Aportaciones originales
Micobacterias no tuberculosas en linfadenopatías cervicales de adultos VIH positivos y VIH negativos
Nontuberculous mycobacteria in cervical lymphadenopathies of HIV positive and HIV-negative adults
Micobacterias no tuberculosas en linfadenopatías cervicales de adultos VIH positivos y VIH negativos
Revista Médica del Instituto Mexicano del Seguro Social, vol. 56, núm. 5, pp. 456-461, 2018
Instituto Mexicano del Seguro Social
Recepción: 31 Marzo 2017
Aprobación: 06 Julio 2017
Resumen:
Introducción: la tuberculosis es un problema de salud
pública mundial, sobre todo en países emergentes. El
Mycobacterium tuberculosis es el principal causante de
las adenopatías cervicales; las micobacterias no
tuberculosas son relativamente frecuentes en el niño y
raras en adultos.
Objetivo: identificar y establecer la frecuencia de la etiología infecciosa por micobacterias no tuberculosas (MNT) en pacientes adultos mexicanos con linfadenopatias cervicales.
Métodos: se estudiaron 85 pacientes mayores de 18 años, con linfadenopatía cervical, 45 con positividad al virus de la inmunodeficiencia humana (VIH) y 40 VIH negativos, sin antecedentes de tratamiento antituberculoso, seleccionados en un hospital de concentración de especialidad de tercer nivel. Se realizó biopsia de nodo linfático para su estudio histopatológico, búsqueda de bacilos ácido-alcohol resistentes, cultivo en el tubo indicador del crecimiento de Mycobacterium BACTEC (MGIT-960) y la identificación de cepa micobacteriana por PCR-RFLP (restriction fragment lenght polymorfism) de hsp65.
Resultados: las cepas correspondieron al complejo Mycobacterium tuberculosis en 42 pacientes VIH positivos (93%), dos (4.4%) a M. intracellulare y una (2.2%) a M. gordonae. Las cepas correspondieron al complejo M. tuberculosis en 39 pacientes VIH negativos (97.5%) y una a M. fortuitum (2.5%).
Conclusión: la presencia de MNT se encontró en 4.7% de todos los casos. A pesar de su baja frecuencia, deben ser tomadas en cuenta como posible causa de linfadenopatías, porque su identificación oportuna permite instaurar un tratamiento específico.
Palabras clave: Tuberculosis Ganglionar, Mycobacterium Tuberculosis, Micobacterias no Tuberculosas, Linfadenopatía Cervical .
Abstract:
Background: Tuberculosis is a global public health problem, especially in emerging countries. Mycobacterium tuberculosis is the main cause of cervical lymphadenopathy; nontuberculous mycobacteria are relatively common in children and rare in adults.
Objective: To identify and establish the frequency of infectious etiology by nontuberculous mycobacteria in Mexican adult patients with cervical lymphadenopathy.
Methods: The study included 85 patients over 18 years with cervical lymphadenopathy; 45 were HIV-positive, 40 were HIV-negative; they had no history of tuberculosis treatment and were selected from a third-level hospital. It was carried out a biopsy of the lymph node for the histopathological study, a search for acid-fast bacilli, a tube culture to indicate growth of Mycobacterium BACTEC (MGIT-960) and identification of mycobacterial strain by PCR-RFLP (restriction fragment length polymorfism) of hsp65.
Results: In 42 HIV-positive patients (93%), strains corresponded to Mycobacterium tuberculosis complex, two (4.4%) to M. intracellulare and one (2.2%) to M. gordonae. Among HIV-negative patients, 39 of strains (97.5%) corresponded to patients with M. tuberculosis complex and one strain (2.5%) to M. fortuitum.
Conclusion: The presence of nontuberculous mycobacteria was found in 4.7% of all cases. Despite this low frequency, it must be taken into account as a possible cause of lymphadenopathy, since its prompt identification enables introducing specific treatment.
Keywords: Tuberculosis, Lymph Node, Mycobacterium Tuberculosis, Nontuberculous Mycobacteria, Cervical Lymphadenopathy.
