Casos clínicos
Primer reporte de endocarditis infecciosa por Histoplasma capsulatum en México
First report of infectious endocarditis due to Histoplasma capsulatum in Mexico
Primer reporte de endocarditis infecciosa por Histoplasma capsulatum en México
Revista Médica del Instituto Mexicano del Seguro Social, vol. 57, núm. 3, pp. 181-186, 2019
Instituto Mexicano del Seguro Social
Recepción: 17 Abril 2018
Aprobación: 22 Mayo 2019
Resumen:
Introducción: la endocarditis infecciosa de etiología micótica es una patología poco frecuente, pero con elevada mortalidad. Los agentes implicados generalmente son oportunistas de los géneros Candida y Aspergillus; sin embargo, otros hongos también pueden ocasionar la enfermedad.
Caso clínico: se presenta el caso de una mujer quien cursó con fiebre intermitente de causa desconocida por varios meses y en la que, por medio de estudios de imagen, hemocultivo manual (después de lisis-centrifugación) y técnicas de biología molecular, se identificó Histoplasma capsulatum. El estudio histológico de las vegetaciones intracardiacas mostró abundantes levaduras e hifas.
Conclusión: este primer reporte de endocarditis infecciosa por H. capsulatum en México pone en evidencia la importancia de utilizar, además del hemocultivo manual (lisis-centrifugación) y el estudio histológico, métodos de diagnóstico más rápidos y sensibles, como la serología y la biología molecular, para confirmar o descartar una infección fúngica invasiva e identificar los agentes.
Palabras clave: Endocarditis, Histoplasma capsulatum, Diagnóstico, México.
Abstract:
Background: Infectious endocarditis of fungal origin is rare but of high mortality. The agents involved are mainly opportunists of the genus Candida and Aspergillus; however other fungi can also cause this disease.
Clinical case: The case of a woman who suffered unknown origin intermittent fever for several months; and in who, by blood culture (after lysis-centrifugation) and molecular biology techniques, Histoplasma capsulatum was identified as etiological agent. The histological study showed abundant intracellular yeasts and hyphae in intracardiac vegetations.
Conclusion: This first report of infectious endocarditis by H. capsulatum in Mexico highlights the importance of using in addition to manual blood culture (lysis-centrifugation) and histological study, faster and more sensitive diagnostic methods, such as serology and molecular biology, to confirm or rule out an invasive fungal infection and identify the agents.
Keywords: Endocarditis, Histoplasma capsulatum, Diagnosis, Mexico.
La endocarditis infecciosa (EI) es una patología grave e incluso mortal cuya incidencia se ha incrementado en los últimos años.1 Con frecuencia, la infección está asociada a cirugías de remplazo valvular. En México, la incidencia de esta enfermedad es de 1 a 6 casos por 100 000 habitantes, semejante a la de otras casuísticas de Europa y de Estados Unidos de América.2 Clínicamente, la sintomatología que presentan los pacientes es inespecífica e independiente de la etiología, e incluye: hipertermia, astenia, adinamia, ataque al estado general y soplos.3,4 En la mayoría de los casos de EI, la etiología es bacteriana, principalmente por Staphylococcus aureus, S. epidermidis o Streptococcus viridans.5 En relación con los hongos, los reportes hacen referencia principalmente a oportunistas como Candida albicans y Aspergillus spp.6,7 En las últimas décadas el número de agentes micóticos aislados de casos de EI se ha incrementado, incluyendo hongos filamentosos dimórficos como Histoplasma capsulatum, asociado en muchas ocasiones a remplazo valvular cardíaco.8
En México no hay casos publicados de endocarditis por H. capsulatum. La única mención de este agente aparece en un estudio retrospectivo sobre la etiología de EI, en donde se refirió un aislado de Histoplasma capsulatum, pero no se da ningún dato del cultivo ni se hace descripción del caso clínico.9
A continuación, se presenta el primer caso con descripción completa de EI en México, causado por Histoplasma capsulatum, diagnosticado por hemocultivo, realizado con la técnica de lisis-centrifugación10 y cuya etiología fue confirmada por reacción en cadena de la polimerasa (PCR) seguida de su secuenciación.
