Casos clínicos
Enfermedad de Lafora, presentación de dos casos clinicos en una familia mexicana*
Lafora disease presentation, two cases in a Mexican family
Enfermedad de Lafora, presentación de dos casos clinicos en una familia mexicana*
Revista Médica del Instituto Mexicano del Seguro Social, vol. 55, núm. 2, pp. 252-256, 2017
Instituto Mexicano del Seguro Social
Resumen: La epilepsia mioclónica, descrita en 1911 por Lafora y Glueck, es una entidad clínico-patológica hereditaria, autosómica recesiva, que comienza al final de la niñez o durante la adolescencia; se presentan ausencias atípicas, crisis tónico-clónicas generalizadas y atónicas, que pueden evolucionar al estado epiléptico. El diagnóstico se confirma con la biopsia de piel o determinación de la proteína laforina. En este trabajo presentamos el caso inicial de una paciente en quien confirmamos el diagnóstico de epilepsia mioclónica progresiva y en particular de enfermedad de Lafora, que debido a la sintomatología y al conocimiento del caso pudimos detectar el de su hermana. Las biopsias de piel se reportan con alta sensibilidad y especificidad, observando los cuerpos de inclusión y los estudios neurofisiológicos, electroencefalográficos, son inespecíficos sin duda. El artículo reporta los casos de dos hermanas, en quienes se confirmó en forma definitiva su diagnóstico que permitió orientarse sobre la detección temprana del otro caso.
Palabras clave: Enfermedad de Lafora, Mioclonía, Epilepsias mioclónicas progresivas, Trastornos heredodegenerativos del sistema nervioso.
Abstract: Myoclonic epilepsy, described in 1911 by Lafora and Glueck, is an autosomal recessive hereditary clinical-pathological entity, which begins at the end of childhood or during adolescence, presents atypical absences, generalized and atonic tonic-clonic seizures, which can evolve to the epileptic state. The diagnosis is confirmed trough the skin biopsy or trough determination of the protein laforine. In this paper we present the initial case of a patient in whom we confirm the diagnosis of progressive myoclonic epilepsy and in particular the Lafora disease, which due to the symptomatology and the knowledge of the case we were able to detect her sister’s disease. Skin biopsies are reported with high sensitivity and specificity, observing inclusion bodies, and neurophysiological and electroencephalographic studies are undoubtedly non-specific. The article reports on the cases of two sisters, who were definitively confirmed their diagnosis, which allowed us to focus on the early detection of the other case.
Keywords: Lafora disease, Myoclonus, Progressive myoclonic epilepsies, Nervous system heredodegenerative disorders.
Introducción
La epilepsia mioclónica, descrita en 1911 por Lafora y Glueck, es una entidad clínico-patológica hereditaria, autosómica recesiva, y que forma parte del complejo sindromático incluído en la enfermedad de Lafora, considerada una de las causas más frecuentes de epilepsia mioclónica progresiva; consiste en un trastorno degenerativo y progresivo del sistema nervioso central y, como se dijo anteriormente, de herencia autosómica recesiva, con mutación en el gen EMP2A ligado al cromosoma 6q23-25, que codifica la proteína tirosina fosfatasa (laforina).1,2,3,4 La enfermedad comienza al final de la niñez o durante la adolescencia, se reportan mioclonías, epilepsia occipital, y en ocasiones se presentan ausencias atípicas, crisis tónico-clónicas generalizadas y atónicas, que pueden evolucionar al estado epiléptico. Se acompañan de deterioro mental progresivo, signos piramidales, extrapiramidales y cerebelosos, desafortunadamente, como la mayoría de las enfermedades degenerativas, es fatal después de 2 a 5 años de establecido el diagnóstico.5,6
Los cambios en el electroencefalograma (EEG) son más tempranos que los síntomas, y se confirma con la biopsia de piel o determinación de la proteína laforina. No obstante, deben ser considerados otros diagnósticos diferenciales por demás graves, incluidos la epilepsia de Unverricht-Lundborg (epilepsia mioclónica tipo I). Es autosómica recesiva, vinculada a mutaciones de la cistatina B. Presentan mioclonías sensibles a estímulos, crisis de ausencias y tónico-clónicas.7,8 Cursan con ataxia, incoordinación, temblor de acción y disartria. Las ceroideolipofuscinosis neuronales infantiles son enfermedades autosómicas recesivas, consecuencia de la mutación del gen TPP1 (11p15). Los pacientes diagnosticados desarrollan una epilepsia mioclónica asociada a deterioro psicomotor y compromiso de la visión. Las sialidosis son enfermedades autosómicas recesivas.
