Casos Clínicos
Dermatitis sifiloide posterosiva de Sevestre-Jacquet asociada al uso de pañales reutilizables: caso clínico
Sevestre-Jacquet posterosive syphilitic dermatitis associated with the use of reusable diapers: A clinical case
Dermatitis sifiloide posterosiva de Sevestre-Jacquet asociada al uso de pañales reutilizables: caso clínico
Revista Médica del Instituto Mexicano del Seguro Social, vol. 59, núm. 3, pp. 242-247, 2021
Instituto Mexicano del Seguro Social

Recepción: 19 Febrero 2021
Aprobación: 21 Abril 2021
Resumen:
Introducción: la dermatitis de pañal es un problema cutáneo que ha disminuido con el desarrollo de nuevas tecnologías en los pañales desechables, los cuales impiden la humedad excesiva en la región perianal. En el siguiente caso clínico se muestra la relación entre el uso de pañales de tela y la aparición de dermatitis sifiloide posterosiva de Sevestre-Jaquet, una complicación grave y poco frecuente de la dermatitis de pañal.
Caso clínico: presentamos el caso de una paciente de 1 año y 11 meses de edad, llevada a la consulta externa de Dermatología por la presencia de una lesión en la región glútea. La madre refirió inicio del padecimiento cuatro meses atrás y posterior a la presencia de evacuaciones semilíquidas. Se observa dermatosis localizada en ambos miembros inferiores, que afecta la región genital en labios mayores y región perianal a nivel de pliegues interglúteos de forma bilateral y simétrica. En el estudio histopatológico se emite el reporte diagnóstico de sifiloide posterosivo de Sevestre-Jacquet.
Conclusión: la dermatitis sifiloide posterosiva de Sevestre-Jacquet es una condición dermatológica poco frecuente y su riesgo de ocurrencia es mayor debido al uso de pañales ecológicos de tela.
Palabras clave: Dermatitis del Pañal, Pañales Infantiles, Dermatitis.
Abstract:
Background: Diaper dermatitis is a skin problem that has decreased with the development of new technologies in disposable diapers that prevent excessive moisture in the perianal region. The following clinical case shows the relationship between the use of cloth reusable diapers and the appearance of Jacquet erosive diaper dermatitis, a serious and rare complication of diaper dermatitis.
Clinical case: We present the case of a 1-year-11-month-old patient, taken to the Dermatology department due to the presence of a lesion in the gluteal region. The mother reported the onset of the condition four months ago after the presence of semi-liquid stools. Localized dermatosis is observed on both lower limbs, affecting the genital region in the labia majora and the perianal region at the level of the intergluteal folds bilaterally and symmetrically. In the histopathological study, a posterosive Sevestre-Jacquet syphilid was diagnosed.
Conclusion: Sevestre-Jacquet's posterosive syphilitic dermatitis is a rare dermatological condition and its risk of occurrence is greater due to the use of ecological cloth diapers.
Keywords: Diaper Rash, Diapers, Infant, Dermatitis.
