Caso clínico
Endometriosis intestinal: ¿un reto diagnóstico para el médico internista?
Intestinal endometriosis: a diagnostic challenge for the internist?
Endometriosis intestinal: ¿un reto diagnóstico para el médico internista?
Revista Médica del Instituto Mexicano del Seguro Social, vol. 59, núm. 1, pp. 81-86, 2021
Instituto Mexicano del Seguro Social
Recepción: 22 Mayo 2020
Aprobación: 21 Agosto 2020
Resumen:
Introducción: Dentro del gran abanico de competencias características del médico clínico se encuentra el abordaje diagnóstico del síndrome doloroso abdominal. Es bien sabido que el médico no diagnostica lo que no conoce. Considerada como una gran simuladora en la patología abdominal, la endometriosis intestinal es una causa de dolor abdominal poco frecuente, pero potencialmente mortal, siendo necesario un abordaje diagnóstico detallado.
Caso clínico: Presentamos el caso de una mujer de 33 años evaluada por un cuadro de obstrucción intestinal, en primera instancia asociada a un probable tumor abdominal, concluyendo posteriormente el diagnóstico definitivo de endometriosis intestinal.
Conclusiones: Si bien la endometriosis es una patología frecuente, la localización y la presentación clínica de este caso no lo son. Sin embargo, la falta de información de esta, al igual que de cualquier otra patología, puede retrasar el diagnóstico o conllevar el riesgo de ofrecer tratamientos no adecuados por un diagnóstico incorrecto. He aquí la importancia de su conocimiento y difusión entre médicos de primer contacto, así como entre especialistas clínicos y quirúrgicos.
Palabras clave: Endometriosis, Enfermedades Intestinales, Dolor Abdominal.
Abstract:
Background: Within the wide variety of clinical skills distinctive of the internist the diagnostic approach of abdominal pain is paramount in everyday clinical practice. It is well known that no physician can diagnose what they don’t know: classically considered as one of the ‘‘great simulators’’, intestinal endometriosis is a rare yet potentially fatal cause of abdominal pain if misdiagnosed, thus requiring a comprehensive medical evaluation.
Case report: We present the case of a 33-year-old woman evaluated for a bowel obstruction, in the first instance associated with a probable abdominal tumor, subsequently concluding the definitive diagnosis of intestinal endometriosis.
Conclusions: Although endometriosis is a frequent pathology, the location and clinical presentation presented in this case is not. However, the lack of information on this, like any other pathology, can delay the diagnosis or carry the risk of offering inappropriate treatments for an incorrect diagnosis. This is the importance of its knowledge and dissemination among first-contact doctors as well as clinical and surgical specialists.
Keywords: Endometriosis, Intestinal Diseases, Abdominal Pain.
Introducción
La endometriosis se define como la presencia de glándulas endometriales y tejido estromal fuera del útero; este tejido ectópico produce un proceso inflamatorio crónico dependiente de estrógenos. Afecta al 5-10% de las mujeres en edad reproductiva y hasta el 15% de las premenopáusicas, con una importante predisposición genética.1, 2
La endometriosis fue descrita por primera vez por Rokitansky en 1860, y el primer caso de endometriosis intestinal fue descrito por Meyer en 1922. De los sitios de afección extragenitales, el gastrointestinal es el más frecuente (3-37% de los casos) y puede presentarse en cualquier parte del mismo, siendo lo más frecuente la unión rectosigmoidea (70-93%), seguida del tabique rectovaginal (12%), el apéndice (3%), el ciego (2%) y la región ileocecal (1-7%), y de forma menos frecuente en otros segmentos del colon o del intestino delgado. De acuerdo con la literatura, solo el 1% de las pacientes serán candidatas a resección intestinal, siendo poco frecuente (0.9%) la forma profunda con compromiso del espesor total de la pared intestinal, ya que no suelen encontrarse implantes mayores de 2 cm.2,3
De acuerdo con Sampson,3 el contenido menstrual con fragmentos de endometrio pasa por las trompas uterinas y alcanza la cavidad peritoneal, debiéndose así presentar una alteración inmunitaria que permita la implantación de dicho tejido y su crecimiento, infiltración y posterior desarrollo.3
El fundamento se explica por la migración del tejido endometrial con invasión, implantación, proliferación y expansión, con involucro total del espesor de la pared intestinal. Pequeños defectos parietales permiten el contacto de estas células con la matriz submesotelial por la acción de moléculas de adhesión y proteólisis de la matriz extracelular, y por la intervención de metaloproteasas. Clásicamente se describen tres tipos de lesiones en la endometriosis: roja, negra y blanca.4
El factor de crecimiento endotelial vascular favorece la proliferación de vasos y una menor apoptosis del tejido endometrial, contribuyendo a la diseminación y la implantación del tejido endometrial en la cavidad peritoneal y produciendo la lesión roja. La lesión negra se origina cuando la lesión roja sangra y es cubierta por hemosiderina. Finalmente, la lesión blanca aparece por el proceso de fibrosis y cicatrización de la lesión inicial.5
El problema con esta patología es que, al ser considerada una gran simuladora de otros procesos intestinales, amerita un abordaje diagnóstico de diversas condiciones clínicas, incluyendo enfermedad inflamatoria intestinal y procesos neoplásicos.6
Con frecuencia se manifiesta con obstrucción intestinal, aunque también puede presentarse con ascitis hemorrágica, perforación intestinal, hipoalbuminemia e incluso apendicitis. El inicio de la enfermedad es insidioso, sin evidencia de patología orgánica y por tanto fácilmente confundible con patología funcional de colon.7
Describimos el caso de una paciente de 33 años con diagnóstico de endometriosis intestinal que tuvo como manifestación inicial pérdida de peso y episodios de obstrucción intestinal.
