Casos clínicos
Embolectomía pulmonar en un caso de tromboembolia pulmonar subaguda, sometido a fibrinólisis no exitosa
Pulmonary embolectomy in a case of subacute pulmonary embolism, with previous unsuccessful fibrinolysis
Embolectomía pulmonar en un caso de tromboembolia pulmonar subaguda, sometido a fibrinólisis no exitosa
Revista Médica del Instituto Mexicano del Seguro Social, vol. 56, núm. 4, pp. 418-423, 2018
Instituto Mexicano del Seguro Social
Recepción: 05 Septiembre 2016
Aprobación: 23 Enero 2017
Resumen:
Introducción: el embolismo pulmonar es una condición cardiovascular potencialmente letal, que requiere de la pronta restauración del flujo sanguíneo del lecho vascular pulmonar y de la prevención de eventos recurrentes. La mortalidad está asociada al grado de repercusión hemodinámica, complicaciones y oportunidad en el tratamiento.
Caso clínico: masculino de 33 años de edad, que inició con disnea súbita, dolor torácico de moderada intensidad, sudoración y síncope. Sus signos vitales de ingreso fueron: presión arterial 100/70 mm Hg, frecuencia cardiaca 125 latidos por minuto, 24 respiraciones por minuto; saturación periférica 85%. En la exploración física: ingurgitación yugular grado I a 45 grados, ruidos cardiacos rítmicos, con auscultación de soplo sistólico I/IV en foco tricuspídeo y segundo ruido cardiaco reforzado. Resto de exploración sin datos relevantes. El ecocardiograma demostró datos de dilatación de cavidades derechas y presión sistólica de la arteria pulmonar de 60 mm Hg; en la angiotomografía se mostró trombosis de ambas ramas de la arteria pulmonar. El paciente recibió terapia fibrinolítica con tecneteplase 50 mg bolo único y terapia antitrombótica. Por persistencia de trombo residual, el paciente fue sometido a embolectomía bilateral quirúrgica.
Conclusión: la embolectomía pulmonar quirúrgica de rescate es una alternativa de manejo con resultados altamente satisfactorios.
Palabras clave: Embolia Pulmonar, Embolectomía, Trombosis, Fibrinólisis, Fibrinolíticos.
Abstract:
Background: Pulmonary embolism is a potentially fatal heart condition that requires prompt restoration of blood flow in the pulmonary vascular bed and prevention of recurrent events. Mortality is associated to the degree of hemodynamic repercussion, complications and opportunity in the treatment.
Case report: Male 33 years of age who began with sudden dyspnea, chest pain of moderate intensity, sweating and syncope. His admission vitals signs: blood pressure 100/70 mm Hg, heart rate 125 beats per minute, respiratory rate 24; peripheral saturation 85 %. Physical examination: grade I jugular engorgement at 45 degrees, rhythmic heart sounds, with auscultation of systolic murmur I/IV in tricuspid focus and second reinforced heart sound. Rest of exploration without relevant data. The echocardiogram showed data of right ventricular failure and systolic pulmonary artery pressure of 60 mm Hg; the angiotomography showed thrombosis of both branches of the pulmonary artery. The patient received fibrinolytic therapy with tecneteplase 50 mg single bolus and antithrombotic therapy. Due to persistence of residual thrombus, the patient underwent surgical bilateral embolectomy.
Conclusion: Surgical pulmonary embolectomy rescue is an alternative management with highly satisfactory results.
Keywords: Pulmonary Embolism, Embolectomy, Thrombosis, Fibrinolysis, Fibrinolytic Agents.
