Caso clínico
Diagnóstico histológico de estrongiloidiasis en la Unidad Médica de Alta Especialidad de Puebla
Histological diagnosis of strongyloidiasis in the Medical Unit of High Specialty of Puebla
Diagnóstico histológico de estrongiloidiasis en la Unidad Médica de Alta Especialidad de Puebla
Revista Médica del Instituto Mexicano del Seguro Social, vol. 59, núm. 1, pp. 87-94, 2021
Instituto Mexicano del Seguro Social
Recepción: 11 Junio 2020
Aprobación: 21 Septiembre 2020
Resumen:
Introducción:Strongyloides stercolaris es uno de los nematodos intestinales de mayor importancia debido a su distribución mundial. Se estima que afecta a 50-100 millones de personas en 70 países del mundo. En un amplio porcentaje de los casos cursa de forma asintomática, pero los individuos con inmunosupresión pueden presentar cuadros más graves. El ciclo de vida de este parásito comprende dos fases: una como organismo de vida libre y otra como parásito. El objetivo del presente reporte de caso es describir los hallazgos histológicos compatibles con esta parasitosis y la importancia de reconocerlos con la finalidad de proporcionar un tratamiento adecuado y oportuno.
Caso clínico: Varón de 37 años que inicia su padecimiento en diciembre de 2018, con un cuadro respiratorio agudo que se presenta posterior a un evento diarreico. Debido a la evolución que presentó inicialmente, se realizó el diagnóstico presuntivo de enfermedad de Crohn y fue tratado con prednisona, sin mostrar mejoría. Durante el seguimiento se realizaron, entre otras, biopsias de estómago y de duodeno, que permitieron la detección de S. stercolaris y fue manejado con ivermectina.
Conclusiones: El caso presentado concuerda con lo referido en la literatura consultada, pues demuestra el amplio espectro de manifestaciones clínicas, la relación con estados de inmunosupresión y lo frecuente que es realizar un diagnóstico erróneo de primera instancia. Así mismo, ejemplifica la dificultad que implica el realizar el diagnóstico de una parasitosis mediante el estudio histológico, debido a las particularidades del propio parásito, así como por la poca familiaridad que puede tener el patólogo quirúrgico debido a lo inusual que es esta patología fuera de ambientes tropicales.
Palabras clave: Strongyloides stercoralis, Estrongiloidiasis, Parásitos.
Abstract:
Background:Strongyloides stercolaris is one of the most important intestinal nematodes due to its worldwide distribution. It’s estimated that it affects 50 to 100 million people in 70 countries of the world. In a large percentage of cases it is asymptomatic, however, patients with immunosuppression may present more serious symptoms. The life cycle of this parasite comprises two phases: one as a free-living organism and the other as a parasite. The objective of this case report is to describe the histological findings compatible with this parasitosis and the importance of recognizing them in order to provide adequate and timely treatment.
Case report: This is a 37-year-old male patient who began his condition in December 2018, with an acute respiratory condition that occurs after a diarrheal event. Due to the initial evolution, the presumptive diagnosis of Crohn’s disease was made, treated with prednisone without showing improvement. During follow-up, stomach and duodenal biopsies were performed, among others, which allowed the detection of S. stercolaris, which was managed with ivermectin.
Conclusions: The case presented agrees with what is referred to in the consulted literature, as it demonstrates the wide spectrum of clinical manifestations, the relationship with immunosuppression states and how frequent it is to make a first-instance erroneous diagnosis. Likewise, it exemplifies the difficulty involved in making the diagnosis of a parasitosis through histological study, due to the particularities of the parasite itself, as well as the little familiarity that the surgical pathologist may have due to how unusual this pathology is outside of tropical environments.
Keywords: Strongyloides stercoralis, Strongyloidiasis, Parasites.