Caso clínico
La paciente inicia con pérdida de peso no intencionada y distensión abdominal intermitente, previamente remitida de forma espontánea. Dos meses posteriores al inicio del cuadro clínico se agregan nauseas, vómito de tipo biliar, hiporexia e intolerancia a la vía oral. Acude en múltiples ocasiones a valoraciones médicas y es tratada con analgésicos y antibioticoterapia no especificada de forma ambulatoria. Posteriormente presenta fiebre no cuantificada, sin predominio de horario, que cede de manera espontánea, y se agrega dolor abdominal de tipo cólico en la región del hipogastrio y la fosa ilíaca izquierda, con posterior generalización, de intensidad 9/10 en la escala visual analógica. Presenta hematoquecia en dos ocasiones, por lo que acude a valoración médica a nuestra institución.
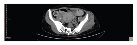
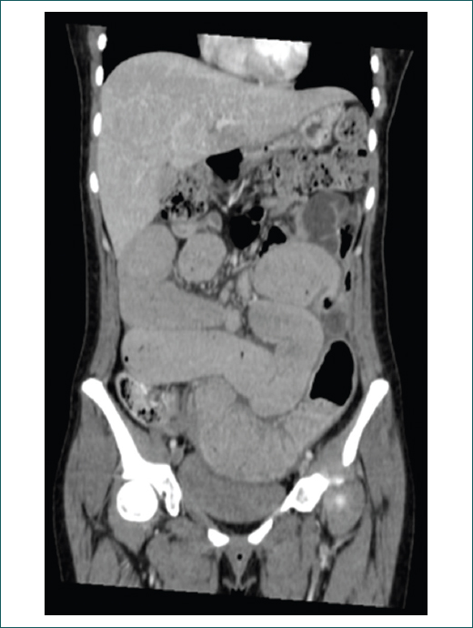
Como parte del protocolo diagnóstico se realiza una tomografía abdominal que reporta probable apendicitis complicada; valorada por el servicio de cirugía general, se descarta la presencia de patología apendicular. Por el antecedente de pérdida de peso cuantificada de 18 kg en 3 meses, ingresa al servicio de medicina interna para inicio de protocolo de estudio, en donde se evidencia en los estudios iniciales anemia normocítica normocrómica, así como trombocitosis. Se realiza radiografía de abdomen simple y en decúbito, que muestra una importante dilatación de asas intestinales a expensas del yeyuno y el íleon. La tomografía de abdomen en fase simple y contrastada muestra una imagen compatible con una zona de estenosis a nivel del íleon distal, a 7 cm de la válvula ileocecal, que de forma secundaria condiciona un proceso pseudooclusivo, además de compresión y desplazamiento de estructuras pélvicas (útero, vejiga y sigmoides) (Figs. 1 y 2).


Por persistencia de la hematoquecia se realiza una colonoscopia, que reporta compresión extrínseca de sigmoides de origen por determinar y granulaciones blanquecinas probablemente secundarias a una lesión infiltrativa. Los marcadores tumorales están dentro de los parámetros normales y los anticuerpos frente a Saccharomyces cerevisiae son negativos. Se realiza un ultrasonido pélvico que reporta miomatosis de pequeños elementos y poliquistosis ovárica.
