Caso clínico
Recepción: 22 Octubre 2019
Aprobación: 04 Febrero 2020
DOI: https://doi.org/10.24875/RMIMSS.M20000021
Resumen:
Introducción: Un aneurisma de arteria ilíaca es una dilatación permanente y focal de la arteria, de más del 50% del diámetro normal del vaso. Los aneurismas de arteria ilíaca aislados son infrecuentes, siendo lo más característico su asociación con un aneurisma de aorta abdominal. El objetivo de este artículo es puntualizar los síntomas urológicos como manifestaciones de aneurisma de arteria ilíaca, y así propiciar un diagnóstico oportuno.
Caso clínico: Se expone caso de un paciente que presenta un cuadro de debilidad generalizada, episodios de lipotimia y dolor en la fosa renal, a quien se le dio abordaje inicial como probable litiasis renal, encontrándose tres aneurismas en la tomografía computada, localizados en las arterias ilíaca común derecha, ilíaca interna izquierda e ilíaca externa izquierda. Durante su estudio y discusión acerca de las alternativas terapéuticas, el paciente manifiesta complicaciones urológicas secundarias, tras una obstrucción de uréter derecho, y como consecuencia una hidronefrosis derecha y pérdida de la función del parénquima renal. Dado lo anterior, se realizó una cirugía de urgencia en conjunto con cirugía vascular y urología para la colocación de prótesis vasculares, así como nefrectomía derecha, la cual resulta en una evolución satisfactoria.
Conclusiones: El diagnóstico de un aneurisma ilíaco es un reto debido a que la mayoría de los pacientes son asintomáticos. Como manifestación principal, los síntomas urinarios por compresión fueron parte fundamental de la sospecha diagnóstica, lo que coincide con otros casos similares reportados en la literatura.
Palabras clave: Aneurisma, Arteria Ilíaca, Hidronefrosis.
Abstract:
Background: An iliac artery aneurysm is a permanent and focal dilation of the artery that measures more than 50% of the normal diameter of the vessel. Isolated iliac artery aneurysms are infrequent, mostly as an association with an abdominal aortic aneurysm. The objective of this article is mainly to focus on urological symptoms as the manifestations of iliac artery aneurysm, to propitiate an early diagnosis.
Clinical case: In this article, we present a clinical case of a patient with generalized weakness, an episode of lipothymia and pain in the renal fossa, finding three aneurysms in the computed tomography, located in the right common iliac artery, the left internal iliac artery and the left external iliac artery. Later, the patient presents urological complications, after an obstruction of the right ureter, and therefore, a right hydronephrosis and loss of renal parenchyma function. Given this, urgent surgery is performed with satisfactory results.
Conclusions: The diagnosis of an iliac aneurism represents a challenge since most patients are asymptomatic. As main manifestation, urinary compression symptoms represented a fundamental part of diagnostic suspicion, which coincides with other similar cases reported in the literature.
Keywords: Aneurysm, Iliac Artery, Hydronephrosis.
Introducción
Un aneurisma de arteria ilíaca (AAI) es una dilatación permanente y focal de la arteria, con dimensiones mayores del 50% del diámetro normal del vaso (> 1.5 cm en la ilíaca común y > 0.8 cm en ilíaca interna).1 Los AAI aislados son infrecuentes, siendo lo más característico su asociación con un aneurisma de aorta abdominal.2,3
Dentro de la patología aneurismática, los AAI aislados representan entre el 0.4 y el 1.9%, y de manera general en la población tienen una incidencia del 0.03%. El 70% de los AAI corresponden a la arteria ilíaca común, el 25% a la arteria ilíaca interna y menos del 5% a la arteria ilíaca externa. De los aneurismas de aorta abdominal, del 15% al 40% se asocian a otro ilíaco. Los AAI son más frecuentes en los hombres, con una proporción de 7:1 frente a las mujeres;4 asimismo, su frecuencia aumenta con la edad, presentándose mayormente en la séptima y la octava décadas de la vida, y además tiene estrecha relación con el consumo de tabaco.2,5,6
Un aneurisma verdadero es aquel que incluye las tres capas vasculares (adventicia, íntima y media), mientras que un pseudoaneurisma solo incluye la media o la adventicia, o ambas. La mayoría de los AAI son aneurismas verdaderos y su causa más frecuente es la enfermedad aterosclerótica.3 Otras causas incluyen pseudoaneurismas secundarios a sífilis, tuberculosis y osteomielitis. Además, pueden asociarse a síndrome de Behçet, displasia fibromuscular, arteritis de Takayasu y otras enfermedades del tejido conectivo (síndrome de Marfan y síndrome de Ehlers-Danlos), y enfermedad de Kawasaki, entre otras.