Caso clínico
Paciente de sexo femenino, de 60 años de edad, residente de la Ciudad de México. Ingresó al Hospital de Cardiología del Instituto Mexicano del Seguro Social en la Ciudad de México, en febrero de 2017, referida de otro nosocomio con diagnóstico de probable EI. La paciente presentó fiebre de origen desconocido, intermitente, de hasta 39.7 °C, acompañada de diaforesis y escalofríos de 24 meses de evolución, así como vegetaciones sobre la válvula aórtica demostradas por ecocardiografía. De acuerdo a los criterios de Duke,11 se concluyó que presentaba EI de etiología a determinar. Tenía como antecedentes de importancia: un índice tabáquico de 1.5 paquetes/año, alcoholismo ocasional sin llegar a la embriaguez y artritis reumatoide diagnosticada en 2012, tratada con cloroquina 150 mg/24 horas, prednisona 2.5 mg/24 horas y ciclosporina 100 mg/24 horas.
En el Hospital de Cardiología se realizaron los siguientes estudios: ecocardiografía transtorácica (ECOTT) y transesofágica (ECOTE), corroborando la existencia de dos vegetaciones en la válvula aórtica menores a 10 mm de diámetro; los estudios de centelleografía y gammagrafía demostraron la presencia de hepato-esplenomegalia. Los exámenes de laboratorio que incluyeron biometría hemática, química sanguínea, tiempos de coagulación, grupo sanguíneo, inmunología y hemocultivos, mostraron los siguientes resultados: anemia normocítica normocrómica que oscilaba entre 8 y 11.3 g/dL, trombocitopenia persistente (48 y 122 x 103/µL), leucopenia que fluctuaba entre 2 y 3.8 x 103/µL, prolongación del tiempo de protrombina entre 7 y 28.7 segundos, prolongación del tiempo parcial de tromboplastina entre 9 y 118.2 segundos, IgG anti-toxoplasma e IgG anti-citomegalovirus positivos. El resto de los estudios se encontraron dentro de rangos normales de referencia.
Se realizaron tres hemocultivos procesados mediante el sistema BacT/ALERT® 3D, los cuales no mostraron crecimiento microbiológico. A pesar de que los hemocultivos procesados por el método automatizado resultaron negativos y ante la sospecha clínica y de imagen de EI, de acuerdo con los criterios de tratamiento para vegetaciones intracardiacas (< 10 mm),12,13 la paciente fue manejada con ceftriaxona, vancomicina y amikacina durante 14 días.
En el ECOTT de control realizado a finales de febrero se observó que las vegetaciones habían aumentado su diámetro: una medía 14 x 8 mm y la otra 4 x 5 mm, por lo que en marzo de 2017 se le realizó vegectomía e implante valvular aórtico biológico. La paciente egresó del Hospital de Cardiología en abril del 2017, con tratamiento para artritis reumatoide, además, ácido acetil salicílico y metoprolol.
Durante su estancia intrahospitalaria, como parte de un protocolo de investigación, se realizó un hemocultivo manual por el método de lisis-centrifugación que, de acuerdo con publicaciones previas, incrementa el aislamiento de hongos.10 A partir del sedimento obtenido con esta técnica, se desarrolló una colonia blanca, filamentosa y algodonosa, cuyo examen directo con azul de algodón mostró filamentos hialinos septados, con células vesiculosas en cadenas, sin conidios (figura 1); en el examen microscópico del subcultivo se observaron las mismas estructuras.

