Resumen:
Introducción: los carcinomas de vejiga de células gigantes parecidas a osteoclasto son un subtipo histológico extremadamente inusual y agresivo de los carcinomas uroteliales. Solamente se encuentran reportados 30 casos en la literatura internacional.
Caso clínico: un paciente masculino de 79 años acudió a valoración a nuestro departamento de Urología por un cuadro de hematuria macroscópica de seis meses de evolución. Como parte de su protocolo diagnóstico se realizó una TC de abdomen y pelvis con fase de eliminación, encontrando un defecto de llenado de 12 mm a nivel de la pared posterior de la vejiga; posteriormente se realizó una cistoscopia confirmando la presencia de un tumor vesical de 1.5 cm, el cuál fue resecado en su totalidad. El análisis por Patología con tinción de hematoxilina y eosina reveló una composición por células mononucleares y células gigantes parecidas a osteoclasto; la inmunohistoquímica fue positiva para marcadores epiteliales CK AE-1/AE-3, EMA, P53 y CD68.
Conclusiones: estos tumores son extremadamente inusuales y agresivos. El único método diagnóstico es a través de inmunohistoquímica en donde se confirme la presencia de marcadores epiteliales para urotelio en las células neoplásicas. Se recomienda un tratamiento quirúrgico radical y a la fecha no existe un tratamiento adyuvante efectivo demostrado. Su supervivencia media global es de 15 meses.
Palabras clave:Neoplasias de la Vejiga UrinariaNeoplasias de la Vejiga Urinaria,Neoplasias UrogenitalesNeoplasias Urogenitales,HematuriaHematuria,UrologíaUrología,Neoplasias UrológicasNeoplasias Urológicas.
Abstract:
Background: Osteoclast-like giant cell bladder carcinomas are an extremely unusual and aggressive histological subtype of urothelial carcinomas. Only 30 cases are reported in the international literature.
Clinical case: A 79-year-old male patient attended our Urology department for a six-month history of macroscopic hematuria. As part of its diagnostic protocol, a CT scan of the abdomen and pelvis with elimination phase was performed, finding a 12-mm filling defect at the level of the posterior wall of the bladder; subsequently, a cystoscopy was performed confirming the presence of a 1.5 cm bladder tumor, which was completely resected. Pathology analysis with hematoxylin and eosin staining revealed a composition of mononuclear cells and osteoclast-like giant cells; immunohistochemistry was positive for epithelial markers CK AE-1 / AE-3, EMA, P53 and CD68.
Conclusions: These tumors are extremely unusual and aggressive. The only diagnostic method is through immunohistochemistry where the presence of epithelial markers for urothelium in neoplastic cells is confirmed. Radical surgical treatment is recommended and to date there is no proven effective adjuvant treatment. Its median overall survival is 15 months.
Keywords: Urinary Bladder Neoplasms, Urogenital Neoplasms, Hematuria, Urology, Urologic Neoplasms.
Casos Clínicos
Carcinoma de vejiga de células gigantes parecidas a osteoclasto: reporte de caso
Osteoclast-Like giant cell bladder carcinoma: Case report

Recepción: 22 Enero 2021
Aprobación: 07 Abril 2021
Presentamos el caso de un paciente masculino de 79 años de edad, con diagnóstico de carcinoma de vejiga de células gigantes parecidas a osteoclasto, un subtipo histológico extremadamente inusual y agresivo de los carcinomas uroteliales. Únicamente existen 30 casos reportados en la literatura a nivel internacional, por lo que la información disponible es muy limitada. A través de este caso clínico se discutirá su presentación, manejo y desenlace, así como los hallazgos de patología e inmunohistoquímica.
Un paciente masculino de 79 años de edad fue referido a nuestro departamento de Urología en el mes de julio de 2020, con un cuadro clínico de seis meses de evolución caracterizado por hematuria macroscópica total, formadora de coágulos amorfos, intermitente, no anemizante, sin otra sintomatología asociada. Al interrogatorio de sus antecedentes, refirió haber sido fumador por 50 años, a razón de 60 paquetes por año (20 cigarros por paquete, índice tabáquico de 10, moderado), actualmente suspendido hace 6 años. También refirió exposición laboral durante 15 años a distintos tipos de solventes, como gasolina, thinner y acetona. Sus antecedentes heredofamiliares oncológicos fueron negados.
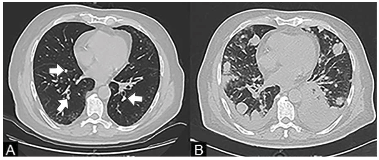
Como parte de su protocolo de estudio, se realizó una tomografía computarizada (TC) con contraste intravenoso de tórax, abdomen y pelvis, revelando múltiples nódulos pulmonares bilaterales de predominio periférico, con un diámetro promedio de 8 mm cada uno, sugestivos de enfermedad metastásica (figura 1).

