Caso clínico
Recepción: 25 Junio 2020
Aprobación: 17 Julio 2020
DOI: https://doi.org/10.24875/RMIMSS.M20000108
Resumen:
Introducción: La diabetes insípida adípsica es una condición rara, secundaria a una lesión de los osmorreceptores del área hipotalámica anterior. Solo se han publicado dos casos secundarios a cirugía de tumor hipofisiario.
Caso clínico: Varón de 43 años, posoperado de macroadenoma hipofisiario no funcionante que invadía el tercer ventrículo y comprimía el hipotálamo. Reoperado por cefalea y rinorraquia, desarrolla en el posoperatorio diabetes insípida; es dado de alta con desmopresina nasal (20 μg/día). Acude de nuevo por trastorno del sensorio e hipernatremia, que se logra controlar con hidratación intravenosa y desmopresina. Cursa con recurrencia de la hipernatremia cada vez que se suspende la hidratación intravenosa e inicia la vía oral. Con valores de sodio elevados se objetiva la ausencia de sed. Se hace diagnóstico de diabetes insípida adípsica y se indica la administración supervisada de agua por vía oral, con evolución favorable.
Conclusiones: La diabetes insípida adípsica es una variante rara de diabetes insípida central causada por un daño en los osmorreceptores del hipotálamo. Se manifiesta con ausencia de percepción de sed, hipernatremia y poliuria. Su manejo es complejo y requiere un control estricto del balance hídrico y adherencia al tratamiento.
Palabras clave: Diabetes Insípida, Sed, Enfermedades de la Hipófisis, Hipernatremia.
Abstract:
Background: Adipsic diabetes insipidus is a rare condition secondary to injury to osmoreceptors in the anterior hypothalamic area. Only two cases have been published secondary to pituitary tumor surgery.
Case report: A 43-year-old man, postoperative of a non-functioning pituitary macroadenoma invading the third ventricle and compressing the hypothalamus. Reoperated for headache and rhinorrhachia, developing diabetes insipidus in the postoperative period was discharged with 20 μg/day nasal desmopressin. He came again due to sensorial disorder and hypernatremia, managing to control with intravenous hydration and desmopressin. It presents with recurrence of hypernatremia every time intravenous hydration is suspended and taken orally. With high sodium levels, there is an absence of thirst. A diagnosis of adipsic diabetes insipidus is made, indicating supervised administration of water orally with favorable evolution.
Conclusions: Adipsic diabetes insipidus is a rare variant of central diabetes insipidus caused by damage to osmoreceptors in the hypothalamus. It manifests with absence of perception of thirst, hypernatremia and polyuria. Its management is complex and requires strict control of the water balance and adherence to treatment.
Keywords: Diabetes Insipidus, Thirst, Pituitary Diseases, Hypernatremia.
Introducción
La diabetes insípida central es un síndrome producido por una disminución de la secreción de vasopresina, parcial o completa, caracterizada por la eliminación de grandes volúmenes de orina diluida (diuresis >2 ml/kg/h o 2.5-3 l/24 h con osmolaridad urinaria <100 mOsm/kg o densidad urinaria <1.005), que mayormente es secundaria a cirugía hipofisaria.1,2 Esto conlleva un estado hiperosmolar y un incremento del sodio (Na), que pueden ser mantenidos en valores normales mediante el aumento del consumo de agua (polidipsia) en los pacientes que mantienen intacto el mecanismo de la sed y tienen el sensorio conservado y libre acceso a líquidos.2,3
La diabetes insípida adípsica es una rara variante de diabetes insípida central en la que el daño de los osmorreceptores de la región circunventricular del hipotálamo anterior lleva a la pérdida del mecanismo de la sed, dando lugar a cuadros de hipernatremia grave.4 El tratamiento suele constituir un desafío debido a las grandes oscilaciones en el Na plasmático. Aproximadamente se han reportado 100 casos, de los cuales dos fueron secundarios a cirugía de tumor hipofisario.5 La escasa prevalencia de la diabetes insípida adípsica y la complejidad de su manejo hacen pertinente la publicación del caso.