Introducción
La dermatitis del pañal es un problema cutáneo común que afecta a casi el 35% de los lactantes y hace referencia exclusivamente a la inflamación de la piel en el área del pañal.1,2 Una forma infrecuente y extensa de dermatitis de pañal es la dermatitis posterosiva de Sevestre-Jacquet, también conocida como eritema pápulo-erosivo de Sevestre y Jacquet o dermatitis sifiloide posterosiva, la cual se asocia a la presencia de un irritante, como las heces y orina o algún componente del pañal que favorezca la humedad excesiva de la piel en contacto con el pañal, lo cual favorece la aparición de lesiones.3,4,5
Caso clínico
Paciente femenina de 1 año y 11 meses que fue llevada a la consulta externa de Dermatología por la presencia de una lesión en la región de los glúteos. Hija única, sin antecedentes patológicos de importancia, la madre refirió uso de pañal de tela sin más especificaciones, con cambio cada tres horas o según fuera necesario; el lavado de los pañales era a mano, con jabón comercial en polvo y agua oxigenada. La madre refirió inicio del padecimiento cuatro meses antes, el cual fue posterior a la presencia de evacuaciones semilíquidas en una ocasión, con un olor descrito como ácido. A la exploración física, se observó dermatosis localizada en ambos miembros inferiores, que afectó la región genital en labios mayores y región perianal a nivel de pliegues interglúteos de forma bilateral y simétrica, caracterizada por once úlceras de distintos diámetros, en un rango de 0.5 a 1 cm, con bordes elevados, bien definidos e hiperpigmentados. El centro de la úlcera se encontraba cubierto por fibrina de evolución crónica (figuras 1 y 2); la madre refirió molestia y llanto al tacto gentil durante la colocación de medicamento tópico. Se prescribió con anterioridad por un pediatra general el uso de un esteroide tópico, el cual empeoró el aspecto de las lesiones.


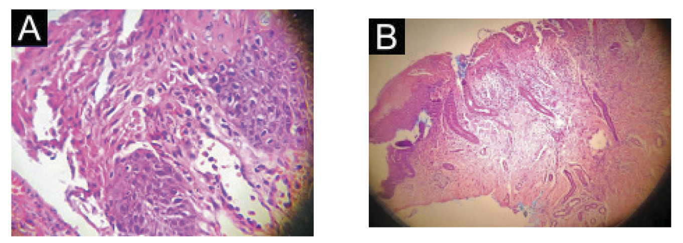
Al momento de la evaluación, la paciente estaba en tratamiento dermatológico con kitoscell-Q; se decidió la suspensión del tratamiento y se realizó biopsia incisional; en el estudio histopatológico se emitió el reporte diagnóstico de sifiloide posterosivo de Sevestre-Jacquet (figuras 3A y 3B). Se inició tratamiento con baños de asiento con Dalidome (sulfato de cobre, sulfato de zinc y alcanfor) diarios por 10 minutos, se sustituyó el uso de pañales de tela por pañales desechables con cambio frecuente, y se indicó la aplicación de pasta de Lassar previamente a la colocación de un nuevo pañal.

Discusión
La dermatitis del pañal suele presentarse antes de los 12 meses, cuando los niños no poseen aún control de esfínteres para controlar sus evacuaciones. Representa aproximadamente el 25% de los motivos de consulta médica en el primer año de vida y su manifestación más común es la dermatitis por contacto.6 En el presente caso clínico hemos descrito un caso de dermatitis del pañal posterosiva de Sevestre-Jacquet, la cual es una forma clínica infrecuente, distinta a la dermatitis de contacto que representa una forma grave de dermatitis de pañal cuya incidencia había ido en descenso en años recientes, gracias a la adopción del uso de pañales desechables.