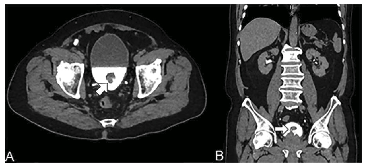
A nivel de vejiga, se observó engrosamiento de la pared posterior con realce hasta las 76 Unidades Hounsfield (UH) en la fase arterial, y un defecto de llenado de 12 mm en la fase de eliminación (figura 2).

Debido a los hallazgos anteriormente mencionados, se decidió realizar una resección transuretral de vejiga (RTUV) de forma urgente, encontrando como hallazgos transquirúrgicos un tumor de 1.5 cm de diámetro de aspecto sésil, localizado a nivel del trígono, con necrosis extensa y friable. Se logró la resección completa del mismo. Posterior al procedimiento quirúrgico, se logró remisión completa de la hematuria y el paciente fue egresado a su domicilio a las 48 horas, con plan de seguimiento por consulta externa.
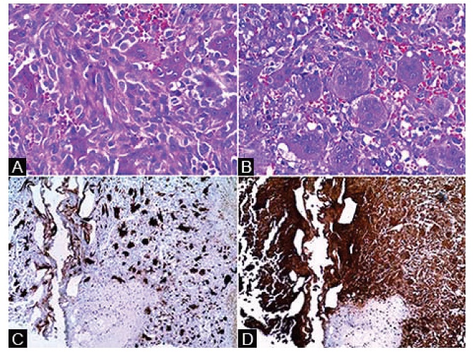
El análisis por Patología de la pieza quirúrgica reveló una composición por dos poblaciones celulares a la tinción con hematoxilina y eosina (H&E): la primera de ellas estaba compuesta por células mononucleares con escaso citoplasma eosinofílico y una morfología en forma de huso, sus características nucleares mostraron cromatina en forma de vesículas y discretos nucleolos (figura 3A); la segunda población estaba compuesta de células gigantes con múltiples núcleos, compatibles con células gigantes parecidas a osteoclasto, con atipias evidentes (figura 3B). Las dos poblaciones celulares se encontraban rodeadas por un estroma altamente vascularizado, con zonas de extravasación eritrocitaria y necrosis extensa.
La inmunohistoquímica fue positiva para marcadores epiteliales CK AE-1/AE-3, EMA y P53 en las células mononucleares y CD68 en las células gigantes parecidas a osteoclasto (figura 3C). Ambas poblaciones celulares fueron positivas a vimentina (figura 3D).

Se solicitó valoración por Oncología médica, quienes refirieron que el paciente no era apto para recibir quimioterapia basada en cisplatino debido a su pobre estado funcional (Eastern Cooperative Oncology Group, ECOG 2). Por la misma razón, el departamento de Urología decidió no realizar una cistectomía radical y en su lugar mantenerlo en vigilancia estrecha, realizando nuevas RTUV según se ameritara como tratamiento paliativo. Dos meses posteriores a la cirugía, nuestro paciente fue hospitalizado debido a infección por COVID-19. La TC de tórax realizada en ese momento reveló derrame pleural bilateral, patrón intersticial y una rápida progresión de la enfermedad metastásica (figura 1B). Lamentablemente, murió debido a complicaciones relacionadas a la infección por COVID-19 y la enfermedad metastásica a los dos meses de realizado el diagnóstico.
