Resumen:
Introducción: La linfohistiocitosis hemofagocítica es una enfermedad de evolución potencialmente fatal, caracterizada por la activación de macrófagos y de histiocitos con hemofagocitosis en la médula ósea y en otros sistemas reticuloendoteliales, desencadenada por un defecto en los linfocitos T al estimular la producción de interleucina 1-beta, interleucina 6, interferón gamma y factor de necrosis tumoral alfa, que promueven la activación de los macrófagos. Esta afección cursa con fiebre, citopenias, esplenomegalia, hemofagocitosis en la médula ósea, hipertrigliceridemia e hipofibrinogenemia, en el contexto de una enfermedad infecciosa, neoplásica o autoinmunitaria. El objetivo de este artículo es describir la utilidad de la inmunoglobulina intravenosa (IgIV) en pacientes que no pueden recibir tratamiento inmunosupresor.
Casos clínicos: Se presentan dos casos de lupus eritematoso sistémico (LES) con síndrome de activación macrofágica (SAM), uno asociado a vasculitis del sistema nervioso central y otro a neutropenia febril, ambos con infección bacteriana agregada.
Conclusiones: El diagnóstico de SAM en pacientes con actividad lúpica se debe sospechar en caso de fiebre, citopenias, visceromegalias, hipertrigliceridemia e hipofibrinogenemia. Un diagnóstico y un tratamiento oportunos son importantes para disminuir de manera considerable la mortalidad. Se propone que el tratamiento de primera línea en los pacientes con LES asociado a SAM y sepsis sea la IgIV, y como segunda línea un inmunosupresor con un esteroide intravenoso.
Palabras clave:Linfohistiocitosis HemofagocíticaLinfohistiocitosis Hemofagocítica,Síndrome de Activación MacrofágicaSíndrome de Activación Macrofágica,Lupus Eritematoso SistémicoLupus Eritematoso Sistémico.
Abstract:
Background: The hemophagocytic lymphohistiocytosis is a disease with a potential fatal evolution, caused by the activation of macrophages and histiocytes with hemophagocytosis in bone marrow and other reticuloendothelial systems, triggered by a defect in the T lymphocyte when stimulating the production of interleukin 1-beta, interleukin 6, interferon-gamma and tumor necrosis factor-alpha that promote macrophage activation. This condition presents with fever, cytopenias, splenomegaly, hemophagocytosis in bone marrow, hypertriglyceridemia and hypofibrinogenemia, in the context of an infectious, neoplastic or autoimmune disease. The objective of this article is to describe the utility of intravenous immunoglobulin (IVIg) in patients unable to receive immunosuppressive treatment.
Case reports: We present two case reports of systemic lupus erythematosus (SLE) with macrophage activation syndrome (MAS), one of them associated with central nervous system vasculitis and the other one with febrile neutropenia, both with bacterial infection added.
Conclusions: The diagnosis of MAS should be suspected in all patients with lupus activity, fever, cytopenias, visceromegalies, hypertriglyceridemia and hypofibrinogenemia. Diagnosis and treatment are important to significantly reduce mortality. It is proposed that the first line treatment in patients that present SLE associated with MAS and sepsis should be IgIV and as a second line immunosuppressants with intravenous steroids.
Keywords: Lymphohistiocytosis, Hemophagocytic, Macrophage Activation Syndrome, Lupus Erythematosus, Systemic.
