Casos clínicos
Tumor neuroendócrino quístico primario de hígado: reporte de un caso
Primary cystic neuroendocrine tumor of the liver: case report
Tumor neuroendócrino quístico primario de hígado: reporte de un caso
Revista Médica del Instituto Mexicano del Seguro Social, vol. 56, núm. 5, pp. 505-509, 2018
Instituto Mexicano del Seguro Social
Recepción: 19 Mayo 2017
Aprobación: 11 Agosto 2017
Resumen:
Introducción: 85% de los tumores neuroendocrinos (TNE) se originan del tracto gastrointestinal, su localización hepática primaria muy rara; los TNE con mayor frecuencia causan metástasis al hígado; por esto, cuando se diagnóstica un TNE hepático es considerado inicialmente metastásico. El diagnóstico de tumor neuroendocrino primario de hígado (TNEPH) debe realizarse mediante la exclusión de tumores neuroendócrinos extrahepáticos y la confirmación histológica. El objetivo de este artículo es presentar un caso con TNEHP.
Caso clínico: paciente de sexo masculino, de 75 años de edad, quien presentó astenia, adinamia, dolor abdominal en hipocondrio derecho y pérdida de peso de 6 meses de evolución, con tumor palpable subcostal derecho. Los estudios de imagen reportaron lesión en lóbulo hepático derecho, multilobulada, márgenes mal definidos, heterogénea y con áreas quísticas. Se realizó laparotomía diagnóstica y tumorectomía hepática que midió 16.0 x10.0 x 6.5 cm, con dos cavidades quísticas de 13.2 y 11.5 cm de contenido hemático. Microscópicamente se observaron células con diferenciación neuroendócrina, inmunoreactivas a cromogranina. Se estableció el diagnóstico de neoplasia neuroendócrina bien diferenciada, con degeneración quística.
Conclusiones: aunque se excluya un TNE de sitio primario extrahepático, la etiología tumoral de una proporción considerable de pacientes con TNEPH será a causada por un tumor primario no conocido que se hará evidente con el tiempo; de ahí la necesidad de hacer seguimiento el máximo tiempo posible.
Palabras clave: Neoplasias Hepáticas, Neoplasias Primarias Desconocidas, Metástasis de la Neoplasia.
Abstract:
Background: 85% of neuroendocrine tumors (NET) originate in the gastrointestinal tract, which is why their primary hepatic location is very rare; NETs most frequently cause metastases to the liver; so when diagnosed, a hepatic NET is considered initially metastatic. Diagnosis of primary hepatic neuroendocrine tumors (PHNET) should be performed by excluding extrahepatic NETs and through histological confirmation. The objective of this article is to present a case of PHNET.
Clinical case: 75-year-old male patient, who presented asthenia, adynamia, abdominal pain in the right hypochondrium, six-month weight loss, with a right subcostal palpable tumor. Imaging studies reported a lesion in the right hepatic lobe, multilobulated, heterogeneous, with poorly defined margins and with cystic areas. It was performed diagnostic laparotomy and then a hepatic tumorectomy, whose product measured 16.0 x 10.0 x 6.5 cm, with two cystic cavities of 13.2 and 11.5 cm of hematic content. Microscopically, cells with neuroendocrine differentiation, with positive immunoreactivity to chromogranin were observed. It was diagnosed well-differentiated neuroendocrine neoplasm, with cystic degeneration.
Conclusion: Even though it is excluded a NET from an extrahepatic primary site, the tumor etiology of an important proportion of patients with PHNET will be due to an unknown primary tumor that will become apparent over time; hence, the need to follow up as long as possible.
Keywords: Liver Neoplasms, Neoplasms, Unknown Primary, Neoplasm Metastasis.