La evolución natural de los AAI consiste en un crecimiento progresivo y su potencial rotura, siendo que la tasa de crecimiento depende del diámetro basal de la arteria ilíaca.2,7
En cuanto a las manifestaciones clínicas, estos aneurismas pueden cursar asintomáticos o presentarse con síntomas compresivos, como alteraciones urinarias, rectorragia, obstrucción intestinal, dolor abdominal o trombosis venosa profunda.8,9
Describimos el caso de un paciente de 63 años con varios aneurismas en ambas arterias ilíacas, con repercusión y manifestaciones urológicas.
Caso clínico
Varón de 63 años con antecedente de tabaquismo, con índice tabáquico de 36 suspendido hace 10 años, hipertensión arterial sistémica diagnosticada a los 38 años tratada con irbesartán (300 mg) y amlodipino (10 mg) cada 24 horas; litiasis renal a los 48 y 61 años tratada con medicamentos homeopáticos; y aneurisma de aorta abdominal diagnosticado a los 53 años, tratado quirúrgicamente y complicado con sangrado masivo que requirió transfusión de múltiples paquetes globulares y segunda intervención quirúrgica 24 horas después, con colocación de un injerto vascular.
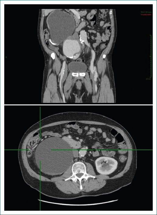
Su padecimiento actual inició 20 días previos a su internamiento, presentando de manera súbita dolor de tipo punzante, intermitente, localizado en la fosa renal derecha, inicialmente de intensidad 4/10 y que aumentó de manera progresiva a 10/10, que irradiaba a la extremidad inferior homolateral, sin exacerbantes ni atenuantes, y acompañado de disuria y polaquiuria. Acudió al urólogo, quien solicitó una tomografía computada contrastada abdominal y pélvica, que evidenció tres aneurismas localizados en las arterias ilíacas común derecha e interna y externa izquierdas, además de quistes renales bilaterales de predominio derecho (Fig. 1).

Se colocó un catéter doble J derecho, con lo que se produjo mejoría del cuadro y el paciente fue dado de alta 48 horas después. Dos días posteriores a su egreso presentó debilidad generalizada, un episodio de lipotimia y recurrencia del dolor en la fosa renal de las mismas características, por lo que acudió al servicio de urgencias.
En la exploración física se encontró hipertenso (140/100 mmHg), con dolor abdominal a la palpación media y profunda en hipogastrio y mesogastrio irradiado al miembro pélvico, con sensación de masa pulsátil y soplo en la misma región e irradiado al flanco derecho, hiperalgesia en la región inguinal derecha y con pulsos periféricos de miembros inferiores disminuidos en intensidad, sobre todo del lado derecho. Se le realizó una angiotomografía, la cual corroboró tres aneurismas: uno en la arteria ilíaca común derecha de 10 × 9 cm con trombo mural, y los otros dos en las arterias ilíacas interna y externa izquierdas, de 5 × 5 cm y 3 × 2 cm, respectivamente; además de quistes renales bilaterales de predominio derecho y litiasis renal, lo que explica las manifestaciones urológicas (Fig. 2).

Los aneurismas ilíacos bilaterales sin compromiso aórtico son un reto para el cirujano cardiovascular, ya que preservar al menos una de las arterias ilíacas es una técnica difícil.
