Caso clínico
Recepción: 04 Junio 2019
Aprobación: 08 Abril 2020
DOI: https://doi.org/10.24875/RMIMSS.M20000079
Resumen:
Introducción: El linfoma extranodal derivado de células NK/T (LNK/T) es una variedad de linfoma no Hodgkin; el tipo nasal constituye la presentación más común. Nuestro objetivo es presentar un caso de LNK/T con afección del sistema nervioso central (SNC) que simuló una tuberculosis meningea.
Caso clínico: Varón de 31 años con sensación de obstrucción nasal, cefalea, fiebre, panhipopituitarismo y mononeuropatía craneal múltiple, con lesión hipofisaria por imagen de resonancia magnética y engrosamiento dural, que evolucionó con pancitopenia y úlcera en el paladar blando. El diagnóstico se realizó mediante biopsia de cornete nasal compatible con infiltración por linfoma de estirpe T maduro NK.
Conclusiones: La afección del LNK/T al SNC es una forma rara de presentación. El diagnóstico de LNK/T se puede ver retrasado por la presencia de síntomas heterogéneos. En nuestra población, la infección por Mycobacterium debe ser considerada como diagnóstico diferencial.
Palabras clave: Linfoma no Hodgkin, Hipopituitarismo, Tuberculosis, Meníngea.
Abstract:
Background: Lymphoma of NK/T cells (LNK/T) is a variety of non-Hodgkin lymphoma; the nasal type is the most common presentation. The aim of this article is to present a case of LNK/T with affection to central nervous system that imitates meningeal tuberculosis.
Case report: 31 years old man with nasal blockage feeling, headache, fever, panhypopituitarism and multiple cranial mononeuropathy, with a pituitary injury demonstrated by magnetic resonance image and meningeal thickening, that progress with pancytopenia and soft palate ulcer. The diagnosis was made by nasal concha biopsy compatible with lymphoma infiltration, of LNK/T cell linage.
Conclusions: The affectation of LNK/T cell lymphoma in central nervous system is a rare presentation. the diagnosis could be delayed for the presence of heterogeneous symptoms. Mycobacterium infection must be considered as a differential diagnosis in our population.
Keywords: Lymphoma, Non-Hodgkin, Hypopituitarism, Tuberculosis, Meningeal.
Introducción
El linfoma extranodal derivado de células NK/T (LNK/T) es una variedad de linfoma no Hodgkin, el tipo nasal constituye la presentación más común y supone el 1-1.4% de todos los linfomas. Anteriormente llamado granuloma letal de la línea media, afecta sobre todo a hombres de mediana edad, de entre 40 y 50 años. Su incidencia presenta variaciones geográficas: en América del Norte y Europa es baja, pero en Asia y América del Sur puede ser de hasta el 7-10%. Predomina en población de origen asiático, aunque también se han descrito casos en nativos americanos, en México y en América del Sur. En el análisis de una población mexicana de 3822 pacientes con linfoma de células T, el tipo LNK/T fue prevalente en un 40%.1,2,3,4,5,6,7,8,9
El LNK/T afecta principalmente el tracto aerodigestivo y el área nasal, incluyendo los senos paranasales, que son la localización más común. La afectación de sitios extranasales se presenta en un 25% e incluye el anillo de Waldeyer, la cavidad oral, la laringe, la hipofaringe y el paladar duro; asimismo, otros órganos distantes pueden verse afectados.1,5,9,10,11,12
Dentro de las manifestaciones descritas, la obstrucción nasal es el síntoma más común (78%), seguida de dolor facial (72%), edema facial (50%) y rinorrea (44%); también se menciona la presencia de epistaxis y descarga nasal purulenta. Dichas manifestaciones pueden simular cuadros de sinusitis crónica.1,3,4,6,7,10,11,13
La presencia de ulceración da lugar a la destrucción característica de esta enfermedad, mientras que la proptosis y la ceguera aparecen dependiendo de su extensión local a la órbita. También pueden presentarse síntomas sistémicos inespecíficos, como fiebre, pérdida de peso y diaforesis nocturna.4,6,8,13,14
El objetivo de este trabajo es presentar un caso de LNK/T nasal con infiltración al sistema nervioso central (SNC), que se presentó con panhipopituitarismo y mononeuropatía craneal múltiple simulando una tuberculosis meníngea.