De acuerdo con la clasificación de tumores del tracto urinario y genitales masculinos en su actualización 2016, de la Organización Mundial de la Salud, los tumores del tracto urinario están divididos en variantes uroteliales y no uroteliales,1 estas últimas representan cerca del 25% del total y su incidencia ha ido en aumento en los últimos años, principalmente gracias a un mayor conocimiento de los mismos por parte de los urólogos y patólogos.2,3
A su vez, las subdivisiones histológicas de los carcinomas no uroteliales se encuentran predominantemente basadas en su morfología observada con tinción de hematoxilina y eosina,4 pudiendo encontrar características escamosas, adenocarcinomatosas y neuroendócrinas, ya sea de forma pura o mixta.2,5
Dentro de los tumores de vejiga, los carcinomas no uroteliales son poco frecuentes y representan un verdadero reto diagnóstico debido a que solo entre el 1 y el 5% son de origen primario;2,6 la RTUV inicial tiene una baja sensibilidad,7 detectando solo el 53% de los casos,8 y algunos subtipos histológicos pueden aparentar ser lesiones de aspecto benigno.9
Generalmente se presentan en pacientes con una edad y estadio clínico más avanzados, frente a sus contrapartes de variedad urotelial.10,11,12Su pronóstico es malo, independientemente de su estadio clínico,13,14 con una tasa de supervivencia libre de recurrencia a los 2 y 5 años de 62.0% ± 3.0% y 57.0% ± 3.0%, respectivamente; y una tasa de supervivencia específica a cáncer a 2 y 5 años de 68.0% ± 2.0% y 58.0% ± 3.0%, respectivamente.15 Las terapias neoadyuvantes tienen resultados muy variables en su impacto en la supervivencia de los pacientes, dependiendo mucho del subtipo histológico,16,17 por lo que hasta el momento la cistectomía radical continúa siendo el estándar de oro para su tratamiento,4,18 debiéndose realizar dentro de las primeras ocho semanas de su diagnóstico para evitar comprometer la supervivencia del paciente.19
Dentro de las variantes histológicas no uroteliales, los carcinomas de células gigantes parecidas a osteoclasto del tracto urinario son subtipos extremadamente raros, con solo 30 casos reportados en la literatura internacional.20,21 Tienen un fuerte predominio en pacientes del sexo masculino y típicamente producen síntomas inespecíficos, siendo la hematuria el más común.20,22 Se caracterizan por dos tipos de poblaciones celulares: células mononucleares con atipia leve a moderada y expresión de marcadores epiteliales CK AE-1/AE-3, CAM 5.2, CK7 y EMA, y células gigantes parecidas a osteoclasto con expresión de marcadores CD68, LCA, CD51 y CD54.21,22 Ambas poblaciones son positivas a vimentina y fosfatasa ácida.23
Su patogénesis es aún desconocida, pero una de las teorías afirma que estas no son células óseas verdaderas debido a que hay diferencias clave en su perfil inmunohistoquímico, como la expresión de marcadores epiteliales para urotelio. Se cree que en realidad podrían ser una variedad inusual y agresiva de los carcinomas uroteliales que posteriormente se diferencian hacia una morfología de células gigantes óseas.22
Su apariencia a la cistoscopía es la misma a la de un carcinoma urotelial. Entonces, la única manera de realizar un diagnóstico es a través del análisis patológico y su complementación con inmunohistoquímica.24
Los carcinomas de células gigantes parecidas a osteoclasto del tracto urinario tienen un pobre pronóstico global, con una sobrevida media reportada menor a los 15 meses (cuadro I).25 Es por esto que se recomienda un tratamiento quirúrgico radical debido a la naturaleza agresiva de estos tumores, y a que, a la fecha, no existe un tratamiento adyuvante efectivo demostrado.20
El corto periodo de seguimiento otorgado a nuestro paciente, secundario a la presentación avanzada de su enfermedad, se reconoce como la principal limitante de este reporte de caso. Su pobre estado funcional también impidió ser candidato a recibir quimioterapia sistémica como tratamiento adyuvante, lo cual hubiera extendido potencialmente su supervivencia.
Posterior a la búsqueda sistemática en revistas indexadas, no se encontraron reportes de casos similares a nivel nacional o en América Latina con los cuales se pudiera contrastar los hallazgos de inmunohistopatología, tratamiento y seguimiento otorgados al paciente.
Los casos publicados en revistas indexadas internacionales, tratamiento y seguimiento, se encuentran resumidos en el cuadro I. Destaca que solo dos pacientes recibieron un tratamiento similar al nuestro (RTUV) en lugar de una cirugía radical, uno de ellos presentando recidiva temprana a los cuatro meses; posteriormente se desconoce su seguimiento y supervivencia. El estándar de oro de tratamiento para estos pacientes continúa siendo la cirugía radical temprana, antes de las ocho semanas posteriores al diagnóstico inicial.
La mayor fortaleza de este artículo son las microfotografías de patología e inmunohistopatología presentadas; las cuales, a nuestro conocimiento, son las de mayor calidad encontradas en la literatura. Al ser una patología sumamente inusual, consideramos que estas pudieran ayudar a identificar futuros casos.
Declaración de conflicto de interés: los autores han completado y enviado la forma traducida al español de la declaración de conflictos potenciales de interés del Comité Internacional de Editores de Revistas Médicas, y no fue reportado alguno que tuviera relación con este artículo.
Cómo citar este artículo: Amaya-Fragoso E, Dantés-Duran MA, Pérez-Torres EK, García-Pérez CM. Carcinoma de vejiga de células gigantes parecidas a osteoclasto: reporte de caso. Rev Med Inst Mex Seguro Soc. 2021;59(3):253-9.
PubMed: https://www.ncbi.nlm.nih.gov/pubmed/34375035
http://revistamedica.imss.gob.mx/editorial/index.php/revista_medica/article/view/3923 (html)