Hasta la fecha de elaboración de este artículo, únicamente encontramos en la revisión de la literatura un reporte de caso de dermatitis sifiloide posterosiva de Sevestre-Jacquet asociada al uso de pañales reutilizables con diagnostico histológico confirmatorio.7 En Francia, se reportaron cinco casos de dermatitis del pañal entre 2008 y 2010 asociados al uso de pañales de tela reutilizables por al menos seis meses.7
Antes de que la dermatitis del pañal erosiva de Sevestre-Jacquet se identificara como una entidad clínica en 1905, se pensaba que los infantes con esta única presentación de dermatitis del pañal tenían sífilis congénita. La dermatitis sifiloide posterosiva o dermatitis de pañal erosiva de Jacquet es una enfermedad inusual que regularmente afecta a los bebés a partir de los seis meses de edad, pero de igual forma puede ocurrir en adultos con incontinencia fecal o urinaria. Es identificada macroscópicamente por lesiones púrpuro-rojizas, bien demarcadas, con centro umbilicado, de diámetro de 2-5 mm, localizadas en la piel perianal o genital, las cuales frecuentemente evolucionan a erosiones superficiales o úlceras.8,9
Se distingue una gran variedad de mecanismos patogénicos implicados en la dermatitis del pañal, siendo la humedad excesiva de la piel por el contacto prolongado con heces y orina uno de los factores principales. El ambiente húmedo causa la maceración de la piel, incrementando su permeabilidad y haciéndola más sensible al daño por irritantes primarios. Las principales sustancias fecales irritantes identificadas son las proteasas y lipasas secretadas por el páncreas. El amoniaco parece tomar una función indirecta, incrementando el pH de la piel, mediante la acción de las ureasas producidas por bacterias intestinales. Dicho cambio, junto con las sales biliares en las heces, incrementa la actividad de las enzimas proteolíticas y lipolíticas secretadas por el páncreas, intensificando así el daño.10,11,12 Durante los movimientos del lactante se genera una fricción entre el pañal y la piel, ocasionando un daño mecánico a la piel macerada.9
Los factores de riesgo asociados a la ocurrencia de la enfermedad incluyen: incontinencia fecal o urinaria, presencia de residuos de detergente en el pañal, cambio infrecuente del pañal, uso de papel higiénico áspero y diarrea crónica.7 La utilización de pañales desechables y el uso de materiales novedosos en su elaboración han hecho que la dermatitis del pañal erosiva de Sevestre-Jacquet sea una entidad rara e infrecuente.13,8
Aunque la historia y las características clínicas habitualmente son suficientes para el diagnóstico de dermatitis de pañal erosiva de Sevestre-Jacquet, esta debe ser diferenciada de otras condiciones, como las pápulas y nódulos pseudoverrucosos perianales (PNPP), así como del granuloma glúteo del lactante (GGI) (cuadro I).

Diversos autores han postulado la posibilidad de que tanto la dermatitis posterosiva de Sevestre-Jacquet, las pápulas y nódulos pseudoverrucosos perineales y el granuloma glúteo del lactante pueden ser parte de una continuidad de la enfermedad y deberían ser considerados como una sola condición.3,14,15
Las acciones recomendadas para disminuir la incidencia de esta patología incluyen disminuir el tiempo de uso de los pañales, cambiándolos con frecuencia, así como preferir el uso de pañales desechables y superabsorbentes. El uso de preparaciones que contengan óxido de zinc o petrolato parecen proteger la piel de la humedad excesiva.16
Los pañales desechables son artículos de higiene diseñados para absorber y retener la orina y heces. El pañal con las características ideales para prevenir la dermatitis del pañal no existe; sin embargo, los pañales desechables disminuyen la probabilidad de aparición de lesiones cutáneas, así como su severidad gracias al uso de materiales superabsorbentes con gel o aquellos que tienen en su fórmula óxido de zinc y petrolato,17 lo cual disminuye hasta en un 50% la severidad de la dermatitis.18
De acuerdo con Maruani et al., el incremento de esta afección se debe a la creciente tendencia del uso de pañales de tela reutilizables, ya que se consideran más naturales, ecológicos y económicos. El carácter contaminante de los pañales desechables, los cuales requieren más de doscientos años para su descomposición, ha hecho que el uso de alternativas ecológicas sea más frecuente, siendo el pañal de tela el más utilizado.7 Si bien los pañales desechables pueden tener un impacto ecológico negativo, estos no involucran la contaminación por detergentes, que puede estar asociada al uso de pañales de tela.
