Casos clínicos
Insulinoma multicéntrico asociado a neoplasia endócrina múltiple tipo 1: reporte de un caso
Multicentric insulinoma associated with multiple endocrine neoplasia type 1: One case report
Insulinoma multicéntrico asociado a neoplasia endócrina múltiple tipo 1: reporte de un caso
Revista Médica del Instituto Mexicano del Seguro Social, vol. 56, núm. 3, pp. 316-319, 2018
Instituto Mexicano del Seguro Social
Recepción: 19 Mayo 2017
Aprobación: 06 Julio 2017
Resumen:
Introducción: los tumores neuroendócrinos pancreáticos pueden estar asociados a neoplasia endócrina múltiple tipo 1 (NEM 1) en el 15-25% de los casos; de estos, hasta el 10-30% desarrollan insulinomas, que son la causa más frecuente de hipoglucemia hiperinsulinémica persistente en adultos. El objetivo de este reporte es mostrar un caso clínico que presenta esta asociación.
Caso clínico: paciente de sexo masculino de 36 años con crisis convulsivas asociadas a hipoglucemia en ayuno de 36 mg/dL. El paciente presentó niveles altos de proinsulina, insulina, péptido C, calcemia y hormona paratiroidea e hipofosfatemia. El ultrasonido (USG) mostró lesión hipoecogénica de 2.3 cm en la cola del páncreas. En la tomografía se observó lesión hipodensa de 10 mm en la cabeza del páncreas. El gammagrama mostró tejido paratiroideo hipercaptante. La resonancia magnética no presentó indicios de adenoma hipofisario. Se hizo enucleación de tumor de cabeza de páncreas y pancreatectomía parcial distal con diagnóstico histopatológico de tumor neuroendócrino bien diferenciado de bajo grado multifocal (cinco tumores); dos tumores fueron inmunorreactivos a insulina. Después de la cirugía se normalizaron los niveles de glucosa (105 mg/dL). Se sometió al paciente a paratiroidectomía con reporte de adenoma de la glándula paratiroides.
Conclusión: la multicentricidad de los tumores neuroendócrinos pancreáticos relacionados con neoplasia paratiroidea sugiere el diagnóstico de NEM tipo 1. Deben realizarse estudios moleculares genéticos para confirmarlo y ofrecer al paciente un diagnóstico certero, un tratamiento dirigido y una adecuada asesoría genética.
Palabras clave: Tumores Neuroendócrinos, Insulinoma, Neoplasia Endócrina Múltiple.
Abstract:
Background: Pancreatic neuroendocrine tumors may be associated with multiple endocrine neoplasia type 1 (MEN1) in 15-25% of cases, and up to 10% develop insulinomas, which are the most frequent cause of persistent hyperinsulinemic hypoglycemia in adults. The objective is to show a clinical case that presents this association.
Clinical case: 36-year-old patient with seizures associated with fasting hypoglycemia of 36 mg/dL. The patient presented high levels of insulin, peptide C, proinsulin, hypercalcemia, hypophosphatemia and parathyhroid hormone. Ultrasound sonography test showed hypoechoic lesion in the pancreatic tail of 2.3 cm. Tomography showed a 10 mm hypodense lesion at pancreatic head. Scintigram showed hypercaptating parathyroid tissue. Magnetic resonance did not show evidence of pituitary adenoma. We carried out a tumor enucleation of the pancreatic head and distal partial pancreatectomy with histopathological diagnosis of well-differentiated low-grade multifocal neuroendocrine tumor (five tumors); two tumors were immunoreactive to insulin. After surgery, glucose level was normalized (105 mg/dL). Patient underwent parathyroidectomy with a report of adenoma of the parathyroid gland.
Conclusion: The multicentricity of pancreatic neuroendocrine tumors related to parathyroid neoplasia suggests the diagnosis of MEN1. Genetic molecular studies should be performed to confirm this and provide the patient with a correct diagnosis, targeted treatment and adequate genetic counseling.
Keywords: Neuroendocrine Tumors, Insulinoma, Multiple Endocrine Neoplasia.