Caso clínico
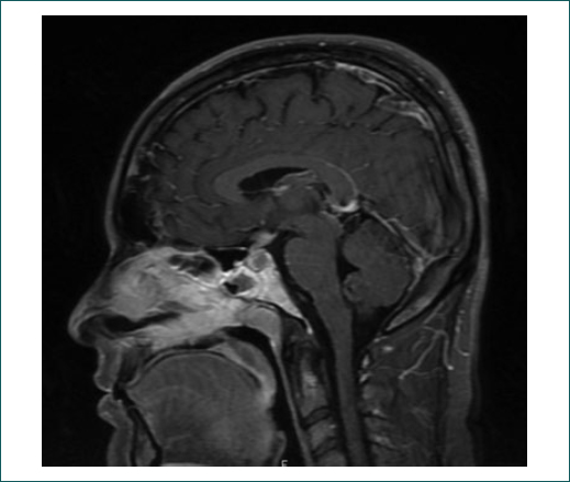
Varón de 31 años con sensación de obstrucción nasal de 3 meses de evolución, con diagnóstico de sinusitis, sin mejoría con tratamiento sintomático. Al cuadro se agregó cefalea intensa, fiebre y diplopía ocasionada por paresia de nervios craneales (NC) III, IV y VI derechos. Las imágenes de tomografía computada (TC) y resonancia magnética (RM) de cráneo presentaron hiperintensidad hipofisaria, así como sinusitis esfenoidal (Fig. 1).

Inicialmente, el servicio de neurología documentó líquido cefalorraquídeo (LCR) con hipoglucorraquia (47 mg/ml), proteinorraquia (107 mg/ml) y pleocitosis (41 mm3), con un 70% de mononucleares. Posteriormente el paciente evolucionó con fiebre, anemia (hemoglobina: 11.9 g/dl), leucocitopenia (2.8 103/mm3), trombocitopenia (340 103/mm3), elevación de la deshidrogenasa láctica (917 U/l) y panhipopituitarismo, triyodotironina < 40.0 ng/dl (84-172), triyodotironina libre < 01.00 pg/ml, tiroxina libre 0.077 ng/dl (0.8-1.8), tiroxina total 03.003 mg/dl, hormona estimulante de la tiroides 00.08 mcUI/ml (0.4-4), hormona estimulante del folículo 0.33 mUI/ml (0.7-11), cortisol 1.44 mg/dl (5-25), testosterona < 20.0 ng/dl (245-1600), dehidroepiandrosterona 18.9 mg/dl (80-560) y factor de crecimiento insulínico tipo 1 36.9 ng/ml (101-358). Ante la sospecha de neuroinfección, pasó a cargo del servicio de medicina interna. Se le realizó una nueva punción lumbar y el LCR mostró hipoglucorraquia (14 mg/dl), deshidrogenasa láctica 196 mg/dl, proteinorraquia (263 mg/dl) y pleocitosis (70% mononucleares). La prueba de reacción en cadena de la polimerasa para tuberculosis en el LCR fue negativa y los cultivos de LCR para micobacterias no tuvieron desarrollo. La TC abdominal solo mostró esplenomegalia. El resto de los estudios bacteriológicos en otros fluidos no tuvieron desarrollo. Por la presencia de citopenias, se realizaron un aspirado de médula ósea y un frotis de sangre periférica, que mostraron patrón reactivo.
