Casos clínicos
Malformación de Chiari Tipo I asociado a atrofia cerebelosa. Reporte de caso*
Type I Chiari malformation associated with cerebellar atrophy. Case Report
Malformación de Chiari Tipo I asociado a atrofia cerebelosa. Reporte de caso*
Revista Médica del Instituto Mexicano del Seguro Social, vol. 55, núm. 2, pp. 260-263, 2017
Instituto Mexicano del Seguro Social
Resumen: La malformación de Chiari se caracteriza por un desplazamiento caudal de las amígdalas cerebelosas que penetran hacia el canal raquídeo por el foramen mágnum, logrando llegar hasta el atlas o el axis. No hay descenso del tronco y tampoco del cuarto ventrículo. Típicamente se observa en adultos jóvenes. En algunos casos hay escoliosis y cavidades siringomiélicas. Los autores presentan lo que a su conocimiento es el primer caso de la literatura con seguimiento a largo plazo de una mujer de raza blanca con una forma inusual de atrofia cerebelosa y malformación de Chiari tipo I, que sufre de debilidad en sus extremidades superiores e inferiores rápida y progresivamente. La paciente fue tratada con éxito mediante descompresión suboccipital y laminectomia C1.
Palabras clave: Malformacion de Arnold-Chiari, Laminectomia, Defectos del tubo neural.
Abstract: Chiari malformation is characterized by caudal displacement of the cerebellar tonsils that penetrate into the spinal canal through the foramen magnum, achieving reach the atlas or axis. trunk and any drop of the fourth ventricle is observed. Typically is seen in young adults. In some cases scoliosis and Syringomyelic cavities may occur. The authors present (as far as they know) the first case in the literature with long term follow-up, of a caucasian woman with an unusual form of cerebellar atrophy and Chiari Type I malformation, suffering from weakness in his upper and lower extremities with rapidly progression. The patient was successfully treated with suboccipital decompression and C1 laminectomy.
Keywords: Arnold-Chiari malformation, Laminectomy, Neural tube defects.
Introducción
Cleland (1883) y Hans Chiari (1891) describieron la relación entre el descenso de las amígdalas cerebelosas y los quistes en la médula espinal. Se han definido tres tipos específicos de anomalías en la fosa posterior y se clasifican según su grado de severidad (Chiari I, II y III).1 Estos síndromes, a menudo referidos como malformación de Chiari (MC-I), son una trastorno que tradicionalmente se ha definido como la herniación de las amígdalas cerebelosas a través del foramen magnum.2 La MC-I se define clásicamente como una herniación amigdalina cerebelosa (≥ 5 mm) por debajo del foramen magnum en la resonancia magnética sagital (MRI). Se estima que es incidental, que se produce en 0.6 a 1.0% de una población dada.3,4A diferencia de muchas otras enfermedades que tienen reglas fisiopatológicas comunes y bastante comprensibles, el diagnostico de MC-I es usualmente confuso.
Reporte de caso
Paciente de 18 años de edad, de raza blanca, quien se presentó a nuestra clínica neuroquirúrgica con quejas de disminución de fuerza muscular en extremidades y cefalea progresiva de 6 meses de evolución. En el examen físico se evidenció una cuadriparesia moderada discreta. La paciente no tuvo antecedente de traumas.
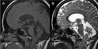
Se realizó resonancia magnética (RM) de la columna craneocervical, que demostró ptosis de las amígdalas cerebelosas sin siringe cervical (figura 1). La corrección quirúrgica fue planeada, y consistió en una laminectomía cervical C1, y craniectomía suboccipital con duroplastia. La paciente toleró bien el procedimiento, en el posoperatorio la paciente presentó una evolución satisfactoria, y fue dada de alta en el 7º día. En el seguimiento a los 3 años, la paciente era discretamente asintomática y no tenía hallazgos neurológicos anormales.

Discusión
Las malformaciones de la unión cráneo-cervical son diversas. John Cleland describió por primera vez esta lesión, que se asociaba a una malformación congénita del cerebro y el cerebelo con herniación de la médula espinal. Posteriormente, Hans Von Chiari y Julius Arnold, en 1891 y 1894 respectivamente, completan la descripción. La MC-I es una entidad heterogénea, caracterizada por alteraciones del líquido cefalorraquídeo (LCR) de circulación a nivel del foramen magno por ectopia tonsilar cerebelosa. La MC-I es predominantemente un hallazgo incidental, al ser una consecuencia secundaria de la derivación del LCR colocación desde el espacio subaracnoideo lumbar, trauma del nacimiento, tumores o reacciones meníngeas en el foramen magnum; sin embargo adquirió el descenso de las amígdalas cerebelosas, secundario a la lesión cerebral traumática, el cual es un evento menor frecuentemente reportado.
Diferentes teorías han tratado de explicar la MC-I, y se ha planteado la hipótesis de que esta puede ser el resultado de una huella antropológica evolucionista, causada por la evolución de las poblaciones de especies que con el tiempo se conocieron y se mezclaban en los últimos 1.7 millones años.