Los tumores neuroendócrinos (TNE) son tumores derivados de células neuroectodérmicas del sistema endócrino difuso, los cuales son capaces de producir hormonas peptídicas.1,2,3 Estos tumores típicamente se localizan en pulmón, páncreas, tracto gastrointestinal y sistema reproductivo.2,4,5 El 85% de los TNE se originan en el tracto gastrointestinal6 y son la segunda neoplasia más común, después del adenocarcinoma;7 sin embargo, solo representan de 1 a 2% de la totalidad de los tumores del tracto digestivo.5 Su localización más frecuente es el intestino delgado, hasta en 45% de los casos; el resto se distribuye de la siguiente manera: 20% en recto, 17% en apéndice, 10% en colon y 7% en estómago.2,5 Su localización hepática primaria es muy rara y representa solo 0.3% de los casos.2,3,8,9,10,11,12 Los TNE gastrointestinales provocan metástasis que con mayor frecuencia van al hígado;2,3,4,5,10,11,12,13 es por esto que cuando un estudio histopatológico revela un tumor neuroendócrino hepático es considerado inicialmente mestastásico.7 La determinación de un tumor neuroendócrino primario de hígado (TNEPH) es un diagnóstico de exclusión,2,7,10,12 y debe contar con dos criterios:
En la bibliografía actual solo se han reportado 150 casos de TNEPH,7,11 los cuales se describen con mayor frecuencia en mujeres (1.4:1), con una media de edad al diagnóstico de 50 años; se trata en su mayoría de tumores solitarios, localizados principalmente en el lóbulo hepático derecho.3,4,7,10,11 En este reporte presentamos el caso de un hombre de 75 años de edad con tumor neuroendócrino primario de hígado quístico.
Caso clínico
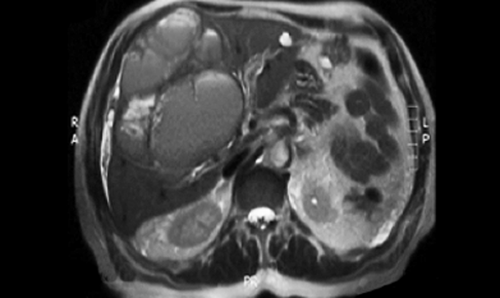
Hombre de 75 años de edad, sin antecedentes ni comorbilidades de importancia, con padecimiento de seis meses de evolución, el cual se manifestó por astenia, adinamia, dolor abdominal localizado en mesogastrio e hipocondrio derecho, y pérdida no intencionada de peso de hasta 15 kilogramos. A la exploración física se identificó tumor palpable en la región subcostal derecha de 12.0 x 9.0 cm, por lo que se le envió al servicio de gastrocirugía de un hospital de especialidades de tercer nivel de atención, en donde se inició un protocolo de diagnóstico. Se le realizó tomografía axial computarizada (TAC) toracoabdominal, se reportó colección hepática de segmento IV y una lesión nodular en segmento II de 2.9 x 2.7 cm, hipodensa y con reforzamiento al medio de contraste. En el estudio de resonancia magnética (RM) se identificó lesión localizada en lóbulo hepático derecho, la cual involucró los segmentos V, VI y VIII, multilobulada, con márgenes poco definidos, de contenido heterogéneo, con áreas quísticas, hiperintensa en T1 y T2, y con reforzamiento del componente sólido (figura 1). En la panendoscopía no se encontró evidencia de lesiones tumorales. En la correlación clínica radiológica se integró la sospecha diagnóstica de cistoadenoma seroso biliar. Ante la persistencia de la sintomatología se programó al paciente para la realización de laparotomía diagnóstica.

Hallazgos morfológicos
Se recibió en el servicio de Antomía Patológica el producto de la tumorectomía hepática. Midió 16.0 x 10.0 x 6.5 cm, de color café rojizo, liso, opaco, blando y con escaso parénquima hepático residual; se identificaron dos cavidades quísticas de 13.2 y 11.5 cm de eje mayor y contenido hemático (figura 2).

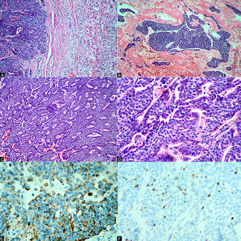
Microscópicamente se observaron células neoplásicas pequeñas, dispuestas en patrón en nidos y trabéculas (figuras 3A, 3B, 3C), con núcleos redondos, cromatina granular en ¨sal y pimienta¨ y citoplasma escaso (figura 3D). Se realizaron tinciones de inmunohistoquímica con cromogranina, la cual resultó inmunorreactiva y positiva a Ki-67 en 10% de las células neoplásicas (figuras 3E y 3F). El diagnóstico histopatológico fue neoplasia neuroendócrina bien diferenciada, quística, hemorrágica, con infiltración vascular intratumoral, sin necrosis y sin invasión neural.

