Artículo de revisión
Recepción: 10 Febrero 2020
Aprobación: 23 Junio 2020
DOI: https://doi.org/10.24875/RMIMSS.M20000104
Resumen: El ultrasonido como estrategia de cuidado a la cabecera del enfermo, o POCUS (Point-Of-Care Ultrasound), ha tomado actualmente un lugar primordial como herramienta complementaria en el diagnóstico y el monitoreo de pacientes hospitalizados en las diferentes unidades de terapia intensiva y servicios de atención médica. Una de las especialidades es medicina interna, debido a que en los servicios de hospitalización se atiende a pacientes con cuadros clínicos complejos y críticos, quienes se benefician de esta herramienta tanto para complementación diagnostica como para monitoreo y realización de procedimientos invasivos más seguros. El ultrasonido pulmonar permite integrar el cuadro clínico y la exploración física para una mejor precisión de diagnóstico y monitoreo de los pacientes. Por ello, esta herramienta es importante en la formación del médico internista no solo en el ultrasonido pulmonar, sino también en diversas áreas afines a este método diagnóstico. Por esta razón realizamos una revisión de los conceptos básicos de ultrasonido y anatomía pulmonar, una guía práctica sobre cómo llevarlo a cabo, el estado actual sobre la enseñanza y formación en esta área, y la importancia en áreas de desempeño clínico del médico internista.
Palabras clave: Pulmón, diagnóstico por imagen, Ultrasonografía, Medicina Interna, Educación Médica.
Abstract: The ultrasound as care at the bedside of the patient, or POCUS (Point-Of-Care Ultrasound), has taken today a primary place as a complementary tool in the diagnosis and monitoring of patients in different intensive care units and health care services. One of these specialties is internal medicine, since in the area of hospitalization patients with complex and critical clinical conditions are treated, who benefit from this tool for diagnostic complementation, monitoring and performing safer procedures. The pulmonary ultrasound is a tool to integrate the signs, symptoms and physical examination, for a better diagnostic accuracy and monitoring of patients. That is why we consider important the training of the internist not only in the pulmonary ultrasound, but also in other areas related to this diagnostic method. For this reason, we performed a review of the basic concepts of pulmonary ultrasound, a practical guide of how to do it, the current state of education and training in this area. As well as the importance in areas of clinical performance of the internist.
Keywords: Lung, diagnostic imaging, Ultrasonography, Internal Medicine, Education, Medical.
Introducción
La ultrasonografía como estrategia de cuidado a la cabecera del enfermo, o POCUS (Point Of Care Ultrasound), es una herramienta del presente y no del futuro, denominada el quinto pilar de la exploración física en la cabecera del paciente (inspección, palpación, percusión, auscultación e insonación).1,2,3 Se ha demostrado, en algunos ensayos clínicos cuidadosamente realizados, que la ultrasonografía diagnóstica puede ser superior a la exploración física ordinaria.4
Al momento actual, la ultrasonografía no se encuentra de manera formal en la mayoría de los programas de formación de residencias médicas en México y en el mundo.5,6,7 La ultrasonografía en la práctica clínica cotidiana favorece la consolidación del diagnóstico con mayor exactitud, menor costo y riesgo de complicaciones, sin requerir el transporte del paciente a áreas distantes de su cama. Asimismo, permite la realización de procedimientos invasivos con bajo riesgo de complicaciones.8
El ultrasonido pulmonar fue utilizado por primera vez en 1986 por Rantanen en caballos, y posteriormente Wernecke lo aplicó a la práctica clínica. Desde ese momento ha tomado relevancia por el reto que representa para el médico internista en el diagnóstico de enfermedades pulmonares agudas o en aquellos pacientes con estado de choque. Derivado de múltiples estudios clínicos, se han agregado diversos protocolos de integración para el diagnóstico diferencial de pacientes con disnea o choque. Su eficacia se ha comparado con la de estudios radiológicos como la radiografía y la tomografía computarizada de tórax (Cuadro I).9,10,11,12,13,14

Comparación entre el ultrasonido pulmonar y la radiografía de tórax para establecer diagnósticos
Formación médica en ultrasonido pulmonar
Ordinariamente, la formación y el entrenamiento de ultrasonido se realiza casi de forma exclusiva dentro del currículo del especialista en radiología e imagen. Para otras disciplinas está disponible de forma complementaria, aun cuando la actividad clínica ordinaria exija el uso continuo de esta herramienta, como ocurre en cardiología y en obstetricia.
