Resumen:
Introducción: El síndrome de Parry-Romberg se caracteriza por hemiatrofia progresiva de la piel, el tejido subcutáneo, los músculos y los huesos del cráneo. Su incidencia es baja, y su curso es progresivo y lento. Se desconoce su etiología, pero se ha asociado a diversos factores. Su presentación clínica involucra manifestaciones dermatológicas, musculoesqueléticas y neuropsiquiátricas. El tratamiento consiste en estrategias médicas y quirúrgicas. El uso de esteroides, solos o en combinación con inmunomoduladores, tiene el objetivo de frenar la progresión. El tratamiento quirúrgico consiste en reconstrucción facial o regeneración volumétrica, a fin de corregir la apariencia y la función de las estructuras faciales. Se presentan tres casos de síndrome de Parry-Romberg con las características representativas de la enfermedad.
Casos clínicos: 1) Mujer de 41 años, con atrofia e hipocromía supraciliar derecha, asociadas a crisis convulsivas y cefalea. 2) Mujer de 43 años, con deformación parietal y atrofia supraciliar derecha, asociadas a parálisis facial, depresión y cefalea. 3) Mujer de 36 años, con atrofia hemifacial derecha asociada a afección ocular y cefalea. El tratamiento se basó en esteroide sistémico más un agente citostático. El tratamiento quirúrgico se valoró de acuerdo con la afectación de la estructuras faciales.
Conclusiones: El síndrome de Parry-Romberg es una enfermedad rara caracterizada por una atrofia progresiva. Las manifestaciones clínicas determinan el diagnóstico y el inicio temprano del tratamiento médico y quirúrgico.
Palabras clave:Hemiatrofia FacialHemiatrofia Facial,Terapia CombinadaTerapia Combinada,Síndrome de Parry RombergSíndrome de Parry Romberg.
Abstract:
Background: Parry-Romberg syndrome is characterized by progressive hemiatrophy of the skin, subcutaneous tissue, muscle and bones of the skull. Its incidence is low, with a progressive and slow course. Its etiology is unknown, but it has been associated with several factors. Its clinical presentation involves dermatological, musculoskeletal and neuropsychiatric manifestations. The treatment consists of medical and surgical strategies. The use of steroids, alone or in combination with immunomodulators, has the objective of slowing down progression. The surgical treatment lies in facial reconstruction or volumetric regeneration, to correct the appearance and function of facial structures. The objective is to show three cases of Parry-Romberg syndrome with the representative characteristics of the disease.
Clinical cases: 1) A 41-year-old woman with atrophy and right supraciliary hypochromia associated with seizures and headache. 2) A 43-year-old woman with parietal deformation and right supraciliary atrophy, associated with facial paralysis, depression and headache. 3) A 36-year-old woman with right hemifacial atrophy associated with ocular involvement and headache. The indicated treatment was based on a systemic steroid plus a cytostatic agent. The surgical treatment was evaluated according to the affection of facial structures.
Conclusions: Parry-Romberg syndrome is a rare disease, characterized by progressive atrophy. Clinical manifestations determine the diagnosis and early start of medical and surgical treatment.
Keywords: Facial Hemiatrophy, Combined Modality Therapy, Parry Romberg Syndrome.
Casos clínicos
Parry-Romberg, un síndrome neurocutáneo: presentación de tres casos
Parry-Romberg, a neurocutaneous syndrome: presentation of three cases
Recepción: 11 Septiembre 2019
Aprobación: 11 Marzo 2020
El síndrome de Parry-Romberg (SPR), o atrofia progresiva hemifacial, fue descrito por Parry en 1825 y por Romberg en 1846. Se caracteriza por una hemiatrofia progresiva de la piel, el tejido celular subcutáneo, los músculos y los huesos, unilateral o bilateral (con menor frecuencia). Usualmente se limita a la cara y el cráneo, pero puede extenderse al cuello, los brazos, la espalda y la mama homolaterales. Se presenta en las primeras décadas de la vida, aunque existen casos de inicio en la edad adulta. El SPR progresa lentamente y puede detenerse de forma espontánea después de un tiempo de evolución, que varía de 2 a 20 años. Es más frecuente en las mujeres (66%) y su principal diagnóstico diferencial es la esclerosis en golpe de sable.1,2,3