Discusión
Los TNEPH son neoplasias muy raras y fueron descritos por primera vez por Edmondson en 1958.3,9 El origen de estos tumores no está bien establecido, ya que el hígado no es un sitio de migración de células neuroendócrinas de la cresta neural durante la embriogénesis;3,9,11 sin embargo, ha sido explicado con base en tres teorías:
La última es la más aceptada y de acuerdo con ella se supone que la inflamación crónica induce a las células neuroendócrinas argentafines del conducto biliar intrahepático a la metaplasia intestinal, con lo cual provoca el desarrollo del tumor neuroendócrino.3,4,9,11
Clínicamente se manifiesta con sintomatología inespecífica, caracterizada por la presencia de distensión abdominal, pérdida de peso, fatiga, ictericia, dolor abdominal y masa palpable en el cuadrante superior derecho, sobre todo en estadios avanzados de la enfermedad, como el caso presentado. Estos síntomas se deben al efecto de masa que el hígado ejerce hacia los órganos adyacentes.2,3,10,11,13 Hasta 10% de los pacientes cursan asintomáticos y menos de 20% presenta manifestaciones típicas de síndrome carcinoide, las cuales se producen como resultado de la liberación sistémica de productos neurosecretorios (como serotonina, histamina y prostaglandinas), se presentan clínicamente como rubor facial, diarrea y dermatitis,2,3,5,9,11 y se asocian frecuentemente a metástasis hepáticas de TNE extrahepáticos.2 Aún no está claro por qué los TNEPH son endocrinológicamente silenciosos y algunos autores lo atribuyen a la degradación enzimática hepática de los productos derivados de la neoplasia directamente a la circulación portal.11
El diagnóstico de TNEPH es un diagnóstico de exclusión, como ya se apuntó antes.2,10,12Debe hacerse una búsqueda gradual y meticulosa, para determinar si hay un tumor primario extrahepático, comenzando con la realización de estudios de imagen, como ultrasonograma (USG), TAC, RM, octreoscan, endoscopia alta y baja, y laparotomía diagnóstica.2,10 El USG abdominal, aunque es poco específico, a menudo suele mostrar lesiones de aspecto sólido-quístico, hipoecogénicas, hiperecogénicas o mixtas. La TAC también revela nódulos hipodensos con degeneración quística, necrosis y calcificaciones. La RM mostrará lesiones hipointensas en T1 e hiperintensas en T2. Estas imágenes tienen un amplio espectro en su apariencia y a menudo imitan neoplasias hepáticas benignas y malignas, tales como colangiocarcinoma, carcinoma hepatocelular o metástasis, por lo que se complica el diagnóstico imagenológico.2,10,11 Esto explica la consideración diagnóstica de cistoadenoma seroso biliar que fue planteada en el paciente. Posterior al diagnóstico histopatológico se realizó una búsqueda intencionada y minuciosa de tumor extrahepático, que resultó sin evidencia de neoplasia.
El octreoscan es el estudio de imagen de mayor utilidad, ya que tiene una especificidad de 83% y una sensibilidad de hasta 90%,5,9,11,12 al igual que la tomografía con emisión de positrones (TEP), que se ha utilizado recientemente para el diagnóstico de TNE con una sensibilidad de hasta 93% y una especificidad de 100%.2,5,14 En el paciente las manifestaciones clínicas y los estudios de imagen apoyaron el diagnóstico de TNEPH, no obstante, hubiese sido de gran utilidad hacer un estudio más especializado como el PET o el octreoscan, debido a su sensibilidad y especificidad diagnóstica. No se emplearon por carecer de ellos en el hospital.