Ante la ausencia de estructuras morfológicas que orientaran a su identificación, se recurrió a los procedimientos de biología molecular. El ADN fue extraído utilizando un kit comercial (ExgeneTM Plant SV, Gene All, Biotechnology CO, Korea), siguiendo las instrucciones del fabricante. Por PCR se amplificó la región ITS-D1D2, con los iniciadores ITS1 (5’-TCCGTAGGTGAACCTGCGG-3’) e ITS4 (5’-TCCTCCGCTTATTGATATGC-3’). La PCR fue realizada con 100 ng de ADN; temperatura de desnaturalización de 96 °C durante 5 minutos; 40 ciclos de 94 °C por 30 segundos, de 58 °C por 30 segundos y de 72 °C por 30 segundos; extensión final a 72 °C durante 5 minutos. El producto de amplificación fue de 620 pares de bases (pb) (figura 2), el cual fue purificado y secuenciado. La secuencia recibida fue comparada en la base de datos del Genebank, arrojando como resultado 100% de identidad con Histoplasma capsulatum (Sequence ID: KX646015.1). Es importante mencionar que el desarrollo fúngico del hemocultivo con la técnica de lisis-centrifugación ocurrió después del egreso de la paciente.

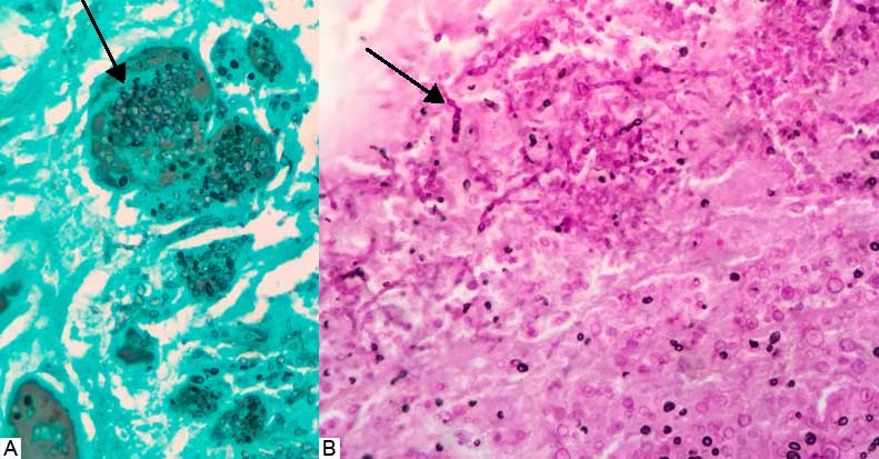
El estudio histopatológico de las vegetaciones, con las tinciones de PAS y Grocott, realizado por el Departamento de Anatomía Patológica del Hospital de Cardiología, mostró la presencia de dos tipos de estructuras micóticas: levaduras de 2 a 3 µm de diámetro y filamentos septados, tortuosos, de aproximadamente 5 µm de diámetro y longitud variable (figura 3). Ante la evidencia de una EI por H. capsulatum, la paciente recibió tratamiento con itraconazol, 300 mg/día. Hasta el momento, en las revisiones trimestrales no ha mostrado alteraciones que sugieran persistencia de la infección.

Discusión
En los reportes de EI de etiología micótica, los agentes implicados mundialmente son Candida spp. y Aspergillus spp., ambos con una frecuencia menor a 2%.4,9 En algunas ocasiones se han identificado otros géneros de hongos causantes principalmente de micosis sistémicas como Coccidioides, Cryptosporidium, Blastomycese Histoplasma.13En relación a este último agente, en un reporte de casos de 1965 a 1995, Ellis et al. refirieron 15 casos por este hongo de un total de 270 (6%). 14 En las dos últimas décadas la frecuencia de H. capsulatum asociado a EI se ha incrementado. En una revisión de casos registrados en PubMed publicados entre 2001 y 2018, se encontraron 28 reportes,15,16,17,18,19,20,21,22,23,24 lo que supera el número de casos encontrados durante tres décadas en la publicación de Ellis (cuadro I). Entre los datos recabados es notable que afecta principalmente a hombres (74%); los métodos diagnósticos más utilizados fueron el cultivo de las válvulas extirpadas (35.7%) y el hemocultivo automatizado (32.1%). A diferencia de la infección por Aspergillus, que muestra tropismo por el endotelio vascular, la sobrevida de los pacientes infectados por H. capsulatum fue elevada (87%); el tratamiento en los sobrevivientes fue una combinación de anfotericina B, itraconazol y cirugía para remplazar la válvula afectada.