Los tumores neuroendócrinos constituyen del 1 al 2% de las neoplasias pancreáticas; de estos pacientes, aproximadamente el 15-25% pueden estar asociados a neoplasia endócrina múltiple tipo 1 (NEM 1),1 enfermedad hereditaria o esporádica, autosómica y dominante, caracterizada por la asociación de hiperparatiroidismo primario, tumores neuroendócrinos pancreáticos y adenoma hipofisario. El diagnóstico clínico de la NEM 1 debe considerarse cuando se presentan dos neoplasias de las tres mencionadas y se confirma con técnicas de biología molecular, por medio de las que se demuestra la pérdida de la heterocigocidad cromosómica del gen 11q13.2,3Los tumores neuroendócrinos pancreáticos asociados a NEM 1 pueden ser hormonalmente funcionales o no. Típicamente se presentan a edades tempranas, habitualmente son multicéntricos y se consideran la primera causa de mortalidad de estos pacientes. Aproximadamente el 10% de los pacientes portadores de NEM 1 desarrollan insulinomas, que son la causa más frecuente de hipoglucemia hiperinsulinémica persistente en adultos.3,4,5 El 90% de los insulinomas son neoplasias benignas, solitarias, de menos de 2.0 cm de diámetro6 y no están asociadas con enfermedades hereditarias;4 sin embargo, los insulinomas que se presentan en una edad menor de 40 años y como tumores multicéntricos, ya sea de forma sincrónica o metacrónica, habitualmente se encuentran asociados a NEM 1 en el 4-10% de los casos.1,6 En este reporte se presenta el caso de un adulto joven con insulinoma multicéntrico asociado a NEM 1.
Caso clínico
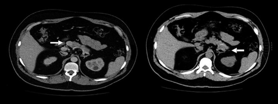
Hombre de 36 años con antecedente de resección de meningioma parietal en 2010 y cistolitotripsia por litiasis renal bilateral en 2013. En 2010, después de la resección del meningioma, empezó a padecer crisis convulsivas parciales complejas (cuatro eventos semanales) durante cuatro años, atribuidas al evento neuroquirúrgico; sin embargo, todos los eventos fueron asociados a hipoglicemia capilar de hasta 38 mg/dL. Fue referido a un hospital de tercer nivel del Instituto Mexicano del Seguro Social (IMSS) y fue atendido en el Servicio de Endocrinología, donde se cuantificaron los niveles de glucosa sérica en ayuno, 27 mg/dL, y no presentó síntomas neuroglucopénicos. Se realizaron determinaciones de insulina (37.3 mcmUI/mL), péptido C y proinsulina que resultaron elevadas y se documentó la presencia de hipercalcemia (≥ 12 mg/dL), hipofosfatemia persistente y elevación de paratohormona (PTH 421.9 pg). Se efectuó ultrasonido endoscópico, que mostró lesión hipoecogénica en la cola del páncreas de 2.3 x 1.3 cm. La tomografía toracoabdominal evidenció una lesión en la cabeza de páncreas de 10 mm, hipodensa y homogénea con el medio de contraste y otra lesión en cola de 18 mm sin reforzamiento (figura 1); asimismo, presentó litiasis renal bilateral con dilatación ureterovesical izquierda. También se estudió al paciente con un gammagrama, el cual presentó tejido paratiroideo hipercaptante en porción inferior y posterior del lóbulo tiroideo izquierdo (figura 2), asociado a elevación de los valores de la hormona paratiroidea (PTH), lo que corroboró la presencia de hiperparatiroidismo primario. La resonancia magnética no mostró evidencia de adenoma hipofisario. Ante la hipoglicemia persistente a pesar del tratamiento, se decidió la resección quirúrgica de las lesiones pancreáticas. Durante la evolución postquirúrgica se normalizaron las cifras de glucosa (107 mg/dL) e insulina.


Hallazgos morfológicos
Se recibió en el servicio de anatomía patológica el producto de una enucleación de tumor de cabeza de páncreas de 2.3 x 2.1 cm y el de una pancreatectomía parcial distal, con nódulo de 2.5 x 2.1 cm. Ambos eran blancos, sólidos, firmes y bien circunscritos (figura 3).