El SPR se asocia a factores hereditarios, autoinmunitarios, infecciosos y traumáticos. Pueden encontrarse anticuerpos antinucleares (ANA) en el 25-52% de los casos, anticuerpos antiácido desoxirribonucleico (DNA) de doble cadena en el 33%, anticuerpos anticentrómero, antihistona y anticardiolipina, y factor reumatoide. La enfermedad de Lyme ha sido descrita por algunos autores como desencadenante de este síndrome, pero su asociación no está clara.1,2,3
El SPR afecta los dermatomas de uno o varios ramos del trigémino. Desde el punto de vista dermatológico es característica la depresión lineal en el área frontoparietal y en la región media de la frente, con extensión hacia la nariz, la mejilla y el labio superior homolaterales, con zonas de hiperpigmentación o hipopigmentación, alopecia y atrofia de la piel.1,4
En la cavidad oral puede haber atrofia unilateral de la lengua y de los músculos masticatorios, hipoplasia de paladar (blando y duro) y ausencia de piezas dentales. El grado de atrofia facial se relaciona con enoftalmos y desviación de la comisura labial y de la nariz hacia el lado afectado. La extensión al globo ocular se manifiesta como ptosis, uveítis, exoftalmos y dolor retrobulbar. La gravedad es proporcional al tiempo de evolución.1,5,6,7
Algunos autores describen la gravedad de acuerdo con la afectación del nervio trigémino de la siguiente forma: leve, cuando la atrofia se limita al trayecto de un solo ramo del nervio trigémino; moderada, cuando se limita a dos ramos; y grave, cuando afecta los tres ramos. Sin embargo, esta no es una clasificación aplicable a todos los pacientes.8
Las crisis convulsivas son la manifestación neurológica más asociada al SPR (60.5%) y pueden ser la primera manifestación neurológica en el 58% de los pacientes; suelen ser de difícil manejo y requerir múltiples anticomiciales para su control. La epilepsia en general se ha identificado como factor de riesgo para suicidio, por lo que la valoración psiquiátrica es muy importante en el paciente con SPR. La migraña y la neuralgia del trigémino se asocian hasta en el 45% de los pacientes, y el 5% de estos presentan anormalidades cerebrales homolaterales. En la literatura se encuentran reportes de casos de eventos cerebrovasculares isquémicos debidos a malformaciones en los vasos arteriales en el SPR.3,9,10,11,12,13
En el electroencefalograma (EEG) podemos encontrar descargas en los lóbulos frontal y temporal, enlentecimiento y anormalidades generalizadas, con o sin evidencia de lesiones cerebrales por la imagen; no obstante, en el 48% de los casos no hay alteraciones en el EEG. Además, hasta un 46% de los pacientes con SPR pueden presentar ansiedad; la depresión, el deterioro cognitivo y las alucinaciones ocurren en menor proporción.14
Histológicamente se observa infiltrado de células mononucleares y atrofia de la dermis, la epidermis, el tejido celular subcutáneo, los vasos y los folículos pilosos; hallazgos similares a los de la esclerodermia. En la biopsia cerebral se observa malformación microvascular y macrovascular, con inflamación parenquimatosa.1
Se sugiere que el paciente con SPR cuente con una tomografía computarizada (TC) y una resonancia magnética (RM) al momento del diagnóstico y durante el seguimiento, con el objetivo de valorar la extensión y planear el tipo de tratamiento quirúrgico y el mejor momento para su realización. Cuando hay afección del sistema nervioso central (SNC), la TC y la RM muestran atrofia del parénquima cerebral, lesiones en la materia blanca y calcificaciones focales subcorticales. La RM puede mostrar hiperintensidades en las regiones subcorticales, el cuerpo calloso y los ganglios basales, en ponderación T2, compatibles con vasculitis, además de calcificación subcortical y ganglios basales, dilatación ventricular, aneurisma de arteria cerebral media e hipoplasia de la arteria vertebral.