Caso clínico
Inmunoglobulina intravenosa en el síndrome de activación macrofágica asociado a lupus eritematoso sistémico
Recepción: 27 Diciembre 2019
Aprobación: 10 Junio 2020
El síndrome de activación macrofágica (SAM) pertenece al grupo de los síndromes hemofagocíticos secundarios. Fue descrito por primera vez en 1985 por Hadchouel et al.1 en una serie de pacientes con artritis idiopática juvenil sistémica; su denominación como SAM fue propuesta en 1993 por los mismos investigadores. Se asocia comúnmente con artritis idiopática juvenil, pero también se ha informado en casos de enfermedad de Kawasaki, enfermedad de Still de inicio en adultos, artritis reumatoide, síndrome de Sjögren, dermatomiositis, enfermedad mixta del tejido conectivo, esclerosis sistémica y lupus eritematoso sistémico (LES),2 con predominio en las mujeres.3 Se caracteriza por una excesiva activación y expansión de linfocitos T y macrófagos que tienen una actividad hemofagocítica. Esta activación y expansión celular excesiva conduce a la sobreproducción de citocinas tales como las interleucinas (IL) 1-beta y 6, el factor de necrosis tumoral alfa (TNF-a) y el interferón gamma, y conduce a un estado hiperinflamatorio asociado a citopenias, disfunción hepática y coagulopatía.3,4,5
El síndrome hemofagocítico relacionado con el LES es una afección rara y potencialmente mortal, con una incidencia reportada del 0.9-4.6%.6 Ambas enfermedades comparten similitudes clínicas y una amplia variedad de diagnósticos diferenciales. La terapia de primera línea para el tratamiento del SAM asociado a enfermedades autoinmunitarias incluye dosis altas de corticosteroides e inmunosupresores, como ciclofosfamida y ciclosporina.7 En los casos refractarios se ha utilizado inmunoglobulina intravenosa (IgIV) en dosis altas (1-1.5 g/kg/día)8 y un inhibidor del TNF-a (etanercept);9 sin embargo, hay pocos estudios que documenten el manejo de estos pacientes en el contexto de infecciones bacterianas agregadas.
Se presentan dos casos clínicos de pacientes con LES asociado a SAM y sepsis que recibieron manejo con IgIV. Se revisan la incidencia, los factores precipitantes y el tratamiento de esta asociación. El objetivo es hacer énfasis en el uso de la IgIV.
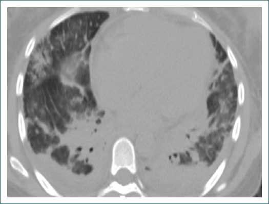
Mujer de 32 años, previamente sana, primigesta; a las 33 semanas de gestación debutó con preeclampsia grave y se le detectó óbito, por lo que se le practicó interrupción quirúrgica del embarazo. A los 5 días presentó nuevamente descontrol hipertensivo, cefalea holocraneana y amaurosis. La resonancia magnética de cráneo mostró datos de trombosis venosa del seno longitudinal superior. Durante el internamiento se inició protocolo para síndrome de anticuerpos antifosfolípido, con anticoagulante lúpico negativo; anticardiolipinas normales, IgG 4.2 GPL/ml (< 20 GLP/ml), IgM 6.49 MPL/ml (< 20 MLP/ml); anticuerpos anti-beta(2)-glucoproteína I normales: IgG 8.2 GPL/ml (< 20 GLP/ml) e IgM 11.2 MPL/ml (< 20 MLP/ml). A los 2 meses la paciente presentó úlceras orales, adenopatías cervicales, fiebre de 38.5 °C y artralgias, por lo que acudió nuevamente al hospital y presentaba neutropenia grave, linfocitopenia y anemia microcítica hipocrómica. Se inició protocolo para descartar enfermedad infecciosa, autoinmunitaria o neoplásica. Se realizó panel para virus herpes simple 1 y 2, virus de Epstein Barr y citomegalovirus, y serología para virus de las hepatitis B y C, y para virus de la inmunodeficiencia humana (VIH), los cuales fueron negativos. Factor reumatoide 10 UI/ml, crioglobulinas y anticuerpos anticitoplasma de neutrófilos negativos. Cultivo de expectoración: crecimiento de flora no patógena. Hemocultivo, urocultivo y mielocultivo sin desarrollo. Tomografía de tórax y abdomen con hepatoesplenomegalia, derrame pleural bilateral, derrame pericárdico y patrón pulmonar intersticial que evolucionó a insuficiencia respiratoria y ameritó soporte ventilatorio y vasopresor (Fig. 1). La paciente recibió tratamiento antimicrobiano empírico para neumonía atípica y factor estimulante de colonias de granulocitos y monocitos.

Por los datos de enfermedad sistémica se solicitó la determinación de anticuerpos antinucleares por inmunofluorescencia indirecta, con dilución 1:640, patrón moteado fino (< 1:80), anti-dsDNA 257.6 Ul/ml (< 200 UI/ml), C3 por nefelometría 76 mg/dl (80-200 mg/dl) y C4 por nefelometría 18 mg/dl (10-50 mg/dl), anti-Ro 65.74 U/ml (< 20 U/ml), anti-RNP 129.7 U/ml (< 20 U/ml), anti-SM 7.78 U/ml (< 20 U/ml), ferritina 585.5 ng/ml (11-306 ng/ml), triglicéridos 299 mg/dl (< 150 mg/dl), velocidad de sedimentación globular 30 mm/h (< 20 mm/h), fibrinógeno 144 mg/dl (200-400 mg/dl) y dímero D 610 ng/ml (< 100 ng/ml) (Cuadro I).