Introducción
Strongyloides stercolaris es uno de los nematodos intestinales de mayor importancia debido a su distribución mundial, especialmente en África subsahariana, Sureste asiático, Latinoamérica, algunas regiones del sur de los Estados Unidos de Norteamérica, y ciertas zonas de Europa, en particular España e Italia.1, 2, 3, 4, 5, 6 Se estima que afecta a 50-100 millones de personas en 70 países del mundo, pero los estudios enfatizan lo subestimada y subdiagnosticada que puede llegar a ser esta patología, refiriendo que los individuos infectados pueden alcanzar la cifra de 370 millones, la mayoría en la región tropical, donde destacan países como Brasil y Tailandia, según describen Arifin et al.,7 con prevalencias del 13% y el 23.7%, respectivamente. En México, los estudios de prevalencia más reconocidos se realizaron en 1976 y 1995; en el primero se reportó una prevalencia global del 4.3%, con un máximo del 25% en Chiapas, seguido por el 21% en Oaxaca, el 16% en Tabasco y el 11% en Jalisco, mientras que para 1995 se encontró un aparente descenso en la prevalencia al 0.06%.8, 9
Algunos factores que favorecen la transmisión del parásito son el índice de humedad del área y el alto grado de contaminación ambiental por materia fecal en las zonas endémicas, sumado a la costumbre en las zonas tropicales de caminar descalzo debido a factores económicos o laborales.10, 11, 12 Otro factor que se suma a la prevalencia del parásito es la autoinfección temprana, una característica de este parásito que se realiza en la piel perianal y que, como refieren algunos estudios, puede prolongar la infección hasta por 75 años tras el contacto inicial.1, 7, 13 En un amplio porcentaje de los casos cursa de forma asintomática, pero los estados de inmunosupresión predisponen a la aparición de un cuadro de infestación e hiperinfección, como refieren Isotalo et al.1 en su estudio.
Existen dos especies del parásito: S. stercolaris, que con más frecuencia parasita a la población humana, y Strongyloides fuelleborni, solo localizado en algunas zonas de África y Papúa Nueva Guinea.2, 14 La primera mención del parásito en la literatura data de 1876, en reportes de heces de soldados franceses que servían en el sureste asiático, quienes sufrían de diarrea grave, por lo cual durante mucho tiempo se conoció como «diarrea de la Cochinchina». El reconocimiento del ciclo de vida completo del parásito no ocurriría hasta 50 años después de su descubrimiento.2, 11 Actualmente, mediante estudios genéticos se reconocen dos linajes de S. stercolaris: el tipo A, que causa infecciones en humanos y perros, y el tipo B, que es exclusivo de los perros.15
El ciclo de vida de este parásito comprende dos fases: una como organismo de vida libre y otra como parásito. La primera ocurre en suelos húmedos, donde las larvas rabditiformes masculinas y femeninas (L1 y L2) se reproducen en condiciones favorables; en condiciones adversas, la larva rabditiforme se transforma en una larva filariforme (o infectiva, L3).2, 6, 10, 14, 16 Esta última puede penetrar la piel del huésped, generalmente al caminar descalzo en suelos contaminados por este parásito, y diseminarse por vía hematógena, alcanzando los pulmones.13, 14, 17, 18, 19 En este sitio, las larvas se depositan en los alveolos y posteriormente atraviesan el árbol bronquial, alcanzando la epiglotis, desde donde pueden ser expulsadas por medio de la tos o deglutidas, llegando al intestino delgado, donde completan su desarrollo. Las hembras partenogenéticas, incrustadas en la mucosa intestinal, depositan huevos embrionados que al eclosionar liberan larvas rabditiformes que pueden eliminarse junto con las heces o continuar el ciclo para transformarse en larvas filariformes, en el colon principalmente, perpetuando la estancia en el huésped y dando lugar a una de las formas de autoinfección. En este suceso, las larvas filariformes o infectivas penetran la mucosa intestinal y migran hacia el intestino delgado o hacia sitios extraintestinales, como los pulmones.2, 10, 13, 14, 16 Esta migración desde el tracto gastrointestinal, sumada a la autoinfección desde la región perianal, son la causa de la permanencia prolongada del parásito, aunque el huésped se muestre asintomático.10, 13, 16, 17, 20
El mecanismo de defensa empleado por el organismo humano para hacer frente a esta parasitosis involucra la participación de moléculas (como las interleucinas 4, 5 y 13, y la inmunoglobulina E) y la activación celular (mastocitos, basófilos y eosinófilos). Las moléculas activan una serie de cambios en la mucosa intestinal, modificando la permeabilidad con un incremento de la cantidad de fluidos gastrointestinales, con el fin de propiciar la eliminación de larvas y de huevos en el intestino. Por su parte, la interacción del parásito con la inmunoglobulina E y los mastocitos desencadena la degranulación de estos últimos y la consecuente destrucción del parásito, mientras que los eosinófilos destruyen a S. stercolaris mediante citotoxicidad dependiente de anticuerpos.10, 14, 16
Estos mecanismos de defensa se ven disminuidos o comprometidos en ciertos estados, como uso de corticoterapia, trasplante de órgano sólido o infección por el virus linfotrópico humano de células T tipo 1; sin embargo, como mencionan Panarelli y Yantiss,21 la infección por el virus de la inmunodeficiencia humana no parece incrementar de manera significativa el riesgo de padecer cuadros graves de esta parasitosis.6 Ante la presencia de uno de estos estados, el parásito tiene a multiplicarse descontroladamente, lo que desencadena los estados de infestación o hiperinfección, término con que nos referimos al momento en el cual la población parasitaria aumenta su número de forma acelerada y es detectable en gran cantidad de localizaciones, tanto intestinales como extraintestinales, pero comunes en la infección, especialmente en el pulmón. Por otro lado, con la expresión «diseminado» se hace referencia a su hallazgo en sitios ectópicos, como el cerebro. En cuanto a su gravedad, se distingue entre si está complicada o no.2, 12 Debe tomarse en cuenta que estas infecciones graves pueden presentarse mucho tiempo después del contacto inicial con el parásito; Figueira et al.18 reportaron lapsos de hasta 40 años.