Caso clínico
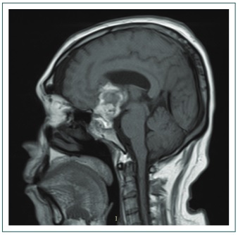
Varón de 43 años sin antecedentes que acude por cefalea y pérdida de visión periférica. Se realiza una resonancia magnética nuclear de hipófisis que informa un macroadenoma hipofisario de 62 × 54 × 52 mm (Fig. 1) que invade el tercer ventrículo y comprime el hipotálamo, por lo que se realiza adenectomía transesfenoidal parcial. Patología informa adenoma hipofisario de patrón sólido, predominantemente acidófilo, con la siguiente inmunohistoquímica: corticotropina (−), prolactina (−), hormona estimulante del folículo (+/+++), hormona luteinizante (−), hormona de crecimiento (−) y ki67 < 2%. Es dado de alta con prednisona 5 mg/día y levotiroxina 100 μg/día.

Resonancia magnética cerebral, corte sagital, en T1, que muestra un macroadenoma hipofisario.
Un mes después reingresa por cefalea brusca de gran intensidad y rinorraquia, y es reintervenido con craniectomía para extirpación de tumor residual. Al segundo día de posoperatorio (Fig. 2) cursa con diuresis de 6000 ml/24 h, Na de 170 mEq/l y densidad urinaria de 1.002. Con diagnóstico de diabetes insípida central se inicia solución salina al 0.45%, 2400 ml/día, y desmopresina 20 μg/día por 5 días hasta la remission de la poliuria y Na de 144 mEq/l. Tras la suspensión de la desmopresina, el Na aumenta a 152 mEq/l, con una diuresis de 2800-3500 ml/día, por lo que se reinicia la desmopresina (20 μg/día) y el Na disminuye a 145 mEq/l, con una diuresis de 2000-2500 ml/día. Es dado de alta 4 días después con desmopresina 20 μg/día agregada a la terapia hormonal indicada.

Resonancia magnética cerebral, en T1, luego de la segunda cirugía.
Una semana después es traído por familiares por trastorno de conciencia, tendencia al sueño, limitación de la marcha y lenguaje confuso. En la exploración física muestra un puntaje de 12 en la escala de Glasgow, no obedece órdenes y pupilas isocóricas fotorreactivas. La tomografía cerebral informa solo cambios posquirúrgicos. Las pruebas de laboratorio reportan: Na 168 mEq/l, examen de orina no patológico, densidad urinaria 1.002; resto de exámenes sin alteraciones. Con el diagnóstico de diabetes insípida central descompensada se inicia hidratación intravenosa (2500 ml/24 h), se agrega hidrocortisona y continúa con desmopresina y levotiroxina. Se produce una disminución progresiva del Na a las 60 horas en 151 mEq/l, con diuresis de 2500 ml; el paciente cursa más despierto y se reduce la hidratación a 2000 ml/24 h. Con el paciente más activo, se inicia dieta líquida, continúa la hidratación intravenosa a 1500 ml/24 h y se reduce progresivamente la hidrocortisona. A los 5 días el paciente luce más despierto, pero persiste con dificultad para deambular; se suspende la hidratación intravenosa, progresa a dieta completa más líquidos a voluntad y continúa con desmopresina. Los resultados de las pruebas de hormonas reportan: hormona estimulante de la tiroides 0.025 μUI/ml, tiroxina libre 1.76 ng/dl, prolactina 6.09 ng/ml, hormona de crecimiento <0.05 ng/ml, factor de crecimiento insulínico tipo 1 66.2 ng/ml, hormona luteinizante 2.21 mU/ml, corticotropina 14.3 pg/ml y cortisol 1.99 μg/dL. Control de Na: 143 mEq/l. Se evidencia un incremento del Na a 152 mEq/l a los 2 días y a 159 mEq/l a los 3 días, por lo que se reinician la hidratación con agua libre (200 ml/8 h) y la hidratación intravenosa (1000 ml/24 h); 24 horas después el Na es de 148 mEq/l, se suspende la hidratación y el control del Na sérico transcurridas 12 horas es de 152 