| Año | Edad(años) | Sexo | Procedimiento para el diagnóstico | Tratamiento | Desenlace |
| 200115 | 63 | Masculino | Histología | AMB + cirugía | Vivo |
| 200116 | 58 | Masculino | Histología y Accu-Prob | No reportado | No reportado |
| 201017 | 59 | Femenino | Histología y cultivo | AMB, ITZ + cirugía | Vivo |
| 201118 | 78 | Masculino | Cultivo | AMB + cirugía | Vivo |
| 201319 | 58 | Femenino | Cultivo | AMB | Vivo |
| 201420 | 43 | Femenino | Serología | AMB, ITZ | Vivo |
| 201521 | 67 | Masculino | Histología | ITZ | Vivo |
| 201622 | 21 | Femenino | Histología | ITZ + cirugía | Vivo |
| 201723 | 56 | Masculino | Histología | IVZ | Vivo |
| 201824 | 68 | Masculino | Histología de trombo | AMB | Vivo |
Históricamente, el diagnóstico de la EI de cualquier etiología, además de los datos clínicos, se basa en estudios de imagen y hemocultivo. Sin embargo, como se observa en las técnicas diagnósticas referidas en el cuadro I, actualmente se dispone de técnicas serológicas, bioquímicas (como el AccuProbe) y moleculares, que sin duda incrementan el número de casos diagnosticados y disminuyen el tiempo para obtener el resultado.8
Una aportación de este caso es que la realización de un hemocultivo manual, después de un procedimiento de hemólisis seguida de centrifugación, posibilitó el aislamiento de un hongo que no fue detectado por el hemocultivo automatizado. Además, después de obtener un cultivo positivo por este procedimiento, la presencia de micelio estéril vesiculoso, incompatible con H. capsulatum, no fue suficiente para identificar al agente causal, por lo que fue necesario recurrir a la técnica de PCR-secuenciación para determinar el género y especie fúngicos.
Aunque la frecuencia de agentes micóticos es menor que la de bacterias, la EI de etiología fúngica, en general, causa la mayor mortalidad asociada al diagnóstico tardío, debido a factores como: sintomatología inespecífica, crecimiento lento de los hongos, uso de medios de cultivo no óptimos para el desarrollo fúngico y reporte negativo prematuro de hemocultivos, provocando que el tratamiento se inicie tardíamente.25,26
La frecuencia de agentes micóticos probablemente sea elevada, como lo demuestra el trabajo realizado por Rangel en 2017,27 quien obtuvo aislados fúngicos en cinco de 29 casos de endocarditis; además en ese mismo estudio, la autora detectó agentes micóticos poco habituales como Cladosporium sp y Dictyosporium sp.28,29
Conclusión
Este primer caso clínico de endocarditis infecciosa por H. capsulatum en México, demuestra la importancia de realizar, como parte del protocolo diagnóstico de dicha enfermedad, hemocultivos con la técnica de lisis-centrifugación, misma que permite aislar hongos de crecimiento lento e intracelulares, evidenciando la trascendencia de investigar localizaciones poco habituales de esta infección. Además del cultivo y el estudio histopatológico, es necesario realizar métodos diagnósticos más rápidos y sensibles, como la serología y la biología molecular, para confirmar o descartar una infección fúngica invasiva. De esta manera, será posible tomar mejores decisiones terapéuticas y oportunas en beneficio de los pacientes infectados por este hongo.
Referencias
1. Fernández-Hidalgo N, Almirante B. La endocarditis infecciosa en el siglo xxi: cambios epidemiológicos, terapéuticos y pronósticos. Enferm Infecc Microbiol Clin. 2012;30(7):394-406.
2. Rendón-Elías FG, Del Campo-Abadiano JA, Arrazolo-Ortega LS, Castro-Medina M, Hernández-Sánchez M, Anaya-Medina G, et al. Surgical management of infective endocarditis: 10 years experience. Medicina Universitaria. 2012;14(57):196-204.
