una RMNC con RT que informó una dilatación biauricular, cavidades ventriculares con volúmenes conservados y función sistólica global normal. El grosor de la pared libre era normal. La región apical se encontraba engrosada a expensas de depósito fibroso endomiocárdico. El realce tardío de contraste mostró una gruesa capa de fibrosis subendocárdica que comprometía todo el casquete apical y se extendía a los segmentos medios y basales de las caras inferior, inferolateral, anterolateral y septum posterior (figuras 3 y 4), músculos papilares con fibrosis extensa y válvula mitral con regurgitación grave. La ecografía renal y el Doppler renal fueron normales. Dados estos hallazgos, se completaron los análisis bioquímicos en los que se observó proteinuria de 2g/24 h.


Además, solicitamos un estudio reumatológico que detectó anticoagulante lúpico por la demostración de la prolongación de un test de coagulación dependiente de fosfolípidos (tiempo parcial de tromboplastina activado) y el test de Russell, se obtuvieron títulos elevados de anticuerpos anticardiolipina IgG, 55 GLP e IgM, 39 MLP y anticuerpos anti Beta 2 glicoproteína I IgG, 10.7 SMU e IgM, 11.7 SMU, medidos por el método de enzimoinmunoensayo (ELISA). El factor reumatoideo y los anticuerpos antinucleares, anti DNA, anti Ro, anti SM y anti LA fueron negativos y los niveles de la fracción el C3 y C4 fueron normales. Se realizó una biopsia renal que informó: esclerosis global con signos de isquemia y leve aumento de la matriz mesangial, atrofia tubular clásica y pseudotiroidea, fibrosis intersticial leve e infiltrados mononucleares intersticiales. Se observó además: arteriolas con moderada hipertrofia medial con tumefacción e hipertrofia de células endoteliales y algunos cambios degenerativos en sus ramas, así como una arteriola hiliar parcialmente trombosada y recanalizada y trombos aislados en las ramas más pequeñas. Por todos estos hallazgos se llegó a la conclusión de SAF primario asociado a fibrosis endomiocardica. Los títulos de anticuerpos se mantuvieron elevados a los tres meses. El paciente fue dado de alta medicado con levetiracetam 1g/día, enalapril 20 mg/día, azatioprina 100 mg/día y anticoagulación con dicumarínicos.
Discusión
El SAF fue descrito por primera vez en 1983,2 es una entidad autoinmune sistémica poco frecuente y se estima que un 2% de la población general la padece. Se caracteriza por la detección en plasma de anticuerpos antifosfolipídicos, como los anticuerpos anticardiolipina y el anticoagulante lúpico. Clínicamente se manifiesta por episodios recurrentes de trombosis venosa y/o arterial, trombocitopenia, abortos recurrentes y anemia hemolítica autoinmune. Se asocia con alteraciones cardiovasculares, neurológicas, renales y epidérmicas.1,3 El SAF puede ser primario cuando no existe enfermedad subyacente y secundario cuando se asocia con otras patologías, por ejemplo el lupus eritematoso sistémico. Las alteraciones cardiovasculares están presentes con frecuencia y afectan en especial a las válvulas y arterias coronarias,3,4,5 aunque también ha sido informada la presencia de trombos intracavitarios, en particular en pacientes con insuficiencia ventricular derecha.6 La fibrosis endomiocárdica es una miocardiopatía restrictiva que aún hoy tiene una etiología desconocida. Fue descrita por primera por Davies en Uganda en 1948.7Es asociado a múltiples factores etiopatogénicos como raza, clase social, malnutrición, tipo de dieta, infecciones, autoinmunidad, alergia, agentes tóxicos y herencia. Su prevalencia también es desconocida ya que tiene una distribución heterogénea, aunque su mayor localización es en África. Es la miocardiopatía restrictiva más frecuente en el mundo y afecta aproximadamente a 12 millones de personas.8,9 La asociación de SAF con fibrosis endomiocárdica es muy infrecuente. Azeem y colaboradores describieron el caso de un paciente de 50 años con fibrosis endomiocárdica con IC derecha asociada a SAF.10 Gonçalves y colaboradores informaron de un caso de trombosis biventricular en un paciente con fibrosis endomiocárdica con SAF asociado a lupus eritematoso sistémico.11 Con relación a nuestro paciente, debemos decir que al principio pensamos en una miocardiopatía hipertrófica debido a las ondas T negativas del electrocardiograma, la que luego se descartó ya que el ecocardiograma Doppler fue compatible con una miocardiopatía de tipo restrictivo debido a la dilatación biauricular con diámetros ventriculares normales, un patrón de relajación prolongada y el aumento de la ecogenicidad del endocardio, lo que sugería una fibrosis endomiocárdica que luego se confirmó con la RMNC con RT. Las imágenes de RMNC con RT se recomiendan para evaluar la estructura y la función cardíacas, medir la fracción de eyección del ventrículo izquierdo y caracterizar el tejido cardíaco, en especial en sujetos con imágenes ecocardiográficas inadecuadas, cuando no son concluyentes o cuando estén incompletos según lo recomienda la Sociedad Europea de Cardiología con una indicación clase IC.12 Es una técnica no invasiva que además de ofrecer la información anatómica y funcional que otorga la ecocardiografía aporta información adicional, así se considera a la RMNC con RT el estándar en precisión y reproducibilidad de volúmenes, masa y movimiento de la pared. Dado que la RMC ofrece una imagen de buena calidad en la mayoría de los pacientes, es la mejor alternativa para pacientes con estudios ecocardiográficos no diagnósticos. La RMNC con RT es especialmente útil a la hora de identificar trastornos inflamatorios e infiltrativos y para predecir el pronóstico en pacientes con estas enfermedades.13,14 Por otro lado, en nuestro paciente llamaba la atención la negativa de este con respecto a sus antecedentes de hipertensión arterial, pero al permanecer hipertenso durante la internación intentamos buscar otras causas del deterioro renal con proteinuria, que sumado a las lesiones neurológicas, cardíacas, a la trombocitopenia y a la detección del anticoagulante lúpico y de títulos elevados de anticuerpos anticardiolipinas permitió llegar al diagnostico de SAF primario, ya que el paciente no presentaba ninguna asociación con otra patología que justificase un SAF secundario. Las manifestaciones renales del SAF primario pueden ser agudas o crónicas y estar acompañadas de hipertensión e insuficiencia renal progresiva. La proteinuria en rango nefrótico es una infrecuente forma de presentación del SAF primario.15,16 Finalmente, si bien la ecocardiografía nos orientó en el diagnóstico fibrosis endomiocárdica, fue la RMNC con RT el estudio que perfeccionó el diagnóstico presuntivo ya que el realce tardío permitió detectar y delimitar la fibrosis subendocárdica, lo que ha sido informado previamente en algunos reportes y presenta una buena correlación histopatológica en pacientes con fibrosis endomiocárdica.17,18 Consideramos que la asociación de fibrosis endomiocárdica y SAF primario con proteinuria en rango nefrótico es extremadamente infrecuente, lo que coincide con lo encontrado en la literatura y en nuestro caso se expresó en un cuadro clínico muy complejo caracterizado por el compromiso simultáneo neurológico, cardiológico y renal.