mEq/l. Se observa que el paciente logra estabilizar los valores de Na mientras persiste con la hidratación intravenosa sin cambios en la dosis de desmopresina (Fig. 3) y sin evidenciar pérdidas secundarias (Fig. 4), por lo que se sospecha una falla en la hidratación oral. Se indica la suspensión de la hidratación intravenosa y se instauran líquidos a voluntad supervisados. El resultado del Na a las 12 y 18 horas es de 149 mEq/l y 154 mEq/l, respectivamente, y la diuresis a las 12 y 18 horas es de 800 ml y 1600 ml, respectivamente; balance hidroelectrolítico −1130 ml. El paciente está despierto, respondiendo preguntas y órdenes simples. A pesar de los valores de Na, el paciente niega tener sed. Con el antecedente de macroadenoma hipofisario que comprimía el hipotálamo y probable lesión de los osmorreceptores, se realiza el diagnóstico de diabetes insípida adípsica. Se calculan los requerimientos según la diuresis, el peso y el balance hídrico, y se indica hidratación intravenosa (1000 ml/24 h) y agua libre por vía oral (200 ml/6 h), administrada a pesar de que el paciente niegue tener sed. El control de Na es de 146 mEq/l. Se suspende la hidratación intravenosa y se continúa con la ingesta de agua de 250 ml/4 h, supervisada, con lo que el Na desciende progresivamente y permanece en valores que fluctúan entre 138 y 142 mEq/l al quinto día. El paciente es dado de alta con instrucciones de control de la diuresis y peso diario buscando un balance hídrico positivo entre 200 y 300, y con desmopresina (10 μg/12 h), prednisona y levotiroxina. Acude al consultorio con controles de Na en 139 mEq/l a las 2 semanas y de 138 mEq/l a las 4 semanas. Luce despierto, responde preguntas y obedece órdenes, y continúa su recuperación progresiva.

Variación del sodio plasmático.

Variación de la diuresis.
Discusión
Los osmorreceptores se encuentran en el órgano subfornical y el órgano vasculosum de la lámina terminalis en el hipotálamo anterior.6 Un estado de osmolaridad incrementada conducirá a señales estimulantes en los osmorreceptores que provocarán la liberación de vasopresina de los núcleos supraópticos y paraventriculares, activando vías neurológicas superiores en los córtex insular y cingulado, y dando como resultado la percepción consciente de sed.7 Ambos mecanismos permiten una concentración de Na y una osmolaridad plasmática que raramente varía más del 1-2% de su valor basal.
La ausencia de sed en la diabetes insípida central, asociada a hipernatremia, adecuado estado de consciencia y libre acceso a agua, lleva a sospechar diabetes insípida adípsica. Los criterios diagnósticos incluyen ausencia de sed y de ingesta espontánea de agua en presencia de hipernatremia significativa (Na >150 mEq/l) e hiperosmolaridad (osmolaridad plasmática >310 mOsm/kg).8 Se ha propuesto también la cuantificación de la sed con una escala visual análoga y de la concentración plasmática de vasopresina durante la infusión intravenosa de solución salina hipertónica.9 En nuestro caso no se recurrió a infusión salina hipertónica por el riesgo de desarrollar una hipernatremia grave; no obstante, ante la sospecha de adipsia se optó por esperar a que el paciente incrementara espontáneamente sus valores de Na al suspender la hidratación intravenosa y dejar como único aporte el agua por vía oral a voluntad. Se objetivaron un nulo consumo de líquido y una constante negativa del paciente a la percepción de sed durante el desarrollo de la hipernatremia, por lo que se realizó el diagnóstico clínico.