La embolia pulmonar (EP) es una urgencia cardiopulmonar causada por la oclusión aguda del lecho vascular arterial pulmonar, que puede condicionar falla ventricular derecha y muerte. El diagnóstico oportuno y la terapia avanzada son fundamentales para restablecer el flujo de la circulación pulmonar, limitar la extensión del daño y evitar complicaciones mortales.1,2,3
La trombosis venosa profunda constituye en la mayoría de las ocasiones la causa del evento tromboembólico.4 Anualmente, se estima una incidencia entre 40-53/ 100 000 personas, y su mortalidad se calcula entre el 7 al 11%.5,6,7,8,9,10,11,12 En el Hospital General del Centro Médico Nacional del Instituto Mexicano del Seguro Social, entre los años de 1981 a 1990, en 1685 necropsias se encontraron 252 casos de EP (15%). La EP fue la causa directa de muerte en el 28% y contribuyó indirectamente en un 62%.
Las complicaciones de la EP son principalmente hemodinámicas y se hacen patentes cuando la obstrucción alcanza entre el 30 al 50% del lecho arterial pulmonar.9 Los trombos grandes, o múltiples, pueden incrementar abruptamente la resistencia vascular pulmonar hasta un nivel de poscarga, en el cual el ventrículo derecho (VD) deja de ser capaz de mantener una compensación y esta es causa de muerte súbita, síncope o hipotensión sistémica severa, que progresa a estado de choque y muerte por falla ventricular derecha aguda. Los indicadores de gravedad de la EP se clasifican en tres tipos: 1) marcadores clínicos (hipotensión, estado de choque); 2) marcadores de disfunción ventricular derecha (dilatación del ventrículo derecho, hipocinesia o sobrecarga de presión por ecocardiografía;13,14 dilatación del ventrículo derecho por tomografía axial computada o elevación de la presión sistólica en la arteria pulmonar y del ventrículo derecho en el cateterismo cardiaco), y 3) elevación de biomarcadores, péptido natriurético tipo B (BNP) o el propéptido natriurético cerebral aminoterminal (N-terminal probrain natriuretic peptide, NT-proBNP) y/o marcadores de daño miocárdico (troponinas cardiacas T o I ). Los pacientes de riesgo intermedio son aquellos en quienes existen datos de disfunción ventricular derecha y/o daño miocárdico, repercusión hemodinámica con presión arterial sistólica < 90 mm Hg y sin repercusión hemodinámica cuando la presión sistólica es ≥ 90 mm Hg.15 La EP de bajo riesgo se establece cuando todos los marcadores de disfunción ventricular derecha y de daño miocárdico son negativos, siendo el riesgo para este grupo de pacientes menor a 1%.1
La ecocardiografía transtorácica es el método no invasivo con mayor accesibilidad, ya que permite establecer la gravedad de la obstrucción del lecho vascular pulmonar a través de la determinación del grado de hipertensión arterial pulmonar y la severidad de la disfunción ventricular derecha con una sensibilidad de 77% y especificidad de 94%, un valor predictivo negativo de 96% y uno positivo de 74%, con exactitud de 92%.
Las opciones de manejo son: fibrinólisis, terapia farmacomecánica con catéter directo y embolectomía pulmonar quirúrgica.15,16,17,18,19 Bajo el contexto actual, la dicotomización entre terapia médica frente a la terapia quirúrgica no debe existir, ya que la embolectomía pulmonar quirúrgica forma parte de la terapia avanzada del embolismo pulmonar submasivo.18,19,20,21,22
El objetivo de la terapia de reperfusión es la recuperación de la función ventricular derecha, siendo esta un marcador de eficacia y valor pronóstico. En los casos de falla a la fibrinólisis, ya sea determinados por los parámetros clínicos, de función ventricular derecha por ecocardiografía, o bien, por la persistencia de trombo unilateral o bilateral demostrado por angiotomografía pulmonar o angiografía pulmonar, deberá considerarse una nueva fibrinólisis, o bien, la embolectomía quirúrgica de rescate.23,24
Caso clínico
Paciente del sexo masculino, de 33 años de edad, con antecedente de tabaquismo durante 17 años, índice tabáquico de 22 paquetes al año y obesidad grado I (IMC: 32.8).