Agradecimientos
A la Sra. Eleonora B. Vanasco por la corrección literaria del manuscrito.
Referencias
1. Miyakis S, Lockshin MD, Atsumi T, Branch DW, Brey RL, Cervera R, et al. International consensus statement on an update of the classification criteria for definite antiphospholipid syndrome (APS). J Thromb Haemost. 2006;4(2):295-306.
2. Hughes GRV. Thrombosis, absorption, cerebral disease and the lupus anticoagulant. BMJ. 1983;287:1088-9.
3. Asherson RA, Harris EN. Anticardiolipin antibodies-clinical associations. Postgrad Med J. 1986;62:1081-7.
4. Hedge VA, Vivas Y, Shah H, Haybron D, Srinivasan V, Dua A, et al. Cardiovascular surgical outcomes in patients with the antiphospholipid syndrome. A case series. Heart Lung Circ. 2007;16(6):423-7. 5. Alonso-Santor JE, Inglada-Galiana L, Pérez-Paredes G. Síndrome antifosfolípido, estado actual. An Med Interna. 2007;24:242-8.
5. Koniari J, Siminelakis SN, Baikoussis NG, Papadopoulos G, Goudevenos J, Apostolakis E. Antiphospholipid syndrome; its implication in cardiovascular disease: a review. J Cardiothorac Surg. 2010;5:101.
6. Davies JNP. Endomyocardial fibrosis in Uganda. East Afr Med J. 1948;25:10-6.
7. Mocumbi AO. Neglected cardiomyopathies in Africa. SA Heart Journal. 2009;6:30-41.
8. Sliwa K, Damasceno A, Mayosi BM. Epidemiology and etiology of cardiomyopathy in Africa. Circulation. 2005;112:3577-83.
9. Azeem T, Vassallo M, Samani N. Images in cardiology. Endomyocardial fibrosis associated with antiphospholipid syndrome. Heart. 2000;84(2):156.
10. Gonçalves LF, Souto FM, Faro FN, Oliveira JL, Barreto-Filho JA, Sousa AC. Biventricular thrombus and endomyocardial fibrosis in antiphospholipid syndrome. Arq Bras Cardiol. 2012;99(5):e162-e165.
11. ESC Guidelines for the diagnosis and treatment of acute and chronic heart failure 2012. European Heart Journal. 2012;33:1787-1847.
12. Schwitter J. Extending the frontiers of cardiac magnetic resonance. Circulation. 2008;118:109-12.
13. Raman SV, Simonetti OP. The CMR examination in heart failure. Heart Fail Clin. 2009;5:283-300.
14. Dayal NA, Isenberg DA. Endstage renal failure in primary antiphospholipid syndrome-case report and review of literature. Rheumatology. 2003;42:1128-9.
15. Polaina-Rusillo M, Biechy-Baldan MM, Vallejo-Miñarro J. Proteinuria en rango nefrótico en paciente con síndrome antifosfolípido primario. Nefrología. 2009;29(4):372-373.
16. Estornell J, López MP, Dicenta F, Igual B, Martínez V, Sonlleva A. Utilidad de la resonancia magnética en el estudio de la enfermedad endomiocárdica. Rev Esp Cardiol. 2003;56(3):321-4.
17. Cury RC, Abbara S, Sandoval LJ, Houser S, Brady TJ, Palacios IF. Images in cardiovascular medicine. Visualization of endomyocardial fibrosis by delayed-enhancement magnetic resonance imaging. Circulation. 2005;111(9):e115-7.
18. Smedema JP, Winckels SKG, Snoep G, et al. Tropical endomyocardial fibrosis (Davies’ disease): case report demonstrating the role of magnetic resonance imaging. Int J Cardiovasc Imaging. 2004;20:517-22.
Notas
Notas de autor
jorgecurotto@hotmail.com
Información adicional
PMID PubMed: https://www.ncbi.nlm.nih.gov/pubmed/28296375
Enlace alternativo
http://revistamedica.imss.gob.mx/editorial/index.php/revista_medica/article/view/1380/1983 (pdf)