Ante la fiebre persistente, la mononeuropatía craneal múltiple y la pleocitosis con predominio de mononucleares se sospechó tuberculosis en el SNC y se inició tratamiento antifímico, el cual fue suspendido en días posteriores por presentar datos de hepatotoxicidad. El paciente progresó con anemia grave (hemoglobina: 7.6 g/dl) y neutropenia (448 103/mm3), por lo que requirió la administración de factor estimulante de granulocitos/monocitos y de hemotransfusión. Persistió febril, agregándose parálisis del VII NC derecho. La nueva RM de cráneo evidenció realce con engrosamiento dural y sinusitis etmoesfenoidal. Por la pancitopenia y la elevación de la deshidrogenasa láctica, se realizó biopsia de médula ósea que reportó mielodisplasia. El paciente refería persistencia de la obstrucción nasal y aparición de una úlcera en el paladar blando, de la cual se tomó biopsia que reportó inflamación histiocítica perivascular. El rastreo gammagráfico con Ga67 mostró captación en los senos etmoidales (Fig. 2).

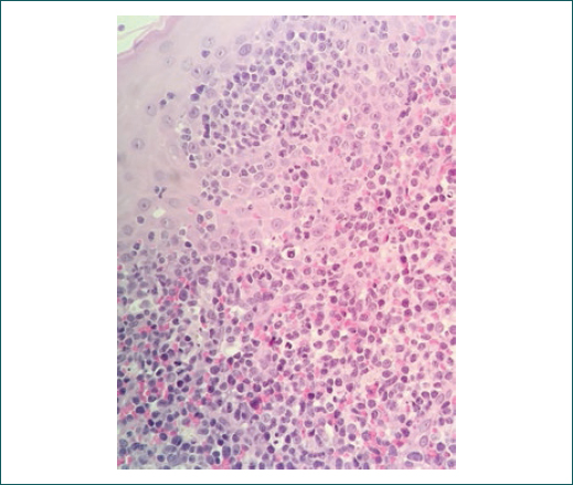
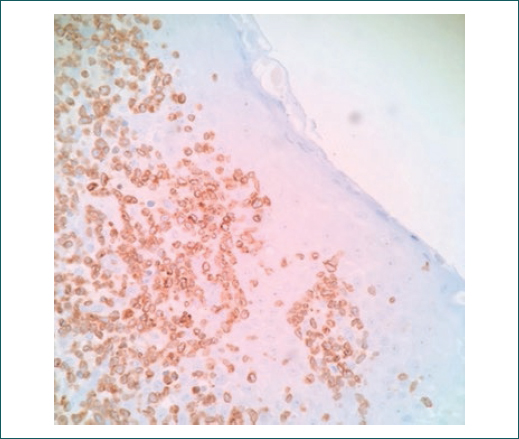
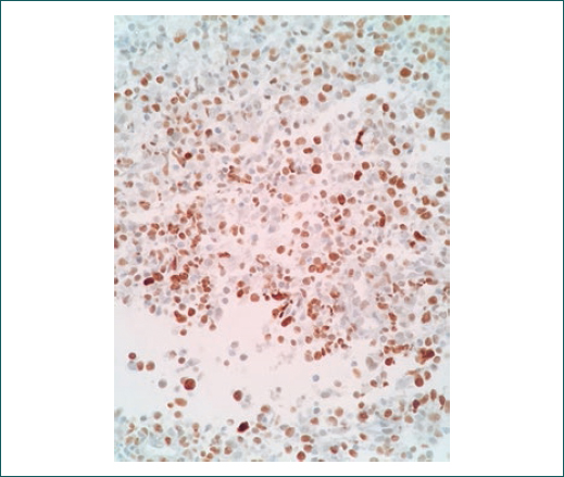
Ante la sintomatología neurológica se realizó una nueva punción lumbar con citología, que reportó infiltración de neoplasia linfoide. Se identificó inmunoglobulina G para virus Epstein-Barr (VEB) para cápside y nuclear en suero, sin lograr otras determinaciones del virus. Se realizó biopsia de cornete nasal, la cual solo mostró hipertrofia a la exploración física, con reporte de neoplasia linfoide con patrón de crecimiento difuso, con inmuhistocompatibilidad positiva para CD3 citoplasmático, CD56 y granzima, ki67 del 80%, compatible con infiltración por linfoma de estirpe T maduro NK (Figs. 3a5). Con este diagnóstico pasó al servicio de hematología, en donde se inició tratamiento con antineoplásicos con el esquema CHOP-R (ciclofosfamida, vincristina, doxorrubicina, prednisona y rituximab); sin embargo, el paciente falleció 10 meses después del síntoma inicial por complicaciones asociadas a la larga estancia hospitalaria.



