Casos clínicos
Neisseria meningitidis: caso clínico con afección a múltiples órganos*
Neisseria meningitidis: A clinical case with multi-organ affection
Neisseria meningitidis: caso clínico con afección a múltiples órganos*
Revista Médica del Instituto Mexicano del Seguro Social, vol. 55, núm. 3, pp. 388-393, 2017
Instituto Mexicano del Seguro Social
Recepción: 19 Mayo 2015
Aprobación: 13 Julio 2015
Resumen: La Neisseria meningitidis (Nm) es un agente que durante décadas ha infundido temor dentro del área médica a causa de su relevante morbimortalidad; sin embargo, irónicamente entre 5 y 10% de la población es portador asintomático de este germen, el cual además estará al acecho en espera del momento oportuno para activarse y manifestarse como enfermedad. Se presenta el caso de una niña de nueve años de edad que arribó al servicio de Urgencias Pediátricas del Hospital General de Zona 35, en Ciudad Juárez, Chihuahua, con afección de órganos múltiples. La Nm fue asilada en líquido cefalorraquídeo (LCR) y en lesiones de la piel y se identificaron tres serotipos. El germen presentó sensibilidad al uso de la penicilina y la paciente logró sobrevivir sin ningún tipo de secuela neurológica.
Palabras clave: Infecciones meningocócicas, Neisseria meningitidis.
Abstract: Neisseria meningitidis (Nm) is an agent feared for decades in the medical field due to its important morbidity and mortality. Ironically between 10 and 15% of the population will be asymptomatic carriers of this germ, which will also be ready to activate and manifest itself as a sickness at the right moment. We present the case of a nine-year-old girl who arrived at the Pediatric Emergency Service (to the Hospital General Region number 35, in Ciudad Juárez, Chihuahua) with the disease in multiple organs, where the Nm was isolated in the cerebrospinal fluid and in skin injuries, displaying three serotypes of Nm. Until today this germ still displays sensibility to penicillin use. Luckily the patient is still alive and without any neurological damage.
Keywords: Meningococcal infections, Neisseria meningitidis.
Introducción
La Neisseria meningitidis (Nm) fue reportada por primera vez en el siglo XVI. La primera descripción definitiva, como enfermedad, la hizo Vieusseux en Suiza en 1805. En 1987,1 Weichselbaum identificó la bacteria por primera ocasión en el líquido cefalorraquídeo de pacientes. La Nm es la causa más frecuente de meningitis bacteriana y sepsis en América del Norte, es responsable de epidemias en regiones del subsahara en África, área llamada “cinturón meningeo”.1,2,3 Se ha reconocido como causante de enfermedades sistémicas y localizadas, como neumonía (de 5 al 15% de las enfermedades meningocóccicas invasivas)4 y artritis;1,2 existen formas poco frecuentes como la meningococcemia crónica y es menos común el desarrollo de la Nm bajo las escaras de la piel.5,6
La Nm es un diplococo gram negativo, aeróbico estricto, inmóvil, de forma arriñonada, observado en pares intra/extracelulares. Lábil a temperatura ambiente, se autolisa rápidamente y es exigente en sus condiciones de crecimiento. Puede cultivarse en agar-sangre, agar-chocolate y en agar de Müeller-Hinton. La Nm posee una capsula de polisacáridos en la superficie que hace la diferencia entre las diferentes cepas y serogrupos. Se divide en 13 serogrupos, siendo los más frecuentes en nuestra región los grupos A, B, C, W135 y Y;1,2,3,7,8 el serogrupo X está tomando gran relevancia en algunas regiones, incluido Mexico.7,9 En los Estados Unidos los serotipos de mayor frecuencia son los B y el C,2 y en el África subsahariana el serogrupo A. los serogrupos que predominan en pacientes menores de 1 año son el B (65%) y el C en adolescentes y adultos, el cual es el predominante.9,10Entre los factores de riesgo para la infección por Nm se incluyen el sistema inmune del huésped, los bajos recursos, el hacinamiento y el clima.2,9,11