Kim, et al.10 realizaron un estudio retrospectivo en el Seoul St. Mary’s Hospital, con una muestra de 40 pacientes con aneurisma de arteria ilíaca interna sin aneurisma aórtico, en los que se decidió el método quirúrgico según la comorbilidad, la anatomía y la urgencia de cada paciente en particular, comparando los resultados de aquellos tratados con cirugía abierta (n = 9) y aquellos tratados con cirugía endovascular (n = 31). De los 40 pacientes, 10 presentaban aneurismas bilaterales, dos de ellos tratados por cirugía abierta y ocho por cirugía endovascular. Entre los tratados con cirugía endovascular, dos casos fueron fallidos por oclusión del stent y requirieron embolización con n-butilhistoacrilato. Los pacientes con aneurismas bilaterales tratados con cirugía endovascular sufrieron limitación por isquemia pélvica, incluyendo claudicación, isquemia colónica e isquemia de médula espinal. Finalmente, se vio que el manejo endovascular tiene mayor riesgo de oclusión y de fuga en comparación con la cirugía abierta. Debido a esto, la técnica abierta con dispositivo bifurcado ilíaco parece ser una opción buena para el manejo de estos pacientes.10,11
Correlacionando lo anterior y otras fuentes de la literatura con la situación clínica y las complicaciones, no solo vasculares, sino también urológicas, que presentó nuestro paciente, se decidió dar manejo por medio de cirugía abierta. El riñón derecho se encontró sin parénquima renal funcional, por lo que el paciente cumplía las indicaciones para nefrectomía. Se inició el protocolo preoperatorio por parte del área de cirugía vascular para la reparación de los tres aneurismas previamente descritos, y por parte de urología para la nefrectomía.12 Ambas intervenciones se realizaron dentro de un mismo tiempo quirúrgico. Se inició el procedimiento por parte del equipo de cirugía vascular mediante abordaje anterior, realizando una incisión en la línea media, desde la sínfisis del pubis hasta unos centímetros previos al apéndice xifoides. Se utilizó un separador automático tipo Thompson y tras el levantamiento de las asas intestinales se identificó el aneurisma de la arteria ilíaca externa derecha, el cual obstruía el uréter derecho, por lo que se procedió a la disección, la resección y la anastomosis de este. Posteriormente intervino el equipo de urología, realizando tracción y disección del uréter, seguido de disección epicapsular hasta el hilio renal, ligando la vena y la arteria. Se drenó la bolsa hidronefrótica y se disecó el riñón derecho hasta desprenderlo de la cara inferior hepática y del duodeno, logrando así la nefrectomía radical derecha. Se dejó un sistema de drenaje al peritoneo Drenovac™. Finalmente, el equipo de cirugía vascular llevó a cabo la resección de los aneurismas en las ilíacas interna y externa izquierdas, y se dio por terminado el acto quirúrgico, con una duración de 5,5 horas y un tiempo de anestesia de 7,5 horas.
Dentro de los hallazgos transoperatorios, se observaron adherencias del riñón hidronefrótico al retroperitoneo, a la base del lóbulo derecho del hígado, a la pared abdominal y a la fosa suprarrenal derecha, conllevando un sangrado difuso, mayor que lo esperado, del hilio renal derecho (arteria y vena), con un sangrado total de 2000 ml, recuperando 500 ml, por lo que se usaron hemoderivados y el sistema de recuperación celular Gambro™.
El reporte anatomopatológico reportó el riñón derecho con hidronefrosis, glomerulonefrosis focal, pielonefritis crónica, arterionefroesclerosis hialina, hidrouréter derecho, fragmentos de vasos arteriales con fibrosis e inflamación crónica granulomatosa a cuerpo extraño, y fragmentos de arteria ilíaca derecha con ateroesclerosis calcificada con trombosis.
Posterior al evento quirúrgico, el paciente se encontraba estable, neurológicamente íntegro, con dolor abdominal difuso y dolor en las extremidades inferiores acompañado de parestesias. Se le dio apoyo ventilatorio mediante oxígeno suplementario a través de mascarilla reservorio, logrando una saturación de oxígeno del 92% y un gasto urinario de 0.9 ml/kg/h.