Ante la presencia de fiebre persistente, hepatoesplenomegalia, citopenias (neutropenia y linfocitopenia), hiperferritinemia (≥ 500 ng/l), hipertrigliceridemia (> 160 mg/dl) e hipofibrinogenemia (< 150 mg/dl), se realizó aspirado de médula ósea que reportó celularidad global del 30-40%, 10-12 megacariocitos por campo y diferencial a 200 células: segmentados 2%, precursores mieloides 25%, monocitos 19%, linfocitos 5%, normoblastos 25%, células plasmáticas 1%, blastos 5%, histiocitos 18%, y presencia de histiocitos activados con fagocitosis activa. Se concluyó SAM como presentación inicial de LES con actividad hematológica y articular, y serositis. La paciente no cumplió criterios bioquímicos para síndrome de anticuerpos antifosfolípido ni volvió a presentar otro episodio de trombosis. Sin embargo, la paciente desarrolló crisis convulsivas y neutropenia persistente. Se inició manejo con tres pulsos de 1 g de metilprednisolona sin mejoría, por lo que se decidió manejo con IgIV a dosis de 0.4 g/kg/día por 5 días. Presentó mejoría de la neutropenia a las 48 horas y de la afección pulmonar, lo cual permitió prescindir de la ventilación mecánica. Posterior a la extubación, se realizó una resonancia magnética de encéfalo que mostró datos de vasculitis; 21 días después de la aplicación de la IgIV se inició manejo con ciclofosfamida como terapia de mantenimiento y se logró mantener la remisión de la actividad de la enfermedad.
Mujer de 35 años, sin antecedentes de importancia, con cuadro clínico de 3 semanas con mialgias y artralgias. Se añadió fiebre intermitente > 38 °C, disnea de medianos a pequeños esfuerzos y dolor de tipo pleurítico. Acudió a un hospital de segundo nivel donde se documentó leucocitopenia (2700/ml), linfocitopenia (400/ml) y conteo absoluto de neutrófilos 2100/ml; a las 24 horas, leucocitos 800/ml, linfocitos 400/ml y neutrófilos 300/ml. Recibió antibiótico empírico, analgésicos y esteroide (prednisona 50 mg) por 3 días sin presentar mejoría, por lo que fue referida a un hospital de tercer nivel, donde ingresó con anemia, leucocitopenia, linfocitopenia, neutropenia grave, elevación de las transaminasas y prolongación de los tiempos de coagulación (Cuadro II).

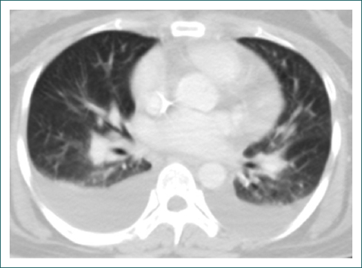
Clínicamente, la paciente presentaba mialgias, artralgias y disnea de mínimos esfuerzos, uso de musculatura accesoria de la respiración, estertores crepitantes infraescapulares en el hemitórax derecho, derrame pleural derecho, hepatoesplenomegalia, artritis en las articulaciones metacarpofalángicas e interfalángicas proximales, metatarsofalángicas, carpo, rodillas y tobillos. La tomografía de tórax mostró derrame pleural bilateral con afectación intersticial y ocupación alveolar a nivel basal bilateral compatible con neumonía basal bilateral y actividad inflamatoria intersticial (Fig. 2). Se inició manejo con factor estimulante de colonias de granulocitos y monocitos, y con piperacilina-tazobactam. Se solicitó panel para virus herpes simple tipos 1 y 2, virus de Epstein Barr, citomegalovirus, y serología para virus de las hepatitis B y C, y para el VIH, que fueron negativos. Cultivo de expectoración, hemocultivo y urocultivo sin desarrollo. Factor reumatoide 15.6 UI/ml, haptoglobina 337 mg/dl (35-250 mg/dl), anticoagulante lúpico 1.2-1.5 débilmente positivo; anticardiolipinas elevadas: IgG 45.9 GLP/ml (< 20 GLP/ml), IgM 120 MPL/ml (< 20 MLP/ml); anticuerpos anti-beta(2)-glucoproteína I normales: IgG 14.4 GPL/ml (< 20 GLP/ml) e IgM 9.2 MPL/ml (< 20 MLP/ml); sin antecedente de trombosis.