Cuatro estudios clínicos compararon la seguridad de los pañales desechables de última generación con pañales de tela, evaluando la condición de la piel, la pérdida de agua transepidérmica y el pH de la piel, encontrándose que aquellos lactantes que utilizaron pañales de celulosa combinados con microsensores tuvieron una menor incidencia de eritema que aquellos niños que utilizaron pañales de tela o solo con celulosa.19
Otro estudio clínico realizado en Rusia comparó el uso de pañales desechables con celulosa frente a los de algodón en niños sanos de 1 a 18 meses; los pañales desechables se asociaron a un mejor estado de la piel, menor aparición de eritema y mayor satisfacción por parte de los padres. Al hacer la sustitución de los pañales de algodón por pañales desechables, la mejoría fue visible en tres semanas. Las formas más graves de eritema se observaron en niños que usaban pañales de tela y su incidencia fue menor en quienes usaron pañales desechables con celulosa.20
En el cuadro II se enlistan los casos reportados de dermatitis sifiloide posterosiva de Sevestre-Jacquet analizados para el presente trabajo.
Existe una pobre efectividad del tratamiento tópico con antibióticos, miconazol, óxido de zinc y antiinflamatorios no esteroideos (AINE),. aunque se encuentran reportes que describen una mejoría de las lesiones con sucralfato tópico. Sin embargo, la recuperación completa se consigue únicamente mediante la erradicación de los factores irritantes principales.7,15

Conclusión
En el caso presentado se describe una forma grave de dermatitis del pañal en un lactante, asociada al uso de pañales de tela, siendo el diagnóstico histopatológico definitivo: dermatitis sifiloide posterosiva de Sevestre-Jacquet. Esta condición dermatológica es poco frecuente y su riesgo de ocurrencia es mayor con el uso de pañales ecológicos de tela. Debido a que el uso de pañales desechables en lactantes ha demostrado una menor incidencia de dermatitis del pañal, es preferible su uso con respecto a los pañales ecológicos de tela. Otras medidas preventivas son el recambio frecuente de los pañales y el uso de preparaciones que contengan óxido de zinc o petrolato.
Referencias
1. Román P. Dermatitis del pañal y trastornos relacionados. Pediatría Integr. 2016;XX(3):151-158.
2. Fölster-Holst R. Differential diagnoses of diaper dermatitis. Pediatr Dermatol. 2018;35:s10-s18. doi:10.1111/pde.13484
3. Robson KJ, Maughan JA, Purcell SD, Petersen MJ, Haefner HK, Lowe L. Erosive papulonodular dermatosis associated with topical benzocaine: A report of two cases and evidence that granuloma gluteale, pseudoverrucous papules, and Jacquet’s erosive dermatitis are a disease spectrum. J Am Acad Dermatol. 2006;55(5 Suppl):74-80. doi: 10.1016/j.jaad.2005.12.025
4. Ulrich J, Wesarg I. High Frequency Ultrasound in Dx Pilomatrixoma. Pediatr Dermatol. 1993;18(2):163-168.
5. Molinero-Barranco MA. Lesiones ulcerosas en sacabocados en la región del pañal. Sanid Mil. 2019;75(1):50-51.
6. Cohen B. Differential Diagnosis of Diaper Dermatitis. Clin Pediatr (Phila). 2017;56(5_suppl):16S-22S. doi:10.1177/0009922817706982
7. Maruani A, Lorette G, Barbarot S, Poitier A, Bessis D, Hasselmann C, et al. Re-emergence of papulonodular napkin dermatitis with use of reusable diapers: Report of 5 cases. Eur J Dermatology. 2013;23(2):246-249. doi: 10.1684/ejd.2013.1967
8. Paradisi A, Capizzi R, Ghitti F, Lanza-Silveri S, Rendeli C, Guerriero C. Jacquet erosive diaper dermatitis: A therapeutic challenge. Clin Exp Dermatol. 2009;34(7):385-386. doi: 10.1111/j.1365-2230.2009.03352.x
9. Van L, Harting M, Rosen T. Jacquet erosive diaper dermatitis: A complication of adult urinary incontinence. Cutis. 2008;82(1):72-74.