Dentro de las complicaciones en el posoperatorio inmediato, se valoraron la presión arterial media y el tiempo parcial de tromboplastina, con 89 mmHg y 55 segundos, respectivamente, por lo que se transfundió un paquete de plasma fresco congelado. Posteriormente hubo tendencia a la hipotensión, con cifras de 90/60 mmHg y descenso de la hemoglobina a 7 g/dl, por lo que se transfundió un paquete globular y se realizó una tomografía computada de control, que reportó un hematoma encapsulado en el lecho renal. Clínicamente, el paciente presentó anemia, confirmada en la biometría hemática como anemia microcítica hipocrómica. Por ese motivo se le transfundieron dos concentrados eritrocitarios, con lo que recuperó los valores normales para su edad y peso en el transcurso de los días posteriores.
Dos días previos a su egreso hospitalario se le retiró la sonda Foley, y un día antes del alta se le retiró el sistema de drenaje al peritoneo Drenovac™, con un gasto serohemático cuantificado en 76 ml en 24 horas, justificando así el uso de hemoderivados y de recuperador celular Gambro™. El paciente fue egresado a los 7 días del procedimiento quirúrgico, encontrándose hemodinámicamente estable, con signos vitales dentro de los parámetros normales, y sin evidencia de complicaciones abdominales, cardiovasculares o urológicas.
Discusión
La etiología de los aneurismas en la aorta abdominal y en las arterias ilíacas no se encuentra bien definida y no corresponde a una sola causa, sino que parece ser parte del espectro de manifestaciones secundarias a factores de riesgo cardiovasculares ampliamente conocidos y con los cuales contaba nuestro paciente.
En general, los AAI no son diagnosticados hasta que son sintomáticos, sobre todo si son aislados. Suelen presentarse en hombres mayores y habitualmente se deben a una causa degenerativa. Su relación anatómica con diversas estructuras dentro de la pelvis explica la presentación tan variable de los síntomas, que van desde nulos hasta síntomas compresivos, como trastornos urinarios, rectorragia, obstrucción intestinal, dolor abdominal o trombosis venosa profunda.4,5,12
La compresión, la erosión y la rotura en estructuras adyacentes puede provocar síntomas urinarios y digestivos. Las manifestaciones urológicas más comunes relacionadas con la compresión ureteral son dolor, hematuria, sepsis y lesión renal. Los síntomas de compresión vesical o uretral ocurren con menor frecuencia. También pueden aparecer síntomas neurológicos secundarios a la compresión de los nervios femoral, obturador o ciático, resultando en parestesias o paresias de la extremidad homolateral. Otras manifestaciones pueden ser edema de miembro inferior debido a la compresión de la vena ilíaca o a una fístula arteriovenosa.13 Un aneurisma de arteria ilíaca, inclusive, puede confundirse con un cáncer de ovario o de próstata. A diferencia de los aneurismas de aorta abdominal, los AAI no suelen palpitar a la exploración abdominal, pero sí al realizar un tacto rectal o vaginal, y pueden presentar además hematoma escrotal o perineal cuando se han roto.14
Los síntomas urológicos a menudo son las primeras, y a veces las únicas, manifestaciones clínicas de los aneurismas de aorta abdominal o de arteria ilíaca subyacentes, y la gran mayoría de las veces se confunden con problemas de vías urinarias, sin tomar en cuenta la posibilidad vascular. Buscar y descartar intencionadamente dichas alteraciones es de vital importancia, ya que los aneurismas pueden ser mortales si no se atienden de manera oportuna. La complicación más seria es la rotura, que se asocia a una alta mortalidad que va del 50% al 100%.15 Afortunadamente para nuestro paciente, logró atenderse antes de este desenlace.8
Conclusiones
El diagnóstico de un AAI es un reto debido a que la mayoría son asintomáticos. En el caso de este paciente, al tener el antecedente de aneurisma de aorta abdominal, factores de riesgo y presentación sintomática, pudieron identificarse y atenderse de manera oportuna los aneurismas. Como manifestación principal, los síntomas urinarios por compresión fueron parte fundamental de la sospecha diagnóstica, lo que coincide con otros casos similares reportados en la literatura.