Por datos de afección sistémica con compromiso articular, hematológico y pulmonar, se solicitó la determinación de anticuerpos antinucleares determinados por inmunofluorescencia indirecta, con títulos de 1:320, patrón moteado fino (< 1:80), anti-dsDNA 309.4 Ul/Ml (< 200 UI/ml), anti-Ro 92.7 UI/ml (< 20 UI/ml), anti-SM 18.5 UI/ml (< 20 U/ml), hipocomplementemia C3 68 mg/dl (80-200 mg/dl) y C4 8 mg/dl (80-200 mg/dl), hipertrigliceridemia 214 mg/dl (< 150 mg/dl), ferritina 449.6 ng/ml (11-306 ng/ml), velocidad de sedimentación globular 30 mm/h (< 20 mm/h), fibrinógeno 106 mg/dl (200-400 mg/dl) y dímero D 1610 ng/ml (< 100 ng/ml). La paciente presentó evolución tórpida, con fiebre, neutropenia y linfocitopenia persistente. Se realizó aspirado de médula ósea, que mostró histiocitos activados con fagocitosis activa (Fig. 3).

Se diagnosticó LES con actividad hematológica, articular y serositis asociado a SAM por fiebre persistente, hepatoesplenomegalia, citopenias (hemoglobina < 9 g/dl, neutrófilos < 1000/ml), hipertrigliceridemia (> 160 mg/dl), hipofibrinogenemia (< 150 mg/dl), elevación de transaminasas y presencia de células hemofagocíticas en la médula ósea. Se inició IgIV a dosis de 0.4 g/kg/día por 5 días por el componente autoinmunitario que presenta el SAM en el contexto de sepsis pulmonar y neutropenia grave de alto riesgo, ya que la paciente contaba con posibilidad de sobreinfecciones nosocomiales e insuficiencia respiratoria aguda en caso de usar pulsos de esteroides. A las 72 horas presentó mejoría de los valores de los neutrófilos y remisión de la fiebre. La tomografía de tórax de control mostró resolución progresiva de la afección intersticial pulmonar y de la neumonía asociada. Una vez remitida la actividad lúpica se egresó con prednisona, azatioprina y cloroquina como terapia de mantenimiento, con evolución satisfactoria.
La linfohistiocitosis hemofagocítica es una condición potencialmente fatal que resulta de una activación inmunitaria excesiva en respuesta a una variedad de eventos que alteran la homeostasis inmunitaria, como por ejemplo infecciones, medicamentos, neoplasias y enfermedades reumatológicas. El SAM se considera una variante asociada a enfermedades autoinmunitarias.4 En la forma familiar de linfohistiocitosis hemofagocítica, la proliferación de células T y la activación de los macrófagos se atribuye a una disminución de las células natural killer (NK) como consecuencia de una mutación en el gen que codifica la perforina (PRF1), una proteína fundamental para la inducción de la apoptosis de células tumorales o infectadas.4 Cuando los mecanismos de citotoxicidad fracasan y dicho estímulo persiste, se promueve la expansión de macrófagos con su consecuente actividad hemofagocítica y la proliferación de células T. La activación de las células T y de los macrófagos favorece la liberación de sus receptores solubles, sCD25 y sCD163, respectivamente. El sCD25 también se conoce como receptor soluble de la cadena alfa de la IL-2. Las concentraciones séricas de estos receptores reflejan el grado de activación inmunitaria y son útiles como marcadores de diagnóstico y de respuesta al tratamiento.3 La mortalidad reportada de esta afección es del 32-80%. La baja sospecha del síndrome, así como el retraso en el diagnóstico y en el inicio de las medidas terapéuticas, pueden ser causa de una alta mortalidad.10
Su inicio es agudo y sus manifestaciones principales son fiebre persistente y alta (94%), esplenomegalia (59%), hepatomegalia (88%), linfadenopatías (48%), eritema (65%), anemia (82%), trombocitopenia (88%), leucocitopenia (56%), elevación de las enzimas hepáticas (46%), fibrinógeno bajo por consumo (100%), hipertrigliceridemia (80%), tiempos de coagulación prolongados e hiperferritinemia (100%).11 En la hemofagocitosis se puede apreciar una infiltración de histiocitos benignos con hemofagocitosis con histiocitos a menudo vacuolados, y fagocitosis de eritrocitos, eritroblastos, neutrófilos o plaquetas.12
Kumakura et al.13,14reportaron casos de síndrome hemofagocítico asociado a enfermedades autoinmunitarias distintas del LES y propusieron una nueva denominación de la enfermedad: síndrome hemofagocítico asociado a la autoinmunidad. En el año 2004, los mismos autores15 propusieron unos criterios diagnósticos:
–Citopenia (que afecta dos o más de tres linajes en la sangre periférica y que no es causada por una médula aplásica o displásica sin médula).