En 2011 se diagnosticaron en México 19 700 casos nuevos de tuberculosis (Tb) y se reportaron 9500 casos nuevos de seropositivos por virus de inmunodeficiencia humana (VIH) y síndrome de inmunodeficiencia adquirida (SIDA). De estos últimos, 1177 (12.3%) presentaban Tb. La tuberculosis extrapulmonar representó 32% de casos en pacientes inmunocompetentes y más del 50% en pacientes VIH positivos.1, 2 La linfadenopatía cervical es la forma de tuberculosis extrapulmonar más frecuente en niños.3, 4 Su incidencia ha aumentado en pacientes adultos desde el inicio de la pandemia del SIDA por VIH, particularmente cuando se encuentra un conteo bajo de linfocitos CD4.5 Frecuentemente es de difícil diagnóstico, debido a que diversos factores etiológicos pueden causar crecimiento de los nodos linfáticos y el estudio histológico en cierto número de casos no es específico. Para su diagnóstico se requieren varios estudios: tinción de Zielh-Neelsen para bacilos ácido-alcohol resistentes (BAAR), biopsia con aguja fina o biopsia de nodo linfático, reacción en cadena de la polimerasa (PCR) y confirmación bacteriológica por cultivo.6, 7 El agente causal más común en México es el Mycobacterium tuberculosis, pero la presencia de micobacterias no tuberculosas (MNT) se ha observado en los últimos años, paralelamente con el incremento de casos de VIH positivos.8, 9 En México se conocen más de 148 especies de MNT que tienen características fenotípicas y bioquímicas específicas,10 y solo un grupo de estas puede provocar enfermedad, particularmente en pacientes inmunodeprimidos.11, 12 Es importante hacer la identificación precisa de la especie para iniciar un tratamiento eficaz, dado que tienen diferente susceptibilidad a los fármacos antituberculosos.13 Los métodos diagnósticos para la identificación de MNT en nodos linfáticos generalmente son laboriosos, costosos y la obtención del resultado es prolongada.14 La implementación de métodos de biología molecular para la identificación de micobacterias por PCR-RFLP (restriction fragment lenght polymorfism) del gen hsp65 (heat shock protein) han demostrado tener ventajas sobre los métodos convencionales por ser rápidos, de menor costo y altamente específicos con resultados en 48 horas.15, 16
El objetivo de este estudio fue identificar la existencia de micobacterias no tuberculosas, responsables de la etiología infecciosa en pacientes adultos VIH positivos y VIH negativos con linfadenopatías cervicales, que viven en el área metropolitana de la Ciudad de México (cuya población aproximada es de 20 millones de personas).
Material y métodos
Estudio prospectivo de casos consecutivos con linfadenopatías cervicales con sospecha diagnóstica de tuberculosis, llevado a cabo en el periodo comprendido entre enero de 2010 y enero de 2015, en un hospital de concentración de tercer nivel de atención. Los criterios de selección fueron los siguientes: pacientes mayores de 18 años que tuvieran crecimiento de cadenas ganglionares cervicales, temperatura corporal > 37.5 ºC, pérdida de peso, mal estado general y sin tratamiento antituberculoso previo. El diagnóstico de Tb fue sugerido por la presencia de la formación de granulomas en la biopsia, debía estar confirmado por cultivo positivo y la respuesta a la terapia específica debía tener un año de seguimiento. El estudio fue aprobado por el Comité de Ética del hospital y se obtuvieron cartas de consentimiento informado.
A cada paciente se le realizó historia clínica completa, estudios hematológicos, VIH por ensayo de inmunoabsorción ligado a enzimas (ELISA) y su confirmación por western-blot, radiografía de tórax y prueba cutánea de tuberculina con el derivado purificado de la proteína (PPD-RT23, Statens Seruminstitut, Copenhague, Dinamarca). Se practicó biopsia de nodo linfático para estudio histopatológico, microbiológico y de biología molecular. A cada espécimen obtenido se le realizaron las siguientes pruebas de forma independiente y a ciegas.