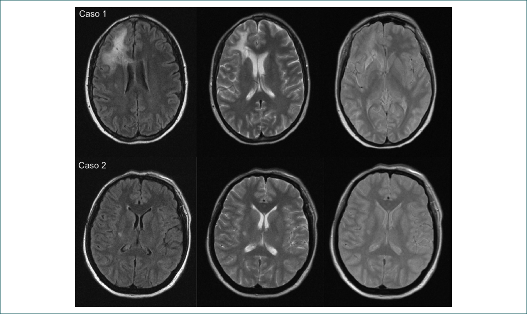
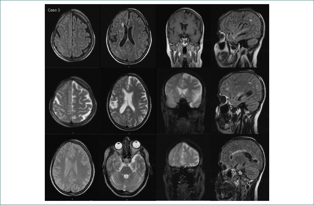
A continuación se presentan tres casos de pacientes con SPR y afección del SNC clínica y evidente por RM.12,15
Mujer de 41 años cuyos síntomas comenzaron con atrofia supraciliar derecha, diagnosticada inicialmente como esclerosis en golpe de sable. Evolucionó con discromía y atrofia del tejido celular subcutáneo en la hemicara derecha, con extensión al hombro homolateral, y posteriormente presentó crisis convulsivas tónico-clónicas generalizadas y cefalea. La RM reportó datos compatibles con vasculitis del SNC (Fig. 1), que no se corroboró con una biopsia. La paciente presentó prueba de ANA con 1:160 (nucleolar) y luego 1:80 (moteado fino), anticuerpos anti-DNA y anticuerpos anticitoplasma de neutrófilos (ANCA) negativos, factor reumatoide 10.1 y proteína C reactiva de 11.3. Se concluyó diagnóstico de SPR. Se prescribió el uso de 1 g de ciclofosfamida (CFM), pero la paciente presentó leucocitopenia grave con la primera dosis, por lo que se cambió a azatioprina (AZT) a dosis de 1 mg/kg de peso (50 mg) y se logró el control de la enfermedad luego de 1 año de tratamiento. Se realizó injerto graso en la frente, el mentón y el hombro con cirugía plástica; además, la paciente requirió tratamiento anticonvulsivante. En el seguimiento, la paciente se encuentra con control de crisis convulsivas, sin cefalea y sin deterioro neurológico, aunque persiste el tratamiento con AZT.

Mujer de 43 años cuyos síntomas iniciaron a los 8 años, después de un traumatismo craneoencefálico. La paciente presentó dermatosis no especificada en la región parietal derecha, la cual progresó con alopecia, atrofia y deformación ósea hasta el área supraciliar homolateral. A los 19 años de edad presentó parálisis facial periférica homolateral y requirió blefaroplastia en tres ocasiones. A los 27 años de edad se le realizó rinoplastia. Cursó con trastorno depresivo mayor, que requirió tratamiento con paroxetina por 3 años, y cefalea de características migrañosas (unilateral, derecha, duración > 5 horas, acompañada de fotofobia, náusea y vértigo). A los 40 años de edad se confirmó el diagnóstico de SPR por la evolución y una biopsia con reporte de fibrosis intersticial y perivascular en la dermis, con ausencia de folículos pilosos, reportada como esclerosis localizada. La TC reportó hemiatrofia parenquimatosa cerebral derecha y la RM mostró imágenes compatibles con vasculitis del SNC homolateral (Fig. 1), no corroborada por la biopsia. En este caso no se realizó EEG por no haber crisis convulsivas. La prueba de ANA reportó 1:160 (moteado fino), los anticuerpos anti-DNA y ANCA fueron negativos, el factor reumatoide 0.8 y la proteína C reactiva 3.28. La paciente recibió tratamiento con metilprednisolona (MPD), seguida de CFM (1 g mensual durante 6 meses y posteriormente bimensual por 12 dosis), con respuesta después de 1 año de tratamiento.
Mujer de 36 años cuyos síntomas comenzaron a los 4 años con una mancha hipocrómica en la región facial frontal derecha, que evolucionó con hundimiento lineal y alopecia. Se diagnosticó como esclerosis en golpe de sable. Recibió dapsona y griseofulvina (se desconocen las dosis) hasta los 14 años, y los síntomas progresaron con una zona de hipercromía en la región mandibular, esclerosis dérmica, deformidad ósea y atrofia hemifacial homolateral, tratada con prednisona (PD), suspendida por síndrome de Cushing. La TC y la RM (Fig. 2) mostraron lesión parenquimatosa y datos compatibles con vasculitis en el SNC, por lo que se concluyó que se trataba de un SPR. La paciente evolucionó con extensión ocular derecha (refirió dolor ocular y disminución de la agudeza visual monocular, sin datos de neuritis en la exploración oftalmológica; en la RM se observó el globo ocular retraído y el nervio óptico plegado) y cefalea hemicraneana incapacitante sin respuesta a los analgésicos. Presentó ANA de 1:80 (nucleolar y segunda determinación con moteado fino). Los anticuerpos anti-DNA y ANCA fueron negativos, y la proteína C reactiva fue de 3.14. Se inició tratamiento con MPD (1 g mensual por 6 meses), seguido de PD (15 mg/día) y de metotrexato (MTX) (10 mg a la semana), con aparente estabilización y posterior recaída, por lo que se reinició tratamiento con MPD y CFM (1 g mensual por 6 meses, seguido de dosis bimensual hasta 12 dosis), con MTX como mantenimiento, a pesar de lo cual en el seguimiento persistió con cefalea de difícil manejo. El tratamiento quirúrgico incluyó colocación de placa por disfunción temporomandibular, lipoinyecciones en cuatro ocasiones, rinoplastia e injerto de cabello.

