Casos clínicos
Meningitis bacteriana, manifestación de una paciente con mieloma múltiple: reporte de un caso
Bacterial meningitis as first manifestation of a patient with multiple myeloma. A case report
Meningitis bacteriana, manifestación de una paciente con mieloma múltiple: reporte de un caso
Revista Médica del Instituto Mexicano del Seguro Social, vol. 54, núm. 4, pp. 531-535, 2016
Instituto Mexicano del Seguro Social

Recepción: 14 Agosto 2014
Aprobación: 07 Agosto 2015
Resumen:
Introducción: el mieloma múltiple (MM) es una enfermedad neoplásica caracterizada por proliferación clonal de células plasmáticas y proteína monoclonal en suero y/o en orina asociada a daño a órgano blanco. Las infecciones son un hallazgo frecuente y multifactorial, se presentan principalmente en los primeros meses de diagnostico y en pacientes bajo tratamiento.
Caso clínico: Reportamos el caso de una mujer de 62 años con alteración del estado de alerta, somnolencia, fiebre, alucinaciones, lenguaje incoherente y signos meníngeos, el LCF mostró pleocitosis por polimorfonucleares, hipoglucorraquia, hiperproteinorraquia y cocos Gram positivos, recibió tratamiento antibiótico y mejoró hasta la resolución de los síntomas; consciente, manifestó paraplejia y lumbalgia, así como anemia, linfopenia, elevación de globulinas, calcio y PCR. El aspirado de médula ósea con infiltración por células plasmáticas y electroforesis de proteínas en suero e inmunofijación mostraron pico monoclonal en la fracción gamma por IgA lambda. Los frotis de LCR sin infiltración por células plasmáticas, estableciendo diagnostico de mieloma múltiple en estadio III-A.
Conclusiones: la asociación de (MM) e infecciones es alta y aunque se ha descrito infrecuente como primer motivo de atención, se debe tener alto grado de sospecha en pacientes con manifestaciones adicionales sugestivas.
Palabras clave: Mieloma múltiple, Meningitis, Infecciones bacterianas, Células plasmáticas.
Abstract:
Background: Multiple myeloma (MM) is a plasma cell neoplasm characterized by clonal proliferation of plasma cells in the bone marrow and monoclonal protein in serum and/or urine in association to target organ damage. Infections are a frequent finding and they are multifactorial and presented mainly in the first months of diagnosis.
Clinical case: We reported the case of a 62 years old woman, with impaired alertness, drowsiness, fever, incoherent speech and meningeal signs, cerebrospinal fluid showed polymorphonuclear pleocytosis, hypoglycorrhachia, hyperproteinorrhachia, and Gram positive cocci, she received antibiotic treatment and improved until resolution of symptoms, however when conscious she referred paraplegia and back pain, anemia, lymphopenia, elevation of serum globulins, calcium and CRP. The bone marrow aspiration showed infiltration by plasma cells and the serum protein electrophoresis and immunofixation showed the presence of monoclonal gamma IgA lambda spike. Smears of cerebrospinal fluid was absent of plasma cells. The diagnosis of multiple myeloma stage III-A is established.
Conclusions: Association between (MM) and infection is high and although rare as first manifestation of MM, should take focus and high suspicion in patients with suggestive manifestations not explained by the infection itself.
Keywords: Multiple myeloma, Meningitis, Bacterial infections, Plasma cells, Multiple myeloma, Meningitis, Bacterial infections, Plasma cells.
El mieloma múltiple (MM) es una enfermedad neoplásica de células B posgerminales que se caracteriza por la proliferación clonal de células plasmáticas en la médula ósea y la presencia de proteína monoclonal en suero y orina en asociación a daño a órganos blanco.1
Es la segunda neoplasia hematológica más frecuente, corresponde al 10 % de las neoplasias hematológicas2,3 y al 1 % de todas las neoplasias.
La presencia de infecciones es un dato frecuente y se atribuye a un defecto en la inmunidad humoral, aunque otros mecanismos han sido descritos.4
Los gérmenes causales más frecuentes son los encapsulados y los Gram negativos.5
Aunque las infecciones son altamente frecuentes en el contexto del MM, principalmente en los primeros meses, el debut de MM con un episodio infeccioso ha sido reportado solo en casos aislados.6
Se presenta el caso de una mujer con meningitis infecciosa como primera manifestación de MM.