Para los médicos de primer contacto y de especialidades médico-quirúrgicas, el acceso a la formación está disponible mediante diplomados, talleres o simposios; eventos que exigen una inversión económica complementaria. En algunas escuelas de medicina de los Estado Unidos de Norteamérica se ha agregado el ultrasonido a los cursos de pregrado para la relación morfofisiológica.15,16,17
En 2017, el grupo CIMUS (Canadian Internal Medicine Ultrasound) elaboró un consenso sobre las aplicaciones del IM-POCUS (Internal Medicine Point-Of-Care Ultrasound) con un programa de entrenamiento que se consideró apropiado para la enseñanza y la evaluación de los alumnos en el posgrado de medicina interna, divididos dependiendo de su año en formación en fase básica (1-3 años) y ampliada (4-5 años). Ambas fases se basaron en la forma de mejorar el rendimiento diagnóstico al asociar el ultrasonido con la exploración física tradicional del médico internista. En conclusión, se recomendó que se incluyera en el currículo de formación de posgrado, y así lo hicieron también otras asociaciones, como la American Society of Echocardiography, que en el año 2018 definió su posición al afirmar que el ultrasonido cardiaco a pie de cama puede integrarse de manera viable en los planes de estudio y que además podría ser utilizado por médicos no cardiólogos y no radiólogos.18,19,20
En cuanto a los programas de residencia de medicina interna en México, particularmente los avalados por la Universidad Nacional Autónoma de México, dentro del Plan Único de Especialidades Médicas, el ultrasonido se encuentra dentro de las competencias evaluadas como procedimiento auxiliar a interpretar, sin tomar en consideración la competencia para su realización, sin encontrarse el POCUS dentro del cuadro de procedimientos como competencia a desarrollar por el internista durante su formación.21,22
El uso de ultrasonido para realizar procedimientos ha demostrado ser efectivo y con menor tasa de complicaciones. Un estudio realizado en 67 residentes de un programa de medicina interna, en el que obtuvieron entrenamiento en ultrasonido basado en simulación y en laboratorio de cadáveres, demostró mejorar la confianza en los residentes para identificar estructuras importantes al realizar procedimientos invasivos guiados por ultrasonido.23 Existen diferentes métodos de educación en el entrenamiento de ultrasonido pulmonar, y no existe hasta el momento un consenso internacional acerca de la formación y la enseñanza de este método de imagen para los médicos no radiólogos. En una revisión sistémica se demostró que hay una gran heterogeneidad en los métodos educativos para la enseñanza en ultrasonido.24
No existe un plan educativo unificado, lo cual genera una dificultad para su implementación en los diferentes programas de formación en las residencias de medicina interna, además de poca experiencia y escaso acceso a herramientas de simulación. En algunas encuestas a directores de programas educativos, residentes y médicos internistas en la práctica, se menciona que la enseñanza debería ser enfocada principalmente en el área abdominal, pulmonar y cardiaca. Así también, se ha encontrado que el escaneo en pacientes hospitalizados o en clínicas en combinación con conferencias didácticas parece ser la herramienta de mayor ayuda en el aprendizaje de ultrasonido.25
Sabemos que la unificación y realizar un plan integrativo es difícil; sin embargo, puede ser de ayuda apoyarse en la literatura procedente de la medicina de emergencias, en la que existen guías y protocolos más consolidados acerca de cuánto tiempo se requiere para la formación adecuada en diferentes aplicaciones del ultrasonido.26,27 En el hospital Rijnstate, en Arnhem (Países Bajos), desde 2009 se implementa un curso obligatorio para residentes de medicina interna previo a su rotación en la unidad de terapia intensiva, el cual consiste en 4 días, enfocados en las áreas cardiaca, pulmonar, abdominal y vascular. Ellos proponen un enfoque integral de enseñanza de ultrasonido a pie de cama con un plan dinámico y que requiere múltiples evaluaciones, previas al curso y 3 meses después de finalizarlo.28 Diversos trabajos que han evaluado la formación en ultrasonido como un plan educativo demuestran que las probabilidades de identificar correctamente imágenes como ascitis y derrame pleural han aumentado.29
Existen numerosos trabajos sobre el desarrollo de un plan educativo en la formación de médicos residentes. Sin embargo, aún no se dispone de una estandarización clara acerca del mejor plan o programa educativo para esta formación, como ocurre en otras especialidades como ginecología y obstetricia, radiología e imagen, y medicina de emergencias; disciplinas que en otros países requieren formación en ultrasonido para su certificación.