La diabetes insípida adípsica es una rara variante de la diabetes insípida central, con aproximadamente 100 casos reportados.4,5 Tiene una mayor prevalencia tras cirugías de aneurisma de arteria comunicante anterior, posterior a una hemorragia subaracnoidea (14-30%).8,10 El suministro vascular a los osmorreceptores hipotalámicos se deriva de pequeñas arterias que surgen de la arteria comunicante anterior, afectada por la cirugía, con el consiguiente infarto de los órganos circunventriculares.5 En segundo lugar, se ha reportado tras cirugías extensas de craneofaringiomas supraselares.10,11 Se han descrito macroadenomas hipofisarios agresivos con diabetes insípida adípsica sometidos a resección transfrontal y con hemorragia intracraneal operatoria.8 Las características de tamaño, agresividad y vía de resección son compartidas por nuestro caso. El resto de las causas son: tumores hipotalámicos, de glándula pineal y de células germinales,12-14 histiocitosis de células de Langerhans, neurosarcoidosis, trauma craneal, encefalitis por citomegalovirus y exposición a tolueno.15 Los factores de riesgo no se han definido con precisión. En una serie de pacientes posoperados de craneofaringioma, el tamaño del tumor >3.5 cm y la presencia de hidrocefalia se asociaron con el desarrollo de diabetes insípida adípsica.11 Existe un ligero predominio masculino, con una edad típica de inicio en la segunda década de la vida.16
El manejo es complejo y requiere una estricta adherencia al tratamiento. El control de la diuresis se logra con desmopresina; no obstante, la adipsia predispone a estados de hipernatremia grave. No existen ensayos clínicos que comparen diferentes tratamientos, por lo que nos basamos en casos reportados y en la opinión de expertos. Ball et al.8 plantean definir una dosis fija de desmopresina para mantener la diuresis en 1500-2000 ml. En caso de usar desmopresina nasal, se maneja una dosis promedio de 10 μg/12 h.16 Se indica la ingesta oral de fluidos con un aporte estimado de acuerdo con el cálculo de los cambios del peso diario respecto al peso basal; así, los aumentos de peso son manejados reduciendo la ingesta de agua, y viceversa (diferencia de 1 kg de peso =1 litro de agua).
Es indispensable la educación del paciente y su familia respecto a los principios básicos del balance de agua y el tratamiento. Estos pacientes deberían tener un control de Na como mínimo una vez por semana.4,8,a10 Se sugiere la utilización de un protocolo de administración de fluidos que calcule el aporte de líquido, utilizando una dosis fija de desmopresina subcutánea, basándose en parámetros como las variaciones del nivel de Na y el peso diario.17 También se ha planteado el uso de clorpropamida18 y de terapias conductuales,19 con limitada experiencia.
En los pacientes con diabetes insípida adípsica se ha reportado una mayor mortalidad en comparación con los pacientes sin adipsia (odds ratio: 9.53; intervalo de confianza del 95%: 1.85-40.08; P = 0.007). La causa de la muerte estaría relacionada con infección en la mayoría de los casos (neumonía, colecistitis y sepsis).20 Se ha reportado un aumento de la morbilidad asociada a disfunción hipotalámica (obesidad, desregulación de la temperatura, trastornos del sueño), de tromboembolias venosas y de infecciones graves.10,20 La recuperación de la percepción de sed se ha descrito en algunos pacientes.21,22 Estos datos refuerzan la necesidad de un control estricto y del seguimiento a largo plazo de los pacientes.
Referencias
1. Garray A, Moran C, Thompson C. Diagnosis and management of central diabetes insipidus in adults. Clin Endocrinol (Oxf). 2019;90:23-30.
2. Lamas C, del pozo C, Villabona C. Guía clínica de manejo de la diabetes insípida y del síndrome de secreción inapropiada de hormona antidiurética en el postoperatorio de la cirugía hipofisaria. Endocrinol Nutr. 2014;61(4):e15-24.
3. Leroy C, Karrouz W, Douillard C, Do Cao C, Cortet C, Wemeau JL, et al. Diabetes insipidus. Ann Endocrinol (Paris). 2013;74(5-6):496-507. doi:10.1016/j.ando.2013.10.002.
4. Cuesta M, Hannon MJ, Thompson CJ. Adipsic diabetes insipidus in adult patients. Pituitary. 2017;20:372-80.
5. Eisenberg Y, Frohman LA. Adipsic diabetes insipidus:a review. Endocr Pract. 2016;22:76-83.
6. McKenna K, Thompson C. Osmoregulation in clinical disorders of thirst appreciation. Clin Endocrinol. 1998;49:139-52.
7. Augustine V, Gokce SK, Lee S, Wang B, Davidson TJ, Reimann F, et al. Hierarchical neural architecture underlying thirst regulation. Nature. 2018;555:204-9.
8. Ball SG, Vaidja B, Baylis PH. Hypothalamic adipsic syndrome:diagnosis and management. Clin Endocrinol (Oxf). 1997;47:405-9.
9. Baylis PH, Robertson GL. Plasma vasopressin response to hypertonic saline infusion to assess posterior pituitary function. J R Soc Med. 1980;73:255-60.