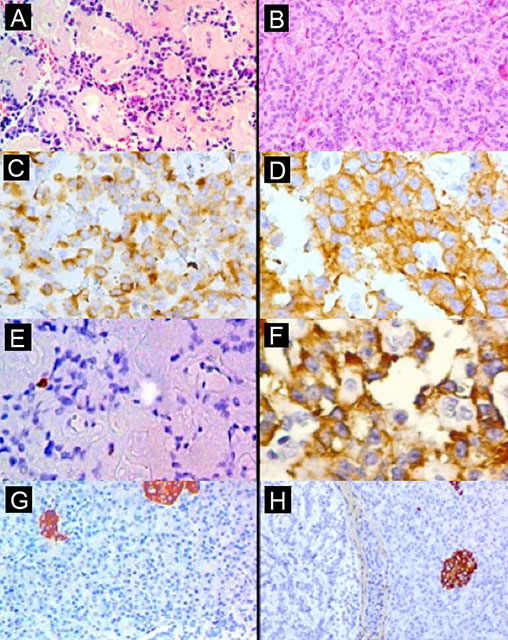
Microscópicamente se observaron un total de cinco tumores con patrón trabecular y en nidos de células con núcleos redondos y de cromatina en “sal y pimienta”, sin pleomorfismo, con citoplasma eosinófilo y en dos de ellos rodeados por depósito de amiloide. El diagnóstico histopatológico fue tumor neuroendócrino bien diferenciado de bajo grado multifocal (cinco tumores) con < 1 mitosis en 10 campos de alto poder, sin necrosis, sin invasión linfovascular, ni perineural, inmunorreactivos para sinaptofisina y cromogranina, índice Ki 67 en 1% de las células neoplásicas; los dos tumores de mayor tamaño fueron inmunorreactivos a insulina (figura 4).

Discusión
Las NEM 1 ocurren aproximadamente en uno de cada 30 000 individuos, sin predilección de sexo y se caracterizan por la presencia de tumores de paratiroides (95%), tumores neuroendócrinos pancreáticos (30-80%) y tumores de la adenohipófisis (15-90%). Se han descrito en asociación a otras lesiones de órganos endócrinos y no endócrinos, pero con una frecuencia más baja, como se muestra a continuación: tumores corticosuprarrenales, 20-40%; tumores carcinoides (aquellos que pueden afectar bronquios, el tracto gastrointestinal y el timo), 10%; lipomas 20-30%; meningiomas 60%; angiofibromas, 88% y; colagenomas 20-30%.7
Existen dos formas diferentes de NEM 1: la familiar y la esporádica.7,8 La mayoría de los casos corresponden a la forma familiar, la cual es heredada como un trastorno autosómico dominante. La forma esporádica se desarrolla en el 8 al 14% de los pacientes y los estudios genéticos moleculares confirman la pérdida de la heterocigocidad cromosómica del gen 11q13.9,10
El hiperparatiroidismo primario (HPP) es la manifestación clínica más común de NEM 1. La edad de inicio típica es entre los 20 y los 25 años de edad. Estos tumores se caracterizan generalmente por adenomas de glándula paratiroides que producen sintomatología idéntica a la del HPP esporádico. El diagnóstico se realiza con la presencia de hipercalcemia y la elevación de PTH y se apoya en estudios de imagen. El tratamiento de elección es la paratiroidectomía.7 En este caso el paciente manifestó litiasis renal bilateral secundaria a HPP.