Caso clínico
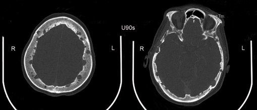
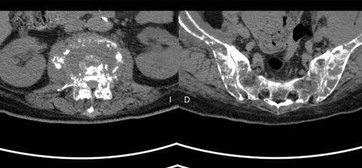
Paciente de sexo femenino de 62 años de edad, mexicana, que se presenta al servicio de urgencias por alteración del estado de alerta, desorientación, somnolencia, a su ingreso con fiebre de hasta 40 °C, TA 90/mm/Hg, FC 120x’, FR 20x’, alucinaciones visuales y lenguaje incoherente, rigidez de nuca y signos de Brudzinski y Kernig positivos, con disminución simétrica de la fuerza en las cuatro extremidades 3/5, sin focalización, al examen de fondo de ojo no se identificó papiledema. Su historia médica previa incluye historia de histerectomía por miomatosis uterina de grandes elementos, refirió lumbalgia desde 2 semanas previas, sin limitación funcional y sin haber recibido tratamiento, no ingesta de medicamentos, drogas o herbolaria y sin otros patológicos relevantes. Se identificó leucocitosis por neutrofilia, se obtiene líquido cefalorraquídeo (LCR) y se identifica turbio, con hipoglucorraquia de 13 mg/dl (rango 40-70), hiperproteinorraquia de 3200 mg/dl (rango 20-45), pleocitosis de predominio polimorfonuclear 85 % y presencia de cocos Gram positivos. Se hace el diagnóstico de meningitis bacteriana y se inicia tratamiento con ceftriaxona, vancomicina y ampicilina, no desarrolló crecimiento bacteriano en cultivo. La paciente presentó resolución de los signos meníngeos, sin embargo, al volver a estado consciente aqueja de lumbalgia intensa, dolor en miembros pélvicos y paraplejía. Se identifica en radiografía simple y tomografía la presencia de fractura por compresión a nivel de T12 y L3 y lesiones líticas en cuerpos vertebrales dorsales y lumbares, cráneo, húmeros, sacro y pelvis (figuras 1 a 3) fue valorada por neurocirugía considerándose no candidata a descompresión quirúrgica.


Otros estudios de laboratorio identificados en su estancia incluyeron anemia normocítica, con Hb de 8.5 g/dl, leucocitosis 18 600/mm3, neutrofilia 16 900/mm3, linfopenia de 600/mm3, elevación de proteínas con albúmina 1.8 mg/dl, globulinas 5.0 g/dl, DHL 290 UI (rango 60-165), hipercalcemia de 11.1 mg/dL, creatinina 0.6 mg/dl, proteína C reactiva (PCR) 12.6 mg/l (rango 0-5), velocidad de sedimentación globular (VSG) 145 mm/h (rango 0-30), electrolitos séricos, pruebas de función hepática y urianalisis sin relevantes, Na 144 mEq/L, K 3.5 mEq/L, AST 65, ALT 30, bilirrubina 1.1, BD 0.5, DHL 224 U/L, EGO con albuminuria 15 mg/dl. El frotis de sangre reveló anisocitosis y presencia de fenómeno de Rouleaux y en médula ósea 16 % de células plasmáticas de morfología displásicas, algunas binucleadas y 1 % de plasmablastos. Se realiza electroforesis de proteínas en suero que mostró pico en la fracción gamma de 3.43 g/dl, alfa1 0.37 g/dl, alfa2 0.62 g/dl, beta 0.56 g/dl y proteinuria de 67 mg/dl con banda monoclonal en orina de 45.9 mg/dl, la inmunofijación de proteínas en suero reveló pico IgA lambda, con IgA 4.4 g/dl (rango 70-400) y disminución de IgG 464 g/l, IgM 28 g/l e IgD 9.2 mg/l. Los frotis de LCR en todas sus determinaciones con ausencia de células plasmáticas. Se hace el diagnóstico de mieloma múltiple en estadio III-A y se inicia tratamiento con talidomida, melfalán, prednisona y ácido zoledrónico.