Dadas las múltiples áreas de aplicación del ultrasonido en medicina interna, comenzar con una recopilación de datos acerca del mejor método educativo y las áreas de interés sería una adecuada estrategia para comprender mejor el conocimiento de los residentes en esta especialidad.30
Principios de ultrasonografía
El ultrasonido se caracteriza por la emisión de ondas sonoras con frecuencias mayores que las que el humano puede escuchar, es decir, mayores de 20,000 Hz. A mayor frecuencia, menor penetración o profundidad de las estructuras internas, con mayor calidad de imagen; en cambio, a menor frecuencia, mayor penetración o profundidad para el estudio de estructuras internas, pero con menor calidad de imagen. Esto radica en la elección del transductor, elemento que emite las ondas sonoras y a la vez es receptor de estas para la reproducción de las imágenes (Cuadro II). Así, en el ultrasonido pulmonar, para visualizar detalladamente la pleura se requiere un transductor de alta frecuencia, mientras que para valorar el tejido pulmonar y la cavidad pleural lo indicado es un transductor de baja frecuencia.31,32,33
El paso y la atenuación de las vibraciones a través de diferentes medios genera imágenes en una escala de grises, que se denominan anecoicas (oscuras) e hiperecoicas (brillantes); esto siempre comparado con la imagen hepática, mostrándose la imagen en el modo estándar que la máquina reproduce, denominado modo B o bidimensional. Sin embargo, existen otras modalidades, como Doppler color, Doppler continuo o pulsado, y modo M; este último muestra el movimiento de las estructuras (como el deslizamiento pleural), siendo, además del modo B, los únicos métodos útiles para la ultrasonografía pulmonar.31,32
Generalidades del ultrasonido pulmonar
Esta modalidad de ultrasonido no valora estructuras intratorácicas, sino fenómenos acústicos que no tienen relación directa con la estructura y sí con reverberaciones de la pleura. La exploración pulmonar se inicia con un transductor lineal (6-15 MHz) para valorar la pared torácica y la pleura; en cambio, para valorar el pulmón o estructuras más profundas se utiliza un transductor de baja frecuencia (2-5 MHz) convexo o sectorial.31,32,33,34,35
En la realización del ultrasonido se recomienda un equilibrio entre rapidez y eficacia diagnóstica, lo cual hace también al ultrasonido una herramienta dependiente del operador. Se puede hacer con el paciente en supino o sentado, según su situación clínica. Para una adecuada exploración deben valorarse al menos tres zonas: anterior, anteromedial y posterior; o las ya denominadas en el protocolo BLUE por Lichtenstein: anterior (upper point), anteromedial (lower point) y posterior (PLAPS points, por las siglas de Posterolateral Alveolar and/or Pleural Syndrome). Debe realizarse primero en un pulmón de manera continua, las tres zonas tanto en modo B y modo M, y posteriormente de manera comparativa el otro pulmón.31,32,33,34,35
Anatomía del ultrasonido pulmonar
En el ultrasonido pulmonar, de proximal a distal o de externo a interno, la anatomía está constituida por:
1) Piel: son las primeras imágenes ecogénicas.
2) Tejido celular subcutáneo y músculos intercostales: se presentan como líneas inmediatamente inferiores a la piel, de características hipoecoicas.
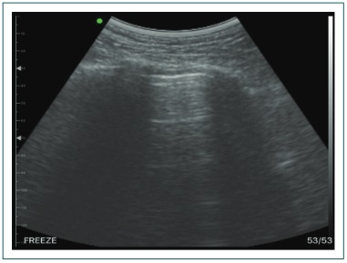
3) Línea pleural: se observa perpendicular entre dos sombras acústicas generadas por la costilla superior e inferior, conocido como el «signo del murciélago». La línea pleural se visualiza como una banda hiperecogénica, de hasta 2 mm de grosor normalmente. Durante los movimientos respiratorios, esta línea tiene un movimiento ondulante hacia delante y atrás respecto a la pared torácica, que representa el movimiento de la pleura visceral contra la parietal, conocido como el «signo de deslizamiento pulmonar», que en modo M se describe como el «signo de la playa»; esto observado en las zonas anterior y anteromedial de cada zona explorada (Fig. 1).
4) Diafragma: observado en la zona posterior o PLAPS point, se visualiza de manera distal como una línea ecogénica de 1 mm de espesor sobre el hígado y el bazo de cada hemidiafragma, que se mueve normalmente de proximal a distal durante la inspiración («signo de la cortina»).31,32,33,34,35

Imagen normal. A: modo bidimensional. B: modo M: «signo de la playa». c: sombra costal; d: líneas A; p: línea pleural.
Artefactos pulmonares
Líneas A
Son las principales líneas o artefactos horizontales, de características hiperecogénicas y repetición de la línea pleural. Mantienen la misma distancia a la línea pleural y entre cada línea A. Las líneas A representan aire en la pleura. Puede ser aire alveolar, que corresponde al funcionamiento normal pulmonar (Fig. 2).36,37

Líneas A.