–Hemofagocitosis histiocítica en la médula ósea o en otros sistemas reticuloendoteliales, incluidos bazo, hígado y ganglios linfáticos.
–Fase activa de la enfermedad autoinmunitaria subyacente en la aparición de hemofagocitosis.
–Otros síndromes hemofagocíticos reactivos, como virus o el síndrome hemofagocítico asociado a neoplasia, son excluibles.
El diagnóstico de SAM se estableció de acuerdo con estos criterios de linfohistiocitosis hemofagocítica:15 fiebre (temperatura > 38.5 °C) durante 7 días o más, esplenomegalia (3 cm por debajo del reborde costal), ausencia de malignidad, citopenia en dos o más líneas celulares (hemoglobina < 9 g/dl, plaquetas < 100 000/ml, neutrófilos < 1000/ml), hipertrigliceridemia (> 160 mg/dl) o hipofibrinogenemia (< 150 mg/dl), ferritina ≥ 500 mg/l, elevación de las transaminasas, CD 25 soluble (receptor de sIL-2) > 2400 UI/ml, disminución o ausencia de actividad de células NK, y células hemofagocíticas en médula ósea, bazo o ganglios linfáticos. En total se deben cumplir cinco de los ocho criterios, a menos que los antecedentes familiares o el diagnóstico molecular sean consistentes con linfohistiocitosis hemofagocítica.16 Ambas pacientes cumplieron al menos cinco criterios diagnósticos: fiebre persistente y alta, hepatoesplenomegalia, anemia, leucocitopenia, neutropenia grave, hipertrigliceridemia, hipofibrinogenemia, células hemofagocíticas en la médula ósea y exclusión de enfermedades infecciosas y neoplásicas. En el primer caso, los valores de ferritina fueron de 585.5 ng/ml (11-306 ng/ml), y en el segundo se reportaron 449.6 ng/ml, pero recibió prednisona antes de su ingreso a nuestro hospital, lo que pudiera haber interferido con el resultado. La hiperferritinemia > 1000 ng/ml es el parámetro más útil para discriminar entre LES activo y SAM asociado a LES, con una sensibilidad y una especificidad de casi el 100%.6 En una serie, en el 22% de los pacientes con enfermedad demostrada histológicamente, las concentraciones séricas de ferritina no superaron los 500 mg/l.12 Los valores de la ferritina sérica se incrementan en procesos inflamatorios agudos, por lo cual se considera un reactante de fase aguda. El SAM forma parte de los síndromes hiperferritinémicos, junto con la enfermedad de Still del adulto, el choque séptico y el síndrome de anticuerpos antifosfolípido catastrófico.17
Un extenso estudio no mostró evidencia de infección o malignidad; sin embargo, las pacientes tenían síntomas, signos y hallazgos serológicos de LES activo. El diagnóstico se estableció de acuerdo con los criterios del American College of Rheumatology del año 2012:18 cumplieron por lo menos cuatro de los 11 criterios, incluido al menos un criterio clínico y un criterio inmunológico: poliartritis, serositis, trastornos hematológicos (leucocitopenia y linfocitopenia), hipocomplementemia, anticuerpos antinucleares positivos por inmunofluorescencia indirecta, y anti-dsDNA y anti-Ro elevados. Ninguna paciente presentó actividad renal que se pudiera relacionar con valores bajos de anti-Sm. De acuerdo con el índice de actividad lúpica SLEDAI,19 la primer paciente tuvo una presentación inicial más grave, con 30 puntos (convulsiones, vasculitis del sistema nervioso central, trombosis, derrame pericárdico); en la segunda paciente, el índice de actividad fue de 12 puntos.