10. Tüzün Y, Wolf R, Bağlam S, Engin B. Diaper (napkin) dermatitis: A fold (intertriginous) dermatosis. Clin Dermatol. 2015;33(4):477-482. doi: 10.1016/j.clindermatol.2015.04.012
11. Cano LR, Briones VGP, Jové RP, Rodellas AC. Perianal pseudoverrucous papules and nodules after surgery for Hirschsprung disease. J Pediatr. 1994;125(6 Pt 1):914-916. doi: 10.1016/S0022-3476(05)82008-6
12. Rodriguez-Poblador J, González-Castro U, Herranz-Martínez S, Luelmo-Aguilar J. Jacquet erosive diaper dermatitis after surgery for hirschsprung disease. Pediatr Dermatol. 1998;15(1):46-47. doi: 10.1046/j.1525-1470.1998.1998015046.x
13. Hara M, Watanabe M, Tagami H. Jacquet Erosive Diaper Dermatitis in a Young Girl with Urinary Incontinence. Pediatr Dermatol. 1991;8(2):160-161. doi: 10.1111/j.1525-1470.1991.tb00309.x
14. Babuna-Kobaner G, Sun GP, Ozkaya E. A recalcitrant case of Jacquet erosive diaper dermatitis after surgery for Hirschsprung disease in a boy with Waardenburg-Shah syndrome. Dermatol Online J. 2018;24(6):4-7.
15. Ricci F, Paradisina A, Perino F, Capizzini R, Paolucci V, Rendeli C et al. Jacquet erosive diaper dermatitis: a not-so-rare syndrome. Eur J Dermatology. 2014;24(2):250-252.
16. Blume-Peytavi U, Hauser M, Lünnemann L, Stamatas GN, Kottner J, Garcia-Bartels N. Prevention of diaper dermatitis in infants - A literature review. Pediatr Dermatol. 2014;31(4):413-429. doi: 10.1111/pde.12348
17. Sáez de Ocariz-Gutiérrez MM. Estudio comparativo de eficacia entre dos pañales para la prevención y tratamiento de la dermatitis por pañal. Acta Pediatr Méx. 2016;37(6):310-321.
18. Odio MR, O’Connor RJ, Sarbaugh F, Baldwin S. Continuous topical administration of a petrolatum formulation by a novel disposable diaper. 2. Effect on skin condition. Dermatology. 2000;200(3):238-243. doi: 10.1159/000018366
19. Campbell RL, Seymour JL, Stone LC, Milligan MC. Clinical studies with disposable diapers containing absorbent gelling materials: Evaluation of effects on infant skin condition. J Am Acad Dermatol. 1987;17(6):978-987. doi: 10.1016/S0190-9622(87)70287-4
20. Erasala GN, Merlay I, Romain C. Évolution Des Couches À Usage Unique Et Amélioration De L’État Cutané Des Du Siège Enfants. Arch Pediatr. 2007;14(5):495-500. doi: 10.1016/j.arcped.2007.03.002
21. Goldberg NS, Esterly NB, Rothman KF, Fallon JD, Cropley TG, Szaniawski W, et al. Perianal pseudoverrucous papules and nodules in children. Arch Dermatol. 1992;128:240-2.
Información adicional
Declaración de conflicto de interés: los autores han completado y enviado la forma traducida al español de la declaración de conflictos potenciales de interés del Comité Internacional de Editores de Revistas Médicas, y no fue reportado alguno que tuviera relación con este artículo.
Cómo citar este artículo: Dithurbide-Hernández M, del Río-Martínez CJ, Serrano-Vázquez IC, Rodríguez-Patiño G. Dermatitis sifiloide posterosiva de Sevestre-Jacquet asociada al uso de pañales reutilizables: caso clínico. Rev Med Inst Mex Seguro Soc. 2021;59(3):242-7
PubMed: https://www.ncbi.nlm.nih.gov/pubmed/34374577
Enlace alternativo
http://revistamedica.imss.gob.mx/editorial/index.php/revista_medica/article/view/4006 (html)