La tipo I se define por el déficit de N-acetil neuraminadasa; la tipo II tiene, además, déficit de B-galactosidasa. Presentan mioclonías de acción y crisis tónico-clónicas.9
Desarrollan ataxia, alteraciones visuales y se identifican por la mancha roja del fondo de ojo.8
La epilepsia mioclónica con fibras rojas raídas (MERRF) es una enfermedad mitocondrial de transmisión materna, cuyo defecto molecular es la sustitución de adenina por guanina en el nucleótido 8344 del ADN mitocondrial. Presenta crisis mioclónica generalizada, ataxia, debilidad muscular, sordera, lipomatosis y fibras rojas raídas en el músculo. La forma juvenil de la atrofia dentato-rubro-pálido-luisiana es autosómica dominante, producto de la expansión inestable de tripletes (CAG), cursa con mioclonías, crisis tónico-clónicas, ataxia y deterioro neurológico. Como podemos observar, son varios los tipos de epilepsia mioclónica progresiva de manera que en este trabajo presentamos el caso inicial de una paciente en quien confirmamos el diagnóstico de epilepsia mioclónica progresiva y en particular de enfermedad de Lafora que, debido a la sintomatología y el conocimiento del caso, pudimos detectar el de su hermana, quien se presentó 3 años más tarde con una progresión más rápida.10,11
Presentación de los casos
Caso uno
Paciente femenina de 14 años, originaria y residente en Veracruz, padre y madre originarios de Huatusco, Veracruz. Con AHF: Una hermana inicia con crisis mioclónicas y trastornos del estado de ánimo desde hace 6 meses, en estudio.
Producto de la G-I obtenida por cesárea iterativa con desarrollo de embarazo normoevolutivo, negados antecedentes de hipoxia perinatal y desarrollo psicomotor normal cursando segundo de secundaria con buen rendimiento. Inicia su padecimiento a los 13 años con trastorno de aprendizaje y dificultad para mantener la atención y crisis parciales mioclónicas de extremidad torácica derecha al despertar un año previo recibiendo tratamiento inespecífico, y 6 meses después se agregan crisis parciales simples con alucinaciones visuales y se incrementan las alteraciones cognitivas, asimismo los padres observan mioclonías al inicio de sueño todos los días hasta 5 eventos. La paciente acude a esta unidad y deciden su ingreso, encontrando mediante exploración de funciones mentales superiores observándose alerta, alteraciones en el juicio, cálculo, abstracción, alteraciones en memoria a corto plazo, bradipsiquia, labilidad emocional, moria y actitud pueril; respecto a la exploración de nervios craneales se encontraron normales, pero se detecta rigidez con predominio en hemicuerpo derecho, movimientos coreoatetósicos bilaterales, ataxia de la marcha con lateropulsión indistinta, acompañada de temblor de intención y de reposo persistente, en la exploración del área motora se encontró tono muscular aumentado, pero con fuerza muscular normal y reflejos miotáticos normales.
Para el mes de abril del 2013 acude a valoración en este centro médico y se detecta parálisis facial central izquierda, una semana después se agregan crisis parciales motoras simples en hemicara derecha y disartria. Se decide su ingreso y se observa labilidad emocional, agudeza visual: ojo derecho (OD) 20/10 y ojo izquierdo (OI) 20/70, palidez de papila bilateral, hemiparesia izquierda discreta, reflejo de Babinski izquierdo, hipometrías y disdiadococinesias bilaterales. Se realiza, dentro de los estudios, biopsia de piel y una vez mejorada la sintomatología al recibir manejo con benzodiacepina y ácido valproíco a dosis terapéuticas se decide su egreso con seguimiento externo.
En Octubre del 2013 la paciente tiene funciones mentales alteradas en las áreas de abstracción y juicio, conducta pueril y labilidad emocional fluctuante (figura 1), pupilas con adecuada respuesta a la luz, con reflejo fotomotor y consensual conservados, agudeza visual conservada de manera bilateral, fondo de ojo sin alteraciones, discreta parálisis facial central izquierda, resto de nervios craneales íntegros, tono y trofismo normales, reflejos miotáticos exaltados de forma global, respuesta plantar indistinta, hemiparesia izquierda 4+/5, sin alteraciones a nivel de cerebelo, así como persistencia de ataxia y movimientos anormales antes referidos.