En el primer caso, la paciente presentó trombosis del seno longitudinal superior y óbito antes de las 34 semanas de gestación por preeclampsia grave; no obstante, los anticuerpos antifosfolípido (anticoagulante lúpico, anticuerpos anticardiolipinas IgG e IgM y anticuerpos anti-B2 glucoproteína I IgG e IgM) al inicio y en el seguimiento fueron negativos. En el segundo caso, la paciente tenía anticoagulante lúpico débilmente positivo y anticardiolipinas IgG e IgM a títulos moderados y fuertes, respectivamente; sin embargo, no tenía antecedente de trombosis vascular ni complicaciones del embarazo, por lo que hasta el momento ninguna de las dos pacientes cumplió criterios para síndrome de anticuerpos antifosfolípido.
En los adultos, el SAM rara vez se asocia con LES (incidencia del 0.9-4.6%). En la literatura se encuentran pocos reportes de casos no asociados a infecciones.2,20,21,22,23 La respuesta inflamatoria exagerada, característica del SAM como complicación de algún trastorno primario inflamatorio, ya sea LES, enfermedad granulomatosa crónica o sarcoidosis, precisa un tratamiento inmunosupresor de forma temprana.4,6,24
La estrategia terapéutica óptima debe contemplar tres componentes: tratamiento de soporte de las complicaciones y falla orgánica, eliminación de los factores desencadenantes (infecciones) y supresión de la respuesta inflamatoria exagerada. En los pacientes estables se debe iniciar el tratamiento de soporte y de la enfermedad de base (infección, tumor, enfermedad autoinmunitaria).25,26
El tratamiento del SAM se basa principalmente en las guías de los estudios de linfohistiocitosis hemofagocítica de 2004,16 las cuales recomiendan tratamiento con dexametasona, ciclosporina A y etopósido, y en casos refractarios trasplante de células precursoras hematopoyéticas. Asimismo, se encuentran registradas tasas de tratamiento exitoso con IgIV, etopósido, ciclofosfamida, anti-TNF-a, metotrexato, factor estimulante de colonias de granulocitos y algunos casos de plasmaféresis.27
No existen suficientes estudios aleatorizados sobre el tratamiento de pacientes con enfermedades reumatológicas subyacentes. El grupo de Liu et al.27 reportó 32 pacientes con SAM asociado a LES que fueron tratados con pulsos de corticosteroides solos o en combinación con otros agentes inmunosupresores, como ciclosporina (43.8%), ciclofosfamida (28.1%) y etopósido (21.9%). La ciclosporina fue administrada en combinación con ciclofosfamida o etopósido en aproximadamente el 25% de los pacientes, mientras que la IgIV se usó en el 47.9% de los pacientes.27 La evidencia actual apoya el uso de corticosteroides y ciclosporina, con una mejoría significativa del estado de la enfermedad en días debido a la inmunosupresión resultante, por lo que se ha encontrado cierto beneficio con el uso de IgIV.6
El tratamiento se vuelve complejo cuando el SAM aparece en un contexto de sepsis, ya que puede aumentar la mortalidad.28Nomura et al.29 reportaron en 1992 el uso de IgIV en una paciente con antecedente de LES y datos de SAM asociado a virus de EpsteinBarr que no respondió al uso de esteroides. Dhote et al.30 describieron en 2003 26 casos de SAM asociado a enfermedad autoinmunitaria (LES, artritis reumatoide, enfermedad de Still, poliarteritis nodosa, enfermedad mixta del tejido conectivo, esclerosis sistémica), de los cuales 15 se asociaron a una infección activa (infecciones bacterianas, 10 casos; viral, 3 casos; tuberculosis, 1 caso; y aspergilosis, 1 caso). En estos pacientes se sugiere disminuir la terapia inmunosupresora e iniciar el uso de antibióticos. Solo en dos pacientes (LES y enfermedad de Still) se dio manejo con IgIV y se observó mejoría clínica en 24-72 horas.31
Se han reportado series de casos aislados con una supervivencia estimada del 5975% al utilizar IgIV, y reportes de casos con IgIV asociada a esteroides con una tasa de supervivencia de hasta el 100%. Dumancas et al.32 reportaron un caso de SAM con infección por Streptococcus pneumoniae, el cual presentó mejoría de las citopenias.