Para el estudio histopatológico, los fragmentos fueron fijados en formol al 10%, extendidos en parafina, seccionados y teñidos con eosina-hematoxilina y examinados en el microscopio. Fue sugestivo de tuberculosis cuando se observaron granulomas con focos de necrosis caseosa y células epiteloides.
Los estudios bacteriológicos fueron realizados en los especímenes homogeneizados en solución salina isotónica, regulados y descontaminados con solución de hidróxido de sodio al 4%. Después de la neutralización y la centrifugación, cada espécimen homogeneizado fue suspendido de nuevo en agua destilada. Los BAAR fueron identificados por tinción de Ziehl-Neelsen. Para los cultivos, 0.2 mL de los homogeneizados de la biopsia fueron inoculados en botellas con el medio líquido fluorescente de MGIT (tubo del indicador del crecimiento de Mycobacterium, Becton Dickinson, San José, CA, Estados Unidos) y en medio sólido Löwenstein-Jensen (LJ). Los medios fueron incubados a 37 °C por ocho semanas e inspeccionados semanalmente para observar el crecimiento.
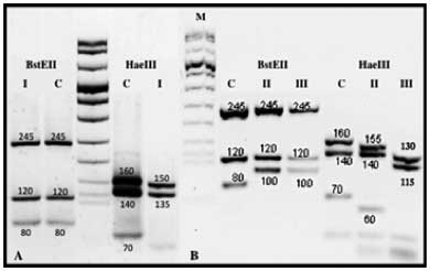
El ácido desoxirribonucleico (ADN), extraído por choque térmico a partir de una suspensión bacteriana de los aislados obtenidos, se utilizó como blanco para la amplificación de un producto de 140 pares de bases (pb), correspondiente a la secuencia de inserción IS6110, presente en bacterias del complejo Mycobacterium tuberculosis con los iniciadores IS6110F (5’-GGATCCGCCAGCCCAGGATCCTGCG-3’) e IS6110R (5’-AGGTGCGGACCACCAGCACCTAACC-3’). La composición de la mezcla de reacción (50 ul) fue 10 mM de Tris-HCl, 1.5 mM MgCl2, 50 mM, KCl (pH 8.3), 1 U Taq polimerasa, 2 mM de una mezcla de dNTP (Roche Diagnostics GmbH, Mannheim, Alemania), 0.2 µM de cada iniciador y 3 µL de DNA. Las condiciones de reacción fueron: un ciclo de un minuto a 94 ºC, seguido de 45 ciclos de 15 segundos a 94 ºC, 50 segundos a 70 ºC y un ciclo de 7 minutos a 72 ºC. Asimismo, a partir de estos extractos, se obtuvo un amplicón de 440 pb del gen hsp65 de la proteína de choque térmico para su posterior digestión con las enzimas BstEII y HaeIII, de acuerdo con la metodología descrita.17 El análisis de los patrones de restricción enzimática (PRA) se realizó empleando los algoritmos reportados para MNT.18, 19, 20
El tratamiento estrictamente supervisado (TAES) con isoniazida, rifampicina, pirazinamida y etambutol fue iniciado en los casos de M. tuberculosis confirmados por cualquier método. En los pacientes VIH positivos se indicó además la combinación de zidovudine y lamivudina con efavirenz o niverapina. La respuesta clínica fue evaluada durante un año o hasta observar la completa resolución del proceso.
Resultados
Se estudiaron 350 casos que ingresaron por sospecha de tuberculosis linfática en el periodo de estudio. Fueron confirmados 85 casos por cultivo positivo para micobacterias (24%).
Fueron VIH positivos 45 pacientes, 37 del sexo masculino y ocho mujeres, con edad media de 45 años (rango 18 a 71 años). El promedio del conteo de linfocitos CD4 fue < 100 células/mm3, 40 pacientes (89%) presentaron linfadenopatía cervical derecha, dos (4%) linfadenopatía izquierda y con afectación bilateral hubo tres casos (7%). La sintomatología más frecuente fue fiebre (75%) y malestar generalizado (90%); seis pacientes tenían tuberculosis pulmonar y uno tuberculosis meníngea.