Caso clínico
Varón de 37 años con los siguientes antecedentes: originario de Veracruz, divorciado, católico, ocupación técnico en informática. Antecedentes heredofamiliares: diabetes mellitus por línea materna (madre finada), hipertensión arterial sistémica por línea paterna (padre vivo). Antecedentes personales patológicos: niega enfermedades crónicas degenerativas; refiere hospitalizaciones desde febrero de 2019 por diarrea, síndrome doloroso abdominal y fiebre, con diagnóstico presuntivo de enfermedad de Crohn. Transfusionales positivos, sin complicaciones; quirúrgicos positivos a vasectomía a los 26 años; alérgicos negados; tabaquismo negado; alcoholismo ocasional; niega viajes recientes; inmunizaciones completas sin mostrar cartilla de vacunación. Peso actual: 40 kg.
Inicia su padecimiento en diciembre de 2018, con un cuadro respiratorio agudo que aparece posterior a un evento diarreico. En febrero de 2019 presenta evacuaciones intestinales líquidas, no mucosanguinolentas, más de 10 veces al día, dolor abdominal de 7/10 (escala visual analógica) de tipo pungitivo, con elevaciones térmicas de 39 °C, escalofríos, diaforesis, astenia, artralgias y pérdida de peso de 20 kg en 6 meses (peso previo de 62 kg). Se diagnosticó como enfermedad de Crohn por los hallazgos de la colonoscopia realizada el 5 de marzo (Cuadro I), por lo cual se estableció tratamiento con prednisona a dosis no especificada, sin mejoría completa.
| Endoscopia (05/03/2019) | Hallazgo de candidiasis esofágica, estenosis esofágica de etiología a determinar, probable trastorno motor |
| Colonoscopía (05/03/2019) | Erosiones en íleon terminal y colon derecho sugestivos de enfermedad de Crohn |
| TAC de abdomen (31/05/2019) | Proceso inflamatorio en el colon |
El día 11 de junio de 2019 presenta hematemesis, vómitos en posos de café (en cinco ocasiones), evacuaciones melénicas y posterior rectorragia, por lo cual acude a esta unidad, donde se indicó tratamiento con metilprednisolona y mesalazina, con escasa mejoría. A inicios de julio ingresa con presencia de bradipsiquia y dolor abdominal generalizado de intensidad 10/10 (escala visual analógica). Debido a esta sintomatología se decide realizar intervención quirúrgica (laparotomía exploratoria). Durante la evaluación previa al procedimiento, los familiares del paciente mencionaron la presencia de lesiones en la piel de la espalda que aparecieron en diciembre de 2018, con características papulares y pustulosas, las cuales se identificaron también durante la exploración. Los estudios de laboratorio, previo y posterior a la intervención quirúrgica, se muestran en el cuadro II .