Líneas B
Son la principal imagen o líneas verticales. También se presentan las líneas E y Z, que son líneas verticales con diferencias entre cada una de ellas. Las líneas B son verticales y bien definidas, triangulares con vértices que se origina en la línea pleural y que se dirigen al parénquima pulmonar, se extienden hasta el límite de la imagen, y atraviesan y borran las líneas A.36,37,38 Pueden ser artefactos únicos o múltiples; sin embargo, Lichtenstein38 refiere que debe ser definido con solo dos líneas B y no con tres como anteriormente se definía, con una distancia de 3-5 mm entre ellas. Las líneas E son hiperecogénicas, verticales y finas, se inician en la pared torácica por arriba de la línea pleural y se extienden hasta el límite de la imagen y sin borrar las líneas A (a diferencia de las líneas B, que parten de la línea pleural); pueden ser secundarias a un enfisema subcutáneo. Las líneas Z son hiperecogénicas y verticales, se inician en la pleura pero no alcanzan el final de la pantalla, y no borran las líneas A; pueden ser secundarias a un neumotórax.38
Líneas C
Son un artefacto o líneas horizontales hiperecogénicas curvilíneas, sin mantener la misma distancia a la línea pleural, lo cual las diferencia de las líneas A. Se producen por el tejido adyacente con consolidación, ya que el tejido no aireado es fácilmente atravesado por la onda sonora.36,37,38
Protocolos de decisiones
El primer paso consiste en identificar la etiología acorde con el contexto y los antecedentes de cada paciente; precisamente es aquí donde la toma de decisiones de cada clínico es determinante. El estudio BLUE es pionero en el abordaje estructurado de este tipo de pacientes. Propone un algoritmo sencillo y rápido de consultar para formular o ejecutar decisiones, logrando un diagnóstico inmediato en el 90.5% de los casos de insuficiencia respiratoria aguda.39,40 A través de la combinación de signos ultrasonográficos se identifican o excluyen patologías agudas.39,40
El protocolo BLUE inicia con la búsqueda de artefactos, que originan signos y consecuentemente el conjunto de estos aporta unos perfiles que guían la toma de decisiones. Se cuenta principalmente con un perfil A y un perfil B, pero pueden ser combinados, cuando un pulmón muestra predominio A y el otro B, lo que se denomina perfil A/B. Si en la búsqueda se observa una línea C, puede atribuirse que el perfil C se encuentra presente. En la evaluación de estos perfiles estamos obligados a realizar la búsqueda de los PLAPS, siendo de suma importancia reportar si hay PLAPS positivos, es decir, si observamos un signo de consolidación alveolar o derrame pleural, y siendo PLAPS negativo, la ausencia de estos. En los perfiles A y B, nuestro algoritmo nos muestra que se debe buscar deslizamiento pulmonar y punto pulmonar, y realizar la determinación del dímero D, una ecografía cardiaca y un ultrasonido Doppler de miembros inferiores.39,40,41,42,43,44,45
Las líneas A más el deslizamiento pulmonar se correlacionan con el perfil A. En este perfil podemos encontrar patologías como asma y enfermedad pulmonar obstructiva crónica con una sensibilidad del 89% y una especificidad del 97%; sin embargo, si inicialmente no localizamos deslizamiento pulmonar, estamos obligados a buscar punto pulmonar y ausencia de «signo de la playa», observando en modo B el «signo de la estratosfera», y así establecer el diagnóstico de neumotórax con una sensibilidad del 81% y una especificidad del 100%. Un perfil A en el contexto de una disnea súbita con clínica de dolor en los miembros inferiores o una ecocardiografía que muestra dilatación del ventrículo derecho sugieren tromboembolia pulmonar, con un 81% de sensibilidad y un 99% de especificidad; la determinación del dímero D podría complementar al individualizar cada caso (paciente joven o anciano). Al encontrar PLAPS positivos en este perfil tenemos un 83% de probabilidad de diagnosticar neumonía.39,40,41,42,43,44,45
El perfil B se hace presente al encontrar más de tres líneas B en cada segmento pulmonar explorado y de manera bilateral. Puede tener o no deslizamiento pulmonar (edema pulmonar, sensibilidad del 97% y especificidad del 95%) con PLAPS positivos, ya sea derrame pleural o consolidación pulmonar (neumonía, sensibilidad del 89% y especificidad de 94%). Se debe complementar este perfil con una ecocardiografía cardiac en busca de datos de daño estructural que sugieran falla cardiaca secundaria a algún evento de síndrome coronario agudo (Fig. 3).39,40,41,42,43,44,45

Protocolo de decisiones.9 EPOC: enfermedad pulmonar obstructiva crónica; PLAPS: posterolateral alveolar and/or pleural syndrome; TEP: tromboembolia pulmonar.
Otras aplicaciones del ultrasonido pulmonar
Retiro de la ventilación mecánica
La disfunción o atrofia diafragmática es una de las principales causas de falla al retiro de la ventilación mecánica; hasta el 20% de los pacientes en la unidad de cuidados intensivos la presentan.46,47 El retiro de la ventilación mecánica requiere una valoración integral con pruebas firmes en evidencia, como prueba de ventilación espontánea o presión inspiratoria máxima, entre otras, así como pruebas ultrasonográficas, como prueba de fuga y predictor de estridor laríngeo. Hasta el 26% de los pacientes extubados con estas pruebas presentan falla al retiro de la ventilación mecánica.46,47,48,49,50
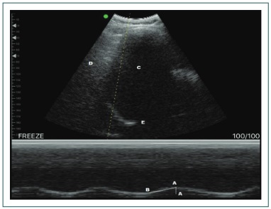
El ultrasonido diafragmático ha ganado un lugar junto con los predictores ya existentes para la valoración del retiro de la ventilación mecánica, hasta el momento con pruebas como la detección de edema pulmonar, el movimiento diafragmática, la distancia que el diafragma es capaz de moverse durante el ciclo respiratorio y la fracción de espesor diafragmática (FED), que es la relación entre la diferencia en el espesor en inspiración y la espiración dividida entre el grosor en espiración (FED = FEI − FEE)/FEE), y por último, el tiempo inspiratorio máximo diafragmático de cada hemidiafragma (Fig. 4).51,52,53,54

Valoración diafragmática. A-A: movimiento diafragmático; A-B: tiempo inspiratorio máximo diafragmático; C: parénquima hepático; D: parénquima pulmonar; E: diafragma.