En los tres casos presentados son evidentes la afección y la evolución que caracterizan al SPR, predominantemente en mujeres, con inicio en la niñez. El tiempo de evolución en estos casos fue muy variable, de 6 a 35 años. Solo en una paciente se detectó un posible detonador, descrito como un traumatismo leve en el cráneo.1
Los tres casos presentaron afección en el SNC y manifestaciones neuropsiquiátricas, con lo que evidenciaron que se trata de un síndrome neurocutáneo. Solo un caso se presentó con crisis convulsivas, las cuales se controlaron luego del tratamiento inmunosupresor aunado a anticomiciales. La cefalea y la depresión fueron síntomas comunes. Solo un caso cursó con afección ocular, la cual se describe hasta en el 40%, principalmente enoftalmos.16
Es frecuente que en las etapas tempranas se diagnostique esclerosis en golpe de sable, como sucedió en estos casos, y que durante la evolución se catalogue como SPR. La relación entre estos dos padecimientos no es clara; pueden considerarse diferentes espectros de esclerosis localizada que se diferencian por su extensión. Como ya se mencionó, no existen biomarcadores diagnósticos, pero pueden encontrarse diversos anticuerpos. Los casos presentados mostraron positividad para ANA y uno tuvo factor reumatoide y proteína C reactiva elevados. Los tres casos fueron negativos para anticuerpos anti-DNA y ANCA. Se ha descrito SPR asociado a vitíligo, pero la relación con otras enfermedades autoinmunitarias no está clara. Una de las pacientes presentaba hipotiroidismo, aunque no se reportaron otras enfermedades autoinmunitarias asociadas (Cuadro I).1,17,18

En la experiencia del servicio de medicina interna de este centro hospitalario consideramos importante la realización de estudios de imagen tanto en el diagnóstico como en el seguimiento del SPR, con la intención de definir si la extensión osteomuscular es relevante (considerando la clínica y la estética) para determinar el tipo y el momento del tratamiento quirúrgico.
Los síntomas neurológicos deben ser predictores de anormalidades en la RM. La extensión al SNC con RM debe utilizarse para identificar datos sugerentes de vasculitis, sobre todo en presencia de síntomas como crisis convulsivas o cefalea de difícil control. En la experiencia de este centro hospitalario, recomendamos valorar la presencia de lesiones por RM como la principal indicación para el inicio o el cambio del tratamiento inmunosupresor.15
El objetivo principal del tratamiento médico del SPR es frenar la enfermedad activa y disminuir la deformidad de los tejidos osteomusculares. No existe un tratamiento bien definido. Desde su descripción en 1825 y 1846 hasta la fecha se han reportado casos de SPR tratados de formas diferentes, ya que no existen esquemas estandarizados de tratamiento. Antes del incio del tratamiento médico debe hacerse una valoración clínica en la que se establezca evidencia de actividad. Son útiles las fotografías para valorar los cambios a lo largo del tiempo. De forma convencional se han usado corticosteroides solos o en combinación con MTX, así como CFM, ciclosporina, D-penicilamina e hidroxicloroquina, al igual que en otros subgrupos de esclerosis localizada.1,17,19,20
Se ha sugerido el MTX como tratamiento estándar, pero se dispone de pocos estudios que comparen su efectividad contra placebo en pacientes con esclerosis localizada, y no hay ensayos clínicos específicos para el SPR. Se desconoce el tiempo de tratamiento requerido para el control de la enfermedad y se ha descrito de forma muy variable; se proponen dosis de MTX de 15 mg/m2 semanales por al menos 12 meses, con PD a dosis de 1 mg/kg al día por 3 meses y reducción gradual en 1 a 4 meses.20,21,22
En el caso presentado por Kuah, et al.23 se otorgó tratamiento con 10 mg de MTX cada semana, determinado por consenso interdisciplinario de reumatología, neurología y dermatología, con un seguimiento de 6 meses. En el caso presentado por Anderson et al.24, con el uso de MTX se observó una remisión completa de las crisis convulsivas.
Según la experiencia de nuestro centro hospitalario con otras formas de esclerosis localizada, se utilizaron esquemas de tratamiento con dosis altas de MPD en combinación con AZT, MTX o CFM a modo de modificadores de la enfermedad, con el objetivo de disminuir el tiempo de evolución y, por lo tanto, el grado de afectación y de deformidad osteomuscular (Cuadro II).