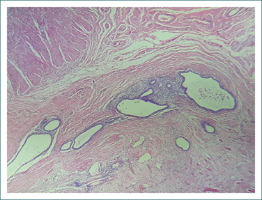
Por persistencia del dolor abdominal intenso y ante la evidencia clínica de obstrucción intestinal, es revalorada por el servicio de cirugía general y se le realiza laparotomía exploradora, con hallazgo de un tumor a nivel del íleon terminal y la válvula ileocecal de 3 × 4 cm, condicionando estenosis a dicho nivel, dilatación de íleon distal, ganglios mesentéricos ahulados e implantes de apariencia endometriósica en los últimos 100 cm de intestino delgado, ameritando resección intestinal con hemicolectomía derecha e ileostomía terminal. Se envía la muestra obtenida a patología, que reporta endometriosis activa intestinal intramural, subserosa y en tejido adiposo pericolónico con hiperplasia de tejido linfoide (Figs. 3 y 4).


Discusión
La endometriosis intestinal se conoce como «la gran simuladora» dentro de las causas de dolor abdominal. En la localización extragenital, el involucro del intestino es el más frecuente, con alrededor del 3% de todos los casos2-4. Habitualmente las manifestaciones clínicas se asocian con alteraciones menstruales, como dismenorrea, dispareunia, dolor abdominal hipogástrico, náusea, vómito y diarrea. La oclusión intestinal secundaria es una manifestación poco frecuente, aunque se presenta en casos con importante compromiso intestinal.8, 9
Esta paciente presentó una evolución insidiosa, cursando con un cuadro clínico compatible con múltiples episodios de obstrucción intestinal, el cual, de acuerdo con la literatura, no es sine qua non de esta patología, aunque se refiere que debe ser considerada como parte de los diagnósticos diferenciales.10
Las complicaciones abdominales con indicación quirúrgica ocurren con mayor frecuencia en el recto y el colon sigmoides, presentándose como hemorragia digestiva baja, constipación crónica, obstrucción intestinal y dolor crónico refractario al tratamiento médico.11
Dentro de las causas de obstrucción del intestino delgado se encuentran estenosis del segmento afectado (como en el caso de esta paciente), intususcepción y vólvulo de un asa secundario a adherencias, siendo mucho más rara la perforación intestinal como complicación.12
Es necesaria una alta sospecha clínica para su diagnóstico prequirúrgico, ya que habitualmente se diagnostica de forma transoperatoria y tras la confirmación histopatológica. El uso de la ultrasonografía endovaginal permite realizar el diagnóstico de endometriosis con una sensibilidad del 91% y una especificidad del 98%, en general con el hallazgo de una tumoración espiculada, hiperecoica y heterogénea. Puede realizarse un enema baritado para evaluar la extensión, la compresión y el grado de estenosis intestinal presentes. Dentro de los métodos diagnósticos, la resonancia magnética ofrece más especificidad y sensibilidad que la tomografía computada, hasta un 90% con hallazgo de hiperintensidad en la secuencia T1, y se reportan como datos indirectos de presencia de foco hemorrágico endometriósico, o bien como imagen de nódulo hipointenso en la secuencia T2.13, 14, 15
Se han utilizado otros métodos diagnósticos novedosos, como la ultrasonografía transvaginal tridimensional con contraste hídrico rectal y la colonografía tomográfica computada si se sospecha compromiso rectosigmoideo.16
Como ocurrió en nuestra paciente, la cirugía laparoscópica es el estándar para el diagnóstico, permitiendo la confirmación y la toma de muestras para estudio histopatológico con el fin de precisar el grado y la extensión de la enfermedad.17
Ante la sospecha de afección colorrectal, la prueba principal es la fibrocolonoscopia, que habitualmente encontrará un proceso extrínseco y raramente de la mucosa; debe considerarse la toma de biopsia como parte de la evaluación integral por la posibilidad de encontrarnos ante otra patología. El diagnóstico suele realizarse durante la cirugía, aunque requiere un elevado índice de sospecha clínica, obligando a la realización de laparotomías exploradoras diagnósticas con toma de biopsia mural intestinal e incluso resecciones intestinales amplias.18
Los cambios histopatológicos generados son en un inicio inflamatorios, con fase reparativa y fibrosa en su etapa terminal.13 De acuerdo con los estudios publicados, existe una estrecha relación entre el grado de endometriosis y la afección perineural o endoneural. Las características patognomónicas de este tipo de lesión son el epitelio endometrial y glándulas o estroma del endometrio con o sin presencia de hemorragia, siendo este el caso en nuestra paciente. Se encuentra relacionada la aparición de carcinomas endometrioides, y raramente la transformación sarcomatosa.9, 13