| Hemoglobina (g/dl) | 12-16 | 11 | |
| Plaquetas (10^3/μl) | 150-450 | 105 | |
| Leucocitos (10^3/μl) | 4.5-10 | 5.1 | |
| Eosinófilos (10^3/μl) | 0.0-0.70 | 0.30 | |
| Eosinófilos (%) | 0-7 | 4 | |
| Glucosa (mg/dl) | 65-110 | 82 | |
| Creatinina (mg/dl) | 0.7-1.6 | 0.23 | |
| Urea (mg/dl) | 14-44 | 5.6 | |
| Nitrógeno ureico en sangre (mg/dl) | 7-18 | 2.6 | |
| Cloro (mmol/l) | 98-107 | 100 | |
| Sodio (mmol/l) | 135-145 | 128 | |
| Potasio (mmol/l) | 3.5-5.3 | 3.4 | |
| Bilirrubina total (mg/dl) | 0.30-1.20 | 1.6 | |
| Bilirrubina directa (mg/dl) | 0-0.5 | 0.92 | |
| Bilirrubina indirecta (mg/dl) | 0-0.90 | 0.72 | |
| Ácido úrico (mg/dl) | 2.5-7 | 1 | |
| Colesterol total (mg/dl) | 100-200 | 67 | |
| Triglicéridos (mg/dl) | 35-165 | 96 | |
| Alanina aminotransferasas (UI/l) | 10-49 | 20 | |
| Aspartato transaminasas (UI/l) | 0-34 | 27 | |
| Lactato deshidrogenasa (UI/l) | 120-246 | 150 | |
| Tiempo de protrombina (s) | 13-16.4 | 21.5 | |
| International Normalized Ratio | - | 1.59 |
Durante su evolución y estancia intrahospitalaria se realizaron varias biopsias del tracto digestivo, con los siguientes reportes histopatológicos:
– 14/03/2019. Biopsia de ciego, colon ascendente y transverso: colitis microscópica, íleon terminal sin alteraciones.
– 26/03/2019. Biopsia de esófago: presencia de úlcera con borde colonizado por Candida spp.; biopsia gástrica: gastritis crónica grave de actividad moderada, asociada a Helicobacter pylori.
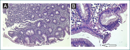
– 17/06/2019. Biopsia de esófago: esofagitis crónica ulcerada con desarrollo de Candida spp.; biopsia gástrica: gastritis crónica moderada y escasa cantidad de bacterias adherentes morfológicamente compatibles con H. pylori; biopsia de íleon: hiperplasia linfoide y edema de la lámina propia; biopsia de colon: colitis crónica moderada no específica con microgranuloma no caseificante (Fig. 1).
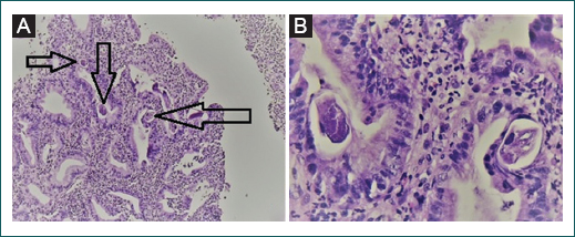
– 03/07/2019. Biopsia de duodeno y de mucosa gástrica: tejido de reparación, vasos de neoformación, inflamación crónica y aguda con formación de microabscesos, y presencia de eosinófilos. Proceso parasitario consistente con S. stercolaris (Fig. 2).
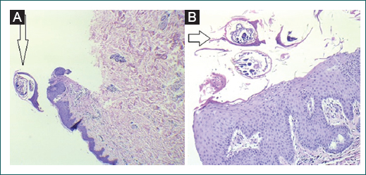
– 05/07/2019. Debido al hallazgo parasitario en el último reporte, y tomando en cuenta el antecedente de lesiones dérmicas en la espalda, se decide tomar una biopsia de piel del sitio mencionado (Fig. 3) que reporta hiperqueratosis y fragmentos de larvas en el estrato corneo; infestación helmíntica consistente con S. stercolaris.



Una vez establecido el diagnóstico, se indicó tratamiento con ivermectina y seguimiento por consulta externa, reportándose una mejoría notable de la sintomatología.