Discusión
La afección del LNK/T al SNC es una forma rara de presentación. En la revisión de la literatura se encontraron siete casos, incluyendo el actual, en los cuales la afección fue por extensión local, infiltración o como forma primaria en el SNC. El caso presentado cursa con afección de los cornetes nasales, con infiltración hacia el paladar duro evidente por la presencia de una úlcera y con infiltración linfomatosa al LCR, la glándula pituitaria y las meninges. En la re solo se encontró un caso reportado como primario en las meninges y uno como primario en la glándula pituitaria, también con afección meníngea.7,8,9,14,15,16,17
El compromiso de la glándula pituitaria por un LNK/T es raro. En un análisis de 33 casos con linfoma de pituitaria solo se encontró un caso reportado de LNK/T. En este análisis, la afectación más común fue a los NC (78%), predominantemente a los NC II, III y VI, viéndose también afectados los NC IV, V y VII con menor frecuencia. El panhipopituitarismo se describió en el 69.7% de los casos, y otros datos clínicos fueron cefalea (48%), alteraciones de la visión (42%) y diplopía (42%), síntomas que presentaba nuestro paciente. Los síntomas generales, la náusea y el vómito solo se describen en el 9% de los casos; en el paciente presentado no se observaron síntomas generales hasta una etapa avanzada de la enfermedad.15,18
Los hallazgos por imagen, especialmente de RM y TC, suelen ser inespecíficos, pero útiles para determinar la extensión. El diagnóstico definitivo requiere hallazgos histopatológicos y de inmunohistoquímica. Histológicamente, el LNK/T se caracteriza por un infiltrado linfocítico, con distribución y crecimiento angiocéntrico, que se manifiesta con angiodestrucción y necrosis local, evidenciado por úlceras con destrucción progresiva, como la mostrada por el paciente en el paladar, por lo que se requirió nueva biopsia de un sitio no ulcerado para el diagnóstico. Como se refiere en la literatura, debido a la presencia de necrosis, el diagnóstico de esta enfermedad puede requerir varias biopsias.1,3,6,7,14,16,19
El diagnóstico final se obtuvo mediante inmunohistoquímica, con expresión de marcadores CD2 (marcador de células T), CD3 (intracelular o citoplasmático), CD56 (marcador de estirpe NK) y granzima B. En otros casos también se ha escrito expresión de CD8 y perforinas, relacionadas con la presencia de apoptosis. La expresión de CD56 y el antígeno nuclear Ki-67 > 50%, que expresa el índice de división celular, están asociados a peor pronóstico.5,7,10,14,15,16
Para complementar el diagnóstico de LNK/T se realiza la identificación del VEB, ya que más del 90% de los casos son positivos para este virus. El VEB se considera un factor de riesgo para esta neoplasia, pues infecta los linfocitos T y las células NK usualmente durante la infancia, y la infección continua hace que las células infectadas permanezcan en activación y proliferación constantes, lo que lleva a un estado proinflamatorio persistente que induce mutagénesis; sin embargo, esta es solo una de las teorías.3,5,8,10,14
Durante el abordaje diagnóstico del caso se consideró la infección por Mycobacterium tuberculosis, por las similitudes clínicas con la tuberculosis meníngea, en particular en cuanto a las características del LCR (Cuadro I).20,21