Inició con disnea súbita, dolor torácico de moderada intensidad que se incrementaba con los movimientos respiratorios, sudoración y síncope al subir las escaleras en una estación del metro, motivo por lo que fue llevado al servicio de urgencias de un hospital de segundo nivel de atención y posteriormente enviado a un hospital de alta especialidad en cardiología del Instituto Mexicano del Seguro Social (IMSS) para su estudio.
La exploración física reveló presión arterial de 100/70 mm Hg, frecuencia cardiaca de 125 latidos por minuto, frecuencia respiratoria 24 respiraciones por minuto; saturación periférica 85% con apoyo de oxígeno suplementario a 3 litros por minuto; cuello con presencia de ingurgitación yugular grado I a 45 grados, área cardiaca con ruidos rítmicos, choque de la punta a nivel del 5º espacio intercostal, línea axilar media, presencia de soplo sistólico I/IV en foco tricuspídeo y segundo ruido cardiaco con reforzamiento de su componente pulmonar. Ambos pulmones con murmullo vesicular presente sin estertores. Extremidades simétricas con pulsos simétricos de buena intensidad y llenado capilar de 2 segundos, sin edema.
Gasometría arterial inicial: PH 7.4, presión parcial de bióxido de carbono PCO2 30 mm Hg, presión parcial de oxígeno PO2 45 mm Hg, bicarbonato HCO3 18.6 MMOL/L, saturación periférica 81%, lactato 0.8 MMOL/L, Hb 17.1g/dL, Hto 51.7%, plaquetas 243 000, dímero D 2380 ng/dL, BNP 838 pg/mL, glucosa 100 mg/dL, urea 43 mg/dL, K+ 5.07 Meq/L, Na+ 135 MMOL/L, troponina I 0.06ng/mL.
Electrocardiograma inicial en reposo en ritmo sinusal con patrón S1, Q3, T3, crecimiento ventricular derecho y datos de sobrecarga sistólica del ventrículo derecho (figura 1).

Electrocardiograma de superficie de 12 derivaciones. Patrón S1,Q3,T3, complejos qR en V1,V2 e inversión de la onda T de ramas asimétricas e V1 a V4
En la radiografía de tórax se observó cardiomegalia grado II, a expensas de cavidades derechas y datos de hipertensión arterial pulmonar (figura 2).

Radiografía de tórax. Crecimiento ventricular derecho ++, crecimiento auricular derecho +, hipertensión arterial pulmonar ++
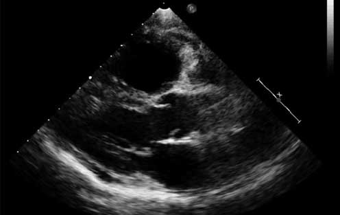
El ecocardiograma (figura 3) que se realizó en el servicio de urgencias reportó: ventrículo izquierdo no dilatado con grosor de sus paredes normales, presencia de movimiento septal paradójico con índice de excentricidad de 1.6, fracción de expulsión 60%. Cavidades derechas dilatadas, VD de 56 x 47 x 79 mm, signo de Mc Conell (+), índice de excentricidad del VD 1.9, ambas ramas de la arteria pulmonar dilatadas, con amputación de la rama izquierda. Tiempo de aceleración pulmonar de 60 ms, PSAP inferida de 60 mm Hg, la función ventricular derecha limítrofe por onda S de 11cm y TAPSE de 14 mm. Insuficiencia tricuspídea moderada vena contracta de 4 mm, sin derrame pericárdico.

Ecocardiograma transtorácico modo M bidimensional, en el que se observar dilatación del ventrículo derecho
La angiotomografía pulmonar inicial (figura 4), mostró la presencia de trombos tanto en la arteria pulmonar izquierda, como en los ramos superior e inferior de la arteria pulmonar derecha, derrame pleural derecho y un nódulo pulmonar subpleural izquierdo en segmento posterobasal.