Si se considera el riesgo de usar dosis altas de inmunosupresores en casos asociados a sepsis, la IgIV resulta una herramienta útil y efectiva de primera línea por su potencial efecto inmunomodulador y su perfil de seguridad. La IgIV actúa a través del bloqueo de los receptores Fc y genera una inhibición de la activación del complemento o una neutralización de citocinas. En pacientes con inmunosupresión se ha utilizado a dosis de 1-1.5 g/kg/día por 2-3 días en combinación con esteroides (prednisona 1-3 mg/kg).33 En nuestras pacientes usamos la dosis de 0.4 g/kg/día por 5 días, con lo que obtuvimos una adecuada respuesta.
Un dato bioquímico que nos orientó a sospechar SAM asociado a LES fue la presencia de neutropenia grave, ya que solo en raras ocasiones se produce neutropenia grave solo por LES.34,35,36 En ambos casos consideramos que la neutropenia tuvo mayor implicación diagnóstica y pronóstica en cuanto a la evolución de las pacientes por el riesgo de infecciones agregadas. Cabe mencionar que el LES puede generar hiperferritinemia con marcador de inflamación; sin embargo, es raro que se manifieste con neutropenia grave, por lo que esta es un criterio para el SAM. Por lo tanto, proponemos los algoritmos de diagnóstico y tratamiento que se muestran en las figuras 4 y 5, respectivamente.


La neumonía intersticial con frecuencia complica las diversas enfermedades del tejido conectivo y sigue siendo una causa principal de morbilidad y mortalidad. La presencia de autoanticuerpos y una respuesta inapropiada de citocinas se han implicado en el desarrollo de la enfermedad pulmonar; cada uno de estos mecanismos se ha sugerido como un potencial objetivo para la terapia con IgIV.37 Después de recibir IgIV, las pacientes presentaron mejoría clínica y radiológica de la afección intersticial.
El síndrome de activación macrofágica es una enfermedad de evolución potencialmente fatal, con una inflamación desproporcionada que promueve la activación de linfocitos T y de macrófagos que tienen una actividad hemofagocítica. El tratamiento es a base de inmunosupresores; sin embargo, al asociarse con sepsis, el manejo se vuelve complejo.
Se presentan dos casos de pacientes con diagnóstico reciente de LES con actividad pulmonar y hematológica asociado a SMA. Ambas tuvieron sepsis pulmonar y neutropenia grave persistente, lo cual limitó el uso de esteroides a dosis altas y de inmunosupresores, como ciclofosfamida y ciclosporina, por riesgo de toxicidad, complicaciones infecciosas y progresión de las citopenias. En estas pacientes, el uso de IgIV favoreció la inducción a la remisión entre 1 y 7 días, lo cual no hubiera sido posible con otros agentes inmunomoduladores, como la ciclofosfamida, ya que el nadir del fármaco es de los 10 a 14 días con empeoramiento de las citopenias.
Después de la aplicación de la IgIV las pacientes presentaron una mejoría significativa de la neutropenia grave y de la enfermedad pulmonar intersticial, lo que evidencia el inicio rápido de acción del fármaco, que favoreció la respuesta clínica.
En la literatura hay pocos casos reportados del uso de IgIV en pacientes con SMA asociado a sepsis como terapia inicial. En estos pacientes se propone como tratamiento de primera línea la IgIV y como segunda línea un inmunosupresor con un esteroide intravenoso, ambos asociados a antibioticoterapia.
Los autores han completado y enviado la forma traducida al español de la declaración de conflictos potenciales de interés del Comité Internacional de Editores de Revistas Médicas, y no fue reportado ninguno relacionado con este artículo.
Protección de personas y animales. Los autores declaran que para esta investigación no se han realizado experimentos en seres humanos ni en animales.
Confidencialidad de los datos. Los autores declaran que han seguido los protocolos de su centro de trabajo sobre la publicación de datos de pacientes.
Derecho a la privacidad y consentimiento informado. Los autores declaran que en este artículo no aparecen datos de pacientes.
PubMed: https://pubmed.ncbi.nlm.nih.gov/34520152/
Cómo citar este artículo: Mendoza-Álvarez SA, Galindo-López R, Sánchez-Escalona D, Velázquez-Santiago Y, Sánchez-Rodríguez AS. Inmunoglobulina intravenosa en el síndrome de activación macrofágica asociado a lupus eritematoso sistémico. Rev Med Inst Mex Seguro Soc. 2020;58(5):634-643.