3. Ozdemir AA, Oral TK, Varol A. Fungal endocarditis in an extremely low birth weight infant: case report. Arch Argent Pediatr. 2016;114(2):e117-120. DOI: 10.5546/aap.2016.eng.e117
4. Varghese GM, Sobel JD. Fungal endocarditis. Curr Infect Dis Rep. 2008;10(4):275-9.
5. Secretaría de Salud. Guía de práctica clínica. Diagnóstico y tratamiento de la endocarditis infecciosa. Centro Nacional de Excelencia Tecnológica en Salud: México; 2010.
6. Keynan Y, Rubinstein E. Fungal endocarditis. Curr Fungal Infect Rep. 2007;1:25-32. DOI: 10.1007/s12281-007-0005-8
7. Badiee P, Amirghofran AA, Ghazi-Nour M, Shafa M, Nemati MH. Incidence and outcome of documented fungal endocarditis. Int Cardiovasc Res J. 2014;8(4):152-5.
8. Riddell J, Kauffman CA, Smith JA, Assi M, Blue S, Buitrago MI, et al. Histoplasma capsulatumEndocarditis. Multicenter Case Series with Review of Current Diagnostic Techniques and Treatment. Medicine. 2014;93(5):186-193. DOI: 10.1097/MD.0000000000000034
9. Vega-Sánchez AE, Santaularia-Tomas M, Pérez-Román DI, Cortés-Telles A. Endocarditis infecciosa. Experiencia de 5 años en un tercer nivel de referencia en Yucatán, México. Rev Med Inst Mex Seguro Soc. 2016;54(4):434-8.
10. Santiago AR, Hernández B, Rodríguez M, Romero H. Comparación del método de hemocultivo convencional con el de lisis/centrifugación modificado para el diagnóstico de fungemias. Rev Iberoam Micol. 2004;21(4):198-201.
11. Fournier PE, Casalta JP, Habib G, Messana T, Raoult D. Modification of the diagnostic criteria proposed by the Duke Endocarditis Service to permit improved diagnosis of fever Q endocarditis. Am J Med. 1996;100(6):629-33. DOI: 10.1016/s0002-9343(96)00040-x
12. Habib G, Lancellotti P, Antunes MJ, Bongiorni MG, Casalta JP, Del Zotti F, et al. 2015 ESC Guidelines for the management of infective endocarditis. Eur Heart J. 2015;36(44):3075-3128. DOI: 10.1093/eurheartj/ehv319
13. Pasha AK, Lee JZ, Low SW, Desai H, Lee KS, Al-Mohajer M. Fungal Endocarditis: Update on Diagnosis and Management. Am J Med. 2016;129(10):1037-43. DOI: 10.1016/j.amjmed.2016.05.012
14. Ellis ME, Al-Abdely H, Sandridge A, Greer W, Ventura W. Fungal endocarditis: evidence in the world literature, 1965-1995. Clin Infec Dis. 2001;32(1):50-62. DOI: 10.1086/317550
15. Isotalo PA, Chan KL, Rubens F, Beanlands BS, Auclair F, Veinot JP. Prosthetic valve fungal endocarditis due to histoplasmosis. Can J Cardiol. 2001;17(3):297-303.
16. Chemaly RF, Tomford JW, Hall GS, Sholtis M, Chua JD, Procop GW. Rapid Diagnosis of Histoplasma capsulatum Endocarditis Using the AccuProbe on an Excised Valve. J Clin Microbiol 2001;39(7):2640-1. DOI: 10.1128/JCM.39.7.2640-2641.2001
17. Jinno S, Gripshover BM, Lemonovich TL, Anderson JM, Jacobs MR. Histoplasma capsulatum prosthetic valve endocarditis with negative fungal blood cultures and negative histoplasma antigen assay in an immunocompetent patient. J Clin Microbiol. 2010;48(12):4664-6. DOI:10.1128/JCM.01390-10
18. Head SJ, Dewey TM, Mack MJ. Fungal endocarditis after transfemoral aortic valve implantation. Catheterization and Cardiovascular Interventions. 2011;78(7):1017-9. DOI: 10.1002/ccd.23038
19. Lorchirachonkul N, Foongladda S, Ruangchira-Urai R, Chayakulkeeree M. Prosthetic valve endocarditis caused by Histoplasma capsulatum: the first case report in Thailand. J Med Assoc Thai. 2013;96(Supl 2):S262-5.