El tratamiento médico se basa en la supresión hormonal para producir la involución de los implantes endometriósicos; sin embargo, muchas pacientes requerirán cirugía.19, 20, 21
El tratamiento quirúrgico dependerá de la localización, del grado de penetración parietal y del contexto clínico, considerándose tres líneas de acción con el objetivo de controlar los síntomas, el riesgo de recurrencia (4.7-25%) y la fertilidad (24-57%).10
Si bien el abordaje laparoscópico es el preferido de forma electiva,22 este no siempre es posible en casos de presentación con abdomen agudo; en estas circunstancias, la laparotomía con exéresis local y resección intestinal por compromiso endoluminal es el tratamiento de elección.10, 23
De acuerdo con la literatura, cuando existe involucro de más del 50% del espesor, o bien si la lesión se encuentra adyacente a la válvula ileocecal, está indicada la resección de un segmento intestinal. La resección intestinal solo es necesaria en el 1% de los casos; sin embargo, esto va relacionado con la poca cantidad de pacientes en las series de casos publicadas.24, 25
En conclusión, si bien la endometriosis es una afección frecuente, la localización y la presentación clínica presentadas en este caso no lo son. Sin embargo, el desconocimiento de esta, al igual que de cualquier otra patología, puede retrasar el diagnóstico o conllevar el riesgo de ofrecer tratamientos inadecuados por un diagnóstico no certero. He aquí la importancia de su conocimiento y difusión entre médicos de primer contacto, así como entre especialistas clínicos y quirúrgicos.
Responsabilidades éticas
Protección de personas y animales. Los autores declaran que para esta investigación no se han realizado experimentos en seres humanos ni en animales.
Confidencialidad de los datos. Los autores declaran que han seguido los protocolos de su centro de trabajo sobre la publicación de datos de pacientes.
Derecho a la privacidad y consentimiento informado. Los autores han obtenido el consentimiento informado de los pacientes y/o sujetos referidos en el artículo. Este documento obra en poder del autor de correspondencia.
Referencias
1. López-CorvaláJA, Castro JJM, Guzmán-Cordero F, Fernández-Robles JP, Wimber-Arellano M. Obstrucción intestinal por endometriosis. Acta Med Grupo Ángeles. 2016;14(4): 248-50.
2. BIanchi A, Pulido L, Espín F, Hidalgo LA, Heredia A, Fantova MJ, et al. Endometriosis intestinal: estado actual. Cir Esp. 2007;81(4): 170-6. doi: 10.1016/S0009-739X(07)71296-4
3. Meza Flores JL, Ruiz Yaya K, Ramírez Anglas FL, Yabar Berrocal A. Endometriosis del íleon como causa de obstrucción intestinal. Rev Gastroenterol Perú;2012;32(4): 405-10.
4. Brosens I, Puttemans P, Benagiano G. Endometriosis: a life cycle approach? Am J Obstet Gynecol. 2013;209(4): 307-16. doi: 10.1016/j.ajog.2013.03.009
5. Ferrero A, Pinedo A, Férnández-Corona A, Salas JS, Hernández-Rodríguez JL. Endometriosis extragenital. Clin Invest Gin Obst. 2007;34(1): 6-10. doi: 10.1016/S0210-573X(07)74464-7
6. Ulett NM. Actualización en los puntos clave de la endometriosis. Revista Médica Sinergia. 2019;4(5): 35-43. doi: 10.31434/rms.v4i5.191
7. Alimi Y, Iwanaga J, Loukas M, Tubbs RS. The clinical anatomy of endometriosis: a review. Cureus. 2018;10(9): e3361. doi: 10.7759/cureus.3361
8. BuldanlıMZ, Özemir iA, Yener O, Dolek Y. A rare case of acute mechanical intestinal obstruction: colonic endometriosis. Ulus Travma Acil Cerrahi Derg. 2020;26(1): 148-51. doi: 10.5505/tjtes.2018.62705
9. Fernández-de la Varga M, Béjar-Serrano S, Del Pozo-Del Valle P. Endometriosis infiltrativa profunda, una causa atípica de oclusión intestinal. Gastroenterol Hepatol. 2020;43(5): 262-3. doi: 10.1016/j.gastrohep.2019.10.003
10. Wolthuis AM, Meuleman C, Tomassetti C, D'Hoore A, van Overstraeten AB, D'Hoore A. Bowel endometriosis: colorectal surgeon's perspective in a multidisciplinary surgical team. World J Gastroenterol. 2014;20(42): 15616-23. doi: 10.3748/wjg.v20.i42.15616
11. Nezhat C, Li A, Falik R, Copeland D, Razavi G, Shakib A, et al. Bowel endometriosis: diagnosis and management. Am J Obstet Gynecol. 2018;218(6): 549-62. doi: 10.1016/j.ajog.2017.09.023
12. Young S, Burns MK, DiFrancesco L, Nezhat A, Nezhat C. Diagnostic and treatment guidelines for gastrointestinal and genitourinary endometriosis. J Turk Ger Gynecol Assoc. 2017;18(4): 200-9. doi: 10.4274/jtgga.2017.0143
13. Aguirre J, Medina C, Gaete D, Schiappacasse G, Soffia P. MR imaging of endometriosis: a pictorial review. Rev Chil Radiol. 2012;18(4): 149-56.