En el grupo de 40 pacientes VIH negativos 25 fueron hombres y 15 mujeres, con edad media de 37 años (rango 16 a 65 años), 36 pacientes (90%) presentaron linfadenopatía cervical unilateral: 26 derecha (65%) y 10 izquierda (25%); cuatro pacientes (10%) tenían afectación bilateral. La sintomatología más frecuente fue fiebre (90%) y mal estado general (40%); tres pacientes presentaron tuberculosis pulmonar.
En las biopsias de nodo linfático de pacientes VIH positivos (n = 45), la tinción de Ziehl-Neelsen, fue positiva en 10 casos (22%); el crecimiento de Mycobacterium en BACTEC (MGIT-960) fue positivo en todos los casos, con un promedio de crecimiento de 38 días. El estudio histopatológico demostró caseificación granulomatosa compatible con la infección tuberculosa en 37 casos y en 13 hiperplasia linforreticular no específica. En las biopsias de nodo linfático de pacientes VIH negativos (n = 40), la tinción de Ziehl-Neelsen fue positiva en 12 casos (30%); en todos los pacientes el crecimiento de Mycobacterium fue positivo con promedio de crecimiento de 32 días y el estudio histopatológico demostró la caseificación granulomatosa compatible con infección tuberculosa.
De las 45 cepas aisladas del material de biopsia de nodos linfáticos en el grupo de VIH positivos, 42 (93%) pertenecieron al complejo M. tuberculosis al obtenerse una amplificación de aproximadamente 140 pb (figura 1), correspondiente a la secuencia de inserción IS6110; tres cepas (7%) no presentaron un producto de amplificación para IS6110, por lo que la identificación de especie se realizó por PCR-RFLP. En los patrones de restricción obtenidos para la ampliación de 441 pb del gen hsp65 de las cepas de estudio (figura 2), se detectaron dos cepas de M. intracellulare (4.4%) y una (2.2%) de M. gordonae. Del grupo VIH negativo, 39 cepas (97.5%) correspondieron al complejo M. tuberculosis y una cepa (2.5%) se identificó como M. fortuitum. Al comparar a los 45 pacientes VIH positivos y los 40 VIH negativos, mediante la prueba chicuadrada de Pearson, se encontró una diferencia estadísticamente significativa (p < 0.05) en la distribución de las variables sexo y localización de cadenas ganglionares de acuerdo con el estatus del VIH. No se encontraron diferencias estadísticas en la distribución de la variable de histopatología según el status de VIH (cuadro I).
La cutirreacción al PPD (un halo de induración > 10 mm) fue positiva en siete pacientes VIH positivos (15.5%) y en 12 de los VIH negativos (30%).



VIH = virus de inmunodeficiencia humana; RI = rango intercuartílico; MGIT = cultivo en medio líquido para crecimiento de Mycobacterium
*Dos casos de M. intracellulare y un caso de M. gordonae
† Un caso de M. fortuitum
En el grupo de pacientes VIH positivos, 22 fallecieron antes de un año (48.8%), incluidos los seis con proceso pulmonar y uno con meningitis; asimismo, cuatro tuvieron curación a un año de seguimiento de iniciado el tratamiento acortado estrictamente supervisado (TAES), incluidos los tres pacientes con MNT. En el grupo de pacientes VIH negativos, 39 casos se curaron (97.5%), incluidos tres con Tb pulmonar y uno con M. fortuitum, que fue tratado con claritomicina-ofloxacina-pirazinamida y presentó resolución de la adenopatía; un paciente abandonó el tratamiento.