Patogénesis
El ser humano es el huésped natural de la Nm. Entre 10 y 15% de las personas aparentemente sanas lo portan en la nasofaringe3,4,12 y son los infantes el grupo mayormente afectado.12 El periodo de incubación es de dos a 10 días.12,13 Se presentan cuatro condiciones antes de su forma invasiva: 1) exposición bacteriana, 2) colonización en la mucosa naso-oral-faríngea, 3) paso a través de la mucosa (endocitosis), 4) sobrevida del meningococo en la circulación sanguínea.12 El periodo de transmisión es de hasta 48 horas, una vez iniciado el tratamiento.12 Aproximadamente 50% de las personas infectadas cursaran con bacteriemia, al tener la bacteria la capacidad de cruzar la barrera hematoencefálica y llegar al líquido cefalorraquídeo (LCR), lo cual causará una meningitis.1,13 La Nm ha desarrollado cinco mecanismos de sobrevivencia: 1) su cápsula, 2) los polisacáridos, 3) el grupo de proteínas bloqueadoras de proteínas antibacterianas, 4) las proteínas que inhiben el sistema de complemento y 5) los componentes que previenen la maduración y el funcionamiento de los fagocitos.13
Conforme los infantes crecen van teniendo contacto con diferentes miembros de la familia de la Neisseria y siempre el primer contacto con esta será el de mayor riesgo de adquirir la infección. Estos contactos subsecuentemente ayudarán a los infantes a mejorar su respuesta inmunológica. Los anticuerpos logrados disminuirán durante la adolescencia, factor predisponente que permitirá que se aloje la Nm y esto a la vez los hará muy susceptibles.13
Características clínicas
La meningitis meningocóccica se caracteriza por fiebre elevada, alteraciones del estado de conciencia, rigidez de nuca, fotofobia, cefalea, vómitos; entre un 5 y 20% evolucionan a sepsis meningocóccica, la que se caracteriza por petequias o rash purpúrico.7,9 Entre las complicaciones, además de las neurológicas, se encuentran falla renal aguda, hipotensión, choque y disfunción orgánica múltiple.9
Una vez activado este germen como patógeno, la meningitis por Nm será en un 50% de los casos aproximadamente; un 10% de los pacientes cursarán solo con sepsis por Nm, y una forma mixta se presentará en un 40% de los casos. La fatalidad de meningitis por sí sola es de 8 a 20%, la sepsis por meningococo es de 5 a 20% y la meningitis por Nm asociada a sepsis por Nm es muy alta, hasta un 70% en epidemias.9 La meningitis por Nm no tratada tiene una fatalidad del 50% aproximadamente.7 De un 10 a un 20% aproximadamente de los sobrevivientes quedarán con secuelas neurológicas, tales como la disminución o pérdida de la agudeza auditiva, y daño psicomotriz.7,9,14
Las siguientes son algunas definiciones operacionales:2
Se sospecha de un caso cuando hay fiebre mayor de 38 ºC y dos o más de los siguientes signos o síntomas:
Meníngeos: fontanela abombada, rigidez de nuca, signos de Kerning, signos de Brudzinski, dolor lumbar o fotofobia.
Encefálicos: irritabilidad, desorientación, confusión, somnolencia, estupor, apatía, agresividad, habla farfullada, ataque a pares craneales o convulsiones.
Líquido cefalorraquídeo (LCR) turbio.