Conflicto de intereses
Los autores han completado y enviado la forma traducida al español de la declaración de conflicto potencial de intereses del Comité Internacional de Editores de Revistas Médicas, y no fue reportado ninguno que tuviera relación con este artículo.
Responsabilidades éticas
Protección de personas y animales. Los autores declaran que para esta investigación no se han realizado experimentos en seres humanos ni en animales.
Confidencialidad de los datos. Los autores declaran que han seguido los protocolos de su centro de trabajo sobre la publicación de datos de pacientes.
Derecho a la privacidad y consentimiento informado. Los autores han obtenido el consentimiento informado de los pacientes y/o sujetos referidos en el artículo. Este documento obra en poder del autor de correspondencia.
Referencias
1. Johnston KW, Rutherford RB, Tilson MD, Shah DM, Hollier L, Stanley JC. Suggested standards for reporting on arterial aneurysms. J Vasc Surg. 1991;13(3):452.
2. Ballesteros-Pomar M. Aneurismas de arteria iliaca: actualización y algoritmos de decisión. Angiología. 2017;69(5):291-8.
3. Laine M, Björck M, Beiles C, Szeberin Z, Thomson I, Altreuther M, et al. Few internal iliac artery aneurysms rupture under 4 cm. J Vasc Surg. 2017;65(1):76-81.
4. Boese A, Chang L, Yin K, Chen Y, Lee J, Hamblin M. Sex differences in abdominal aortic aneurysms. Am J Physiol Heart Circ Physiol. 2018;314(6):H1137-52.
5. Richards T, Dharmadasa A, Davies R, Murphy M, Perera R, Walton J. Natural history of the common iliac artery in the presence of an abdominal aortic aneurysm. J Vasc Surg. 2009;49(4):881-5.
6. Aune D, Schlesinger S, Norat T, Riboli E. Tobacco smoking and the risk of abdominal aortic aneurysm: a systematic review and meta-analysis of prospective studies. Sci Rep. 2018;8(1):14786.
7. Bacharach JM, Slovut DP. State of the art: management of iliac artery aneurysmal disease. Catheter Cardiovasc Interv. 2008;71(5):708-14.
8. Nenezic D, Tanaskovic S, Gajin P, Ilijevski N, Novakovic A, Radak D. A rare case of large isolated internal iliac artery aneurysm with ureteral obstruction and hydronephrosis: compression symptoms are limitation for endovascular procedures. Vascular. 2015;23(2):170-5.
9. Kato T, Takagi H, Kawai N, Sekido Y, Umemoto T. Ruptured isolated external iliac artery true aneurysm associated with cystic medial necrosis: report of a case. Surg Today. 2009;39(8):705.
10. Kim JY, Kim DH, Quan C, Suh YJ, Ann HY, Kim JI, et al. Treatment options for isolated iliac artery aneurysms and their impact on aortic diameter after treatment. Ann Surg Treat Res. 2019;96(3):146-51.
11. Carino D, Sarac T, Ziganshin B, Elefteriades J. Abdominal aortic aneurysm: evolving controversies and uncertainties. Int J Angiol. 2018;27(02):58-80.
12. Riambau V, Guerrero F, MontañáX, Gilabert R. Aneurisma de aorta abdominal y enfermedad vascular renal. Rev Esp Cardiol. 2007;60(6):639-54.
13. Levi N, Schroeder TV. Isolated iliac artery aneurysms. Eur J Vasc Endovasc Surg. 1998;16(4):342.
14. Elkouri S, Blair JF, Beaudoin N, Bruneau L. Ruptured solitary internal iliac artery aneurysm: a rare cause of large-bowel obstruction. Can J Surg. 2008;51(6):E122-3.
15. Hertzer NR. A primer on infrarenal abdominal aortic aneurysms. F1000Res. 2017;6:1549.
Información adicional
PubMed: https://pubmed.ncbi.nlm.nih.gov/34101568/
Cómo citar este artículo: Rodríguez-Rivera EA, González-Botello AL, Ortiz-Monasterio RC, Lozano-Torres VM. Manifestaciones urológicas de aneurisma de la arteria ilíaca común. Rev Med Inst Mex Seguro Soc. 2020;58(2):216-220.