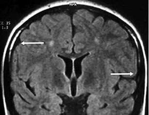
Se realizan los siguientes estudios encontrando los hallazgos a continuación reportados. Los estudios de imagen realizados durante su evolución fueron resonancia magnética de cráneo (RMN) de 0.5 UT donde solo se identificó atrofia cortical difusa, sin ningún otro hallazgo (figura 2); así como electroencefalograma (EEG) con previa colocación de electrodos mediante el sistema internacional 20-20, el cual, realizado con deprivación de sueño, mostró ritmo de fondo delta entremezclado con theta, identificando durante el trazo ondas agudas occipitales y paroxismos generalizados de polipuntas. El tamiz metabólico ampliado fue normal y el resultado de la biopsia de piel de regiones axilares identificó cuerpos de inclusión intracitoplásmicos PAS positivo a nivel de células epiteliales de glándulas sudoríparas, identificando los cuerpos de Lafora (figura 3).


Potenciales evocados visuales de agosto 2011: P100 en OD: 124 y OI: 127; N145 en OD: 175 y OI: 170.
Latencias prolongadas bilateralmente, amplitudes normales, diferencias interoculares no significativas, replicabilidad normal. Potenciales evocados auditivos (PEA) y potenciales evocados somatosensoriales (PESS) normales en forma bilateral.
El electroencefalograma de seis meses después evidenció: ritmo desorganizado de fondo lento entremezclado de actividad de paroxismos de polipuntas y complejos de P-O con supresión de voltaje de 4-5 Hz en forma intermitente en el estudio (figura 4).

Determinación de laforina positiva en el primer caso, con mutación positiva en el cromosoma 6 Fracción EPM2A.
Caso dos
Paciente femenina de 11 años, originaria de Veracruz, sin factores de riesgo perinatal y desarrollo psicomotor normal hasta los 9 años, en donde debuta la sintomatología con crisis parciales complejas, con manifestaciones psíquicas. Se inicia tratamiento con ácido valproico con buen control, sin embargo observan, de forma recurrente, trastornos de conducta caracterizados por irritabilidad, crisis de ausencia y en 6 meses evoluciona a disfasia, para que un año después del inicio de sus manifestaciones, tenga que abandonar la escuela por falta de aprovechamiento, trastornos de conducta, y lenguaje.
Debido al antecedente de su hermana se realizan estudios de RMI que resulta normal, EEG solo con paroxismos esporádicos de polipuntas y complejos de P-O lenta, generalizados de 1-1.5 Hz, y la realización de biopsia de piel con mismos resultados que la hermana (figura 5).

Discusión
La enfermedad de Lafora es una encefalopatía mioclónica donde empeoran las crisis, con declinación inexorable de las funciones mentales que evolucionan a demencia; la muerte sobreviene en un periodo de 10 años posteriores a su diagnóstico a lo sumo. En el curso de la enfermedad, regularmente las crisis empeoran recurriendo ostensiblemente estados epilépticos frecuentes. El estudio de biopsias cerebrales reporta, en un 30% de los casos, cuerpos de Lafora teñidos con hematoxilina y eosina, que equivalen a los cuerpos de poliglucosano a nivel cerebral.6,7,8
Los cuerpos de Lafora fueron descritos en 1957 por Rodrigo Lafora, quién encontró inclusiones esféricas en el cerebro, aunque también se encuentran en otros órganos como músculos, hígado y en las células mioepiteliales apócrinas de las glándulas sudoríparas. Las biopsias de piel se reportan con alta sensibilidad y especificidad, observando los cuerpos de inclusión con PAS-positivo indicativo de contenido moderado de carbohidratos y que están compuestos de fibras cortas de 50-100 Armstrongs en un diámetro de 150-300. Las fibras o gránulos son muy densas en el centro de los cuerpos de Lafora.9
En este caso en particular, pudo realizarse el estudio cromosómico en el cromosoma 6, detectando mutación en la fracción EPM2A, productor de laforina gracias al apoyo interinstitucional en México y al interés por fomentar información de manera oportuna e integral.10
Desafortunadamente, por tratarse de las dos únicas hijas en la familia, pudo haber sido entendible el abandono en el seguimiento de los casos y consecuentemente poder determinar si existía la posibilidad de identificación de los portadores, que seguramente no será factible debido al abandono en el seguimiento y vigilancia de ambos casos, esto por la decisión tomada por los familiares.