Discusión
El MM es una neoplasia que se caracteriza por la proliferación de una clona de células plasmáticas que producen proteína monoclonal.6 Es la segunda neoplasia hematológica mas frecuente y representa alrededor del 1 % de todas las neoplasias.7
La asociación de MM e infecciones es altamente frecuente y se presenta mayormente en los primeros meses de diagnóstico o durante el contexto del tratamiento; es de 7-15 veces más frecuente que en pacientes hospitalizados por otras causas,5y emparejados por edad.6 Ocurre de 0.8-2.2 pacientes por año.
Tres cuartas partes de los episodios de infección ocurren en los primeros 3-8 meses del diagnóstico, la mayoría de ellos en el contexto de uso de tratamiento,6 especialmente en los de mayor intensidad,8 aunque bien puede ocurrir previo al inicio del mismo. El mayor riesgo de infección es durante los primeros 2 meses de iniciación del tratamiento antimieloma y en pacientes con enfermedad refractaria o en recaída, los pacientes de reciente diagnóstico y los que tienen buena respuesta a quimioterapia son, en general, considerados de riesgo bajo.5
Hasta 15 % de los casos con mieloma múltiple se han asociado a infecciones al momento del diagnóstico,5 sin embargo estos episodios son definidos como la ocurrencia de infección antes de la hospitalización o previo al inicio del tratamiento y no necesariamente como el síntoma inicial. Los episodios infecciosos como principal o único hallazgo previo al diagnóstico de mieloma han sido descritos solo en reportes de casos,6 siendo la anemia, dolor óseo, hipercalcemia y falla renal, los hallazgos más comunes al diagnóstico.9
Recientemente ha habido una modificación en los conocidos criterios CRAB (hiperCalcemia, daño Renal, Anemia, lesiones líticas óseas [Bone]) que definen daño a órgano blanco por CRAB-O, incluyendo Otros criterios (hiperviscocidad, amiloidosis e infecciones recurrentes), por lo que los pacientes con mieloma asintomático con infección pueden ser catalogados como portadores de mieloma activo aun en ausencia de otras lesiones.1
Las complicaciones infecciosas siguen siendo la principal causa de morbilidad y mortalidad en pacientes con MM.5,10 Representan una urgencia y deben ser tratadas pronta y agresivamente.7 Las infecciones en estadios terminales frecuentemente son causa de muerte.5
La mayoría de las infecciones son de origen bacteriano principalmente encapsulados y las mas graves son bacteremia, meningitis y neumonía.10El Streptococcus pneumoniae es, por mucho, el germen más frecuentemente asociado a infecciones en pacientes con MM, otros patógenos comunes son Staphilococcus aereus y Haemophilus influenzae en caso de infecciones de vías respiratorias y Gram negativos (E. coli, Pseudomonas sp, Proteus sp, Enterobacter y Klebsiella) en casos de infecciones de vías urinarias.4,5,6,10Otros patógenos menos frecuentes también han sido reportados, como el Strongyloides stercolaris,11 la sinusitis y la meningitis fúngica, seguidas de neuroaspergilosis12 en quimioterapia y en estado postrasplante.