Hasta el momento existe controversia debido a que hay estudios que refieren que estos predictores no tienen utilidad, pero algunas revisiones sistemáticas mencionan pruebas de predicción adecuadas con un 78% de sensibilidad y un 71% especificidad para el movimiento diafragmático, con un corte para falla al retiro de la ventilación mecánica menor de 10 mm, así como un 89% y un 79%, respectivamente, para la FED con un valor de corte del 20-30%.
Para la determinación de estos valores se requiere, para el movimiento diafragmático y el tiempo inspiratorio máximo diafragmático, un transductor de baja frecuencia (2-5 MHz), posicionándolo en una vista subcostal, entre la línea media clavicular, axilar anterior de cada hemidiafragma, utilizando el hígado o el bazo como referencias anatómicas; asimismo, se pueden determinar en el punto posterior o PLAPS. Para obtener la FED se requiere un transductor de alta frecuencia o lineal (6-15 MHz), posicionándolo en el punto posterior o PLAPS.
Intervencionismo guiado por ultrasonido
El derrame pleural es una patología común en los pacientes a cargo del médico internista. La punción, tanto diagnóstica como terapéutica, y la colocación de drenajes pueden presentar hasta un 20-30% de complicaciones (perforación de pulmón, hígado, bazo, etc.).47 En manos experimentadas, la punción guiada por ultrasonido puede representar solo un 2-3% de complicaciones, y además permite la colocación de tubos de menor calibre que logran una mayor precisión en el derrame paraneumónico.55,56,57
Ultrasonido pulmonar en nuestro centro
Al tener pacientes con patologías críticas, el uso de esta herramienta en nuestro servicio surge con el objetivo de poder complementar nuestros diagnósticos de una manera más rápida y eficaz.
Se realizó una encuesta estructurada de nueve preguntas basada en cuestionarios previos,58,59 la cual se realizó en línea por medio de Google Forms en el periodo de octubre a noviembre de 2019 a residentes de un hospital de tercer nivel de la Ciudad de México. La encuesta fue elaborada por un experto en ultrasonido pulmonar. Se incluyeron datos demográficos, preguntas sobre conocimiento previo, capacitación, práctica actual y utilidad percibida para el ultrasonido pulmonar. Se invitó a todos los residentes de esta unidad, la cual incluye 100 residentes de medicina interna desde el segundo año hasta el cuarto año. La encuesta fue contestada por 95 residentes y se efectuó un análisis descriptivo simple. El 42.6% son residentes de segundo año, el 23.4% son de tercer año y el 34% son de cuarto año. El 92.9% saben en qué consiste y qué es el ultrasonido pulmonar. El 100% respondieron que creen que el ultrasonido pulmonar es importante en la práctica del internista; además, el 54.8% consideraron que tienen conocimiento de cómo realizar un ultrasonido pulmonar. El 85.7% confirmaron que no han recibido ningún tipo de entrenamiento en ultrasonido pulmonar y el 14.3% respondieron que recibieron un entrenamiento. De este 14.3% que recibieron entrenamiento, el 19.1% fue mediante un curso o taller, ninguno realizó diplomado o maestría, y el 80.9% mencionaron ser autodidactas. El 12.8% respondieron haber recibió capacitación por el hospital y el 6.3% realizaron su capacitación por una empresa privada. El 66% han utilizado el ultrasonido pulmonar al menos una vez en los últimos 6 meses. El 71.4% respondieron que el ultrasonido les ha hecho tomar una decisión clínica basada en los hallazgos encontrados al realizarlo.
La experiencia que hemos obtenido ha sido con una curva de aprendizaje rápida, al obtener un equipo ultrasonográfico más lecturas académicas del tema, lo cual fue nuestro pilar inicial. Hemos reforzado los conocimientos con profesores experimentados en el tema; sin embargo, creemos que el principal factor para aterrizar los conocimientos teóricos está en la práctica clínica, al realizar rastreos ultrasonográficos diarios a nuestros pacientes. La identificación de estos signos más el contexto clínico del paciente y el seguimiento de los algoritmos propuestos nos han dado excelentes resultados.
Conclusiones
El ultrasonido permite una complementación diagnóstica de la patología pulmonar y de choque, y logra menos tasas de complicaciones en los procedimientos, siendo un estudio inocuo, el cual se puede repetir cuantas veces se quiera, sin necesidad de transportar al paciente con condición crítica.
Hoy en día, no todos los servicios de medicina interna cuentan con esta herramienta, así como tampoco se encuentra de manera formal en el currículo del internista, y no solo en nuestro país, sino también en otras partes del mundo. Es necesario implementar en la formación del internista un adiestramiento en ultrasonido básico aplicado a la clínica, hecho que no compite con la práctica del radiólogo, sino que enriquece al clínico para su práctica diaria.