14. Chamié LP, Ribeiro DMFR, Tiferes DA, Macedo Neto AC, Serafini PC. Atypical sites of deeply infiltrative endometriosis: clinical characteristics and imaging findings. Radiographics. 2018;38(1): 309-28. doi: 10.1148/rg.2018170093
15. Menni K, Facchetti L, Cabassa P. Extragenital endometriosis: assessment with MR imaging. A pictorial review. Br J Radiol. 2016;89(1060): 3-23. doi: 10.1259/bjr.20150672
16. Barra F, Biscaldi E, Scala C, Lagana AS, Gaetano Vellone V, Stabilini C, et al. A prospective study comparing three-dimensional rectal water contrast transvaginal ultrasonography and computed tomographic colonography in the diagnosis of rectosigmoid endometriosis. Diagnostics (Basel). 2020;10(4): 252. doi: 10.3390/diagnostics10040252
17. Koutoukos I, Langebrekke A, Young V, Qvigstad E. Imaging of endometriosis with computerized tomography colonography. Fertil Steril. 2011;95(1): 259-60. doi: 10.1016/j.fertnstert.2010.09.004
18. Barra F, Scala C, Leone Roberti Maggiore U, Ferrero S. Long-term administration of dienogest for the treatment of pain and intestinal symptoms in patients with rectosigmoid endometriosis. J Clin Med. 2020;9(1): 154. doi: 10.3390/jcm9010154
19. Mosquera-Kingler G, Quintana H, Hani A. Obstrucción intestinal ileal por endometriosis. Acta Med Colomb. 2014;39(3): 283-7.
20. Wee-Stekly WW, Yng CC, Min B. Endometriosis: a review of the diagnosis and pain management. Gynecology and Minimally Invasive Therapy. 2015;4(4): 106-9. doi: 10.1016/j.gmit.2015.06.005
21. Dunselman GAJ, Vermeulen N, Becker C, Calhaz-Jorge C, D'Hooghe T, De Bie B, et al. ESHRE guideline: management of women with endometriosis. Hum Reprod. 2014;29(3): 400-12. doi: 10.1093/humrep/det457
22. Kondo H, Hirano Y, Ishii T, Hara K, Obara N, Wang L, et al. Intestinal endometriosis treated by laparoscopic surgery: case series of 5 patients. Surg Case Rep. 2020;6(1): 49. doi: 10.1186/s40792-020-00811-2
23. Charatsi D, Koukoura O, Gkorezi Ntavela I, Chintziou F, Gkorila G, Tsagkoulis M, et al. Gastrointestinal and urinary tract endometriosis: a review on the commonest locations of extrapelvic endometriosis. Adv Med. 2018;2018: 3461209. doi: 10.1155/2018/3461209
24. Nezhat C, Li A, Falik R, Copeland D, Razavi G, Shakib A, et al. Bowel endometriosis: diagnosis and management. Am J Obstet Gynecol. 2018;218(6): 549-62. doi: 10.1016/j.ajog.2017.09.023
25. Hwang H, Chung YJ, Lee SR, Pak HT, Song JY, Kim H, et al. Clinical evaluation and management of endometriosis: guideline for Korean patients from Korean Society of Endometriosis. Obstet Gynecol Sci. 2018;61(5):553-64. doi:10.5468/ogs.2018.61.5.553
Información adicional
Conflicto de intereses: Los autores han completado y enviado la forma traducida al español de la declaración de conflicto potencial de intereses del Comité Internacional de Editores de Revistas Médicas, y no fue reportado ninguno relacionado con este artículo.
Cómo citar este artículo: Olvera-Acevedo A, Cervantes-Bojalil J, Márquez-Vargas MG, Sánchez-Claudio M. Endometriosis intestinal: ¿un reto diagnóstico para el médico internista? Rev Med Inst Mex Seguro Soc. 2021; 59(1):81-86.
PubMed: https://pubmed.ncbi.nlm.nih.gov/33667047