La principal causa de la susceptibilidad a infecciones es la producción deficiente de inmunoglobulinas funcionales por las células plasmáticas y linfocitos B, aunque la etiología es multifactorial.4,5,10,13 Otras causas incluyen desbalances en la relación de linfocitos CD4/CD8, defectos de opsonización, adhesividad y migración de neutrófilos, mielosupresión postratamiento y el uso de esteroides, particularmente las altas dosis de dexametasona, falla renal,5 defectos cuantitativos y cualitativos de linfocitos, células natural killers y dendríticas o anormalidades en el sistema de complemento4 y meningitis bacteriana con el uso de talidomida.10
La neutropenia grave al diagnóstico es muy rara. Se presenta al rededor del 10 % en grado leve y es más frecuente postratamiento, estos pacientes tienen un riesgo elevado de falla multiorgánica y muerte.13 A pesar que la neutropenia agrava las infecciones en MM, a diferencia de otras neoplasias se puede presentar bacteremia grave aun con cifras normales de neutrófilos.5
El tratamiento empírico en un paciente con MM y sospecha de infección deberá incluir cobertura para encapsulados y Gram negativos y guiados por la flora local del hospital y sus resistencia, resultados en antibiograma y la respuesta clínica.5, 7
La profilaxis antiinfecciosa en MM es controversial, pero puede tener un beneficio, sobretodo en los primeros meses de iniciada la terapia y particularmente en pacientes de alto riesgo. Se recomienda el uso de aciclovir en el contexto de terapia con bortezomib para profilaxis de infección por herpes zoster y el uso de fluroquinolonas o trimetoprim/sulfametoxazol en pacientes con alto riesgo de desarrollar infecciones bacterianas. El uso de fuconazol se reserva para el caso de pacientes con altas dosis de esteroides y profilaxis para pneumocystosis en pacientes en protocolo de trasplante.7
Se recomienda vacunación contra neumococo, Haemophilus influenza e influenza viral A y B en todos los pacientes.7
La inmunosupresión intrínseca al MM y relacionada a tratamiento incrementa el riesgo de infecciones, pero poco se sabe si la infección influencia la biología y progresión del mieloma. Algunos microorganismos producen citocinas proinflamatorias y pueden activar receptores toll-like de las células del mieloma que pueden contribuir al crecimiento, sobrevida y progresión de la enfermedad. Diferentes autores han identificado incremento del riesgo de padecer MM en pacientes que han padecido infecciones previas.14,15Actualmente se propone la hipótesis que el uso de tratamiento profiláctico con levofloxacino o macrólidos a pacientes con alto riesgo de padecer infecciones pudiera modificar el curso del MM disminuyendo la progresión de la enfermedad y contribuyendo a alcanzar remisión, sin embargo no hay estudios prospectivos aún que evalúen esta teoría.4
En la gammapatía monoclonal de significado incierto y el mieloma asintomático, las infecciones son menos frecuentes que en el MM y no se recomienda tratamiento profiláctico para infecciones.2
Análisis
En el caso que presentamos, la paciente acude con cambios neurológicos típicos de meningitis aguda, con hallazgos físicos y del líquido cefalorraquídeo compatibles con la misma, por lo que se estableció el diagnóstico de certeza de meningitis bacteriana previo a la sospecha de MM, y se considera por tanto como el síntoma debut de la enfermedad. Fueron las alteraciones en la relación albúmina/globulinas, la presencia de anemia normocítica, hipercalcemia y la presencia de fracturas por compresión vertebral las que motivaron el estudio a fondo con exámenes confirmatorios, como el aspirado de médula ósea en el que se identificó infiltración por células plasmáticas y la electroforesis de proteínas e inmunofijación en suero en el que se identificó el pico monoclonal de IgA lambda y fue posible concluir en el diagnóstico de mieloma múltiple con daño a órgano blanco.
Además de la alteración de la inmunidad humoral relacionada a la producción clonal de inmunoglobulinas ineficaces por las células de mieloma, siendo la reducción de IgG la más prominente y notoria, esta paciente debutó con linfopenia que pudo contribuir al desarrollo de la infección, otros factores de riesgo para ello no fueron identificados.
En este caso se identificaron cocos Gram positivos en el análisis de LCR y el neumococo fue el agente sospechoso, sin embargo el cultivo no mostró crecimiento en 2 determinaciones independientes y separadas por 5 días, aunque ambas muestras fueron tomadas posterior al inicio de los antibióticos lo que puede mermar el crecimiento bacteriano en medios de cultivo y resultar en falsos negativos.
El uso de antibióticos fue establecido empíricamente previo al diagnóstico de MM, de acuerdo a las recomendaciones generales del hospital y las directrices de sus tratantes; la respuesta fue favorable, logrando remitir completamente los hallazgos clínicos y paraclínicos que motivaron el diagnóstico de meningitis aguda, lo cual sugiere que en los pacientes con MM e infección el uso de tratamiento convencional es de utilidad, siempre y cuando incluya cobertura contra Gram positivos encapsulados y contra Gram negativos que son los gérmenes involucrados más frecuentemente, y además se inicie de forma inmediata posterior al la sospecha diagnóstica, para minimizar así el riesgo de complicaciones graves.