Conclusiones
La enfermedad de Lafora es una enfermedad neurológica progresiva, caracterizada por crisis mioclónicas y síntomas cerebrales y psíquicos progresivos. Esta enfermedad se distribuye predominantemente en los países de la región del Mediterráneo, incluidos Francia, Italia y España; el norte de África y se han encontrado algunos grupos étnicos en el sur de los Estados Unidos y Canadá. El presente caso confirmado es de mucha importancia, porque se trata de una evolución típica en la que, a pesar de las restricciones de abordaje diagnóstico, se confirmó el mismo y se encuentra pendiente el estudio de la paciente y el de su hermana. Son casos aislados fuera de las zonas reportadas en la literatura, en Latinoamérica pudo tratarse de una mutación de novo, con penetrancia variable que generó la réplica en un familiar directo.
Las alteraciones se localizan en dos genes del cromosoma 6 llamados EPM2A (descubierto en 1998) y EPM2B (o NHLRC1, descubierto en 2003), importante en la estructura de dos enzimas: laforina y malina, que se involucran en el metabolismo del glucógeno y cuya ausencia provoca un incremento de azúcares en varias partes del cuerpo, siendo su transmisión autosómica recesiva.10,11,12
El diagnóstico se confirma con la presencia de cuerpos de Lafora en biopsia de piel a nivel axilar, el cual es un procedimiento sencillo, disponible en nuestro medio para establecer el diagnóstico oportuno y el seguimiento de consejo genético de este grupo de encefalopatías mioclónicas progresivas, que ocupan el 1% de todas las epilepsias, y que son de interés para la comunidad médica, procurando ofrecer una alternativa de tratamiento más temprano con el objetivo de mejorar la calidad de vida de los pacientes, debido a que a la fecha no existe un tratamiento específico.13,14
Referencias
1. Lesca G, Boutry-Kryza N, de Toffol B, Milh M, Steschenko D, Lemesle-Martín M et al. Novel mutations in EPM2A and NHLRC1 widem the espectrum of Lafora disease. Epilepsia. 2010;51:1961-8.
2. Monaghan TS, Delanty N. Lafora disease: epidemiology, patophysiology and management. CNS drugs. 2010;24:549-61.
3. Schwarz G, Yanoff M. Lafora’s Disease. Arch Neurol. 1965;12:173-88.
4. Minassian BA, Ianzano L, Delgado-Escueta AV, Scherer SW. New deletion mutations in EPM2A and the genetic diagnosis of Lafora’s disease. Neurol. 2000;54:488-90.
5. Carpenter S, Karpati G. Ultrastructural findings in Lafora disease. Ann Neurol. 1981;10:63-4.
6. Serratosa JM, Delgado-Escueta AV, Posada I, et al. The gene for progressive myoclonus epilepsy of the Lafora type maps to chromosome 6q. Hum Mol Genet. 1995;4:1657-63.
7. Minassian BA, Sainz J, Serratosa JM, et al. Genetic locus heterogeneity in Lafora’s progressive myoclonus epilepsy. Ann Neurol 1999;45:262-5.
8. Minassian BA, Andrade D, Ianzano L, et al. Laforin is a cell membrane and endoplasmic reticulum associated protein tyrosine phosphatase. Ann Neurol. 2001;49:271-6.
9. Minassian B. Lafora’s disease: towards a clinical, pathologic, and molecular synthesis. Pediatr Neurol. 2001;25:21-29.
10. Ayze-Filiz KO, Bozdemüri H, Zorludemúr S, Almaki G, Zeren A. Lafora body disease: clinical, electrophysiological and histopathological findings. Turk J Med Sci. 2004;31:379-384.
11. Conry JA. Progressive myoclonic epilepsies. J Child Neurol 2002;17(Suppl):80-84.
12. Olcay Ünver, Cüyan Demirkesen, Serap Uysal. Lafora disease: A progressive myoclonic epilepsy. Turk Arch Ped 2011;46:161-63.
13. Striano P, Zara F, Turnbull J, et al. Typical progression of myoclonic epilepsy of the Lafora type. Nature clinical practice neurology 2008;4:106-11.
14. Satishchandra P. and Sinha S. Lafora body disease: NIMHANS experience CURRENT SCIENCE, 2013; 105(6):808-14.
Notas
Notas de autor
ozumbilla@yahoo.com.mx
Información adicional
PMID PubMed: https://www.ncbi.nlm.nih.gov/pubmed/28296376
Enlace alternativo
http://revistamedica.imss.gob.mx/editorial/index.php/revista_medica/article/view/1381/1984 (pdf)