Los tumores neuroendócrinos pancreáticos son la segunda neoplasia asociada a la NEM 1 y con mayor frecuencia se manifiestan como lesiones nodulares multicéntricas que se desarrollan a edad temprana. La mayoría de las NEM 1 tienen producción hormonal (gastrina, insulina, glucagón, somatostatina, péptido intestinal vasoactivo) y se asocian con síndromes clínicos distintos. Pueden ser detectadas mediante la determinación de niveles séricos elevados de hormonas. Es importante tener en cuenta que un tercio de ellas son lesiones no funcionales.1,6,7 Los tumores más frecuentes son los gastrinomas, seguidos de los insulinomas hasta en un 10-30% de los casos.11,12El insulinoma es la causa más frecuente de hipoglucemia hiperinsulinémica en el adulto y el segundo tumor más común de células de los islotes pancreáticos asociado con NEM 1. En contraste, solo del 4 a 6% de los pacientes con insulinoma desarrollarán NEM 1,13,14 a diferencia de lo que ocurre con los insulinomas esporádicos, que generalmente son neoplasias beningnas, solitarias, menores de 2.0 cm que se desarrollan después de los 40 años, con tasas de recidiva de 5 y 10% a los cinco y 10 años. Los insulinomas asociados a los NEM 1 ocurren habitualmente antes de los 40 años de edad e incluso a veces antes de los 20 años; son tumores múlticentricos, ya sea sincrónicos o metacrónicos, y generan metástasis hasta en un 50% de los casos, los cuales en raras ocasiones se presentan como el primer signo de NEM 1 y cuya tasa de recidiva es del 21% a 10 y 20 años.1,6,7,12
El diagnóstico imagenológico de los tumores neuroendócrinos pancreáticos puede realizarse con ultrasonido endoscópico, que es el examen más sensible para la detección de lesiones pequeñas (≤ 10 mm) en pacientes asintomáticos portadores de NEM 1, con una sensibilidad superior al 75%. El uso de ultrasonografía endoscópica en asociación con la gammagrafía de Octreoscan aumenta la tasa de detección tumoral pancreática hasta en 90%. Específicamente en el insulinoma los exámenes de laboratorio mostrarán concentraciones elevadas de insulina sérica (2-20 U/mL o 14.35-143.5 pmol/L) y péptido C (0.5-2.0 ng/mL o 0.17-0.66 nmol/L).14
El diagnóstico de NEM 1 se puede establecer clínicamente con la presencia de dos o más tumores neuroendócrinos de los antes mencionados13,15 y en la forma familiar con la aparición de uno de los tumores neuroendócrinos asociados y la presencia un familiar de primer grado con diagnóstico clínico. También se puede identificar la mutación de la línea germinal NEM 1 en pacientes asintomáticos que aún no han desarrollado ninguna de las anomalías bioquímicas o radiológicas que indiquen el desarrollo tumoral.15 En nuestro caso el estudio genético no se realizó debido a falta de disponibilidad en el IMSS; sin embargo, la presencia de tumores neuroendócrinos pancreáticos, adenoma de glándula paratiroides y meningioma fueron criterios suficientes para el diagnóstico clínico del paciente.
La enucleación simple como tratamiento de los pacientes con insulinomas asociados a NEM 1 tiene menos probabilidad de ser curativa, por lo que la pancreatectomía subtotal y la enucleación de tumores localizados en la cabeza del páncreas son el tratamiento más eficaz.6
Conclusiones
Los portadores de NEM 1 desarrollan tumores neuroendócrinos pancreáticos en el 30-80% de los casos, del 4 al 10% de ellos son insulinomas, los cuales frecuentemente son multicéntricos. Estos pacientes, a diferencia de los que presentan tumores pancreáticos multicéntricos no asociados a NEM 1, se diagnostican a edades más tempranas y característicamente presentan tumores monohormonales, de los cuales solo algunos son funcionales y hasta el 21% recurren a 10 y 20 años. La multicentricidad de los tumores neuroendócrinos pancreáticos, independientemente de su producción hormonal, sugiere el diagnóstico de NEM tipo 1 y deben realizarse estudios moleculares genéticos para confirmarlo y ofrecerle al paciente un diagnóstico certero, un tratamiento dirigido y un asesoramiento genético adecuado.
Referencias
1. Klöpple G. Tumor of the endocrine pancreas. In: Fletcher CDM, ed. Diagnostic histopathology of tumors. 2 Volume Set, 4th Edition. Philadelphia, PA, USA: Elsevier Saunders; 2013. pp. 1326-42.