Estaremos ante un caso confirmado cuando, además de lo mencionado, se identifique la presencia de Nm por aislamiento (cultivos en medio Thayer Martin, agar-chocolate y agar-sangre) ya sea en sangre o en LCR,12 pruebas de aglutinación o la reacción en cadena de la polimerasa (PCR), o pruebas serológicas.7
El tratamiento empírico deberá iniciarse con antibiótico de amplio espectro (cefalosporina de tercera generación, incluso la asociación de vancomicina) hasta obtener los cultivos. Son pocas las cepas de Nm resistentes a la penicilina, por lo que una vez confirmada su sensibilidad, se podrá utilizar.15
La profilaxis con rifampicina 600 mg vía oral (VO) cada 12 horas por dos días, o ciprofloxacina 500 mg VO en dosis única, y ceftriaxona intramuscular en dosis única es efectiva, pues reduce los portadores de nasofaringe en un 90-95 %.7,12,15,16,17
Las vacunas contra el meningococo (cuadrivalente de polisacáridos) (MPSV4) y la vacuna cuadrivalente conjugada (MCV4) protegen contra cuatro serogrupos de la Nm: el A, C, W-135 y el Y; por lo tanto, son recomendadas para las edades de nueve meses a 12 años de edad.10,18En Europa se está utilizando una vacuna cuadrivalente a los serogrupos del meningococo A, C, W-135 y Y, y vacuna conjugada toxoide tetánica (MenACWY-TT) para las edades que van de los dos a los 10 años.19 Los adolescentes deben recibir la inmunización a la edad de 11 a 12 años con un refuerzo a los 16 años con una vacuna cuadrivalente conjugada. En adolecentes, si su primera dosis fue entre los 13 y los 15 años, deberán reforzase a los 16-18 años. La primera dosis después de los 16 años ya no requiere refuerzo. Aquellos estudiantes sin vacuna o previamente vacunados, a los 16 años, en su primer año de escuela a la edad de 21 años y viviendo con otros compañeros deben recibir un refuerzo. Y también aquellos con incremento de riesgo como deficiencia persistente de complemento (c3, c5-c9).11,19 En Europa está en estudio una vacuna de cuatro componentes de serogrupos B de meningococo (4CMenB) que aparentemente ha tenido buenos resultados; sin embargo, se requieren más estudios para que sea aprobada.20
Caso clínico
Paciente de sexo femenino de nueve años de edad, sin antecedentes previos patológicos, con esquema de vacunación completo y alérgica a la penicilina. Inició cuadro de rinofaringitis con siete días de evolución, destacando tos productiva, rinorrea hialina. La madre refirió que durante la madrugada del día de su traslado al servicio de Urgencias, la paciente presentó fiebre no cuantificada, hiporexia, vómito, distress respiratorio y la presencia de múltiples moretones en la piel (figuras 1 y 2). A su llegada al servicio de Urgencias Pediátricas, la paciente se encontraba somnolienta, con la mucosa oral seca, frecuencia cardiaca de 110 por minuto, frecuencia respiratoria de 30 por minuto, temperatura 39 ºC, piel con lesiones de tipo púrpura generalizada, con predominio en tronco y la cara estaba levemente afectada; asimismo, se presentaron campos pulmonares con crépitos bilaterales, difusos y zona basal izquierda hipoventilada. El diagnóstico inicial fue neumonía, deshidratación y púrpura en estudio. El manejo inicial estuvo constituido por ayuno, líquidos (reposición y mantenimiento), ceftriaxona y metamizol. Se solicitaron análisis en los laboratorios y rayos equis. La fiebre incrementó a 40 ºC, se presentaron crisis convulsivas generalizadas, las cuales cedieron con la administración de diazepam. Además de los diagnósticos mencionados previamente y la asociación de fiebre con crisis convulsivas se sospechó que hubiera la presencia de sepsis y de una muy remota posibilidad de meningitis por Neisseria meningitidis. Nuestra sospecha clínica estuvo orientada por la presencia de lesiones purpúricas, fiebre elevada, alteraciones del estado de conciencia y crisis convulsivas. El reporte de laboratorios mostró un hemograma al ingreso con leucocitos de 29 400, neutrófilos de 95.2%, plaquetas 180 000 y estas mismas con un valor de 67 000 (12 horas después), hematocrito (hto) 31.2%, hemo-globina (hg) 13 gr/dL, dímero D 2120 ng/mL, fibrinógeno 524 mg/dL, tiempo de protrombina (TP) 24.3 seg., tiempo parcial de tromboplastina (TTP) 59.9 seg., glucosa 82 mg/dL, creatinina 2.1 mg/dL, albúmina 2.3 g/dL, AST/TGO 190 UI/L, fosfatasa alcalina 185 UI/L, amilasa 1321 UI/L, DHL 470 UI/L. El examen general de orina (EGO) mostró que hubo 18 leucocitos x campo, 5 eritrocitos por campo, proteínas 3 (+++) mm/dL. Se realizó punción lumbar para obtener líquido cefalorraquídeo (LCR), el cual se reportó turbio, con una celularidad de 352 mm3, de los que 20% eran mononucleares y 80% polimorfonucleares; la glucosa fue de 3 mg/dL, proteínas 416 mg/dL, cloro 116 meq, DHL 415 UI/L; asimismo, la tinción de Gram mostró diplococos negativos. El tele de tórax presentó infiltrado basal izquierdo. Fueron sorprendentes estos hallazgos del laboratorio, ya que la paciente había sido completamente sana.