La MC-I se asocia con un volumen de la fosa posterior reducido y con el descenso caudal de las amígdalas cerebelosas; por lo tanto, la prevalencia de una de las consecuencias más evidentes es la siringomielia secundaria a la MC-I es alta.
En relación a la atrofia de cerebelo, han sido muy pocos casos publicados en la literatura.5,6 Es importante mencionar que la disminución del volumen cerebelar no es una característica de la MC-I.
Elliott et al., a través de modelos físicos y matemáticos, proporcionaron conocimientos acerca de las hipótesis de la patogénesis. Ellos sugieren que el líquido siringe deriva del líquido intersticial, que fluye por un gradiente de presión, o CSF, que se bombea cuesta arriba. Para estos últimos, dos mecanismos de válvula sistólica se han identificado: a) una válvula espacio perivascular que depende de la eliminación gradual de la CSF y los pulsos arteriales, y b) la disociación de presión cíclica va sobre una estenosis espinal del espacio subaracnoideo, flexible con una siringe subyacente.7
Por otro lado la siringomielia se asocia frecuentemente con anomalías de la unión craneocervical, particularmente la MC-I. Se ha propuesto que la obstrucción de flujo de salida del CSF a nivel del cuarto ventrículo conduce a la acumulación del líquido cefalorraquídeo para una posterior formación de la siringe. También se ha señalado que el gradiente de presión anormal del cráneo en el espacio subaracnoideo espinal podría aspirar liquido cefalorraquídeo hacia abajo a lo largo del canal central y producir la siringe.
Oldfield et al. sugieren que el desarrollo de siringe en MC-I es secundaria a las ondas de presión de líquido cefalorraquídeo creadas en la unión craneocervical causada por oclusión del agujero occipital por las amígdalas del cerebelo durante la sístole.8
La malformación de Chiari en adultos es muy diferente a la malformación de Chiari que ocurre durante la niñez o en la infancia, esto es muy importante para la planificación del tratamiento quirúrgico. Parece que el colapso casi total de una verdadera cavidad siringe es más probable que se observe después de la cirugía en pacientes más jóvenes que en una población de pacientes más viejos. La duramadre puede igualmente ser más elástica en los pacientes más jóvenes, lo que permite un mayor grado de expansión de la duramadre en respuesta a la presión normal del LCR, una vez se ha eliminado el hueso occipital suprayacente. La descompresión de la fosa posterior sigue siendo la modalidad de tratamiento preferido en pacientes con MC-I y siringomielia, independientemente de los síntomas. Aunque la mayoría de los cirujanos abren la duramadre, las técnicas preferidas para la descompresión varían. En la planificación de la descompresión de la fosa posterior hay que considerar varios factores, entre ellos: 1) el grado de descenso de las amígdalas; 2) la arquitectura de la fosa posterior; 3) la forma de los hemisferios cerebelosos, incluyendo la presencia de quistes aracnoides; 4) la presencia de siringomielia; 5) las variantes anatómicas congénitas asociadas, como el atlas de asimilación; 6) la estabilidad de la unión cráneo-cervical; 7) la presencia de hidrocefalia; 8) la presencia de un mecanismo de inmovilización espinal coexistente.
El objetivo de la operación tiene que ser el restablecimiento de la circulación normal de líquido cefalorraquídeo en el foramen magnum y el alivio de la compresión del tronco del encéfalo. La reducción del tamaño de una cavidad siringe, podría suceder, especialmente en los pacientes más jóvenes, si la circulación del líquido cefalorraquideo se ha restaurado.
Por lo general, la cirugía consiste en una craniectomía descompresiva posterior de la unión cervico-occipital asociado con duraplastia, apertura aracnoides y, a veces, la amigdalectomía. Sin embargo, un número de adyuvantes quirúrgicos para descompresión ósea estándar siguen siendo controvertidos.