Se han reportado casos de tuberculosis en los senos paranasales y tuberculomas con afección de la glándula pituitaria, que se manifestaron de forma similar al caso presentado, aunque ambas presentaciones son infrecuentes. La tuberculosis, denominada «la gran imitadora», debe plantearse como diagnóstico diferencial ante la heterogeneidad de los síntomas del LNK/T.11,17,22,23
Considerando la epidemiología en México y que la tuberculosis es una enfermedad reemergente, ante la presencia de un paciente con afección del SNC, parálisis de NC, lesión centrofacial y síntomas generales inespecíficos, debe considerarse la tuberculosis dentro el abordaje diagnóstico inicial.23,24,25,26,27
La valoración histopatológica del paciente con lesión centrofacial puede no ser suficiente para establecer diferencias entre la tuberculosis y el LNK/T, debido a la presencia de necrosis en ambas y a la inmunohistoquímica similar; la tuberculosis puede presentar expresión de CD3 citoplasmático y granzimas B, así como citocinas no específicas de estirpe NK, por lo que es necesario realizar cultivos para micobacterias de estas lesiones.22
Otras patologías inflamatorias deben considerarse en el abordaje diagnóstico del LNK/T. En nuestro centro hospitalario, Mendoza et al.27 reportaron un caso de granulomatosis con poliangeítis y LNK/T con dificultades en el diagnóstico por la similitud de la presentación de ambas patologías. Otros diagnósticos diferenciales que pueden considerarse son sarcoidosis e infecciones micóticas.
Adicionalmente, el LNK/T puede acompañarse de alteraciones hematológicas, como en el caso presentado, que se manifestó con anemia, trombocitopenia y leucocitopenia. Otras alteraciones descritas son eosinofilia, coagulopatía, hemólisis, coagulación intravascular diseminada y síndrome hemofagocítico, lo que puede hacer más difícil el diagnóstico diferencial. El paciente, además de presentar citopenias, cursó con esplenomegalia y hallazgos inespecíficos en la médula ósea, lo que ocasionó la confusión inicial en el diagnóstico.3,8,10,19,28
La sobrevida descrita para el LNK/T varía en la literatura, siendo cercana al 30% a 5 años, ya que el LNK/T es de carácter agresivo y tiene pobre pronóstico. En los casos reportados con afección del SNC, la sobrevida ha sido de 1 a 18 meses posteriores al diagnóstico. Debido a la rareza de la enfermedad, no hay una indicación específica sobre el tratamiento con radioterapia, quimioterapia o ambas.5,11,14,17
Conclusiones
En este caso se puede observar la dificultad diagnóstica que puede presentar el LNK/T en el SNC y su similitud con la tuberculosis meníngea, sobre todo en países como México, que se considera endémico para tuberculosis, por lo que el diagnóstico requiere una alta sospecha diagnóstica con el fin de un pronto inicio del tratamiento.
Conflicto de intereses
Los autores han completado y enviado la forma traducida al español de la declaración de conflicto potencial de intereses del Comité Internacional de Editores de Revistas Médicas, y no fue reportado ninguno relacionado con este artículo.
Responsabilidades éticas
Protección de personas y animales. Los autores declaran que para esta investigación no se han realizado experimentos en seres humanos ni en animales.
Confidencialidad de los datos. Los autores declaran que han seguido los protocolos de su centro de trabajo sobre la publicación de datos de pacientes.
Derecho a la privacidad y consentimiento informado. Los autores declaran que en este artículo no aparecen datos de pacientes.