Posterior al inicio de tratamiento no se han presentado otras complicaciones infecciosas.
Aunque se trata de una complicación rara, la meningitis mielomatosa debe considerarse en el diagnóstico diferencial de pacientes con meningitis bacteriana y mieloma múltiple por su trascendencia en la falla a tratamiento y mortalidad como fue descrito por Chamberlain y Glantz.16 En los estudios de LCR evaluados se determinó mediante tinciones la ausencia de células plasmáticas en todas las muestras evaluadas.
Conclusión
Si bien la incidencia de MM en pacientes con infecciones por neumococo es baja, la presentación de este caso refuerza la necesidad de sospechar mieloma múltiple en un paciente con meningitis bacteriana (u otros procesos infecciosos) en presencia de hallazgos clínicos o paraclínicos adicionales no explicados por la infección y compatibles con daño a órgano blanco por MM como luecopenia, anemia, falla renal, hipercalcemia o paraproteinemia.
Referencias
1 Chou T. Multiple Myeloma: Recent Progress in Diagnosis and Treatment. J Clin Esp Hematopathol 2012; 52(3):149-159.
2 Paszekova H, Kryukov F, Kubiczkova L, Hajek R and Sevcikova S. High-Risk Multiple Myeloma: Different Definitions, Diferent Outcomes?. Clin Lymphoma Myeloma Leuk 2013;1-7
3 Rajkumar SV. Treatment of multiple myeloma. Nat Rev Clin Oncol 2011; 8:479-91.
4 Valkovic T, Nacinovic AD and Petranovic D. Prophylactic broad spectrum antibiotics as a new anti-myeloma therapy. Medical Hypothesis. 2013;81(6):1137-1140.
5 Bladé J and Rosiñol L. Complications of Multiple Myeloma. Hematol Oncol Clin N Am 2007; 21:1231-46
6 Costa D, Shin B and Cooper D. Pneumococcemia as the Presenting Feature of Multiple Myeloma. Am J Hematol 2004;77:277-281
7 Ludwig H, Miguel JS, Dimopoulos MA, et al. International Myeloma Working Group recomendatios for global myeloma care. LEukemia 2013; 1-12
8 Suzuki K. Current Rherapeutic Strategy for Multiple Myeloma. Jpn J Clin Oncol 2013; 43:116-124
9 Kyle RA, Gertz MA, Witzig TE, et al. Review of 1027 patients with newly diagnosed multiple myeloma. Mayo Clin Proc 2003;78:21-33.
10 Pasa S, Altinitas A, Cil Timucin, et al. Two cases of bacterial meningitis accompanied by thalidomide therapy in patients with multiple myeloma: is thalidomide associated with bacterial meningitis?. Int J Infect Dis 2009; 13: e19-22
11 Yassin M, Omri H, Al-Hijji I, et al. Fatal Strongiloides stercolaris hyperínfection in a patient with multiple myeloma. Braz J Infect Dis 2010; 14: 536-539
12 Butler S and Malone R. Neuroaspergillosis Leading to Blindness in a Patient with Multiple Myeloma. America Journal of Physical Medicine and Rehabilitation 2009; Visual vignette: 87
13 Bigaillon C, Pelletier C, Abdulaye I, et al. Pneumococcal meningitidis: a fatal complication of myeloma. Ann Hematol 2007; 86:381-383
14 Landgren O, Rapkin JS, Mellemkjaer L, Gridley G, Goldin LR, Engels EA. Respiratory tract infections in the pathway to multiple myeloma: a population-based study in Scandinavia. Haematologica 2006; 91:1697–700.
15 Lindqvist EK, Goldin LR, Landgren O, et al. Personal and family history of immune-related conditions increase the risk of plasma cell disorders: a population-based study. Blood 2011;118:6284–91.
16 Chamberlain MC and Glantz M. Myelomatous Meningitis. Cancer 2008; 112(7):1562-67.
Notas de autor
sgalveza@hotmail.com
Información adicional
Declaración de conflicto de interés: los autores han completado y enviado la forma traducida al español de la declaración de conflictos potenciales de interés del Comité Internacional de Editores de Revistas Médicas, y no fue reportado alguno que tuviera relación con este artículo.