Casos clínicos
Linfoma de Burkitt hepatoesplénico quístico nodular, en paciente con VIH. Reporte de caso
Burkitt's lymphoma nodular cystic hepatosplenic, in HIV patient. Case report
Linfoma de Burkitt hepatoesplénico quístico nodular, en paciente con VIH. Reporte de caso
Revista Médica del Instituto Mexicano del Seguro Social, vol. 57, núm. 3, pp. 187-190, 2019
Instituto Mexicano del Seguro Social
Recepción: 01 Agosto 2019
Aprobación: 29 Octubre 2019
Resumen:
Introducción: los pacientes con virus de inmunodeficiencia humana (VIH) son más propensos a desarrollar cáncer. Los linfomas malignos son el principal grupo de cáncer que se observa en estos pacientes. El linfoma difuso de células grandes B, incluido el del sistema nervioso central y el linfoma de Burkitt, constituyen 90% de los linfomas no Hodgkin relacionados con VIH.
Caso clínico: hombre de 22 años de edad, con fiebre de hasta 39 °C, malestar general, cansancio excesivo y sudoración nocturna, pérdida de 8 kg de peso y dolor abdominal en hipocondrio derecho, 5 meses previos a su hospitalización. Se reportó hemoglobina de 9.5 g/dL, leucocitos 5.13 x 103/mm3, plaquetas 124 000 cel/mm3; albúmina 2.9 g/dL; alanino aminotransferasa 28 UI/L, aspartato aminotransferasa 105 UI/L; VIH reactivo, beta 2 microglobulina 20 000 ng/mL. Carga viral para VIH 100 034 cp/mL, CD4 76 cel/mcL (5%). El ultrasonido abdominal mostró quistes en hígado y bazo. La tomografía abdominopélvica reportó hepatoesplenomegalia, adenopatías retroperitoneales e inguinal y líquido libre en cavidad abdominal. Se realizó esplenectomía y en el estudio histopatológico se reportó Linfoma de Burkitt.
Conclusión: El VIH predispone a los pacientes a cualquier tipo de cáncer. Los hallazgos intraabdominales deben hacer sospechar de linfoma y se puede presentar desde infiltración del intestino delgado, órgano sólido y tejidos blandos.
Palabras clave: Linfoma de Burkitt, Linfoma Relacionado con SIDA, VIH.
Abstract:
Background: Patients with human immunodeficiency virus (HIV) are more likely to develop cancer. Malignant lymphomas are the main cancer group seen in these patients. Diffuse large B-cell lymphoma including central nervous system lymphoma and Burkitt's lymphoma account for 90% of HIV-related non-Hodgkin's lymphomas.
Clinical case: A 22-year-old man with fever up to 39 ° C, malaise, excessive tiredness and night sweats, loss of 8 kg of weight, abdominal pain in the right hypochondrium, all 5 months before hospitalization. Hemoglobin: 9.5 g/dL, leukocytes 5.13 x 103/mm3, platelets 124 000 cel/mm3; albumin 2.9 g/dL, alanine aminotransferase 28 IU/L, aspartate aminotransferase 105 IU/L; HIV reactive, beta 2 microglobulin: 20 000 ng/mL. Viral load for HIV 100 034 cp/mL, CD4: 76 cel/mcL (5%). It was performed abdominal ultrasound and denoted cysts in the liver and spleen. Abdominal-pelvic computed tomography with hepatosplenomegaly, retroperitoneal and inguinal adenopathies and free fluid in abdominal cavity. Splenectomy was performed and Burkitt's lymphoma was reported in the histopathological study.
Conclusion: HIV predisposes patients to any type of cancer. Intra-abdominal findings should be a warning of lymphoma suspicious and may occur from infiltration of the small intestine, solid organ and soft tissues
Keywords: Burkitt Lymphoma, Lymphoma, AIDS Related, HIV.
Los pacientes con virus de inmunodeficiencia humana (VIH) son más propensos a desarrollar cáncer,1 por ello es imprescindible tener en cuenta este tipo de diagnóstico. Los linfomas malignos son el principal grupo de cáncer que se observa en pacientes con VIH.2 El linfoma difuso de células grandes B, incluido el del sistema nervioso central y el linfoma de Burkitt, constituyen 90% de los linfomas no Hodgkin relacionados a VIH.2
Los mecanismos por los cuales el VIH contribuye a la génesis del linfoma involucran vigilancia inmunológica deteriorada, coinfección con virus oncogénicos, alteraciones genéticas y activación crónica de linfocitos B.3
El linfoma de Burkitt (LB) constituye 40% de los casos de los linfomas relacionados a VIH, y aproximadamente 30 a 40% de los casos están asociados a portadores del virus de Epstein-Barr de latencia tipo I.4 Existen 3 variantes clínico-epidemiológicas, las cuales pueden ser de tipo endémico, esporádico y asociado a inmunodeficiencia humana adquirida.5,6
Caso clínico
Paciente masculino de 22 años de edad, casado, obrero, sin ningún antecedente de importancia. Inició padecimiento actual 5 meses previos a su hospitalización, con fiebre sin predominio de horario de hasta 39 °C, malestar general, cansancio excesivo y sudoración nocturna, pérdida de 8 kg de peso, además de dolor abdominal en hipocondrio derecho. Se le realizó ultrasonografía abdominal, con reporte de quistes en hígado y bazo.