Referencias
1. Taali L, Abou-Elfadl M, Fassih M, Mahtar M. Nasal NK /T cell lymphoma: a tragic case. Eur Ann Otorhinolaryngology Head Neck Dis. 2017;134(2):121-2. doi:10.1016/j.anorl.2016.08.006
2. Avilés A. Nasal NK/T-cell lymphoma. A comparative analysis of a Mexican population with the other populations of Latin-America. Mediterr J Hematol Infect Dis. 2015;7(1):e2015052. doi:10.4084/MJHID.2015.052
3. Kidwai SM, Parasher AK, Lin FY. An unusual presentation of NK/T-cell lymphoma, nasal-type in the United States. Am J Otorlaryngol. 2015;36(1):80-3. doi:10.1016/j.amjoto.2014.07.012
4. Zou H, Pan KH, Wu L, Pan HY, Ding YH, Zheng MH. Nasal NK/T cell lymphoma presents with long-term nasal blockage and fever: a rare case report and literature review. Oncotarget. 2016;7(8):9613-7. doi:10.18632/oncotarget.7386
5. Liu QF, Wang WH, Wang SL, Liu YP, Huang WT, Lu N, et al. Immunophenotypic and clinical differences between the nasal and extranasal subtipes of aerodigestive tract natural killer/T-cell lymphoma. Int J Radiat Oncol Biol Phys. 2014;88(4):806-13. doi:10.1016/j.ijrobp.2013.12.005
6. Al Shawabkeh MA, Al Sulaiti M, Al Sa'ey H, Ganesan S. Nasal type extranodal natural killer/T (NK/T) cell lymphoma presenting as periorbital cellulitis: a case report. Am J Case Rep. 2016;17:934-8. doi:10.12659/AJCR.899922
7. Luther N, Greenfield JP, Chadburn A, Schwartz TH. Intracraneal nasal natural killer/T-cell lymphoma: inmunopathologically-confirmed case and review of literature. J Neurooncology. 2005;75(2):185-8. doi:10.1007/s110060-005-1862z
8. Jabbari-Azad F, Delavarian Z, Hatami M, Rahimi H, Abdolvahed MR. Extranodal NK/T cell lymphoma with destruction of the uvulae: a case report. Iran J Otorhinolaryngol. 2017;29(91):101-8.
9. Kaluza V, Rao DS, Said JW, de Vos S. Primary extranodal nasal-type natural killer/T cell lymphoma of the brain: a case report. Hum Pathol. 2006;3(6):769-72. doi:10.1016/j.humpath.2006.01.032
10. Cai Q, Chen K, Young KH. Epstein-Barr virus-positive T/NK-cell lymphoproliferative disorders. Exp Mol Med. 2015;47:e133. doi:10.1038/emm.2014.105
11. Kierssling SY, Soyka MB, Huber GF, Holzmann D, Laske RD. Delayed diagnosis of sinonasal lymphoma due to bilateral manifestation. Eur Arch Otorhinolaryngol. 2017;274(2):823-7. doi:10.1007/s00405-016-4275-z
12. Pineda Galindo LF, Castro Castrezana L, Mora Campos MR, Pérez Torres A. Linfoma/leucemia agresiva de células NK primario de laringe: reporte de un caso y revisión de la literatura. Lab Acta. 2009;21(4):73-8.