En los casos presentados, la presencia de vasculitis del SNC no fue demostrada por biopsia; sin embargo, la RM con datos sugerentes de vasculitis fue determinante en el uso de AZT, MTX y CFM aunados a esteroides, con los que se obtuvieron diferentes respuestas: en los casos 1 y 2, estabilización de la enfermedad luego de 1 año de tratamiento (con mejor respuesta en la paciente que incluía AZT en el esquema), y en el caso 3, progresión más agresiva a pesar del tratamiento. En el caso presentado por Yamasaki, et al.,25 la evolución de la enfermedad se detuvo luego de 13 años con tratamiento con PD. En estos pacientes es difícil determinar si la respuesta fue dependiente de la intervención o de las características propias de cada caso y el curso natural autolimitado de la enfermedad.
En la literatura se ha sugerido el tratamiento quirúrgico una vez estabilizada la enfermedad con el fin de evitar múltiples intervenciones por progresión del defecto. Aunque no haya progresión de la enfermedad, el tratamiento quirúrgico requiere procedimientos repetidos para lograr una mejoría en la asimetría facial, con un resultado a largo plazo en la reconstrucción facial o la regeneración volumétrica, a fin de corregir la apariencia y la función de las estructuras faciales y minimizar los efectos psicosociales.8,16,26
La reconstrucción de los tejidos blandos incluye injerto autólogo de grasa, piel, cartílago, hueso o músculo. De acuerdo con el grado de afectación, pueden ser necesarios injertos óseos e inclusive el uso de prótesis hechas a medida, ya sea de polimetilmetacrilato, hidroxiapatita, polietileno o titanio, con buenos resultados en la apariencia.27
Se han utilizado dispositivos funcionales que estimulan el crecimiento mandibular, a pesar de la progresión de la enfermedad, con el objetivo de limitar la deformidad osteomuscular. Para la corrección de la anoftalmia se han utilizado con éxito inyecciones de ácido hialurónico. Es recomendable que antes de proceder al tratamiento estético se tenga la certeza del control de la enfermedad, ya que la progresión de esta incrementa el número de procedimientos estéticos requeridos, como ocurrió en el caso 3. Sin embargo, no existe un tiempo establecido para determinar remisión, respuesta al tratamiento o recidiva.27,28,29
A pesar de las múltiples opciones de tratamiento quirúrgico, la liposucción y el relleno graso son la terapia estándar de estos pacientes, aunque se ha descrito que solo un 40-70% de las células grasas transferidas a la cara sobreviven, por lo que algunos autores proponen el enriquecimiento con células madre o vitamina C. El resultado de estas terapias es dependiente del operador.27,30,31
Finalmente, se sugiere complementar el manejo de estos pacientes con valoración psiquiátrica, a partir de una historia psiquiátrica detallada y EEG en caso de síntomas en la primera valoración, con inicio de tratamiento psiquiátrico temprano si se identifica un trastorno. Se recomienda la revaloración constante del paciente para el manejo de síndromes dolorosos asociados y vigilancia de datos precoces de deterioro. La atención por personal de salud mental de manera temprana y posterior a la progresión de la enfermedad es importante para la calidad de vida de estos pacientes.32,33
El SPR es una enfermedad rara que se caracteriza por una afectación neurocutánea, que repercute en deformidad osteomuscular y afección al SNC con atrofia del parénquima y vasculitis, acompañado de síntomas neuropsiquiátricos. El SPR puede beneficiarse del uso de AZT, MTX y CFM acompañados de esteroides, sobre todo si la RM muestra datos sugerentes de vasculitis del SNC. El tratamiento médico debe dirigirse a frenar la evolución de la enfermedad para poder beneficiar al paciente con un tratamiento quirúrgico con la menor cantidad posible de procedimientos; asimismo, el manejo psiquiátrico debe incluirse en la valoración inicial, así como en el seguimiento del paciente.
Los autores han completado y enviado la forma traducida al español de la declaración de conflicto potencial de intereses del Comité Internacional de Editores de Revistas Médicas, y no fue reportado ninguno que tuviera relación con este artículo.
Protección de personas y animales. Los autores declaran que para esta investigación no se han realizado experimentos en seres humanos ni en animales.
Confidencialidad de los datos. Los autores declaran que han seguido los protocolos de su centro de trabajo sobre la publicación de datos de pacientes.
Derecho a la privacidad y consentimiento informado. Los autores declaran que en este artículo no aparecen datos de pacientes.
PubMed: https://pubmed.ncbi.nlm.nih.gov/34002997/
Cómo citar este artículo: Olvera-Acevedo A, Carreño-Pérez P, Zaldívar-López N, Medina-Fonseca B, Duarte-García A. Parry-Romberg, un síndrome neurocutáneo: presentación de tres casos. Rev Med Inst Mex Seguro Soc. 2020;58(3):358-365.