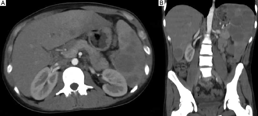
Al ingresar al servicio de Urgencias, el paciente presentaba fiebre de 39.3 °C, malestar general, cansancio, diarrea en escasa cantidad, sin moco y sin sangre, acompañada de dolor abdominal leve en cuadrante inferior izquierdo. Se documentó hemoglobina de 9.5 g/dL, leucocitos 5.13 x 103/mm3, plaquetas de 124 000 cel/mm3, globulinas 4.2 g/dL; creatinina 0.7 mg/dL, bilirrubina total 0.7 g/dL, albúmina 2.9, alanino aminotransferasa 28 UI/L, aspartato aminotransferasa 105 UI/L, fosfatasa alcalina 89 UI/L; cloro 97 mEq/L, potasio 4.5 mEq/L, sodio 139 mEq/L. La prueba de VIH resultó reactiva, así como los marcadores tumorales beta 2 microglobulina 20 000 ng/mL, alfafetoproteína 0.61 ng/mL y antígeno carcinoembrionario 0.99 ng/mL. Asimismo, se identificó una carga viral para VIH de 100 034 cp/m y de CD4 76 cel/mcL (5%). Se repitió el ultrasonido de abdomen, se describió enfermedad quística hepatoesplénica. Se realizó tomografía computarizada abdominopélvica, su reporte fue hepatoesplenomegalia, adenopatías retroperitoneales e inguinal y líquido libre en cavidad abdominal (figura 1). Se inició cobertura amplia con meropenem y vancomicina ante la sospecha de abscesos hepáticos y esplénicos.

Debido a la fuerte sospecha de tuberculosis, enfermedad fúngica diseminada y linfoma, se decidió realizar esplenectomía (figura 2) y biopsia de hígado.

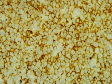
Los cultivos de tejido de hígado y de bazo fueron negativos para tuberculosis. Asimismo, las tinciones de Gram, Ziehl-Neelsen y la de hidróxico de potasio resultaron negativas. En el reporte de histopatología se refirió LB (figuras 3, 4 y 5).



El paciente fue enviado al servicio de Hematología en donde se inició quimioterapia, posterior al tercer ciclo presentó progresión de la enfermedad hacia el sistema nervioso central (SNC) y falleció.
Discusión
El LB se caracteriza por el rápido crecimiento del tumor, por la predilección extraganglionar de la enfermedad y la presentación abdominal que predomina en los subtipos no endémicos. Los hallazgos intraabdominales van desde infiltración del intestino delgado, órgano sólido y tejidos blandos, los cuales reflejan un amplio espectro de manifestaciones clínicas.5,6Los pacientes se presentan con aumento de volumen del abdomen, dolor, obstrucción intestinal o hemorragia de tubo digestivo.2También existe predilección por la médula ósea, con un comportamiento similar a la leucemia aguda e invasión a SNC.7,8 Frecuentemente, los pacientes se presentan en las etapas más avanzadas de la enfermedad, con síntomas B y con desgaste.