20. Hussain ST, Shrestha NK, Gordon SM, Houghtaling PL, Blackstone EH, Pettersson GB. Residual patient, anatomic, and surgical obstacles in treating active left-sided infective endocarditis. J Thor Cardiovasc Surg. 2014;148(3):981-8e. DOI: 10.1016/j.jtcvs.2014.06.019
21. Konik EA, Bremer M, Lin PT, Pislaru SV. Severe pulmonic valve regurgitation due to histoplasma endocarditis. Echo Res Pract. 2015;2(1):K21-4. DOI: 10.1530/ERP-14-0103
22. Salazar-Chamba DI. Tricuspid valve endocarditis by histoplasma in immunocompetent patient. Rev Mex Cardiol. 2016;27(3):130-2.
23. Wiley Z, Woodworth MH, Jacob JT, Lockhart SR, Rouphael NG, Gullett JC et al. Diagnostic Importance of Hyphae on Heart Valve Tissue in Histoplasma Endocarditis and Treatment With Isavuconazole. Open Forum Infect Dis 2017;4(4):ofx241. DOI: 10.1093/ofid/ofx241
24. Alzayer H, Winter J, Alshatti A, Nair V, Sheth T, Withlock RP, et al. Histoplasma Endocarditis Diagnosed by Thrombus Aspiration. Can J Cardiol. 2018;34(10):1370.e9-1370.e11. DOI: 10.1016/j.cjca.2018.07.417
25. Yuan SM. Fungal Endocarditis. Braz J Cardiovasc Surg. 2016;31(3):252-5.
26. Ferrera C, Vilacosta I, Fernández C, López J, Olmos C, Sarriá C, et al. Revaluación de la endocarditis con hemocultivos negativos: su perfil es similar al de la endocarditis con hemocultivos positivos. Rev Esp Cardiol. 2012;65(10):891-900. DOI: 10.1016/j.recesp.2012.04.004
27. Rangel-Delgado PM. Frecuencia de aislamiento de hongos y susceptibilidad antifúngica en muestras de sangre de pacientes con endocarditis. Tesis de Especialidad en Patología Clínica. Universidad Nacional Autónoma de México: México; 2017.
28. Bensch K, Groenewald JZ, Dijksterhuis J, Starink-Willemse M, Andersen B, Summerell BA, et al. Species and ecological diversity within the Cladosporium cladosporioides complex (Davidiellaceae, Capnodiales). Stud Mycol. 2010;67:1-94. DOI: 10.3114/sim.2010.67.01
29. Goh TK, Hyde KD, Ho WH, Yanna. A revision of the genus Dictyosporium, with descriptions of three new species. Fungal Diversity. 1999;2:65-100.
Información adicional
Declaración de conflicto de interés: los autores han completado y enviado la forma traducida al español de la declaración de conflictos potenciales de interés del Comité Internacional de Editores de Revistas Médicas, y no fue reportado alguno que tuviera relación con este artículo.
Cómo citar este artículo: Méndez-Tovar LJ, Rangel-Delgado PM, Hernández-Hernández F, Flores-García A, Galicia-Castelán G, Manzano-Gayosso P, Córdova Martínez E. Primer reporte de endocarditis infecciosa por Histoplasma capsulatum en México. Rev Med Inst Mex Seguro Soc. 2019;57(3):181-6
PubMed: https://www.ncbi.nlm.nih.gov/pubmed/?term=31995345
Enlace alternativo
http://revistamedica.imss.gob.mx/editorial/index.php/revista_medica/article/view/2383/3670 (pdf)