Agradecimientos
Los autores agradecen a todo el personal que ha colaborado en la mejora de la enseñanza médica y a todos los que participaron en este trabajo, así como a aquellos por cuya iniciativa se ha iniciado el empleo de esta herramienta en nuestro centro, en beneficio de nuestra enseñanza y de la mejora de la atención a los pacientes.
Referencias
1. Bhagra A, Tierney DM, Sekiguchi H, Soni NJ. Point-of-care ultrasonography for primary care physicians and general internists. Mayo Clinic Proc. 2016;91(12):1811-27.
2. Solomon S, Saldana F. Point-of-care ultrasound in medical education--stop listening and look. N Engl J Med. 2014;370(12):1083–5. doi:https://doi.org/10.1056/NEJMp1311944.
3. Narula J, Chandrashekhar Y, Braunwald E. Time to add a fifth pillar to bedside physical examination inspection, palpation, percussion, auscultation, and insonation. JAMA Cardiology. 2018;3(4):346-50.
4. Kobal SL, Trento L, Baharami S, Tolstrup K, Naqvi TZ, Cercek B, et al. Comparison of effectiveness of hand-carried ultrasound to bedside cardiovascular physical examination. Am J Cardiol. 2005;96(7):1002-6.
5. Schnobrich DJ, Gladding S, Olson APJ, Duran-Nelson A. Point-of-care ultrasound in internal medicine:a national survey of educational leadership. J Grad Med Educ. 2013;5(3):498-502. doi:10.4300/JGME-D-12-00215.1
6. Dulohery MM, Stoven S, Kurklinksy AK, Halvorsen A, McDonald FS, Bhagra A. Ultrasound for internal medicine physicians:the future of the physical examination. J Ultrasound Med. 2014;33(6):1005-11. doi:10.7863/ultra.33.6.1005
7. Hosford G. Should point-of-care ultrasound be in the new internal medicine curriculum?Clin Med. 2018;18(5):440. doi:10.7861/clinmedicine.18-5-440b
8. Perrone T, Maggi A, Sgarlata C, Palumbo I, Mossolani E, Ferrari S, et al. Lung ultrasound in internal medicine:a bedside helps to increase accuracy in the diagnosis of dyspnea. Eur J Int Med. 2017;46:61-5.
9. Touw HRW, Tuinman PR, Gelissen HPMM, Lust E, Elbers PWG. Lung ultrasound:routine practice for the next generation of internists. Neth J Med. 2015;73(3):100-7.
10. Xia Y, Ying Y, Wang S, Li W, Shen H. Effectiveness of lung ultrasonography for diagnosis of pneumonia in adults:a systematic review and meta-analysis. J Thorac Dis. 2016;8(10):2822-31.
11. Amatya Y, Rupp J, Russell FM, Saunders J, Bales B, House DR. Diagnostic use of lung ultrasound compared to chest radiograph for suspected pneumonia in a resource-limited setting. Int J Emerg Med. 2018;11(1):8.
12. Mohsen A, Samy W, El-Azizy H, Shehata MA. Lung ultrasound in intensive care unit:a prospective comparative study with bedside chest radiography using computed tomography of chest as a gold standard. Res Opin Anesth Intensive Care. 2018;5:110-4.
13. Alrajab S, Youssef AM, Akkus NI, Caldito G. Pleural ultrasonography versus chest radiography for the diagnosis of pneumothorax:review of the literature and meta-analysis. Crit Care. 2013;17:R208.
14. Maw AM, Hassanin A, Ho PM, McInnes MDF, Moss A, Juarez-Colunga E, et al. Diagnostic accuracy of lung ultrasonography and chest radiography in acute decompensated heart failure. JAMA Netw Open. 2019;2(3):e190703.
15. Mayordomo-Colunga J, González Cortés R, Bravo MC, Martínez-Mas R, Vázquez-Martínez JL, Renter-Valdovinos L, et al. Point-of-care ultrasound:is it time to include it in the paediatric specialist training programme?An Pediatr (Barc). 2019;91(3):206.e1-206.e13.
16. Solomon SD, Saldana F. Point-of-care ultrasound in medical education —stop listening and look. N Engl J Med. 2014;370:1083-5.
17. Blans MJ, Bosch FH. Ultrasound in acute internal medicine;time to set a European standard. Eur J Intern Med. 2017;45:51-3. doi:10.1016/j.ejim.2017.09.040
18. Johri AM, Durbin J, Newbigging J, Tanzola R, Chow R, De S, et al. Cardiac point-of-care ultrasound:state of the art in medical school education. J Am Soc Echocardiogr. 2018;31:749-60.
19. Ma IWY, Arishenkoff S, Wiseman J, Desy J, Ailon J, Martin L, et al. Internal medicine point-of-care ultrasound curriculum:consensus recommendations from the Canadian Internal Medicine Ultrasound (CIMUS) Group. J Gen Intern Med. 2017;32(9):1052-7.