2. Pérez-De Nanclares G. Neoplasia endócrina múltiple: estudio genético. Endócrinol Nutr. 2005;52(5):199-201.
3. Wohllk GN, Díaz TR. Neoplasias endócrinas múltiples. Desde el laboratorio al paciente. Rev Med Clin Condes. 2013;24(5),778-83.
4. Anlauf M, Bauersfeld J, Raffel A, Koch CA, Henopp T, Alkatout I, et al. Insulinomatosis: a multicentric insulinoma disease that frequently causes early recurrent hyperinsulinemic hypoglycemia. Am J Surg Pathol. 2009 Mar;33(3):339-46.
5. Priego P, Sanjuanbenito A, Martinez-Molina E, Lobo,E, Garcia-Teruel D, Morales V et al. Manejo diagnóstico y terapeútico del insulinoma pancréatico. Rev Esp Enferm. 2007;99(4),218-22.
6. Shin JJ, Gorden P, Libutti SK. Insulinoma: pathophysiology, localization and management. Future Oncol. 2010;6(2):229-37.
7. Marini F, Falchetti A, Del Monte F, Carbonell Sala S, Gozzini A, Luzi E, et al. Multiple endocrine neoplasia type 1. Orphanet J Rare Dis. 2006 Oct 2;1:38.
8. Thakker RV. Multiple endocrine neoplasia type 1 (MEN1) and type 4 (MEN4). Mol Cell Endocrinol. 2014 Apr 5; 386(1-2): 2-15.
9. Trump D, Farren B, Wooding C, Pang JT, Besser GM, Buchanan KD, et al. Clinical studies of multiple endocrine neoplasia type 1 (MEN1). QJM. 1996 Sep;89(9):653-69.
10. Bassett JH, Forbes SA, Pannett AA, Lloyd SE, Christie PT, Wooding C, et al. Characterization of mutations in patients with multiple endocrine neoplasia type 1. Am J Hum Genet. 1998 Feb;62(2):232-44.
11. Okabayashi T, Shima Y, Sumiyoshi T, Kozuki A, Ito S, Ogawa Y, et al. Diagnosis and management of insulinoma. World J Gastroenterol. 2013 Feb 14;19(6):829-37.
12. Iglesias P, Díez JJ. Management of endocrine disease: a clinical update on tumor-induced hypoglycemia. Eur J Endocrinol. 2014 Mar 14;170(4):R147-57.
13. Thakker RV, Newey PJ, Walls GV, Bilezikian J, Dralle H, Ebeling PR, et al. Clinical practice guidelines for multiple endocrine neoplasia type 1 (MEN1). J Clin Endocrinol Metab. 2012 Sep;97(9):2990-3011.
14. Placzkowski KA, Vella A, Thompson GB, Grant CS, Reading CC, Charboneau JW, et al. Secular trends in the presentation and management of functioning insulinoma at the Mayo Clinic, 1987-2007. J Clin Endocrinol Metab. 2009 Apr;94(4):1069-73.
15. Turner JJ, Christie PT, Pearce SH, Turnpenny PD, Thakker RV. Diagnostic challenges due to phenocopies: lessons from Multiple Endocrine Neoplasia type1 (MEN1). Hum Mutat. 2010 Jan;31(1):E1089-101.
Información adicional
Declaración de conflicto de interés: las autoras han completado y enviado la forma traducida al español de la declaración de conflictos potenciales de interés del Comité Internacional de Editores de Revistas Médicas, y no fue reportado alguno que tuviera relación con este artículo.
Cómo citar este artículo: Gamboa-Jiménez TI, Juárez-Aguilar FG. Insulinoma
multicéntrico asociado a neoplasia endócrina múltiple tipo 1: reporte de un caso. Rev Med Inst Mex
Seguro Soc. 2018;56(3):316-19.
Pubmed:
https://www.ncbi.nlm.nih.gov/pubmed/30394721
Enlace alternativo
http://revistamedica.imss.gob.mx/editorial/index.php/revista_medica/article/view/1526/3011 (pdf)
http://revistamedica.imss.gob.mx/editorial/index.php/revista_medica/article/view/1526/3010 (html)