La presentación clínica del subtipo asociado a inmunodeficiencia humana adquirida involucra principalmente: íleon, ciego, nódulos linfáticos y médula ósea. En el SNC ocurren presentaciones variables, particularmente en estadios avanzados, el involucro es principalmente leptomeníngeo más que parenquimatoso.9
El involucro esplénico se puede presentar con una masa o con esplenomegalia. Es importante mencionar que la sola esplenomegalia no siempre equivale a infiltración maligna del linfoma.10 Las imágenes características incluyen un agradamiento difuso o lesiones únicas o multifocales que pueden ser heterogéneas, así como con necrosis central. Igualmente en el hígado puede haber lesiones parenquimatosas hipodensas únicas o múltiples, así como infiltración periportal.11
El virus de Epstein-Barr (VEB) es el más frecuentemente encontrado como infección persistente en el humano. Aproximadamente 95% de la población mundial es portador asintomático crónico de VEB. Esta infección latente y prolongada es el resultado de una interacción única entre VEB y los linfocitos B; específicamente los linfocitos B de memoria, los cuales son el reservorio de VEB en individuos sanos. La disrupción de este balance entre el virus y el sistema inmune resulta en una linfoproliferación de células B asociada a VEB.4,12
Morfológicamente, el LB en el VIH demuestra más variaciones en el tamaño y forma celular, con tendencia a morfología plasmocitoide con núcleo localizado excéntricamente y citoplasma anfofílico. Las células contienen regularmente un nucléolo central que remeda un inmunoblasto plasmocitoide. Las características inmunohistoquímicas típicamente expresan marcadores de células B tales como: CD20, CD19, CD22, así como CD10, BCL6 y CD87a, y son negativos para BCL2, CD5, CD23 y TdT.8,13
Virtualmente todos los casos de LB se deben a traslocación MYC, usualmente en el locus 8q24, ello permite la disregulación del gen MYC.9La supervivencia de estos pacientes ha sido analizada en algunos estudios. El estudio SEER (Surveillance, Epidemiology and End Results), incluyó a 3691 paciente con LB, con una media de edad de 43 años, reportó una supervivencia a 3 años de solo 56%.14 La supervivencia de los pacientes de entre 20 a 39 años diagnosticados entre 2002 a 2008 fue de 60% a 5 años. Notablemente, la mayoría de las muertes relacionadas al LB ocurrieron dentro del primer año del diagnóstico y el riesgo de muerte se correlacionó con la edad. El análisis de la incidencia acumulada mostró muerte a los 3 años de 37.4% para los pacientes de entre 20 a 39 años.15
Debido a la similitud molecular entre LB y la leucemia linfoblástica aguda (LLA), la mayoría de los pacientes con LB reciben quimioterapia para leucemia. El protocolo para LLA (grupo GMALL) demostró ser efectivo para los pacientes con LB VIH reactivos con una tasa de cura de 80% y supervivencia a 4 años de 72%. Sin embargo, también tiene efectos adversos severos, los cuales afectaron a 81 pacientes en total, 11% de los cuales fallecieron durante la inducción.16,17
Otras opciones de tratamiento incluyen regímenes como: CODOX-M/IVAC (ciclofosfamida, doxorrubicina, vincristina, metotexatem etopósido, ifosfamida, citarabina); HyperCVAD/HD-MTX (ciclofosfamida hiperfraccionada, vincristina, doxorrubicina, dexametasona más dosis altas de metotrexato. En combinación con rituximab, estos regímenes demostraron tasas de cura de entre 63 a 93%.18,19,20
Referencias
1. Rubinstein PG, Aboulafia DM, Zloza A. Malignancies in HIV/AIDS: from epidemiology to therapeutic challenges. AIDS. 2014;28(4):453-65. DOI: 10.1097/QAD.0000000000000071
2. Linke-Serinsöz E, Fend F, Quintanilla-Martinez L. Human immunodeficiency virus (HIV) and Epstein-Barr Virus (EBV) related lymphomas, pathology view point. Semin Diagn Pathol. 2017;34(4):352-63. DOI: 10.1053/j.semdp.2017.04.003
3. Dolcetti R, Gloghini A, Caruso A, Carbone A. A lymphomagenic role for HIV beyond immune suppression? Blood. 2016;127(11):1403-9. DOI: 10.1182/blood-2015-11-681411
4. Young LS, Rickinson AB. Epstein-Barr virus: 40 years on. Nat Rev Cancer. 2004;4(10):757-68.
5. Johnson KA, Tung K, Mead G, Sweetenham J. The imaging of Burkitt’s and Burkitt-like lymphoma. Clin Rad. 1998;53(11):835-41. DOI: 10.1016/s0009-9260(98)80196-7
6. Balthazar EJ, Noordhoorn M, Megibow AJ, Gordon RB. CT of small-bowel lymphoma in immunocompetent patients and patients with AIDS: comparison of findings .AJR Am J Roentgenol. 1997;168(3):675-80. DOI: 10.2214/ajr.168.3.9057513
7. Spina M, Tirelli U, Zagonel V, Gloghini A, Volpe R, Babare R, et al. Burkitt's lymphoma in adults with and without human immunodeficiency virus infection. A single institution clinicopathologic study of 75 patients. Cancer. 1998;82(4):766-74.