Angiotomografía cardiaca previa a la terapia fibrinolítica. Imagen de trombos organizados en la rama derecha e izquierda de la circulación pulmonar
Con base en los hallazgos clínicos, radiológicos, ecocardiográficos y angiotomográficos, se estableció el diagnóstico de embolia pulmonar submasiva, por lo que el paciente fue sometido a terapia fibrinolítica con tecneteplase, 50 mg en bolo único e infusión de heparina no fraccionada, con enlace al séptimo día consistente en heparina fraccionada (enoxoparina) a razón de 1 mg/Kg. A partir del quinto día se empleó anticoagulación oral con warfarina sódica. El ultrasonido Doppler de miembros inferiores descartó la presencia de trombos.
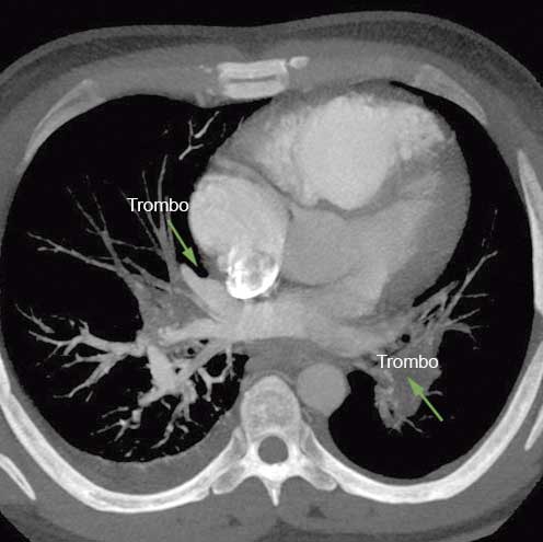
En la angiotomografía pulmonar de control realizada a los 8 días, se observó persistencia de imagen de trombo en la rama proximal de la arteria pulmonar izquierda y derecha (figura 5).

Angiotomografía cardiaca posterior a la terapia fibrinolítica. Persistencia de imagen de trombo en ambas arterias pulmonares
El paciente se sometió a tromboendarterectomía a los 21 días, siendo los hallazgos quirúrgicos: cavidades derechas y tronco de la arteria pulmonar dilatados ++, trombo organizado en la rama de la arteria pulmonar izquierda grado II y trombo en la rama derecha que se extendía hacia la arteria lobar inferior (figura 6).

Hallazgos quirúrgicos, trombos organizados en las ramas de la arteria pulmonar
La evaluación histopatológica reportó material constituido por eritrocitos, con algunos agregados focales de neutrófilos y fibrina organizada con datos de fibrinólisis.
La evolución posterior del paciente fue satisfactoria con estabilidad hemodinámica. El tratamiento consistió en anticoagulación oral, un análogo de prostaciclina (Iloprost) y sildenafil por hipertensión arterial pulmonar. Se egresó 27 días posteriores a la cirugía sin complicaciones. Un ecocardiograma de control realizado tres meses posteriores a su egreso mostró mejoría en los parámetros de la función ventricular derecha y disminución de la presión sistólica en la arteria pulmonar (cuadro I).

Discusión
La embolectomía pulmonar constituye un recurso terapéutico en algunos pacientes con embolismo pulmonar submasivo y masivo, cuando no responden a la terapia fibrinolítica. El embolismo pulmonar submasivo se caracteriza por datos ecocardiográficos de disfunción ventricular derecha o necrosis miocárdica, sin hipotensión, resultado de la sobrecarga aguda de presión del ventrículo derecho, con un elevado riesgo de complicaciones y muerte. El empleo oportuno de la terapia fibrinolítica reduce la resistencia y la presión arterial pulmonar; sin embargo, el mayor riesgo de esta opción terapéutica es la hemorragia mayor y la hemorragia intracraneal cuya frecuencia se reporta entre 1.8 y 2.2%.16 Los resultados de su empleo en paciente normotensos con riesgo intermedio, de acuerdo al estudio PHEITO,16 fue que se reduce el riesgo de muerte temprana o descompensación hemodinámica.