13. Steele TO, Buniel MC, Mace JC, El Rassi E, Smith TL. Lymphoma of the nasal cavitiy and paranasal sinuses: a case series. Am J Rhinol Allergy. 2016;30(5):335-9. doi:10.2500/ajra.2016.30.4347
14. Celentano A, Mascolo M, Cirillo N, De Rosa G, Mignogna MD. Delayed diagnosis of a nasal type lymphoma misdiagnosed a persistent sinusitis. J Adolesc Young Adult Oncol. 2017;6(2):381-4. doi:10.1089/jayao.2016.0050
15. Liu JK, Samaya C, Chin SS, Couldwell WT. Extranodal NK/T-cell lymphoma presenting as a pituitary mass. Case report and review of the literature. J Neurosurg. 2007;107(3):660-5. doi:10.3171/JNS-07/09/0660
16. Guan H, Huang Y, Wen W, Xu M, Zan Q, Zhang Z. Primary central nervous system extranodal NK/T-cell lymphoma nasal type: case report a review of the literature. J Neurooncol. 2011;103(2):387-91. doi:10.1007/s11060-010-0384-5
17. Cai B, Hu JJ, Tang QX, Lin W, Wang N. Primary meningeal NK/T cell lymphoma masquerading as tuberculosis meningitis. Neurol Sci. 2014;35(9):1467-9. doi:10.1007/s10072-014-1783-8
18. Trabay A, Cossu G, Berhouma M, Levivier M, Daniel RT, Messerer M. Primary pituitary lymphoma: an update of the literature. J Neurooncol. 2016;130(3):383-95. doi:10.1007/s11060-016-2249-z
19. Doh K, Tagba E, Thiam I, Sarr A, Woto-Gaye G. NK/T-cell lymphoma of nasal-type: a rare affection with a poor prognosis. Rev Stomatol Chir Maxillofac Chir Orale. 2016;117(3):167-9. doi:DOI:10.1016/j.revsto.2016.02.001
20. Kasper D, Fauci A, Hauser S, Longo D, Jameson JL, Loscalzo J, editores. Harrison Principios de medicina interna. 19a. ed. Ciudad de México, México:McGraw-Hill Interamericana;2016.
21. Scott BJ, Douglas VC, Tihan T, Rubenstein JL, Josephson SA. A systematic approach to the diagnosis of suspected central nervous system lymphoma. JAMA Neurol. 2013;70(3):311-9. doi:10.1001/jamaneurol.2013.606
22. Asakura T, Ishii M, Kikuchi T, Kameyama K, Namkoong H, Nakata N, et al. Disseminate Mycobacterium marinum infection with a destructive nasal lesion mimicking extranodal NK/T cell lymphoma:a case report. Medicine (Balt). 2016;95(11):e3131. doi:10.1097/MD.00000000000031
23. Jetley S, Jairajpuri ZS, Pujani M, Khan S, Rana S. Tuberculosis “The Great Imitator“: a usual disease with unusual presentations. Indian J Tuberc. 2017;64(1):54-9. doi:10.1016/j.ijtb.2016.01.001
24. Vives-RicomàE, Guallar-Larpa M, Artal-Sánchez R, Galindo-Torres B, Llano-Espinosa M, Rebolledo-Bernad L, et al. Tuberculosis del seno maxilar con afectación hipofisaria. O.R.L. Aragon. 2016;19(2):16-7.
25. Srisukh S, Tanpaibule T, Kiertiburanakul S, Boongird A, Wattanatranon D, Panyaping T, et al. Pituitary tuberculoma: a consideration in the differential diagnosis a patient manifesting with pituitary apoplexy-like syndrome. IDCases. 2016;5:63-6. doi:10.1016/j.idcr.2016.07.012
26. Malik JN, Jan S, Monga S, Bahadur S. Sinonasal tuberculosis: report of three atypical cases. Indian J Tuberc. 2015;63(4):268-72. doi:10.1016/j.ijtb.2015.06.001
27. Mendoza-Álvarez SA, Rodríguez-Dávila FM, Moranchel-García L, Soto V, Quispe N. Linfoma T/NK nasal en granulomatosis con poliangeítis. Reporte de un caso. Rev Med Inst Mex Seguro Soc. 2017;55(3):394-8.
28. Jia J, Song Y, Lin N, Liu W, Ping L, Zheng W, et al. Clinical features and survival of extranodal natural killer/T cell lymphoma with and without hemophagocytic syndrome. Ann Hematol. 2016;95(12):2013-31. doi:10.1007/s00277-016-2805-9
Información adicional
PubMed: https://pubmed.ncbi.nlm.nih.gov/34543560/
Cómo citar este artículo: Pineda-Galindo LF, Carreño-Pérez P, Leal-Alegre G, Vásquez-Jiménez CE, García-Aguilar BS. Panhipopituitarismo y mononeuropatía craneal, manifestación de linfoma NK/T que imita tuberculosis meníngea. Rev Med Inst Mex Seguro Soc. 2020;58(4):522-527.