Discusión
La Tb en México es un problema de salud semejante al de otros países emergentes y el panorama epidemiológico deesta enfermedad se agrava por la epidemia VIH/SIDA. La sinergia entre el SIDA y la Tb ha convertido aquellos casos VIH positivos con Tb en una importante amenaza para la salud pública en los países en desarrollo.21 La frecuencia real de las formas extrapulmonares de tuberculosis no se conoce en México y aproximadamente 30% de los casos de Tb son extrapulmonares. Esta presentación se ha incrementado, por lo que el diagnóstico rápido y la caracterización exacta de la etiología de las linfadenopatías cervicales son obligatorios para iniciar un tratamiento apropiado y oportuno.22,23
Los resultados de este estudio revelan que en una cohorte de 350 pacientes mexicanos con linfadenopatía cervical, 24% (85) correspondieron a la etiología infecciosa con las características histopatológicas compatibles con tuberculosis; de estos, 12.8% (45) se diagnosticó con VIH/SIDA, con un conteo de linfocitos CD4 < 100 células/mm3 . La historia de Tb pulmonar o la presencia de otros focos se detectó en 17% de los casos de linfadenopatía. Las personas infectadas por el VIH en tratamiento antirretroviral, se mantienen en mayor riesgo de infectarse con tuberculosis que los individuos no infectados por VIH. Este aumento de la susceptibilidad puede ser causado por alteraciones de la función de los macrófagos alveolares y una disminución del conteo de linfocitos CD4. La Tb y su asociación con la infección por el VIH son las causas más importantes de las altas tasas de morbilidad y mortalidad infecciosa en los adultos en diferentes partes del mundo. En esta serie se observó que en casos con VIH positivo y tuberculosis, el hallazgo de BAAR puede ser negativo. Estos pacientes presentan formas extrapulmonares y una rápida progresión clínica de la enfermedad y toxicidad a los medicamentos.
En este estudio las MNT fueron identificadas como causa de linfadenopatías cervicales en tres pacientes (6.6%) con tuberculosis y VIH positivo. En dos casos se aisló M. intracellulare y en uno M. gordonae. En los pacientes inmunocompetentes se aisló una cepa de M. fortuitum. Todos los pacientes infectados por M. tuberculosis recibieron tratamiento específico por un año. Los afectados por MNT fueron tratados con el esquema claritromicina, rifampicina y etambutol.24
La incidencia de infección con MNT se ha incrementado en el mundo; las lesiones de nodos linfáticos y cutáneas son sitios frecuentes de infección con predisposición en adultos jóvenes y niños, en particular en los que tienen un grado importante de inmunocompromiso.25 En la literatura se mencionan 10 especies de MNT como causantes de patología linfática, pero no se incluye el M. intracellulare, ni el M. gordonae. En México en casos con inmunodeficiencias, como personas VIH positivas, se han aislado cuatro cepas de MNT además del complejo M. tuberculosis, incluido M. bovis; sin embargo, no se mencionan específicamente en linfadenopatías.26
Los casos con MNT requieren regímenes de tratamiento prolongados y el uso de diversos fármacos. La terapia de algunas MNT se ha establecido y depende de estudios de sensibilidad. Los inconvenientes de estos tratamientos son los potenciales efectos adversos, como la falla hepática, la falla renal y la posibilidad de resistencia bacteriana. La resección quirúrgica de la linfadenitis no complicada es una opción importante que se debe considerar.4, 6 El diagnóstico molecular de la Tb es fundamental en los casos de VIH negativos y positivos, a fin de iniciar el tratamiento más apropiado.27, 28
Conclusión
En México el Mycobacterium tuberculosis sigue siendo una causa importante de linfadenopatías cervicales y las provocadas por MNT tienen una baja frecuencia. Estas micobacterias deben ser identificadas oportunamente para instaurar un tratamiento eficaz. La asociación de tuberculosis pulmonar con linfadenopatía y SIDA tiene una alta mortalidad.
Agradecimientos
Se agradece al doctor Hiram Olivera Díaz el diseño de los iniciadores para IS6110, y al Laboratorio de Diagnóstico y Tipificación por su asistencia técnica
Referencias
1. Secretaría de Salud, Hospital General de México. Epidemiología y determinantes sociales en tuberculosis. México, Distrito Federal: Secretaría de Salud; 2014. Disponible en http://www.cenaprece. salud.gob.mx/programas/interior/micobacteriosis/descar gas/pdf/TByDSSMexicoCursoTB2014.pdf [Consultado el 7 de julio de 2015].