La obstrucción vascular pulmonar residual > 30%, durante el seguimiento inmediato a los 10 días posterior a la terapia fibrinolítica, se asocia a mayor número de eventos adversos e incremento en la mortalidad durante el seguimiento. El manejo de la falla a la fibrinólisis para algunos grupos es conservador; sin embargo, la optimización de la revascularización pulmonar temprana, puede jugar un papel determinante en la evolución clínica hospitalaria y en la evolución a largo plazo en los pacientes con embolismo pulmonar submasivo y masivo que no responden a la terapia fibrinolítica.18 Otra opción es una nueva terapia fibrinolítica o la embolectomía de rescate, ambas son actualmente recursos avanzados en el abordaje de este tipo de pacientes; la mortalidad hospitalaria reportada en literatura en la embolectomía quirúrgica es de alrededor de 7%, comparada con la fibrinolisis repetida, que puede alcanzar hasta 38%.23,24 En este caso, por persistencia de la obstrucción vascular y por los hallazgos de persistencia de trombo residual bilateral, se realizó embolectomía quirúrgica con éxito.
Conclusiones
El espectro de opciones terapéuticas en la actualidad para el manejo de la EP debe incluir anticoagulación sistémica, fibrinólisis sistémica, terapia farmacomecánica con catéter dirigido y embolectomía quirúrgica, así como la inserción de filtros en la vena cava inferior. Todas las opciones deben ser consideradas recursos complementarios en el manejo del embolismo pulmonar y no ser consideradas mutuamente excluyentes.
Todo el equipo médico multidisciplinario debe participar en la intervención de estos pacientes, esto incluye la participación del cirujano cardiotorácico. La mortalidad de la embolectomía quirúrgica reportada a nivel internacional en pacientes estables con baja comorbilidad es de alrededor de 23%, de tal manera que este tipo de recurso terapéutico debe ser una alternativa vigente en centros con experiencia.
Referencias
1. Torbicki A, Perrier A, Konstantinides S, Agnelli G, Galié N, Pruszczyk P, et al. Guías de Práctica Clínica de la Sociedad Europea de Cardiología sobre diagnóstico y manejo del tromboembolismo pulmonar agudo. Rev Esp Cardiol. 2008;61(12):1330.e1-1330.e52. Disponible en: http://secardiologia.es/images/stories/documentos/guia-tep.pdf
2. Bĕlohlávek J, Dytrych V, Linhart A. Pulmonary embolism, part I: Epidemiology, risk factors and risk stratification, pathophysiology, clinical presentation, diagnosis and non-thrombotic pulmonary embolism. Exp Clin Cardiol. 2013;18(2):129-138.
3. Roy PM, Meyer G, Vielle B, Le Gall C, Verschuren F, Carentier F, et al. Appropriateness of diagnostic management and outcomes of suspected pulmonary embolism. Ann Intern Med. 2006;144:157-64.
4. White RH. The epidemiology of venous thromboembolism. Circulation. 2003;107(Suppl 1):I4-I8.
5. Stein PD, Kayali F, Olson RE. Estimated case fatality rate of pulmonary embolism, 1979 to 1998. Am J Cardiol. 2004;93:1197-1199.
6. Dalen JE, Alpert JS. Natural history of pulmonary embolism. Prog Cardiovasc Dis. 1975;17:259-70.
7. Nieto JA, Ruiz-Ribó MD. Tromboembolismo pulmonar. Luces y sombras. Rev Esp Cardiol. 2008;61:229-32.
8. Goldhaber SZ, Visani L, De Rosa M. Acute Pulmonary embolism: clinical outcomes in the International Cooperative pulmonary Embolism Registry (ICOPER). Lancet. 1999;353(9162):1386-89.
9. McIntyre KM, Sasahara AA. The hemodynamic response to pulmonary embolism in patients without prior cardiopulmonary disease. Am J Cardiol. 1971;28:288-94.
10. Bonow RO, Mann DL, Zipes DP, Libby P, Braunwald E. Tratado de Cardiología. 9th ed. Madrid, España: Elsevier España, SL; 2013. pp. 1702-1718.