10. Crowley RK, Sherlock M, Agha A, Smith D, Thompson CJ. Clinical insights into adipsic diabetes insipidus:a large case series. Clin Endocrinol (Oxf). 2007;66:475-82.
11. Smith D, Finucane F, Phillips J, Baylist PH, Finucane J, Tormey W, et al. Abnormal regulation of thirst and vasopressin secretion following surgery for craniopharyngioma. Clin Endocrinol (Oxf). 2004;61(2):273-9. doi:10.1111/j.1365-2265.2004.02086.x.
12. Sinha A, Ball S, Jenkins A, Hale J, Cheetham T. Objective assessment of thirst recovery in patients with adipsic diabetes insipidus. Pituitary. 2011;14(4):307-11.
13. Pereira MC, Vieira MM, Pereira JS, Salgado D. Adipsia in a diabetes insipidus patient. Case Rep Oncol. 2015;8(3):385-8.
14. Zhang Y, Wang D, Feng Y, Zhang W, Zeng X. Juvenile-onset gout and adipsic diabetes insipidus:a case report and literature review. J Int Med Res. 2018;46(11):4829-36.
15. Yuval E, Lawrence A. Adipsic diabetes insipidus:a review. Endocrine Practice. 2016;22:76-83.
16. Sano H, Yamada K, Koyama H, Terano T, Tamura Y, Yoshida S. A case report of hypodipsic hypernatremia syndrome associated with suprasellar tumor. Jpn J Med. 1991;30:266-72.
17. Pabich S, Flynn M, Pelley E. Daily sodium monitoring and fluid intake protocol:preventing recurrent hospitalization in adipsic diabetes insipidus. J Endoc Soc. 2019;3:882-6.
18. Nandi M, Harrington AR. Successful treatment of hypernatremic thirst deficiency with chlorpropamide. Clin Nephrol. 1978;10(3):90-5.
19. Johnston S, Burgess J, McMillan T, Greenwood R. Management of adipsia by a behavioural modification technique. J Neurol Neurosurg Psychiatry. 1991;54(3):272-4.
20. Arima H, Wakabayashi T, Nagatani T, Fujii M, Hirakawa A, Murase T, et al. Adipsia increases risk of death in patients with central diabetes insipidus. Endocr J. 2014;61:143-6.
21. O'Reilly MW, Sexton DJ, Dennedy MC, Counihan TJ, Finucane FM, O'Brien T, et al. Radiological remission and recovery of thirst appreciation after infliximab therapy in adipsic diabetes insipidus secondary to neurosarcoidosis. QJM. 2015;108(8):657-9. doi:10.1093/qjmed/ hct023
22. Cuesta M, Gupta S, Salehmohamed R, Dineen R, Hannon MJ, Tormey W, et al. Heterogenous patterns of recovery of thirst in adult patients with adipsic diabetes insipidus. QJM. 2016;109(5):303-8.
Notas de autor
vrsgarcia16@gmail.com
Información adicional
Conflicto de intereses: Los autores han completado y enviado la forma traducida al español de la declaración de conflicto potencial de intereses del Comité Internacional de Editores de Revistas Médicas, y no fue reportado ninguno relacionado con este artículo.
Responsabilidades éticas: Protección de personas y animales. Los autores declaran que para esta investigación no se han realizado experimentos en seres humanos ni en animales. Confidencialidad de los datos. Los autores declaran que han seguido los protocolos de su centro de trabajo sobre la publicación de datos de pacientes. Derecho a la privacidad y consentimiento informado. Los autores han obtenido el consentimiento informado de los pacientes y/o sujetos referidos en el artículo. Este documento obra en poder del autor de correspondencia.
Cómo citar este artículo: García-Ruiz VR, Suárez-Rojas J, Álvarez-Gamero JC, Paz-Ibarra JL. Diabetes insípida adípsica en paciente posoperado de macroadenoma hipofisiario. Rev Med Inst Mex Seguro Soc. 2020;58(6):740-745.
PubMed: https://pubmed.ncbi.nlm.nih.gov/34705407/
Enlace alternativo
http://revistamedica.imss.gob.mx/editorial/index.php/revista_medica/article/view/3833/4265 (pdf)