Ante la evolución clínica y una vez obtenidos los paraclínicos mencionados las conclusiones diagnósticas estuvieron encaminadas a la alta sospecha de infección por Neisseria meningitidis: neumonía por Nm, meningococcemia y meningitis por Nm, coagulación intravascular diseminada, urosepsis y pancreatitis aguda. La paciente fue enviada a terapia intensiva para su manejo con las siguientes indicaciones: ayuno, soluciones (reposición/mantenimiento), ceftriaxona, ciprofloxacina, dexametasona, fenitoína, enoxaparina, vitamina K, metamizol, omeprazol, diazepam, politransfusiones (paquete globular, plaquetas, plasma); no hubo necesidad de ventilación mecánica asistida.
A las 24 horas de estancia hospitalaria (EH), la paciente presentó hemograma de 10.3 g, hto 29.8%, leucocitos 44 000, neutrófilos 94.8%, linfocitos 3.5%, plaquetas 46.7 mil, glucosa 257 mg/dL, amilasa 78 UI/L, DHL 1296 UI/L. Se realizó tomografía axial computarizada (TAC) de cráneo, sin que se observaran alteraciones estructurales. Se agregó insulina de acción rápida e inmunoglobulina.
A las 48 horas de EH, la paciente presentó mejoría neurológica, 76 000 plaquetas, fibrinógeno 1006 mg/dL, DHL 496 UI/L, albúmina 1.9 g/dL, amilasa 47 UI/L.
Asimismo, 72 horas después de la EH, la paciente presentó en el hemograma 8.7 g/dL, leucocitos de 27 200, neutrófilos 89.7%, plaquetas 678 000, fibrinógeno 755 mg/dL.
Al cuarto día de EH se reportó cultivo de LCR con la Nm aislada, antibiograma con sensibilidad a la penicilina, con coaglutinación a Nm a los serogrupos B, W-135 y al Y. El hemograma presentó 7.87 g/dL, dímero D 2230 ng/mL, fibrinógeno 556 mg/dL. Se hizo una nueva TAC de cráneo, la cual se reportó sin alteraciones estructurales.
Del quinto al noveno día de EH la paciente se mantuvo con febrícula (37.7 ºC) hasta que alcanzó cifras de 38.5 ºC. El nuevo hemograma mostró 21 800 leucocitos, neutrófilos 95.1%, fibrinógeno 804 mg/dL. Sospechamos que hubiera la presencia de germen nosocomial, por lo que se tomaron muestras para policultivo (faringe, sangre, excretas y lesiones dérmicas [figuras 3 y 4]). Se decidió emplear un nuevo esquema antimicrobiano: vancomicina y piperacilina-tazobactam. Cuarenta y ocho horas después de este nuevo esquema antimicrobiano la fiebre cedió.