2. Secretaría de Salud/Dirección General de Epidemiologia/CENSIDA. Vigilancia Epidemiológica de casos de VIH/SIDA en México. Registro Nacional de Casos de SIDA. Actualización al cierre de 2014. México: Secretaría de Salud; 2014. Disponible en http://www. censida.salud.gob.mx/descargas/epidemiologia/RN_CIER RE_2014.pdf [Consultado el 7 de julio de 2015].
3. Salvador F, Los-Arcos I, Sánchez-Montalvá A, Tórtola T, Curran A, Villar A, et al. Epidemiology and diagnosis of tuberculous lymphadenitis in a tuberculosis lowburden country. Medicine (Baltimore). 2015;94(4):e509. doi: 10.1097/MD.0000000000000509.
4. White MP, Bangash H, Goel KM, Jenkins PA. Nontuberculous mycobacterial lymphadenitis. Arch Dis Child. 1986;61(4):368-71.
5. Jambo KC, Banda DH, Afran L, Kankwatira AM, Malamba RD, Allain TJ, et al. Asymptomatic HIV-infected Individuals on Antiretroviral Therapy Exhibit Impaired Lung CD4+ T-Cell Responses to Mycobacteria. Am J Respir Crit Care Med. 2014;190(8):938-47. doi: 10.1164/ rccm.201405-0864OC
6. Piersimoni C, Scarparo C. Extrapulmonary Infections Associated with Nontuberculous Mycobacteria in Inmmunocompetent Persons. Emerg Infect Dis 2009;15 (9):1351-8
7. Huang Z, Xiong G, Luo Q, Jiang B, Li W, Xu X et al. Evaluation of the performance of the microscopic observation drug susceptibility assay for diagnosis of extrapulmonary tuberculosis in China: A preliminary study. Respirology 2014;19(1):132-7
8. Perdikogianni C, Galanakis E. Non-tuberculous mycobacterial cervical lymphadenitis in the immunocompetent child: diagnostic and treatment approach. Expert Rev Anti Infect Ther. 2014;12(8):959-65.
9. Henkle E, Winthrop KL. Nontuberculous mycobacteria infections in immunosuppressed hosts. Clin Chest Med. 2015;36(1):91-9
10. Escobar-Escamilla N, Ramírez-González JE, GonzálezVilla M, Torres-Mazadiego P, Mandujano-Martínez A, Barrón-Rivera C, et al. hsp65 Phylogenetic Assay for Molecular Diagnosis of Nontuberculous Mycobacteria Isolated in Mexico. Arch Med Res. 2014;45(1):90-7
11. Graham SM. Non-tuberculosis opportunistic infections and other lung diseases in HIV-infected infants and children. Int J Tuberc Lung Dis. 2005;9(6):592-602
12. Shankar EM, Vignesh R, Ellegård R, Barathan M, Chong YK, Bador MK et al. HIV-Mycobacterium tuberculosis coinfection: a danger-couple model' of disease pathogenesis. Pathog Dis. 2014;70(2):110-8
13. Prevots DR, Marras TK. Epidemiology of human pulmonary infection with nontuberculous mycobacteria: a review. Clin Chest Med. 2015;36(1):13-34
14. Hernández-Solís A, Cicero-Sabido R, Olivera H, Rivero V, Ramírez E, Escobar-Gutiérrez A. Tuberculosis is still a major cause of cervical lymphadenopathies in adults from developing countries. Epidemiol Infect. 2003;131(3):1071-6
15. Griffith DE, Aksamit T, Brown-Elliot BA, Catanzaro A, Daley C, Gordin F et al. An Official ATS/IDSA Statement: Diagnosis treatment and prevention of nontuberculous mycobacterial diseases. Am J Respir Care Med. 2007;175(4):367-416
16. Secretaría de Salud. Centro Nacional de Excelencia Tecnológica en Salud. Diagnóstico y tratamiento de las infecciones por micobacterias no tuberculosas. Guía de Práctica Clínica. México: Secretaría de Salud; 2014. Disponible en http://www.cenetec.salud.gob.mx/descargas/ gpc/CatalogoMaestro/IMSS-650-14-Micobacteriosis Notuberculosa/650GER.pdf
17. Telenti A, Marchesi F, Balz M, Baally F, Bottger EC, Bodmer T. Rapid identification of mycobacteria to the species level by polymerase chain reaction and restriction enzyme analysis. J Clin Microbiol. 1993;31(2):175-8.