8. Davi F, Delecluse HJ, Guiet P, Gabarre J, Fayon A, Gentilhomme O, et al. Burkitt-like lymphomas in AIDS patients: characterization within a series of 103 human immunodeficiency virus associated non-Hodgkin's lymphomas. J Clin Oncol. 1998;16(12):3788-95.
9. Dunleavy K, Little RF, Wilson WH. Update on Burkitt Lymphoma. Hematol Oncol Clin North Am. 2016;30(6):1333-43. DOI: 10.1016/j.hoc.2016.07.009
10. Fishman EK, Kuhlman JE, Jones RJ. CT of lymphoma: spectrum of disease. Radiographics. 1991;11(4):647-69. DOI: 10.1148/radiographics.11.4.1887120
11. Harris AC, MacLean KA, Grunau GL, Chang SD, Martin N. Imaging Intra-abdominal Burkitt’s Lymphoma: From Discrete Bowel Wall Thickening to Diffuse Soft Tissue Infiltration. Cann Assoc Radiol J. 2017;68(3):286-92. DOI: 10.1016/j.carj.2016.08.007
12. Young LS, Yap LF, Murray PG. Epstein-Barr virus: more than 50 years old and still providing surprises. Nat Rev Cancer. 2016;16(12):789-802. DOI: 10.1038/nrc.2016.92
13. Carbone A, Gloghini A, Gaidano G, Cilia AM, Bassi P, Polito P, et al. Aids-related Burkitt’s-lymphoma. Morphologic and immunophenotypic study of biopsy specimens. Am J Clin Pathol. 1995;103(5):561-7. DOI: 10.1093/ajcp/103.5.561
14. Costa LJ, Xavier AC, Wahlquist AE, Hill EG. Trends in survival of patients with Burkitt lymphoma/leukemia in the USA: an analysis of 3691 cases. Blood. 2013;121(24):4861-6. DOI: 10.1182/blood-2012-12-475558
15. Castillo JJ, Winer ES, Olszewski AJ. Population-based prognostic factors for survival in patients with Burkitt lymphoma: an analysis from the Surveillance, Epidemiology, and End Results database. Cancer. 2013;119(20):3672-9. DOI: 10.1002/cncr.28264
16. Blum KA, Lozanski G, Byrd JC. Adult Burkitt leukemia and lymphoma. Blood. 2004;104(10):3009‐20. DOI: 10.1182/blood-2004-02-0405
17. Xicoy B, Ribera JM, Müller M, García O, Hoffmann C, Oriol A, et al. Dose-intensive chemotherapy including rituximab is highly effective but toxic in human immunodeficiency virus-infected patients with Burkitt lymphoma/leukemia: parallel study of 81 patients. Leuk Lymphoma. 2014;55(10):2341‐8.
18. Cortes J, Thomas D, Rios A, Koller C, O´Brien S, Jeha S, et al. Hyperfractionated cyclophosphamide, vincristine, doxorubicin, and dexamethasone and highly active antiretroviral therapy for patients with acquired immunodeficiency syndrome-related Burkitt lymphoma/leukemia. Cancer. 2002;94(5):1492‐9. DOI: 10.1002/cncr.10365
19. Wang ES, Straus DJ, Teruya-Feldstein J, Qin J, Portlock C, Moskowitz C, et al. Intensive chemotherapy with cyclophosphamide, doxorubicin, high-dose methotrexate/ ifosfamide, etoposide, and high-dose cytarabine (CODOX-M/IVAC) for human immunodeficiency virus-associated Burkitt lymphoma. Cancer. 2003;98(6):1196‐205. DOI: 10.1002/cncr.11628
20. Barnes JA, Lacasce AS, Feng Y, Toomey CE, Neuberg D, Michaelson JS, et al. Evaluation of the addition of rituximab to CODOX-M/IVAC for Burkitt’s lymphoma: a retrospective analysis. Ann Oncol. 2011;22(8):1859‐64. DOI: 10.1093/annonc/mdq677
Información adicional
Declaración de conflicto de interés: los autores han completado y enviado la forma traducida al español de la declaración de conflictos potenciales de interés del Comité Internacional de Editores de Revistas Médicas, y no fue reportado alguno que tuviera relación con este artículo.
Cómo citar este artículo: De la Cruz-Hernández I, Mejía-Martínez JC, Soberanes-Cerino CJ, Mejía-Picasso CA. Linfoma de Burkitt hepatoesplénico quístico nodular, en paciente con VIH. Reporte de caso. Rev Med Inst Mex Seguro Soc. 2019;57(3):187-90
PubMed: https://www.ncbi.nlm.nih.gov/pubmed/?term=31995346
Enlace alternativo
http://revistamedica.imss.gob.mx/editorial/index.php/revista_medica/article/view/3420/3676 (pdf)