Discusión
Como mencionan Giuseppe et al.,17 clínicamente esta patología presenta un amplio espectro de signos y síntomas. La intensidad varía desde portadores asintomáticos hasta formas graves de infestación en pacientes inmunocomprometidos.10, 14, 22, 23 La sintomatología que se describe en la literatura puede iniciar en 14 a 30 días posteriores a la infección, y abarcan desde manifestaciones inespecíficas, como fiebre, edema, dolor abdominal, diarrea leve a moderada, estreñimiento, esteatorrea, anorexia, pérdida de peso y eosinofilia asintomática, hasta manifestaciones acordes con el sitio donde presenten diseminación, como síntomas pulmonares que asemejan a los observados en el asma o la bronquitis (tos e irritación traqueal), signos dermatológicos prominentes de tipo urticaria generalizada o lesiones granulomatosas acompañadas de prurito, y en el sistema nervioso central puede presentar signos meníngeos.7, 10, 17, 19, 20, 24 En los pacientes con algún tipo de inmunocompromiso, la autoinfección da lugar a una hiperinfección con sintomatología más grave, dentro de la cual podemos encontrar hematemesis, obstrucción intestinal, íleo adinámico y síndrome de hiperinfección que puede estar acompañado de complicaciones pulmonares, como neumonía y hemorragia pulmonar con infiltrado difuso bilateral en las radiografías y shock séptico.10, 19, 22, 25, 26 Además, algunos autores, como Arifin et al.,7 han descrito que el parásito puede alcanzar otros órganos, como el hígado, la vesícula, el páncreas, los riñones, los ovarios, el músculo esquelético, los ganglios linfáticos mesentéricos y el corazón. Ante estados de malnutrición, la evidencia radiográfica es similar a la del esprúe tropical.2
El diagnóstico de S. stercolaris es difícil debido a las particularidades del ciclo vital del parásito y la gran cantidad de casos asintomáticos.4, 14, 23, 27 El hallazgo de laboratorio más importante es la eosinofilia; sin embargo, como refieren Arbeláez et al.,10 este dato varía en cada paciente, por lo cual su ausencia o hallazgo debe ser relacionado con las manifestaciones clínicas.7, 20, 23, 24, 27 Como mencionan Figueira et al.,18 en los estudios de imagen pulmonar pueden encontrarse algunos datos, como nódulos miliares, infiltrado intersticial difuso, derrame pleural o cavitación pulmonar. Sin embargo, el diagnóstico definitivo se establece mediante la visualización directa de las larvas en muestras de esputo o en heces. No obstante, esta se considera una de las técnicas con menor sensibilidad, pues el estudio de una sola muestra únicamente detecta un 30% de los casos; la sensibilidad puede aumentar al 50% y casi al 100% mediante el estudio de tres y siete muestras, respectivamente.2, 7, 10, 20, 27 Otras técnicas empleadas en el diagnóstico mediante detección directa del parásito incluyen métodos de concentración, como la técnica de Baermann o la técnica de concentración en formol-éter, métodos de cultivo como el cultivo en placa de agar Koga o en papel filtro de Harada-Mori, reacción en cadena de la polimerasa (PCR) y aspirado o biopsia gastrointestinal. Mas recientemente se han empleado métodos indirectos con técnicas serológicas de tipo ELISA (Enzyme-linked immunosorbent assay).2, 7, 20, 25, 28
Sin embargo, en la literatura consultada se menciona reiteradamente que la mayoría de las técnicas empleadas carecen de un adecuado nivel de sensibilidad para un diagnóstico certero. Aunque la técnica de Baermann y el cultivo en agar Koga muestran mejores resultados que la técnica de concentración en formol-éter, realmente no se consideran las más adecuadas para el diagnóstico, debido a que requieren mayor tiempo de preparación.7 En cuanto a las técnicas serológicas, se consideran las más adecuadas en cuanto a sensibilidad, pues esta oscila del 70% al 95% (dependiendo de la prueba y de los estándares de cada laboratorio), pero aún existen dudas sobre su especificidad, ya que se han encontrado casos de reacción cruzada con otros parásitos, en particular con filarias, y persistencia de anticuerpos mucho tiempo después de un tratamiento efectivo.28
Actualmente se considera el estudio por PCR como el más efectivo en el diagnóstico de la estrongiloidosis, como refieren Buonfrate et al.,28 que en su estudio encuentran una especificidad que varía del 93% al 95% dependiendo de las características de la prueba y del laboratorio donde se realiza. Este reporte coincide con la literatura consultada, por lo cual la PCR sería lo más útil para el diagnóstico, aunque se debe tener en cuenta que no es una técnica que se encuentre disponible en todos los laboratorios, y por ello otros métodos de diagnóstico más sencillos siguen siendo relevantes, en especial en los países en vías de desarrollo.7, 14, 28, 29
El diagnóstico mediante estudio histopatológico se realiza de forma incidental en biopsias y especímenes quirúrgicos procesados por otras razones, como neoplasias, H. pylori, criptosporidiosis, atrofia gástrica o enfermedad celiaca. El hallazgo usualmente es difícil debido al tamaño del parásito, la cantidad variable que se puede encontrar en la mucosa intestinal y la poca familiaridad que con él tiene el patólogo, sobre todo fuera de la región tropical.30 Como describen Rivasi et al.,30 las características histológicas son las siguientes:
- Gástricas: predomina en el antro más que en el fundus, y no se encuentra en el cuerpo ni en el cardias. Las anormalidades muestran una distribución parcheada y consisten en inflamación crónica superficial con cambios hiperplásicos reactivos y daño en la superficie epitelial. En la lámina propia se observa, en la gran mayoría de los casos reportados, un infiltrado inflamatorio compuesto por eosinófilos, y por células plasmáticas, linfocitos y neutrófilos en menor proporción. Se debe destacar el hecho de que no todas las muestras pueden resultar positivas aunque el paciente tenga un cuadro grave de hiperinfección.