Lee et al. analizaron los resultados de la descompresión de la fosa posterior acompañada por la ampliación de la cisterna magna, sin alteración de la aracnoides, en pacientes con MC-I asociados con siringomielia; debido a que una serie de técnicas quirúrgicas se han descrito para restaurar la circulación del LCR y descomprimir el tubo neural, se ha llegado a un consenso en cuanto a la técnica óptima. Así, para reducir al mínimo los riesgos relacionados con la manipulación de la membrana aracnoides y la amigdalectomía, se realizaron craniectomía descompresiva (preservación de aracnoides) y duraplastia consecutivamente a los pacientes de MC-I adultos. Llegando a la conclusión de que la descompresión de la fosa posterior (más la preservación aracnoidea) es un tratamiento seguro y eficaz para los pacientes con MC-I con siringomielia asociada.9
Yilmaz et al. evaluaron el efecto de la duraplastia basado en el grado de descenso amigdalar en el tratamiento quirúrgico de la MC-I. Encontraron que la descompresión de la fosa posterior y la duraplastia, para el tratamiento del descenso amigdalar en la malformación de Chiari grado 3, puede conducir a una reducción más fiable del volumen de la siringomielia concomitante. En los pacientes con grados 1 y 2, se puede realizar la descompresión de la fosa posterior sin duraplastia.10
Kalb et al. evaluaron los resultados sintomáticos usando diversas técnicas quirúrgicas en 104 pacientes que se sometieron a cirugía de descompresión. Observaron que los pacientes con siringomielia mostraron mejoría sintomática menor; sin embargo, la siringomielia no se asoció con un empeoramiento sintomático posoperatorio, experimentando una tasa de mejoría del 62.5% en la RM posoperatoria. Ni la apertura aracnoidea ni la visualización del cuarto ventrículo se asociaron con el resultado clínico. Se realizó duroplastia en el 94.2% de los pacientes, llegando a la conclusión de que la descompresión ósea y la apertura dural son aspectos importantes de la cirugía de Chiari tipo I, con mejoría de los síntomas observados en la mayoría de los pacientes.11
Las complicaciones conocidas de la duraplastia son: fístula de líquido cefalorraquídeo, pseudomeningocele, meningitis aséptica, empeoramiento del descenso amigdalar con drenaje subaracnoideo lumbar para controlar pseudomeningocele y pérdida de LCR. La ptosis cerebelosa se asocia con descompresión extensa en una duraplastia defectuosa.
Conclusiones
La malformacion de Chiari continua siendo una entidad no del todo bien comprendida que puede ser un fenómeno evolutivo, o consecuencia de un traumatismo cervical o de lesión cerebral traumática (aunque con menos frecuencia). Las causas secundarias más comunes son: derivación del LCR, trauma del nacimiento, tumores o reacciones meníngeas en el foramen magnum, así como también a alteraciones del cerebelo raramente asociadas, como sucede en neustro caso. En general, el tratamiento correctivo quirúrgico es una buena opción para resolver los déficits neurológicos, no para los pacientes asintomáticos, en los que puede aplicarse un tratamiento más conservador. El caso presentado nos permite determinar que, a largo plazo, después de un procedimiento quirúrgico indicado, en el contexto de malformación de Chiari tipo I con atrofia cerebelosa, el pronóstico es favorable.
Referencias
1. Anson J, Benzel E, Awad I. Syringomyelia and the Chiari malformations. Park Ridge, Illinois: American Association of Neurological Surgeons; 1997. pp. 91-104.
2. Haroun RI, Guarnieri M, Meadow JJ, Kraut M, Carson BS. Current opinions for the treatment of syringomyelia and chiari malformations: Survey of the Pediatric Section of the American Association of Neurological Surgeons. Pediatr Neurosurg . 2000;33(6):311-7.
3. Meadows J, Kraut M, Guarnieri M, Haroun RI, Carson BS. Asymptomatic Chiari Type I malformations identified on magnetic resonance imaging. J Neurosurg . 2000;92(6):920-6.
4. Furtado SV, Reddy K, Hegde AS. Posterior fossa morphometry in symptomatic pediatric and adult Chiari I malformation. J Clin Neurosci . 2009;16(11):1449-54.
5. Gebarski SS, Greenberg HS. Chiari malformation presenting as loss of cerebellar substance on computed tomography. Surg Neurol. 1984;21(6):562-4.
6. Naidich TP, Pudlowski RM, Naidich JB. CT signs of Chiari malformations. Part I, II and III. Radiology. 1980;134:65-71, 391-8, 657-63.
7. Elliott NSJ, Bertram CD, Martin BA, Brodbelt AR. Syringomyelia: A review of the biomechanics. J Fluids Struct . 2013;40:1-24.
8. Oldfield EH, Muraszko K, Shawker TH, Patronas NJ. Pathophysiology of syringomyelia associated with Chiari I malformation of the cerebellar tonsils. Implications for diagnosis and treatment. J Neurosurg . 1994;80(1):3-15
9. Lee HS, Lee S-H, Kim ES, Kim J-S, Lee J-I, Shin HJ, et al. Surgical results of arachnoid-preserving posterior fossa decompression for Chiari I malformation with associated syringomyelia. J Clin Neurosci. 2012;19(4):557-60.
10. Yilmaz A, Kanat A, Musluman AM, Çolak İ, Terzi Y, Kayacı S, et al. When is duraplasty required in the surgical treatment of Chiari malformation Type I based on tonsillar descending grading scale? World Neurosurg . 2011;75(2):307-13.
11. Kalb S, Perez-Orribo L, Mahan M, Theodore N, Nakaji P, Bristol RE. Evaluation of operative procedures for symptomatic outcome after decompression surgery for Chiari type I malformation. J Clin Neurosci. 2012;19(9):1268-72.
Notas
Notas de autor
mineurocirujano@aol.com
Información adicional
PMID PubMed: https://www.ncbi.nlm.nih.gov/pubmed/28296378
Enlace alternativo
http://revistamedica.imss.gob.mx/editorial/index.php/revista_medica/article/view/1383/1986 (pdf)