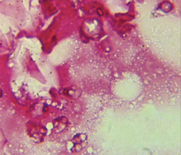
A los 14 días de EH los policultivos presentaron resultados negativos a crecimiento bacteriano en faringe, sangre y excretas (figura 5); sin embargo, la muestra obtenida por debajo de las escaras en la piel mostró en la tinción de gram diplococos gram negativos (figura 6), por lo que se aisló nuevamente la Nm en medio de cultivo.


A los 24 días de EH, la paciente estaba neurológicamente íntegra, con buen estado de conciencia, campos pulmonares sin ruidos agregados o hipoventilación, y tolerando la vía oral. Las escaras de piel se manejaron por el servicio de Dermatología de manera ambulatoria. La paciente egresó a su domicilio sin secuelas clínicas neurológicas.
Un año después platicamos con la madre y la niña (figura 7), quien goza en la actualidad de buena salud y no tiene ningún problema neurológico.

Discusión
Resultó muy revelador notar cómo estos serogrupos de Nm lograron afectar varios órganos a la vez en esta paciente, que había sido previamente sana. Los hallazgos de laboratorios que se vieron alterados al inicio de la patología y más aún conforme avanzaba la enfermedad se fueron corrigiendo paralelamente, y quedaron en rangos normales establecidos al remitir la enfermedad. Nos llama la atención que a pesar de utilizar una cefalosporina de tercera generación y de que la Nm mostró una alta sensibilidad al antibiótico, no se logró erradicar a este agente, el cual se encontraba alojado bajo las escaras de la piel, donde se aisló el germen en medio de cultivo, encontrando así los mismos serogrupos reportados en el LCR. Son escasos los artículos de la literatura que hacen referencia a la Nm en piel.5,6 En esta infante el laboratorio nos reportó tres serogrupos distintos de Nm (B, W-135 y Y), serogrupos que con mayor frecuencia son identificados en la actualidad en nuestra región.1,2,3,7 Cabe mencionar que hoy en día está tomando gran relevancia el serogrupo X, sobretodo en México.3,9
Conclusiones
Los seres humanos son portadores asintomáticos de este germen,3,7,12mismo que espera hasta que se rompa la triada ecológica para asi activarse como enfermedad. Sería conveniente que en el país se incluyera la vacuna contra el serogrupo B en las campañas de vacunación, tal y como ya está incluida en la cartilla de vacunación en otros países. Por suerte, esta cepa sigue mostrando gran sensibilidad al uso de la penicilina, por lo que continúa siendo el antibiótico de elección una vez que el germen haya sido identificado.15 Continúa siendo justificado el uso de antibiótico de amplio espectro en el caso de una septicemia o una meningitis, ajustando el medicamento posteriormente de acuerdo con el agente agresor. Claro está que si el manejo es oportuno y apropiado, mejor será la evolución y el pronóstico al disminuir el riesgo de secuelas neurológicas. No debemos pasar por alto los contactos de estos pacientes, quienes necesitarán el apoyo profiláctico.7,12,15,16
Referencias
1. Centers for Disease Control and Prevention (CDC). Prevention and control of meningococcal disease. Recommendations of the Advisory Committee on Immunization Practices (ACIP). Morbidity and Mortality Weekly Report. 2005:54 (No. RR-7):1-21.
2. Instituto Nacional de Estudios Históricos de las Revoluciones de México (INEHRM Salud). Brote de meningitis por N. Meningitidis en el Distrito Federal. Alerta epidemiológica. México, Distrito Federal: INEHRM Salud; 2010. Disponible en http://conapeme.org/version6/info/pediatras/Comunicados/alerta_meningitis_230810.pdf
3. Neisseria Meningitidis. External quality assessment scheme European Centre for Disease Prevention and Control. 2011. www.ecdc.europa.eu.
4. Acosta-Merlano RE, Robín-Alonso RA. Neumonía por Neisseria meningitidis: reporte de un caso y revisión de la literatura. Rev Colomb Neumol. 2010; 22 (2): 33-36.
5. Texereau M, Roblot P, Dumars A, Grignon B, Becq-Giraudon B. The usefulness of skin culture in the diagnosis of chronic meningococcemia. J Intern Med. 1997 Dec;242(6):519-20.