- Duodenales: destaca un infiltrado inflamatorio en la lámina propia consistente en células plasmáticas, linfocitos y células polimorfonucleares. La intensidad de los cambios patológicos reactivos, particularmente el infiltrado eosinófilo, parece estar en relación con la intensidad de la infección.
- Hallazgos parasitológicos: se encuentran huevos, larvas rabditiformes y filariformes, y hembras adultas, en la mucosa gástrica o duodenal; se puede encontrar más de una forma en una misma muestra. Normalmente adquieren una tinción basófila. Los huevos miden 30 mm de ancho por 50 mm de largo, se encuentran rodeados por una fina cutícula y en su interior se pueden visualizar estadios de mórula o un embrión rabditiforme, como describen Rivasi et al.30 Las formas adultas tienen un diámetro de 30-45 mm y en su interior se puede notar la presencia de útero, ovario, intestinos y una delgada capa muscular. En algunos parásitos adultos pueden reconocerse huevos dentro del útero, alineados en una sola fila.
A pesar de la descripción histológica mencionada, se debe tener en cuenta que estos cambios son muy inespecíficos y que, en caso de no visualizar el parásito en primera instancia, el diagnóstico puede ser orientado hacia otras patologías, como ocurrió en el caso presentado, que inicialmente se manejó como una enfermedad de Crohn.12
En cuanto al tratamiento, se recomienda el uso de ivermectina en dosis de 200 mg/kg al día por vía oral durante 2-3 días, con la posibilidad de repetirlo después de 14 días; se ha reportado una tasa de respuesta del 86%. Hay que tomar en cuenta que en los pacientes inmunocomprometidos el esquema puede modificarse de dos formas: 1) extender el tratamiento por 10 a 14 días, o 2) dar la dosis de 200 mg/kg/día cada 48 horas hasta comprobar la ausencia de parásitos en estudios coproscópicos o una mejoría del íleo. Otros esquemas de tratamiento utilizan tiabendazol, con una tasa de respuesta del 80%, pero con aparición de efectos tóxicos en el 50% de los casos; o albendazol por 3 días, con una tasa de respuesta considerablemente menor.5, 10, 14, 20, 31
Conclusiones
El caso presentado ejemplifica muchos de los puntos característicos de esta parasitosis que se revisaron en la literatura. A pesar de la importancia que representan las parasitosis dentro de nuestro medio, en ocasiones no son consideradas como parte del diagnóstico diferencial, por lo cual no se realizan estudios dirigidos para este grupo de enfermedades, que conforme evolucionan pueden desencadenar cuadros graves como el aquí presentado. En su inicio, debido a los estudios de imagen descritos en el cuadro II, se estableció el tratamiento con esteroides, y esto, sumado a que en las tres primeras biopsias no se detectó ningún parásito, alentó el diagnóstico de una enfermedad de tipo inflamatorio. Desafortunadamente, como se describe en la literatura, un esquema de tratamiento con esteroides puede ser causa de una infección grave y diseminada por S. stercolaris, como sucedió con este paciente. Ante la persistencia y el empeoramiento del cuadro clínico se decidió tomar una cuarta biopsia, en la cual se realizó el hallazgo incidental del parásito S. stercolaris, diagnóstico que fue apoyado con el subsecuente hallazgo del parásito en las lesiones de la espalda. Esto concuerda con lo mencionado en la literatura, pues el diagnóstico por estudio histopatológico no suele ser el de referencia y puede resultar negativo en más de una biopsia aunque el paciente tenga una enfermedad grave, como es nuestro caso.
Histológicamente, los datos de esta parasitosis descritos en la literatura concuerdan con lo que encontramos en las biopsias en las que se identificó S. stercolaris: presencia del parásito incrustado en la mucosa gástrica y duodenal en distintas etapas de desarrollo acompañado de un infiltrado inflamatorio tanto agudo como crónico en la lámina propia, destacando la aparición de eosinófilos. Es de destacar la presencia de un patógeno oportunista como Candida spp. en algunas de las biopsias, lo que probablemente estuvo relacionado con el estado de inmunosupresión por la terapia empleada inicialmente.