11. Cabrera-Rayo A, Nellen-Hummel H. Epidemiología de la enfermedad tromboembólica venosa. Gac Méd Méx. 2007;143(Supl. 1):3-5.
12. Martínez-Sánchez CR, Gonzalez-Pacheco H, Martinez-Reding JO. Urgencias cardiovasculares. 3a Ed. México. D.F.: Editorial Intersistemas; 2013. pp. 209-218.
13. Feigenbaum H, Armstrong WF, Ryan T. Ecocardiografia. 6th ed. Philadelphia, USA: Lippincott Williams & Wilkins; 2012. pp. 203-211.
14. Haddad F, Hunt SA, Rosenthal DN, Murphy DJ. Right Ventricular Function in Cardiovascular. Disease, Part I. Anatomy, Physiology, Aging, and Functional Assessment of the Right Ventricle. Circulation. 2008;117:1436-1448.
15. Haddad F, Doyle R, Murphy DJ, Hunt SA. Right Ventricular Function in Cardiovascular Disease. Part II. Pathophysiology, Clinical Importance, and Management of Right Ventricular Failure. Circulation. 2008;117:1717-1731.
16. Meyer G, Vicaut E, Danays T, Agnelli G, Becattini C, Beyer-Westendork J, et al. Fibrinolysis for patients with Intermediate Risk Pulmonary Embolism. N Engl J Med. 2014;370:1402-1411.
17. Nakamura S, Takano H, Kubota Y, Asai K, Shimizu W. Impact of the efficacy of thrombolytic therapy on the mortality of patients with acute submassive pulmonary embolism: a meta-analysis. J Thromb Haemost. 2014;12:1086-1095.
18. Goldhaver SZ. Surgical Pulmonary Embolectomy. The resurrection an Almost Discarded Operation. Tex Heart I J. 2013;40(1):5-8.
19. Jaber WA, Fong PP, Weisz G, Lattouf O, Jenkins J, Rosenfield K, et al. Acute Pulmonary Embolism: With an Emphasis on an Interventional Approach. J Am Coll Cardiol. 2016;67:991-1002.
20. Stein PD, Matta F. Case fatality rate with pulmonary embolectomy for acute pulmonary embolism. Am J Med. 2012;125:471-477.
21. Cho YH, Sung K, Kim WS, Jeong DS, Lee YT, Park PW, et al. Management of acute massive pulmonary embolism: Is surgical embolectomy inferior to thrombolysis? Int J Cardiol. 2016;203:579-83.
22. Azari A, Bigdelu L, Moravvej Z. Surgical embolectomy in the management of massive and sub-massive pulmonary embolism: The results of 30 consecutive ill patients. ARYA Atheroscler. 2015;11:208-13.
23. Meneveau N, Séronde MF, Blonde MC, Legalery P, Petit KD, Briand F, et al. Management of Unsuccessful Thrombolysis in Acute Massive Pulmonary Embolism. Chest. 2006;129:1043-1050.
24. Bĕlohlávek J, Dytrych V, Limhart A. Pulmonary embolism, Part II: management. Exp Clin Cardiol. 2013;18(2):139-147.
Información adicional
Declaración de conflicto de interés: los autores han completado y enviado la
forma traducida al español de la declaración de conflictos potenciales de
interés del Comité Internacional de Editores de Revistas Médicas, y no fue
reportado alguno que tuviera relación con este artículo.
Cómo citar este artículo: Valencia-Sánchez
JS, Ramírez-Arias E, Ortega-Romo E. Embolectomía pulmonar en un caso de
tromboembolia pulmonar subaguda, sometido a fibrinolisis no exitosa. Rev Med
Inst Mex Seguro Soc. 2018;56(4):418-23.
Pubmed: https://www.ncbi.nlm.nih.gov/pubmed/30521160
Enlace alternativo
http://revistamedica.imss.gob.mx/editorial/index.php/revista_medica/article/view/577/3034 (pdf)
http://revistamedica.imss.gob.mx/editorial/index.php/revista_medica/article/view/577/3040 (html)