20. Ambasta A, Balan M, Mayette M, Goffi A, Mulvagh S, Buchanan B, et al. Education indicators for internal medicine point-of-care ultrasound:a consensus report from the Canadian Internal Medicine Ultrasound (CIMUS) Group. J Gen Intern Med. 2019;34:2123-9.
21. Olmedo-Canchola VH, Heinze-Martin G, Andoney-Mayén JV. Características de los cursos de especialización en medicina interna avalados por la Universidad Nacional Autónoma de México. Med Int Meex. 2018;34(2):311- 20.
22. Plan Único de Especializaciones Medicas (PUEM) en Medicina Interna:resen~a histórica de la especialidad. DEP de la Fac Med, UNAM;México, D.F.;2010.
23. Keddis MT, Cullen MW, Reed DA, Halvorsen AJ, McDonald FS, Takahashi PY, et al. Effectiveness of an ultrasound training module for internal medicine residents. BMC Med Educ. 2011;11:75.
24. Pietersen PI, Madsen KR, Graumann O, Konge L, Nielsen BU, Laursen CB. Lung ultrasound training:a systematic review of published literature in clinical lung ultrasound training. Crit Ultrasound J. 2018;10(1):23. doi:10.1186/s13089-018-0103-6
25. LoPresti CM, Schnobrich DJ, Dversdal RK, Schembri F. A road map for point-of-care ultrasound training in internal medicine residency. Ultrasound J. 2019;11:10. https://doi.org/10.1186/s13089-019-0124-9
26. American College of Emergency Physicians. Emergency ultrasound guidelines. Ann Emerg Med. 2009;53(4):550-69.
27. American College of Emergency Physicians. Ultrasound guidelines:emergency, point-of-care and clinical ultrasound guidelines in medicine. Ann Emerg Med. 2017;69(5):e27-e54.
28. Blans MJ, Pijl MEJ, van de Water JM, Poppe HJ, Bosch FH. The implementation of POCUS and POCUS training for residents:the Rijnstate approach. Neth J Med. 2020;78(3):116-24.
29. Kelm DJ, Ratelle JT, Azeem N, Bonnes SL, Halvorsen AJ, Oxentenko AS, et al. Longitudinal ultrasound curriculum improves long-term retention among internal medicine residents. J Grad Med Educ. 2015;7(3):454-7.
30. Elhassan M, Gandhi KD, Sandhu C, Hashmi M, Bahl S. Internal medicine residents'point-of-care ultrasound skills and need assessment and the role of medical school training. Adv Med Educ Pract. 2019;10:379-86. doi:10.2147/AMEP.S19⅘
31. Moore CL. Point-of-care ultrasonography. N Engl J Med. 2011;36:749-57.
32. Carrillo-Esper R, Tapia-Velasco R, Garrido-Aguirre E, Nava-López JA. Ultrasonografía a la cabecera del enfermo. Una nueva herramienta para el internista. Med Intern Mex. 2014;30:451-67.
33. Chiem AT. Transducers En:Soni NJ, Amtfield R, Kony P, editores. Point-of-care ultrasound. Philadelphia:Elsevier Saunders;2015. 19-24.
34. Mojoli F, Bouhemad B, Mongodi S, Lichtenstein D. Lung ultrasound for critically ill patients. Am J Respir Crit Care Med. 2019;199:701-14.
35. Tavares J, Ivo R, Gonzalez F, Lamas T, Mendes JJ. Global Ultrasound Check for the Critically lll (GUCCI) —a new systematized protocol unifying point-of-care ultrasound in critically ill patients based on clinical presentation. Open Access Emerg Med. 2019;11:133-45.
36. Colmenero M, García-Delgado M, Navarrete I, López-Milena G. Utilidad de la ecografía pulmonar en la unidad de medicina intensiva. Med Intensiva. 2010;34(9):620-8.
37. Carrillo-Esper R, Carrillo-Córdoba J, Carrillo-Córdoba L. Patrones ultrasonográficos pulmonares en el enfermo grave. Rev Asoc Mex Med Crit Ter Int. 2011;25(1):24-32.
38. Lichtenstein DA. Current misconceptions in lung ultrasound:a short guide for experts. Chest. 2019;156(1):21-5.
39. Lichtenstein DA, Mézie`re GA. Relevance of lung ultrasound in the diagnosis of acute respiratory failure:the BLUE protocol. Chest. 2008;134:117-25.
40. Lichtenstein DA. Lung ultrasound in the critically ill. Ann Intensive Care. 2014;4:1.
41. Lichtenstein D. FALLS-protocol:lung ultrasound in hemodynamic assessment of shock. Heart Lung Vessel. 2013;5(3):142-7.
42. Lichtenstein D, Karakitsos D. Integrating lung ultrasound in the hemodynamic evaluation of acute circulatory failure (the fluid administration limited by lung sonography protocol). J Crit Care. 2012;27(5):533.e11-9.