Por todo lo expuesto consideramos importantes casos como este, pues demuestran la dificultad que implica el realizar el diagnóstico de una parasitosis mediante estudio histopatológico. Como se menciona con frecuencia en la literatura, normalmente tanto el médico clínico como el patólogo no se encuentran familiarizados con este tipo de hallazgos, conduciendo al diagnóstico erróneo de otras patologías y sometiendo al paciente a tratamientos ineficaces que incluso pueden empeorar el cuadro clínico y el pronóstico, como fue el caso que presentamos. Por otro lado, ya habiendo realizado el diagnóstico preciso de estrongiloidosis, se pudo administrar el medicamento adecuado y se observó una mejoría notable del paciente.
Responsabilidades éticas
Protección de personas y animales. Los autores declaran que para esta investigación no se han realizado experimentos en seres humanos ni en animales.
Confidencialidad de los datos. Los autores declaran que han seguido los protocolos de su centro de trabajo sobre la publicación de datos de pacientes.
Derecho a la privacidad y consentimiento informado. Los autores han obtenido el consentimiento informado de los pacientes y/o sujetos referidos en el artículo. Este documento obra en poder del autor de correspondencia.
Referencias
1. Isotalo PA, Toye B, Eidus L. Human T-lymphotropic virus 1 adult T-cell lymphoma with Giardia and Strongyloides parasitism. Arch Pathol Lab Med. 2000;124(8):1241.
2. Siddiqui AA, Berk SL. Diagnosis of Strongyloides stercolaris infection. Clin Infect Dis. 2001;33(7): 1040-7.
3. Schär F, Giardina F, Khieu V, Muth S, Vounatsou P, Marti H, et al. Occurrence of and risk factors for Strongyloides stercolaris infection in South-East Asia. Acta Trop. 2016;159: 227-38. doi: 10.1016/j.actatropica.2015.03.008
4. Olivera Rivero MJ, Raciny Alemán M, Consuelo López M, Moncada L, Reyes Harker P. Detection of Strongyloides stercolaris in Tierralta, Colombia using four parasitological methods. Rev Cubana Med Trop. 2014;66(2): 202-9.
5. Hennessey DC, Ballesteros OA, Merchán DJ, Guevara FO, Severiche DF. Ivermectina subcutánea en el tratamiento de un síndrome de hiperinfección por Strongyloides stercolaris. Biomedica. 2020;40(2): 228-32.
6. Iriemenam NC, Sanyaolu AO, Oyibo WA, Fagbenro-Beyioku AF. Strongyloides stercolaris and the immune response. Parasitol Int. 2010;59(1): 9-14. doi: 10.1016/j.parint.2009.10.009.
7. Arifin N, Hanafiah KM, Ahmad H, Noordin R. Serodiagnosis and early detection of Strongyloides stercolaris infection. J Microbiol Immunol Infect. 2019;52(3): 371-8. doi: 10.1016/j.jmii.2018.10.001
8. Becerril MA. Parasitología médica. 4.ªed. México: McGraw Hill Education; 2014.
9. Carrada-Bravo T. Strongyloides stercolaris: ciclo vital, cuadros clínicos, epidemiología, patología y terapéutica. Rev Latinoam Patol Clin Med Lab. 2008;55(2): 88-110.
10. Arbeláez V, Angarita O, Gómez M, Sprockel J, Mejía M. Presentación de caso clínico interinstitucional: gastroduodenitis severa secundaria a hiperinfección por Strongyloides stercolaris en un hombre joven. Rev Colomb Gastroenterol. 2007;22(2): 118-25.
11. Schär F, Trostdorf U, Giardina F, Khieu V, Muth S, Marti H, et al. Strongyloides stercolaris: global distribution and risk factors. PLoS Negl Trop Dis. 2013;7(7): 1-18.
12. Gómez-Hinojosa P, García-Encinas C, Carlin-Ronquillo A, Chancafe-Morgan RP, Espinoza-Ríos J. Infección por Strongyloides imitando enfermedad inflamatoria intestinal. Rev Gastroenterol Mex. 2020;85(3): 366-8. doi: 10.1016/j.rgmx.2019.08.004
13. Greaves D, Coggle S, Pollard C, Aliyu SH, Moore EM. Strongyloides stercolaris infection. BMJ. 2013;347 (7919): 1-6.
14. Zapata Lopera H, Rincón González AM, Botero Palacio LE, Hernández Sarmiento M, Gutiérrez Builes LA. Estrongiloidiasis humana: una enfermedad olvidada, un problema vigente. Med UPB. 2014;33(1): 38-47.
15. Winnicki W, Eder M, Mazal P, Mayer FJ, Sengölge G, Wagner L. Prevalence of Strongyloides stercolaris infection and hyperinfection syndrome among renal allograft recipients in Central Europe. Sci Rep. 2018;8(1): 1-6.