18. Brunello F, Ligozzi M, Cristelli E, Bonora S, Tortoli E, Fontana R. Identification of 54 mycobacterial species by PCR-restriction fragment length polymorphism analysis of the hsp65 gene. J Clin Microbiol. 2001;39(8):2799-806
19.Chimara E, Ferrazoli L, Ueky SYM, Martins MC, Durham AM, Arbeit RD, et al. Reliable identification of mycobacterial species by PCR-restriction enzyme analysis (PRA)-hsp65 in a reference laboratory and elaboration of a sequence based extended algorithm of PRA-hsp65 patterns. BMC Microbiol. 2008;8:48
20. Devallois A, Goh KS, Rastogi N. Rapid identification of Mycobacteria to species level by PCR-restriction fragment length polymorphism analysis of the hsp65 gene and proposition of an algorithm to differentiate 34 mycobacterial species. J Clin Microbiol. 1997;35(11):2969-73.
21. Wasserman S, Meintjes G. The diagnosis, management and prevention of HIV-associated tuberculosis. S Afr Med J. 2014;104(12):886-93.
22. Philley JV, Griffith DE. Treatment of slowly growing mycobacteria. Clin Chest Med. 2015;36(1):79-90
23. Kasperbauer SH, De Groote MA. The treatment of rapidly growing mycobacterial infections. Clin Chest Med. 2015; 36(1):67-78
24. Satta G, McHugh TD, Mountford J, Abubakar I, Lipman M. Managing pulmonary nontuberculous mycobacterial infection. Time for a patient-centered approach. Ann Am Thorac Soc. 2014:11(1);117-21
25. Post FA, Grint D, Werlinrud AM, Panteleev A, Riekstina V, Malashenkov EA, et al.; HIV-TB Study Group. Multidrug-resistant tuberculosis in HIV positive patients in Eastern Europe. J Infect. 2014;68(3):259-63
26. Cortés-Torres N, González-y-Merchand JA, González-Bonilla C, García-Elorriaga G. Molecular analysis of mycobacteria isolated in Mexican patients with different immunodeficiencies in a tertiary care hospital. Arch Med Res. 2013;44(7):562-69.
27. Van Ingen J, Ferro BE, Hoefsloot W, Boerse MJ, van Solingen D. Drug treatment of pulmonary non tuberculous mycobacterial disease in HIV-negative patient the evidence. Expert Rev Anti Infect Ther. 2013;11(10):1065-77
28. Vittor AY, Garland JM, Gilman RH. Molecular diagnosis of TB in the HIV positive population. Ann Global Health. 2014;80(6):476-85
Información adicional
Declaración de conflicto de interés: los autores han
completado y enviado la forma traducida al español de la
declaración de conflictos de interés del Comité Internacional
de Editores de Revistas Médicas, y no fue reportado alguno
en relación con este artículo.
Cómo citar este artículo: Hernández-Solís A, González-Villa
M, Ramírez-González E, González-González H, de la
Torriente-Mata R, Reding-Bernal A et al. Micobacterias no tuberculosas en linfadenopatías cervicales
de adultos VIH positivos y VIH negativos. Rev Med Inst Mex
Seguro Soc. 2018;56(5):456-61
PubMed: https://www.ncbi.nlm.nih.gov/pubmed/?term=30777413
Enlace alternativo
http://revistamedica.imss.gob.mx/editorial/index.php/revista_medica/article/view/1407/3130 (pdf)
http://revistamedica.imss.gob.mx/editorial/index.php/revista_medica/article/view/1407/3141 (html)