43. Perera P, Mailhot T, Riley D, Mandavia D. The RUSH exam:Rapid Ultrasound in SHock in the evaluation of the critically ill. Emerg Med Clin North Am. 2010;28(1):29-56.
44. Mayo PH, Copetti R, Feller-Kopman D, Mathis G, Maury E, Mongodi S, et al. Thoracic ultrasonography:a narrative review. Intensive Care Med. 2019;45(9):1200-11.
45. Lichtenstein D. The ultrasound approach of an acute respiratory failure:the BLUE Protocol. En:Lichtenstein D, editor. Lung ultrasound in the critically ill:the BLUE protocol. Switzerland:Springer;2016. 157-66.
46. Turton P, Alaidarous S, Welters I. A narrative review of diaphragm ultrasound to predict weaning from mechanical ventilation:where are we and where are we heading?Ultrasound J. 2019;11:2.
47. Li C, Li X, Han H, Cui H, Wang G, Wang Z. Diaphragmatic ultrasonography for predicting ventilator weaning. Medicine (Baltimore). 2018;97:e10968.
48. Pérez-Calatayud AA, Carrillo-Esper R, Arch-Tirado E. [Quantitative evaluation proposal of a ultrasonographic protocol for weaning from mechanichal ventilation]. Gac Med Mex. 2016;152(3):304-12.
49. FerréA, Guillot M, Lichtenstein D, Mezière G, Richard C, Teboul JL, et al. (2019). Lung ultrasound allows the diagnosis of weaning-induced pulmonary oedema. Intensive Care Med. 2019;45:601-8.
50. Esper RC, Talamantes YG. Evaluación ultrasonográfica del diafragma en el enfermo grave. Rev Asoc Mex Med Crit Ter Int. 2014;28(3):187-94.
51. Carrillo Esper R, Pérez Calatayud AA, Peña Pérez CA. Evaluación ultrasonográfica de la función diafragmática mediante doble abordaje en el paciente grave. Rev Asoc Mex Med Crit Ter Int. 2016;30(13):242-5.
52. Vivier E, Muller M, Putegnat JB, Steyer J, Barrau S, Boissier F, et al. Inability of diaphragm ultrasound to predict extubation failure:a multicenter study. Chest. 2019;155:1131-9.
53. Theerawit P, Eksombatchai D, Sutherasan Y, Suwatanapongched T, Kiatboonsri C, Kiatboonsri S. Diaphragmatic parameters by ultrasonography for predicting weaning outcomes. BMC Pulm Med. 2018;18:1-11. https://doi.org/10.1186/s12890-018-0739-9
54. Zambon M, Greco M, Bocchino S, Cabrini L, Beccaria PF, Zangrillo A. Assessment of diaphragmatic dysfunction in the critically ill patient with ultrasound:a systematic review. Intensive Care Med. 2017;43(1):29-38.
55. Brogi E, Gargani L, Bignami E, Barbariol F, Marra A, Forfori F, et al. Thoracic ultrasound for pleural effusion in the intensive care unit:a narrative review from diagnosis to treatment. Crit Care. 2017;21(1):1-11.
56. Vollmer I, Gayete A. Ecografía torácica. Arch Bronconeumol. 2010;46(1):27-34.
57. Schildhouse R, Lai A, Barsuk JH, Mourad M, Chopra V. Safe and effective bedside thoracentesis:a review of the evidence for practicing clinicians. J Hosp Med. 2017;4:266-76.
58. Olgers TJ, ter Maaten JC. Point-of-care ultrasound curriculum for internal medicine residents:what do you desire?A national survey. BMC Med Educ. 2020;20:30.
59. Kessler C, Bhandarkar S. Ultrasound training for medical students and internal medicine residents —a needs assessment. J Clin Ultrasound. 2010;38(8):401-8.
Notas de autor
daniel_00_5@hotmail.com
Información adicional
Conflicto de intereses: Los autores han completado y enviado la forma traducida al español de la declaración de conflictos potenciales de interés del Comité Internacional de Editores de Revistas Médicas, y no fue reportado ninguno que tuviera relación con este artículo.
Responsabilidades éticas: Protección de personas y animales. Los autores declaran que para esta investigación no se han realizado experimentos en seres humanos ni en animales. Confidencialidad de los datos. Los autores declaran que han seguido los protocolos de su centro de trabajo sobre la publicación de datos de pacientes. Derecho a la privacidad y consentimiento informado. Los autores declaran que en este artículo no aparecen datos de pacientes.
Cómo citar este artículo: Juárez-Villa JD, Vargas-Rojas JA, Amores-Tamay CA, Olascoaga-Lugo A, Pineda-Capera JA, Zepeda-Quiroz I, et al. Ultrasonido pulmonar: aplicaciones clínicas y su enseñanza en la formación médica. Rev Med Inst Mex Seguro Soc. 2020;58(6):709-718.
PubMed: https://pubmed.ncbi.nlm.nih.gov/34705403/
Enlace alternativo
http://revistamedica.imss.gob.mx/editorial/index.php/revista_medica/article/view/3615/4257 (pdf)