16. Murray PR, Rosenthal KS, Pfaller MA. Medical microbiology. 7th ed. Philadelphia: Elsevier Saunders; 2013.
17. Giuseppe S, Francesco C, Socrate P, Doriana V, Carlo S, Pierluigi C. Gastrointestinal Strongyloides stercolaris infestation. J Gastroenterol Hepatol. 2014;29(7): 1340.
18. Figueira CF, Gaspar MT da C, Cos LD, Ussami EY, Otoch JP, Felipe-Silva A. Strongyloides stercolaris hyperinfection associated with impaired intestinal motility disorder. Autops Case Reports. 2015;5(2): 27-34.
19. Greenberg J, Greenberg J, Helmstetter N. Chronic intestinal pseudo-obstruction due to Strongyloides stercolaris. IDCases. 2018;13: e00425. doi: 10.1016/j.idcr.2018.e00425
20. Catalán SB, Albiach JFC, García AIM, Martínez EG, Teruel JLG, Mateu LMP. Infección por Strongyloides stercolaris en pacientes trasplantados renales. Nefrologia. 2009;29(5): 482-5.
21. Panarelli NC, Yantiss RK. Inflammatory and infectious manifestations of immunodeficiency in the gastrointestinal tract. Mod Pathol. 2018;31(6): 844-61.
22. Mühlhauser M, Rivas LM. Strongyloides stercolaris. Rev Chil Infectol. 2013;30(5): 513-4.
23. Hochhegger B, Zanetti G, Marchiori E. Strongyloides stercolaris infection with a diffuse miliary pattern. Arch Bronconeumol. 2017;53(6): 352-3. doi: 10.1016/j.arbres.2016.10.018
24. Higashiarakawa M, Hirata T, Tanaka T, Parrott G, Kinjo T, Naka H, et al. Normal serum IgE levels and eosinophil counts exhibited during Strongyloides stercolaris infection. Parasitol Int. 2017;66(1): 807-12. doi: 10.1016/j.parint.2016.10.004
25. Vazquez Guillamet LJ, Saul Z, Miljkovic G, Vilchez GA, Mendonca N, Gourineni V, et al. Strongyloides stercolaris infection among human immunodeficiency virus (HIV)-infected patients in the United States of America: a case report and review of literature. Am J Case Rep. 2017;18: 339-46.
26. Woll F, Gotuzzo E, Montes M. Strongyloides stercolaris infection complicating the central nervous system. Handb Clin Neurol. 2013;114: 229-34. doi: 10.1016/B978-0-444-53490-3.00017-0
27. Wilson A, Fearon D. An unusual rash: Strongyloides stercolaris presenting as larva currens in a 12-year-old girl with Crohn's disease. J Paediatr Child Health. 2019;55(3): 364-6.
28. Buonfrate D, Requena-Mendez A, Angheben A, Cinquini M, Cruciani M, Fittipaldo A, et al. Accuracy of molecular biology techniques for the diagnosis of Strongyloides stercolaris infection —a systematic review and meta-analysis. PLoS Negl Trop Dis. 2018;12(2): 1-16.
29. Wang LF, Xu L, Luo SQ, Xie H, Chen W, Wu ZD, et al. Diagnosis of Strongyloides stercolaris by morphological characteristics combine with molecular biological methods. Parasitol Res. 2017;116(4): 1159-63.
30. Rivasi F, Pampiglione S, Boldorini R, Cardinale L. Histopathology of gastric and duodenal Strongyloides stercolaris locations in fifteen immunocompromised subjects. Arch Pathol Lab Med. 2006;130(12): 1792-8.
31. Ashiri A, Beiromvand M, Khanzadeh A. Strongyloides stercolaris infection in a patient with rheumatoid arthritis and type 2 diabetes mellitus: a case-based review. Clin Rheumatol. 2019;38(11): 3093-8.
Información adicional
Conflicto de intereses: Los autores han completado y enviado la forma traducida al español de la declaración de conflicto potencial de intereses del Comité Internacional de Editores de Revistas Médicas, y no fue reportado ninguno relacionado con este artículo.
Cómo citar este artículo: Pérez-Corro MA, Baltazar-Ramos JI, Montano-Hernández PA, Cabrales-Santiago HE, Cadena-Reyes J. Diagnóstico histológico de estrongiloidiasis en la Unidad Médica de Alta Especialidad de Puebla. Rev Med Inst Mex Seguro Soc. 2021;59(1):87-94
PubMed: https://pubmed.ncbi.nlm.nih.gov/33667048