6. Adams EM, Hustead S, Rubin P, Wagner R, Gewurz A, Graziano FM. Absence of the seventh component of complement in a patient with chronic meningococcemia presenting as vasculitis. Ann Intern Med. 1983 Jul;99(1):35-8.
7. Organización Mundial de la Salud. Meningitis meningocócica. Nota descriptiva.Noviembre de 2012. Disponible en www.who.int/mediacentre/factsheets/fs141/es/
8. Martínez JV, Verbanaz SC, Jordán R, Enríquez N, Efron ED. Meningococcemia Crónica. Servicio de Infectología. Hospital Británico, Buenos Aires, Argentina. 2008; 68: 298-300.
9. Groves-Pinett M, Abdelnour A, Soley C, Arguedas-Mohs A. Enfermedad meningocócica: epidemiología, diagnóstico y vacunación. Acta méd. Costarric. 2013; 55: 8–17.
10. Fajardo M, Maranon Y, Muñoz L, Zarallo L, Fernandez MJ. Infección por Neisseria Meningitidis: Presentación clínica atípica. Acta Pediátrica Portuguesa. 2006; 3,37: 104-106.
11. Division of Disease Control. Department of Health, North Dakota. What Do I Need to Know? Meningococcal Meningitis. 2011. Disponible en: www.ndhealth.gov/disease
12. Division of Disease Control. Update recommendations for use of meningococcal conjugate vaccine advisory committee on immunization practices (ACIP). MMWR. 2011; 60 (No.3): 72-6.
13. Gasparini R, Amicizia D, Lai PL, Panatto D. Neisseria meningitidis, pathogenetic mechanisms to overcome the human immune defences. J Prev Med Hyg. 2012 Jun;53(2):50-5.
14. Couto-Alves A, Couto-Alves. A new scoring system derived from base excess and platelet count at presentation predicts mortality in pediatric meningococcal sepsis. Critical Care 2013, 17:R68. http://ccforum.com/content/17/2/R68.
15. Sevilla E, Ramírez JM, Villarreal L, Mata E, Trujillo JN. meningitidis. Informe de un caso de meningitis complicado con artritis séptica. Rev Mex Patol Clin. 2007; Vol. 54, 2, 83-91.
16. Instituto de Salud Pública de Chile. Vigilancia de Laboratorio de enfermedad invasora Neisseria meningitidis. Laboratorio de Referencia 2006-2011. Instituto de Salud. Santiago, Chile: ISPCH; marzo de 2012. Disponible en http://www.ispch.cl/sites/default/files/Bolet%C3%ADn%20Neisseria%20Meningitidis%2026%20marzo.pdf
17. Zalmanovici-Trestoreanu A, Fraser A, Gafter-Gvili A, Paul M, Leibovici L. Antibióticos para la prevención de infecciones meningocócicas. Cochrane Database Syst Rev. 2013; N° 10: 1–58.
18. Knuf M, Romain O, Kindler K, Walther U, Tran PM, Pankow-Culot H, et al. Immunogenicity and safety of the quadrivalent meningococcal serogroups A, C, W-135 and Y tetanus toxoid conjugate vaccine (MenACWY-TT) in 2–10-year-old children: results of an open, randomised, controlled study. Eur J Pediatr. 2013 May;172(5):601-12.
19. The American Academy of Pediatrics Udated Recommendations on the Use of Meningococcal Vaccines. Committee on Infectious Diseases. 2014;134:400-403.
20. Panatto D, Amicizia. New versus old meningococcal Group B vaccines: How the new ones may benefit infants & toddlers. Department of Health Sciences, University of Genoa, Genoa, Italy. Department of Health Sciences, University of Genoa, via Pastore. 2013. 1-16132, Genoa, Italy.
Notas
Notas de autor
alex7@doctor.com
Enlace alternativo
http://revistamedica.imss.gob.mx/editorial/index.php/revista_medica/article/view/1463/2034 (pdf)