Para el diagnóstico de TNE el marcador serológico de laboratorio más específico es la determinación de cromogranina A, hasta en 84 a 95%, con una sensibilidad de 87 a 100%, sin dejar de lado la probabilidad de obtener falsos positivos en pacientes con falla hepática o renal, gastritis atrófica o con el uso prolongado de inhibidores de la bomba de protones.5 La determinación en suero de 5-hidroxitriptamina (5-HT) o de ácido 5-hidroxiindolacético (5-HIAA) en orina, metabolito activo de la serotonina, requiere que el TNEPH sea funcional, con una sensibilidad y especificidad menor que la cromogranina A, de 73 y 90%, respectivamente.3,5,11
El análisis histopatológico es el método más preciso para hacer el diagnóstico en cualquiera de sus localizaciones.5 Macroscópicamente el TNEPH tiene un tamaño que oscila entre 1 y 20 cm, con una media de 9 cm; se trata de una lesión bien delimitada, frecuentemente única, pero puede ser multicéntrica, de color amarillo, grisáceo, con múltiples áreas de hemorragia y ocasionalmente con degeneración quística.11,15 Microscópicamente se pueden observar células neoplásicas dispuestas en un patrón de crecimiento insular o en nidos, trabéculas, acinar o mixto, conformado por células poligonales, con cromatina granular y que son inmunorreactivas a marcadores de diferenciación neuroendócrina, como cromogranina, sinaptofisina y enolasa neuronal específica, indispensables para el diagnóstico.1,5,9,7,11,15,16
En 2010 la Organización Mundial de la Salud actualizó el sistema de clasificación de los TNE y los dispuso en tres categorías. Los grados 1 y 2 representan grados bajo e intermedio, respectivamente, mientras que los TNE de alto grado son denominados carcinomas neuroendócrinos, esto en función del índice mitósico y el índice de proliferación celular medido con Ki-67. El estadiaje de la neoplasia por el sistema TNM (tamaño, diseminación a ganglios linfáticos y metástasis) para los TNE incluye actualmente un sistema de estadificación para cada órgano (estómago, colon, intestino delgado, recto, ámpula de Váter), sin incluir los TNEPH.2,16,17
El tratamiento de elección es la resección quirúrgica (hepatectomía),5,9,11,12,13,15 con una supervivencia a cinco años de 74-80%;5,6,9,10 si la afectación es unilobar, se reporta una supervivencia de 88% a 10 años y si es multilobar, de 47%11 y una tasa de recurrencia de la enfermedad de 18%.5,7,9,10 Los TNEPH pueden causar metástasis extrahepáticas a hueso, ganglio linfático y pulmón, en un 60, 60 y 40%, respectivamente.11
La quimioterapia es otra alternativa en el tratamiento de los TNEPH. Es más adecuada para pacientes con neoplasias no resecables o con metástasis a distancia.10,11,13,16 La quimioembolización transarterial y el trasplante hepático siguen siendo tratamientos controversiales: algunos investigadores sugieren estas terapias para pacientes con lesiones múltiples, confinadas al hígado, irresecables o para pacientes con insuficiencia hepática.2,9,11,16
Aunque se excluya estrictamente un TNE de sitio primario extrahepático por los métodos antes mencionados o en los exámenes de seguimiento, la etiología tumoral de una proporción de pacientes con TNEPH será causada por un tumor primario no conocido que con el tiempo se hará evidente, por lo que se vuelve apremiante la necesidad de hacer seguimiento el máximo tiempo posible.10 Por lo anterior, se decidió la vigilancia del paciente al menos durante 10 años.
Conclusiones
Los TNEPH son extremadamente raros y representan 0.3 % de los tumores neuroendócrinos en el tracto gastrointestinal. Su diagnóstico sigue siendo un desafío, debido a que deben estar estricta y minuciosamente excluidos los tumores endócrinos primarios de sitios extrahepáticos y se debe contar con la confirmación histológica de una neoplasia con diferenciación neuroendócrina típica, con marcadores de inmunohistoquímica tales como cromogranina, sinaptofisina y enolasa neuronal específica. Aunque se excluya estrictamente un TNE extrahepático, algunos pacientes pueden presentar durante el seguimiento TNE localizados fuera del hígado; por eso es necesario hacer un seguimiento el máximo tiempo posible.
Agradecimientos
Agradecemos la colaboración del histotecnólogo Marco Antonio Aguilar Urbano, del Servicio de Anatomía Patológica de CMN Siglo XXI, por su apoyo con la realización de las tinciones de inmunohistoquímica.
Referencias
1. Alvarado-Cabrero I. Tumores neuroendócrinos del aparato gastrointestinal y el páncreas. Patologia Rev Latinoam. 2009;47(3):213-9.
2. Kellock T, Tuong B, Harris AC, Yoshida E . Diagnostic imaging of primary hepatic neuroendocrine tumors: A case and discussion of the literature. Case Reports in Radiology. Volume 2014, article ID 156491. doi: 10.155/2014/15649l Disponible en file:///Users/usuario/Downloads/156491.pdf
3. Lambrescu IM, Martin S, Cima L, Herlea V, Badiu C, Fica S. Primary hepatic neuroendocrine tumor after 4 years tumor-free follow-up. J Gastrointestin Liver Dis. 2015 Jun; 24(2):241-4. doi: 10.15403/jgld.2014.1121.242.yrs.
4. Gupta RK, Naran S, Lallu S, Fauck R. Fine needle aspiration diagnosis of neuroendocrine tumors in the liver. Pathology. 2000;32(1):16-20.
5. Yang K, Cheng YS, Yang JJ, Jiang X, Guo JX. Primary hepatic neuroendocrine tumor with multiple liver metastases: A case report with review of the literature. World J Gastroenterol. 2015;21(10):3132-8. doi: 10.3748/ wjg.v21.i10.3132.
6. Vargas-Martínez CC, Castaño-Llano R. Tumores neuroendócrinos gastroenteropancreáticos. Rev Col Gastroenterol. 2010;25(2):165-75. Disponible en http:// www.scielo.org.co/pdf/rcg/v25n2/v25n2a09.pdf
7. Acevedo LA, Manzo A, Chaparro M, Carreta M, Goyo Y. Tumor neuroendocrino en hígado. Experiencia de un caso. Rev Venez Oncol. 2013;25(4):272-6. Disponible en https://www.redalyc.org/pdf/3756/375634881009.pdf
8. Mita-Abán LC, Casco-Jarquín AM, Alvarez-Rodríguez R, Ramirez-Corrales JA. Tumor neuroendocrino primario del hígado. Histopatología e inmunohistoquímica de tres casos confirmados por autopsia. Acta Med Costar. 2003;45(3):113-6. Disponible en http://www.scielo.sa.cr/ scielo.php?script=sci_arttext&pid=S0001- 60022003000300005
9. Camargo ÉS, Viveiros Mde M, Corrêa Neto IJ, Robles L, Rezende MB. Primary hepatic carcinoid tumor: case report and literature review. Einstein (Sao Paulo). 2014; 12(4):505-8. doi: 10.1590/S1679-45082014RC2745.
10. Jia C, Zhang Y, Xu J, Sun K. Experience in primary hepatic neuroendocrine tumor. Turk J Gastroenterol. 2012;23(5): 546-51.
11. Quartey B. Primary Hepatic Neuroendocrine Tumor: What Do We Know Now? World J Oncol. 2011 Oct;2(5):209- 216. doi: 10.4021/wjon341w.
12. Mousavi SR, Ahadi M. Primary Neuroendocrine Tumor of Liver (Rare Tumor of Liver). Iran J Cancer Prev. 2015 Dec;8(6):e3144. doi: 10.17795/ijcp-3144.
13. Altamirano E, Pollono D, Drut R. Carcinoma neuroendocrino bien diferenciado (carcinoide) hepático primario. Rev Esp Patol. 2010;43(3):165-7. doi: 10.1016/j. patol.2010.06.002
14. Mitamura K, Yamamoto Y, Tanaka K, Sanomura T, Murota M, Nishiyama Y. (18)F-FDG PET/CT Imaging of Primary Hepatic Neuroendocrine Tumor. Asia Ocean J Nucl Med Biol. 2015;3(1):58-60.
15. Shetty PK, Baliga SV, Balaiah K, Gnana PS. Primary hepatic neuroendocrine tumor: an unusual cystic presentation. Indian J Pathol Microbiol. 2010;53(4):760-2. doi: 10.4103/0377-4929.72078.
16. Wang LM, An SL, Wu JX. Diagnosis and therapy of primary hepatic neuroendocrine carcinoma: clinical analysis of 10 cases. Asian Pac J Cancer Prev. 2014;15 (6):2541-6.
17. Jiaxin L, Hanzhi Z, Kefei C, Yong Z, Zheyu C. Primary hepatic neuroendocrine carcinoma: clinicopathologic analysis of surgical treatment of 12 cases from a single institutional experience. Int J Clin Exp Med. 2017;10(1): 1414-9.
Información adicional
Declaración de conflicto de interés: las autoras han
completado y enviado la forma traducida al español de la
declaración de conflictos de interés del Comité Internacional
de Editores de Revistas Médicas, y no fue reportado alguno
en relación con este artículo.
Cómo citar este artículo: Gamboa-Jiménez TI, Arreola-Rosales RL. Tumor neuroendócrino quístico primario de
hígado: reporte de un caso. Rev Med Inst Mex Seguro Soc.
2018;56(5):505-9.
Pubmed: https://www.ncbi.nlm.nih.gov/pubmed/?term=30777419
Enlace alternativo
http://revistamedica.imss.gob.mx/editorial/index.php/revista_medica/article/view/1537/3133 (pdf)
http://revistamedica.imss.gob.mx/editorial/index.php/revista_medica/article/view/1537/3159 (html)